切换至 "中华医学电子期刊资源库"
妇产科超声影像学

胎儿左心房后间隙指数在胎儿肺动脉瓣缺如综合征中的应用价值

  • 张盼盼 1 ,
  • 赵博文 , 2, ,
  • 潘美 2 ,
  • 彭晓慧 2 ,
  • 陈冉 2 ,
  • 田园诗 2 ,
  • 林仙方 3 ,
  • 惠姗姗 2 ,
  • 沈婷婷 2
展开
  • 1.310016 杭州,浙江大学医学院附属邵逸夫医院超声科 浙江省胎儿心脏超声诊断技术指导中心 浙江大学邵逸夫临床医学研究所;317000 临海,浙江省台州医院超声科
  • 2.310016 杭州,浙江大学医学院附属邵逸夫医院超声科 浙江省胎儿心脏超声诊断技术指导中心 浙江大学邵逸夫临床医学研究所
  • 3.317000 临海,浙江省台州医院超声科
通信作者:赵博文,Email:

Copy editor: 汪荣

收稿日期: 2024-02-17

  网络出版日期: 2024-06-13

基金资助

国家重点研发计划项目(2023YFC2705700)

浙江大学科学技术研究院一般横向项目(校合-2021-KYY-518053-0055)

版权

未经授权,不得转载、摘编本刊文章,不得使用本刊的版式设计,除非特别声明,本刊刊出的所有文章不代表中华医学会和本刊编委会的观点。本刊为电子期刊,以网刊形式出版。

Application value of post-left atrium space index in fetuses with absent pulmonary valve syndrome

  • Panpan Zhang 1 ,
  • Bowen Zhao , 2, ,
  • Mei Pan 2 ,
  • Xiaohui Peng 2 ,
  • Ran Chen 2 ,
  • Yuanshi Tian 2 ,
  • Xianfang Lin 3 ,
  • Shanshan Hui 2 ,
  • Tingting Shen 2
Expand
  • 1.Department of Diagnostic Ultrasound & Echocardiography, Sir Run Run Shaw Hospital, Zhejiang University College of Medicine, Technical Guidance Center for Fetal Echocardiography of Zhejiang Province & Sir Run Run Shaw Institute of Clinical Medicine of Zhejiang University, Hangzhou 310016, China;Department of Ultrasound, Taizhou Hospital of Zhejiang Province, Linhai 317000, China
  • 2.Department of Diagnostic Ultrasound & Echocardiography, Sir Run Run Shaw Hospital, Zhejiang University College of Medicine, Technical Guidance Center for Fetal Echocardiography of Zhejiang Province & Sir Run Run Shaw Institute of Clinical Medicine of Zhejiang University, Hangzhou 310016, China
  • 3.Department of Ultrasound, Taizhou Hospital of Zhejiang Province, Linhai 317000, China
Corresponding author: Zhao Bowen, Email:

Received date: 2024-02-17

  Online published: 2024-06-13

Copyright

Copyright by Chinese Medical Association No content published by the journals of Chinese Medical Association may be reproduced or abridged without authorization. Please do not use or copy the layout and design of the journals without permission. All articles published represent the opinions of the authors, and do not reflect the official policy of the Chinese Medical Association or the Editorial Board, unless this is clearly specified.

摘要

目的

定量分析左心房后间隙(PLAS)及左心房后间隙指数(PLASI)在正常胎儿及肺动脉瓣缺如综合征(APVS)胎儿中的变化规律和差异性,探讨PLAS、PLASI在APVS胎儿中的应用价值。

方法

回顾性分析2011年10月至2023年9月在浙江大学医学院附属邵逸夫医院诊断为APVS的胎儿20例作为APVS组,选取 2021年2月至2023年2月连续检查的261例正常胎儿作为对照组。在收缩末期四腔心切面测量PLAS和降主动脉(DA)内径,并计算两者之间的比值,即PLASI。比较对照组与APVS组胎儿的PLAS、DA内径及PLASI,绘制ROC曲线分析PLAS、PLASI诊断APVS的效能。同时,分析对照组及APVS组胎儿的PLAS、DA内径、PLASI与孕龄的关系,以及APVS组胎儿的特征性超声表现及与PLAS、PLASI的相关性。

