切换至 "中华医学电子期刊资源库"
妇产科超声影像学

双胎贫血-红细胞增多序列征的产前超声特征分析

  • 王彦 1 ,
  • 张晓航 1 ,
  • 冉素真 1 ,
  • 钟春燕 1 ,
  • 张晋炜 1 ,
  • 王希 , 1,
展开
  • 1.401147 重庆医科大学附属妇女儿童医院超声科
王希,Email:
Wang Xi, Email:

Copy editor: 吴春凤

收稿日期: 2025-02-18

  网络出版日期: 2025-07-17

基金资助

重庆市科卫联合医学科研项目(2025MSXM010)

版权

版权归中华医学会所有。 未经授权,不得转载、摘编本刊文章,不得使用本刊的版式设计。 除非特别声明,本刊刊出的所有文章不代表中华医学会和本刊编委会的观点。

Prenatal ultrasonographic features of twin anemia-polycythemia sequence: analysis of 26 cases

  • Yan Wang 1 ,
  • Xiaohang Zhang 1 ,
  • Suzhen Ran 1 ,
  • Chunyan Zhong 1 ,
  • Jinwei Zhang 1 ,
  • Xi Wang , 1,
Expand
  • 1.Department of Ultrasonography,Women and Children’s Hospital of Chongqing Medical University, Chongqing 401147, China

Received date: 2025-02-18

  Online published: 2025-07-17

Copyright

Copyright by Chinese Medical Association No content published by the journals of Chinese Medical Association may be reproduced or abridged without authorization. Please do not use or copy the layout and design of the journals without permission. All articles published represent the opinions of the authors, and do not reflect the official policy of the Chinese Medical Association or the Editorial Board, unless this is clearly specified.

摘要

目的

探讨双胎贫血-红细胞增多序列征(TAPS)的产前超声特征及预后。

方法

回顾性分析2017 年7 月至2024 年12 月在重庆医科大学附属妇女儿童医院行超声检查诊断为TAPS的26 例病例的产前超声特征、治疗方式及妊娠结局。

结果

26 例均为单绒毛膜双胎,诊断为原发性TAPS。共有的产前超声特征为:(1)供血儿大脑中动脉峰值流速(MCA-PSV)>1.5 中位数倍数(MoM),受血儿MCA-PSV<1.0 MoM;(2)“黑白”胎盘。其他超声特征包括:(1)受血儿肝呈“星空征”;(2)供血儿肠道回声增强;(3)心脏异常;(4)多普勒血流指标异常;(5)胎儿水肿;(6)脐带异常;(7)羊水量不均衡;(8)合并选择性宫内生长受限、双胎输血综合征等。26 例中,13例选择射频消融减胎术(存活率92%),5 例选择胎儿镜下胎盘血管交通支凝固术(存活率100%),7例选择期待治疗(存活率64%),1 例引产。

结论

单绒毛膜双胎在超声检查时需要特别关注胎儿多普勒血流指标、胎盘情况、肝及肠道回声等。没有行宫内治疗的TAPS 双胎预后相对差,一旦诊断TAPS,建议转诊到有宫内治疗条件的三级产前诊断中心诊治。

本文引用格式

王彦 , 张晓航 , 冉素真 , 钟春燕 , 张晋炜 , 王希 . 双胎贫血-红细胞增多序列征的产前超声特征分析[J]. 中华医学超声杂志(电子版), 2025 , 22(05) : 462 -469 . DOI: 10.3877/cma.j.issn.1672-6448.2025.05.012

Abstract

Objective

To explore the prenatal ultrasound features and prognosis of twin anemiapolycythemia sequence (TAPS).

Methods

A retrospective analysis was conducted on 26 twins diagnosed with TAPS by prenatal ultrasound at the Women and Children’s Hospital of Chongqing Medical University from July 2017 to December 2024, focusing on their prenatal ultrasound features, treatment methods, and pregnancy outcomes.

Results

All 26 cases were monochorionic twins, and all were diagnosed with primary TAPS.Common prenatal ultrasound features included: (1) peak systolic velocity of the middle cerebral artery (MCA-PSV) > 1.5 multiples of the median (MoM) in the donor twin and < 1.0 MoM in the recipient twin; and (2) “black and white” placenta.Other ultrasound features included: (1) “starry sky” sign in the recipient twin’s liver; (2) enhanced intestinal echogenicity in the donor twin; (3) cardiac abnormalities;(4) abnormal Doppler blood flow indices; (5) fetal hydrops; (6) umbilical cord abnormalities; (7) uneven amniotic fluid volume; and (8) coexisting selective intrauterine growth restriction, twin to twin transfusion syndrome, etc.Among the 26 cases, 13 underwent radiofrequency ablation for fetal reduction (survival rate 92%), 5 underwent fetoscopic coagulation of placental vascular anastomoses (survival rate 100%), 7 received expectant management (survival rate 64%), and 1 underwent induced labor.

Conclusion

In ultrasound examinations of monochorionic twins, special attention should be paid to fetal Doppler blood flow indicators,placental conditions, liver and intestinal tract echoes, etc.The prognosis of TAPS twins without intrauterine treatment is relatively poor.Once TAPS is diagnosed, it is recommended to refer the patient to a tertiary prenatal diagnosis center with intrauterine treatment conditions for diagnosis and treatment.

