Home    中文  
 
  • Search
  • lucene Search
  • Citation
  • Fig/Tab
  • Adv Search
Just Accepted  |  Current Issue  |  Archive  |  Featured Articles  |  Most Read  |  Most Download  |  Most Cited
Lectures

Quantitative echocardiographic assessment of functional mitral regurgitation

  • Jinmei Liu 1 ,
  • Yun Mou , 1
Expand

Received date: 2021-06-15

  Online published: 2021-11-02

Copyright

Copyright by Chinese Medical Association No content published by the journals of Chinese Medical Association may be reproduced or abridged without authorization. Please do not use or copy the layout and design of the journals without permission. All articles published represent the opinions of the authors, and do not reflect the official policy of the Chinese Medical Association or the Editorial Board, unless this is clearly specified.

Cite this article

Jinmei Liu , Yun Mou . Quantitative echocardiographic assessment of functional mitral regurgitation[J]. Chinese Journal of Medical Ultrasound (Electronic Edition), 2021 , 18(10) : 932 -936 . DOI: 10.3877/cma.j.issn.1672-6448.2021.10.006

二尖瓣反流(mitral regurgitation,MR)在心脏瓣膜病中发病率最高,且发病率随年龄增长而明显上升,并且中度及以上MR与心力衰竭的发病率、住院率及远期预后明显相关1, 2。另外,有研究表明在中度及以上MR中以功能性二尖瓣反流(functional mitral regurgitation,FMR)更为常见3。FMR是指由于左心室局部或整体发生重构,引起二尖瓣环扩张或乳头肌移位,导致结构正常的二尖瓣叶在左心室收缩期发生对合高度下降或消失,血液从左心室反流至左心房内的现象。磁共振成像能全面直接地显示心肌及心腔的形态变化,对比分辨率及空间分辨率均优于超声心动图,其快速成像技术可以对FMR的定性及定量诊断提供较大的帮助,但是磁共振成像在瓣膜形态及瓣叶活动显示等方面不如超声心动图直观、便捷,且价格较为昂贵。超声心动图能直接实时地显示二尖瓣结构以及血流动力学异常,并进行心功能评价,是FMR的主要诊断方法,但目前对于FMR的定量诊断易出现高估或低估的情况。
随着以MitraClip为代表的FMR介入治疗技术的发展,超声心动图对于显示二尖瓣的解剖结构以及MR的术前筛选和评估、术中监测、术后评价变得尤其重要。早期应用超声心动图对二尖瓣形态结构的改变以及反流的严重程度进行全面评估,对临床治疗方案的选择具有极为重要的指导价值。本文对FMR评价的最新指南共识及最新研究进展进行综述,以期为临床超声诊疗工作提供参考。

一、FMR的病理机制

正常生理状态下,左心室收缩期压力迅速上升,使二尖瓣瓣叶向瓣环方向运动,同时乳头肌、腱索对瓣叶的牵拉防止其运动过度而脱入心房。这一对力量的平衡保证了二尖瓣前、后瓣叶在收缩期闭合完全,若失去平衡即可导致FMR。FMR病因主要分为缺血性(可继发于冠状动脉疾病)、非缺血性(扩张型心肌病)两类。FMR主要机制是由于左心室局部或整体重构引起乳头肌移位致二尖瓣瓣叶牵拉力增加以及二尖瓣瓣环扩张、变扁平、运动减弱4, 5,使得二尖瓣瓣叶收缩期远离二尖瓣瓣环平面6, 7,二尖瓣前后瓣叶闭合错位、对合不良从而形成反流8。同时,左心室收缩不同步可引起相应乳头肌收缩不同步,从而影响二尖瓣瓣叶关闭导致FMR。此外,无左心室功能障碍的房颤患者也可发生FMR,即心房功能性二尖瓣反流(atrial functional mitral regurgitation,AFMR)。7.4%~29.0%的房颤患者可发生明显的FMR9,AFMR的发生在很大程度上是无法解释的,左心室大小和收缩功能是正常的,有研究认为二尖瓣瓣叶面积不能与扩张的瓣环相适应和瓣环运动异常是其发生的机械因素10
为了更好地指导MR的外科治疗,有研究者根据发生机制不同将二尖瓣关闭不全分为以下3种类型11,即病理生理三合体(表1),其中Ⅰ型和Ⅲb型患者发生的MR称为FMR。
表1 二尖瓣关闭不全分型及特征
分型 特征
Ⅰ型 瓣叶活动正常,但是可出现瓣环扩大或瓣叶穿孔
Ⅱ型 瓣叶活动过度,可见于二尖瓣脱垂或连枷二尖瓣
Ⅲ型

