Home    中文  
 
  • Search
  • lucene Search
  • Citation
  • Fig/Tab
  • Adv Search
Just Accepted  |  Current Issue  |  Archive  |  Featured Articles  |  Most Read  |  Most Download  |  Most Cited
Pediatric Ultrasound

Value of echocardiography in diagnosis and treatment of left atrial appendage aneurysm in children

  • Pei Li 1 ,
  • Qun Wu 1 ,
  • Xin Zhang 1 ,
  • Guiqin Ma 1 ,
  • Haiyan Wei 1 ,
  • Lin Zheng 1 ,
  • Fangyun Wang , 1,
Expand
  • 1.Department of Echocardiography, Beijing Children's Hospital, Capital Medical University, National Center for Children's Health, Beijing 100045, China
Corresponding author: Wang Fangyun, Email:

Received date: 2021-03-31

  Online published: 2021-12-14

Copyright

Copyright by Chinese Medical Association No content published by the journals of Chinese Medical Association may be reproduced or abridged without authorization. Please do not use or copy the layout and design of the journals without permission. All articles published represent the opinions of the authors, and do not reflect the official policy of the Chinese Medical Association or the Editorial Board, unless this is clearly specified.

Abstract

Objective

To assess the value of echocardiography in the diagnosis and treatment of left atrial appendage aneurysm (LAAA) in children.

Methods

Nine children with LAAA diagnosed by echocardiography from March 2016 to March 2021 at Beijing Children's Hospital, Capital Medical University were retrospectively selected. We summarized and analyzed their clinical data, echocardiographic findings, treatment follow-up, and prognosis results.

Results

Of the nine patients with LAAA, four were male and five were female. They ranged in age from 34 days to 12 years and 11 months, and the reasons for presentation were cardiomegaly, atrial tachycardia, heart murmur, and mediastinal mass. Two-dimensional ultrasound showed a cystic anechoic structure in the lateral of the left ventricle, communicating with the left atrium, with a long diameter of (32.3±12.9) mm and a short diameter of (16.4±6.9) mm for LAAA, a round trip between LAAA and left atrial blood flow signals was observed by color Doppler, and giant LAAA could compress the left ventricle. One of the nine patients had compression of the lateral wall of the left ventricle, two had congenital heart disease, two had space-occupying lesions (one mediastinal mass and one pulmonary tumor), and one had mitral stenosis with insufficiency. There was no thrombosis, pericardial defect, or coronary artery and pulmonary vein compression. All were intrapericardial LAAAs. In one patient, the left ventricle was compressed due to the tumor, and the LAAA was surgically removed, and the shape, size, and function of the left heart were normal after surgery. One patient was treated with antiarrhythmic drugs and one patient underwent mediastinal tumor resection, and the LAAA was smaller than before in both cases.

Conclusion

LAAA is a rare cardiac malformation. Echocardiography can accurately diagnose LAAA in childhood, determine whether there is thrombosis and whether it compresses adjacent structures, and help to find the causes and evaluate the therapeutic effect.

Cite this article

Pei Li , Qun Wu , Xin Zhang , Guiqin Ma , Haiyan Wei , Lin Zheng , Fangyun Wang . Value of echocardiography in diagnosis and treatment of left atrial appendage aneurysm in children[J]. Chinese Journal of Medical Ultrasound (Electronic Edition), 2021 , 18(11) : 1078 -1083 . DOI: 10.3877/cma.j.issn.1672-6448.2021.11.012

左心耳瘤(left atrial appendage aneurysm,LAAA)也称左心耳异常瘤样扩张,是一种罕见的心脏畸形,主要表现为左心耳局部或弥漫性扩张。1960年,Parmley等首次描述LAAA以来,文献多为个案报道1。LAAA通常于体检时被偶然发现,或在房性心律失常发作或血栓栓塞事件后被发现;可发生于任何年龄段,但较少在儿童期确诊2。本文通过分析首都医科大学附属北京儿童医院经超声心动图诊断为LAAA的病例的相关资料,探讨超声心动图诊断LAAA的方法及其在儿童LAAA诊治中的应用价值。

