切换至 "中华医学电子期刊资源库"
小儿超声影像学

儿童排泄性尿路超声造影改良方法的初步探讨

  • 刘源鑫 1 ,
  • 何丽莉 1 ,
  • 孙颖华 , 1,
展开
  • 1.201102 上海,复旦大学附属儿科医院超声科
孙颖华,Email:
Sun Yinghua, Email:

Copy editor: 汪荣

收稿日期: 2024-09-30

  网络出版日期: 2025-01-23

版权

版权归中华医学会所有。 未经授权,不得转载、摘编本刊文章,不得使用本刊的版式设计。 除非特别声明,本刊刊出的所有文章不代表中华医学会和本刊编委会的观点。

Improved method of contrast-enhanced voiding urosonography in pediatrics: a preliminary study

  • Yuanxin Liu 1 ,
  • Lili He 1 ,
  • Yinghua Sun , 1,
Expand
  • 1.Department of Ultrasound, Children's Hospital of Fudan University, Shanghai 201102, China

Received date: 2024-09-30

  Online published: 2025-01-23

Copyright

Copyright by Chinese Medical Association No content published by the journals of Chinese Medical Association may be reproduced or abridged without authorization. Please do not use or copy the layout and design of the journals without permission. All articles published represent the opinions of the authors, and do not reflect the official policy of the Chinese Medical Association or the Editorial Board, unless this is clearly specified.

摘要

目的

对儿童排泄性尿路超声造影检查的造影剂用量及方法进行改良,初步探讨其提高造影图像质量的有效性及临床应用价值。

方法

回顾性纳入2019 年1 月至2023 年8 月于复旦大学附属儿科医院超声科完成排泄性尿路超声造影(CeVUS)的患儿137 例。2019 年1 月至2021 年12月采用传统造影方法(单一剂量),2022 年1 月至2023 年8 月采用改良造影方法(依据年龄、膀胱容量等对剂量进行调整)对反流程度进行评估。将注入造影剂后的膀胱显影图像划分为I ~Ⅲ级(I级图像质量最佳,膀胱轮廓完整清晰,膀胱后方受声影遮挡不明显)。比较传统造影方法与改良造影方法膀胱显影图像分级情况。并分析CeVUS 与排泄性逆行尿路造影(VCUG)检查结果的一致性。

结果

137 例中,采用传统CeVUS 检查方法的患儿100 例,采用CeVUS 改良方法检查的患儿37 例。传统方法膀胱显影图像分级:Ⅰ级1 例(1.0%,1/100),Ⅱ级39 例(39.0%,39/100),Ⅲ级60 例(60.0%,60/100);改良方法膀胱显影图像分级:Ⅰ级17 例(45.9%,17/37),Ⅱ级16 例(43.2%,16/37),Ⅲ级4 例(10.8%,4/37)。改良方法得到的图像等级优于传统方法(P<0.01)。共有22 例患儿在CeVUS 相近时间内进行放射科VCUG 检查,两种检查的一致性Kappa 值为0.449(P=0.002)。

结论

CeVUS 改良方法可以使检查过程更为优化,图像更清晰,造影剂使用剂量更小,安全性更好,值得临床推广应用。

本文引用格式

刘源鑫 , 何丽莉 , 孙颖华 . 儿童排泄性尿路超声造影改良方法的初步探讨[J]. 中华医学超声杂志(电子版), 2024 , 21(12) : 1111 -1117 . DOI: 10.3877/cma.j.issn.1672-6448.2024.12.003

Abstract

Objective

To improve contrast-enhanced voiding urosonography (CeVUS) in pediatrics with regard to contrast medium dosage and examination method, and to preliminarily explore its effectiveness and clinical application value in improving the quality of contrast images.

Methods

A retrospective study was performed on 137 children who underwent CeVUS in the Department of Ultrasound of Children's Hospital of Fudan University from January 2019 to August 2023.Traditional contrast method(single dose) was used from January 2019 to December 2021, and improved contrast method (dose adjustment based on age, bladder capacity, etc.) was used from January 2022 to August 2023 to evaluate vesicoureteral reflux.The images of the bladder after injection of contrast agents were divided into levels I ~ III (the image quality of level I is the best, the outline of the bladder is complete and clear, and the back of the bladder is not obviously obscured by shadow).The classification of the developed images was compared between the traditional contrast method and the improved contrast method.The consistency between CeVUS and voiding cystouretrography (VCUG) was analyzed.

