切换至 "中华医学电子期刊资源库"
肌肉骨骼超声影像学

基于EULAR-OMERACT评分系统的类风湿关节炎超声评估效果研究

  • 王铭 1 ,
  • 杨萌 , 1, ,
  • 赵瑞娜 1 ,
  • 王若蛟 1 ,
  • 陶葸茜 1 ,
  • 齐振红 1 ,
  • 张一休 1 ,
  • 苏娜 1 ,
  • 张睿 1 ,
  • 刘思锐 1 ,
  • 李建初 1 ,
  • 姜玉新 1
展开
  • 1.100730 中国医学科学院北京协和医学院超声医学科 北京协和医院疑难重症及罕见病国家重点实验室
通信作者:杨萌,Email:

Copy editor: 汪荣

收稿日期: 2023-01-13

  网络出版日期: 2024-03-05

基金资助

中央高水平医院临床科研专项(2022-PUMCH-C-009)

国家自然科学基金面上项目(61971447)

中央级公益性科研院所基本科研业务费(2022-RW320-02)

版权

未经授权,不得转载、摘编本刊文章,不得使用本刊的版式设计,除非特别声明,本刊刊出的所有文章不代表中华医学会和本刊编委会的观点。本刊为电子期刊,以网刊形式出版。

Ultrasound evaluation of rheumatoid arthritis based on EULAR-OMERACT scoring system

  • Ming Wang 1 ,
  • Meng Yang , 1, ,
  • Ruina Zhao 1 ,
  • Ruojiao Wang 1 ,
  • Xixi Tao 1 ,
  • Zhenhong Qi 1 ,
  • Yixiu Zhang 1 ,
  • Na Su 1 ,
  • Rui Zhang 1 ,
  • Sirui Liu 1 ,
  • Jianchu Li 1 ,
  • Yuxin Jiang 1
Expand
  • 1.Department of Ultrasound, State Key Laboratory of Complex Severe and Rare Diseases, Peking Union Medical College Hospital, Chinese Academy of Medical Sciences and Peking Union Medical College, Beijing 100730, China
Corresponding author: Yang Meng, Email:

Received date: 2023-01-13

  Online published: 2024-03-05

Copyright

Copyright by Chinese Medical Association No content published by the journals of Chinese Medical Association may be reproduced or abridged without authorization. Please do not use or copy the layout and design of the journals without permission. All articles published represent the opinions of the authors, and do not reflect the official policy of the Chinese Medical Association or the Editorial Board, unless this is clearly specified.

摘要

目的

基于静态及动态视频超声图像探索欧洲抗风湿联盟-风湿病结果测量(EULAR-OMERACT)评分对类风湿关节炎(RA)的超声评估效果。

方法

2022年3月至2022年9月纳入12位北京协和医院超声科医师参与本项研究,均为肌骨超声初学者。基于APP超声教考一体化平台,受试者首先接受EULAR–OMERACT滑膜炎评分(EOSS)灰阶超声(GSUS)及能量多普勒超声(PDUS)分级培训,随后以随机静态超声图像(n=80)、随机视频图像(n=72)以及GS-PD配对静态图像(n=92)三种训练模式进行5关节读图练习[第2/3掌指关节(MCP2/3)、腕关节及第2/3近指关节(PIP2/3)],考核学员对于RA的超声分级诊断能力。采用超声诊断评分符合率(TOA)及组内相关系数(ICC)对考核结果进行分析。

结果

随机静态超声图像、随机视频图像与GS-PD配对静态图像三种图像训练模式中,基于GS-PD配对静态图像的滑膜炎PDUS评估效果最好(TOA和ICC分别为66.3%、57.8%、82.0%,0.73、0.65、0.88);而对于滑膜炎GSUS评估,三种图像训练模式下超声诊断评分TOA相近,基于GS-PD配对静态图像时一致性稍高于其他二者(基于静态、视频、GS-PD配对图像的TOA和ICC分别50.4%、46.3%、48.9%,0.50、0.42、0.65)。与随机静态超声图像相比,基于GS-PD配对静态图像可显著提高MCP2关节GSUS分级一致性(ICC分别0.75、0.36),但对于腕关节及PIP2/3无明显改善。

