切换至 "中华医学电子期刊资源库"
高帧频超声影像学

高帧频超声造影在膀胱癌分级及分期中的应用价值

  • 池梦婷 1 ,
  • 赵萍 2 ,
  • 李静波 2 ,
  • 朱嘉宁 2 ,
  • 宋禄达 2 ,
  • 罗渝昆 2 ,
  • 李秋洋 , 2,
展开
  • 1.100853 北京,解放军总医院第一医学中心超声诊断科;315046 浙江宁波,宁波大学附属李惠利医院超声医学科
  • 2.100853 北京,解放军总医院第一医学中心超声诊断科
通信作者:李秋洋,Email:

Copy editor: 吴春凤

收稿日期: 2023-09-26

  网络出版日期: 2024-01-15

版权

未经授权,不得转载、摘编本刊文章,不得使用本刊的版式设计,除非特别声明,本刊刊出的所有文章不代表中华医学会和本刊编委会的观点。本刊为电子期刊,以网刊形式出版。

Clinical application of high-frame-rate contrast-enhanced ultrasound in grading and staging of bladder cancer

  • Mengting Chi 1 ,
  • Ping Zhao 2 ,
  • Jingbo Li 2 ,
  • Jianing Zhu 2 ,
  • Luda Song 2 ,
  • Yukun Luo 2 ,
  • Qiuyang Li , 2,
Expand
  • 1.Department of Ultrasound, First Medical Center, Chinese PLA General Hospital, Beijing 100853, China;Department of Medical Ultrasound, Ningbo Medical Center Lihuili Hospital, Ningbo 315046, China
  • 2.Department of Ultrasound, First Medical Center, Chinese PLA General Hospital, Beijing 100853, China
Corresponding author: Li Qiuyang, Email:

Received date: 2023-09-26

  Online published: 2024-01-15

Copyright

Copyright by Chinese Medical Association No content published by the journals of Chinese Medical Association may be reproduced or abridged without authorization. Please do not use or copy the layout and design of the journals without permission. All articles published represent the opinions of the authors, and do not reflect the official policy of the Chinese Medical Association or the Editorial Board, unless this is clearly specified.

摘要

目的

探讨高帧频超声造影(H-CEUS)在评估膀胱癌不同分级与分期的应用价值。

方法

回顾性分析2023年1月至3月解放军总医院第一医学中心的23例膀胱癌患者的H-CEUS特征,并与病理检查结果对照。按照病理级别分为低级别尿路上皮癌(LGUC)组与高级别尿路上皮癌(HGUC)组;按照病理分期分为非肌层浸润性膀胱癌(NMIBC)组和肌层浸润性膀胱癌(MIBC)组。采用t检验分析不同分级2组间及不同分期2组间患者的年龄、病灶不同径线大小的差异;采用Fisher精确检验分析不同分级2组间及不同分期2组间在H-CEUS下观察到的血管支数、血管形态、微泡直接进入病灶的膀胱壁来源层面及病灶基底处膀胱壁固有肌层完整性的差异。

结果

LGUC组(12例)与HGUC组(11例)比较,LGUC组的血管支数多为1~2支(66.7%,8/12),而HGUC组多为≥3支(54.5%,6/11),差异具有统计学意义(P=0.010);LGUC组膀胱壁固有肌层完整的占83.3%(10/12),而HGUC组膀胱壁固有肌层多不完整(72.7%,8/11),差异具有统计学意义(P=0.012)。LGUC组与HGUC组患者年龄、病灶不同径线大小、血管形态、微泡直接进入病灶的膀胱壁来源层面比较,差异均无统计学意义(P均>0.05)。NMIBC组(16例)与MIBC组(7例)比较,NMIBC组病灶内的血管支数多为1~2支(68.7%,11/16),而MIBC组多为≥3支(57.1%,4/7),差异具有统计学意义(P=0.003);NMIBC组与MIBC组相比,微泡多从黏膜层直接进入病灶(75.0% vs 14.3%,P=0.019);MIBC组与NMIBC组相比,固有肌层全部不完整(100% vs 18.7%,P<0.001)。NMIBC组与MIBC组病灶不同径线大小、基底部宽度及血管形态比较,差异均无统计学意义(P均>0.05)。