Results

Among the 137 cases, 100 were examined by the traditional CeVUS method and 37 by the modified CeVUS method.The classification of bladder images obtained by the traditional method was: 1 case at level I (1.0%, 1/100), 39 cases at level II (39.0%, 39/100),and 60 cases at level III (60.0%, 60/100); for bladder images obtained by the improved method, there were 17 cases at level I (45.9%, 17/37), 16 cases of level II (43.2%, 16/37), and 4 cases of level III (10.8%, 4/37).The image level obtained by the improved method was better than that of the traditional method (P<0.01).A total of 22 children underwent radiology VCUG examination at a similar time to CeVUS, and the Kappa value of the two examinations was 0.449 (P=0.002).

Conclusion

The improved CeVUS method can optimize the examination process, make the image clearer, use less contrast agent dose, and have better safety, which is worthy of clinical application.

膀胱输尿管反流(vesicoureteral reflux,VUR)是一种结构与功能性的病变,指尿液自膀胱反流进入输尿管及肾脏,是儿童常见的泌尿系疾病之一。在发热及尿路感染的儿童中发病率高达30%[1-2]。诊断VUR 的金标准是排泄性逆行尿路造影(voiding cystouretrography,VCUG),但VCUG具有放射性,限制了其在儿童患者中的临床应用。目前,借助高分辨率的超声仪器,排泄性尿路超声造影(contrast-enhanced voiding urosonography,CeVUS)已作为一种实用、安全、有效的检查方式,在国内外多个医疗机构得到了广泛应用[3-5]
超声造影使用的造影剂为声诺维(SonoVue),说明书中对儿童尿路检查的推荐剂量为1 ml[6],但该剂量使用中儿童膀胱及下段输尿管显示较差,说明书中并未根据年龄及膀胱容量给出推荐剂量,使得检查结果有时并不理想。
本研究回顾性纳入复旦大学附属儿科医院进行CeVUS 检查的儿童,对该检查流程的改良过程进行总结归纳,探讨CeVUS 改良方法的临床应用价值。

资料与方法

一、对象

回顾性纳入2019 年1 月至2023 年8 月,于复旦大学附属儿科医院完成CeVUS 检查的患儿152例。排除标准:(1)合并有后尿道瓣膜病变的患儿;(2)影像或病史资料高度不完整,影像统计缺乏准确性的患儿。接受CeVUS 检查的152 例患儿中,排除资料不全者15 例,本研究共纳入137 例患儿。本研究经医院伦理委员会审批通过[批件号:复儿伦审(2017)156 号]。超声医师在检查前告知家属及患儿检查风险及注意事项,并签署知情同意书。