结论

GS-PD配对静态超声图像训练模式有助于肌骨超声初学者掌握EULAR–OMERACT评分,尤其对于提高滑膜炎PDUS分级的准确性具有重要价值。

本文引用格式

王铭 , 杨萌 , 赵瑞娜 , 王若蛟 , 陶葸茜 , 齐振红 , 张一休 , 苏娜 , 张睿 , 刘思锐 , 李建初 , 姜玉新 . 基于EULAR-OMERACT评分系统的类风湿关节炎超声评估效果研究[J]. 中华医学超声杂志(电子版), 2023 , 20(12) : 1248 -1253 . DOI: 10.3877/cma.j.issn.1672-6448.2023.12.005

Abstract

Objective

To explore the performance of the EULAR-OMERACT scoring system in assessing rheumatoid arthritis (RA) based on static and video ultrasound (US) images.

Methods

From March 2022 to June 2022, 12 ultrasound physicians from Peking Union Medical College Hospital were included in this study, all of whom were junior musculoskeletal ultrasound physicians. Based on the APP integrated ultrasound platform of teaching and testing, all the physicians first received training of EULAR-OMERACT synovitis scoring (EOSS) in grey scale US (GSUS) and power Doppler US (PDUS) grading, and then performed 5-joint US image reading exercises [wrist, 2nd and 3rd metacarpophalangeal (MCP), and 2nd and 3rd proximal interphalangeal (PIP) joints] using three training methods [reading in random static images (n=80), random video images (n=72), and GSUS-PDUS paired static images (n=92)] to evaluate their ability to grade RA by US. The overall agreement rates (TOA, %) and intraclass correlation coefficient (ICC) values were calculated to analyze the assessment results.

Results

Among the three training methods used, synovitis PDUS grading in GSUS-PDUS paired static images had the best performance (TOA and ICC based on random static images, random video images, and GSUS-PDUS paired static images were 66.3%, 57.8%, and 82%, and 0.73, 0.65, and 0.88, respectively). For synovitis GSUS grading, the TOA of ultrasound assessment were similar among the three image training methods, but the consistency based on GSUS-PDUS paired static images was slightly higher than that of the other two (TOA and ICC based on random static images, random video images, and GSUS-PDUS paired static images were 50.4%, 46.3%, and 48.9%, and 0.50, 0.42, and 0.65, respectively). Compared with the training method based on random static images, the training method based om GSUS-PDUS paired US images had obviously improved the agreement of synovitis GSUS grading in MCP2 joint (ICC=0.75 and 0.36, respectively), but there was no improvement in wrist and PIP2/3 joints.

Conclusion

The training method based on GSUS-PDUS paired static US images may be helpful for junior musculoskeletal ultrasound physicians to master EULAR-OMERACT scoring for US grading of RA, especially in improving the accuracy of synovitis PDUS grading.

肌骨超声可敏感地检出滑膜炎性病变,其中灰阶超声(greyscale ultrasound,GSUS)可增强临床医师对类风湿关节炎(rheumatoid arthritis,RA)诊断的确定性,而能量多普勒超声(power Doppler ultrasound,PDUS)可通过滑膜血流监测反映疾病活动度1-2。鉴于肌骨超声在RA早期诊断、疾病监测和预后判断等方面具有重要价值,欧洲抗风湿病联盟(European League Against Rheumatism,EULAR)将其推荐为RA的一线筛查方法3-4。然而长期以来,操作者依赖性和观察者间一致性差限制了肌骨超声对RA疾病管理能力的提升。EULAR风湿病结果测量组织引入了一种标准化方法(EULAR-OMERACT synovitis scoring,EOSS)来规范化RA的超声评分,其中制定了滑膜肥厚和血流评价的0~3级量表,并推荐使用基于GSUS和PDUS的EULAR-OMERACT联合评分以进一步提高超声评估的可靠性5-6。虽然EOSS使得RA的超声分类更加标准化,但由于评估者固有偏倚,超声仍然会不可避免地受到观察者之间差异的影响7-8,因此如何提高超声医师对RA进行超声分级的可靠性一直是临床研究的热点。由于依赖患者实时操作练习通常非常耗时,同时也会引起患者的不适,因此基于超声图像的标准化训练模式近年来备受关注。本研究基于EOSS标准化评分,应用不同类型超声图像探索超声医师对RA评分的一致性,旨在针对肌骨超声初学者建立有效提高RA超声评估水平的培训方法,提高滑膜炎的GSUS及PDUS评分能力。