结论

H-CEUS大大提高了造影帧频,能较大程度上呈现肿瘤的灌注细节,为膀胱癌分级及分期带来新的诊断价值。

本文引用格式

池梦婷 , 赵萍 , 李静波 , 朱嘉宁 , 宋禄达 , 罗渝昆 , 李秋洋 . 高帧频超声造影在膀胱癌分级及分期中的应用价值[J]. 中华医学超声杂志(电子版), 2023 , 20(11) : 1107 -1113 . DOI: 10.3877/cma.j.issn.1672-6448.2023.11.001

Abstract

Objective

To evaluate the clinical value of high-frame-rate contrast-enhanced ultrasound (H-CEUS) in grading and staging bladder cancer.

Methods

The H-CEUS features of 23 patients with bladder cancer treated at the First Medical Center, Chinese PLA General Hospital from January to March 2023 were retrospectively analyzed and compared with pathological examination results. According to pathological grades, the patients were divided into a low grade urothelium carcinoma (LGUC) group and a high grade urothelium carcinoma (HGUC) group. According to pathological stages, the patients were divided into a non-muscular invasive bladder cancer (NMIBC) group and a muscular invasive bladder cancer (MIBC) group. The t test was used to compare the difference in age and tumor diameter between patients with different grades and different stages. The Fisher exact test was used to analyze the differences in the number of vascular branches, vascular morphology, the source bladder wall layer from which microbubbles directly entering the lesion, and the integrity of the intrinsic muscle layer of the bladder wall at the base of the lesion observed by H-CEUS between patients with different grades and different stages.

Results

The number of visible blood vessels within the lesion in the LGUC group (n=12) was mostly 1-2 (66.7%, 8/12), while it was ≥ 3 (54.5%, 6/11) in the HGUC group (n=11), with a statistically significant difference between the two groups (P=0.01). The percentage of patients with an intact mucosal layer was 83.3% (10/12) in the LGUC group, while it was 27.3% (3/11) in the HGUC group, with a statistically significant difference between the two groups (P=0.012). There was no significant difference between the LGUC group and HGUC group in patient’s age, lesion size, vascular morphology, and the source bladder wall layer from which microbubbles directly entering the lesion (P>0.05). The number of vessels in the NMIBC group (n=16) was 1-2 (68.7%, 11/16), while it was ≥ 3 (57.1%, 4/7) in the MIBC group (n=7), with a statistically significant difference between the two groups (P=0.003). Compared to MIBC, NMIBC had more microbubbles that entered into the lesion directly from the mucosal layer (75.0% vs 14.3%, P=0.019). Compared to NMIBC, MIBC mostly had an incomplete intrinsic muscle layer (100% vs 18.7%, P<0.001). There was no statistically significant difference between the NMIBC group and MIBC group in terms of lesion diameter, basal width, and vascular morphology.

Conclusion

H-CEUS greatly improves the contrast frame frequency, presents the perfusion details of the tumor to a large extent, and brings new diagnostic value to the staging and grading of bladder cancer.

