切换至 "中华医学电子期刊资源库"
病例报告

影像学表现为肾囊性肿块的未分类肾细胞癌一例

  • 褚丹 ,
  • 曾书娥 ,
展开
  • 430079 武汉,湖北省肿瘤医院超声科

通信作者:

曾书娥,Email:

Copy editor: 吴春凤

收稿日期: 2022-01-09

  网络出版日期: 2023-07-05

版权

未经授权,不得转载、摘编本刊文章,不得使用本刊的版式设计,除非特别声明,本刊刊出的所有文章不代表中华医学会和本刊编委会的观点。本刊为电子期刊,以网刊形式出版。

Unclassified renal cell carcinoma manifesting as a renal cystic mass on imaging: a case reportw

  • Dan Chu ,
  • Shu’e Zeng ,
Expand

Received date: 2022-01-09

  Online published: 2023-07-05

Copyright

Copyright by Chinese Medical Association No content published by the journals of Chinese Medical Association may be reproduced or abridged without authorization. Please do not use or copy the layout and design of the journals without permission. All articles published represent the opinions of the authors, and do not reflect the official policy of the Chinese Medical Association or the Editorial Board, unless this is clearly specified.

本文引用格式

褚丹 , 曾书娥 . 影像学表现为肾囊性肿块的未分类肾细胞癌一例[J]. 中华医学超声杂志(电子版), 2023 , 20(07) : 783 -785 . DOI: 10.3877/cma.j.issn.1672-6448.2023.07.022

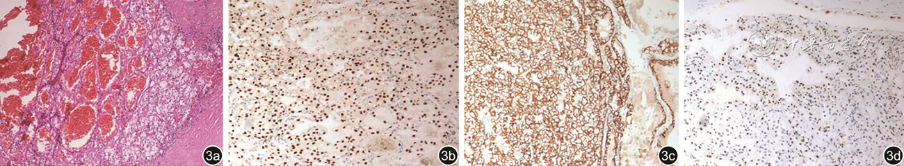
患者男性,33岁,因“体检发现左肾肿块1周”来湖北省肿瘤医院就诊。患者无腰痛、血尿等症状,无肿瘤家族史。体格检查无异常。辅助检查:尿常规、血常规、肝肾功能各项检查指标均在正常范围。常规超声检查:左肾下极可见3.40 cm×2.92 cm边界尚清晰、形态规则的不均质稍低回声团块,边缘见不连续的钙化;彩色多普勒血流成像示:肿块内未见明显血流信号。超声造影检查提示:左肾下极肿块可见囊壁及多个增厚的分隔增强,其余部分无增强(图1)。超声诊断:左肾下极囊性病灶,Bosniak Ⅲ类。CT平扫+增强显示(图2):左肾下极可见3.4 cm×3.0 cm不均匀等/稍低密度类圆形肿块影,边缘见少许断续线壳样钙化,内混杂团片、条片状稍高密度影,增强扫描见增厚的囊壁、多个增厚的分隔及壁结节强化。CT诊断:左肾下极囊性肿块,Bosniak Ⅳ类。患者在全身麻醉下行腹腔镜下保留肾单位的部分肾切除术,术中见边界清晰的囊实性结节,大小3 cm×3 cm。显微镜下见肿瘤细胞呈巢状分布,大部分细胞胞浆透明,部分胞浆嗜伊红性、细颗粒状,部分可见细小核仁。部分区域呈实性排列,部分区域可见囊性出血、纤维分隔。病理诊断:肾细胞癌伴出血、坏死及囊性变(图3)。世界卫生组织/国际泌尿病理学会核分级:3/4级,肿瘤分期:pT1a。随后行免疫组织化学及分子检测。免疫组织化学结果显示:PCK(部分+),PAX8(+),CK8/18(+),E-Cadherin(+),P504S(+),SDHB(+),ksp-cad(+),TFE-3(-),TFE-B(-),Cathepsin(-),Melan-A(-),HMB45(-),CAIX(-),CD10(-),CK7(-),CD117(-),Vimentin(-),RCC(-),ALK(-),CK20(-)。荧光原位杂交(fluorescent in situ hybridization,FISH)结果显示:TFE3分离探针(-),3号染色体短臂缺失(-)。根据2016版世界卫生组织指南及肿瘤组织形态、免疫表型及分子检测结果,不符合肾脏肿瘤的任何具体分类,最后诊断为未分类肾细胞癌(unclassified renal cell carcinoma,URCC)。患者术后未行放、化疗,随访2年未见复发及转移。
图1 左肾肿块常规超声及超声造影表现。图a为常规超声图像,图b为彩色多普勒血流成像,图c为超声造影图像:左肾下极肿块可见囊壁及多个增厚的分隔增强,其余部分无增强
图2 左肾肿块CT平扫+增强图像。左肾下极见不均匀等/稍低密度类圆形肿块影,边缘见少许断续线壳样钙化,增强扫描见壁结节强化(箭头示强化的壁结节)。图a为CT平扫图像;图b为增强动脉期图像;图c为增强静脉期图像
图3 未分类肾细胞癌术后病理及免疫组化图像。图a示镜下见肿瘤细胞呈巢状分布,大部分细胞胞浆透明,部分胞浆嗜伊红性、细颗粒状,部分可见细小核仁。部分区域呈实性排列,部分区域可见囊性出血、纤维分隔(HE×100)。图b示免疫组化标记PAX8(+);图c示免疫组化标记ksp-cad(+);图d示免疫组化标记TFE-3(-)

