切换至 "中华医学电子期刊资源库"
病例报告

产前超声诊断胎儿双脐静脉一例

  • 李春晖 ,
  • 福林 ,
  • 段莎莎 ,
  • 宋海霞 ,
展开
  • 010030 呼和浩特,内蒙古医科大学附属医院超声科
通信作者:宋海霞,Email:

Copy editor: 吴春凤

收稿日期: 2022-10-10

  网络出版日期: 2024-01-15

版权

未经授权,不得转载、摘编本刊文章,不得使用本刊的版式设计,除非特别声明,本刊刊出的所有文章不代表中华医学会和本刊编委会的观点。本刊为电子期刊,以网刊形式出版。

Prenatal ultrasound diagnosis of double umbilical veins in a fetus: a case report

  • Chunhui Li ,
  • Lin Fu ,
  • Shasha Duan
Expand

Received date: 2022-10-10

  Online published: 2024-01-15

Copyright

Copyright by Chinese Medical Association No content published by the journals of Chinese Medical Association may be reproduced or abridged without authorization. Please do not use or copy the layout and design of the journals without permission. All articles published represent the opinions of the authors, and do not reflect the official policy of the Chinese Medical Association or the Editorial Board, unless this is clearly specified.

摘要

孕妇26岁,自然受孕,孕1产0,单胎妊娠,妊娠期合并甲状腺功能减退及糖尿病。孕12周胎儿颈项透明层厚度检查正常,静脉导管频谱正常。唐氏筛查、无创染色体检测均正常。孕22周6 d进行常规胎儿Ⅲ级超声检查,发现脐血管数目异常,脐带内有4条血管,2条脐动脉合并2条脐静脉()。腹部脐带血管入口处见2条脐静脉进入腹壁,进入腹壁后分别向胎儿腹部左右侧走行,右侧走行血管汇入右侧门静脉,左侧走行血管汇入左侧门静脉()。左侧门静脉向后发出静脉导管,静脉导管汇入下腔静脉,于静脉导管处可测得静脉导管频谱()。胎儿脐静脉、门静脉及其分支、肝静脉之间未见血管分流。超声提示:胎儿双脐静脉,持续性右脐静脉合并左脐静脉。于孕40周3 d剖宫产出生1男婴,体质量为3550 g,Apgar评分为9~10分。新生儿肝功能、心脏超声、黄疸值等检查结果均正常。出生后1 d超声检查,腹内段脐静脉及静脉导管未闭合,超声所见与产前检查相同。

本文引用格式

李春晖 , 福林 , 段莎莎 , 宋海霞 . 产前超声诊断胎儿双脐静脉一例[J]. 中华医学超声杂志(电子版), 2023 , 20(11) : 1221 -1222 . DOI: 10.3877/cma.j.issn.2096-1537.2023.11.021

孕妇26岁,自然受孕,孕1产0,单胎妊娠,妊娠期合并甲状腺功能减退及糖尿病。孕12周胎儿颈项透明层厚度检查正常,静脉导管频谱正常。唐氏筛查、无创染色体检测均正常。孕22周6 d进行常规胎儿Ⅲ级超声检查,发现脐血管数目异常,脐带内有4条血管,2条脐动脉合并2条脐静脉(图1)。腹部脐带血管入口处见2条脐静脉进入腹壁,进入腹壁后分别向胎儿腹部左右侧走行,右侧走行血管汇入右侧门静脉,左侧走行血管汇入左侧门静脉(图2)。左侧门静脉向后发出静脉导管,静脉导管汇入下腔静脉,于静脉导管处可测得静脉导管频谱(图3)。胎儿脐静脉、门静脉及其分支、肝静脉之间未见血管分流。超声提示:胎儿双脐静脉,持续性右脐静脉合并左脐静脉。于孕40周3 d剖宫产出生1男婴,体质量为3550 g,Apgar评分为9~10分。新生儿肝功能、心脏超声、黄疸值等检查结果均正常。出生后1 d超声检查,腹内段脐静脉及静脉导管未闭合,超声所见与产前检查相同。
图1 胎儿脐血管横切面超声声像图

注:UA为脐动脉,UV为脐静脉

图2 脐血管进入胎儿腹腔内走行的彩色多普勒超声图像

注:Rt UV为右脐静脉,Lt UV为左脐静脉,LPVi为门静脉左上支,LPVs为门静脉左下支,LPVm为门静脉左中支,RPV为右门静脉,DV为静脉导管

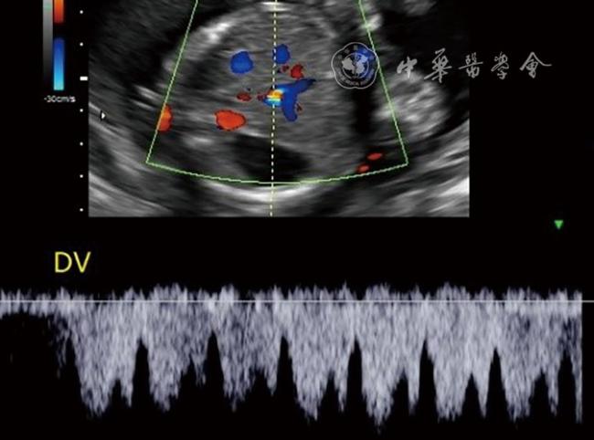
图3 胎儿静脉导管(DV)超声血流频谱图像
讨论 胎儿双脐静脉较罕见,胚胎发生原因为两侧脐静脉均未退化,脐带内存在2根脐静脉,呈现4根血管1。也有文献报道脐带内可为正常的一根脐静脉,伴局部异常的2根脐静脉2。正常左脐静脉汇入左侧门脉支,持续性右脐静脉则汇入右侧门脉支3。有文献报道该类异常可合并心脏、腔静脉、肠道等结构异常4。双脐静脉本身并不产生不良结果,若发现脐静脉异常,提示应进一步检查胎儿静脉系统及其他异常5
1
秦越, 文华轩, 廖伊梅, 等. 先天性脐静脉-门静脉系统发育异常新分类 [J/OL]. 中华医学超声杂志(电子版), 2020, 17(11): 1031-1050.

2
Kurakazu M, Kurakazu M, Murata M, et al. A partial supernumerary umbilical vein: a case report [J]. J Med Case Rep, 2019, 13(1): 149.

3
Avnet H, Shen O, Mazaki E, et al. Four-vessel umbilical cord [J]. Ultrasound Obstet Gynecol, 2011, 38(5): 604-606.

4
Puvabanditsin S, Garrow E, Bhatt M, et al. Four-vessel umbilical cord associated with multiple congenital anomalies: a case report and literature review [J]. Fetal Pediatr Pathol, 2011, 30(2): 98-105.

5
Karmegaraj B, Vaidyanathan B, Krishnan V, et al. Intra- and extraabdominalcourse of umbilical veins in a 4 vessel umbilical cord of a fetus with dextrotransposition of great vessels [J]. Am J Obstet Gynecol, 2020, 222(6): 619-622.

文章导航

/


AI


AI小编
你好!我是《中华医学电子期刊资源库》AI小编,有什么可以帮您的吗?