双胎贫血-红细胞增多序列征(twin anemiapolycythemia sequence,TAPS)是双胎妊娠罕见的并发症,于2007 年首次发现并命名[1]。两胎儿间慢性输血是TAPS 最重要的特征,表现为受血儿因输血致红细胞增多、供血儿因失血致红细胞减少,如未及时诊断和处理,两胎儿均会出现严重并发症甚至死亡。TAPS 多发生在单绒毛膜双胎,但在双绒毛膜双胎中也偶有报道[2]。单绒毛膜双胎自然发生TAPS 的概率为3%~5%,也可继发于双胎输血综合征(twin to twin transfusion syndrome,TTTS)胎儿镜下胎盘血管交通支凝固术后,发生概率为2%~13%[1,3,4]。由于TAPS 发病率低,目前国内外相关文献报道较少,为进一步提高对TAPS 的认识及产前检出率,本研究对本院26 例TAPS 病例进行回顾性分析,以期为产前早期诊断、改善预后的干预措施和生殖选择做出指导。

资料与方法

一、对象

回顾性分析2017 年7 月至2024 年12 月在重庆医科大学附属妇女儿童医院行产前超声检查并确诊为TAPS 的26 例病例。本研究经本院伦理委员会审查批准,批准号:(2025)伦审(科)040 号。

二、仪器与方法

1.仪器:使用GE VolusonE8/E10 彩色多普勒超声诊断仪,腹部凸阵探头,探头频率为3 ~8 MHz,孕中晚期模式。
2.超声检查:按照双胎产前筛查指南及胎儿超声心动图筛查指南检查并规范存图。重点观察指标包括两胎儿生长参数指标(双顶径、头围、腹围、股骨长),血流动力学指标(脐动脉、大脑中动脉、静脉导管、脐静脉),附属物(羊水量、胎盘、脐带入口、脐带直径),肝、肠道回声,有无水肿,心脏情况(心胸比,室壁厚度,房室瓣、半月瓣频谱形态及有无反流,右心室流出道有无梗阻)。
3.TAPS 诊断标准及分期:TAPS 目前公认的产前诊断标准为[5]:供血儿大脑中动脉峰值流速(peak systolic velocity of the middle cerebral artery,MCA-PSV)>1.5 中位数倍数(multiple of median,MoM),受血儿MCA-PSV<1.0 MoM。同时结合两胎儿血流动力学和心功能情况对TAPS进行产前分期[6,7],Ⅰ期:供血儿MCA-PSV>1.5 MoM,受血儿MCA-PSV<1.0 MoM,胎儿不伴有其他并发症;Ⅱ期:供血儿MCA-PSV>1.7 MoM,受血儿MCA-PSV<0.8 MoM,胎儿不伴有其他并发症;Ⅲ期:在Ⅰ、Ⅱ期的基础上供血儿出现心功能受损迹象,定义为多普勒血流异常,包括脐动脉舒张末期血流消失或反向、脐静脉出现搏动性血流或静脉导管搏动指数增高或血流反向;Ⅳ期:供血儿水肿;Ⅴ期:一胎或双胎宫内死亡。所有病例均由2 名副主任医师及以上职称医师共同诊断。
4.MoM 值计算:胎儿血流动力学指标正常值参照微信“孕算”小程序中的设定值,临床上常以MCA-PSV>1.5 MoM 作为判断胎儿贫血的参考依据。MoM 值计算方法是将实际测得的胎儿MCAPSV 除以相同孕周正常胎儿MCA-PSV 的中位数(小程序中已设定),所得比值即为MoM 值。
5.临床资料及随访:通过查阅病历资料及电话随访获取临床信息,包括一般情况、产前染色体检测结果、治疗方案及妊娠结局。

三、统计学分析

采用SPSS 27.0 统计软件对数据进行分析。年龄、孕周为符合正态分布的计量资料,以±s 表示。超声特征、治疗方式和妊娠结局为计数资料,以例数(%)表示,采用χ2 检验比较供血儿与受血儿超声参数之间的差异。P<0.05 为差异具有统计学意义。

结 果

一、一般资料

26 例均为单绒毛膜双胎,诊断为原发性TAPS。孕妇年龄为(28.6±5.2)岁(范围18 ~40 岁),诊断孕周为(25.0±4.3)周(范围17+1 ~34+6 周),分娩孕周为(31.8±3.2)周(范围22+6 ~35+3 周)。