资料与方法

一、对象

2022年3月至2022年6月纳入12位北京协和医院超声科医师参与本项研究,均为肌骨超声初学者,女性10名,男性2名,平均年龄(29.25±5.97)岁。12位超声医师中8位为住院医师,4位为主治医师。其中3人关节超声操作经验为>50人次,5人关节超声操作经验为30~50人次,2人关节超声操作经验为<30人次,2人既往无关节超声操作经验。

二、方法

基于本研究团队自主创建的APP超声教考一体化平台9-10,所有学员接受以下步骤培训:(1)通过APP电子课程自主学习“关节炎超声评分”;(2)随后进入APP图文考核平台,基于静态超声图像以及视频图像进行训练,考核学员滑膜炎分级知识的掌握能力,最后对评分结果进行汇总分析。

(一)RA小关节超声电子课程

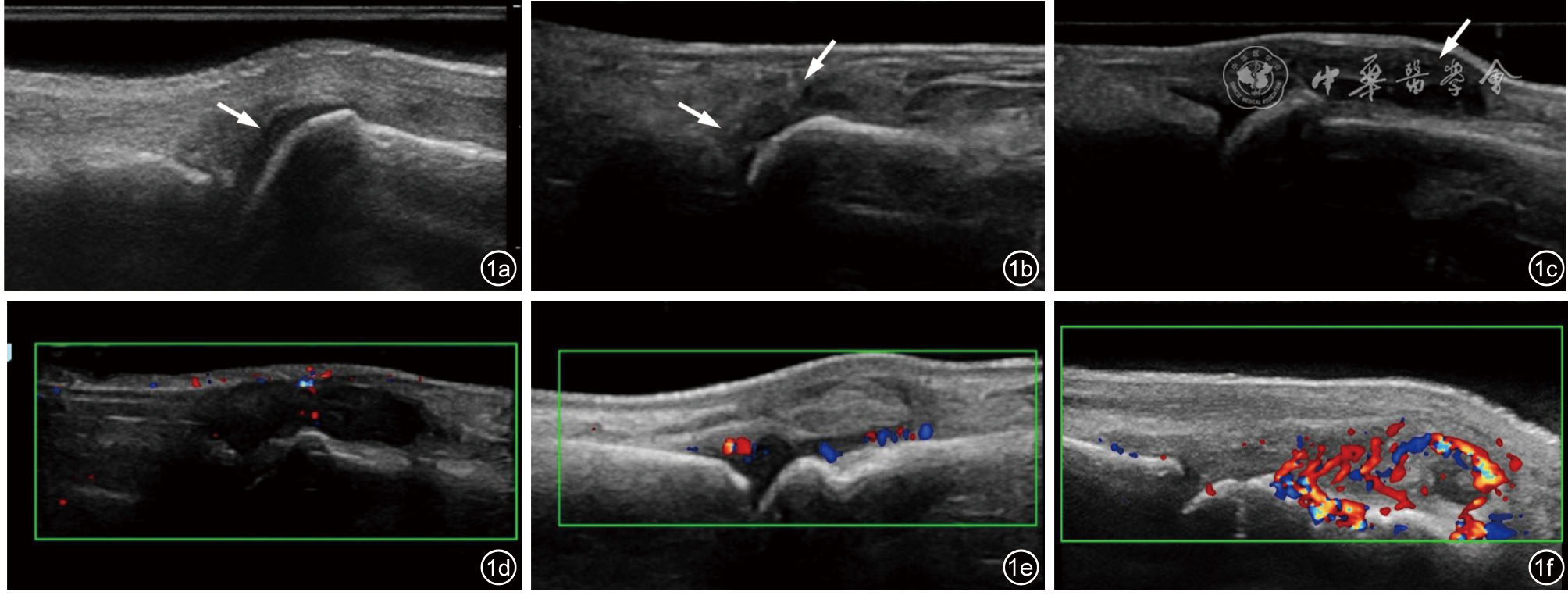
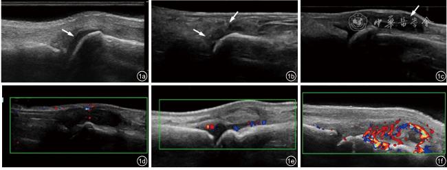
电子课程由3部分构成:(1)EOSS关节超声评分5,包括滑膜肥厚的GSUS及PDUS评分0~3级的定义及评分标准(表1)。(2)示例5关节正常声像图表现,即腕、第2和第3掌指关节(second and third metacarpophalangeal,MCP2/3)及第2和第3近指关节(second and third proximal interphalangeal,PIP2/3)。(3)筛选滑膜炎不同严重程度分级的超声图像,示例5关节滑膜炎GSUS及PDUS评分 0~3级(图1)。
表1 EOSS滑膜炎等级(0~3级)的评分定义
滑膜炎 灰阶超声 能量多普勒超声
0级(正常) 无滑膜肥厚伴或不伴积液 无多普勒血流信号
1级(轻度) 轻度低回声滑膜肥厚达关节骨表面水平连线 滑膜肥厚内可探及≤3处点状血流信号或一个条状及2个点状血流信号,或2处条状血流信号
2级(中度) 中度低回声滑膜肥厚超出关节线,但上表面呈凹陷(向下弯曲)或平坦状 大于1级,但血流信号≤50%滑膜肥厚面积
3级(重度) 重度低回声滑膜肥厚超出关节线,且上表面明显外凸 大于2级,血流信号>50%滑膜肥厚面积