资料与方法

一、对象

回顾性选取首都医科大学附属北京儿童医院2016年3月至2021年3月经超声心动图诊断为LAAA的患者9例,其中男性4例,女性5例,年龄34 d~12岁11个月。超声心动图测量左心耳长径超过30 mm3或发现左心耳明显扩张时,即诊断为LAAA。

二、仪器与方法

应用Philip iE33、iE Elite和EPIQ 7C彩色多普勒超声诊断仪,探头频率为1~8 MHz。患儿平静状态下取平卧位或左侧卧位,对心脏进行多节段多切面扫查,并进行常规参数测量,评估心脏大小、结构、功能,重点观察左心耳形态、大小(测量长、短径线)、其内有无血栓、与心包腔有无交通、对左心室有无压迫,同时注意有无其他心脏畸形。

结果

一、一般资料

9例LAAA患者就诊原因包括:心脏增大3例,心脏杂音3例,房性心动过速1例,肺部肿瘤1例,纵隔占位并房性心动过速1例(表1)。
表1 9例左心耳瘤患者一般资料
例序 年龄 性别 就诊原因 LAAA大小(mm) LA大小(mm) LVEDD(mm) LVEF(%) MR 心脏异常 其他异常 治疗 随访
前后 左右 上下
病例1 3岁3个月 心脏增大 40.9×28.4 17.3 - - 32.1 76 左心室侧壁受压 手术切除LAAA 左心形态大小正常,功能良好
病例2 4个月 心脏增大 48.6×21.7 24.8 54.7 47.3 51.2 41 中-大量 LA、LV重度增大 - 失访
病例3 4岁4个月 心脏增大 45.0×21.3 17.7 - - 33.2 67 - 失访
病例4 34 d 心脏杂音 11.4×7.0 13.2 - - 24.4 68 TGA、COA、VSD、ASD、PH 复杂先天性心脏病矫治手术 术后心力衰竭,死亡
病例5 86 d 心脏杂音 20.1×10.5 20.0 - - 30.1 60 少量 LA、LV中度增大,VSD、PH 7月龄行先天性心脏病矫治手术 LAAA:13.5 mm×6.5 mm
病例6 1岁2个月 房性心动过速 29.0×9.8 20.0 26.0 30.9 26.4 72 中量 LA中度增大 应用抗心律失常药物 LAAA:10.4 mm×5.7 mm
病例7 12岁11个月 纵隔占位、房性心动过速 45.5×20.7 21.7 - - 46.2 66 纵隔囊肿、漏斗胸 纵隔肿物切除+漏斗胸矫治手术 LAAA:30.6 mm×15.2 mm
病例8 2岁10个月 肺部肿瘤 17.6×10.0 16.4 - - 35.6 75 LV轻度增大,少量心包积液 胸膜肺母细胞瘤终末期 - 放弃治疗
病例9 9岁1个月 心脏杂音 33.0×18.6 26.3 - - 41.5 67 中量 LA中度增大,二尖瓣中度狭窄,少量心包积液 二尖瓣关闭不全术后 - 随诊

注:LAAA为左心耳瘤;LA为左心房;LV为左心室;LVEDD为左心室舒张末期内径;LVEF为左心室射血分数;MR为二尖瓣反流;TGA为大动脉转位;COA为主动脉缩窄;VSD为室间隔缺损;ASD为房间隔缺损;PH为肺动脉高压;“-”表示无相关数据或信息