二、方法

(一)仪器与造影剂
采用飞利浦Epiq 5 彩色多普勒超声诊断仪,使用5 MHz 凸阵谐波成像探头,造影模式下机械指数0.06 ml。超声造影剂使用SonoVue,主要成分为脂质体外膜包裹的六氟化硫干粉,造影前注入无菌生理盐水5 ml,振荡摇匀制成微泡溶液备用。
(二)CeVUS 检查方法
1.改良方法的实验设计:探讨适合儿童膀胱显影的合适的造影剂剂量。在透明塑料袋中加入250 ml 生理盐水,模拟膀胱充盈状态,并加入不同剂量造影剂,对显影图像情况进行观察及比较(图1)。可见在250 ml 生理盐水中加入0.2 ~0.3 ml造影剂较为合适,可以观察到完整的“膀胱”轮廓,同时“膀胱”后方也没有被声影遮挡。结合膀胱容量公式(年龄+2)×30 ml[3],对于较小年龄患儿(≤5 岁),初次造影剂剂量为0.1 ml 较为合适,对于年龄>5 岁的患儿,初次剂量为0.2 ml。
图1 250 ml 生理盐水中注入不同剂量造影剂的超声图像。图a ~f 分别为注入1、0.5、0.4、0.3、0.2、0.1 ml 超声造影剂SonoVue 后的超声显影图像
2.改良CeVUS 的检查方法为:首先根据膀胱容量公式,估算患儿的预计膀胱容量。患儿仰卧位,留置尿管,排空尿液。连接输注生理盐水通路,向膀胱内推注温生理盐水至膀胱容量的1/3 ~1/2,至膀胱较充盈时注入配制好的SonoVue造影剂(5 岁及以下患儿0.1 ml;5 岁以上患儿0.2 ml),观察图像并计时,保持生理盐水滴注状态。允许患儿哭吵或屏气增加腹压。膀胱充盈完全后,加注造影剂0.3 ~0.5 ml,继续观测。拔除导尿管嘱患儿排尿(对于年龄过小的患儿规律按压耻骨上方),观察排尿相时有无反流发生,检查结束。检查后观察有无造影剂相关不良反应(发热、腹痛、继发感染等)。
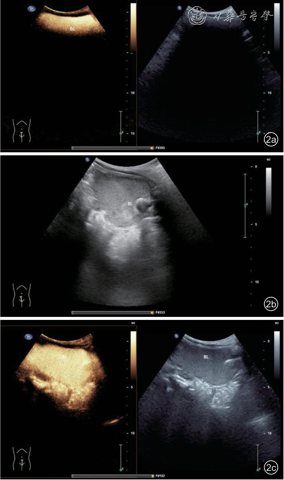
复旦大学附属儿科医院于2021 年12 月将CeVUS 造影方法由传统方法改为改良方法,传统方法为经导尿管注入生理盐水,待膀胱较充盈后,单次注入SonoVue 造影剂1 ml,此时膀胱内造影剂声影往往过于明显,需要通过机械爆破,或将图像转至机械指数较高的二维图像进行爆破数秒,再次进入造影模式后膀胱轮廓才逐渐显示清晰(图2)。
图2 排泄性尿路超声造影传统方法注入造影剂及爆破后超声图像。图a 为注入造影剂后声影明显,此时为低机械指数(MI 为0.06);图b 为图像转至机械指数较高(MI为1.3)的二维图像,爆破造影剂;图c 为爆破数秒后再次进入造影模式,膀胱轮廓逐渐显示清晰,可观察膀胱后方输尿管开口处
(三)膀胱显影图像分级
将注入造影剂后的膀胱显影图像划分等级,共分为I ~Ⅲ级。Ⅲ级:造影剂剂量过多导致图像声影过于明显,图像只显示膀胱距超声探头较近的部分,深部被声影遮挡,无法显示膀胱后壁;Ⅱ级:膀胱显影较亮,膀胱轮廓显示完整,膀胱后方组织受声影遮挡,无法较清楚显示双侧输尿管开口处图像;I 级:膀胱轮廓完整清晰,膀胱后方受声影遮挡不明显(图3)。由2 名中级以上职称且工作年限超过5 年的超声医师对传统方法及改良方法注入造影剂后的膀胱图像进行分级评估。
图3 排泄性尿路超声造影膀胱显影图像分级。图a ~c分别为Ⅰ~Ⅲ级
(四)反流等级判定
Ⅰ级:造影剂仅在输尿管内出现;Ⅱ级:造影剂在肾盂内出现,但肾盂扩张不明显;Ⅲ级:造影剂出现在肾盂内,肾盂扩张明显,肾盏见扩张;Ⅳ级:造影剂出现在肾盂及肾盏,肾盂、肾盏明显扩张;Ⅴ级:造影剂出现在肾盂、肾盏,且扩张明显,肾盏形态失常,输尿管迂曲扩张。将Ⅰ、Ⅱ级认定为轻度反流,Ⅲ~Ⅴ级认定为重度反流[3,7-8]

三、统计学分析

采用SPSS 20.0 软件进行统计分析。年龄为不满足正态分布的计量资料,以MP25P75)表示,计数资料以例(%)表示,传统方法与改良方法的图像质量分级比较采用Fisher 精确检验。CeVUS与VCUG 检查结果的一致性采用Kappa 检验。以P<0.05 为差异有统计学意义。

结 果

一、一般资料

本研究纳入的137 例患儿中,男性64 例,女性73 例,年龄范围2 月龄~164 月龄,中位年龄48(28,81)个月。所有患儿CeVUS 检查过程及后续随访(检查完成后观察0.5 h 及后续门诊随访)中均未见不良反应。CeVUS 检查结果显示,137 例患儿中,46.7%(64/137)无反流;42.3%(58/137)发生左侧VUR;28.5%(39/137)发生右侧VUR;发生双侧VUR 的有24 例(17.5%,24/137)。以一侧肾盂-输尿管单位(pyelo-ureter units,PUUs)为一个单位,共计274 个PUUs,其中25 个PUUs 发生轻度反流(9.1%,25/274),72个PUUs 发生重度反流(26.3%,72/274)。