Ⅲa

风湿性心脏病所致瓣叶和腱索活动受限

Ⅲb

心脏扩大,乳头肌移位导致的瓣叶活动受限

二、FMR的二维超声心动图定量评估

FMR的临床诊断意义不仅与病变的性质有关,与反流量的多少更为相关。因此,准确评估FMR的严重程度尤为重要。超声心动图是FMR的重要诊断工具。最新指南以及专家共识均建议采用多项指标联合评估FMR程度,至今尚未发现单一特异性指标能准确直接评估FMR严重程度12, 13

(一)彩色血流多普勒

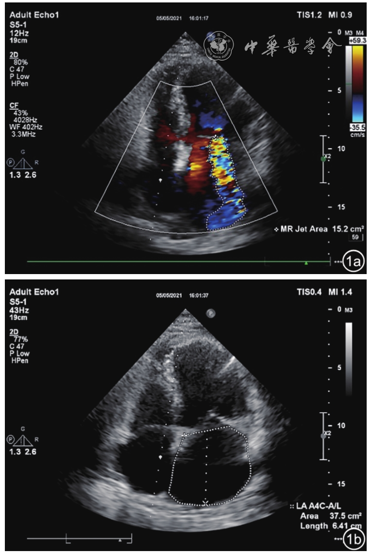
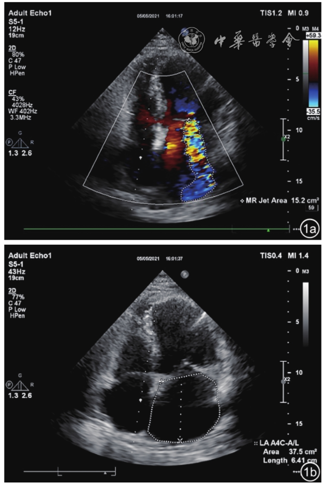
1. 反流面积法12:(1)轻度反流:反流束面积<4 cm2或20%左心房面积;(2)中度反流:反流束面积4~10 cm2或20%~40%左心房面积;(3)重度反流:反流束面积>10 cm2或40%左心房面积(图1)。然而,反流面积的大小与反流程度并无高度的相关性,易受血流动力学变化的影响,例如一些血压偏低伴有急性重度FMR的患者,因其左心房压力升高,仅显示少量的偏心性反流面积;而一些高血压伴有轻度FMR的患者,反而可以出现较大的反流面积。因此,反流面积法并不能精确评估FMR的程度。
图1 二维超声心动图测量二尖瓣反流束面积和左心房面积。图a示二尖瓣反流束面积为15.2 cm2;图b示为左心房面积为37.5 cm2
2. 反流颈宽度(vena contracta width,VCW):是评估瓣膜反流严重程度的重要超声指标,推荐在胸骨旁长轴切面测量二尖瓣VCW,在反流束出现后最窄的时候使用ZOOM模式测量,反流颈即有效反流口。虽然VCW的测量不受血流速度和压力差的影响,但是心动周期及血流动力学的改变会影响其测量结果。研究发现VCW能准确评估FMR,对于偏心和不偏心的反流束判断同样有效14。其评估方法如下12:VCW<0.3 cm通常为轻度MR;VCW≥0.7 cm对重度MR的诊断具有较高的特异性;0.3 cm≤VCW<0.7 cm对于MR程度的判断有重叠,需进一步结合其他方法确定反流程度(图2)。但此方法依赖于反流口的几何形态,对于缺血引起的FMR,由于瓣叶及左心房的重构,FMR的反流颈及有效反流口并非圆形,会导致高估或低估反流量。
图2 二维超声心动图测量二尖瓣反流颈宽度(VCW)。图a示VCW测量值为0.65 cm;图b示VCW测量值为0.38 cm
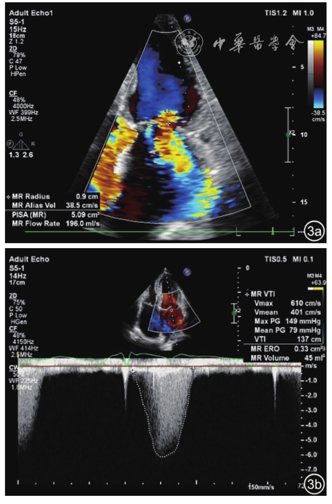
3. 近端等速表面积(proximal isovelocity surface area,PISA):PISA方法是目前超声心动图评估FMR较为常用的定量方法,也是较为可靠的超声指标15。其评估方法如下:EROA=2πr2×Va/Peak V(MR),RV=EROA×TVI(MR)(EROA:有效反流口面积;Peak V(MR):二尖瓣反流的峰值流速;Va:混叠速度;RV:反流量;TVI:二尖瓣反流时间-速度积分)。反流分数(RF)=RV/SV(SV:左心室每搏量)(图3)。轻度MR:EROA<0.20 cm2,RV<30 ml,反流分数<30%;重度MR:EROA≥0.40 cm2,RV≥60 ml,RF≥50%;中度MR:0.20 cm2≤EROA<0.40 cm2,30 ml≤RV<60 ml,30%≤RF<50%。PISA对中心性反流的测量较偏心性反流更为精确,对圆形反流口测量较非圆形反流口更为精确。在美国超声心动图学会(American Society of Echocardiography,ASE)指南12中,重度FMR与重度原发性MR相似,被定义为EROA≥0.4 cm2和RV≥60 ml。由于FMR中EROA是半月形而不是原发性MR中的圆形,因此FMR患者的EROA可能被低估。有随访研究表明,FMR患者的EROA在0.20~0.40 cm2之间同样提示临床预后不良16, 17。因此,2012年欧洲心脏病学会(European Society of Cardiology,ESC)指南18中,将重度FMR患者的EROA截断值由0.4 cm2降低至0.2 cm2
图3 二维超声心动图测量二尖瓣反流率、反流量及有效反流口面积。图a为二维超声心动图将底部尼奎斯特极限调至30~40 cm/s,在大致达到连续多普勒血流的峰值时测量近端等速表面积(PISA)半球形的半径r,根据位于瓣口的极限速度v,可计算出反流率为196 ml/s;图b根据二尖瓣反流连续多普勒频谱,测算得出有效反流口面积为0.33 cm2,反流量为45 ml