结果

APVS组胎儿的PLAS、PLASI明显高于对照组[(4.74±1.38)mm vs(2.70±0.62)mm、1.225±0.210 vs 0.659±0.111,P均<0.0001]。ROC曲线分析显示,PLAS曲线下面积为0.958,当PLAS>3.3 mm时,PLAS鉴别APVS与正常胎儿的敏感度为90%,特异度为85%;PLASI曲线下面积为1.000,当PLASI>0.93时,PLASI鉴别APVS与正常胎儿的敏感度为100%,特异度为99.2%。在对照组中,PLAS与孕龄呈正相关(r=0.5495,P<0.0001),DA内径与孕龄呈正相关(r=0.6327,P<0.0001);在APVS组中,PLAS、DA内径均与孕龄无显著相关性(P均>0.05)。对照组和APVS组的PLASI与孕龄均无显著相关性(P=0.127、0.1008)。PLAS与肺动脉主干内径无明显相关性(P=0.2255),与心轴呈正相关(r=0.5140,P=0.0204)。PLASI与肺动脉主干内径、心轴均无明显相关性(P=0.2180、0.1299)。

结论

APVS胎儿的PLAS失去正常规律,PLAS与PLASI明显高于正常胎儿。当PLAS>3.3 mm,PLASI介于0.93~1.0之间时,PLAS及PLASI可作为评估APVS的辅助指标。

本文引用格式

张盼盼 , 赵博文 , 潘美 , 彭晓慧 , 陈冉 , 田园诗 , 林仙方 , 惠姗姗 , 沈婷婷 . 胎儿左心房后间隙指数在胎儿肺动脉瓣缺如综合征中的应用价值[J]. 中华医学超声杂志(电子版), 2024 , 21(04) : 391 -398 . DOI: 10.3877/cma.j.issn.1672-6448.2024.04.007

Abstract

Objective

To quantitatively analyze the variations of the post-left atrium space (PLAS) and post-left atrium space index (PLASI) in normal fetuses during the mid-to-late gestational period and fetuses with absent pulmonary valve syndrome (APVS), and to explore the application value of PLAS and PLASI in APVS fetuses.

Methods

A retrospective analysis was conducted on 20 fetuses diagnosed with APVS at Sir Run Run Shaw Hospital, Zhejiang University College of Medicine from October 2011 to September 2023, as well as 261 normal fetuses consecutively examined between February 2021 and February 2023. Measurements of PLAS and the diameter of the descending aorta (DA) were obtained in the four-chamber view, and PLASI was calculated. PLAS, DA diameter, and PLASI were compared between the control group and the APVS group. Receiver operating characteristic (ROC) curve analysis was performed to assess the diagnostic efficacy of PLAS and PLASI for APVS. Additionally, the relationships between PLAS, DA diameter, PLASI, and gestational age (GA) in both the control and APVS groups were examined. Furthermore, the characteristic ultrasound features of fetuses in the APVS group and their correlations with PLAS and PLASI were analyzed.

Results

Compared with the control group, the APVS group exhibited significantly higher PLAS and PLASI values [(4.74±1.38) mm vs (2.70±0.62) mm and 1.225±0.210 vs 0.659±0.111, respectively, P<0.0001 for both]. ROC curve analysis indicated that the area under the ROC curve of PLAS was 0.958. When PLAS >3.3 mm was used as the cutoff point, the sensitivity and specificity of PLAS in distinguishing APVS from normal fetuses were 90% and 85%, respectively. The area under the ROC curve of PLASI was 1.000, When PLASI >0.93 was used as the cutoff point, the sensitivity and specificity of PLASI in distinguishing APVS from normal fetuses were 100% and 99.2%, respectively. In the control group, PLAS was positively correlated with GA (r=0.5495, P<0.0001), as was the DA diameter (r=0.6327, P<0.0001). In the APVS group, neither PLAS nor DA diameter showed a significant correlation with GA (P>0.05 for both). PLASI was not significantly correlated with GA in either the control group or the APVS group (P=0.127 and 0.1008, respectively). PLAS showed no significant association with the diameter of the main pulmonary artery (MPA) (P=0.2255), but exhibited a positive correlation with the cardiac axis (r=0.5140, P=0.0204). PLASI was not significantly correlated with either MPA diameter or the cardiac axis (P=0.2180 and 0.1299, respectively).