膀胱癌是泌尿生殖系统最常见的恶性肿瘤1,复发率高,给患者带来极大痛苦。膀胱癌按照病理级别分为低级别尿路上皮癌(low grade urothelial carcinoma,LGUC)与高级别尿路上皮癌(high grade urothelial carcinoma,HGUC);按照病理分期分为非肌层浸润性膀胱癌(nonmuscular invasive bladder carcinoma,NMIBC)和肌层浸润性膀胱癌(muscular invasive bladder carcinoma,MIBC)。膀胱癌的分期和分级是影响治疗方法及预后的主要因素。
肿瘤新生血管的形成是肿瘤生存和发展的基础2。超声造影(contrast-enhanced ultrasound,CEUS)可实时显示肿瘤的血管结构和血供情况3-4,然而富血供的膀胱癌灌注非常迅速,目前的CEUS技术难以清楚显示灌注过程,从而影响其鉴别诊断。高帧频超声造影(high-frame-rate contrast enhanced ultrasound,H-CEUS)技术的时间分辨力较常规帧频CEUS显著提高,使肿瘤新生血管中微泡运动轨迹更加可视化,观察者可以在短暂的动脉灌注期捕捉到病灶更多灌注细节,从而提高诊断。目前H-CEUS已在肝脏5、胆囊6、淋巴结7以及血管斑块8等的诊断中进行研究,尚未运用于膀胱。因此本研究拟应用H-CEUS对膀胱癌进行术前分级及分期,并与病理结果相比较,以探讨其临床应用价值。

资料与方法

一、对象

选取2023年1月至3月在解放军总医院第一医学中心超声诊断科行CEUS并经病理证实的膀胱尿路上皮癌患者,所有患者均接受经尿道膀胱肿瘤切除术(transurethral resection of bladder tumors,TURBT)或外科手术治疗。纳入标准:(1)术前有完整CEUS影像资料;(2)手术病理证实为膀胱尿路上皮癌。排除标准:(1)初发或此次复发已接受过有关治疗,包括局部治疗和全身性治疗;(2)无法取得准确组织病理学结果。所有患者均知情同意。
共23例患者纳入研究,其中男性21例,女性2例,年龄(65±10)岁(范围35~86岁)。其中行TURBT者21例,行机器人辅助腹腔镜根治性膀胱切除术+双侧淋巴结清扫术者1例,行机器人辅助腹腔镜膀胱根治性切除术+回肠正位新膀胱术者1例。根据膀胱组织病理结果分为LGUC组与HGUC组、MIBC组与NMIBC组。

二、仪器与方法

1. 仪器:本研究使用迈瑞Resona 7型彩色多普勒超声诊断仪,探头型号SC5-1U,频率2~5 MHz。H-CEUS模式下帧频为66帧/s。选择0.072的低机械指数进行实时成像。采用声诺维(SonoVue,意大利博莱科公司)造影剂,主要成分为六氟化硫微泡。
2. 超声检查:首先行膀胱常规超声检查,患者适度充盈膀胱,仰卧位,多切面连续扫查膀胱,观察病灶数量(当检测到两个或多个瘤体时,对较大者进行分析)、位置等,并记录其平行径、垂直径。应用彩色多普勒技术观察病灶血流信息。H-CEUS检查:将造影剂加入5 ml 0.9%氯化钠溶液中充分震荡混匀成混悬液,经患者肘部浅静脉团注1.2 ml造影剂混悬液,随即推注5 ml 0.9%氯化钠溶液进行冲管。注入造影剂同时启动计时器,在H-CEUS模式下动态观察造影过程并获取,持续至少2 min,留存静态及动态成像,记录病灶基底部宽度、微流成像技术下病灶内的血管形态(点状、不规则血管)、可观察到的血管支数(0支、1~2支、≥3支)、微泡直接进入病灶的膀胱壁来源层面(分为仅来源于黏膜层或非仅来源于黏膜层)、病灶基底处膀胱壁固有肌层的完整性(分为肌层完整或肌层不完整)。
由2名具有5年以上腹部超声检查经验的超声医师在未知病理结果前提下对图像进行独立判读,若评估结果不一致,需经讨论后取得一致作为最终结果。

三、统计学分析

使用SPSS 25.0软件进行统计分析。符合正态分布的计量资料以表示,组间比较采用t检验,不符合正态分布的计量资料以MQR)表示,组间比较采用Mann Whitney U非参数检验;计数资料以频率表示,采用Fisher精确检验进行组间比较。P<0.05为差异具有统计学意义。

