切换至 "中华医学电子期刊资源库"
综述

胎儿眼球及眼附属结构异常的产前超声研究及进展

  • 罗丹丹 ,
  • 文华轩 ,
  • 陈曦 ,
  • 李胜利 ,
展开
  • 518028 深圳,南方医科大学附属深圳妇幼保健院超声科
  • 610045 成都,四川省妇幼保健院超声科

通信作者:

李胜利,Email:

Copy editor: 吴春凤

收稿日期: 2021-09-16

  网络出版日期: 2023-07-05

基金资助

国家重点研发计划(2022YFF0606301)

深圳市科技计划项目(JCYJ20210324130812035)

版权

未经授权,不得转载、摘编本刊文章,不得使用本刊的版式设计,除非特别声明,本刊刊出的所有文章不代表中华医学会和本刊编委会的观点。本刊为电子期刊,以网刊形式出版。

Prenatal ultrasound diagnosis of fetal eyeball and ocular adnexal abnormalities

  • Dandan Luo ,
  • Huaxuan Wen ,
  • Xi Chen
Expand

Received date: 2021-09-16

  Online published: 2023-07-05

Copyright

Copyright by Chinese Medical Association No content published by the journals of Chinese Medical Association may be reproduced or abridged without authorization. Please do not use or copy the layout and design of the journals without permission. All articles published represent the opinions of the authors, and do not reflect the official policy of the Chinese Medical Association or the Editorial Board, unless this is clearly specified.

本文引用格式

罗丹丹 , 文华轩 , 陈曦 , 李胜利 . 胎儿眼球及眼附属结构异常的产前超声研究及进展[J]. 中华医学超声杂志(电子版), 2023 , 20(03) : 343 -355 . DOI: 10.3877/cma.j.issn.1672-6448.2023.03.015

眼是视觉器官,接受外来光的刺激,借视觉通路传导至大脑的视觉中枢而引起视觉。随着超声成像技术和产前诊断技术的发展,利用超声检查可以观察和分辨更多细微的结构并发现更多的胎儿眼异常。本文对目前眼的产前超声观察和各类型眼异常的产前超声诊断进行总结和回顾。

一、眼的结构及解剖

眼由眼球和眼的附属结构组成。眼球位于眼眶内,由眼球壁及其内容物构成。眼球壁分为3层,即外膜、中膜和内膜。外膜也称纤维膜,对眼球有良好的保护作用,可分为角膜和巩膜两部分;中膜富有血管和色素,又称葡萄膜或血管膜,由后往前为脉络膜、睫状体和虹膜;内膜即视网膜,是一种高度分化的神经组织,也称神经性膜。眼球的内容物包括房水、晶状体和玻璃体,均是无血管分布的透明结构,与角膜共同组成透明的屈光物质。眼的附属结构包括眼睑、结膜、泪器、眼外肌、框筋膜、框脂体以及眼的血管神经等,主要对眼球起保护、支持和运动作用。

二、眼的胚胎发育

在胚胎第3周,眼的原基出现在前神经孔闭合之前,其两端发育一对视沟。第4周,当前端的神经孔闭合形成前脑时,视沟向外膨出形成左、右一对视泡。其视泡表面的外胚层在视泡诱导下增厚,形成晶状体板。视泡腔与脑室相通,视泡远端膨大,贴近其表面的外胚层,并内陷形成双层杯状结构,称为视杯。视泡近端变细,称为视柄,与前脑分成的间脑相连。与此同时,贴近眼泡的外胚层上皮变厚形成晶状体板,并逐渐凸入眼杯,形成晶状体泡(图1)。至此,眼的基本结构形成(约至胚胎第8周)。玻璃体由间充质所形成的纤维网和网眼空隙中的胶状物质共同形成。玻璃体动脉为眼动脉的终末支,供给玻璃体及晶状体胚胎发育过程的营养需要,到30周左右,此动、静脉远侧段消失,近段则发育成视网膜中央动、静脉。眼睑约在第8周开始形成,20周之前上、下眼睑暂时融合,20周之后上、下眼睑可分开1。双眼最初位于胚胎头部的两侧,成180°角,发育过程中逐渐向前移行,到出生时两眼眶角度减少到70°左右2
图1 眼的胚胎发育模式图

三、眼的超声观察

(一)早孕期眼的观察

早在妊娠9周左右,超声已经可以观察到胎儿眼球,11周可显示眼球内晶体,呈极小的圆形回声小结构。Timor-Tritsch等3表示11~12周时91%的胎儿面部的冠状切面可以观察到晶状体。Souka等4在妊娠11~14周期间,联合经腹和经阴道超声检查,在99.7%的胎儿中可看到面部的眼眶和晶状体。此外,11周和12周超声在检测面部结构(包括晶状体、轮廓、鼻子和嘴唇)的能力与13周和14周没有显著差异5。14周后,90%的胎儿可显示玻璃体动脉。
双眼球斜冠状切面(图2)是早孕期颅面部结构筛查的切面之一6,可显示双侧眼眶与眼球,因此对于眼部畸形的诊断有重要意义。该切面需重点关注眼球是否显示、大小及对称性等。该切面同时可以显示晶状体,为眼球前侧的、细线样环状强回声边界的无回声区。
图2 13周胎儿双眼球斜冠状切面超声图(图a)与模式图(图b)

