切换至 "中华医学电子期刊资源库"

中华医学超声杂志(电子版) ›› 2018, Vol. 15 ›› Issue (01) : 77 -78. doi: 10.3877/cma.j.issn.1672-6448.2018.01.015

所属专题: 经典病例 文献

病例报告

腹股沟浅表性血管黏液瘤超声表现一例
岳兵1, 王学梅1,(), 卞东林1   
  1. 1. 110000 沈阳,中国医科大学附属第一医院超声科
  • 收稿日期:2017-08-29 出版日期:2018-01-01
  • 通信作者: 王学梅

Sonographic findings of groin superficial angiomyxoma: a case report

Bing Yue1, Xuemei Wang1(), Donglin Bian1   

  • Received:2017-08-29 Published:2018-01-01
  • Corresponding author: Xuemei Wang
引用本文:

岳兵, 王学梅, 卞东林. 腹股沟浅表性血管黏液瘤超声表现一例[J/OL]. 中华医学超声杂志(电子版), 2018, 15(01): 77-78.

Bing Yue, Xuemei Wang, Donglin Bian. Sonographic findings of groin superficial angiomyxoma: a case report[J/OL]. Chinese Journal of Medical Ultrasound (Electronic Edition), 2018, 15(01): 77-78.

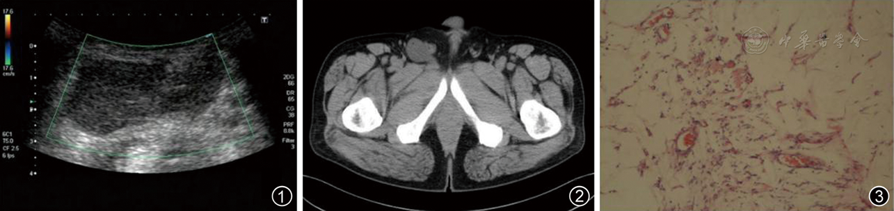
图1~3 腹股沟浅表性血管黏液瘤患者超声、CT及病理图像。图1为超声示不均质低回声团块,形态不规则,后方回声无增强;图2为CT示囊性包块影,增强后未见强化;图3为黏液样基质中见大量梭形细胞,内含多量薄壁狭长的血管
1
张雪丽,汤光宇,姬果. 血管黏液瘤影像特征及其病理基础(附3例报告) [J]. 中国临床医学影像杂志, 2016, 27(9):682-684.
2
Formage BD, Romsdahl MM. Intramuscular myxoma: sonographic appearance and sonographically guided needle biopsy [J]. J Ultrasound Med, 1994, 13(2):91-94.
3
Girish G, Jamadar DA, Landry D, et al. Sonography of intramuscular myxomas: the bright rim and bright cap signs [J]. J Ultrasound Med, 2006, 25(7):865-869.
4
尹晶,黄瑛. 超声诊断外阴侵袭性血管黏液瘤1例 [J]. 中国医学影像技术, 2014, 30(7):1000.
No related articles found!
阅读次数
全文


摘要


AI


AI小编
你好!我是《中华医学电子期刊资源库》AI小编,有什么可以帮您的吗?