切换至 "中华医学电子期刊资源库"
病例报告

肝EB病毒阳性炎性滤泡树突细胞肉瘤一例并文献复习

  • 倪志鹏 ,
  • 郑静 , ,
  • 林子惟
展开
  • 518020 深圳,深圳市人民医院超声科

通信作者:

郑静,Email:

Copy editor: 吴春凤

收稿日期: 2025-04-10

  网络出版日期: 2025-10-01

基金资助

广东省医学科学技术研究基金项目(B2023342)

深圳市科技计划项目(JCYJ20200109115201707)

版权

未经授权,不得转载、摘编本刊文章,不得使用本刊的版式设计,除非特别声明,本刊刊出的所有文章不代表中华医学会和本刊编委会的观点。本刊为电子期刊,以网刊形式出版。

Hepatic Epstein-Barr virus-positive inflammatory follicular dendritic cell sarcoma: a case report and literature review

  • Zhipeng Ni ,
  • Jing Zheng , ,
  • Ziwei Lin
Expand

Received date: 2025-04-10

  Online published: 2025-10-01

Copyright

Copyright by Chinese Medical Association No content published by the journals of Chinese Medical Association may be reproduced or abridged without authorization. Please do not use or copy the layout and design of the journals without permission. All articles published represent the opinions of the authors, and do not reflect the official policy of the Chinese Medical Association or the Editorial Board, unless this is clearly specified.

本文引用格式

倪志鹏 , 郑静 , 林子惟 . 肝EB病毒阳性炎性滤泡树突细胞肉瘤一例并文献复习[J]. 中华医学超声杂志(电子版), 2025 , 22(07) : 673 -676 . DOI: 10.3877/cma.j.issn.1672-6448.2025.07.016