注:NB为鼻骨;FP为上颌骨额突;CL为晶状体;E为眼球;EAR为耳;HP为上颌骨腭突

(二)中晚孕期眼的观察

虽然早至13周即可对胎儿眼异常进行诊断7,但大部分异常还是在妊娠中期和妊娠晚期被诊断出来。
与颜面部扫查类似,产前超声可对胎儿眼部进行矢状切面、冠状切面及横切面扫查,这三个互相垂直的正交平面相互补充,从不同侧面提供胎儿眼部的信息。随着成像和检查技术的进步,很多眼的细节可以被显示,如眼睑、睫毛、玻璃体动脉、晶状体、瞳孔。
1. 双眼球水平横切面:双眼球水平横切面(图3)是产前筛查眼的切面8,也是发现眼异常的线索切面。
图3 23周胎儿双眼球水平横切面超声图(图a)及模式图(图b),可显示鼻骨、上颌骨额突、双侧眼球及晶状体、骨性眼眶和眼球后间隙

注:NB为鼻骨;FP为上颌骨额突;CL为晶状体;E为眼球;MA为上颌骨

在本切面上,可以观察包括眼睑、骨性眼眶、眼球、鼻骨以及上颌骨额突等结构。骨性眼眶、上颌骨额突和鼻骨为强回声。眼球中可显示晶状体和玻璃体,两者内部均表现为均质无回声,晶状体边缘呈光滑的弧形细线样强回声,且双侧眼球大小相等、晶体大小相似。如果晶体内出现强回声或边缘呈灶状、不规则状回声增厚增强时,则应怀疑有先天性白内障的可能。当声束由面部前方入射时,利用高频探头检查可以观察更细节的眼球结构(图4),如与晶状体外缘相连的强回声睫状环,以及晶状体前方呈无回声的前房水和角膜。当声束由眼球颞侧入射时,中孕期及晚孕早期胎儿可显示连接晶状体后缘与眼球后壁的玻璃体动脉(图5)。
图4 32周胎儿局部放大的眼球超声图(图a)和模式图(图b)

注:CO为角膜;AC为前房;CI为睫状体;CL为晶状体:SC为巩膜;VB为玻璃体

图5 胎儿玻璃体动脉超声声像图。声束从胎儿眼球颞侧入射,可以显示胎儿晶状体(长箭头)和玻璃体动脉(短箭头)
双眼球水平横切面也是测量眼球和眼距的切面(图6)。眼球直径是一侧眼球左缘至右缘的最大距离;眼间距是两侧眼球内缘间的距离;眼外距是两侧眼球外缘间的距离。眼相关径线的测量对于诊断小眼、眼距过近和眼距过远具有一定意义。许多学者发表了正常胎儿眼测量的参考值9, 10, 11,可以用于眼的评估,包括眼内、眼间和眼球直径的正常值,以及眼眶的周长、面积和前后径的正常值等。
图6 胎儿眼距、眼内距和眼外距的测量方法

注:OD为眼距;IOD为眼内距;BOD为眼外距

2. 冠状切面:
2.1 面额冠状切面:
面额冠状切面是产前筛查中可能获取的切面。在该切面上可观察的结构主要有前额、面颊、鼻后三角、下颌等。在眼的观察中,该切面可以观察到眼球前方的眼睑和眼裂(图7)。
图7 胎儿面额冠状切面二维超声图
2.2 眼球一系列冠状切面:
在显示面额冠状切面后,将声束平面继续缓慢向后平移,可以观察到一系列的胎儿眼球冠状切面。从前往后可观察眼睑及眼裂、瞳孔、睫状环、晶状体环和玻璃体动脉(部分孕周)(图8)。
图8 胎儿眼冠状切面超声声像图。图a为颞侧的眼球横切面,彩色线条为b~f切面的对应的切面位置,图b~f分别为眼睑和眼裂切面、瞳孔切面、睫状环切面、晶状体切面和玻璃体及玻璃体动脉切面,箭头所指分别为眼睑和眼裂、瞳孔、睫状环、晶状体和玻璃体动脉
3. 颜面部旁正中矢状切面:旁正中矢状切面可观察的胎儿解剖结构主要有额骨、眼眶、眼球、晶状体、颧骨、面颊、上颌骨、下颌骨等(图9)。颜面部旁正中矢状切面亦可以观察到眼球(包括晶状体、玻璃体等结构)和眼睑。
图9 颜面部旁正中矢状切面超声声像图

注:FB为额骨;E为眼;CL为晶状体;MA为上颌骨;N为鼻;UL为上唇;LL为下唇;IM为下颌骨

4. 视交叉横切面:视交叉结构是另一个可产前观察到的眼附属结构。在视交叉横切面12图10)中,视交叉结构为“X”形的中等回声结构,“X”前部分为双侧视神经,中间为视交叉,后部分为双侧视束。当怀疑视隔发育不良时,可以补充该切面观察上述结构及其发育。
图10 胎儿视交叉横切面超声声像图(图a)及示意图(图b)

注:ON为视神经;OC为视交叉;OT为视束

5. 三维成像:颜面部三维表面重建图像是评估胎儿颜面部异常的主要辅助手段13, 14。因此,如存在眼异常,可以通过三维成像的方式更加直观地显示眼和颜面部异常。也有学者通过三维容积进行胎儿眼球测量,从而对眼球大小进行评估15