二、产前超声表现

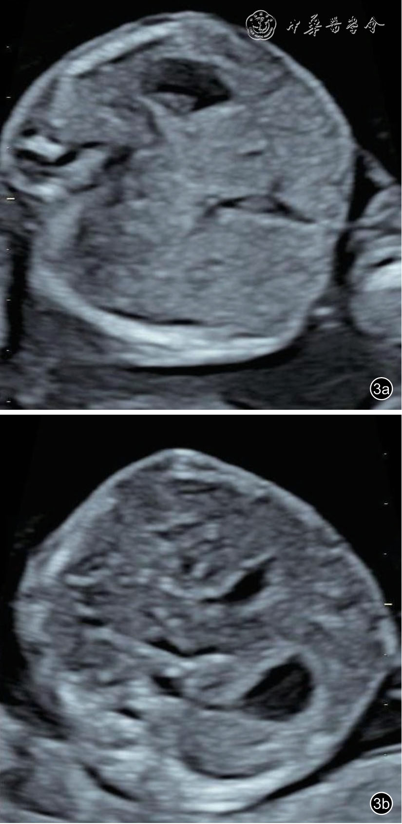
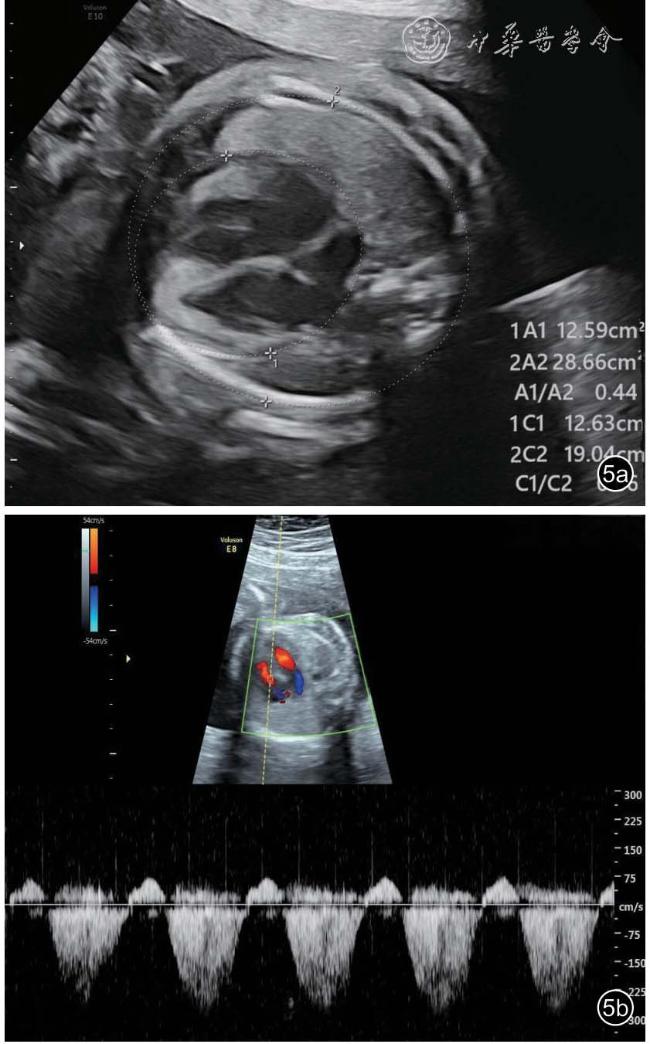
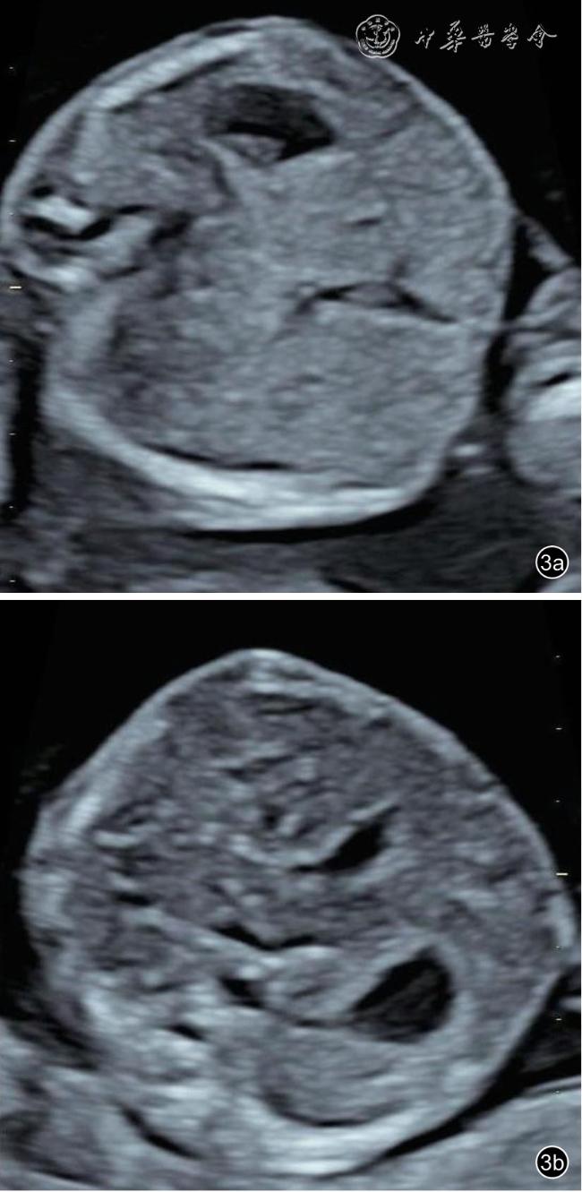
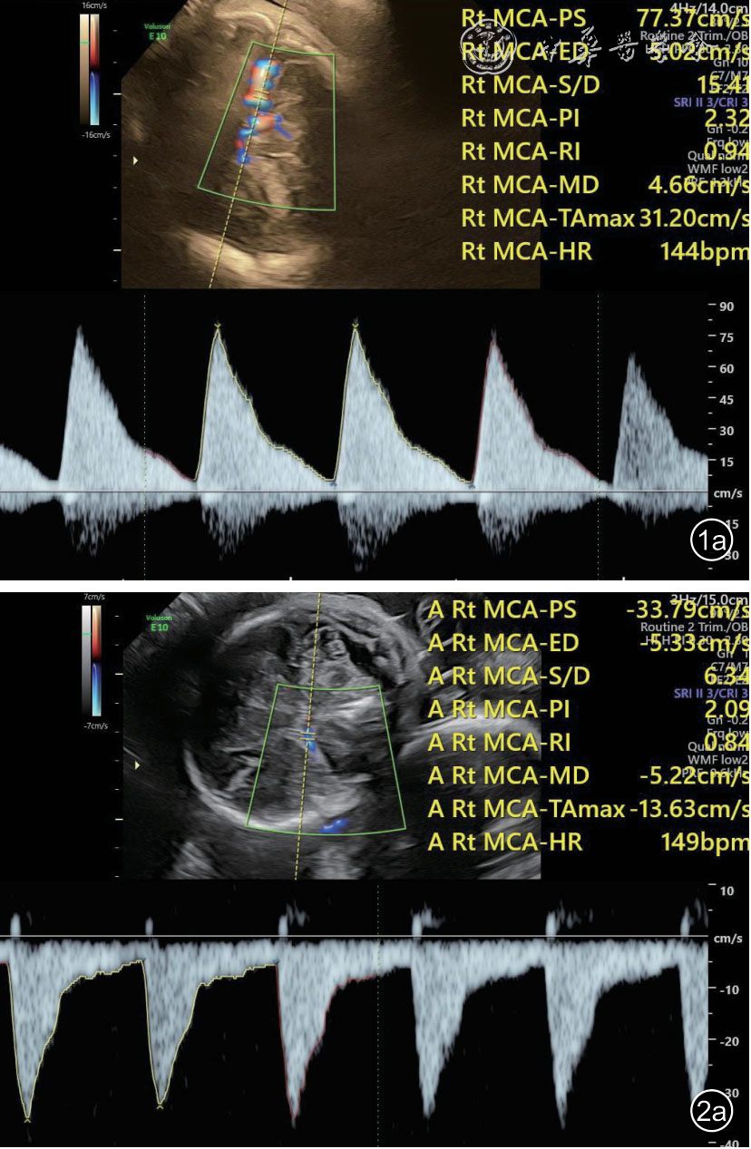
26 例TAPS 均在中晚孕期(孕17+1~34+6 周)超声检查中发现,其中Ⅰ期11 例,Ⅱ期3 例,Ⅲ期3 例,Ⅳ期9 例,Ⅴ期0 例。共有的超声特征为:(1)供血儿MCA-PSV 增高(>1.5 MoM),受血儿MCA-PSV 降低(<1.0 MoM)( 图1);(2)“黑白”胎盘:供血儿脐带入口附近胎盘回声增强、增厚,受血儿脐带入口附近胎盘回声减低、较供血儿侧薄(图2)。其他超声特征包括:(1)24例(92%)受血儿肝呈“星空征”(图3);(2)4例(15%)供血儿肠管回声增强(图4);(3)22例(85%)心脏异常,包括心胸比增大、房室瓣反流、房室瓣频谱呈单峰、心肌增厚等征象(图5a、5b);(4)18 例(69%)多普勒血流异常,包括脐动脉、脐静脉、静脉导管A 波异常等;(5)9 例(34%)胎儿水肿,包括皮肤水肿、胸腹腔积液、心包积液;(6)15 