二、超声心动图表现

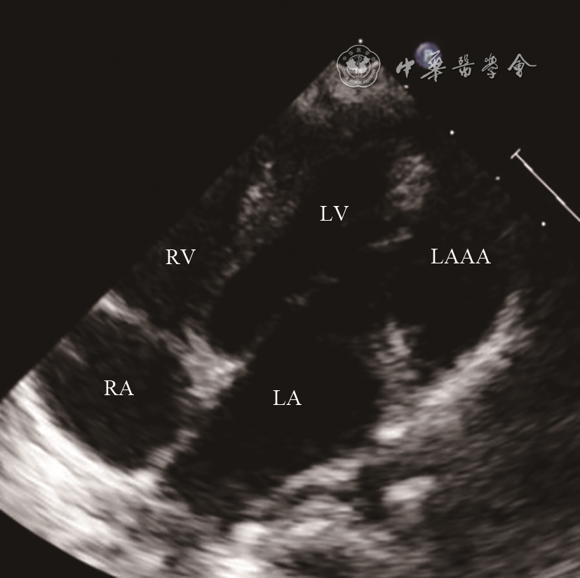
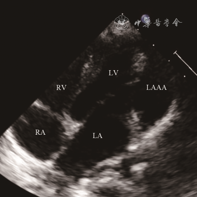
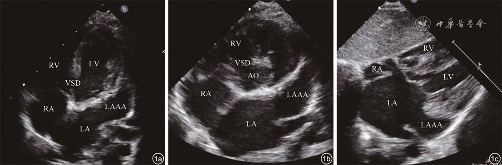
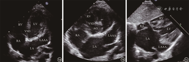
9例患者均经超声心动图检查诊断为LAAA,表现为:(1)四腔心、心底短轴、剑突下等切面二维超声图像可见左心室游离壁外囊状无回声结构,为LAAA;(2)LAAA与左心房交通(图1);(3)彩色多普勒可见LAAA与左心房间血流信号往返(图2);(4)巨大LAAA可压迫左心室或其他毗邻结构(图3);(5)同时可显示合并的其他占位性病变(图4)。
图1 左心耳瘤不同切面二维超声图像,可见左心室壁外侧囊状无回声区,与左心房交通,合并存在室间隔缺损。图a为心尖四腔心切面;图b为心底短轴切面;图c为剑突下四腔心切面
图2 左心耳瘤彩色多普勒超声图像。图示左心耳瘤与左心房交通,其间可见血流信号往返。图a为左心房内血液进入左心耳瘤;图b为左心耳瘤内血液回流入左心房
图3 左心耳瘤二维超声图像。图示左心耳瘤压迫左心室致使左心室侧壁向左心室腔内凹陷
图4 合并肺部肿瘤的左心耳瘤二维超声图像。星号标记为肺部肿瘤;箭头所指为心包积液
本组病例LAAA内均未见血栓形成,无心包缺损,均为心包内型LAAA。测量LAAA两个径线,长径(32.3±12.9)mm,短径(16.4±6.9)mm。病例1左心室侧壁受压,病例2左心房和左心室重度增大、左心功能减低、二尖瓣中到大量反流,病例4、5合并先天性心脏病,病例6左心房中度增大、二尖瓣中量反流,病例7存在纵隔占位,病例8为肺部肿瘤,病例9存在二尖瓣狭窄伴关闭不全。本组无冠状动脉及肺静脉受压病例。9例患者中1例进行了心脏磁共振成像检查,病例1经心脏磁共振成像证实为LAAA(图5)。
图5 患儿左心耳瘤磁共振心脏亮血序列成像。图a为冠状面显示左心耳瘤(星号所示);图b为横断面显示左心耳瘤(星号所示)

三、治疗及预后

病例1在经食管超声心动图监测引导下手术切除LAAA,病理证实为心肌纤维增生,手术效果良好。病例2、3失访。病例4合并复杂先天性心脏病,行矫治术后因心力衰竭死亡。病例5合并室间隔缺损,在确诊4个月后行室间隔缺损修补术,术后LAAA较前缩小。病例6应用抗心律失常药物治疗,LAAA较前缩小。病例7行纵隔肿物切除及漏斗胸矫治手术,LAAA有所缩小。病例8为终末期肿瘤患者,放弃进一步治疗。病例9定期随诊中。