四、眼异常的产前超声诊断

产前超声可以发现多种眼异常,如眼距过近、眼距过远、无眼、小眼、白内障、泪囊膨出等。眼异常可以单独出现,也可以是某些疾病或综合征的眼部表现。

(一)眼距异常

眼距异常包括眼距过近与眼距过远。
1. 眼距过近(Hypotelorism):眼距过近是两个眼眶相距很近。严重时两个眼球可以贴靠在一起,如贴靠在一起而仅有一眼眶时为独眼畸形。眼距过近的主要原因是前脑无裂畸形(图11),其他综合征很少有眼距过近表现。Mechel-Gruber综合征偶有此特征,某些染色体畸形、Williams综合征、小头等也可能有眼距过近表现。
图11 无叶全前脑胎儿超声声像图显示眼距过近。图a:双眼横切面示眼距过近,眼内距(0.99 cm)明显小于眼距;图b:丘脑水平横切面仅显示一个原始脑室,大脑镰及透明隔腔消失,丘脑不完全融合
影像学上眼距过近的诊断标准为眼内距小于正常孕周参考值的第5百分位。一般情况下,眼内径大约等于眼球直径,因此在双眼球水平横切面上,观察到眼内距小于眼球直径时,应怀疑眼距过近可能。发现眼距过近时,应仔细检查胎儿颜面部其他结构及颅内结构,如有无丘脑融合、单一原始脑室等,以排查前脑无裂畸形。胎儿颜面部三维超声检查在发现胎儿颜面部及眼畸形方面有一定价值,是二维超声的有益补充方法。
2. 眼距过远:眼距过远是指两眼眶之间距离异常增大。相比眼距过近,眼距过远更少见。其原因是位于胚胎头部两侧的双眼向额部移行的过程发生障碍,包括原发性眼部移行受阻和继发性眼部移行受阻,以后者更常见。前者可见于中部面裂综合征(额鼻发育不良);后者多见于额部脑或脑膜膨出,也可见于颅缝早闭1
额部脑或脑膜膨出(图12)是眼距过远最常见的原因。是脑组织或脑膜从筛骨、蝶骨或额部缺损处膨出,膨出的肿物机械地阻止眼的向前移行过程,从而导致眼距增宽。中部面裂综合征又名额鼻发育不良畸形,其主要特征有眼距过远,额骨在前方裂开,鼻在中线处裂开,两鼻孔间距明显增大,可伴有中央唇腭裂。轻者仅有眼距过远、鼻根部变宽而上唇正常;最严重者可表现为前额部骨骼缺如、双眼位于头的两侧、两鼻孔完全分离且间距明显增大、前颌突及唇缘不融合、鼻与口共同形成一个大开口。
图12 额部脑膜脑膨出胎儿超声声像图显示眼内距及眼外距明显增宽
眼距过远以眼距超过正常参考值的第95百分位数为判断标准。但利用眼内距诊断的敏感度更高,比眼外距更具有诊断价值。发现眼距增宽时,应注意观察额部是否存在包块、是否有颅骨缺损、颅缝早闭等骨骼异常,以及颜面部其他异常,如分裂鼻、鼻畸形、唇腭裂等。当超声在前额部可检出囊性或囊实性包块,包块内容物为脑膜、脑脊液或脑组织时,应考虑前额部的脑或脑膜膨出(图12),实时超声下可追踪观察包块内容物与颅内结构的相互关系,同时可显示相应部位颅骨缺损。当超声检出眼距过远伴有唇、腭裂时,应高度怀疑中部面裂综合征,此时应仔细辨认唇裂的类型、鼻的形态、鼻孔的有无及鼻孔间距离。

(二)眼球异常

眼球异常包括眼球数目异常、眼球大小异常以及眼球结构异常。

1. 眼球数目和大小异常

1.1 独眼畸形

独眼畸形表现为单眼眶、单眼球或极度眼距过近,有不同程度的眼部融合,完全独眼畸形表现为单一角膜、瞳孔、晶体,而没有任何成双的证据,多数病例表现为单一眼眶内两个眼球的不同程度融合的独眼畸形(图13)。独眼畸形最常伴发于前脑无裂畸形中,可合并其他颜面部异常,如外鼻缺如或喙鼻、人中缺如、耳融合、口缺如或小口等。
图13 无叶全前脑合并独眼畸形图像。25周胎儿,产前超声检查双眼冠状切面(图a)仅见单眼眶,眶内可见两个眼球紧贴。产后高频超声检查双眼横切面(图b)证实产前超声检查结果。产后高频超声检查面部正中矢状切面(图c)示鼻呈长条形位于眼眶上方。标本面部正面观(图d)显示独眼、喙鼻畸形,无人中

注:B为大脑;E为眼球;N为鼻

产前超声颜面部检查仅可见一个眼眶时应考虑为独眼畸形。发现独眼畸形时,应观察颅内结构排查前脑无裂畸形的可能,并观察颜面部其他结构如鼻、耳、口等是否伴有异常。

1.2 小眼

小眼畸形的主要特征是眼球及眼眶明显缩小,眼裂也小,可单眼受累,也可双眼受累。轻者受累眼球结构可正常,晶体存在。重者眼球极小,虹膜缺失,先天性白内障,玻璃体纤维增生等,可伴有其他器官或系统畸形。严重小眼畸形时,临床很难与无眼畸形相区别。小眼畸形常伴有视力损害和失明的可能,3.2%~11.2%的盲童患有小眼症16
早在1985年,Feldman等17首次报道了产前超声诊断的小眼畸形。超声测量眼球直径低于正常孕周预测值的第5百分位数时,应怀疑有小眼畸形的可能,明显的、严重的小眼畸形在双眼横切面上有肯定的超声表现,但轻度小眼畸形产前超声诊断几乎不可能。单侧小眼畸形时,表现为病变侧眼眶及眼球明显小于健侧,在双眼横切面上明显不对称(图14);双侧小眼畸形时表现为双侧眼眶及眼球明显缩小,此时可有眼内距增大,眼距减小,眼内距、眼距不再成比例,眼内距明显大于眼距。小眼球内可有异常回声,透声差。在中孕早期胎儿检查中发现小眼畸形是可能的;然而,妊娠中期眼球直径正常时并不代表该胎儿不是小眼畸形,因为也有可能在妊娠晚期发展为小眼畸形18
图14 一侧小眼畸形患儿产前超声图像及产后CT图像。双眼横切面(图a)示右侧眼球明显小于左侧,左侧大小为1.5 cm×1.4 cm,右侧大小仅为1.0 cm×0.8 cm,右侧眼球内可见不均质回声。产后CT检查(图b)显示右侧小眼畸形