二、CeVUS 传统方法与改良方法的膀胱显影图像分级比较

137 例患儿中,2019 年1 月至2021 年12 月,采用传统CeVUS 检查方法的患儿100 例,2022 年1 月至2023 年8 月采用CeVUS 改良方法检查的患儿37 例。
膀胱显影图像分级结果显示,采用改良方法的37 例患儿,CeVUS 图像质量为Ⅰ~Ⅱ级的33 例,占89.1%(33/37);采用传统方法的100 例患儿,图像质量为Ⅲ级的60 例,占60.0%(60/100),图像质量Ⅰ级的仅1 例(1%,1/100)。改良方法得到的图像等级优于传统检查方法(P<0.01,表1)。
表1 CeVUS 改良方法与传统方法的膀胱显影图像分级情况比较[例(%)]
CeVUS方法 例数 Ⅰ级 Ⅱ级 Ⅲ级
传统方法 100 1(1.0) 39(39.0) 60(60.0)
改良方法 37 17(45.9) 16(43.2) 4(10.8)
P <0.001

三、CeVUS 与VCUG 检查的一致性分析

本研究137 例患儿中,共有22 例患儿在CeVUS 相近时间内进行放射科VCUG 检查(两项检查间隔时间小于2 个月,且期间无手术干预,22 例中8 例采用改良方法,14 例采用传统方法,共计44 个PUUs。其中19 个PUUs 在CeVUS 和VCUG 两种检查中均发现反流(表2)。二者检查结果一致性良好(Kappa 值=0.449,P=0.002)。
表2 CeVUS 与VCUG 对膀胱输尿管反流的检查结果比较(例)
CeVUS检查 VCUG检查 总计
发现反流 未发现反流
发现反流 19 8 27
未发现反流 4 13 17
总计 23 21 44