(二)连续多普勒

绝大多数患者中,收缩期左心房与左心室之间的高压力阶差导致二尖瓣的最大反流速度可达4~6 m/s。连续波多普勒信号的灰度是MR严重程度的定性指标,高灰度信号提示严重MR,低灰度信号则可能提示轻度或轻微MR。

(三)脉冲多普勒

重度MR的患者由于舒张期二尖瓣口过瓣血流量增加(E峰峰值流速往往≥1.2 m/s)导致大量早期充盈(E峰血流速度增加)。

(四)肺静脉血流频谱

MR逐渐加重,肺静脉收缩期血流速度逐渐减低甚至发生翻转呈逆向血流。需要注意的是,能引起左心房压力升高的相关疾病及房颤的患者并不适用。

三、FMR的三维超声心动图评估

(一)经胸三维超声心动图

目前,实时三维超声技术的快速发展为MR的诊断和评估提供了更为准确的病理学及形态学依据,可弥补二维超声对反流束形状、方向及大小评估不够精确的不足。比如三维流颈面积的测量在功能性反流和偏心性反流中非常实用。目前,已有研究证实,三维流颈面积在临床评估MR严重程度方面更为便捷可行19, 20。另外,也有学者应用三维PISA法发现二尖瓣反流口的形状不是半圆形,而是类似于半椭圆形,所以运用三维PISA法可以更为精确地定量评估二尖瓣反流量并提供符合现实情况的数据21, 22。研究表明,三维超声测量的反流束流颈面积的界值为0.41 cm2,其可将中度MR与重度MR进行区分,诊断特异度为96%、敏感度为82%23

(二)经食管三维超声心动图

当经胸超声心动图图像不清楚时,可以选择经食管超声心动图来评估MR。实时三维经食管超声心动图分辨率较高,可直接测量反流束容积,显示MR位置并评估二尖瓣瓣叶形态,并通过精确的三维成像和测量较好地显示二尖瓣瓣环的结构及空间位置关系,为手术方式选择和手术效果的评估提供依据。经胸超声心动图关于评估MR的方法在经食管超声心动图中均可使用。
FMR的严重程度需结合上述二维和三维超声心动图及多普勒超声多个参数进行评估。此外,左心房和左心室大小也是评估的重要内容,对左心房、左心室的容积进行评估时用体表面积进行标化是非常重要的。另外,反流的持续时间很重要,时相上限于收缩早期(心室收缩不同步)的MR,往往达不到重度。PISA的有效反流口面积、VCW、流颈面积这三者均由单一平面图像计算得出,当MR不是全收缩期时,这些参数会高估反流的严重程度。

