Home    中文  
 
  • Search
  • lucene Search
  • Citation
  • Fig/Tab
  • Adv Search
Just Accepted  |  Current Issue  |  Archive  |  Featured Articles  |  Most Read  |  Most Download  |  Most Cited
Obstetric and Gynecologic Ultrasound

Correlation between prenatal fractional upper arm volume and neonatal birth weight

  • Qing Zhang 1 ,
  • Guihua Wu , 1, ,
  • Guoyan Zhu 1
Expand
  • 1.Department of Ultrasonography, Suzhou Wuzhong People's Hospital, Suzhou 125128, China
Corresponding author: Wu Guihua, Email:

Received date: 2020-04-22

  Online published: 2022-02-23

Copyright

Copyright by Chinese Medical Association No content published by the journals of Chinese Medical Association may be reproduced or abridged without authorization. Please do not use or copy the layout and design of the journals without permission. All articles published represent the opinions of the authors, and do not reflect the official policy of the Chinese Medical Association or the Editorial Board, unless this is clearly specified.

Abstract

Objective

To explore the application value of fetal fractional upper arm volume (AVol) measured by three-dimensional ultrasound 5D Limb technique within 7 days before delivery in the normal third trimester of pregnancy in neonatal birth weight (BW) estimation.

Methods

From July 2018 to June 2019, 115 fetuses within 7 days before delivery at the Ultrasound Department of Wuzhong People's Hospital in Suzhou City were selected as the research subjects. Two-dimensional and three-dimensional ultrasound technology was used for maternity examination. The measured values mainly included double parietal diameter (BPD), femoral length (FL), head circumference (HC), abdominal circumference (AC), and AVol. The correlations between each parameter and newborn BW were analyzed and a multi-factor linear regression equation was established to generate a new weight estimation formula. With BW as the gold standard and Hadlock classic formula as a control, the Chi-square test was used to analyze the absolute error and relative error coincidence rate of the new formula. Then, the fetuses were divided into a low BW group, a normal BW group, and a macrosomia group according to BW. Paired t-test was used to estimate the systematic and random errors of BW of different groups of fetuses.

Results

BW had significant correlations with BPD, HC, AC, FL, and AVol (r=0.477, P<0.001; r=0.515, P<0.001; r=0.506, P<0.001; r=0.404, P<0.001; r=0.827, P<0.001). The regression equation generated was EFW(AVol)=-2470.985+56.547×BPD+33.225×HC+50.142×AC+169.806×FL+47.203×AVol. The new formula had significantly higher absolute and relative error compliance rates for BW estimation than the Hadlock classical formula (65.2% vs 48.7%, P=0.011; 84.3% vs 64.3%, P<0.001). The relative errors of the new formula and the Hadlock classical formula for fetal BW estimation in the low BW group, normal BW group, and macrosomia group were (19.5%±7.2%) vs (44.8%±29.6%), (5.5%±4.3%) vs (7.8%±5.5%), and (5.3%±3.4%) vs (8.5%±4.4%), respectively, with statistically significant differences between the two formulas (P<0.001).

Conclusion

AVol has a significant correlation with BW, and can be used as a new parameter for estimating neonatal BW in clinical practice.

Cite this article

Qing Zhang , Guihua Wu , Guoyan Zhu . Correlation between prenatal fractional upper arm volume and neonatal birth weight[J]. Chinese Journal of Medical Ultrasound (Electronic Edition), 2022 , 19(01) : 23 -30 . DOI: 10.3877/cma.j.issn.1672-6448.2022.01.005