例(57%)羊水量不均衡;(7)19 例(73%)脐带异常,包括脐带水肿、脐带插入点异常(图6);(8)15 例(57%)合并双胎选择性宫内生长受限(selective intrauterine growth restriction,sIUGR)、TTTS(表1)。对供血儿及受血儿其他超声特征进行统计分析发现,受血儿肝“星空征”、脐带水肿,供血儿肠道回声增强、胎儿水肿、心胸比增大特征比较,差异有统计学意义(P<0.05,表2)。
表1 26 例双胎贫血-红细胞增多序列征胎儿产前超声表现
超声表现 分期(例) 合计[例(%)]
I期(n=11) II期(n=3) III期(n=3) IV期(n=9)
“黑白”胎盘 11 3 3 9 26 (100)
受血儿肝呈“星空征” 11 2 2 9 24 (92)
供血儿肠道回声增强 0 0 1 3 4 (15)
心脏异常 9 1 3 9 22 (85)
多普勒血流异常 9 1 3 5 18 (69)
胎儿水肿 0 0 0 9 9 (34)
羊水量不均衡 9 0 1 5 15 (57)
脐带异常 10 2 2 5 19 (73)
合并 sIUGR、TTTS 6 1 3 5 15 (57)
合并其他结构畸形 1 0 0 2 3 (12)