Conclusion

In APVS fetuses, PLAS loses its normal pattern, and both PLAS and PLASI are significantly higher than those in normal fetuses. Considering both sensitivity and specificity, when PLAS>3.3 mm and 1.0>PLASI >0.93 are used as the cutoff points, PLAS and PLASI can serve as effective assistant indicators for predicting APVS.

肺动脉瓣缺如综合征(absent pulmonary valve syndrome,APVS)是以肺动脉瓣缺失或发育不全为主要特征的先天性心脏病(congenital heart diseases,CHD),属于圆锥动脉干畸形(conotruncal defects,CTD)的范畴,占活产儿CHD的0.2%~0.4%1。胎儿超声心动图被认为是诊断APVS的可靠方法,可出现未见正常肺动脉瓣结构的直接超声征象,肺动脉扩张伴瓣口高速“穿梭”样血流信号的间接超声征象等2,3,4。目前,大多数研究涉及的是妊娠中晚期病例,早期诊断APVS仍面临挑战5,6,7:首先,超声在孕早期评估肺动脉瓣是否存在具有一定难度,尤其是在基层医院,可能因超声医师的经验缺乏,无法满足有效诊断罕见CHD的需求;其次,肺动脉扩张是APVS胎儿最容易被关注到的异常征象,然而肺动脉扩张很少发生在妊娠20周之前8,APVS可以出现肺动脉狭窄或肺动脉瓣反流的超声特征,从而造成误诊。因此,需要更多直观且容易掌握的辅助指标,来提示APVS的存在。
在胎儿超声心动图标准四腔心切面,左心房(left atrium,LA)后壁至降主动脉(descending aorta,DA)前壁的间隙,被定义为左心房后间隙(post–left atrium space,PLAS)9,PLAS与DA内径的比值,即左心房后间隙指数(post–left atrium space index,PLASI)。Berg等10发现,部分CHD胎儿,尤其是内脏异位综合征和圆锥动脉干畸形的胎儿,出现PLAS增宽的现象,从而提出PLAS和PLASI可作为筛查CHD的间接指标。Kawazu等9、Akkurt等11的研究认为,PLAS增宽可作为诊断完全性肺静脉异位引流(total anomalous pulmonary venous connection,TAPVC)的可靠指标,但其他类型的CHD是否与PLAS增宽存在相关性的报道尚未可见。在临床实践中,观察到APVS胎儿同样可以出现PLAS增宽,因此,本研究拟通过分析正常胎儿及APVS胎儿的PLAS及PLASI变化规律,比较APVS胎儿与正常胎儿的PLAS及PLASI差异性,探讨其在APVS胎儿评估中的应用价值。

资料与方法

一、对象

回顾性分析2011年10月至2023年9月在浙江大学医学院附属邵逸夫医院超声科行胎儿超声心动图检查诊断为APVS1-212的胎儿20例作为APVS组。选取2021年2月至2023年2月连续检查的261例正常胎儿作为对照组。对照组纳入标准:胎儿超声心动图检查提示为“未见异常”的正常胎儿。病例组及对照组排除标准:(1)根据双顶径(biparietal diameter,BPD)及股骨长(femur length,FL)超声测值估算的胎儿孕龄(gestational age,GA)与孕妇按末次月经计算的GA不相符(>±2SD);(2)存在心脏或心脏以外的异常;(3)因孕妇肥胖、腹部瘢痕、胎儿体位等各种原因导致无法获得清晰且标准的四腔心切面。所有入选的孕妇检查前均仔细阅读纸质版“胎儿超声心动图检查知情同意书(CON157 10/13)”,并签署电子版知情同意书。本研究为回顾性研究,经浙江大学医学院附属邵逸夫医院伦理委员会审批同意(审批号:20200210-78)。