1.3 无眼畸形

无眼畸形主要特征是眼球缺如,眼眶缩小或缺如,眼睑闭锁,眼区下陷。主要因胚胎期眼泡形成障碍所致。除眼球缺如外,晶体、视神经、视交叉及视束均缺如。可单侧或双侧发生。与小眼畸形相似,可伴发于许多畸形综合征中。
产前超声主要表现为双眼水平横切面上一侧或双侧眼眶及眼球图像不能显示(图15),在相当于眼眶部位仅显示一浅凹状弧形强回声。当超声能显示一小的眼眶时,应仔细检查有无晶体回声,如果晶体缺如,则多为无眼畸形;如果能显示晶体,则多为小眼畸形。
图15 双侧无眼畸形,双肺缺如,心脏复杂畸形等多发畸形。产前超声检查双眼水平横切面(图a)不能显示双侧眼眶及眼球图像(箭头所示)。双眼水平冠状切面(图b)显示双眼眶部位无眼球结构回声(箭头所示)。产后高频超声检查双眼水平横切面(图c)亦未见双侧眼眶、双侧玻璃体、双侧晶状体图像(箭头所示)。标本正面观(图d)示双侧眼睑粘合,未见眼裂
需要注意的是,妊娠早期胎儿眼眶可显示并不能除外无眼畸形,尤其有无眼畸形家族史者,更应在以后的孕周内观察胎儿眼的生长发育。检出无眼畸形时,应仔细检查胎儿有无其他畸形,如耳畸形、下颌畸形等。

1.4 先天性青光眼

先天性青光眼是一种罕见疾病,严重危害患儿视力和视觉发育,可导致视力丧失和视野缺损,是儿童致盲的主要疾病之一。产前报道病例仅有几例19, 20, 21, 22。其特征是在出生后1年内发生眼压升高,眼球胀大,进而导致视神经损伤,最终导致视力下降。可单侧或双侧发病,70%~80%为双侧。其病因是在胎儿发育过程中,前房角组织发育异常,小梁网-巩膜静脉窦系统房水引流功能异常,房水外流受阻造成的。
先天性青光眼的诊断主要靠出生后的症状、眼压及眼底镜检查确诊,因此产前诊断困难。但产前超声检测到的双侧胎儿巨眼与先天性青光眼有关,产前超声发现单侧或双侧眼球增大,左右径(横径)及前后径(矢状径)均大于同孕期眼球最大测量值,整个眼球呈现巨大的无回声区时应考虑本病可能。眼球过大时可能导致眼睑无法完全闭合,因此超声长时间动态观察胎儿一直呈睁眼状态19。产前超声易发现单侧眼球先天性青光眼,而双侧眼球受累时很容易漏诊。
2. 眼球结构异常:产前超声可观察到的眼球结构异常包括先天性白内障、永存原始玻璃体增生症(persistent hyperplastic primary vitreous,PHPV)、晶状体缺如、眼球肿瘤(如视网膜母细胞瘤)等。

2.1 先天性白内障

先天性白内障是一种严重的晶状体发育异常性疾病,主要特征为晶状体浑浊,其发生率为1/10 000~1/5000。可以是单侧也可以是双侧发病,30%的病例为单侧发病,50%的双侧先天性白内障为遗传性23。该病占活产婴儿眼畸形的30%左右。22%~30%的盲童是由于先天性白内障致盲,占失明原因的第2位。
产前超声在13周左右可以观察到晶状体,正常晶状体表现为眼眶内的环状强回声,中央为低回声。当晶状体不透明时,应考虑先天性白内障。产前超声对先天性白内障的超声特征分为3种类型24图16):(1)晶状体完全呈高回声(图17);(2)晶状体内出现高回声区,呈点状或簇状;(3)晶状体内表现为环状高回声,呈“双环征”,外侧强回声环为晶体边界回声,内侧强回声环为白内障边界回声。其他超声特征包括晶状体边缘回声明显,不规则增厚、增强;部分先天性白内障胎儿玻璃体动脉不能显示;部分轻或中度先天性白内障在产前超声图像上可无明显表现,出生后才能表现出来。小眼畸形是白内障最常合并的畸形25,因此发现小眼畸形时,应观察晶状体排查白内障可能。
图16 胎儿正常晶体及先天性白内障3种超声表现模式图。图a:正常胎儿晶状体呈透明无回声;图b:晶状体呈弥漫性强回声;图c:晶状体内表现为环状高回声;图d:晶状体内出现高回声区,呈点状或簇状
图17 孕22+2周胎儿产前超声双眼横切面(图a)及晶状体冠状切面(图b)显示双侧晶状体完全呈高回声(箭头)
尽管产前超声可提示先天性白内障,但没有上述超声特征时不能除外该病,尤其对本病高危孕妇不能做出排除本病的诊断,产前声像图分型与出生后的分型无必然相关性。
又称持续性胎儿血管化,是原发性玻璃体和玻璃体动脉退化不全所致,为原始玻璃体纤维和血管残留物,存在于视神经表面与晶状体之间26。多表现为视神经乳头部明显的纤维胶质增殖,合并原始玻璃体增生时,可牵引视网膜,最终导致视网膜脱离。单眼发生率90%,多为散发性,但也可以是常染色体显性或隐性遗传,也可见于一些遗传性疾病,如Walker-Warburg综合征和Norrie病。该异常通常对视力有严重影响。
产前超声特征为晶状体后缘至眼眶后壁之间形状不规则的高回声带状回声或团块样回声(图18),为持续存在的玻璃体动脉和脱离的视网膜,常伴有白内障和小眼畸形27。彩色多普勒血流成像表现为病变内可见与视网膜中央动、静脉相延续的血流信号。需要注意的是,部分病例可能仅在妊娠晚期出现,而妊娠中期未发现异常。与该病相关的Walker-Warburg综合征是一种常染色体隐性遗传综合征,主要表现为先天性肌营养不良、脑积水、小脑蚓部发育不全、小脑半球发育不全、异常旋转、胼胝体缺失或发育不全、脑膨出,小眼球畸形及原发性玻璃体持续增生。因此,在出现脑积水、脑膨出和后颅窝异常的情况下,对胎儿眼部进行详细的超声评估是必不可少的。PHPV需要与眼球内的肿瘤如视网膜母细胞瘤相鉴别。
图18 永存原始玻璃体增生症胎儿超声声像图。33周胎儿,右眼眼球较左侧小,横切面(图a)和旁矢状切面(图b)玻璃体内见高回声团,连接晶状体与眼球后壁

