切换至 "中华医学电子期刊资源库"

中华医学超声杂志(电子版) ›› 2026, Vol. 23 ›› Issue (01) : 97 -99. doi: 10.3877/cma.j.issn.1672-6448.2026.01.015

病例报告

罕见子宫肌壁间异位葡萄胎妊娠一例
刘巧红1,3, 苏娜1, 王铭1, 游燕2, 杨萌1,()   
  1. 1 100730 中国医学科学院北京协和医学院 北京协和医院超声医学科(疑难危重症及罕见病国家重点实验室)
    2 100730 中国医学科学院北京协和医学院 北京协和医院病理科
    3 250013 济南,山东第一医科大学附属中心医院超声科
  • 收稿日期:2025-07-25 出版日期:2026-01-01
  • 通信作者: 杨萌
  • 基金资助:
    罕见病诊疗新技术研发及转化研究(2022-PUMCH-D-002); 国家自然科学基金委员会联合基金重点支持项目(U22A2023); 中国医学科学院院基科费-优秀人才配套(2024-RC320-02)

A rare case of intramural ectopic hydatidiform mole

Qiaohong Liu, Na Su, Ming Wang   

  • Received:2025-07-25 Published:2026-01-01
引用本文:

刘巧红, 苏娜, 王铭, 游燕, 杨萌. 罕见子宫肌壁间异位葡萄胎妊娠一例[J/OL]. 中华医学超声杂志(电子版), 2026, 23(01): 97-99.

Qiaohong Liu, Na Su, Ming Wang. A rare case of intramural ectopic hydatidiform mole[J/OL]. Chinese Journal of Medical Ultrasound (Electronic Edition), 2026, 23(01): 97-99.

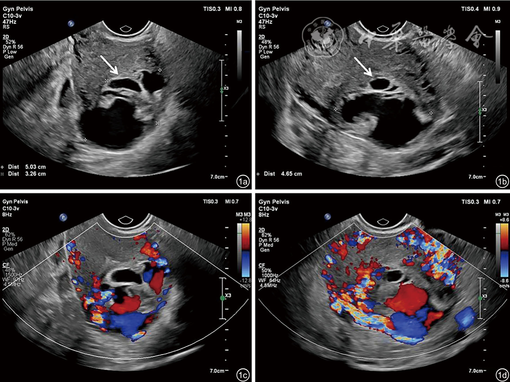
图1 肌壁间异位葡萄胎妊娠经阴道超声图像。图a、b示宫底略偏左肌层内见不均质回声区,内部见不规则无回声区及多个囊泡状无回声(箭头);图c、d示不规则无回声区内见丰富血流信号,囊泡状无回声内未见血流信号
图2 肌壁间异位葡萄胎妊娠盆腔增强MRI图像。图a为矢状位显示宫腔线清晰,结合带完整,未见异常信号;图b为增强轴位示宫底偏左肌层内混杂信号团块,血供丰富
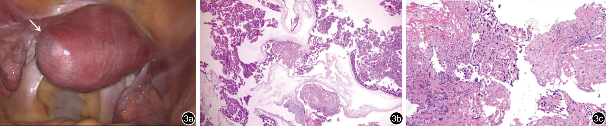
图3 肌壁间异位葡萄胎妊娠术中及病理图像。图a示腹腔镜术中见左侧宫底膨大、外突(箭头);图b病理图像示宫底肌层组织中见绒毛水肿(HE ×40);图c病理图像示滋养细胞增生(HE ×100)
1
Vagg D, Arsala L, Kathurusinghe S, et al. Intramural ectopic pregnancy following myomectomy[J]. Investig Med High Impact Case Rep, 2018, 6: 1-4.
2
Hlinecká K, Lisá Z, Richtárová A, et al. Intramyometrial pregnancy after hysteroscopic resection of retained products of conception:a case report[J]. Ceska Gynekol, 2022, 87(1): 35-39.
3
Washio K, Komatsu M, Tomimoto M, et al.Uterine rupture in intramural ectopic pregnancy:A case report[J]. Asian J Endosc Surg, 2023, 16(3): 510-513.
4
Gillespie AM, Lidbury EA, Tidy JA, et al. The clinical presentation, treatment, and outcome of patients diagnosed with possible ectopic molar gestation[J]. Int J Gynecol Cancer, 2004, 14(2): 366-369.
5
Fathaddin AA. Invasive hydatidiform mole mimicking ectopic pregnancy: a case report and literature analysis[J]. Am J Case Rep, 2025, 26: e946388.
6
Bhatia K, Bentick B. Intramural molar pregnancy:a case report[J]. J Reprod Med, 2004, 49(9): 689-692.
7
Soper JT. Gestational trophoblastic disease:current evaluation and management[J].Obstet Gynecol, 2021, 137(2): 355-370.
8
向阳, 万希润, 冯凤芝, 等. 滋养细胞肿瘤学[M]. 3版. 北京: 人民卫生出版社, 2010: 82-89.
9
李源, 王韦迪, 王丽娟, 等. 胎盘部位滋养细胞肿瘤诊治中国专家共识(2025年版)[J].中国实用妇科与产科杂志, 2025, 41(6): 633-638.
10
王丹, 王韦迪, 李源, 等. 上皮样滋养细胞肿瘤诊治中国专家共识(2025年版)[J]. 中国实用妇科与产科杂志, 2025, 41(4): 445-451.
11
Wang K, Jing F. Comparison of diagnostic efficacy among transvaginal sonography, transabdominal sonography, and 3.0 T magnetic resonance imaging in early cesarean scar pregnancy[J]. J Healthc Eng, 2022, 2022: 9714369.
12
Elias KM, Berkowitz RS, Horowitz NS. State-of-the-Art workup and initial management of newly diagnosed molar pregnancy and postmolar gestational trophoblastic neoplasia[J]. J Natl Compr Canc Netw, 2019, 17(11): 1396-1401.
13
Ng JS, Ilancheran A. The role of surgery in gestational trophoblastic disease: an overview[J]. Int J Gynecol Cancer, 2024, 34(3): 409-415.
14
陶祥, 陈婷婷, 周先荣.妊娠滋养细胞疾病的组织病理学和分子病理学研究现状[J].中国实用妇科与产科杂志, 2022, 38(7): 676-680.
15
Athanasiou A, Féki A, Fruscalzo A, et al. Ruptured ectopic pregnancy as complete hydatidiform mole: case report and review of the literature[J]. Front Surg, 2022, 9: 1036435.
16
Sebire NJ, Foskett M, Short D, et al. Shortened duration of human chorionic gonadotrophin surveillance following complete or partial hydatidiform mole: evidence for revised protocol of a UK regional trophoblastic disease unit[J]. BJOG, 2007, 114(6): 760-762.
No related articles found!
阅读次数
全文


摘要


AI


AI小编
你好!我是《中华医学电子期刊资源库》AI小编,有什么可以帮您的吗?