注:sIUGR 为选择性宫内生长受限,TTTS 为双胎输血综合征

表2 26 例双胎贫血-红细胞增多序列征供血儿与受血儿超声表现对比[例(%)]
项 目 供血儿(n=26) 受血儿(n=26) x² 值 P值
肝呈“星空征” 0(0) 24(92) 44.571 <0.001
肠道回声增强 4(15) 0(O) 4.333 0.037
胎儿水肿 9(34) 1(3) 7.924 0.005
心胸比增大 16(61) 5(19) 9.665 0.002
房室瓣反流或频谱单峰 11(42) 7(27) 1.359 0.244
多普勒血流异常 10(26) 14(54) 1.238 0.266
脐带水肿 0(0) 6(23) 6.783 0.009
脐带插入点异常 11(42) 9(34) 0.325 0.569
羊水量异常 8(30) 11(42) 0.746 0.388
图1 双胎贫血-红细胞增多序列征胎儿孕29+1周产前超声图像。图a:供血儿大脑中动脉峰值流速(MCA-PSV)增高,约1.61 中位数倍数(MoM);图b:受血儿MCA-PSV 降低,约0.87 MoM
图2 双胎贫血-红细胞增多序列征胎儿孕22+5 周产前超声图像可见供血儿脐带入口附近胎盘回声增强、增厚,受血儿脐带入口附近胎盘回声减低、较供血儿侧薄
图3 双胎贫血-红细胞增多序列征胎儿孕17+1 周产前超声图像可见供血儿(图a)肝回声稍增强,受血儿(图b)肝回声减低,管壁回声增强,呈“星空征”
图4 双胎贫血-红细胞增多序列征胎儿孕22+5 周产前超声图像可见供血儿部分肠管肠壁回声增强(图a),略低于骨骼回声(Ⅰ级)(图b)
图5 双胎贫血-红细胞增多序列征胎儿孕23+5 周产前超声图像。图a:可见供血儿心胸比增大(约为0.44);图b:彩色多普勒可见二尖瓣、三尖瓣轻度反流束,连续多普勒测及反流速度约为2.7 m/s
图6 双胎贫血-红细胞增多序列征胎儿孕28 周产前超声图像。可见受血儿脐带游离段增粗、水肿,箭头示增厚的华通胶

三、染色体情况

26 例TAPS 均未检测出染色体异常。

四、治疗方式及妊娠结局

26 例中,13 例选择射频消融减胎术(保留受血儿),其中1 例于术后2 周流产,余12 例均存活,存活率为92%(12/13);5 例选择胎儿镜下胎盘血管吻合支激光凝固术,两胎儿均存活,存活率为100%(10/10);7 例选择期待治疗,其中1 例孕后期由于未及时随访和处理,两胎儿均胎死宫内,1 例密切随访观察7 周后分娩,两胎儿均存活,5 例于诊断后3 d 内分娩,其中1 例出生后两胎儿均死亡,1 例出生后供血儿死亡,3 例两胎儿均存活,存活率为64%(9/14);1 例选择引产(表3)。
表3 双胎贫血-红细胞增多序列征胎儿治疗方式及预后
治疗方式 分期 例数 合并 sIUGR、TTTS 存活率[%(例/例)]
胎儿镜下胎盘血管吻合支激光凝固术 I 3 1 100 (6/6)
II 0 0 -
III 0 0 -
IV 2 0 100 (4/4)
射频消融减胎术 I 7 4 86 (6/7)
II 1 0 100 (1/1)
III 3 3 100 (3/3)
IV 2 2 100 (2/2)
期待治疗 I 1 1 0 (0/2)
II 2 1 100 (4/4)
III 0 0 -
IV 4 2 63 (5/8)

注:sIUGR 为选择性宫内生长受限,TTTS 为双胎输血综合征,-表示无数据

五、产后表现

观察TAPS 孕妇的胎盘,母体面可见供血儿侧胎盘苍白、水肿增厚,受血儿侧胎盘暗红、较供血儿侧薄(图7a);供血儿呈贫血貌、受血儿呈多血貌,两胎儿肤色有明显差异(图7b)。
图7 双胎贫血-红细胞增多序列征胎儿孕31 周产后胎盘及胎儿大体图。图a:胎盘母体面可见胎盘分界明显,供血儿侧胎盘苍白、水肿增厚,受血儿侧胎盘暗红;图b:可见两胎儿肤色有明显差异,供血儿(左侧)皮肤苍白、受血儿(右侧)皮肤泛红,因供血儿出生评分1-1-1 分,家属放弃抢救

