切换至 "中华医学电子期刊资源库"
专题笔谈

喉咽区超声解剖与常见病变的超声诊断

  • 白铭宇 ,
  • 崔立刚 , ,
  • 谢立锋
展开
  • 100191 北京大学第三医院超声科
  • 100191 北京大学第三医院耳鼻喉科
通信作者:崔立刚,Email:

Copy editor: 汪荣

收稿日期: 2021-08-11

  网络出版日期: 2023-08-07

基金资助

国家重点研发计划数字诊疗装备研发重点专项(2016YFC0104900)

版权

未经授权,不得转载、摘编本刊文章,不得使用本刊的版式设计,除非特别声明,本刊刊出的所有文章不代表中华医学会和本刊编委会的观点。本刊为电子期刊,以网刊形式出版。

Ultrasound anatomy of the laryngopharyngeal region and ultrasound diagnosis of common laryngopharyngeal lesions

  • Mingyu Bai ,
  • Ligang Cui , ,
  • Lifeng Xie
Expand

Received date: 2021-08-11

  Online published: 2023-08-07

Copyright

Copyright by Chinese Medical Association No content published by the journals of Chinese Medical Association may be reproduced or abridged without authorization. Please do not use or copy the layout and design of the journals without permission. All articles published represent the opinions of the authors, and do not reflect the official policy of the Chinese Medical Association or the Editorial Board, unless this is clearly specified.

本文引用格式

白铭宇 , 崔立刚 , 谢立锋 . 喉咽区超声解剖与常见病变的超声诊断[J]. 中华医学超声杂志(电子版), 2023 , 20(04) : 384 -390 . DOI: 10.3877/cma.j.issn.1672-6448.2023.04.002

喉咽区位于颈前正中,在言语、保护呼吸道和吞咽等方面起着重要作用。临床上通过评估患者的症状、体征,结合影像学检查和(或)组织学检查诊断咽喉区病变1。喉镜结合局部横截面影像学检查(CT或MRI)是大多数喉咽区病变评估和诊断的常规方法2, 3,CT和MRI能全面显示内镜盲区,有效判断肿瘤浸润深度,对病变的评估有很大帮助4
与CT和MRI相比,超声影像具有成本低、无电离辐射、方便、快捷、实时等优点,虽已广泛应用于人体多个部位,成为一线影像学诊断手段,但在喉咽区的超声应用并未被普遍认识。临床经验及文献5表明,除孕妇及儿童外,超声还特别适用于因刺激性喉异常无法保持静止,不能进行CT和MRI检查的患者。除静止形态学评估外,实时超声还可以评估运动下的声带功能。
目前,颈前超声主要应用于甲状腺及其引流淋巴结的评估,对于咽喉区域病变超声评估的研究报道相对较少6--7。一方面与临床医师对超声影像的认识不足有关,另一更重要的方面是喉咽区解剖结构相对复杂,超声医师不易充分掌握喉咽区的超声影像技术。
本文将总结近年来喉咽区超声影像的临床应用和研究进展,重点介绍喉咽区超声检查方法、正常超声解剖以及常见病变的超声表现。

一、喉咽区局部解剖

喉咽位于颈前正中,舌骨下方,上接口咽,下接气管,为下气道的门户。喉由软骨、肌肉、韧带、纤维结缔组织和黏膜组成。喉咽区由浅至深依次为皮肤、皮下组织以及喉外肌群。自头侧向足侧,正中肌肉排列依次为二腹肌、下颌舌骨肌、胸骨舌骨肌、甲状舌骨肌、胸骨甲状肌和中/下咽缩肌,肩胛舌骨肌偏于侧方。上述肌肉的深方,自头侧向足侧依次排列咽喉区的骨及软骨,其中颈前正中不成对的结构依次为舌骨、会厌软骨、甲状软骨、环状软骨。舌骨与甲状软骨上缘之间由甲状舌骨膜连接,甲状软骨下缘与环状软骨弓上缘间附着环甲膜,这些膜状结构均由纤维韧带组织构成,能够被超声显示并可作为声窗。甲状软骨深方与环状软骨之间还有成对的杓状软骨、小角软骨和楔状软骨,这些软骨之间有喉内肌及韧带附着,喉内肌包括环杓后肌、环杓侧肌、杓横肌、环甲肌、甲杓肌、杓会厌肌和甲状会厌肌。甲杓肌、声韧带与被覆的黏膜构成声带,左右各一,是喉部最狭窄的地方,声带上方与其平行的结构为室带,也称为假声带。