据世界卫生组织统计,2004年出生体质量(birth weight,BW)不足2500 g的婴儿超过2000万,其中大部分在亚洲和非洲1。低BW儿(BW<2500 g)在国内外的发生率为10%~15%2。由于婴儿体质量较轻,因此皮下脂肪非常少,保温能力相对较弱,进而导致婴儿的新陈代谢和呼吸功能均非常差,极易被细菌、病毒侵袭,诱发各种疾病,严重者甚至会影响婴儿的智力发展,是现阶段造成婴儿病死率居高不下的重要原因。另一方面,在中国,巨大儿(BW>4000 g)的发生率一直处于缓慢增长的趋势,在1995年,巨大儿的发生率为6%左右,到了2017年,该比例提升至7.5%3。巨大儿使自然分娩的难度增加,容易出现肩部难产、臂丛神经损伤、肛门撕裂伤和产后感染等4,也使剖宫产的比例逐年增加。因此,估算胎儿体质量(estimated fetal weight,EFW)和监测胎儿异常生长成为临床重要的需求之一。
产科医师使用头部、腹部和四肢的超声测量来估计胎儿体质量。但这种方法通常有8.1%~11.8%5的随机误差。Moyer-Mileur等6也报道了通过二维测量无法可靠地估算出胎儿为巨大儿,对于低BW儿,改变也主要体现在皮下脂肪储存的减少7。有研究8也证实了胎儿脂肪组织测量能够正确估算胎儿过度生长。Khoury等9表示基于三维容积估计胎儿体质量反映胎儿脂肪量更准确。Pagani等10也报道了在孕34~36周应用三维超声测量分数肢体容积改善了新生儿BW的估算。
以下2个主要问题使得这些基于容积的估算模型难以实施到临床实践中。首先,因为肢体并非是标准的圆柱体,即使通过大量的手动描记来计算肢体容积也难以准确描述。其次,由于长骨骨干声衰减产生的声影影响,肢体远端皮肤与周围软组织的边界难以确定,尤其是当手臂或腿压在身体上时。
本研究引入部分上臂容积(fractional upper arm volume,AVol)的概念。该软组织参数源自长骨骨干长轴的50%中心部分,选取5个等距横切面,通过每个横切面的面积和50%骨干长度计算出AVol。因为骨干的横切面发生的声学阴影区域较小,可以更加清晰地显示软组织边界。仅测量5个等距切面也可使测量时间大大减少,提高了部分肢体容积测量的效率和可重复性。

资料与方法

一、对象

本研究为前瞻性单中心研究。选取2018年7月至2019年6月在苏州市吴中人民医院进行产前超声检查,并于检查后7 d内在本院分娩的115例孕妇为研究对象,归纳计算出新的新生儿BW估算公式,再将115例孕妇按照新生儿BW分为低BW组(BW<2500 g)、正常BW组(2500 g≤BW≤4000 g)及巨大儿组(BW>4000 g),评价胎儿体质量估算新公式对于不同BW儿的估算准确性。孕周计算:胎儿孕周从最后1次正常月经的第1天开始,并经第1次或早孕期妊娠超声扫描确认。正常的最后1次月经期被定义为没有使用口服避孕药的常规月经周期。早孕期的孕周确定基于头臀径长度11。中孕期的孕周估计根据双顶径、头围、腹围和股骨长度的测量结果确定。本研究已获得苏州市吴中人民医院伦理委员会的审批(审批号:XJS2019008)。
纳入标准:(1)宫内单活胎;(2)中国国籍,且在中国境内生活时间超过2年;(3)产前最后1次超声检查同分娩日期之间的间隔在7 d之内;(4)孕妇于本院建立完善、真实的档案,并且临床资料齐全。排除标准:(1)怀孕周期无法明确;(2)胎儿发育存在严重畸形;(3)孕妇身体状况存在异常,如妊娠糖尿病、子痫、肝内胆汁淤积症等。本试验秉承自愿参加的原则,入选的所有孕妇均知情同意。

二、仪器与方法

(一)仪器

在进行检查的过程之中,孕妇均采用仰卧位姿势,主要应用三维超声技术、二维超声技术进行实时、全面的扫查。为避免操作者之间产生的测量误差,所有测量数据均由同一名具有6年以上产科超声工作经验的超声医师使用三维超声系统(WS80A Elite;Samsung,Medison,Seoul,Korea)及容积探头(CV1-8A)完成,探头频率为23 MHz。