结果

一、患者一般情况

23例膀胱尿路上皮癌患者术后病理诊断结果:MIBC 7例,其中T2期4例,>T2期3例;NMIBC 16例,其中Tis期7例,Ta期3例,T1期6例。LGUC 12例,HGUC 11例。在患者年龄、性别、血尿症状方面,NMIBC组与MIBC组以及LGUC组与HGUC组比较,差异均无统计学意义(P均>0.05,表1)。
表1 NMIBC组与MIBC组以及LGUC组与HGUC组患者一般临床资料比较
组别 男性/女性(例) 年龄(岁, 血尿(有/无,例)
NMIBC组 16 16/0 64.88±11.55 13/3
MIBC组 7 5/2 64.71±7.52 6/1
统计值 - t=0.034 -
P 0.083 0.491 1.000
LGUC组 12 12/0 65.33±12.91 10/2
HGUC组 11 9/2 64.27±7.09 10/1
统计值 - t=0.241 -
P 0.217 0.321 1.000

注:LGUC为低级别尿路上皮癌,HGUC为高级别尿路上皮癌,NMIBC为非肌层浸润性膀胱癌,MIBC为肌层浸润性膀胱癌;-表示无相应统计值,采用Fisher检验

二、NMIBC组与MIBC组常规超声图像及H-CEUS特征比较

在H-CEUS观察下病灶的基底宽度、血管支数、微泡直接进入病灶的膀胱壁来源层面以及固有肌层的完整性方面,MIBC组与NMIBC组的差异均具有统计学意义(P均<0.05,表2图12)。MIBC组的基底较NMIBC组宽;MIBC组的血管分支数目多为≥3支(57.1%,4/7),而NMIBC组多为1~2支(68.7%,11/16);与MIBC组相比,NMIBC病灶基底处微泡多仅从黏膜层进入病灶(75.0% vs 14.3%),MIBC组的固有肌层均不完整(100% vs 18.7%)。NMIBC组与MIBC组在病灶平行径、垂直径、垂直径与平行径比值、血管形态方面比较,差异均无统计学意义(P均>0.05,表2)。
表2 NMIBC组与MIBC组常规超声图像及H-CEUS特征比较
特征 NMIBC(16例) MIBC(7例) 统计值 P
病理级别(例) - 0.027
LGUC 11 1
HGUC 5 6
平行径[cm,MQR)] 2.30(1.95,2.98) 2.70(2.20,4.50) Z=1.341 0.198
垂直径[cm,MQR)] 1.50(1.20,1.83) 1.80(1.00,2.00) Z=0.201 0.871
基底宽[cm,MQR)] 1.45(0.43,0.70) 2.20(1.60,3.60) Z=2.283 0.022
垂直径/平行径[MQR)] 0.70(0.55,0.83) 0.74(0.38,1.86) Z=0.000 1.000
H-CEUS显示血管数(例) - 0.003
0支 5 0
1~2支 11 3
≥3支 0 4
H-CEUS显示血管形态(例) - 0.124
点状 6 0
不规则 10 7
H-CEUS显示微泡路径(例) - 0.019
仅来源于黏膜层 12 1
非仅来源于黏膜层 4 6
固有肌层完整性(例) - <0.001
完整 13 0
不完整 3 7

注:NMIBC为非肌层浸润性膀胱癌;MIBC为肌层浸润性膀胱癌;H-CEUS为高帧频超声造影;-表示无相应统计值,采用Fisher检验

图1 1例54岁男性肌层浸润性膀胱癌患者常规超声及高帧频超声造影图像。图a:常规超声可见膀胱壁上一低回声病灶(*);图b:非黏膜层来源微泡进入病灶内部(↑);图c:病灶基底部多支血管影(↑),病灶内亦可见不规则血管影(▲);图d:病灶基底部固有肌层显示不完整(↑)
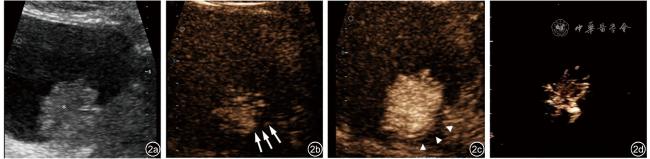
图2 一例66岁男性非肌层浸润性膀胱癌患者常规超声及高帧频超声造影图像。图a:常规超声可见膀胱壁上一低回声病灶(*);图b:来自黏膜层微泡进入病灶(↑);图c:动脉期显示完整的固有肌层(▲);图d:病灶内部不规则血管影