二、喉咽区超声扫查技术与正常声像图解剖

患者取仰卧位,颈部适当过伸,根据需要向对侧适当旋转。评估声带功能、肌肉运动及病变粘连程度时,可结合患者发音、吞咽及局部辅助推挤动态观察。选用高频线阵探头,探头中心频率10 MHz。采用直接接触法,对颈前喉咽区进行系列横断面及纵断面扫查。

(一)系列横断面扫查

1.舌骨水平。自颌下口底向足侧连续横断面扫查,首先确定舌骨,正常舌骨呈弧形强回声伴后方宽大的声影。向侧方移动探头可以观察到舌骨大角和颌下腺。探头扇形摆动,声束指向头侧后方,并适当加压,可以观察到位于颌下腺深方的扁桃体,扁桃体有很多隐窝,声像图上呈现为低回声的扁桃体内夹杂多发长短不一的气体强回声(图1)。
图1 喉咽区舌骨水平自上而下横断面声像图(左)及相应的探头位置示意图(右)。图a 为舌骨横断面声像图及探头位置示意图,左侧声像图示舌骨呈弧形强回声(箭头所示)伴后方宽大声影;图b 为舌骨左侧横断面声像图及探头位置示意图,左侧声像图示左侧的舌骨大角呈弧形强回声(箭头所示)伴后方声影,其外侧为左侧颌下腺;图c 为左侧颌下腺横断面声像图及探头位置示意图,左侧声像图示声束向头侧偏转,利用颌下腺做声窗,显示左侧扁桃体,呈低回声,同时可以显示扁桃体隐窝内散在气体,呈点状及线状强回声
2.甲状舌骨膜水平。以舌骨为上界标志,至甲状软骨上缘间为甲状舌骨膜,简称甲舌膜。浅方可见胸骨舌骨肌与甲状舌骨肌,深方可见会厌软骨、会厌前间隙等结构。上述肌肉和软骨呈低回声,会厌前间隙内含有脂肪等疏松结缔组织,呈等回声或稍高回声。向侧方平移探头,可以观察到喉上动脉自上而下进入甲状软骨板深方,利用彩色多普勒可清晰显示喉上动脉(图2)。喉上神经一般与喉上动脉伴行,利用喉上动脉指引可在甲状软骨板上缘处进行喉上神经阻滞术。
图2 喉咽区甲状舌骨膜水平自上而下横断面声像图(左)及相应的探头位置示意图(右)。图a为甲舌膜水平正中横断面声像图及探头位置示意图,左侧声像图示甲舌膜(箭头所示)浅方为左右对称的胸骨舌骨肌和甲状舌骨肌,其深方为会厌前间隙(加号所示)和会厌软骨(星号所示);图b为甲舌膜水平左侧横断面声像图及探头位置示意图,左侧声像图为彩色多普勒超声显示喉上动脉(箭头所示),同时显示部分左侧甲状软骨板(虚线所示)

