切换至 "中华医学电子期刊资源库"
病例报告

产气型肺炎克雷伯杆菌肝脓肿破裂患者的超声特征分析一例

  • 王晓庆 ,
  • 郑海宁 ,
  • 温朝阳 ,
展开
  • 102206 北京大学国际医院超声科

通信作者:

温朝阳,Email:

Copy editor: 吴春凤

收稿日期: 2022-02-22

  网络出版日期: 2023-06-26

版权

未经授权,不得转载、摘编本刊文章,不得使用本刊的版式设计,除非特别声明,本刊刊出的所有文章不代表中华医学会和本刊编委会的观点。本刊为电子期刊,以网刊形式出版。

Ultrasonographic features of ruptured liver abscess caused by gas-producing Klebsiella pneumoniae: a case report

  • Xiaoqing Wang ,
  • Haining Zheng ,
  • Chaoyang Wen ,
Expand

Received date: 2022-02-22

  Online published: 2023-06-26

Copyright

Copyright by Chinese Medical Association No content published by the journals of Chinese Medical Association may be reproduced or abridged without authorization. Please do not use or copy the layout and design of the journals without permission. All articles published represent the opinions of the authors, and do not reflect the official policy of the Chinese Medical Association or the Editorial Board, unless this is clearly specified.

本文引用格式

王晓庆 , 郑海宁 , 温朝阳 . 产气型肺炎克雷伯杆菌肝脓肿破裂患者的超声特征分析一例[J]. 中华医学超声杂志(电子版), 2023 , 20(07) : 781 -782 . DOI: 10.3877/cma.j.issn.1672-6448.2023.07.021

患者男性,68岁,2021年11月25日因“发热伴意识障碍1 d”收入北京大学国际医院急诊科。患者曾于2021年8月2日因外院提示胃食管结合部恶性肿瘤收治于北京大学国际医院胃肠外科。胃镜检查提示:胃食管结合部肿物,Bormmann分型为Ⅲ型。病理提示:腺癌,幽门螺杆菌(-)。增强CT检查提示:肝多发转移灶、腹腔多发淋巴结转移,临床分期:cT4N2M1,Ⅳ期,暂不具备手术指征。患者分别于8月、11月进行方案为SOX的新辅助化疗。既往2型糖尿病史10年余,血糖控制欠佳。无肝炎病史及其密切接触史。
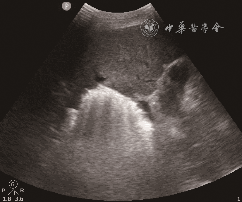
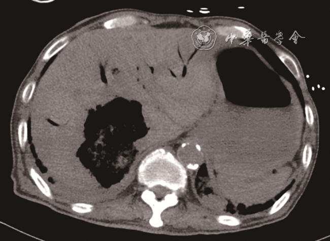
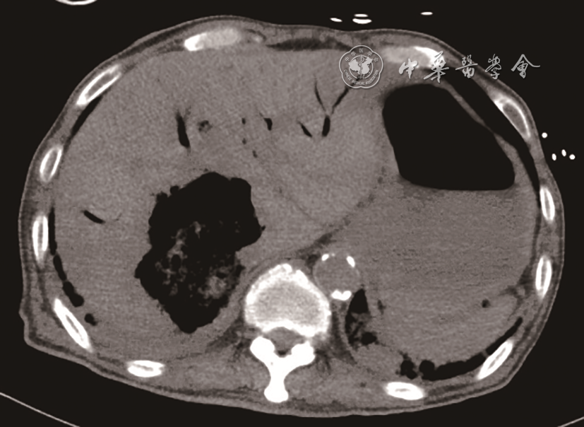
入急诊科时患者血压为60/29 mmHg(1 mmHg=0.133 kPa),心率为143次/min,末梢氧饱和度低,气管插管呼吸机辅助通气。11月26日急诊床旁超声检查提示:肝内多发高回声包块并肝静脉内气体样强回声漂动入下腔静脉、右心,肺动脉内可见大量气体样强回声,考虑产气型肝脓肿破裂(图12动态图1)。急诊平扫CT检查提示:肝多发类圆形混杂气体密度灶,肝内外胆管扩张、积气(图3)。当日血培养检出高黏性肺炎克雷伯菌(Klebsiella pneumoniae,KP),菌拉丝阳性,毒理强。血常规检查结果如下:快速C反应蛋白:243.18 mg/L(正常值范围≤10.00 mg/L);白细胞:15.93×109/L[正常值范围(3.50~9.50)×109/L];中性粒细胞百分比:93.5%(正常值范围40.0%~75.0%);血糖:38.7 mmol/L(参考值3.9~6.1 mmol/L);谷草转氨酶:247 U/L(参考值15~40 U/L);碱性磷酸酶:369 U/L(参考值45~125 U/L);谷氨酰基转移酶:349 U/L(参考值10~60 U/L);血肌酐:195 μmol/L(参考值59~104 μmol/L);尿酸:772 μmol/L(参考值208~428 μmol/L);尿常规:葡萄糖(++++)(正常值:阴性);血白介素6:2887.00 pg/ml(正常值范围0.00~7.00 pg/ml)。
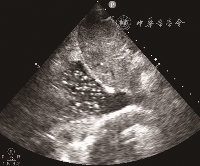
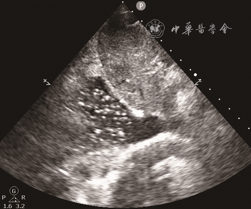
图1 超声声像图示肝右叶内高回声包块(肝脓肿)
图2 超声声像图示右心房内大量“气体样”强回声
图3 CT检查提示肝右叶混杂气体密度灶
动态图1 产气型肝脓肿破超声动态图
予以注射用亚胺培南西司他丁钠、利奈唑胺抗感染治疗,患者症状进行性加重,于2021年11月27日0点12分因脓毒症休克死亡。