(二)方法

1.二维数据的采集:依据2019年《中国产科超声检查指南》12进行。(1)双顶径及头围的测量:丘脑水平横切面,声束角度尽可能与大脑镰垂直,左右大脑半球对称。大脑镰上前1/3处显示透明隔腔,紧贴大脑镰中部两侧显示丘脑。测量近端颅骨骨板外缘至远端颅骨内缘间的最大距离为双顶径。用电子测量键椭圆测量功能沿颅骨骨板外缘直接测出头围。(2)腹围的测量:腹围切面,胃泡水平横切腹部,左侧腹腔内显示胃泡,脐静脉在门静脉窦水平转向右侧肝叶。用电子测量键椭圆测量功能测量键沿皮肤外缘直接测量。(3)股骨长度的测量:股骨长度测量切面应为显示整条长骨长轴的切面,声束与骨长轴之间的角度为45°~90°。测量长骨两端斜面中点的连线,不包括骨骺和股骨头。
2. AVol的采集方法:AVol被定义为分布在肱骨骨干长轴中间50%左右的肢体容积。为了获得最佳图像分辨率,放大肱骨骨干以填充超过一半的屏幕,根据胎儿上臂的大小选择最大扫描角度为80°,防止肢体容积横截面超出扫描范围。使用Medium 2质量设置来增加扫描速度,确保扫描时间在5 s以下,最小化胎儿运动伪影。全局优化技术应用自适应滤波用于散斑和降噪,以改善软组织边缘检测。保持切面为肱骨长轴切面,启动三维扫描,直到自动容积扫描结束。
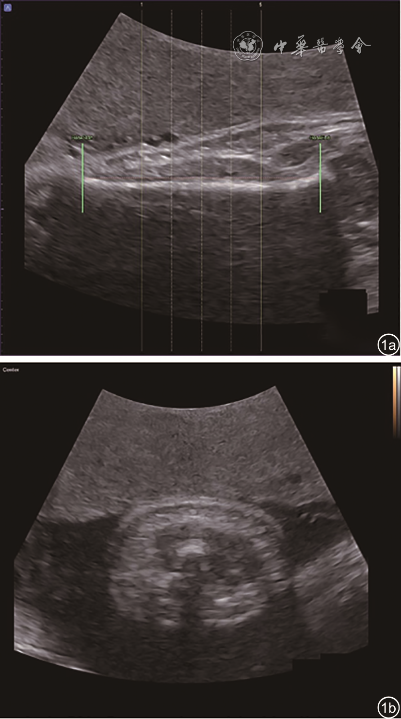
3. AVol的计算方法:通过新型软件(5D Limb Vol;Samsung Medison)计算半自动化的部分肢体容积测量值。该算法应用基于长轴长度、短轴长度和肢体中心坐标的图像变换方法。使用软件工具自动检测肱骨骨干的两端13。自动截取以肱骨中心的50%肱骨长度作5个等距横截面(图1)。描记每个肢体横截面边界,计算50%肱骨长度的肢体容积为AVol(图23)。
图1 正常出生体质量儿上臂三维容积超声扫描图。图a为肱骨长轴切面,以肱骨中心的50%肱骨长度作5个等距横截面;图b为肱骨中心所在的上臂横截面
图2 巨大儿部分上臂容积(AVol)容积图像。分别描记胎儿上臂5个横截面边界,软件自动计算每个横截面面积,最后得出50%肱骨长度的肢体容积为AVol。图a~e是以肱骨中心50%长度作的5个等距横截面图。图f是由5个等距横截面及50%肱骨长度计算所得的AVol图像
图3 正常出生体质量儿部分上臂容积(AVol)容积图像。分别描记胎儿上臂5个横截面边界,软件自动计算每个横截面面积,最后得出50%肱骨长度的肢体容积为AVol。图a~e是以肱骨中心50%长度作的5个等距横截面图。图f是由5个等距横截面及50%肱骨长度计算所得的AVol图像
4.胎儿BW的检查方法:刚刚出生的婴儿,在5 min之内测量其体质量,为BW。共测量3次,取平均值。
5.诊断标准:(1)绝对误差=|EFW-BW|;(2)相对误差=|EFW-BW|/BW×100%;(3)绝对误差值≤250 g且相对误差≤10%者为符合估算;绝对误差>250 g或相对误差>10%者均记为不符合估算。(4)系统误差=相对误差的平均数,随机误差=相对误差的标准差。

三、统计学分析

应用SPSS 23.0统计软件进行数据处理。双顶径、头围、腹围、股骨长度、部分上臂容积、新生儿BW、胎儿估算体质量属于定量资料,胎儿估算体质量符合率属于定性资料。为了检验同一操作者测量的可信度及一致性,随机抽取30例病例,由操作者对同一AVol容积数据进行2次测量,采用Bland-Altman法分析其一致性与相关性。胎儿各参数与BW关系采用相关性分析,运用多因素线性回归建立新的胎儿体质量估算方程。Hadlock经典公式、EFW(AVol)公式估算胎儿BW的绝对误差和相对误差的符合率采用百分率表示,采用χ2检验比较其差异;应用Hadlock经典公式、EFW(AVol)公式估算不同BW组胎儿BW,BW相对误差(系统误差±随机误差)为计量资料,数据应用
x¯
±s表示,采用配对t检验比较其差异。P<0.05表示差异具有统计学意义。