注:SH为胸骨舌骨肌;TH为甲状舌骨肌

3.甲状软骨水平。探头继续向足侧滑动,显示甲状软骨呈尖端朝前的“V”字型。甲状软骨板为对称的低回声结构,内部可见依年龄和性别不同而出现的散在钙化强回声。在甲状软骨中部水平可以显示其深方左右对称的室带,即假声带。室带内主要为脂肪组织,表现为稍高回声。室带足侧可见对称的低回声结构,并随发声而运动,为真声带。除了钙化,两侧甲状软骨板夹角也为超声扫查增加了难度。在侧颈部利用一侧的甲状软骨板作为声窗可以更清晰地显示同侧的室带和声带,以及其后方的杓状软骨(图3)。嘱患者发“e”音可观察到杓状软骨的活动,并能充分暴露其后方的梨状隐窝。
图3 喉咽区甲状软骨水平自上而下横断面声像图(左)及相应的探头位置示意图(右)。图a为甲状软骨水平正中横断面声像图及探头位置示意图,左侧声像图示双侧的甲状软骨板呈倒“V”的低回声(虚线所示),双侧室带(星号所示)呈稍高回声;图b为甲状软骨水平正中横断面声像图及探头位置示意图,左侧声像图示双侧声带(星号所示)呈低回声,位于双侧甲状软骨板(虚线所示)深方;图c为甲状软骨水平侧方横断面声像图及探头位置示意图,左侧声像图示透过左侧甲状软骨板(虚线所示)显示左侧室带(星号所示);图d为甲状软骨水平侧方横断面声像图及探头位置示意图,左侧声像图示透过左侧甲状软骨板(虚线所示)显示左侧声带(星号所示),两者之间为左侧声门旁间隙,内含脂肪组织呈稍高回声,声带后方低回声为左侧杓状软骨(箭头所示),其后方含气间隙为左侧梨状隐窝(红色虚线所示)
4.环甲膜水平。探头继续向足侧扫查,可以观察到位于甲状软骨与环状软骨之间的环甲膜结构,其侧面有对称分布的环甲肌。透过环甲膜可以观察到声门下、双侧声带、双侧杓状软骨。动态扫查,可以观察声带及杓状软骨的活动情况(图4)。
图4 喉咽区环甲膜水平自上而下横断面声像图(左)及相应的探头位置示意图(右)。图a为环甲膜水平正中横断面声像图及探头位置示意图,左侧声像图示探头略向上偏转,声束指向头侧显示甲状软骨下缘(虚线所示),双侧声带(星号所示),及其后方杓状软骨短轴切面(箭头所示);图b 为环甲膜水平正中横断面声像图及探头位置示意图,左侧声像图显示环甲膜(箭头所示)与双侧环甲肌(红色虚线所示低回声);图c 为环状软骨正中横断面声像图及探头位置示意图,左侧声像图示环状软骨呈低回声(加号所示),其上可见环甲肌(红色虚线所示低回声)附着,浅方可见胸骨舌骨肌和胸骨甲状肌

注:SH为胸骨舌骨肌;ST为胸骨甲状肌

5. 气管水平。探头继续向足侧移动,可以显示气管环以及位于气管两侧的甲状腺(图5)。值得注意的是,喉腔及气管内为气体,容易出现镜面伪像,在扫查过程中需注意仔细辨别。
图6 颈正中甲舌膜正中纵断面声像图(左)及相应的探头位置示意图(右)。左侧声像图示甲舌膜(箭头所示)头侧为舌骨短轴(星号所示),足侧为甲状软骨上缘(加号所示),深方显示会厌软骨(红色虚线所示)和会厌前间隙

(二)系列纵断面扫查

1.颈正中甲舌膜纵断面。将探头置于上颈部正中,舌骨和甲状软骨之间行纵断面扫查,可以显示位于头侧的舌骨短轴,位于足侧的甲状软骨,连于二者之间的甲舌膜以及甲舌膜深方的会厌软骨、会厌前间隙等结构(图6)。
2.颈侧方甲状软骨板纵断面。探头置于侧颈部甲状软骨处纵断面扫查,可以显示位于甲状软骨板深方的室带和声带短轴切面,室带与声带之间为喉室,内含少量气体呈强回声。探头继续向侧后方移动,可以获得杓状软骨长轴切面(图7)。
图7 颈侧方甲状软骨板纵断面声像图(左)及相应的探头位置示意图(右)。图a左侧声像图显示左侧甲状软骨板(虚线所示),其浅方为胸骨舌骨肌,深方为同侧室带(星号所示)和声带(加号所示)短轴切面,喉室内可见气体强回声(箭头所示);图b左侧声像图显示甲状软骨板(虚线所示)深方的杓状软骨长轴切面,呈棒样低回声(红色虚线所示)