注:EOSS为EULAR-OMERACT滑膜炎评分

图1 掌指关节滑膜肥厚及血流分级超声图像。图a~c依次为掌指关节滑膜肥厚0~3级(箭头所示为病变区域);图d~e依次为滑膜血流0~ 3级

(二)RA小关节超声试题库的建立

本研究中所有图像来源于2020年1月至2020年12月于北京协和医院风湿免疫科门诊就诊的93例RA患者。所有患者年龄>18岁,根据2010年美国风湿病学会/欧洲抗风湿病联盟(American College of Rheumatology/European League Against Rheumatism,ACR/EULAR)分级标准11诊断为RA,合并其他类型关节炎以及严重骨关节畸形者均被排除在外。本研究方法经北京协和医院伦理审查委员会批准(批件号:JS-1923),入选患者均获得书面知情同意。
2名具有6年肌骨超声诊断经验的超声医师根据EULAR指南,对93例RA患者双侧手部腕、掌指关节和指间关节进行超声扫查。对小关节背侧正中部进行纵向扫查,进行GSUS、PDUS成像,取关节中线处评估滑膜炎最大分级,并在该处同时获取静态和动态图像。获取动态图像时,超声成像平面保持不变,待图像稳定后,录制视频至少5 s。由于关节动态视频于研究后期开始收集,因此动态视频图像数量少于静态图像。
所有结果均由另外2名从事超声诊断4年、关节超声操作经验>2年的高年资超声医师依据EOSS对试题库匿名图像进行评分,如果出现分歧,则由另一位具有13年超声诊断经验的医师审阅图像,通过共同讨论达成共识。

(三)RA的超声评估一致性分析

通过以下3种方式考核学员的RA超声分级诊断能力,每种考核方式间隔2周进行一次。
1.基于随机静态图像及动态视频图像训练:从匿名登记的APP小关节超声试题库中选择一组包含滑膜炎0~3级的高质量5关节GSUS及PDUS静态及视频图像(GSUS静态和动态视频图像各40张,PDUS静态和动态视频图像分别为40张和32张),以随机排列的方式考核学员RA超声诊断能力。
2.基于灰阶超声-能量多普勒超声(GS-PD)配对静态图像训练:模拟患者在体检查,于APP超声试题库中选取10例RA患者,将所有5关节静态超声图像以GS-PD配对形式给出(共46对图像),即先进行GSUS评分,随后进行同一关节的PDUS评分。