四、FMR的研究进展

传统上,人们一直认为FMR患者的二尖瓣叶结构是正常的,但是目前有新的观点认为FMR患者的二尖瓣叶结构并不是完全正常的,而这种结构的改变与瓣膜适应性改变相关。例如,在左心室重构的过程中,二尖瓣叶会通过增加瓣膜的表面积来主动适应瓣环的扩张,导致瓣膜反流减少,而患者发生FMR可能是由于瓣膜适应性改变机制的代偿不充分或者瓣膜适应性改变的缺失。Beaudoin等24观察到瓣膜适应性机制在FMR发生中非常重要,或许未来可以利用瓣膜适应性机制来开发新的FMR治疗方法25。应用经食管实时三维超声心动图的研究表明,中度及以上FMR患者的二尖瓣环结构参数较对照组发生了明显改变,二尖瓣环会扩大、变扁平26,瓣环前外侧至后内侧直径、瓣环二维面积及瓣环三维面积明显增大,瓣环高度减小,瓣环的正常马鞍形状会受损27, 28
二尖瓣环在二维超声上难以准确显示其马鞍形构型。通过三维超声和相关配套软件可获得二尖瓣环的相关定量参数,包括瓣环短径和长径、瓣环面积及面积变化率、瓣环高度以及瓣环非平面角度等,还可以获得二尖瓣叶的参数,包括前后叶的长度、夹角以及面积,瓣叶穹隆的高度和容积,其中评判瓣叶穹隆较好的指标是三维穹窿容积(TnV)。研究表明,FMR患者二尖瓣前后叶夹角、瓣叶穹隆高度及容积等定量参数均较正常组增大。TnV在心脏周期中的变化与有效反流口面积相似,收缩前为最大,收缩末期则最小,并且受左心室收缩功能影响29。另外,有研究比较了二尖瓣穹窿高度、面积以及容积与FMR反流程度之间的关系,结果表明TnV与FMR程度的相关性最好30。也有研究表明,TnV的自动评估或许可支持FMR的诊断评估31,但仍需进一步研究其确定FMR程度的阈值。目前,在FMR患者的诊断和治疗中三维超声心动图的定量截断值尚未得到明确定义,仍需进一步研究从而更好地指导临床治疗。
此外,有专家共识13提出了以数字为基准的反流分级,将MR程度划分为6个等级,对于评估流程进行了适当标准的简化,其方法是以VCW为主要指标、反流面积分数为第二指标,必要时结合反流量和有效反流口面积。
传统的FMR诊断方法大多忽略了左心室容积、压力和功能在决定FMR患者血流动力学和长期预后中的重要作用32, 33。对于任何给定的反流分数,有效反流口面积大小都依赖于左心室舒张末期容积和左心室射血分数。医师应设法确定FMR的评估程度是否符合预期或是否与左心室扩张程度成比例。Grayburn等34首先提出了量化FMR严重程度的新定义,其根据有效反流口面积和左心室舒张末期容积的比值关系,将FMR分为3个亚组:(1)非严重的FMR;(2)严重的FMR且与左心室重构程度成比例;(3)严重的FMR但与左心室重构程度不成比例。参加COAPT试验的患者属于第三亚组,经导管二尖瓣修补术降低了患者因心力衰竭而发生死亡和住院的风险,这些益处与左心室舒张末期容积的降低显著相关。而MITRA-FR试验招募的患者属于第二亚组,在采取针对二尖瓣的干预措施后,患者并未得到改善。研究表明,非严重的FMR患者预计不会从针对二尖瓣的任何干预中获益35。但是由于病例样本量不够多,随访时间不够长以及药物治疗差异性等原因,尚需更进一步的研究以验证上述结论,从而更好地指导临床FMR的介入治疗。
1
Nkomo VT, Gardin JM, Skelton TN, et al. Burden of valvular heart diseases: a population-based study [J]. Lancet, 2006, 368(9540): 1005-1011.