注:SH为胸骨舌骨肌

3.颈正中环甲膜纵断面。将探头置于甲状软骨板下缘行正中纵断面扫查,可以显示环甲膜纵断面声像图。向侧方移动探头,可以显示连接于甲状软骨板内侧和环状软骨上缘的环甲肌。环状软骨板较宽阔,且邻近甲状腺上极,应与甲状腺上极肿物相鉴别(图8)。
图8 颈正中环甲膜纵断面声像图(左)及相应的探头位置示意图(右)。图a左侧声像图为正中水平显示环状软骨短轴,头侧可见甲状软骨下缘,足侧可见第一气管软骨环短轴(星号所示),深方为气道内气体强回声界面(箭头所示),环状软骨与甲状软骨之间可显示环甲肌(红色虚线所示低回声);图b左侧声像图为侧边水平显示左侧环状软骨板(虚线所示),毗邻甲状腺

注:C为环状软骨;T为甲状软骨下缘;Thyroid为甲状腺

三、喉咽区常见良性病变

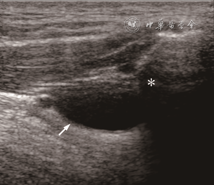
1.甲状舌管囊肿。甲状舌管囊肿是颈部最常见的先天性囊性病变,通常位于颈中线附近,大部分位于甲状腺和舌骨之间。甲状舌管囊肿声像图表现为边界清晰的无回声囊性病变,后方回声增强。病程长或合并感染时,内部回声增多,可见点状、片状回声,部分呈现类实性回声。甲状舌管囊肿与舌骨的粘连非常常见(图9),动态超声检查中肿物与舌骨的同步运动可作为甲状舌管囊肿的诊断依据之一8。CT或MRI也可用于评估甲状舌管囊肿,但超声检查相对更容易进行,且费用低、无创,儿童也无需镇静9
图9 甲状舌管囊肿超声图像。图示病变(箭头所示)与舌骨(星号所示)关系密切,位于舌骨头侧,动态观察可见病变随舌骨一起运动
2.梨状窝瘘。梨状窝瘘是一种少见的颈部鳃源性疾病,多于儿童期发病,且多发生于左侧。瘘管始发于梨状窝底,其瘘管穿过或者终止于甲状腺侧叶上极。诊断梨状窝瘘最敏感的检查是食管造影,但年龄较小的儿童可能无法配合吞咽,CT或MRI优于食管造影10。超声检查无放射性暴露,与CT/MRI一样能显示窦道,并且相较于食管造影,超声能更好显示周围组织炎症程度11。非感染期梨状窝瘘超声表现为壁薄且光滑的无回声;感染期瘘管管径明显增粗,壁增厚毛糙,与周围组织分界不清,内见无回声区及斑块状、点状回声,部分夹杂有气体强回声;瘘管反复感染可形成颈深部脓肿,并可累及甲状腺12, 13,往往以脓肿就诊,侧颈部特别是甲状腺区脓肿患者,应首先考虑梨状窝瘘的可能(图10)。
图10 梨状窝瘘超声及下咽食管造影图像。图a为超声图像示左侧甲状腺及其周围低回声肿物;图b为下咽食管造影示左侧梨状窝线样造影剂外漏(箭头所示),证实为左侧梨状窝瘘