2.3 先天性晶状体缺如

即晶状体缺失,是一种非常罕见的异常,患者伴有视力障碍,视物不清。其原因多为:胚胎早期,由于感染、化学、物理及内分泌等因素的影响,致胎儿晶状体发育异常,导致根本无晶状体或仅残留晶状体囊膜28。此类患者视力受损,视物模糊。先天性无晶状体通常与其他继发性眼部异常有关,如眼前房发育不全或发育不良、小瞳孔症、虹膜缺失、视网膜发育不良等29
产前超声多角度观察未发现晶状体时,应考虑本病可能,本病可合并眼球异常如小眼或无眼(图19)。当怀疑无晶状体时,建议进行感染指标检测(如风疹感染)、遗传检测和咨询(1p33染色体上的FOXE3基因,SOX2PAX630,并咨询眼科专家。
图19 23周晶状体缺如胎儿超声声像图。胎儿双侧眼球小,多角度观察晶状体未显示

2.4 视网膜母细胞瘤

是一种起源于视网膜胚胎性核层细胞的恶性肿瘤,婴幼儿占绝大多数,是儿童眼球内最常见的恶性肿瘤。可单眼或双眼,双眼发病率约占1/4。视网膜母细胞瘤是幼儿“白瞳”最常见的原因26。该病确切病因不明,6%为常染色体显性遗传,94%为散发性26。该病如不能获得及时有效的治疗,死亡率及致残率均较高。
产前报道的视网膜母细胞瘤病例较少,多为病案报道,其特征为眼球内由视网膜凸向玻璃体的高回声肿块(图20),瘤体较大时,可达眼眶甚至影响一侧颜面部。产后超声中31,肿瘤回声特点主要为视网膜软组织回声肿块,当肿块内有坏死或出血时,其内回声不均匀,约80%的肿瘤内可见“钙斑”伴声影,或可见继发视网膜脱离。彩色多普勒超声成像表现为肿瘤内探及与视网膜中央动、静脉相延续的血流信号,频谱特点为与视网膜中央动、静脉相同的动、静脉伴行的血流频谱,高速高阻。但需要注意的是,产前超声诊断视网膜母细胞瘤具有一定的局限性32,如果产前没有发现包块,不代表没有肿块的可能33
图20 23周胎儿视网膜母细胞瘤超声图。双眼球横切面(图a)及颜面部旁矢状切面(图b)显示右侧眼球内混合强回声,呈分叶状,右侧眼球较左侧眼球稍小
眼球肿瘤多需要与PHPV相鉴别,当玻璃体内可见带状等、强回声,呈圆锥形或漏斗形,其尖端连于视盘,向晶状体后或视盘颞侧周边玻璃体延伸并紧密相连,且彩色多普勒超声成像表现为病变内可见与视网膜中央动、静脉相延续的血流信号时,多为PHPV。
3. 眼附属结构异常:除了眼球异常,产前超声还可以发现一些眼附属结构异常,这些异常可以是附属结构单独异常,也可以是全身性异常或综合征的眼部分表现。产前可以检出的异常包括泪囊膨出、不规则唇裂导致的眼睑异常、鱼鳞病导致的眼睑外翻、眼睑肿物(如血管瘤)、视隔发育不良导致的视交叉或视神经异常。

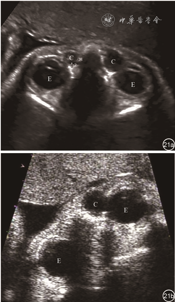
3.1 泪囊膨出

泪囊膨出是由泪道或鼻泪管堵塞(如鼻泪管远端延迟管化和颅底罕见的瓣膜机制影响)引起的一个或多个面部囊肿34。可单侧可双侧,多位于鼻和眼角附近,很少大于10 mm35,仅在妊娠后半期出现。泪囊膨出可能是某些与面部异常相关综合征的一部分,但通常是孤立性的。
双眼球水平横切面上发现眼眶前内侧囊性暗区应考虑本异常可能(图21),部分病例可在胎儿期随着鼻泪管的管化而消失。一项对75例泪囊膨出病例的研究显示,可随访到的出生胎儿中,90.6%(58/64)的囊肿在宫内自行缓解或消失,出生后确诊的病例均未经手术治疗自行缓解35。泪囊膨出需要与颜面部其他包块如血管瘤、淋巴管瘤、横纹肌瘤相鉴别,但很容易通过回声特点、大小、位置、彩色多普勒成像等做出鉴别。
图21 单侧和双侧泪囊膨出胎儿产前超声图像。孕30周胎儿双眼球水平横切面双眼球(图a)及一侧眼球(图b)内侧囊性暗区