患者男性,42岁,右下腹酸胀疼痛3个月,无发热、寒战、周身黄染等其他症状,无肝炎病史。深圳市人民医院门诊CT检查发现肝右叶一类圆形低密度影,边界欠清楚,大小约4.5 cm×4.2 cm,增强扫描呈填充式强化,内壁欠光整,病灶内见小片状无增强区,动脉期病变周围见异常灌注(图1)。CT提示:肝右叶占位,考虑肝脓肿可能性大,肿瘤性病变待排查。实验室检查:直接胆红素浓度为8.5 μmol/L,总胆红素浓度为30.7 μmol/L,丙氨酸氨基转移酶40.1 U/L,碱性磷酸酶125 U/L,其余指标均在正常范围内。中性粒细胞比值、中性粒细胞绝对值在正常范围内,肿瘤标志物癌胚抗原、甲胎蛋白、糖类抗原199均阴性。入院行抗感染治疗1周后复查超声:肝右前、后叶交界处可见一大小约4.9 cm×4.6 cm实质性团块,形状欠规则,内部为不均质低回声,边界尚清楚,无声晕,彩色多普勒血流成像见团块周边较丰富血流信号,内部见少量血流信号。超声造影:经肘静脉团注造影剂2.4 ml,14 s肿块周边实质呈快速不均匀增强;24 s达峰值,中央可见无增强区,范围2.6 cm×1.5 cm;于门脉期早于周边实质开始消退,延迟期进一步消退(图2);结合超声造影提示:考虑肝细胞癌可能,肝脓肿待排查。进一步行磁共振造影检查:肝右叶见大小4.9 cm×3.5 cm类圆形长T1稍长T2信号影,弥散明显受限,中央见小片状长T1短T2区域,中央区域弥散未见受限,增强扫描病灶各期呈环形强化,中央未见明显强化,肝胆期未见明显造影剂摄取(图3),诊断:考虑肝脓肿,纤维板层样肝癌待排查。此后1周内多次复查腹部超声,均提示肝占位病变无明显变化,临床排除肝脓肿可能,考虑肝细胞癌可能性大。遂行机器人辅助腔镜下肝S8段切除术。常规病理:肿瘤大小4.0 cm×4.0 cm×3.5 cm,与周围肝组织界限尚清楚,在大量淋巴细胞、浆细胞、组织细胞及多核巨细胞的背景下,见梭形滤泡树突样或纤维母细胞样细胞呈条束状分布,核空泡状、核仁明显,可见多灶性坏死;免疫组织化学检测结果显示肿瘤细胞CD21(+)、CD23(+)、CD35(+)、SSTR2(+)、SMA(-)、CD3(-)、CD20(-)、CD138(浆细胞+)、Ki-67(20%+)、IgG4/IgG(<40%);原位杂交结果:EB病毒(Epstein-Barr virus,EBV)壳抗原IgA抗体阳性[EBV脱核RNA(Epstein-Barr virus enucleated RNA,EBER)+]。最终病理诊断为EBV阳性炎性滤泡树突细胞肉瘤(EBV+ inflammatory follicular dentritic cell sarcoma,EBV+IFDCS)。术后未进行放化疗,随访16个月未见肿瘤复发及转移。
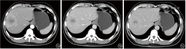
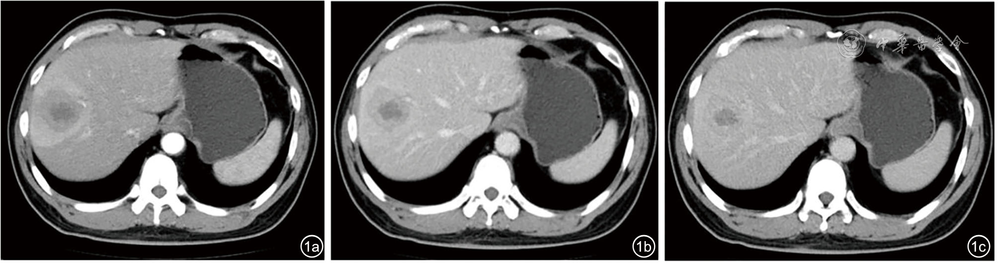
图1 肝病灶增强CT呈填充式强化,内壁欠光整,可见小片状无增强区。图a为动脉期,图b为门脉期,图c为延迟期