结果

一、研究对象一般临床资料

入选研究的115例孕妇,年龄(27.9±5.4)岁,范围20~42岁;孕周为(38.7±1.1)周,范围35~41周;分娩日期与产前末次超声检查相隔时间为(1.8±1.2)d,范围0~7 d;胎儿BW为(3492.61±505.68)g,范围2100~5050 g。

二、AVol采集操作的相关性及一致性检测

运用Bland-Altman法分析操作者的测量数据,差异均值为0.302 cm3,95%一致性界限为-2.990~3.502 cm3。所有病例测量数据差值均在95% AVol以内(图4)。
图4 操作者通过三维超声2次测量同一部分上臂容积的Bland-Altman图

三、各参数与BW的相关性分析及回归方程建立

分别以双顶径、头围、腹围、股骨长度、AVol为横坐标,BW为纵坐标,绘制散点图,可见双顶径、头围、腹围、股骨长度、AVol与BW之间满足线性关系(r=0.477、0.515、0.506、0.404、0.827,P均<0.001),其中AVol与BW的相关性最大(图5)。
图5 胎儿部分上臂容积与出生体质量关系散点图
以BW为自变量,双顶径、头围、腹围、股骨长度、AVol为因变量进行多因素线性回归分析,结果显示:腹围、AVol是估算新生儿BW的独立影响因素(表1)。基于上述所有影响因素建立回归方程:EFW(AVol)=-2470.985+56.547×双顶径+33.225×头围+50.142×腹围+169.806×股骨长度+47.203×AVol(调整后R2=0.745,F=67.685,P<0.001)。
表1 产前部分上臂容积估算新生儿出生体质量的多因素线性回归分析
因素 B B值的标准误差 t P B值的95%可信区间
双顶径 56.547 105.239 0.537 0.592 -152.033~265.126
头围 33.225 31.436 1.057 0.293 -29.081~95.530
腹围 50.142 18.397 2.725 0.007 13.678~86.605
股骨长度 169.806 186.133 0.912 0.364 -199.104~538.717
AVol 47.203 4.049 11.657 <0.001 39.177~55.228

注:AVol为部分上臂容积

四、EFW(AVol)公式和Hadlock经典公式估算胎儿BW的比较

1.各公式对于BW估算符合率的比较:以BW为金标准,对比分析胎儿运用体质量估算公式EFW(AVol)与Hadlock经典公式(Log10 EFW=1.335-0.0034×腹围×股骨长度+0.0316×双顶径+0.0457×腹围+0.1623×股骨长度)估算新生儿BW的绝对误差与相对误差符合率。Hadlock经典公式估算新生儿BW绝对误差≤250 g者占总体的48.7%,EFW(AVol)估算新生儿BW绝对误差≤250 g者占总体的65.2%,2组符合率差异具有统计学意义(P<0.05,表2),差值为16.5 g,差值的95%可信区间为3.9~29.1 g;Hadlock经典公式估算新生儿BW相对误差≤10%者占总体的64.3%,EFW(AVol)公式估算的相对误差≤10%者占总体的84.3%,2组符合率比较差异具有统计学意义(P<0.05),差值为20.0%,差值的95%可信区间为9.0%~13.0%。EFW(AVol)估算新生儿BW的绝对误差及相对误差均优于Hadlock经典公式。
表2 2种新生儿出生体质量估算公式的估算符合率比较[例(%)]
公式 例数 绝对误差 相对误差
符合 不符合 符合 不符合
Hadlokc经典公式 115 56(48.7) 59(51.3) 74(64.3) 41(35.7)
EFW(AVol)公式 115 75(65.2) 40(34.8) 97(84.3) 18(15.7)
χ2 6.402 12.060
P 0.011 0.001

注:EFW为估算的新生儿出生体质量,AVol为胎儿部分上臂容积。

2.不同BW组AVol的比较:低BW组、正常BW组、巨大儿组胎儿分别为5例、96例、14例。上述3组胎儿临产前AVol分别为(13.38±5.34)cm3、(29.66±4.80)cm3、(39.42±7.45)cm3,差异具有统计学意义(F=48.72,P<0.001)。
3.不同BW组运用2种公式估算胎儿体质量的差异:统计不同BW组运用2种公式估算胎儿体质量的相对误差,相对误差的平均数为系统误差,相对误差的标准差为随机误差。低BW组、正常BW组、巨大儿组运用EFW(AVol)公式所得胎儿估算体质量的系统误差及随机误差均低于Hadlock经典公式,其中正常BW组运用EFW(AVol)公式与Hadlock经典公式相比,差异具有统计学意义(P<0.001,表3)。
表3 2种公式估算不同BW组胎儿体质量的相对误差比较(
x¯
±s
公式 低BW组 正常BW组 巨大儿组
Hadlock经典公式 44.8%±29.6% 7.8%±5.5% 8.5%±4.5%
EFW(AVol)公式 19.5%±7.2% 5.5%±4.3% 5.3%±3.4%
差值及95%可信区间 25.0(-6.3~57.0) 2.3(1.1~3.4) 3.1(2.9~6.4)
t 2.222 3.897 1.974
P 0.090 <0.001 0.700