注:M为肿物;Thyroid为甲状腺

3.声带息肉。声带息肉好发于声带的前1/3~2/3处,多因发音不当或用声过度所致,为任克氏间隙局限性水肿。喉镜是诊断声带息肉的首选检查,但是喉镜属于有创检查。对于不能耐受喉镜的患者,尤其是儿童,超声可作为声带病变的筛查工具,具有与喉镜相当的诊断敏感度14。超声扫查显示局部细小、呈类圆形的中等偏高回声结节,嘱患者发“e”音时动态观察可见声带关闭不全15
4.喉囊肿。喉囊肿多为喉咽区慢性炎症长期刺激所致,最常见的为会厌囊肿。超声表现为喉部的规则无回声区,边界清晰,后方回声增强16
5.喉室囊肿。是喉室小囊的充气性异常扩张,与喉腔相通,临床上比较少见。已被证实,CT扫描是确定喉室囊肿、喉结构和喉外软组织之间空间关系的最有效方法之一。颈部超声检查可用于颈部肿块的初步评估,主要用于区分病变性质以及确定其内容和位置17。喉室囊肿在超声检查下表现为喉室位置的强回声区较正常范围增加,Valsalva试验后明显扩大18
6.声带麻痹。声带麻痹的病因主要有肿瘤、手术、特发性、外伤等,严重的双侧声带麻痹可引起呼吸困难19。由于全身麻醉手术的增多,因气管插管导致的杓状软骨脱位亦逐渐增多20, 21。超声检查通过观察声带是否存在运动不对称或不运动就可确诊声带麻痹,而无需更多评估。超声作为一种无创的检查手段,诊断声带麻痹的敏感度和特异度分别为88.9%和99.2%,与喉镜具有很好的一致性22。当受到钙化或甲状软骨角度的影响时,可以通过侧面观察杓状软骨的运动来反映声带的运动情况23

四、喉咽区常见恶性病变

喉咽区恶性病变主要为喉癌,其中鳞状细胞癌占大部分24。治疗前分期与无病生存率和总体生存率密切相关7。准确的治疗前分期是制定最佳治疗方案的关键,其中包括内镜激光切除术、放射治疗、保留声音的部分喉切除术和全喉切除术25
目前,喉镜联合横断面成像(CT或MRI)是喉癌诊断和治疗前分期的常规方法。影像学检查用于评估病变的黏膜下受侵程度,包括声门旁间隙、软骨和喉外间隙等26, 27。虽然CT和MRI对于进展期喉癌的诊断高度敏感,但特异度往往较低28, 29,主要是因为瘤周炎症与肿瘤侵及很难区分30
超声可作为喉癌治疗前分期的有效辅助手段625。超声具有高分辨率,其不仅可确认是否存在软骨侵犯,而且还可提高喉癌黏膜下浸润的判断能力,并能够帮助识别CT或MRI怀疑或不可见的细微喉外浸润。喉前淋巴结是喉癌淋巴扩散的重要途径,与CT和MRI相比,超声检查对淋巴结转移具有更高的诊断敏感度31
在超声图像上,声门上型喉癌更容易显示,因为其与邻近的声门旁间隙的高回声脂肪以及喉部周围的空气相比呈低回声(图11)。呼吸时,声门旁间隙有一定程度的活动性,而甲状软骨并不可移动,可以用于鉴别肿物是否累及声门旁间隙或甲状软骨。Xia等7表明,当声门旁间隙完全或部分不活动时,超声检查可以诊断肿瘤累及,其敏感度与CT相当(95.5% vs100%),但特异度更高(94.9% vs 67.0%)。
图11 喉癌超声图像。图a示肿瘤位于右侧甲状软骨板深方,并突向喉腔;图b示肿瘤周围可见转移淋巴结

注:M为肿瘤;LN为转移淋巴结

文献表明,超声对软骨性肿瘤侵袭的评估具有较高的敏感度,但更重要的是,其具有较高的特异度32。轻微的软骨侵犯表现为软骨皮质高回声线的消失。如果低回声肿物与甲状软骨板之间仍可见细小的线状高回声,并且肿物表面和甲状软骨板表面完整、平滑,表明没有软骨受累。当甲状软骨内、外表面均被低回声病变破坏时,肿瘤可通过软骨向喉外浸润33
超声检查的另一个特点是实时性,可以实时评估喉部的运动34, 35。通过让患者在屏气后轻声说话或放松来评估喉部的活动性,如果喉癌患者的声带和杓状软骨在实时超声图像上出现不对称运动或无运动,提示喉固定,此时肿瘤分期将提高到T3期。这一征象的敏感度为83.3%,特异度为100%7。值得指出的是,当双侧声带活动受损时,可能会影响正确诊断。同样,甲状软骨钙化也会干扰声带运动的观察。
此外,对于喉镜无法进行活检的深部病变,可以通过超声引导进行经皮穿刺活检26。通常在甲状舌骨膜经皮进针。
超声检查可用于评估喉癌的T分期和颈部淋巴结转移,尤其针对早期喉癌,具有不亚于CT或MRI的敏感度72534。同时,超声检查对喉部的动态评估明显优于CT或MRI,其非侵入性的特点也优于喉镜。但超声对于喉后结构的评估具有一定难度6,严重的甲状软骨板钙化也会明显影响超声检查效果。总之,对喉癌患者进行分期评估时,超声检查不失为一种简便且有效的评估方式,联合CT或MRI将取得更全面的评估效果。