讨 论

目前,超声造影检查在成人临床实践中已成为一项常规的影像学检查方法,且安全性较高[9]。成人超声造影检查在多种组织器官中均得到应用,并且发布了详细的应用指南[10-11]。其中有些应用存在“超说明书”使用的情况,但也有相应的临床证据支持其有效性与合理性[12]。超声造影在儿科临床实践中应用与发展相对缓慢,主要是缺乏相应的“许可证”与临床经验。目前唯一在SonoVue 说明书中被允许使用的就是排泄性尿路造影的检查[4]
而尿路造影说明书中造影剂SonoVue 的使用剂量对于儿童来说过于单一,对膀胱及下段输尿管显示度差,缺乏针对年龄和膀胱容量的个性化推荐剂量。既往文献对进行尿路造影时的造影剂剂量问题鲜有探讨,检查时使用剂量均为1 ml。本研究经过前期实验与临床实践发现,对于较小年龄患儿(≤5 岁),初次造影剂剂量为0.1 ml 较为合适,对于年龄>5 岁的患儿,初次剂量为0.2 ml,此时膀胱图像较为理想,可清楚观察到膀胱深部有无输尿管反流的发生。当然,检查过程中应及时观察图像情况,当图像中造影剂随检查进行逐渐爆破变暗时,及时追加造影剂,此时加注的造影剂在充盈的膀胱中逐渐混合均匀,可以更好地观察有无肾盂、肾盏的反流发生,对高级别反流的评估会更加精准。在拔除导尿管之前,也建议再次注入造影剂,以免患儿无法配合,排尿相等待过久,造影剂爆破过多无法探测观察的情况发生。本研究结果显示,使用改良方法,注入造影剂后可以更快得到膀胱及其后方清晰的增强显影图像,膀胱后方声影遮挡的情况显著改善。超声医师在注入造影剂后可即时查看膀胱后方输尿管末端的反流情况,较传统方法提升了超声造影检查效率和成像质量。
在CeVUS 检查中,造影剂的使用方法略有不同。部分采用滴注法:制备稀释的造影剂,将1 ml造影剂注入生理盐水中,再将混有造影剂的生理盐水滴注入膀胱[13],也有滴注生理盐水后直接将造影剂注入膀胱,造影剂剂量多为1 ~2 ml[14-15]。本研究采用推注法:先用生理盐水充盈膀胱,其间通过三通管推注生理盐水加速充盈,再将造影剂注入膀胱,后续持续滴入。临床可根据不同检查医师的操作习惯决定采用何种方法。考虑到通过推注可减少膀胱充盈的时间,从而缩短检查时间,提高检查效率,避免患儿因长时间检查而无法耐受的情况发生,因此本研究采用推注法。本研究结果表明,0.1 ~0.2 ml 剂量的造影剂更加适合在儿童患者中应用,且小剂量推注使得后续追加造影剂也不会使总剂量超出安全剂量上限。
与传统方法比较,改良方法在注入造影剂后即可实时观察膀胱整体情况及对膀胱后方输尿管开口处有无反流发生,而传统方法多数情况下需要先进行爆破,且有时因爆破不均匀膀胱内声影亮暗不一,仍需等待数秒至造影剂混匀。因此,改良方法的检查过程更为优化,更加不易错过间歇性发生的反流,因此认为其对低级别反流的评估会更为准确。这一结论仍需进一步研究证实。
VCUG 以及CeVUS 检查过程中,留置尿管等操作会导致患儿不适与哭闹,甚至有发生继发性尿路感染的风险[16],所以应在有反复尿路感染等临床证据后再进行该项检查。超声造影剂在儿童中使用的安全性与有效性已被反复验证过[17-21],美国食品药品监督管理局(Food and Drug Administration,FDA)2016 年已授权将SonoVue 用于儿科患者的肝脏超声造影中[22-23]。在本研究进行CeVUS 的儿童随访中也并未发现不良反应的发生。
诊断VUR 的金标准是VCUG,因为其可以提供完整的尿路图像(肾脏-输尿管-膀胱)。但考虑到VCUG 具有放射性,CeVUS 更适合在患儿随访时重复使用[3]。一些研究中比较了VCUG 与CeVUS 的检测效能,结果认为二者效能相当[4,8,24-25]。本研究结果显示,二者检测结果同样存在一致性。有研究认为,CeVUS 的检测敏感度高于VCUG[7],因为VUR是一种间歇性现象,CeVUS 可以实时连续性观察有无反流,而VCUG 为间歇拍摄成像,理论上可能会错过部分反流的发生。本研究采用改良方法的病例数较少,不足以将改良方法单独与VCUG 进行结果的比较,这也是本研究的不足之处。未来仍有待进一步扩大样本量,对CeVUS 改良方法的应用价值和检测效能进行系统、深入的对比分析研究。
综上所述,CeVUS 改良方法可以使检查效率提高,检查过程更为优化,图像更清晰。改良方法使用更小剂量的造影剂,安全性更好,同时低剂量也并不会对反流评级产生负面影响[24],值得临床推广应用。
1
Hannula A, Venhola M, Renko M, et al.Vesicoureteral reflux in children with suspected and proven urinary tract infection[J].Pediatr Nephrol, 2010, 25(8): 1463-1469.

2
Printza N, Farmaki E, Piretzi K, et al.Acute phase 99mtcdimercaptosuccinic acid scan in infants with first episode of febrile urinary tract infection[J].World J Pediatr, 2012, 8(1): 52-56.

3
Chua ME, Kim JK, Mendoza JS, et al.The evaluation of vesicoureteral reflux among children using contrast-enhanced ultrasound: a literature review[J].J Pediatr Urol, 2019, 15(1): 12-17.

4
Sidhu P, Cantisani V, Deganello A, et al.Role of contrast-enhanced ultrasound (ceus) in paediatric practice: an efsumb position statement[J].Ultraschall Med, 2017, 38(1): 33-43.

5
张致庆, 沈茜, 何丽莉, 等.儿童膀胱输尿管反流行超声尿路造影病例系列报告[J].中国循证儿科杂志, 2019, 14(5): 380-383.

6
Bracco.注射用六氟化硫微泡说明书.2021[EB/OL].http://www.bracco.com/zh-cn/product/shengnuowei-sonovuer.

7
邓劲松, 周路遥, 曾斯慧, 等.Sonovue 排泄性超声尿路造影与x线膀胱尿路造影的比较研究[J].南方医科大学学报, 2013, (10):1467-1470.