三、LGUC组与HGUC组常规超声图像及H-CEUS特征比较

在H-CEUS观察下病灶的血管支数以及固有肌层的完整性方面,LGUC组与HGUC组的差异均具有统计学意义(P均<0.05,表3图34)。LGUC组的血管分支数目多为1~2支(66.7%,8/12),而HGUC组多为≥3支(54.5%,6/11);LGUC组固有肌层完整的占83.3%(10/12),而HGUC组固有肌层多为不完整(72.7%,8/11)。LGUC组与HGUC组病灶平行径、垂直径、垂直径与平行径比值、基底宽度、血管形态、微泡直接进入病灶的膀胱壁来源层面比较,差异均无统计学意义(P均>0.05,表3)。
表3 LGUC组与HGUC组常规超声图像及H-CEUS特征比较
特征 LGUC(12例) HGUC(11例) 统计值 P
平行径[cm,MQR)] 2.30(1.95,3.48) 2.50(2.20,2.70) Z =0.556 0.608
垂直径[cm,MQR)] 1.55(1.23,2.58) 1.40(1.00,1.80) Z =-1.573 0.118
基底宽[cm,MQR)] 1.45(0.35,1.68) 2.00(0.70,2.20) Z =1.794 0.079
垂直径/平行径[MQR)] 0.75(0.66,0.86) 0.64(0.32,0.74) Z =-2.001 0.044
H-CEUS显示血管数(例) - 0.010
0支 4 1
1~2支 8 4
≥3支 0 6
H-CEUS显示血管形态(例) - 0.155
点状 5 1
不规则 7 10
H-CEUS显示微泡路径(例) - 1.000
仅来源于黏膜层 9 4
非仅来源于黏膜层 3 7
固有肌层完整性(例) - 0.012
完整 10 3
不完整 2 8

注:LGUC为低级别尿路上皮癌;HGUC为高级别尿路上皮癌;H-CEUS为高帧频超声造影;-表示无相应统计值,采用Fisher检验

图3 一例67岁男性高级别尿路上皮癌患者常规超声及高帧频超声造影图像。图a:常规超声可见膀胱壁低回声病灶(*);图b:病灶内非黏膜层来源的微泡声像图(↑);图c:动脉期显示不完整的固有肌层(↑);图d:病灶内多支形态不规则血管影(↑)
图4 1例67岁男性低级别尿路上皮癌患者常规超声及高帧频超声造影图像。图a:常规超声可见膀胱壁上一低回声病灶(*);图b:微泡自黏膜层进入病灶内部(↑);图c:病灶基底部显示单支血管影(↑)及显示完整的固有肌层(▲)