讨论

肝脓肿是消化系统常见的严重疾病,而产气型肝脓肿相对少见,其中大部分发生于糖尿病患者1。Lee等2研究发现,KP可产生甲酸氢化酶,从而产酸、产气;而糖尿病患者由于其血糖浓度较高、免疫系统损害,为产气菌繁殖提供了适宜环境,因此,KP性肝脓肿更容易产气。化脓性肝脓肿破裂的发生率为1.2%~5.7%3, 4,尽管肝破裂并不常见,但脓肿破裂患者的住院时间、抗生素应用、介入治疗、手术治疗或多处感染的发生率高于非破裂患者5,死亡率增高。本病例致病菌为高黏性KP,引起了肝脓肿及播散性感染,最后因脓毒症休克死亡。
高黏性KP的主要成分之一荚膜多糖(即K抗原)6,它使高黏性KP具有抵抗吞噬细胞的抗吞噬能力、中性粒细胞的胞内杀菌能力以及人体血清中补体的能力;且有研究7证明高黏性KP的致死量比传统的KP要低,且患者出现了转移性感染的症状,这说明高黏性KP具有高毒力及侵袭性。高黏性KP是一种易产生耐药性的细菌,若用药不当或未做好相关感染控制,其将成为超级细菌,给临床治疗带来极大的困难,使患者预后不佳8
临床对于脓肿自发破裂的诊断相对困难。脓肿破裂情况下患者病情往往危重,不适宜行CT检查,床旁超声检查则成为首选。产气型肝脓肿的超声表现以脓腔内片状强回声或肝内胆管系统积气多见9。Pham等10报道1例肝脓肿破裂引起气腹及腹膜炎的病例,术前超声、CT检查均未确诊,后通过剖腹探查确诊。既往报道了1例肝脓肿破裂引起肝静脉积气的患者,超声能实时、快速地观察肝静脉内气体动态变化,这为肝脓肿破裂的诊断提供了有力证据,从而为临床治疗提供更好的指导11。超声可以观察到肝静脉内气泡的有节律的与心率相关的运动,可用于区分气泡是位于门静脉系统、肝内胆管还是位于肝静脉系统12。本病例中CT检查同样发现肝内积气,但将肝静脉内积气误认为了肝内胆管积气。本病例超声显示肝静脉内大量气泡有节律地向下腔静脉内漂动,气泡再通过下腔静脉漂动至右心、肺动脉。这种表现提示血行播散,或可为KP肝脓肿的肝外血行播散,如眼内炎、中枢神经系统感染、坏死性筋膜炎等的诊断提供线索。
KP引起的产气型肝脓肿破裂,患者往往病情危重,及时诊断非常重要,床旁超声检查具有方便、可实时动态观察、无放射性等优点,为该病的诊断提供了可行性。超声可以观察到肝静脉内气泡的动态运动,为肝脓肿破裂的诊断提供了有力证据。
1
Blas-Macedo J, Marquez-Ramirez MD. Gas-forming liver abscess in diabetic patient [J]. Rev Med Inst Mex Seguro Soc, 2008, 46(2): 205-210.

2
Lee HL, Lee HC, Guo HR, et al. Clinical significance and mechanism of gas formation of pyogenic liver abscess due to Klebsiella pneumoniae [J]. J Clin Microbiol, 2004, 42(6): 2783-2785.

3
Chen SC, Tsai SJ, Chen CH, et al. Predictors of mortality in patients with pyogenic liver abscess [J]. Neth J Med, 2008, 66(5): 196-203.

4
Lee CH, Leu HS, Wu TS, et al. Risk factors for spontaneous rupture of liver abscess caused by Klebsiella pneumoniae [J]. Diagn Microbiol Infect Dis, 2005, 52(2): 79-84.

5
Chou FF, Sheen-Chen SM, Lee TY. Rupture of pyogenic liver abscess [J]. Am J Gastroenterol, 1995, 90(5): 767-770.

6
Podschun R, Ullmann U. Klebsiella spp. as nosocomial pathogens: epidemiology, taxonomy, typing methods,and pathogenicity factors [J]. Clin Microbiol Rev, 1998, 11(4): 589-603.

7
Lin JC, Chang FY, Fung CP, et al. Do neutrophils play a role inestablishing liver abscesses and distant metastases caused by Klebsiella pneumoniae? [J]. PLoS One, 2010, 5(11): el5005.

8
李东冬, 沈定霞. 高毒力肺炎克雷伯菌的研究现状与展望 [J]. 中华传染病杂志, 2014, 32(10): 638-640.

9
季晶晶, 胡仁静, 陈迎祯, 等. 常见高毒力血清型肺炎克雷伯菌肝脓肿的超声特征和临床表现 [J]. 临床医药文献杂志, 2018, 5(101): 226-228.

10
Pham VT, Vu NS, Nguyen HN, et al. The liver abscess caused by Klebsiella pneumoniae ruptured into pneumoperitoneum [J]. BMC Surg, 2020, 20 (1), 228.

11
Zheng H, Gu C, Jiang S, et al. Sonographic findings of hepatic venous gas in association with spontaneous rupture of a Klebsiella pneumoniae liver abscess: a case report [J]. J Int Med Res, 2021, 49(3): 1-6.

12
Piton G, Winiszewski H, Capellier G, et al. Echography of hepatic venous gas. The rhythmic movement [J]. Am J Respir Crit Care Med, 2019, 200(6): e44.

文章导航

/


AI


AI小编
你好!我是《中华医学电子期刊资源库》AI小编,有什么可以帮您的吗?