注:C为泪囊膨出囊性暗区;E为眼球

3.2 胎儿鱼鳞病

胎儿鱼鳞病又名丑角样鱼鳞病,是一种罕见且极其严重的先天性疾病,累及子宫内胎儿的皮肤,形成厚的角质性、盔甲样斑块,覆盖在整个皮肤表面,斑块牵扯深层组织,在皮肤上产生龟裂性的伤痕。该病多伴有严重的颜面部异常,因此被称为丑角样鱼鳞病。罹患此病的胎儿常在宫内死亡或出生后不久即死亡,难以存活。
超声发现双眼前方异常低回声包块(即睑外翻)常为胎儿鱼鳞病产前诊断最具有特征性的线索。眼睑外翻时,超声声像图示胎儿双侧眼球前方显示基本对称向前突出的团状软组织低回声(图22),与后方晶状体和玻璃体无关,与眼球运动无关;正常上下眼睑闭合线消失,较大胎龄胎儿不能观察到眨眼或睁眼动作。该类胎儿的其他异常包括胎儿颜面部异常如唇外翻(大嘴)、鼻扁平,耳朵不发育或缺如;肢体异常如肢体固定,活动受限,手指足趾短,肢体姿势异常;皮肤异常如皮肤回声增强增厚或连续性中断;以及其他征象如羊水内强回声36。其中唇外翻和睑外翻是产前检出率最高的特征。该病为常染色体隐性遗传,对于有家族史或考虑该病的患儿,应建议进行与鱼鳞病相关候选基因(如ABCA12)的遗传学检查。
图22 鱼鳞病胎儿产前超声图。图a:胎儿颜面部冠状切面,可见双侧眼球前方向前突出的团状软组织低回声,双侧基本对称,并向羊膜腔突出,为眼睑外翻;图b:胎儿唇部冠状切面声像图示嘴唇增大,增厚,呈外翻状,可见舌外露;图c:胎儿背部矢状切面显示皮肤连续性中断

3.3 不规则唇裂

与一般唇裂不同,该类唇裂面部及唇严重变形,裂口形态不规则,形状怪异,可发生在唇的任何部位,部分唇裂可累及眼睑或眼裂。可伴其他异常,包括头部、躯干、肢体等部位的明显异常,如不规则脑或脑膜膨出、腹壁缺损、缺肢、缺指(趾)等。常有羊水过少表现。多与羊膜带综合征有关,常预后不良。
产前超声多表现为颜面部唇部的连续性中断,中断处为无回声带,可延伸至其他部位。如累及眼睑、可观察到由唇部至眼睑的无回声带。三维表面成像可以与二维超声联合应用,作为二维超声的有益补充。

3.4 眼睑血管瘤

血管瘤是人类最常见的出生缺陷,多为良性,可发生在身体的许多部位。面部及颈部血管瘤可发生于皮肤、颊部、颅骨表面的软组织及颈部软组织,许多血管瘤不能为产前超声所发现,产前检出的血管瘤常为海绵状血管瘤,包含有表皮血管异常,瘤体可达皮肤深层或皮下组织,瘤内有明显扩张的静脉窦。
眼睑血管瘤和其他血管瘤类似,可表现为混合性或均质性实质肿块,多数血管瘤表现为均质性实质性肿块回声,回声特征与胎盘回声相类似,部分肿瘤内有囊性无回声区,此即为扩张的静脉窦。彩色多普勒可探及其内的血流信号。如果肿瘤内有较大囊性无回声区,彩色多普勒有可能检出因动静脉瘘形成的高速低阻血流信号,瘘口处出现五彩血流。即便是囊性血管瘤,总能显示某一区域类似胎盘回声的实质性区域。
该病总体预后良好,血管瘤可在整个妊娠过程中大小维持不变,也可以逐渐增大。肿瘤一般不破坏或压迫邻近组织器官。如果肿瘤较大,彩色多普勒成像检出明显动静脉瘘时,可引起心力衰竭而死亡,应进行严密产前及新生儿监测。

3.5 视隔发育不良

视隔发育不良是一种罕见的先天性中枢神经系统疾病,又称De Morsier综合征,活产儿发病率约为1∶10 000。主要包括视觉通路异常、脑中线结构缺陷以及垂体内分泌激素异常37,满足2条或2条以上特征时可作出诊断。视隔发育不良总体预后差,可出现视力低下或者失明、眼球震颤;癫痫、脑瘫、运动功能障碍。如果伴随垂体激素异常,常表现为下丘脑-垂体轴分泌的相关激素缺乏,如生长激素、肾上腺皮质激素和甲状腺激素等,患者常有身材矮小、骨龄落后,中枢性甲状腺功能减退等。
由于内分泌异常产前无法观察,产前超声在发现视觉通路异常,如眼球异常、脑中线缺陷、透明隔发育不良、胼胝体发育不良时,应注意排查本病的可能(图23)。其他与本病相关的异常包括脑裂畸形、脑室扩张、神经元迁移障碍、蛛网膜囊肿、脑干异常等。另外,可以观察视交叉结构判断视神经、视束的发育状况38,从而发现更多的诊断线索和依据。
图23 视隔发育不良胎儿产前超声声像图。27周胎儿,侧脑室水平横切面(图a)显示侧脑室增宽约1.16 cm;颅脑冠状切面(图b)显示透明隔腔缺失,侧脑室前角融合;侧脑室内壁(图c)不光滑,可见小点状突起(箭头),提示可能存在灰质异位;双眼球水平横切面(图d)显示右侧眼球较小;视交叉横切面(图e)测量显示视神经及视束直径小于正常。经全基因组