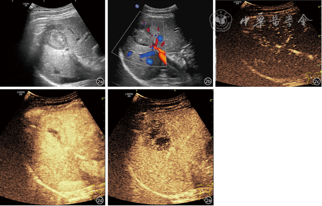
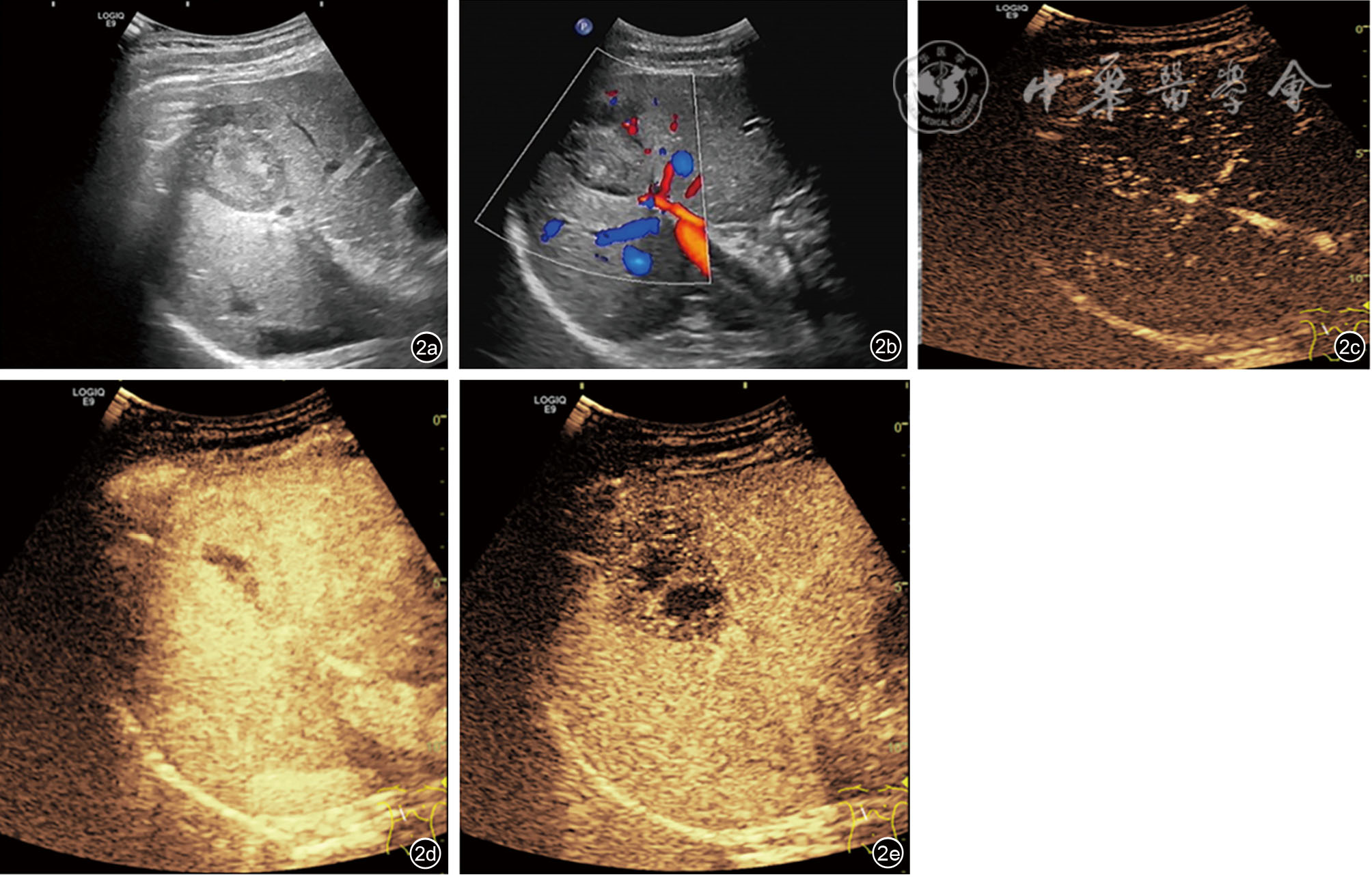
图2 肝病灶彩色多普勒超声及超声造影图像。图a:肝内见一不均质低回声团块;图b:彩色多普勒显示周边较丰富血流信号,内部少量血流信号;图c:注射造影剂后14 s肿块周边呈快速不均匀增强;图d:门脉早期开始消退;图e:延迟期进一步消退
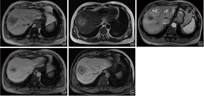
图3 肝病灶磁共振成像。图a:T1加权成像呈不均匀低信号;图b:T2加权成像呈不均匀高信号;图c为动脉期,图d为门脉期,图e为肝胆期。图c~e:增强扫描病灶各期呈环形强化,中央未见明显强化,肝胆期未见明显造影剂摄取
讨论 滤泡树突细胞肉瘤(follicular dentritic cell sarcoma,FDCS)是一种起源于初级和次级淋巴滤泡的罕见肿瘤,于1986年被Monda等1首次报道。根据病变部位分为结内型和结外型,结内型好发于颈部和腋窝淋巴结,结外型可见于扁桃体、甲状腺、腭、咽、肝、胰腺、腹膜、乳腺和肺等部位。1996年,由Shek等2报道的1例FDCS在形态学上表现为在肿瘤背景下存在明显的混合炎症细胞浸润,梭形肿瘤细胞数量稀疏分散,与炎性假瘤非常相似。Cheuk等3将其描述为炎性假瘤样FDCS。世界卫生组织分类(2022年)将其命名为EBV+IFDCS,为FDCS的特殊亚型,是一种罕见低度恶性肿瘤,好发于肝及脾,与EBV感染密切相关4。其具体发病机制尚不明确,既往病例报道中绝大多数显示EBV阳性,仅有4例EBV阴性病例报道5。Abe等6认为EBV 1型最初感染人类淋巴滤泡中的B淋巴细胞后转换为潜伏期,继而感染滤泡树突状细胞,EBV释放的EBER或潜伏期膜蛋白1通过CD40信号通路扩增,从而导致滤泡树突状细胞增殖和细胞凋亡抑制,最终产生瘤变。
国内外文献共报道了78例肝EBV+IFDCS病例,男性35例,女性43例,患者年龄16~81岁,平均年龄47岁,肿瘤最大直径范围1.4~23.3 cm,肿瘤多为单发巨块型,生长较局限,部分患者出现腹胀、腹痛、消瘦、发热等非特异性症状,部分患者全身无特异性临床表现,多为体检或影像学检查偶然发现。其中69例患者有预后数据,13例(18.8%)患者出现复发,2例(2.9%)患者经历多次复发后因该病死亡,术后生存时间平均为95个月7-8
结合文献9,10,11复习,EBV+IFDCS影像学表现为单发肿块,较大肿块多合并坏死、囊性变,偶见钙化,彩色多普勒超声可显示肿块周边较丰富的血流信号,内部血流信号稀少,无癌栓及血栓表现。CT增强扫描多表现为动脉期不均匀增强、填充式强化,部分病例表现为周边环形强化,门脉期、延迟期消退不明显或轻度消退,中部可见无强化的坏死区。磁共振检查T1加权成像表现为均匀、不均匀低信号,T2加权成像表现为均匀、不均匀高信号,可见环状低信号包膜,增强扫描动脉期边缘结节状强化,门脉期及延迟期稍向中央填充,延迟期强化稍减退。