二、仪器与方法

1.仪器:应用Philips iE33及GE Voluson E10彩色多普勒超声诊断仪,采用的探头包括S8-3、S5-1心脏相控阵探头,C2-9腹部凸阵探头及三维容积探头RM6C,频率分别为3~8 MHz、1~5 MHz、2~9 MHz及2~7 MHz。
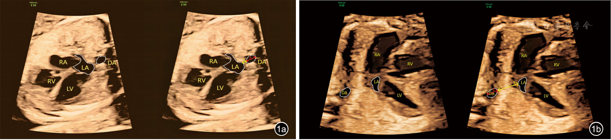
2.测量标准911:在收缩末期的标准四腔心切面,经过胎儿心脏十字交叉和DA的中点画一条线,沿线测量LA后壁外侧缘至DA前壁外侧缘的距离(PLSA)、DA前壁内侧缘至后壁内侧缘的距离(DA内径)。每个参数均测量三次取平均值,单位mm。PLASI=PLSA/DA内径(图1)。
图1 标准四腔心切面左心房后间隙(PLAS)测量超声图像。图a为正常胎儿;图b为肺动脉瓣缺如综合征胎儿[图中黄色线段1为PLAS,红色线段2为降主动脉(DA)内径,左心房后间隙指数(PLASI)=PLAS/DA内径]

注:LA为左心房;LV为左心室;RA为右心房;RV为右心室;DA为降主动脉

3.一致性检验:由2名经验丰富的高年资医师完成所有胎儿的PLAS及DA内径的测量。随机选取20例正常胎儿,由2名观察者进行PLAS和DA内径的重复测量,其中一名观察者进行两次测量,间隔时间为2周。

三、统计学分析

采用SPSS 25.0统计软件进行数据分析,计量资料以表示。应用Bland-Altman绘图判断观察者内部和观察者之间的一致性。PLAS、DA内径及PLASI与GA之间的相关性采用Pearson相关分析。应用ROC曲线分析PLASI诊断胎儿APVS的敏感度和特异度。以P<0.05为差异有统计学意义。

结果

一、一般资料

APVS组20例(图2),孕妇平均年龄(27.5±3.6)岁,平均诊断GA(24.9±2.1)周。对照组261例,孕妇平均年龄(30.6±3.6)岁,行胎儿超声心动图检查的GA范围16~37+1周,平均GA(26.9±4.4)周。
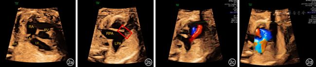
图2 肺动脉瓣缺如综合征胎儿四腔心切面及右心室流出道-肺动脉分支切面超声图像。图a为四腔心切面显示左右心比例不对称,右心明显增大,心轴左偏;图b红框标记为肺动脉瓣环处,未见明显瓣叶结构回声。肺动脉主干及左右分支显著扩张,呈“鲸鱼尾”征;图c,d为彩色多普勒图像,显示肺动脉瓣环处往返于右心室与肺动脉之间的高速“穿梭”样血流信号,其中图c为舒张期,可见由明显扩张的肺动脉主干及分支反流进入右心室的红色血流信号;图d为舒张期,可见右心血流经过肺动脉瓣环冲击肺动脉及其分支的蓝色血流信号

注:LA为左心房;LV为左心室;RA为右心房;RV为右心室;LPA为左肺动脉;RPA为右肺动脉;DA为降主动脉

二、对照组与APVS组胎儿的PLAS、DA内径及PLASI的比较

依据GA将对照组分为4组:16~20+6周26例,21~25+6周66例,26~30+6周114例,31~37+1周55例。对照组中不同GA亚组的PLAS均值、DA内径均值见表1
表1 对照组中不同孕龄胎儿的PLAS、DA内径测量结果(
孕龄(周) 例数 PLAS(mm) DA内径(mm)
16~20+6 26 1.92±0.42 3.10±0.40
21~25+6 66 2.44±0.37 3.90±0.53
26~30+6 114 2.76±0.53 4.13±0.56
31~37+1 55 3.24±0.58 4.81±0.75