2
d'Arcy JL, Coffey S, Loudon MA, et al. Large-scale community echocardiographic screening reveals a major burden of undiagnosed valvular heart disease in older people: the OxVALVE Population Cohort Study [J]. Eur Heart J, 2016, 37(47): 3515-3522.

3
Dziadzko V, Dziadzko M, Medina-Inojosa JR, et al. Causes and mechanisms of isolated mitral regurgitation in the community: clinical context and outcome [J]. Eur Heart J, 2019, 40(27): 2194-2202.

4
Benjamin MM, Smith RL, Grayburn PA. Ischemic and functional mitral regurgitation in heart failure: natural history and treatment [J]. Curr Cardiol Rep, 2014, 16(8): 517.

5
吴美华, 陈艰, 尹秋林. 功能性二尖瓣反流研究新进展 [J]. 中华心血管病杂志, 2012, 40(2): 173-175.

6
Tibayan FA, Rodriguez F, Zasio MK, et al. Geometric distortions of the mitral valvular-ventricular complex in chronic ischemic mitral regurgitation [J]. Circulation, 2003, 108(Suppl 1): Ⅱ116-Ⅱ121.

7
Nouri M, Tokaldany ML, Shahrzad M, et al. Echocardiographic determinants of ischemic mitral regurgitation [J]. J Card Surg, 2013, 28(4): 359-365.

8
Veronesi F, Corsi C, Sugeng L, et al. Quantification of mitral apparatus dynamics in functional and ischemic mitral regurgitation using real-time 3-dimensional echocardiography [J]. J Am Soc Echocardiogr, 2008, 21(4): 347-354.

9
Kihara T, Gillinov AM, Takasaki K, et al. Mitral regurgitation associated with mitral annular dilation in patients with lone atrial fibrillation: an echocardiographic study [J]. Echocardiography, 2009, 26(8): 885-889.

10
Deferm S, Bertrand PB, Verbrugge FH, et al. Atrial functional mitral regurgitation: JACC review topic of the week [J]. J Am Coll Cardiol, 2019, 73(19): 2465-2476.

11
Sabbagh AE, Reddy YN, Nishimura RA. Mitral valve regurgitation in the contemporary era: insights into diagnosis, management, and future directions [J]. JACC Cardiovascular imaging, 2018, 11(4): 628-643.

12
Zoghbi WA, Adams D, Bonow RO, et al. Recommendations for Noninvasive Evaluation of Native Valvular Regurgitation: a report from the American Society of Echocardiography Developed in Collaboration with the Society for Cardiovascular Magnetic Resonance [J]. J Am Soc Echocardiogr, 2017, 30(4): 303-371.

13
潘翠珍, 潘文志, 周达新, 等. 二尖瓣反流介入治疗的超声心动图评价中国专家共识 [J]. 中国介入心脏病学杂志, 2019, 27(1): 43-49.

14
Fehske W, Omran H, Manz M, et al. Color-coded Doppler imaging of the vena contracta as a basis for quantification of pure mitral regurgitation [J]. Am J Cardiol, 1994, 73(4): 268-274.

15
Lancellotti P, Moura L, Pierard LA, et al. European Association of Echocardiography recommendations for the assessment of valvular regurgitation. Part 2: mitral and tricuspid regurgitation (native valve disease) [J]. Eur J Echocardiogr, 2010, 11(4): 307-332.

16
Grigioni F, Enriquez-Sarano M, Zehr KJ, et al. Ischemic mitral regurgitation: long-term outcome and prognostic implications with quantitative Doppler assessment [J]. Circulation, 2001, 103(13): 1759-1764.

17
Lancellotti P, Troisfontaines P, Toussaint AC, et al. Prognostic importance of exercise-induced changes in mitral regurgitation in patients with chronic ischemic left ventricular dysfunction [J]. Circulation, 2003, 108(14): 1713-1717.

18
Vahanian A, Alfieri O, Andreotti F, et al. Guidelines on the management of valvular heart disease (version 2012): the Joint Task Force on the Management of Valvular Heart Disease of the European Society of Cardiology (ESC) and the European Association for Cardio-Thoracic Surgery (EACTS) [J]. Eur J Cardiothorac Surg, 2012, 42(4): S1- S44.

19
Kahlert P, Plicht B, Schenk IM, et al. Direct assessment of size and shape of noncircular vena contracta area in functional versus organic mitral regurgitation using real-time three-dimensional echocardiography [J]. J Am Soc Echocardiogr, 2008, 21(8): 912-921.