陈阳阳等12认为磁共振更有优势和价值,肿瘤实性成分弥散加权成像均呈高信号,表观扩散系数序列成像呈低信号,与相应脾一致,这一特征有助于诊断和鉴别诊断。谢品楠等13回顾分析了12例脾EBV+IFDCS患者的CT增强特征:表现为不均匀强化,门脉期持续强化,延迟期缓慢消退。这说明EBV+IFDCS的影像学表现存在多样性,容易误诊。本例患者CT、磁共振均提示肝脓肿可能,而超声造影显示肿块在动脉早期增强,在门脉期、延迟期可见轻度消退,呈快进快退特征,符合肝恶性肿瘤超声造影增强表现。临床在抗感染治疗无效后最终接受超声诊断,选择手术处理。既往病例未见超声造影特征报道,超声造影对肝EBV+IFDCS的诊断价值有待进一步研究。
EBV+IFDCS诊断主要依靠组织形态学检查和免疫组织化学染色检测。肿瘤细胞可呈非典型,通常为梭形、卵形或多角形,也可呈星形、束状或小梁状排列。细胞也有嗜酸性细胞质,卵圆形或不规则核,染色质较深,核仁突出。最重要的一点是具有非常突出的炎症成分,主要包括淋巴细胞(B细胞和T细胞)、嗜酸性粒细胞、浆细胞和罕见的上皮样组织细胞。肿瘤细胞通常被炎症浸润所掩盖。因此,EBV+IFDCS经常被错误地诊断为炎症反应或炎性假瘤或其他肿瘤714。EBV+IFDCS常表达一种或多种滤泡树突状细胞标志物,包括CD21、CD23、CD35、CXCL-13、D2-40等,原位杂交EBER阳性,通过这些特征性标志物与炎性假瘤、炎性肌纤维母细胞肿瘤、指突状树突细胞肉瘤、淋巴瘤等相鉴别15。尽管有学者报道了EBV阴性的IFDCS,但该诊断存在一定争议。Jiang等16认为应将此类肿瘤纳入经典型FDCS伴淋巴细胞浸润。Kiryu等17认为滤泡树突细胞标记的表达缺失并不能充分说明肿瘤为非滤泡树突细胞来源肿瘤,更可靠的滤泡树突细胞标志物仍有待进一步研究。
EBV+IFDCS是一种低度恶性的罕见肿瘤,目前尚无统一治疗标准,但对于局部病变患者,首选根治性手术切除,对于复发病例或不能耐受手术者可辅以适当放化疗6-7。EBV+IFDCS生物学相对惰性,虽然有一定的复发率,但生存率较高。有学者认为肿瘤最大径>6.0 cm、肿瘤出现凝固坏死、肿瘤细胞出现显著异型性及核分裂象>5/10HPF,可作为判断肝EBV+IFDCS预后不良的指标618
综上所述,当肝影像发现巨大肿块伴坏死,增强扫描呈填充式强化,磁共振检查可见环状低信号包膜,无肝炎、肝硬化背景及肿瘤标志物阴性时,应考虑EBV+IFDCS的可能,确诊需要依靠组织病理学、免疫组织化学标记及原位杂交技术。
1
Monda L, Warnke R, Rosai J. A primary lymph node malignancy with features suggestive of dendritic reticulum cell differentiation. A report of 4 cases [J]. Am J Pathol, 1986, 122(3): 562-572.