注:PLAS为左心房后间隙;DA为降主动脉

与对照组比较,APVS组胎儿的PLAS明显高于对照组[(4.74±1.38)mm vs(2.70±0.62)mm];APVS组胎儿的PLASI明显高于对照组(1.225±0.210 vs 0.659±0.111),差异均具有统计学意义(P均<0.0001,表2)。
表2 对照组与APVS组胎儿的PLAS、DA内径及PLASI比较(
组别 例数 PLAS(mm) DA内径(mm) PLASI
对照组 261 2.70±0.62 4.11±0.73 0.659±0.111
APVS组 20 4.74±1.38 3.84±0.79 1.225±0.210
t -6.56 1.48 -11.93
P P<0.0001 P>0.05 P<0.0001

注:APVS为肺动脉瓣缺如综合征;PLAS为左心房后间隙;DA为降主动脉;PLASI为左心房后间隙指数

三、PLAS、PLASI诊断APVS的ROC曲线分析

通过ROC曲线分析,PLAS曲线下面积为0.958(95%置信区间:0.926~0.990,P<0.0001),当PLAS>3.3 mm时,PLAS鉴别APVS与正常胎儿的敏感度为90%,特异度为85%;PLASI曲线下面积为1.000(95%置信区间:0.999~1.000,P<0.0001),当PLASI>0.93时,PLASI鉴别APVS与正常胎儿的敏感度为100%,特异度为99.2%(图3)。
图3 左心房后间隙、左心房后间隙指数诊断肺动脉瓣缺如综合征的ROC曲线图

注:PLAS为左心房后间隙;AUC为曲线下面积

四、对照组及APVS组胎儿的PLAS、DA内径、PLASI与GA的关系

分别将对照组261例正常胎儿、APVS组20例胎儿的PLAS、DA内径、PLASI与GA进行相关性分析。
在对照组中,PLAS与GA呈正相关(r=0.5495,P<0.0001),线性回归方程为Y=0.007307×GA +0.06911,DA内径与GA呈正相关(r=0.6327,P<0.0001),线性回归方程为Y=0.01031×GA + 0.1329;在APVS组中,PLAS、DA内径均与GA无显著相关性(P均>0.05,图4)。
图4 肺动脉瓣缺如综合征胎儿及正常胎儿的左心房后间隙、降主动脉内径与孕龄的相关性分析散点图。图a,b分别为左心房后间隙、降主动脉内径与孕龄的相关性分析散点图

注:GA为孕龄;DA为降主动脉;PLAS为左心房后间隙;APVS为肺动脉瓣缺如综合征

无论是对照组还是APVS组,PLASI与GA均无显著相关性(P=0.1270、0.1008,图5)。
图5 肺动脉瓣缺如综合征胎儿及正常胎儿的左心房后间隙指数与孕龄的相关性分析散点图

注:GA为孕龄;PLASI为左心房后间隙指数;APVS为肺动脉瓣缺如综合征

五、APVS组胎儿的特征性超声表现及与PLAS、PLASI的相关性分析

APVS在胎儿超声心动图中最直接的征象是肺动脉瓣环位置未见正常的瓣膜结构。随着妊娠的进展,APVS胎儿的心脏会发生一系列的形态学变化。本次研究APVS组中,肺动脉扩张是最常见的异常征象(13/20),其次是心轴异常(7/20)和左右心比例不对称(6/20)。
APVS组的肺动脉主干(main pulmonary artery,MPA)内径明显高于对照组[(9.76±1.04)mm vs(5.27±0.99)mm],APVS组心轴角度明显高于对照组[(74.62±9.04)° vs(47.42±6.12)°],差异均具有统计学意义(P均<0.0001);APVS组的RA/LA横径比值略高于对照组(1.17±0.13 vs 1.11±0.08),但差异无统计学意义(P>0.05,表3)。
表3 对照组与APVS组胎儿的MPA内径、心轴角度及RA/LA横径比值比较(
组别 例数 MPA内径(mm) 心轴角度(°) RAD/LAD
对照组 261 5.27±0.99 47.42±6.12 1.11±0.08
APVS组 20 9.76±1.04 74.62±9.04 1.17±0.13
t -18.66 −13.24 −0.64
P P<0.0001 P<0.0001 P>0.05