检查提示该胎儿存在SOX2基因缺失,该基因异常相关的综合征为视神经发育不全和中枢神经系统异常,或称为小眼综合征

4. 眼眶异常:眼眶异常主要是眼眶占位,目前产前报道过的包括眼眶肿瘤、眼眶囊肿和眼眶内脑组织异位等。
产前诊断的眼眶畸胎瘤病例少见。该异常主要表现为眼眶内部或周围的囊性或实质性肿块回声,与其他部位的畸胎瘤类似,以实质性肿块回声为主,肿块内可有钙化性强回声伴后方声影(图24),也可表现为囊性混合性回声。部分病例彩色多普勒超声可见肿块内血流信号。该病多为单侧,肿物较大时多伴有突眼,但肿块较小时可能突眼不明显39。当包块比较小时,可能首先发现的特征为双眼球不对称,此时,眼眶后间隙的筛查对鉴别眼眶畸胎瘤和小眼畸形是非常重要的。面部及颈部畸胎瘤大多为良性肿瘤,其预后取决于肿瘤的大小、所在部位以及是否伴有其他畸形。肿瘤较小且能为外科手术完整切除者,其预后良好;肿瘤较大者,预后不良。恶性畸胎瘤预后不良。
图24 眼眶成熟畸胎瘤产前超声图像。24周胎儿,左眼球明显小于右眼球(图a),眼球后方的肿物内可见血流信号,高频超声(图b)可显示眼球后方眼眶间隙内的带状高回声,产后病理证实为眼眶畸胎瘤
根据病例报道40,先天性眼眶囊肿表现为眼眶内囊性暗区,壁薄光滑,可伴有眼球外突,周围组织未受侵犯。单纯上皮囊肿时,囊壁为复层鳞状上皮细胞及表皮立方形细胞,不伴有骨骼、毛发及腺体等组织。该患儿通过手术剥离了囊肿,保留了眼球,眼球外形及运动功能基本恢复。
Hingorani等41报道了1例眼眶内脑组织异位的病例,该胎儿产前超声发现左眼眶内均匀的低回声肿块,从眼球后方向下延伸至下眼睑,多普勒检查血流信号不丰富,眼球轻微外突。产后组织学检查显示该实性病为散在分布于星形胶质组织的成熟神经元组成,伴有钙化灶。
包块位置、内部回声、多普勒超声、三维超声以及相关的结构异常可以帮助眼眶占位的鉴别。但当肿块较大时,产前超声诊断及鉴别是很困难的42,需要结合产后组织病理检查才能准确地作出诊断。产前超声能早期发现及监测眼眶肿物,可对产前咨询及决策的制定乃至产后的多学科处理提供更多的信息。
本文综述了眼球及其附属结构的解剖、胚胎发育、产前超声诊断切面及观察的结构、可诊断的各类眼异常等方面的研究及进展。妊娠早期筛查时即可观察到眼球,但眼球异常多在妊娠中晚期作出诊断。眼异常的种类繁多,产前超声应重视对眼及其附属结构的观察,双眼水平横切面是常规筛查眼球异常切面,在发现眼异常时,可结合其他二维切面甚至三维成像仔细观察。眼异常可伴有其他器官或系统畸形,完整诊断有助于临床预后的评估,指导胎儿的随访和管理策略的制定。
1
李胜利, 罗国阳. 胎儿畸形产前超声诊断学 [M]. 北京: 科学出版社, 2017: 721-722

2
Dollfus H, Verloes A. Dysmorphology and the orbital region: a practical clinical approach [J]. Surv Ophthalmol, 2004, 49(6): 547-561.

3
Timor-Tritsch IE, Peisner DB, Raju S. Sonoembryology: an organ-oriented approach using a high-frequency vaginal probe [J]. J Clin Ultrasound, 1990, 18(4): 286-298.

4
Souka AP, Pilalis A, Kavalakis Y, et al. Assessment of fetal anatomy at the 11-14-week ultrasound examination [J]. Ultrasound Obstet Gynecol, 2004, 24(7): 730-734.

5
Timor-Tritsch IE, Bashiri A, Monteagudo A, et al. Qualified and trained sonographers in the US can perform early fetal anatomy scans between 11 and 14 weeks [J]. Am J Obstet Gynecol, 2004, 191(4): 1247-1252.

6
李胜利, 文华轩, 罗丹丹. 孕11~13~(+6)周胎儿颅面部扫查新方法:五切面法筛查与诊断研究 [J/CD]. 中华医学超声杂志(电子版), 2017, 14(8): 586-597.

7
Ondeck CL, Pretorius D, Mccaulley J, et al. Ultrasonographic prenatal imaging of fetal ocular and orbital abnormalities [J]. Surv Ophthalmol, 2018, 63(6): 745-753.

8
李胜利, 邓学东. 产前超声检查指南(2012) [J/CD]. 中华医学超声杂志(电子版), 2012, 9(7): 574-580.

9
Jeanty P, Dramaix-Wilmet M, Van Gansbeke D, et al. Fetal ocular biometry by ultrasound [J]. Radiology, 1982, 143(2): 513-516.

10
Goldstein I, Tamir A, Zimmer EZ, et al. Growth of the fetal orbit and lens in normal pregnancies [J]. Ultrasound Obstet Gynecol, 1998, 12(3): 175-179.

11
Achiron R, Kreiser D, Achiron A. Axial growth of the fetal eye and evaluation of the hyaloid artery: in utero ultrasonographic study [J]. Prenat Diagn, 2000, 20(11): 894-899.

12
张葵. 中晚孕期胎儿视交叉结构的产前超声研究 [D]. 广州: 南方医科大学, 2016.

13
De Jong-Pleij EA, Ribbert LS, Tromp E, et al. Three-dimensional multiplanar ultrasound is a valuable tool in the study of the fetal profile in the second trimester of pregnancy [J]. Ultrasound Obstet Gynecol, 2010, 35(2): 195-200.

14
Tutschek B, Blaas HK, Abramowicz J, et al. Three-dimensional ultrasound imaging of the fetal skull and face [J]. Ultrasound Obstet Gynecol, 2017, 50(1): 7-16.