讨 论

多数单绒毛膜双胎的两胎儿间都存在各种胎盘血管的吻合,包括动脉-静脉吻合、动脉-动脉吻合及静脉-静脉吻合,胎盘内以动脉-动脉吻合支为主,血流方向为双向,能确保两胎儿血容量的平衡,避免发生严重的并发症[8]。而TAPS 胎盘内存在大量管径细小的动脉-静脉吻合,正常动脉-动脉吻合支的数量和管径也明显减少[9,10,11,12]。TAPS 胎盘内吻合血管的异常导致了两胎儿间血容量的失衡[10,13,14],持续、单向的慢性输血使两个胎儿一个多血、一个贫血,在产前超声图像上也有相应表现。
本研究26 例病例,供血儿表现为MCA-PSV增高(>1.5 MoM),脐带插入点附近胎盘回声增强、增厚,肠道回声增强;受血儿表现为MCAPSV 降低(<1.0 MoM),脐带插入点附近胎盘回声减低,肝呈“星空征”,脐带直径增粗、水肿。TAPS 胎盘内血管吻合的特点导致供血儿侧胎盘有效绒毛数量及面积不足,绒毛间隙形成血栓、绒毛水肿,子宫胎盘间的血管床被破坏,胎盘物质交换受到影响,TAPS 双胎发生sIUGR、TTTS 的概率明显增加[14,15],本中心发生率约为57%。本文中TAPS 两胎儿均有心脏增大的表现,但供血儿发生率明显高于受血儿,因供血儿持续的缺血、缺氧,需要更高的心输出量才能为身体提供足够的血流量。本中心TAPS 受血儿肝“星空征”发生率达到92%,与国外文献[16]相比明显增高,这与胎儿检查孕周及检查医师的经验有一定关系。受血儿肝呈“星空征”表现的病理生理机制目前仍未明确,多数学者推断可能是由于受血儿红细胞过多,导致肝细胞水肿,肝回声弥漫性降低(空),与肝内血管壁(星)形成明显的差异[17]。而供血儿肠道回声增强可能原因是肠道血流灌注减少,导致肠道管壁缺血坏死[18]。本研究26 例TAPS 平均诊断孕周为25 周左右,与文献报道的TAPS 确诊孕周多数在26 周以后[19]有所差异,这可能与诊断医师的经验、是否加查大脑中动脉频谱及转诊的孕周等有关。
国内外双胎妊娠超声筛查与诊断技术规范的指南和专家共识均建议对单绒毛膜双胎常规行胎儿超声心动图检查同时评估两胎儿心脏功能[20,21]。对可疑或者确诊的TAPS,需要详细评估两胎儿心功能。本中心心功能评估的指标也是基于专家共识中的建议,以费城儿童医院评分系统为基础。本研究中出现房室瓣反流或频谱呈单峰的比例较高,供血儿11 例,受血儿7 例,但是出现右心室流出道梗阻的胎儿较少,分析原因可能是发现的时机相对及时,胎儿还没有出现严重的心功能受损表现。TAPS 分期是新生儿严重疾病的独立危险因素之一[22],分期越靠后,胎儿异常指标越多,心功能越差,与疾病严重程度呈正相关。本研究26 例病例中,IV 期有9 例,心功能异常指标明显较I、II、III 期增多,与文献报道一致[22]
TAPS 虽然发病率低,但围产期死亡率高,因此早发现、早诊断对TAPS 的预后至关重要。目前国内很多地区及医院均开展了双胎超声检查,但是对胎儿大脑中动脉频谱并未常规测量,因此,TAPS 的二维超声图像表现就尤为重要,如果发现胎儿肝“星空征”、“黑白”胎盘、胎盘增厚、脐带水肿等征象,一定要加测两个胎儿的大脑中动脉频谱,关注其PSV 情况。但上述二维超声表现主观性较强,与检查医师临床经验密切相关,存在一定局限性。国内最新的双胎指南建议,对于单绒毛膜双胎应从孕16 周起常规测量两胎儿血流动力学指标,特别是MCA-PSV,对早期发现TAPS 有重要意义。
文献报道部分接受射频消融减胎术后的胎儿,由于手术时血流动力学的瞬间改变影响胎儿脑部血供,可能会出现脑出血、脑室扩张、白质软化等表现[23]。本研究中的26 例,均未在后期检查中发现存活胎儿神经系统受损的表现。但是部分神经系统受损在孕期是无法通过影像学检查发现的,必要时需追踪其出生后神经系统发育的评估情况。而对于影像学检查发现有神经系统受损的胎儿,需要更加密切且长期关注胎儿期、出生后2 年以及更长时间的神经系统发育情况。
TAPS 可以合并其他并发症及结构畸形,本研究中有15 例合并sIUGR、TTTS,3 例合并结构畸形。TAPS 和sIUGR 均高发于单绒毛膜双羊膜囊双胎,胎盘血管吻合是共同基础,合并sIUGR 比例较高可能与胎盘血管吻合异常及血流动力学失衡有关。sIUGR 是由于胎盘份额分配不均(如一胎胎盘面积小或血管灌注差)或脐带插入异常(边缘性或帆状插入)。TAPS 中供血儿心输出量代偿性增加,血红蛋白携氧能力下降,胎盘灌注虽增加但效率低下,若同时合并胎盘份额小或血管异常,胎儿生长进一步受限。其次TAPS 的动脉-静脉吻合可能导致供血胎儿通过胎盘吻合支被动向受血胎儿分流血液,加重自身胎盘灌注不足,加速sIUGR进展。合并TTTS 的本质原因可能与sIUGR 相同,均是因为胎盘血管吻合异常。因此复杂双胎的超声检查,除了血流动力学指标、心功能情况,还应该包括生长发育和结构畸形的评估。
TAPS 的治疗方案包括胎儿镜下胎盘血管吻合支激光凝固术、射频消融减胎术、宫内输血、期待治疗[24,25]。本中心确诊的26 例TAPS 有18 例接受了宫内治疗,其中13 例选择了射频消融减胎术(保留受血儿),一方面原因是其分期多在Ⅲ期、Ⅳ期,属于病情较严重的TAPS,并且其中有9 例合并TTTS、sIUGR,2 例合并结构畸形,若选择保留两个胎儿,后续治疗效果难以预估、医疗费用负担也较重,部分家庭无法承受;5 例选择胎儿镜下胎盘血管吻合支激光凝固术,其中3 例属于I 期,两胎儿一般情况较好;另外2 例IV 期胎儿是因为家属强烈要求保留2 个胎儿。7 例选择期待治疗,I 期1 例,于孕28+3 周确诊、孕28+6 周选择分娩,但两胎儿均死亡,可能与孕周较小且合并sIUGR有关;II 期2 例,孕周均大于32 周,确诊TAPS后即选择了分娩,胎儿均存活;IV 期4 例,其中1 例确诊孕周21+5 周,孕妇及家属拒绝宫内治疗,要求期待治疗,最终两胎儿均死亡,可能因其中一胎儿在确诊时已出现脐动脉舒张期消失,提示预后不良,另外3 例确诊孕周均大于28 周,其中1 例孕30+6 周确诊,次日选择分娩,因供血儿出生评分1-1-1 分,家属放弃抢救,余2 例均存活。本中心期待治疗存活率只有64%,明显低于接受宫内治疗的胎儿。期待治疗不确定性因素多、风险性高,需要经验丰富的临床医师进行充分及严格的评估,治疗期间也要密切监测,一旦发现病情有进展或者出现预后不良的情况,应立即干预[26,27]。虽然目前对于TAPS 治疗方案还缺乏大样本的数据统计,尚无统一明确的标准,但国内外专家学者一致推荐产前个体化管理方案[28,29],要综合考虑胎儿宫内情况、孕龄大小、孕妇意愿、分娩中心及新生儿救治中心水平等多种因素。鉴于此,TAPS 一旦确诊应转诊至高水平胎儿医学中心进行充分评估,选择对孕妇及胎儿最为合适的治疗方案,同时建议在有高水平产后医疗和外科管理经验丰富的专业中心进行分娩。
本研究的局限性在于本中心病例数量较少,同时缺乏出生后生长发育相关指标的随访结果,特别是神经系统发育指标,目前部分病例仍在继续随访中,希望对减胎术后存活胎儿神经系统的影响做进一步的补充说明。
综上所述,对于复杂双胎,特别是高度怀疑TAPS 的胎儿,超声检查需要特别关注以下指标:血流动力学指标、胎盘厚度及回声、羊水量、脐带入口、脐带直径、生长参数、心功能、肝回声、肠道回声、胸腹腔有无积液、皮肤有无水肿、结构有无异常。上述指标对于TAPS 分期、治疗方案的选择及预后评估至关重要。对于单绒毛膜双胎,应严格按照指南要求定期做超声监测,并于16 周开始常规加测血流动力学指标,这对早期发现TAPS 至关重要。
1
Lopriore E, Middeldorp JM, Oepkes D, et al.Twin anemiapolycythemia sequence in two monochorionic twin pairs without oligo-polyhydramnios sequence [J].Placenta, 2007, 28(1): 47-51.