注:EFW为估算胎儿体质量,AVol为部分上臂容积,BW为出生体质量

讨论

产前超声检查估算新生儿BW在临床中越来越重要,对新生儿BW进行精准估算,不但可以为胎儿生长发育状况的判定提供可靠的数据支持,而且还能够据此预测出胎儿的出生日期以及分娩方式,同时还可以推测出孕妇分娩过程中有可能出现的并发症,这关系着母亲及胎儿的健康。对于小于胎龄儿,在生产过程之中,存在诸多不利影响因素,极易导致胎儿产生宫内缺氧的状况,如果未对巨大婴儿的体质量作出精准估算,则经阴道分娩导致的胎儿产伤、窒息及产妇的软产道损伤也相应增加。这两种胎儿因处理不当均可造成严重的母婴危害。因此,选取合理、科学的分娩方式能够使分娩的安全性、可靠性得到大大提升。近年来,虽然借助超声波技术估算新生儿BW的科学性、精准性受到了一些质疑,并且个别学者还针对该问题进行了详细研究14,但是在目前的技术条件之下,在对胎儿体质量进行估算的过程中,超声仍然是最科学、最恰当的一种方式15
本研究采用三维超声5D Limb技术测量临产前胎儿AVol。通过胎儿上臂长轴切面作三维容积成像,自动检测肱骨骨干的两端,以肱骨中心的1/2肱骨长度作5个等距横截面,沿皮肤边缘取样采集容积,由系统半自动计算胎儿部分上臂的容积,探讨该参数是否与BW相关。

一、各因素与新生儿BW相关系数分析

本研究中孕妇的双顶径、头围、腹围、股骨长度、AVol与BW均有相关性(P<0.001),其中AVol与BW的相关性最大(r=0.827),这与之前Liao等16的结果一致,均认为妊娠晚期胎儿肢体的容积测量可靠性高于胎儿骨骼测量。因为孕晚期胎儿体质量的增加主要与肝糖原储量的增加和脂肪的堆积相关,从孕28周占体质量的4%增加到孕40周的14%,虽然所占比例不多,但引起的体质量变化几乎达到50%17。而关于胎儿骨骼的测量因素中,因不同胎儿的胎头形态存在较大差异,并且在临盆期间,胎儿头部会转入盆腔内,因而双顶径、头围的测量难度较高18, 19,使得相关系数仅有0.477、0.515。虽然有诸多研究与报道20, 21均表明,胎儿体质量同腹围的关联比较紧密,可以将腹围作为重要指标,但在实际腹围的测量过程中,容易受到外在因素的影响,如胎盘位置、肢体压迫、羊水量、测量者经验、胎儿呼吸运动等,因而测量结果存在较大偏差,本研究中腹围与新生儿BW的相关系数仅为0.506。在妊娠晚期阶段,胎儿股骨的发展速度缓慢,进而致使胎儿体质量、股骨长度之间的关联程度严重下降22,本研究中股骨长度与新生儿BW的相关系数最低,仅为0.404。综上所述,本研究选取AVol测量估算新生儿BW,理论依据充分。

二、AVol估算新生儿BW的可行性分析

由多因素线性回归分析可知,腹围(P=0.007)、AVol(P<0.001)为新生儿BW估算的独立影响因素。虽然多因素分析中双顶径、头围、股骨长度并非为新生儿BW的独立影响因素,但因其仍是胎儿体质量的重要组成部分,故不剔除这3个因素,共同参与回归方程的构建。
在所有115例胎儿中,EFW(AVol)估算新生儿BW的绝对误差和相对误差符合率均高于Hadlock经典公式。表明在对胎儿体质量、胎儿营养发育状况进行估算的过程之中,肢体容积是一项重要的参数。Mohsen和Amin23的研究也得出相同的结论,即将软组织测量(上臂、大腿中部、腹部和肩胛下)纳入BW公式,可以提高BW估算的准确性。