注:APVS为肺动脉瓣缺如综合征;MPA为肺动脉主干;RAD为右心房横径;LAD为左心房横径

在APVS组,将MPA内径、心轴与PLAS、PLASI进行相关性分析。PLAS与MPA内径无明显相关性(P=0.2255),与心轴呈正相关(r=0.5140,P=0.0204)。PLASI与MPA内径无明显相关性(P=0.2180),与心轴也无明显相关性(P=0.1299)。

六、一致性检验

Bland-Altman图显示,本研究中PLAS、DA内径观察者内部和观察者之间测量的一致性良好(图6)。
图6 左心房后间隙(PLAS)、降主动脉(DA)内径观察者内部和观察者之间测量一致性Bland-Altman图。图a,b分别为PLAS在观察者内部和观察者之间的Bland-Altman图;图c,d分别为DA内径在观察者内部和观察者之间的Bland-Altman图

注:PLAS为左心房后间隙;DA为降主动脉

讨论

APVS是一种高致死性的罕见CHD,最早由Chevers于1847年首次描述13。根据动脉导管是否存在及室间隔是否完整1214,APVS可分成两种类型:(1)肺动脉瓣缺如合并室间隔缺损、动脉导管缺如,又称为法洛型APVS(fetuses with APVS and tetralogy of Fallot,TOF/APVS);(2)肺动脉瓣缺如,但室间隔完整,动脉导管存在,又称为非法洛型APVS(fetuses with APVS and intact ventricular septum,APVS/IVS),更为罕见。本研究纳入的20例APVS胎儿均为TOF/APVS型。
APVS胎儿预后不佳815。在胎儿期,右心血流经过狭窄的肺动脉瓣环处,产生高速血流,冲击肺动脉,导致肺动脉及其主干的不断扩张,同时大量肺动脉反流进一步加重右心负荷,容易出现胎儿期心力衰竭和水肿。在新生儿期,膨胀的肺动脉主干及分支可压迫气道致塌陷和软化,导致呼吸窘迫,临床表现危急,再加上APVS胎儿常合并心外畸形或染色体异常,整体预后较差。尽管近年来APVS心脏手术的术后存活率有所提高,但手术仍然很复杂。Volpe等16对21例APVS胎儿追踪随访,发现9例终止妊娠、3例宫内死亡、6例产后死亡,仅有3例新生儿(14.3%)在手术后仍存活,且几乎所有病例都伴有支气管软化。Gottschalk等12对40例产前诊断APVS的胎儿进行追踪,产后生存率仅为27.5%。这些结果均表明产前明确APVS诊断的重要性。
胎儿超声心动图被认为是可靠的筛查方法,但尽早诊断APVS仍面临挑战。虽然随着超声仪器分辨率的提升及胎儿超声心动图检查技术的推广,APVS的产前诊断率得到提高,但检出率很大程度上取决于超声医师的经验水平,地区之间的差异也很大。本研究纳入的20例APVS胎儿,4例在我院完成首次胎儿超声心动图检查,16例在当地医院常规超声检查发现异常后转至我院。在20例中,有5例在首次检查中考虑为TOF,2例怀疑为肺动脉狭窄,以及3例三尖瓣重度反流和3例室间隔缺损,首检确诊率仅为35%,表明在妊娠早中期诊断APVS具有一定难度。因此,本研究的目的是研究PLAS和PLASI在APVS胎儿中的表现,以确定PLAS是否可以作为筛查的间接指标,用于提示APVS的存在。
本研究结果显示,APVS组的PLAS及PLASI均明显高于对照组(P<0.0001),表明PLAS及PLASI可用于区分正常胎儿与APVS胎儿。进一步通过ROC曲线分析显示,当PLAS>3.3 mm时,PLAS鉴别APVS与正常胎儿的敏感度为90%,特异度为85%,当PLASI>0.93时,PLASI鉴别APVS与正常胎儿的敏感度为100%,特异度为99.2%,提示PLAS及PLASI可作为预测APVS的可靠指标,尤其PLASI的鉴别诊断价值更高。但同时发现,当PLASI>1.0时,特异度为100%,敏感度降至85%,因此,本研究认为在使用PLASI作为间接指标预测APVS时,并非指数越大诊断效能越好。