讨论

膀胱癌是泌尿系常见的恶性肿瘤,多发生于男性患者。当前的治疗策略是:NMIBC主要行TURBT,并根据病理级别选择药物行膀胱内化学灌注治疗;MIBC则需要采取更积极的治疗,主要为新辅助化疗+根治性膀胱切除术9-10。尽管超声是膀胱占位的常见影像学检查方法,可观察到一些与肿瘤相关的特征,如平行径与垂直径之比、形态、肌层完整性等,但是对于鉴别NMIBC与MIBC以及LGUC与HGCU仍存在一定的困难。
研究证实CEUS能够鉴别膀胱癌的分级以及判断是否侵犯肌层11,有望成为膀胱癌分期及分级的有效诊断手段。CEUS显示正常膀胱壁结构中黏膜层呈现早期高增强,持续1~2 min,而固有肌层则呈现延迟、低增强12。Zhu等13的研究结果显示MIBC患者的肌层会出现早期、高增强,而NMIBC患者的肌层显示完整连续,未见增强。李秋洋等14发现不同级别的膀胱上皮癌具有不同的增强表现,增强模式的差异是鉴别诊断高、低级别膀胱上皮癌的重要诊断指标,高级别病灶多表现为快进慢退,而低级别病灶多表现为快进快退。
CEUS是通过微泡在声场中的非线性效应及所产生的强烈背向散射来获得对比增强图像,使病变内的微血管构架易于显示,从而辅助判断病变的性质15。然而受CEUS帧频的影响,富血供的膀胱癌造影剂灌注过程迅速,灌注持续时间短暂,较低的时间分辨率容易丢失部分关键信息,对灌注细节显示不完整,导致病灶内血管构架观察不清晰。膀胱癌的血管形态决定了动脉早期微气泡的运动轨迹,因此,当帧频增加时,CEUS的时间分辨率得到改善,能够在动脉早期捕获膀胱癌的灌注细节,通过显示微气泡的运动细节,更清晰准确地展示膀胱癌的血管形态。
本研究结果显示,H-CEUS观察下HGCU、MIBC的血管数多为≥3支(57.1%、54.5%),而LGUC、NMIBC多为1~2支(68.7%、66.7%)。分析原因可能是由于肿瘤生存和发展的前提是其需要依赖从原有的脉管系统形成新的毛细血管,以满足和提供肿瘤细胞无限增殖所需要的营养,并且新生血管的数量也会随着肿瘤分期和分级的增加而增加2-3
H-CEUS观察下微泡直接进入病灶的膀胱壁来源层面仅源于黏膜层的有13例(12例为NMIBC,1例为MIBC),低估了1例,分析原因可能是H-CEUS虽然提高了时间分辨率,但仍然是在一个层面上进行观察,难以全面观察到肿瘤周边最真实的灌注情况,同时黏膜层微血管较固有肌层丰富,因此黏膜层血管内微泡轨迹较固有肌层血管内微泡轨迹更清晰、易观察。而在观察到的微泡直接进入病灶的膀胱壁来源层面非来源于黏膜层的10例患者中,有4例为NMIBC,高估4例,分析其原因可能是因为促血管生长因子能够影响到肿瘤附近正常血管的形态,使得与肿瘤相关的不规则血管可以延伸到病变边缘以外16
通过与最终病理结果进行对照分析肌层是否完整,发现本研究中有3例NMIBC患者被错误判断为肌层不完整。分析原因可能是12:过度充盈状态下膀胱壁菲薄,难以区分黏膜层与肌层的真实分界,因而影响了观察与判断;其次与膀胱癌的位置有关,与膀胱三角区相比,侧壁易产生伪像而难以观察。本研究中误诊的3例分别为左侧壁2例,右侧壁1例。
本研究仍然存在一些局限:首先,样本量相对较少,观察分析不同分级与不同分期膀胱癌在H-CEUS下的血管形态、血管支数、微泡进入瘤体路径及膀胱壁固有肌层是否完整,得到了初步的研究结果,但由于数据较少,有待在今后研究中增加病例进一步明确诊断效能。其次,尽管H-CEUS在一定程度上提高了时间分辨力,但微血管形态同样也受到空间分辨力的影响,而H-CEUS并不能解决空间分辨率的问题。最后,未进行H-CEUS与常规帧频CEUS的对比研究,有待今后进一步探讨。
综上所述,H-CEUS可以通过提高造影图像的帧频而获得更高的时间分辨力,对膀胱癌的微血管结构及灌注细节显示地更清晰直观,可为鉴别膀胱癌的分期提供更多有价值的信息,为临床治疗方案的选择及预后判断提供更多的依据。
1
Sung H, Ferlay J, Siegel RL, et al. Global cancer statistics 2020: GLOBOCAN estimates of incidence and mortality worldwide for 36 cancers in 185 countries [J]. CA Cancer J Clin, 2021, 71(3): 209-249.

