切换至 "中华医学电子期刊资源库"

中华医学超声杂志(电子版) ›› 2020, Vol. 17 ›› Issue (09) : 918 -919. doi: 10.3877/cma.j.issn.1672-6448.2020.09.020

所属专题: 经典病例 文献

病例报告

肝囊肿破裂超声造影表现一例
杜佳蕊1, 罗强1, 隋国庆1,()   
  1. 1. 130033 长春,吉林大学中日联谊医院超声科
  • 收稿日期:2019-02-13 出版日期:2020-09-01
  • 通信作者: 隋国庆

Ultrasonography of rupture of hepatic cyst

Jiarui Du1, Qiang Luo1, Guoqing Sui1()   

  • Received:2019-02-13 Published:2020-09-01
  • Corresponding author: Guoqing Sui
引用本文:

杜佳蕊, 罗强, 隋国庆. 肝囊肿破裂超声造影表现一例[J/OL]. 中华医学超声杂志(电子版), 2020, 17(09): 918-919.

Jiarui Du, Qiang Luo, Guoqing Sui. Ultrasonography of rupture of hepatic cyst[J/OL]. Chinese Journal of Medical Ultrasound (Electronic Edition), 2020, 17(09): 918-919.

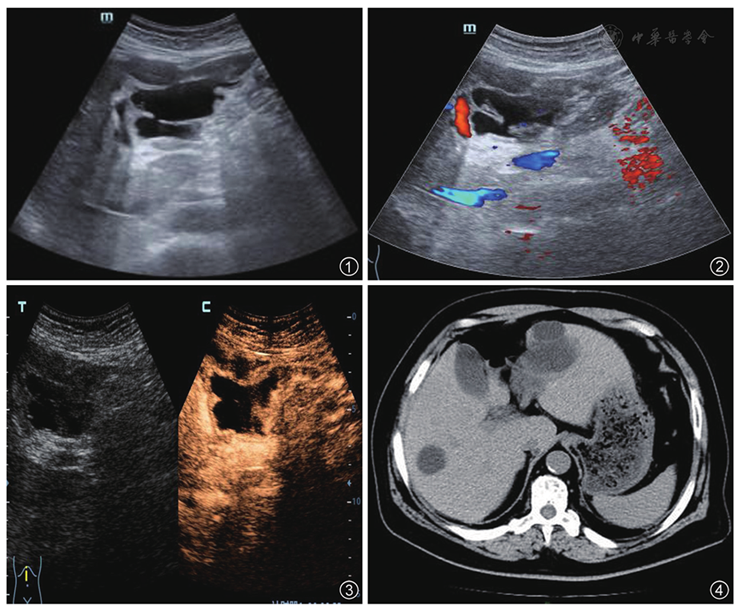
图4 CT示肝内可见多发类圆形、不规则低密度影,其内可见分隔
1
王瑞涛,李庆,梁欢,等.肝包虫囊肿破裂的相关因素分析及疗效评价 [J/CD].中华肝脏外科手术学电子杂志,2017,6(6):484-488.
2
Yang C, Yang H, Deng S, et al. Intraperitoneal rupture of hepatic hydatid cysts [J]. J Gastrointest Surg, 2019, 23(1): 173-175.
3
Eren S, Yildirgan I, Kantarci AM. An asymptomatic ruptured hepatic hydatid cyst case presenting with subdiaphragmatic gas in a traumatic patient [J]. Emerg Radiol, 2005, 12(1-2): 50-52.
4
Arikanoglu Z, Taskesen F, Aliosmanoğlu İ, et al. Spontaneous intraperitoneal rupture of a hepatic hydatid cyst [J]. Int Surg, 2012, 97(3): 245-248.
5
汪宁,彭兆快.腹部超声诊断肝脏肿块及相关疾病的临床应用分析[J].医学影像学杂志,2017,27(9):1830-1832.
6
张峰,杨青,刘会苗,等.肝包虫囊肿细菌感染病原菌分布、影像学表现及超声引导下穿刺不同处理措施对治疗疗效的影响 [J].中华医院感染学杂志,2016,26(23):5361-5363.
7
于新艳.超声造影诊断肝脏占位病变的临床价值 [J/CD].中西医结合心血管病电子杂志,2017,5(21):163-164.
8
管正平.超声对不典型肝囊肿、肝脓肿和肝囊肿型恶性肿瘤的鉴别诊断价值探讨[J].中外医疗,2015,34(31):176-177,186.
No related articles found!
阅读次数
全文


摘要


AI


AI小编
你好!我是《中华医学电子期刊资源库》AI小编,有什么可以帮您的吗?