8
杨乐飞, 吴伟, 邹翔宇, 等.超声排泄性尿路造影在膀胱输尿管反流分级中的诊断价值[J].临床儿科杂志, 2021, 39(2): 108-112.

9
Piscaglia F, Bolondi L.The safety of sonovue in abdominal applications: retrospective analysis of 23188 investigations[J].Ultrasound Med Biol, 2006, 32(9): 1369-1375.

10
Dietrich CF, Nolsoe CP, Barr RG, et al.Guidelines and good clinical practice recommendations for contrast enhanced ultrasound (ceus) in the liver - update 2020 - wfumb in cooperation with efsumb, afsumb,aium, and flaus[J].Ultraschall Med, 2020, 41(5): 562-585.

11
Claudon M, Cosgrove D, Albrecht T, et al.Guidelines and good clinical practice recommendations for contrast enhanced ultrasound(ceus) - update 2008[J].Ultraschall Med, 2008, 29(1): 28-44.

12
Sidhu PS, Cantisani V, Dietrich CF, et al.The efsumb guidelines and recommendations for the clinical practice of contrast-enhanced ultrasound (ceus) in non-hepatic applications: update 2017 (long version)[J].Ultraschall Med, 2018, 39(2): e2-e44.

13
Colleran GC, Barnewolt CE, Chow JS, et al.Intrarenal reflux:diagnosis at contrast-enhanced voiding urosonography[J].J Ultrasound Med, 2016, 35(8): 1811-1819.

14
张伟, 易惠明, 蔡保欢, 等.排泄性尿路超声造影在儿童膀胱输尿管返流诊断中的应用[J].华中科技大学学报(医学版), 2018,47(1): 105-108.

15
夏斯莉, 周建敏, 王勤, 等.声学造影诊断小儿膀胱输尿管反流及预测肾脏瘢痕的价值初探[J].中国超声医学杂志, 2022, 38(2):173-176.

16
Rachmiel M, Aladjem M, Starinsky R, et al.Symptomatic urinary tract infections following voiding cystourethrography[J].Pediatr Nephrol,2005, 20(10): 1449-1452.

17
Rosado E, Riccabona M.Off-label use of ultrasound contrast agents for intravenous applications in children: analysis of the existing literature[J].J Ultrasound Med, 2016, 35(3): 487-496.

18
Darge K, Papadopoulou F, Ntoulia A, et al.Safety of contrast-enhanced ultrasound in children for non-cardiac applications: a review by the society for pediatric radiology (spr) and the international contrast ultrasound society (icus)[J].Pediatr Radiol, 2013, 43(9): 1063-1073.

19
Menichini G, Sessa B, Trinci M, et al.Accuracy of contrast-enhanced ultrasound (ceus) in the identification and characterization of traumatic solid organ lesions in children: a retrospective comparison with baseline us and ce-mdct[J].Radiol Med, 2015, 120(11): 989-1001.

20
McCarville MB, Kaste SC, Hoffer FA, et al.Contrast-enhanced sonography of malignant pediatric abdominal and pelvic solid tumors:preliminary safety and feasibility data[J].Pediatr Radiol, 2012, 42(7):824-833.

21
Darge K, Back SJ, Bulas DI, et al.Pediatric contrast-enhanced ultrasound: shedding light on the pursuit of approval in the united states[J].Pediatr Radiol, 2021, 51(12): 2128-2138.

22
Bracco.Lumason prescribing information.2016 [EB/OL].http://imaging.bracco.com/sites/braccoimaging.com/files/technica_sheet_pdf/US-20160330-LUMASON-PI_0.pdf.

23
Food & Drug Administration.March 2016 - approved drug product list.2016 [EB/OL].http://www.fda.gov/downloads/drugs/developmentapprovalprocess/ucm071120.pdf.

24
Darge K, Moeller RT, Trusen A, et al.Diagnosis of vesicoureteric reflux with low-dose contrast-enhanced harmonic ultrasound imaging[J].Pediatr Radiol, 2005, 35(1): 73-78.

25
Piskunowicz M, Swieton D, Rybczynska D, et al.Comparison of voiding cystourethrography and urosonography with secondgeneration contrast agents in simultaneous prospective study[J].J Ultrason, 2016, 16(67): 339-347.

文章导航

/


AI


AI小编
你好!我是《中华医学电子期刊资源库》AI小编,有什么可以帮您的吗?