五、小结

熟悉喉咽区的解剖结构,利用高分辨率超声采用适合的声窗能够有效显示这些结构并进行动态评估。超声提供的高分辨率图像,可与CT及MRI影像互相补充,用于喉部良恶性疾病的评估。超声对某些细微解剖结构的识别更具优势,同时也适用于在CT或MRI采集过程中难以保持静止的喉部疾病患者。当然,超声对喉深部结构的识别仍存在一定局限性,需要更多的研究来寻找更好的声窗或超声设备以提高其评估能力。随着便携掌上超声设备成像技术的发展与普及,未来喉咽区的超声评估将拓展至手术室和检查床边,为临床患者提供更便捷的服务。
1
Verikas A, Uloza V, Bacauskiene M, et al. Advances in laryngeal imaging[J]. Eur Arch Otorhinolaryngol, 2009, 266(10): 1509-1520.

2
Dammann F, Bootz F, Cohnen M, et al. Diagnostic imaging modalities in head and neck disease[J]. Dtsch Arztebl Int, 2014, 111(23-24): 417-423.

3
Jones TM, De M, Foran B, et al. Laryngeal cancer:United Kingdom National Multidisciplinary guidelines[J]. J Laryngol Otol, 2016, 130(S2): S75-S82.

4
Gallivan KH, Gallivan GJ. Bilateral mixed laryngoceles: simultaneous strobovideolaryngoscopy and external video examination[J]. J Voice, 2002, 16(2): 258-266.

5
Beale T, Twigg VM, Horta M, et al. High-resolution laryngeal US: imaging technique, normal anatomy, and spectrum of disease[J]. Radiographics, 2020, 40(3): 775-790.

6
Hu Q, Luo F, Zhu SY, et al. Staging of laryngeal carcinoma: comparison of high-frequency sonography and contrast-enhanced computed tomography[J]. Clin Radiol, 2012, 67(2): 140-147.

7
Xia CX, Zhu Q, Zhao HX, et al. Usefulness of ultrasonography in assessment of laryngeal carcinoma[J]. Br J Radiol, 2013, 86(1030): 20130343.

8
Chang KV, Wu WT, Zakar L. Thyroglossal duct cyst: dynamic ultrasound evaluation and sonoanatomy revisited[J]. Med Ultrason, 2019, 21(1): 99-100.

9
Unsal O, Soytas P, Hascicek SO, et al. Clinical approach to pediatric neck masses: retrospective analysis of 98 cases[J]. North Clin Istanb, 2017, 4(3): 225-232.

10
Sheng Q, Lv Z, Xu W, et al. Differences in the diagnosis and management of pyriform sinus fistula between newborns and children[J]. Sci Rep, 2019, 9(1): 18497.

11
Wang HK, Tiu CM, Chou YH, et al. Imaging studies of pyriform sinus fistula[J]. Pediatr Radiol, 2003, 33(5): 328-333.

12
Kim SC, Kim JH, Won JK, et al. Asymptomatic intrathyroidal pyriform sinus fistula mimicking thyroid cancer: A case report and literature review[J]. Medicine, 2018, 97(16): e0488-e0490.

13
王小花, 潘尹, 林益怡, 等. 超声在小儿先天性梨状窝瘘诊断中的价值[J]. 中国超声医学杂志, 2016, 32(10): 865-867.

14
Ongkasuwan J, Devore D, Hollas S, et al. Laryngeal ultrasound and pediatric vocal fold nodules[J]. Laryngoscope, 2017, 127(3): 676-678.

15
邹文, 葛丹丹. 超声成像在声带息肉诊断中的应用价值[J]. 实用临床医学, 2016, 17(12): 68-69.