讨论

URCC是一种罕见类型的肾细胞癌,仅占所有肾细胞癌的2%~6%1。URCC是指病理学上不能归类为任何一种已知病理类型的肾细胞癌,此概念于1997年首次提出,2004年世界卫生组织肾肿瘤分类系统将其正式归类为一种单独病理类型的肾细胞癌2。根据2016年肾肿瘤分类系统3,URCC包括:(1)结合多种已知病理类型的混合型;(2)纯粹肉瘤样癌不能识别其中的上皮样成分;(3)产生黏液;(4)罕见的混合性上皮和间质成分;(5)不能识别的细胞类型。因此,URCC仍然是一个排他性诊断,其组织学表现、免疫表型及分子遗传学特点多样。治疗取决于肿瘤分期,对于TNM分期Ⅰ~Ⅲ期的病例,手术切除是最佳治疗方法4。许多研究表明URCC病理分级及临床分期较高,侵袭性较强,通常预后较差5, 6。但Crispen等7认为去除组织学分级和临床分期因素,URCC与肾透明细胞癌的预后差异并无统计学意义。Lopez-Beltran等8的研究发现URCC的核分级、临床分期、肿瘤坏死、肿瘤大小、微血管浸润及组织学类型均与预后有关,其中肿瘤大小和肿瘤复发是预后的主要影响因素。
影像学检查在肾细胞癌的诊断、分型、治疗及随访中发挥着重要作用。更新的2014年欧洲泌尿协会肾细胞癌指南推荐将增强CT和MRI用于术前肾肿瘤的诊断及分期9。超声造影因其具有快速、低风险及高性价比的特点,可作为肾细胞癌诊断及分期的常规检查方法10, 11
URCC的影像学表现无特异性。本例URCC在超声造影及增强CT上均表现为肾囊性肿块。为了评估肾囊性病变的恶性风险以及指导临床治疗,Bosniak12在1986年提出了基于增强CT的Bosniak分级标准。在过去的30多年,此分级标准不断得到修订和更新。最新的2019版分级系统13明确了此前标准中较为模糊的影像学术语,更新了基于CT的分级标准并正式建立了基于MRI的分级标准。依据增强CT或MRI上囊壁、分隔的厚度及囊壁、分隔、壁结节的强化情况,Bosniak分级系统将肾囊性病变分为5类:Bosniak Ⅰ、Ⅱ、ⅡF、Ⅲ和Ⅳ类(“F”代表随访),Meta分析显示其恶性风险分别为3.2%、6.0%、6.7%、55.1%和91.0%14。本病例中,增强CT扫描可见强化的壁结节,因此诊断为Bosniak Ⅳ类。在2020年,欧洲超声医学和生物学学会联合会提出了基于超声造影的Bosniak分级系统15。超声造影在显示分隔和壁结节增强方面优于增强CT和MRI16。Ragel等17的研究结果表明,20%~31%的肾囊性病变的超声造影Bosniak分级高于增强CT。但本病例中,超声造影可见囊壁及多个增厚的分隔增强,并未见壁结节增强,Bosniak分级为Ⅲ级,低于增强CT。与增强CT相比,超声造影操作简单,无放射性,使用的造影剂无肾毒性,但也有其局限性。造影过程中病灶的观察易受患者体位、呼吸、气体、肋骨声影及操作者主观性的影响。超声造影是实时动态增强显像模式,如果观察者未显示壁结节增强的切面,就会导致Bosniak分级降低。所以,在对肾囊性病灶进行超声造影检查时,应多切面动态扫查,以免遗漏其内增强的实性结节。
URCC是临床少见的肾细胞癌类型,影像学表现无特异性,诊断需结合术后病理组织形态、免疫表型及分子检测综合分析。
1
Nguyen DP, Vertosick EA, Corradi RB, et al. Histological subtype of renal cell carcinoma significantly affects survival in the era of partial nephrectomy [J]. Urol Oncol, 2016, 34(6): 259.