三、统计学分析

应用SPSS 19.0软件对数据进行统计学分析,采用超声诊断评分符合率(total of agreement,TOA)及组内相关系数(intraclass correlation coefficients,ICC)对初学者培训读图结果与超声试题库判定结果的一致性进行分析。ICC<0.20表示一致性差,0.21~0.40表示一致性一般,0.41~0.60表示一致性中等,0.61~0.80表示一致性良好,0.81~1.0表示一致性极好12。超声诊断符合率定义为观察到的正确结果所占百分比,其中≥70%定义为诊断符合率较好6

结果

一、基于静态超声图像与视频图像的RA超声评估结果比较

5关节每个关节部位评分0~3级各2张代表性GSUS及PDUS静态及视频超声图像纳入读图考核(图1)。
在图像随机排列模式下,12名超声医师基于静态超声图像的PDUS评分结果优于视频图像(n=40/32),超声诊断评分TOA分别为66.3%、57.8%,ICC分别为0.73、0.65;而基于静态与基于视频图像的滑膜炎GSUS评分结果相近(n=40/40),TOA分别为50.4%、46.3%,ICC分别为0.50、0.42。
对不同部位关节进一步分析,基于视频图像训练的腕关节GSUS评分TOA较基于静态图像的TOA明显提高(n=8/8,40.6% vs 12.5%),其余关节GSUS评分TOA无明显变化(41.7%~54.2%、38.5%~57.3%)。基于视频图像的MCP3、PIP2/3关节PDUS评分TOA较静态图像明显下降(n=8/5/4,40%~50%;n均=8,61.5%~65.6%)。

二、基于随机排列图像训练模式与GS-PD配对图像训练模式的RA超声评估结果比较

配对图像考核中,共计46对5关节GS-PD配对静态超声图像纳入考核。与随机静态超声图像训练相比,采用GS-PD配对图像训练模式可较好提高滑膜炎的PDUS诊断评分能力,TOA分别为82%、66.3%,ICC分别为0.88、0.73;而对于滑膜炎GSUS评分,基于随机静态超声图像与采用GS-PD配对图像的ICC均呈中等水平(0.50 vs 0.65),且TOA均较低(50.4% vs 48.9%)。
值得注意的是,与随机静态超声图像训练相比,GS-PD配对静态图像训练模式可以显著提高MCP2关节GSUS评分的ICC(0.75 vs 0.36),但对于腕关节及PIP2/3无明显改善,其中腕关节GSUS评分的ICC最差(0.24),但TOA较高(71.3%),而PIP2/3关节GSUS评分的ICC差(0.37、0.27)且TOA不高(36.1%、29.6%)(图2)。
图2 三种图像训练模式下5关节滑膜炎灰阶超声、能量多普勒超声诊断评分结果