讨论

LAAA是一种极为罕见的心脏畸形,病因尚不明确,可能由先天性梳状肌发育不良所致,或继发于慢性左心房压力升高(二尖瓣反流或狭窄)、左心房壁无力(梅毒或结核性心肌炎等慢性心脏病)等。根据心包是否完整,LAAA可分为心包内型和心包外型。心包内型患者心包完整,LAAA来自正常的左心房且位于心包内,可伴左心室游离壁扭曲。心包外型是由于心包缺损,左心耳经缺损处疝出,呈瘤样生长4。本组病例中,未发现心包外型LAAA。既往的文献报道中,LAAA诊断的平均年龄约30岁5, 6,多见于存在瓣膜病变、慢性心脏病的成人,儿童病例相对较少。这可能是由于儿童期患者症状往往不典型,且较少进行针对心脏的影像学检查,因此降低了LAAA在儿童中的检出率。
LAAA较小时可无明显临床症状,瘤体可随心脏的发育逐渐增大,当增大到一定程度时可出现压迫症状,如冠状动脉受压、肺静脉狭窄等;也可出现房性心动过速、心功能障碍等;由于瘤体内血流相对缓慢,可有血栓形成,继而出现全身性血栓栓塞。本组患者中,仅病例1左心室侧壁受压,其余均未出现明显压迫症状。本组患者常见的就诊原因为心脏扩大及心脏杂音。心脏扩大为LAAA的直接征象,可能同时伴有左心房、左心室的扩大,可在体检或影像学检查中发现;心脏杂音多由伴发的心脏畸形或二尖瓣病变引起。房性心律失常是LAAA常见的症状,病例6、7存在房性心动过速,这可能是由于左心耳结构重构引起心肌细胞电分离和局部传导障碍所致7, 8。房性心律失常会加重LAAA的扩张,应及时予以控制,病例6在抗心律失常治疗后,瘤体较前明显缩小。有报道显示约1/3的LAAA成人患者有左心耳血栓形成5,而本组患者中并未发现血栓病例,因此认为儿童期尽早发现并及时治疗LAAA,可有效预防全身血栓栓塞事件。
LAAA可单独存在,也可合并其他先天性畸形,如房间隔缺损、室间隔缺损、肾动脉异常、Noonan综合征等2。本组病例4、5合并先天性心脏病,病例9存在二尖瓣异常,提示在先天性心脏病及二尖瓣病变患者超声诊断中,应注意观察左心耳大小及形态,避免漏诊LAAA。病例8、9合并少量心包积液,可能的原因为:(1)瘤体压迫使心脏静脉的回流受阻;(2)瘤体运动与心包摩擦,心包产生炎症;(3)心脏为减少瘤体对心包的摩擦而代偿产生少量心包积液9
随着超声心动图、MRI、CT等心脏成像技术的进一步发展,诊断LAAA并不困难。超声心动图因具有较高的诊断准确性和敏感度,并且安全无创、可重复性高,成为儿童患者的主要诊断方法。Foale等10提出了LAAA的超声心动图诊断要点,包括:(1)起源于左心房;(2)与左心房腔有明确的交通,此为特征性表现;(3)瘤体内血流缓慢;(4)左心房和(或)左心室受压,左心室收缩和舒张活动受限;(5)血栓或血栓机化时,瘤体内液性暗区可见中弱或略强回声。本研究未发现血栓病例,其余超声心动图表现均与上述文献中的诊断要点一致。超声心动图可显示左心缘外侧与左心房相通的大囊状无回声结构,并测量其长度、宽度,应用彩色多普勒可显示瘤体与左心房间的血流信号;当有血栓形成时,可发现LAAA的异常回声以及血流信号充盈缺损。同时,超声心动图还可评价心腔大小、瓣膜反流、心肌运动及心脏功能,并有助于发现其他心脏异常。本研究中的LAAA均经超声心动图准确诊断。剑突下切面由于没有肺及骨骼遮挡,更有利于LAAA的观察。成人左心耳的正常长径范围为20~30 mm,当左心耳长径超过30 mm被认为是LAAA3。有观点认为当左心耳测量值大于正常的1.5倍时可以诊断LAAA11,但这一标准应用于儿科尚存在一定困难。随着儿童生长发育心脏逐渐增长,不同年龄阶段、不同营养状况下,心脏及左心耳大小不同,且目前尚无儿童左心耳大小的统一标准。本研究测量了LAAA的两个径线,长径(32.3±12.9)mm,短径(16.4±6.9)mm,可以为后续的诊断提供一定参考。LAAA需要与左心房的憩室、囊肿、肿瘤、心包疝和心包囊肿等鉴别,当超声鉴别困难时,可进一步行MRI或CT检查协助诊断。本研究中仅1例患者经心脏磁共振成像检查及手术证实诊断,其余病例未行手术治疗,且暂无其他影像学证据,这也是本研究存在的局限性。
LAAA为罕见疾病,有专家建议无论有无症状,为防止心房颤动、全身血栓栓塞及心肌功能障碍等并发症的发生,手术切除是最有效的治疗方式7。亦有研究表明当患者无症状且LAAA未挤压任何邻近的心脏结构时,可通过临床评估、心律监测和心脏影像学检查等方法持续监测是否存在系统性栓塞等危险因素,必要时再进行择期手术5。本组病例1由于瘤体大且压迫左心室侧壁,在经食管超声心动图引导下行LAAA切除手术,术后超声随访提示患儿心脏功能恢复良好,无血栓栓塞等事件发生。病例6并发房性心动过速,予抗心律失常药物治疗后,心律控制良好,超声随访LAAA缩小,无其他并发症,可能与心律失常控制后,左心房功能恢复、压力减小有关。病例7在解除纵隔肿物压迫后,瘤体缩小。因此,对于儿童LAAA,对心室或冠状动脉等周围结构造成压迫的需积极手术切除;心律失常者可首选抗心律失常药物治疗;有明确诱因患者,可解除诱因后应用超声心动图随访监测。
综上所述,LAAA是一种罕见的心脏畸形,在儿童中以心脏扩大、房性心律失常为主要表现,具有血栓栓塞的潜在风险。应用超声心动图可在儿童时期早期诊断LAAA,判断是否有血栓形成及对邻近结构有无形成压迫,避免血栓栓塞等严重并发症发生,同时还有助于明确病因,为治疗提供依据,并且可以评估治疗效果,具有很好的临床应用价值。
1
Teng P, Ni Y, Sun Q, et al. Giant left atrial appendage aneurysm: surgical treatment to prevent potential complications [J]. Heart Surg Forum, 2018, 21(6): E464-E465.