此前,Kawazu等17的研究表明,当PLASI>1.0时,预测胎儿TAPVC的敏感度为100%,特异度为89%~93%。而本研究中,结合特异度和敏感度综合考虑,当PLASI介于0.93~1.0之间时,反而是预测APVS的最佳区间。因此,本研究认为,虽然多种类型的CHD均可见PLAS增宽,但CHD的类型不同,PLASI的最佳诊断界值也并非一致。然而,PLASI的不同界值区间是否可用于鉴别不同类型的CHD,还需要PLASI与更多类型CHD的相关性研究进行佐证。
本研究结果还显示,对照组的PLAS及DA内径均与GA呈正相关,两者均表现为随GA的增加而增大的规律,与Kawazu等17、郑凤华等18的研究结果一致。一致性检验结果表明,PLAS及DA内径的测量不容易受测量者的主观因素影响,可重复性好,表明PLAS是一个容易掌握的指标。而APVS组胎儿的PLAS及DA内径失去这一规律,均表现为与GA无显著相关。但无论正常胎儿还是APVS胎儿,PLASI不受GA的影响,表明PLASI可能是一个更为稳定的指标。本研究还分析了APVS胎儿的形态学特征与PLAS的相关性,试图解释APVS胎儿中导致PLAS增宽的可能原因。统计结果显示,APVS组的MPA内径与心轴偏转角度均明显高于对照组(P<0.0001)。进一步分析MPA内径、心轴偏转角度与PLAS的相关性,发现PLAS与MPA内径无显著相关(P=0.2255),与心轴呈正相关(r=0.5140,P=0.0204)。这可能与心轴发生偏转时,十字交叉与DA的相对位置发生了变化,导致PLAS增宽。心轴偏转在早中孕期即可发生,可能与妊娠早期原始心管的异常旋转相关19-20。而肺动脉的扩张是由于APVS胎儿的血流动力学发生改变引起的,在妊娠20周之前表现可以不明显、不典型。这表明,PLAS增宽与肺动脉内径是否扩张无关,还可能先于肺动脉扩张出现。然而观察PLAS是否会更早地发现APVS,还需要更进一步的前瞻性研究。
本研究的局限性在于:首先,APVS为罕见CHD,客观存在病例数量少的问题,可能存在选择性偏倚。其次,本研究为回顾性分析,探讨了APVS与PLAS、PLASI的相关性,但还需更多的前瞻性研究来进一步佐证。此外,本研究纳入的APVS病例均为TOF/APVS型,PLASI在APVS/IVS型胎儿中的诊断价值还需要进一步研究。
综上所述,在APVS胎儿中,PLAS失去了正常规律,且PLAS及PLASI增大,与正常胎儿存在显著差异,可作为预测APVS的辅助评价指标。
1
Grewal DS, Chamoli SC, Saxena S. Absent pulmonary valve syndrome-Antenatal diagnosis [J]. Med J Armed Forces India, 2014, 70(2): 198-200.

2
Zhou WY, Li YY, He XQ, et al. Absent pulmonary valve syndrome in a fetus: a case report and literature review [J]. Fetal Pediatr Pathol, 2019, 38(1): 57-62.

3
陈建萍, 陈阳, 孙海丽, 等. 三维超声“外科医生观”在胎儿法洛四联症伴肺动脉瓣缺如综合征诊断中的应用1例 [J]. 中华超声影像学杂志, 2022, 7(31): 634-636.

