切换至 "中华医学电子期刊资源库"

中华医学超声杂志(电子版) ›› 2025, Vol. 22 ›› Issue (12) : 1176 -1178. doi: 10.3877/cma.j.issn.1672-6448.2025.12.012

病例报告

超声联合数字减影血管造影诊治主动脉瘤腔内修复术后Ⅱ型内漏三例报道
梁宇光1, 崔明勇1, 姜久昆2, 谢秀静1,()   
  1. 1 310003 杭州,浙江大学医学院附属第一医院超声医学科
    2 310003 杭州,浙江大学医学院附属第一医院急诊科
  • 收稿日期:2025-07-30 出版日期:2025-12-01
  • 通信作者: 谢秀静
  • 基金资助:
    浙江省“尖兵领雁+X”研发攻关计划资助(2024C03030)

Application of ultrasonography combined with digital subtraction angiography in diagnosis and treatment of type Ⅱ endoleak after endovascular aneurysm repair: a three-case series

Yuguang Liang, Mingyong Cui, Jiukun Jiang   

  • Received:2025-07-30 Published:2025-12-01
引用本文:

梁宇光, 崔明勇, 姜久昆, 谢秀静. 超声联合数字减影血管造影诊治主动脉瘤腔内修复术后Ⅱ型内漏三例报道[J/OL]. 中华医学超声杂志(电子版), 2025, 22(12): 1176-1178.

Yuguang Liang, Mingyong Cui, Jiukun Jiang. Application of ultrasonography combined with digital subtraction angiography in diagnosis and treatment of type Ⅱ endoleak after endovascular aneurysm repair: a three-case series[J/OL]. Chinese Journal of Medical Ultrasound (Electronic Edition), 2025, 22(12): 1176-1178.