2
Yoshimura Y, Ozawa K, Goto H, et al.Twin anemia-polycythemia sequence with spontaneous resolution in dichorionic diamniotic twin pregnancy a case report and a review of the literature [J].Cureus,2024, 16(11): e73563.

3
Zhao DP, de Villiers SF, Slaghekke F, et al.Prevalence, size, number and localization of vascular anastomoses in monochorionic placentas[J].Placenta, 2013, 34(7): 589-593.

4
Pena Burgos EM, Regojo Zapata RM, Turiel Miranda M, et al.Spontaneous twin anemia- polycythemia sequence from two donors to one recipient in a monochorionic triamniotic pregnancy: case report and review of the literature [J].J Obstet Gynaecol Res, 2021, 47(12):4450-4455.

5
Slaghekke F, Kist WJ, Oepkes D, et al.Twin anemia-polycythemia sequence: diagnostic criteria, classification, perinatal management and outcome [J].Fetal Diagn Ther, 2010, 27(4): 181-190.

6
Khalil A, Rodgers M, Baschat A, et al.ISUOG practice guidelines:role of ultrasound in twin pregnancy [J].Ultrasound Obst Gyn, 2016,47(2): 247-63.

7
魏晓光, 魏瑗, 龚丽君, 等.产前超声对双胎贫血-红细胞增多序列征的诊断价值研究 [J].中国超声医学杂志, 2021, 37(11): 1316-1319.

8
谭丽芳, 张晓航, 张雪梅.单绒毛膜双胎TTTS 与TAPS 胎盘的特点 [J].中国产前诊断杂志(电子版), 2018, 10(1): 6-10.