4
何冠南, 罗红, 杨家翔, 等. 胎儿肺动脉瓣缺如综合征产前超声诊断分析[J/CD].中华医学超声杂志(电子版), 2014, 11(10): 3.

5
Berg C, Thomsen Y, Geipel A, et al. Reversed end-diastolic flow in the umbilical artery at 10-14 weeks of gestation is associated with absent pulmonary valve syndrome [J]. Ultrasound Obstet Gynecol, 2007, 30(3): 254-258.

6
Abramian A, Gembruch U, Geipel A, et al. Ebstein's anomaly of the tricuspid valve in association with tetralogy of fallot and absent pulmonary valve syndrome [J]. Fetal Diagn Ther, 2011, 30(2): 153-156.

7
Axt-Fliedner R, Kurkevych A, Slodki M, et al. Absent pulmonary valve syndrome - diagnosis, associations, and outcome in 71 prenatally diagnosed cases [J]. Prenat Diagn, 2017, 37(8): 812-819.

8
赵雷生, 张颖, 王彧, 等. 胎儿肺动脉瓣缺如综合征的研究进展 [J]. 中国医学影像学杂志, 2018, 26(12): 957-960.

9
Kawazu Y, Inamura N, Shiono N, et al. 'Post-LA space index' as a potential novel marker for the prenatal diagnosis of isolated total anomalous pulmonary venous connection [J]. Ultrasound Obstet Gyneco, 2014, 44(6): 682-687.

10
Berg C, Georgiadis M, Geipel A, et al. The area behind the heart in the four-chamber view and the quest for congenital heart defects [J]. Ultrasound Obstet Gynecol, 2007, 30(5): 721-727.

11
Akkurt MO, Yavuz A, Akkurt I, et al. Reliability of posterior-left atrium space index measurements during 20-24 weeks of gestation in structurally normal fetuses [J]. J Perinat Med, 2016, 44(6): 613-617.

12
Gottschalk I, Jehle C, Herberg U, et al. Prenatal diagnosis of absent pulmonary valve syndrome from first trimester onwards: novel insights into pathophysiology, associated conditions and outcome [J]. Ultrasound Obstet Gynecol, 2017, 49(5): 637-642.

13
Philip S, Varghese M, Manohar K, et al. Absent pulmonary valve syndrome: prenatal cardiac ultrasound diagnosis with autopsy correlation [J]. Eur J Echocardiogr, 2011, 12(12): E44.

14
Zucker N, Rozin I, Levitas A, et al. Clinical presentation, natural history, and outcome of patients with the absent pulmonary valve syndrome [J]. Cardiol Young, 2004, 14(4): 402-408.

15
Chelliah A, Moon-Grady AJ, Peyvandi S, et al. Contemporary outcomes in tetralogy of Fallot with absent pulmonary valve after fetal diagnosis [J]. J Am Heart Assoc, 2021, 10(12): e019713.

16
Volpe P, Paladini D, Marasini M, et al. Characteristics, associations and outcome of absent pulmonary valve syndrome in the fetus [J]. Ultrasound Obstet Gynecol, 2004, 24(6): 623-628.

17
Kawazu Y, Inamura N, Kayatani F, et al. Evaluation of the post-LA space index in the normal fetus [J]. Prenat Diagn, 2019, 39(3): 195-199.

18
郑凤华, 赵博文, 王蓓, 等. 胎儿四腔心观左心房后壁与降主动脉之间距离的定量研究 [J]. 中华超声影像学杂志, 2016, 25(3): 203-206.

19
张金双, 赵博文, 谭乳燕, 等. 先天性心脏病胎儿心轴变化的定量研究[J/CD].中华医学超声杂志(电子版), 2018, 15(12): 919-924.

20
赵胜, 赵博文, 吴青青, 等. 早孕期胎儿心脏超声专家观点[J/OL].中华医学超声杂志(电子版), 2024, 21(1): 1-9.

文章导航

/


AI


AI小编
你好!我是《中华医学电子期刊资源库》AI小编,有什么可以帮您的吗?