16
丁浩. 喉内超声成像的临床评价[J]. 国外医学(耳鼻咽喉科学分册), 2002, (5): 312.

17
Swain SK, Mallik KC, Mishra S, et al. Laryngocele: experience at a tertiary care hospital of eastern india[J]. J Voice, 2015, 29(4): 512-516.

18
张普光, 吴琳, 栾兰. B型超声诊断喉室含气囊肿[J]. 中华超声影像学杂志, 1995, 4(5): 217.

19
Li Y, Garrett G, Zealear D. Current treatment options for bilateral vocal fold paralysis: a state-of-the-art review[J]. Clin Exp Otorhinolaryngol, 2017, 10(3): 203-212.

20
Fukuhara T, Donishi R, Matsuda E, et al. A novel lateral approach to the assessment of vocal cord movement by ultrasonography[J]. World J Surg, 2018, 42(1): 130-136.

21
程丽宇, 徐文, 李赟, 等. 声带麻痹与环杓关节脱位临床特征分析[J]. 听力学及言语疾病杂志, 2015, 23(4): 367-371.

22
武静芳, 李雪梅, 远丽, 等. 高频超声评价甲状腺术前声带运动的临床研究[J]. 中国眼耳鼻喉科杂志, 2019, 19(4): 272-274.

23
Wong KP, Au KP, Lam S, et al. Lessons learned after 1000 cases of transcutaneous laryngeal ultrasound (TLUSG) with laryngoscopic validation: is there a role of TLUSG in patients indicated for laryngoscopic examination before thyroidectomy?[J]. Thyroid, 2017, 27(1): 88-94.

24
Agnello F, Cupido F, Sparacia G, et al. Computerised tomography and magnetic resonance imaging of laryngeal squamous cell carcinoma: A practical approach[J]. Neuroradiol J, 2017, 30(3): 197-204.

25
Hu Q, Zhu SY, Zhang Z, et al. Assessment of glottic squamous cell carcinoma comparison of sonography and non-contrast-enhanced magnetic resonance imaging[J]. J Ultrasound Med, 2011, 30(11): 1467-1474.

26
Hermans R. Staging of laryngeal and hypopharyngeal cancer: value of imaging studies[J]. Eur Radiol, 2006, 16(11): 2386-2400.

27
Yousem DM, Tufano RP. Laryngeal imaging[J]. Neuroimaging Clin N Am, 2004, 10(3): 611-624.

28
Becker M, Zbären P, Delavelle JW, et al. Neoplastic invasion of the laryngeal cartilage: reassessment of criteria for diagnosis at CT[J]. Radiology, 1997, 203(2): 521-532.

29
Becker M, Zbären P, Casselman JW, et al. Neoplastic invasion of laryngeal cartilage: reassessment of criteria for diagnosis at MR imaging[J]. Radiology, 2008, 249(2): 551-559.

30
Becker M, Burkhardt K, Dulguerov P, et al. Imaging of the larynx and hypopharynx[J]. Eur J Radiol, 2008, 66(3): 460-479.

31
Ahuja AT, Ying M, Ho SY, et al. Ultrasound of malignant cervical lymph nodes[J]. Cancer Imaging, 2008, 8(1): 48-56.

32
Hu Q, Zhu SY, Liu RC, et al. Contrast-enhanced ultrasound for the preoperative assessment of laryngeal carcinoma: a preliminary study[J]. Acta Radiol, 2021, 62(8): 1016-1024.

33
Huang CC, Sun L, Dailey SH, et al. High frequency ultrasonic characterization of human vocal fold tissue[J]. J Acoust Soc Am, 2007, 122(3): 2515-2518.

34
Xia CX, Zhu Q, Cheng Y, et al. Sonographic assessment of hypopharyngeal carcinoma: preliminary study[J]. J Ultrasound Med, 2011, 30(2): 217-225.

35
Arens C, Weigt J, Schumacher J, et al. Ultrasound of the larynx, hypopharynx and upper esophagus[J]. HNO, 2011, 59(2): 145-154.

文章导航

/


AI


AI小编
你好!我是《中华医学电子期刊资源库》AI小编,有什么可以帮您的吗?