注:GSUS为灰阶超声;PDUS为能量多普勒超声;ICC为观察者间一致性;TOA为超声诊断评分符合率

讨论

本研究首次基于RA的超声静态图像及动态视频图像探索超声医师半定量评估的可靠性,该方法的主要优点在于与较长时间实时获取患者图像相比,耗时更短,可行性更强13。由于视频图像更接近于观察目标客观实际情况,可减少静态图像的操作者主观影响,因此基于视频图像的超声评估在多项RA分级诊断研究中均表现出良好的可靠性13,14,15。有学者报道,资深肌骨超声医师基于超声视频图像的RA分级诊断可获得与静态图像相似的效果(基于视频图像与静态图像的GSUS/PDUS超声评估Kappa值分别为 0.71/0.60、0.68/0.68),并认为视频图像训练可替代患者在体操作练习121416。本研究中基于随机视频图像训练时,除腕关节外,其余关节滑膜炎GSUS及PDUS诊断符合率并不明显优于静态超声图像,有时甚至降低,因此对于肌骨超声初学者单独使用视频图像训练可能并不能有助于滑膜炎超声评估能力的提高,为简化培训流程可优先使用静态图像进行培训练习。
本研究基于随机静态超声图像、随机视频图像与GS-PD配对静态图像三种图像训练模式中,GS-PD配对图像模式下滑膜炎的PDUS评估效果最好(TOA和ICC分别为82%、0.88),而对于滑膜炎GSUS分级,三种图像训练模式的超声诊断评分符合率均较差,GS-PD配对图像模式下一致性稍高于其他两者(基于静态、视频、GS-PD配对图像的TOA和ICC分别为50.4%、0.50,46.3%、0.42,48.9%、0.65)。考虑与以下因素相关,肥厚的滑膜与周边软组织灰度相似,GSUS对滑膜边界确定困难17-18,而 PDUS明亮的彩色信号更容易对其进行辨识19。此外,GSUS分级与肥厚滑膜形态相关,而滑膜形态本身具有多样性,判断存在一定主观性。PDUS与GSUS联合评估将有助于提高RA的超声诊断特异性,EULAR-OMERAC组织也推荐使用基于GS-PD的联合评分(0~3级),即同一关节滑膜炎GSUS与PDUS评分取最高分级作为该关节评分,以更加客观反映滑膜炎疾病活动度5。本研究中GS-PD配对训练模式可显著提高滑膜炎PDUS分级诊断能力(TOA和ICC分别为82%、0.88),其优于Ohrndorf等20研究(采用Szkudlarek评分)中有经验的超声医师(26位超声医师既往关节超声经验为500~10000例次)的诊断水平(TOA和Kappa分别为 75.8%、0.57);与何丽君等21研究中(采用EULAR-OMERACT评分)经验丰富的超声医师(2位超声医师分别具有10年与1.5年肌骨超声工作经验)的诊断水平相仿(Kappa 0.89)。GS-PD图像配对训练模式可以通过PDUS血流分布辅助GSUS识别滑膜范围,对滑膜炎分级诊断形成正反馈训练。
对不同部位关节GS-PD配对图像考核效果分析,显示腕关节GSUS评分的ICC最差(0.24),而PIP2/3关节GSUS评分的误判率最高(TOA为36.1%、29.6%),提示上述关节需重点加强培训。上述结果可能与腕关节解剖结构复杂,以及受试者对超声诊断标准存在意见分歧有关22,建议在未来培训中对关节超声评分标准进行更加具体化描述,同时增加不同分级评分的超声示例图,从而实现诊断标准的统一。而PIP由于解剖结构比较小,静态超声图像下对于滑膜炎0/1级、2/3级区分困难,因此建议在未来培训中可采用视频图像与静态图像结合的方式进行培训,以进一步验证是否有助于提高超声诊断效果。
综上所述,GS-PD配对静态图像可作为肌骨超声初学者EULAR-OMERACT评分法的有效培训手段,尤其对于PDUS的分级准确性提高具有重要价值,而基于静态超声图像与基于视频图像的滑膜炎GSUS评估一致性相似,针对误判率较高、一致性较差的病变类型进行图像规范化、诊断标准化的递进强化培训,将有助于优化并提高超声医师对于滑膜炎评估的可靠性。
1
Colebatch AN, Edwards CJ, Østergaard M, et al. EULAR recommendations for the use of imaging of the joints in the clinical management of rheumatoid arthritis[J]. Ann Rheum Dis, 2013, 72(6): 804-814.

2
王博冉, 乔春梅, 李春歌, 等. 多模态超声检查技术及超声评分方法在类风湿性关节炎中的应用[J/OL].中华医学超声杂志(电子版): 2021,18(3): 330-333.

3
Costantino F, Carmona  L, Boers M, et al. EULAR recommendations for the reporting of ultrasound studies in rheumatic and musculoskeletal diseases (RMDs) [J]. Ann Rheum Dis, 2021, 80(7): 840-847.

4
Möller I, Janta I, Backhaus M, et al. The 2017 EULAR standardised procedures for ultrasound imaging in rheumatology [J]. Ann Rheum Dis, 2017, 76(12): 1974-1979.

5
D'Agostino MA, Terslev L, Aegerter P, et al. Scoring ultrasound synovitis in rheumatoid arthritis: a EULAROMERACT ultrasound taskforce-Part 1: definition and development of a standardized consensus-based scoring system [J]. RMD open, 2017, 3(1): e000428.

6
Scheel AK, Schmidt WA, Hermann KG, et al. Interobserver reliability of rheumatologists performing musculoskeletal ultrasonography: results from a EULAR "Train the trainers" course [J]. Ann Rheum Dis, 2005, 64(7): 1043-1049.