2
Lopez-Beltran A, Scarpelli M, Montironi R, et al. 2004 WHO classification of the renal tumors of the adults [J]. Eur Urol, 2006, 49(5): 798-805.

3
Moch H, Cubilla AL, Humphrey PA, et al. The 2016 WHO classification of tumours of the urinary system and male genital organs-part a: renal, penile, and testicular tumours [J]. Eur Urol, 2016, 70(1): 93-105.

4
Sirohi D, Smith SC, Agarwal N, et al. Unclassified renal cell carcinoma: diagnostic difficulties and treatment modalities [J]. Res Rep Urol, 2018, 10: 205-217.

5
Talento R, Hewan-Lowe K, Yin M. Evaluation of morphologically unclassified renal cell carcinoma with electron microscopy and novel renal markers: implications for tumor reclassification [J]. Ultrastruct Pathol, 2013, 37(1): 70-76.

6
Karakiewicz PI, Hutterer GC, Trinh QD, et al. Unclassified renal cell carcinoma: an analysis of 85 cases [J]. BJU Int, 2007, 100(4): 802-808.

7
Crispen PL, Tabidian MR, Allmer C, et al. Unclassified renal cell carcinoma: impact on survival following nephrectomy [J]. Urology, 2010, 76(3): 580-586.

8
Lopez-Beltran A, Kirkali Z, Montironi R, et al. Unclassified renal cell carcinoma: a report of 56 cases [J]. BJU Int, 2012, 110(6): 786-793.

9
Ljungberg B, Bensalah K, Canfield S, et al. EAU guidelines on renal cell carcinoma: 2014 update [J]. Eur Urol, 2015, 67(5): 913-924.

10
Rübenthaler J, Reimann R, Hristova P, et al. Parametric imaging of clear cell and papillary renal cell carcinoma using contrast-enhanced ultrasound (CEUS) [J]. Clin Hemorheol Microcirc, 2015, 63(2): 89-97.

11
Reimann R, Rübenthaler J, Hristova P, et al. Characterization of histological subtypes of clear cell renal cell carcinoma using contrast-enhanced ultrasound (CEUS) [J]. Clin Hemorheol Microcirc, 2015, 63(1): 77-87.

12
Bosniak MA. The current radiological approach to renal cysts [J]. Radiology, 1986, 158(1): 1-10.

13
Silverman SG, Pedrosa I, Ellis JH, et al. Bosniak classification of cystic renal masses, version 2019: an update proposal and needs assessment [J]. Radiology, 2019, 292(2): 475-488.

14
Sevcenco S, Spick C, Helbich TH, et al. Malignancy rates and diagnostic performance of the Bosniak classification for the diagnosis of cystic renal lesions in computed tomography: a systematic review and meta-analysis [J]. Eur Radiol, 2017, 27(6): 2239-2247.

15
Cantisani V, Bertolotto M, Clevert DA, et al. EFSUMB 2020 proposal for a contrast-enhanced ultrasound-adapted Bosniak cyst categorization-position statement [J]. Ultraschall Med, 2021, 42(2): 154-166.

16
Lerchbaumer MH, Putz FJ, Rübenthaler J, et al. Contrast-enhanced ultrasound (CEUS) of cystic renal lesions in comparison to CT and MRI in a multicenter setting [J]. Clin Hemorheol Microcirc, 2020, 75(4): 419-429.

17
Ragel M, Nedumaran A, Makowska-Webb J. Prospective comparison of use of contrast-enhanced ultrasound and contrast-enhanced computed tomography in the Bosniak classification of complex renal cysts [J]. Ultrasound, 2016, 24(1): 6-16.

文章导航

/


AI


AI小编
你好!我是《中华医学电子期刊资源库》AI小编,有什么可以帮您的吗?