2
Shek TW, Ho FC, Ng IO, et al. Follicular dendritic cell tumor of the liver. Evidence for an Epstein-Barr virus-related clonal proliferation of follicular dendritic cells [J]. Am J Surg Pathol, 1996, 20(3): 313-324.

3
Cheuk W, Chan JK, Shek TW, et al. Inflammatory pseudotumor-like follicular dendritic cell tumor: a distinctive low-grade malignant intra-abdominal neoplasm with consistent Epstein-Barr virus association [J]. Am J Surg Pathol, 2001, 25(6): 721-731.

4
Facchetti F, Simbeni M, Lorenzi L. Follicular dendritic cell sarcoma [J]. Pathologica, 2021, 113(5): 316-329.

5
Zhang Q, Gao J. EBER-negative inflammatory pseudotumor-like follicular dendritic cell sarcoma of liver: a case report [J]. Medicine (Baltimore), 2024, 103(14): e37651.

6
Abe K, Kitago M, Matsuda S, et al. Epstein-Barr virus-associated inflammatory pseudotumor variant of follicular dendritic cell sarcoma of the liver: a case report and review of the literature [J]. Surg Case Rep, 2022, 8(1): 220.

7
Yan S, Yue Z, Zhang P, et al. Case report: hepatic inflammatory pseudotumor-like follicular dendritic cell sarcoma: a rare case and review of the literature [J]. Front Med (Lausanne), 2023, 10: 1192998.

8
严礼平, 龚伟, 毛卫波, 等. 肝脏原发多发性EB病毒阳性炎性滤泡树突细胞肉瘤1例 [J].中华医学杂志, 2024, 104(26): 2455-2456.

9
陈燕, 孙德胜, 林晓娜, 等. 肝脏炎性假瘤样滤泡树突细胞肉瘤一例及文献复习 [J]. 罕少疾病杂志, 2017, 24(4): 35-37.

10
王连江, 刘晓龙, 张雅敏, 等. 肝滤泡树突细胞肉瘤一例并文献复习 [J]. 中华肝胆外科杂志, 2019, 25(3): 222-223.

11
肖诗蕾, 郎也, 李倩, 等. 肝脏炎性假瘤样滤泡树突细胞肉瘤Gd-EOB-DTPA MRI表现1例[J]. 中华肝脏病杂志, 2022, 30(7): 784-786.

12
陈阳阳, 岳军艳, 李培恒, 等. 18例胸腹部滤泡树突细胞肉瘤患者的临床表现、病理特征、CT及MRI表现 [J]. 海南医学, 2024, 35(21): 3148-3154.

13
谢品楠, 胡明哲, 孙厚长, 等. 脾脏炎性假瘤样滤泡树突细胞肉瘤CT表现特征 [J]. 中华肝胆外科杂志, 2023, 29(8): 605-608.

14
汪亮亮, 周斌, 余燚, 等. EBV阳性炎性滤泡树突细胞肉瘤8例临床病理分析 [J]. 临床与实验病理学杂志, 2024, 40(1): 89-91, 94.

15
谢淦,彭芳,用小壮,等. EB病毒阳性炎性滤泡树突细胞肉瘤的病理学研究进展[J].诊断病理学杂志, 2024, 31(8): 802-805, 801.

16
Jiang XN, Zhang Y, Xue T, et al. New clinicopathologic scenarios of EBV+ inflammatory follicular dendritic cell sarcoma: report of 9 extrahepatosplenic cases [J]. Am J Surg Pathol, 2021, 45(6): 765-772.

17
Kiryu S, Takeuchi K, Shibahara J, et al. Epstein-Barr virus-positive inflammatory pseudotumour and inflammatory pseudotumour-like follicular dendritic cell tumour [J]. Br J Radiol, 2009, 82(976): e67-e71.

18
Chan JK, Fletcher CD, Nayler SJ, et al. Follicular dendritic cell sarcoma. Clinicopathologic analysis of 17 cases suggesting a malignant potential higher than currently recognized [J]. Cancer, 1997, 79(2): 294-313.

文章导航

/


AI


AI小编
你好!我是《中华医学电子期刊资源库》AI小编,有什么可以帮您的吗?