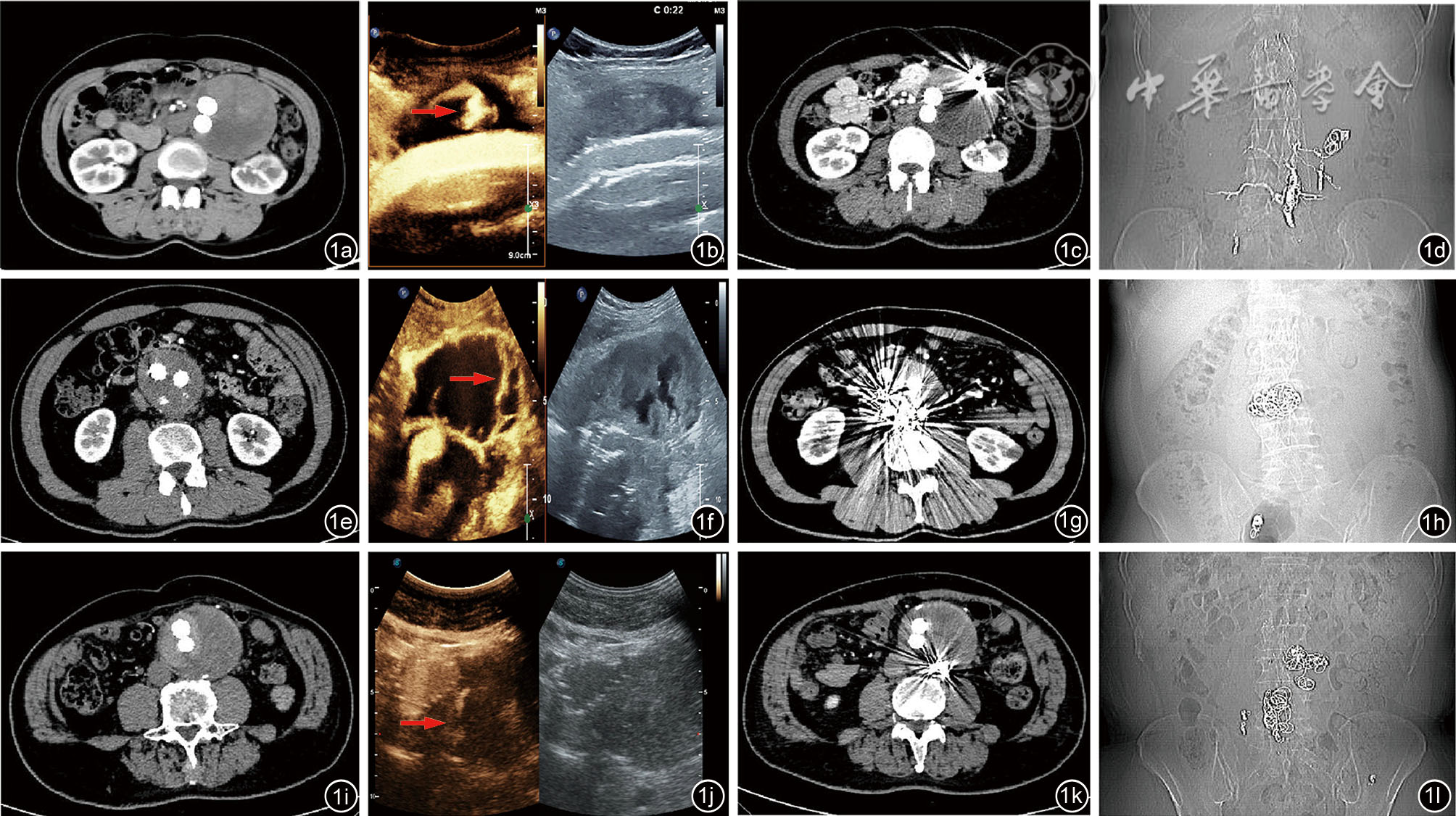
图1 3例患者内漏影像图。图a~d为病例1图像,图e~h为病例2图像,图i~l为病例3图像。图a、e、i分别为术前增强计算机断层血管造影(CTA)图像;图b、f、j为术中超声造影图像,红色箭头示超声造影显示的内漏血管。图c和d为病例1术后8个月CTA图像,图c为增强扫描影像,图d为CTA扫描定位像;图g和h为病例2术后8个月随访CTA影像及定位像;图k和l为病例3术后4个月随访CTA影像及定位像
1
Lee LK, Faries PL. Assessing the effectiveness of endografts: clinical and experimental perspectives [J]. J Vasc Surg, 2007, 45(Suppl A): A123-130.
2
Karaolanis GI, Antonopoulos CN, Georgakarakos E, et al. Colour duplex and/or contrast-enhanced ultrasound compared with computed tomography angiography for endoleak detection after endovascular abdominal aortic aneurysm repair: a systematic review and meta-analysis [J]. J Clin Med, 2022, 11(13): 3628.
3
文晓蓉, 罗燕, 黄才蓉, 等. 高帧频超声造影在腹主动脉瘤EVAR术后Ⅱ型内漏评估中的应用 [J/OL]. 中华医学超声杂志(电子版), 2020, 17(9): 821-826.
4
宋海国, 陆燕飞, 谭臻, 等. 超声造影评估腹主动脉瘤腔内修复术前情况及术后内漏分型的临床价值 [J]. 临床超声医学杂志, 2024, 26(9): 757-761.
5
Piscaglia F, Nolsøe C, Dietrich CF, et al. The EFSUMB guidelines and recommendations on the clinical practice of contrast enhanced ultrasound (CEUS): update 2011 on non-hepatic applications [J]. Ultraschall Med, 2012, 33(1): 33-59.
6
Törnqvist P, Resch T. Endoleaks after EVAR and TEVAR: indications for treatment and techniques [J]. J Cardiovasc Surg (Torino), 2014, 55(2 Suppl 1): 105-114.
7
Keschenau PR, Alkassam H, Kotelis D, et al. Intraoperative contrast-enhanced ultrasound examination for endoleak detection after complex and infrarenal endovascular aortic repair [J]. J Vasc Surg, 2020, 71(4): 1200-1206.
8
Rübenthaler J, Zimmermann H, Armbruster M, et al. Contrast-enhanced ultrasound in the follow-up of endoleaks after endovascular aortic repair (EVAR) [J]. Ultraschall Med, 2017, 38(3): 244-264.
9
Rübenthaler J, Reiser M, Cantisani V, et al. The value of contrast-enhanced ultrasound (CEUS) using a high-end ultrasound system in the characterization of endoleaks after endovascular aortic repair (EVAR) [J]. Clin Hemorheol Microcirc, 2017, 66(4): 283-292.
10
马超, 张杰, 肖明, 等. 超声造影检测肾下型腹主动脉瘤腔内修复术后内漏的价值 [J]. 中华医学杂志, 2023, 103(27): 2106-2111.
11
王慧, 苏连花, 李梓伦, 等. 彩色多普勒超声在腹主动脉瘤腔内修复术后支架感染诊断中的价值 [J]. 中华医学杂志, 2022, 102(1): 67-72.
12
Yang X, Chen YX, Zhang B, et al. Contrast-enhanced ultrasound in detecting endoleaks with failed computed tomography angiography diagnosis after endovascular abdominal aortic aneurysm repair [J]. Chin Med J (Engl), 2015, 128(18): 2491-2497.
13
Tao S, Li L, Xiang Z, et al. Percutaneous contrast-enhanced ultrasound-guided transabdominal sac embolization is an effective technique for treating complicated type II endoleaks after endovascular aneurysm repair [J]. J Vasc Surg, 2022, 75(6): 1918-1925.
14
Cifuentes S, Mendes BC, Tabiei A, et al. Management of endoleaks after elective infrarenal aortic endovascular aneurysm repair: a review [J]. JAMA Surg, 2023, 158(9): 965-973.
15
Mazzaccaro D, Righini P, Giannetta M, et al. Factors associated with perioperative mortality after late open conversion for failed endovascular aortic repair [J]. J Cardiovasc Surg (Torino), 2023, 64(3): 297-303.
16
Ameli-Renani S, Pavlidis V, Morgan RA. Secondary Endoleak Management Following TEVAR and EVAR [J]. Cardiovasc Intervent Radiol, 2020, 43(12): 1839-1854.
17
Fanelli F, Cannavale A, Chisci E, et al. Direct percutaneous embolization of aneurysm sac: a safe and effective procedure to treat post-EVAR type II endoleaks [J]. Radiol Med, 2021, 126(2): 258-263.
No related articles found!
阅读次数
全文


摘要


AI


AI小编
你好!我是《中华医学电子期刊资源库》AI小编,有什么可以帮您的吗?