9
Khalil A, Gordijn S, Ganzevoort W, et al.Consensus diagnostic criteria and monitoring of twin anemia-polycythemia sequence: delphi procedure [J].Ultrasound Obst Gyn, 2020, 56(3): 388-394.

10
Bahtiyar MO, Ekmekci E, Demirel E, et al.In utero partial exchange transfusion combined with in utero blood transfusion for prenatal management of twin anemia-polycythemia sequence [J].Fetal Diagn Ther, 2019, 45(1): 28-35.

11
王新霞, 韩瑞征, 栗河舟, 等.双胎贫血-红细胞增多序列征的产前超声诊断及围产结局分析 [J].中国临床医学影像杂志, 2022,33(7): 506-510.

12
Baschat AA, Miller JL.Pathophysiology, diagnosis, and management of twin anemia polycythemia sequence in monochorionic multiple gestations [J].Best Pract Res Clin Obstet Gynaecol, 2022, 84: 115-126.

13
Bae JY, Oh JJ, Hong SY.Prenatal diagnosis of spontaneous twin anemia- polycythemia sequence and postnatal examina-tion of placental vascular anastomoses [J].Obstet Gynecol Sci, 2016, 59(6):539-543.

14
Tollenaar LSA, Slaghekke F, Middeldorp JM, et al.Twin anemia polycythemia sequence: current views on pathogenesis, diagnostic criteria, perinatal management, and outcome [J].Twin Res Hum Genet, 2016, 19(3): 222-233.

15
De Paepe ME, Gündog an F, Mao Q, et al.Redness discordance in monochorionic twin placentas: correlation with clinical and placental findings [J].Placenta, 2017, 60: 54-60.

16
Tollenaar LSA, Lopriore E, Middeldorp JM, et al.Prevalence of placental dichotomy, fetal cardiomegaly and starry-sky liver in twin anemia-polycythemia sequence [J].Ultrasound Obst Gyn, 2020, 56(3):395-399.

17
Tollenaar LS, Zhao DP, Middeldorp JM, et al.Color difference in placentas with twin anemia-polycythemia sequence: an additional diagnostic criterion? [J].Fetal Diagn Ther, 2016, 40(2): 123-127.

18
Verbeek L, Slaghekke F, Hulzebos CV, et al.Hypoalbuminemia in donors with twin anemia-polycythemia sequence:a matched casecontrol study [J].Fetal Diagn Ther, 2013, 3(4): 241-245.

19
Lewi L, Jani J, Blickstein I, et al.The outcome of monochorionic diamniotic twin gestations in the era of invasive fetal therapy: a prospective cohort study [J].Am J Obstet Gynaecol, 2008, 199(5):514.e1-514.e8.

20
杨泽宇, 廖姗姗, 刘彩霞, 等.双胎妊娠超声筛查与诊断技术规范(2021 年更新版) [J].中国实用妇科与产科杂志, 2021, 37(5): 550-553.

21
Khalil A, Rodgers M, Baschat A, et al.ISUOG practice guide- lines:role of ultrasound in twin pregnancy [J].Ultrasound Obstet Gynecol,2016, 47(2): 247-263.

22
Rychik J, Tian Z, Bebbington M, et al.The twin-twin transfu-sion syndrome: spectrum of cardiovascular abnormality and development of a cardiovascular score to assess severity of disease [J].Am J Obstet Gynecol, 2007, 197(4): 392.

23
Andrioli Peralta CF, Jorge Rodrigues da Costa K, Peneluppi Horak AC, et al.Predictors of fetal death, neonatal survival and neurological outcomes in severe twin-twin transfusion syndrome treated by laser ablation of placental vessels [J].Prenatal Diag, 2023, 44(3): 325-335.

24
饶腾子, 李玲, 魏然, 等.双胎贫血-红细胞增多序列综合征宫内治疗结局分析 [J].中国产前诊断杂志(电子版), 2020, 12(3): 29-33.

25
张志涛, 刘彩霞, 少尉, 等.双胎贫血-红细胞增多序列征诊治及保健指南(2020) [J].中国实用妇科与产科杂志, 2020, 36(9): 818-824.

26
Miller RS, Miller JL, Monson MA, et al.Society for Maternal-Fetal Medicine Consult Series #72: twin-twin transfusion syndrome and twin anemia-polycythemia sequence [J].Am J Obstet Gynaecol, 2023,231(4): B16-B37.

27
Giorgione V, D’antonio F, Manji A, et al.Perinatal outcome of pregnancy complicated by twin anemia- polycythemia sequence:Systematic review and meta-analysis [J].Ultrasound Obs Gynecol,2021, 58(6): 813-823.

28
Tollenaar LSA, Slaghekke F, Lewi L, et al.Treatment and outcome of 370 cases with spontaneous or post-laser twin anemia-polycythemia sequence managed in 17 fetal therapy centers [J].Ultrasound Obstet Gynecol, 2020, 56(3): 378-387.

29
Ding Y, Li J, Liu W, et al.Ultrasonographic features and pregnancy outcomes of complications in monochorionic twin pregnancy during various pregnancy periods [J].Altern Ther Health M, 2023, 30(6): 82-89.

文章导航

/


AI


AI小编
你好!我是《中华医学电子期刊资源库》AI小编,有什么可以帮您的吗?