20
Little SH, Pirat B, Kumar R, et al. Three-dimensional color Doppler echocardiography for direct measurement of vena contracta area in mitral regurgitation: in vitro validation and clinical experience [J]. JACC Cardiovasc Imaging, 2008, 1(6): 695-704.

21
Matsumura Y, Saracino G, Sugioka K, et al. Determination of regurgitant orifice area with the use of a new three-dimensional flow convergence geometric assumption in functional mitral regurgitation [J]. J Am Soc Echocardiogr, 2008, 21(11): 1251-1256.

22
Lancellotti P, Cosyns B, Zacharakis D, et al. Importance of left ventricular longitudinal function and functional reserve in patients with degenerative mitral regurgitation: assessment by two-dimensional speckle tracking [J]. J Am Soc Echocardiogr, 2008, 21(12): 1331-1336.

23
Zeng X, Levine RA, Hua L, et al. Diagnostic value of vena contracta area in the quantification of mitral regurgitation severity by color Doppler 3D echocardiography [J]. Circ Cardiovasc Imaging, 2011, 4(5): 506-513.

24
Beaudoin J, Handschumacher MD, Zeng X, et al. Mitral valve enlargement in chronic aortic regurgitation as a compensatory mechanism to prevent functional mitral regurgitation in the dilated left ventricle [J]. J Am Coll Cardiol, 2013, 61(17): 1809-1816.

25
Chaput M, Handschumacher MD, Tournoux F, et al. Mitral leaflet adaptation to ventricular remodeling: occurrence and adequacy in patients with functional mitral regurgitation [J]. Circulation, 2008, 118(8): 845-852.

26
Little SH, Ben Zekry S, Lawrie GM, et al. Dynamic annular geometry and function in patients with mitral regurgitation: insight from three-dimensional annular tracking [J]. J Am Soc Echocardiogr, 2010, 23(8): 872-879.

27
Silbiger JJ, Bazaz R. Contemporary insights into the functional anatomy of the mitral valve [J]. Am Heart J, 2009, 158(6): 887-895.

28
Watanabe N, Ogasawara Y, Yamaura Y, et al. Mitral annulus flattens in ischemic mitral regurgitation: geometric differences between inferior and anterior myocardial infarction: a real-time 3-dimensional echocardiographic study [J]. Circulation, 2005, 112(9 Suppl): I458-I462.

29
Ryan L, Jackson B, Parish L, et al. Quantification and localization of mitral valve tenting in ischemic mitral regurgitation using real-time three-dimensional echocardiography [J]. Eur J Cardiothorac Surg, 2007, 31(5): 839-844.

30
Tibayan FA, Wilson A, Lai DT, et al. Tenting volume: three-dimensional assessment of geometric perturbations in functional mitral regurgitation and implications for surgical repair [J]. J Heart Valve Dis, 2007, 16(1): 1-7.

31
Hübscher A, Schwerg M, Hoffmann S, et al. Automated quantification of mitral valve tenting volume in functional mitral regurgitation by three-dimensional echocardiography [J]. Echocardiography, 2020, 37(7): 1043-1048.

32
Grayburn PA, Carabello B, Hung J, et al. Defining "severe" secondary mitral regurgitation: emphasizing an integrated approach [J]. J Am Coll Cardiol, 2014, 64(25): 2792-2801.

33
Marwick TH, Zoghbi WA, Narula J. Redrawing the borders: considering guideline revision in functional mitral regurgitation [J]. JACC Cardiovasc Imaging, 2014, 7(3): 333-335.

34
Grayburn PA, Sannino A, Packer M. Proportionate and disproportionate functional mitral regurgitation: a new conceptual framework that reconciles the results of the MITRA-FR and COAPT trials [J]. JACC Cardiovasc Imaging, 2019, 12(2): 353-362.

35
Packer M, Grayburn PA. New evidence supporting a novel conceptual framework for distinguishing proportionate and disproportionate functional mitral regurgitation [J]. JAMA Cardiol, 2020, 5(4): 469-475.

Outlines

/

Copyright © Chinese Journal of Medical Ultrasound (Electronic Edition), All Rights Reserved.
Tel: 010-51322630、2632、2628 Fax: 010-51322630 E-mail: csbjb@cma.org.cn
Powered by Beijing Magtech Co. Ltd