2
Folkman J. What is the evidence that tumors are angiogenesis dependent? [J]. J Natl Cancer Inst, 1990, 82(1): 4-6.

3
朱嘉宁, 李静波, 罗渝昆, 等. 常规超声及超声造影在肾上腺肿瘤诊断中的应用 [J]. 中国研究型医院, 2022, 9(3): 57-60.

4
魏群, 蔡静宜, 罗晋, 等. 超声引导下真空辅助切除乳腺病灶的多中心队列真实世界研究 [J]. 中国研究型医院, 2023, 10(1): 39-44.

5
费翔, 罗渝昆, 李楠, 等. 高帧频超声造影在肝富血供占位性病变动脉期中的成像优势与临床价值 [J/OL]. 中华医学超声杂志(电子版), 2020, 17(9): 827-833.

6
韩鹏, 费翔, 罗渝昆, 等. 高帧频超声造影在鉴别诊断胆囊腺瘤性息肉与胆固醇性息肉中的临床应用 [J/OL]. 中华医学超声杂志(电子版), 2020, 17(9): 815-820.

7
梁舒媛, 罗渝昆, 费翔, 等. 高帧频超声造影在鉴别浅表淋巴结性质中的应用 [J/OL]. 中华医学超声杂志(电子版), 2020, 17(9): 841-847.

8
李楠, 梁舒媛, 费翔, 等. 高帧频超声造影对颈动脉粥样硬化斑块内新生血管的评价价值 [J/OL]. 中华医学超声杂志(电子版), 2020, 17(9): 854-859.

9
Witjes JA, Bruins HM, Cathomas R, et al. European Association of Urology Guidelines on Muscle-invasive and Metastatic Bladder Cancer: Summary of the 2020 Guidelines [J]. Eur Urol, 2021, 79(1): 82-104.

10
Babjuk M, Burger M, Capoun O, et al. European Association of Urology Guidelines on Non-muscle-invasive Bladder Cancer (Ta, T1, and Carcinoma in Situ) [J]. Eur Urol, 2022, 81(1): 75-94.

11
Ge X, Lan ZK, Chen J, et al. Effectiveness of contrast-enhanced ultrasound for detecting the staging and grading of bladder cancer: a systematic review and meta-analysis [J]. Med Ultrason, 2021, 23(1): 29-35.

12
Caruso G, Salvaggio G, Campisi A, et al. Bladder tumor staging: comparison of contrast-enhanced and gray-scale ultrasound [J]. AJR Am J Roentgenol, 2010, 194(1): 151-156.

13
Zhu J, Huang X, Liu L, et al. Can the vesical imaging reporting and data system (VI-RADS) score be applied in conventional ultrasound and contrast-enhanced ultrasound to differentiate muscle-invasive bladder cancer? [J]. Med Ultrason, 2023, 25(1): 22-28.

14
李秋洋, 唐杰, 何恩辉, 等. 超声造影在鉴别膀胱上皮癌分级中的应用价值 [J]. 中国医学科学院学报, 2012, 34(4): 364-368.

15
Sidhu PS, Cantisani V, Dietrich CF, et al. The EFSUMB guidelines and recommendations for the clinical practice of contrast-enhanced ultrasound (CEUS) in non-hepatic applications: update 2017 (short version) [J]. Ultraschall Med, 2018, 39(2): 154-180.

16
Hoyt K, Umphrey H, Lockhart M, et al. Ultrasound imaging of breast tumor perfusion and neovascular morphology [J]. Ultrasound Med Biol, 2015, 41(9): 2292-2302.

文章导航

/


AI


AI小编
你好!我是《中华医学电子期刊资源库》AI小编,有什么可以帮您的吗?