15
Odeh M, Feldman Y, Degani S, et al. Fetal eyeball volume: relationship to gestational age and biparietal diameter [J]. Prenat Diagn, 2009, 29(8): 749-752.

16
Verma AS, Fitzpatrick DR. Anophthalmia and microphthalmia [J]. Orphanet J Rare Dis, 2007, 2: 47.

17
Feldman E, Shalev E, Weiner E, et al. Microphthalmia--prenatal ultrasonic diagnosis: a case report [J]. Prenat Diagn, 1985, 5(3): 205-207.

18
Blazer S, Zimmer EZ, Mezer E, et al. Early and late onset fetal microphthalmia [J]. Am J Obstet Gynecol, 2006, 194(5): 1354-1359.

19
宋宴鹏, 毕华婷, 于海燕, 等. 可疑先天性青光眼胎儿一例 [J]. 中华围产医学杂志, 2020, 23(8): 549-551.

20
Gennette S, Carlan SJ, Busowski J, et al. Congenital glaucoma detected by unilateral megalophthalmos on prenatal sonography [J]. J Clin Ultrasound, 2017, 45(8): 499-501.

21
Tsukitome H, Uji Y, Yagi T, et al. A case of developmental glaucoma suspected from megalophthalmos represented by obstetric ultrasonography [J]. Jpn J Ophthalmol, 2011, 55(6): 686-687.

22
欧良松, 徐海兵. 胎儿先天性青光眼超声表现1例 [J]. 临床超声医学杂志, 2008, 10(9): 624.

23
Leonard A, Bernard P, Hiel AL, et al. Prenatal diagnosis of fetal cataract: case report and review of the literature [J]. Fetal Diagn Ther, 2009, 26(2): 61-67.

24
Monteagudo A, Timor-Tritsch IE, Friedman AH, et al. Autosomal dominant cataracts of the fetus: early detection by transvaginal ultrasound [J]. Ultrasound Obstet Gynecol, 1996, 8(2): 104-108.

25
郭家菊, 秦越, 李胜利. 胎儿先天性白内障产前超声诊断及研究分析 [J]. 中华医学超声杂志(电子版), 2021, 18(3): 285-289.

26
刘家琦, 李凤鸣. 实用眼科学 [M]. 北京: 人民卫生出版社, 2010: 334, 465.

27
Esmer AC, Sivrikoz TS, Gulec EY, et al. Prenatal diagnosis of persistent hyperplastic primary vitreous: report of 2 cases and review of the literature [J]. J Ultrasound Med, 2016, 35(10): 2285-2291.

28
叶艳艳, 刘燕娜, 石璐. 双眼先天性无晶状体超声表现1例 [J]. 中国超声医学杂志, 2018, 34(4): 318-319.

29
Di Meglio F, Vascone C, Di Meglio L, et al. Ultrasound prenatal diagnosis of congenital primary aphakia: case report [J]. J Prenat Med, 2015, 9(1-2): 16-17.

30
Gould DB, Smith RS, John SWM. Anterior segment development relevant to glaucoma [J]. Int J Dev Biol, 2004, 48(8-9): 1015-1029.

31
首都医科大学眼部肿瘤临床诊疗与研究中心, 中华医学会放射学分会头颈学组, 中华医学会放射学分会儿科学组. 视网膜母细胞瘤影像检查与诊断及选择性眼动脉化疗专家共识 [J]. 中华放射学杂志, 2021, 55(5): 470-477.

32
Paquette LB, Miller D, Jackson HA, et al. In utero detection of retinoblastoma with fetal magnetic resonance and ultrasound: initial experience [J]. AJP Rep, 2012, 2(1): 55-62.

33
Manjandavida FP, Xia J, Zhang J, et al. In-utero ultrasonography detection of fetal retinoblastoma and neonatal selective ophthalmic artery chemotherapy [J]. Indian J Ophthalmol, 2019, 67(6): 958-960.

34
Sepulveda W, Wojakowski AB, Elias D, et al. Congenital dacryocystocele: prenatal 2- and 3-dimensional sonographic findings [J]. J Ultrasound Med, 2005, 24(2): 225-230.

35
Li SL, Luo GY, Tian XX, et al. Prenatal diagnosis and perinatal outcome of congenital dacryocystocele: a large case series [J]. Prenat Diagn, 2015, 35(2): 103-107.

36
Tourette C, Tron E, Mallet S, et al. Three-dimensional ultrasound prenatal diagnosis of congenital ichthyosis: contribution of molecular biology [J]. Prenat Diagn, 2012, 32(5): 498-500.

37
Webb EA, Dattani MT. Septo-optic dysplasia [J]. Eur J Hum Genet, 2010, 18(4): 393-397.

38
张葵, 李胜利, 文华轩, 等. 胎儿视交叉的产前超声初步研究 [J]. 中华超声影像学杂志, 2016, 25(3): 232-237.

39
Chen X, Yang J, He G, et al. Orbital teratoma in the foetus: a rare case without proptosis [J]. BMC Ophthalmol, 2020, 20(1): 415.

40
Yen MT, Tse DT. Congenital orbital cyst detected and monitored by prenatal ultrasonography [J]. Ophthalmic Plast Reconstr Surg, 2001, 17(6): 443-446.

41
Hingorani M, Mannor G, Vardy SJ, et al. Prenatal diagnosis of orbital heterotopic brain tissue [J]. J Pediatr Surg, 1997, 32(9): 1348-1350.

42
Ahmed A, Noureldin R, Gendy M, et al. Antenatal sonographic appearance of a large orbital encephalocele: a case report and differential diagnosis of orbital cystic mass [J]. J Clin Ultrasound, 2013, 41(5): 327-331.

文章导航

/


AI


AI小编
你好!我是《中华医学电子期刊资源库》AI小编,有什么可以帮您的吗?