7
Terslev L, Naredo E, Aegerter  P, et al. Scoring ultrasound synovitis in rheumatoid arthritis: a EULAROMERACT ultrasound taskforce-Part 2: reliability and application to multiple joints of a standardised consensus-based scoring system [J]. RMD open, 2017, 3(1): e000427.

8
Hammer HB, Bolton-King P, Bakkeheim V, et al. Examination of intra and interrater reliability with a new ultrasonoimagedata reference atlas for scoring of synovitis in patients with rheumatoid arthritis[J]. Ann Rheum Dis, 2011, 70(11): 1995-1998.

9
王铭, 杨萌, 赵辰阳, 等. 基于APP的教考结合自主学习模式在小关节超声培训中的应用 [J/OL]. 中华超声医学杂志(电子版), 2022, 19(1): 66-70.

10
王铭, 赵辰阳, 韦瑶, 等.基于APP线上自主学习模式的关节超声诊断的精准教学探索[J].基础医学与临床, 2021, 41(9): 1371-1375.

11
Mjaavatten MD, Bykerk VP. Early rheumatoid arthritis: The performance of the 2011ACR/EULAR criteria for diagnosing RA [J]. Best Pract Res Clin Rheumatol, 2013, 27(4): 451-466.

12
Ventura-Ríos L, Hernández-Díaz C, Ferrusquia-Toríz D, et al. Reliability of ultrasound grading traditional score and new global OMERACT-EULAR score system (GLOESS): results from an inter- and intra-reading exercise by rheumatologists [J]. Clin Rheumatol, 2017, 36(12): 2799-2804.

13
Vlad V, Berghea F, Iagnocco A, et al. Inter & intra-observer reliability of grading ultrasound videoclips with hand pathology in rheumatoid arthritis by using non-sophisticated internet tools (LUMINA study) [J]. Med Ultrason, 2014, 16(1): 32-36.

14
Koski JM, Saarakkala S, Helle M, et al. Assessing the intra and inter-reader reliability of dynamic ultrasound images in power Doppler ultrasonography [J]. Ann Rheum Dis, 2006, 65(12): 1658-1660.

15
Ventura-Ríos L, Navarro-Compan V, Aliste M, et al. Is entheses ultrasound reliable? A reading Latin American exercise [J]. Clin Rheumatol, 2016, 35(5): 1353-1357.

16
Naredo E, Rodriguez M, Campos C, et al. Validity, reproducibility and responsiveness of a twelve joint simplified power Doppler ultrasonoimagedata assessment of joint inflammation in rheumatoid arthritis[J]. Arthritis Rheum, 2008, 59(4): 515-522.

17
Mandl P, Kurucz R, Niedermayer D, et al. Contributions of ultrasound beyond clinical data in assessing inflammatory disease activity in rheumatoid arthritis: current insights and future prospects[J]. Rheumatology, 2014, 53(12): 2136-2142.

18
Cheung P, Dougados M, Gossec L. Reliability of ultrasonography to detect synovitis in rheumatoid arthritis: a systematic literature review of 35 studies (1,415 patients) [J]. Arthritis Car Res, 2010, 62(3): 323-334.

19
Naredo E, Bonilla G, Gamero F, et al. Assessment of inflammatory activity in rheumatoid arthritis:a comparative study of clinical evaluation with grey scale and power Doppler ultrasonography[J]. Ann Rheum Dis, 2005, 64(3): 375-381.

20
Ohrndorf S, Fischer IU, Kellner H, et al. Reliability of the novel 7-joint ultrasound score: Results from an inter - and intraobserver study performed by rheumatologists [J]. Arthritis Care Res (Hoboken), 2012, 64(8):1238-1243.

21
何丽君, 何芸, 覃折波, 等. 2017欧洲抗风湿联盟类风湿关节炎超声评分法临床应用的可行性研究[J].第三军医大学学报, 2021, 43(9): 863-870.

22
Szkudlarek M, Court-Payen M, Jacobsen S, et al. Interobserver agreement in ultrasonography of the finger and toe joints in rheumatoid arthritis [J]. Arthritis Rheum, 2003, 48(4): 955-962.

文章导航

/


AI


AI小编
你好!我是《中华医学电子期刊资源库》AI小编,有什么可以帮您的吗?