2
Wang HQ, Zhang Z, Yang H, et al. A huge congenital left atrial appendage aneurysm [J]. Chin Med J (Engl), 2017, 130(24): 3011-3012.

3
Ulucam M, Muderrisoglu H, Sezgin A. Giant left atrial appendage aneurysm: the third ventricle! [J]. Int J Cardiovasc Imaging, 2005, 21(2-3): 225-230.

4
Nezafati MH, Nazari Hayanou H, Kahrom M, et al. Five chambered heart: case of a huge left atrial appendage aneurysm [J]. Cardiovasc Pathol, 2018, 34: 43-45.

5
Yeung DF, Miu W, Turaga M, et al. Incidentally discovered left atrial appendage aneurysm managed conservatively [J]. Heart Lung Circ, 2020, 29(5): e53-e55.

6
Yakut K, Varan B, Erdoğan İ. Asymptomatic giant congenital left atrial aneurysm [J]. Turk J Pediatr, 2019, 61(1): 117-119.

7
Belov DV, Moskalev VI, Garbuzenko DV, et al. Left atrial appendage aneurysm: a case report [J]. World J Clin Cases, 2020, 8(19): 4443-4449.

8
Itaya H, Aoki C, Hatanaka R, et al. Resection of left atrial appendage aneurysm and full maze procedure as curative management for stroke recurrence [J]. Gen Thorac Cardiovasc Surg, 2020, 68(3): 295-297.

9
刘文旭, 刘晓伟, 赵映, 等. 超声心动图对不同成长期先天性心耳瘤患者的诊断价值 [J].中华医学杂志, 2015, 95(16): 1239-1241.

10
Foale RA, Gibson TC, Guyer DE, et al. Congenital aneurysms of the left atrium: recognition by cross-sectional echocardiography [J]. Circulation, 1982, 66(5): 1065-1069.

11
Zhang X, Li P, Cao Y, et al. Left atrial appendage aneurysm in pediatrics [J]. Echocardiography, 2020, 37(6): 917-921.

Outlines

/

Copyright © Chinese Journal of Medical Ultrasound (Electronic Edition), All Rights Reserved.
Tel: 010-51322630、2632、2628 Fax: 010-51322630 E-mail: csbjb@cma.org.cn
Powered by Beijing Magtech Co. Ltd