三、Hadlock经典公式和EFW(AVol)公式对巨大儿、正常BW组、低BW组估算新生儿BW的准确性分析

胎儿体质量估计公式的表现主要在于估算新生儿BW与胎儿BW的系统(准确性)和随机(精确性)误差。系统误差指多次测量中大小和方向不变的误差,随机误差指多次测量中大小和方向不确定的误差。系统误差是有规律的,可以通过改善实验方法,或者调控实验环节达到减少误差的结果。随机误差是测量的多种不可预知,没规律的结果。本研究就是通过改变实验方法以减少系统误差,提高估算胎儿准确性。
在本研究中,系统误差被定义为胎儿估算体质量和BW之间的平均百分比误差的均数,而随机误差是平均百分比差异的标准差。理想的胎儿体质量估计预测模型应该提供具有最小系统误差和较低随机误差的结果。
对低BW组、正常BW组、巨大儿3组胎儿的AVol开展单因素方差分析,结果显示P<0.001,不同组别BW胎儿临产前AVol差异具有统计学意义,认可纳入AVol参数的新公式可以用来估算不同体质量组胎儿的BW。在3组不同BW组别中,EFW(AVol)公式系统误差和随机误差均低于Hadlock经典公式。系统误差主要原因是孕晚期胎儿生长发育过程中,软组织的增长大于骨骼的增长,胎儿头部位于母体骨盆内,导致双顶径、头围测量不准确,肢体及胎盘压迫导致腹围测量不准确等。新公式估算新生儿BW系统误差较小,表明测量参数的改变可以提高估算新生儿BW的准确性。
对于低BW新生儿(BW<2500 g),Hadlock经典公式与EFW(AVol)公式估算体质量系统误差分别为44.8%、19.5%(P=0.090)。新公式的系统误差低于Hadlock经典公式。其原因可能由于胎儿宫内生长受限,软组织较骨骼系统发育迟缓,导致基于骨骼长度估算体质量的Hadlock经典公式估算较基于软组织的EFW(AVol)公式误差增大。也可能与本次研究中低BW新生儿病例数相对较少(5例,5/115)有关。Lee等24和Simcox等25也报道了对于低BW新生儿,基于肢体容积测量的部分大腿容积能够改善新生儿BW预测的准确性。目前国内外尚无低BW新生儿测量AVol的相关报道。具体原因有待进一步研究。
对于正常BW新生儿(2500 g≤BW≤4000 g),Hadlock经典公式和EFW(AVol)公式的估算体质量系统误差分别为7.8%、5.5%,新公式估算新生儿BW的系统误差较经典Hadlokc公式有显著改善(P<0.001)。
对于巨大儿(BW>4000 g),Hadlock经典公式和EFW(AVol)公式的估算体质量系统误差分别为8.5%、5.3%,新公式估算新生儿BW的系统误差与Hadlock经典公式误差比较,差异无统计学意义(P=0.700),两公式均能较好地预测巨大儿BW。巨大儿上臂紧贴躯体皮肤,无法准确描记横截面边界,导致上臂容积测量偏小,可能影响新生儿BW估算。
本研究的115例胎儿中,EFW(AVol)公式估算新生儿BW与BW相对误差>10%者共18例。具体包括:(1)低BW新生儿1例。图像回顾分析其误差与三维容积扫描过程中胎儿手臂移动有关,导致容积测量偏大,高估新生儿BW。(2)正常体质量出生儿15例。其中5例胎儿上臂容积扫描时受到躯体或胎盘压迫,导致重建三维模型后容积测量结果偏小,低估新生儿BW;7例胎儿三维容积扫描过程中上臂移动,导致容积测量偏大,高估新生儿BW;1例胎儿肱骨长轴与超声波声束角度<60°,导致上臂横截面偏斜,横截面积测量结果偏大,高估新生儿BW;另2例具体原因不明确,有待进一步实验分析。(3)巨大儿2例。分析超声图像胎儿上臂紧贴躯体皮肤,没有准确描记横截面边界,导致上臂容积测量偏小,低估新生儿BW。

四、本研究的局限性

巨大儿(>4000 g)病例14例,低BW新生儿(<2500 g)5例,均较少。未来将扩大样本量继续研究。该方法尚未在妊娠中晚期孕妇中进行测试。在更广泛的孕周范围内部分肢体容积与胎儿体质量的关系仍需进一步研究,特别是对于妊娠中、晚期AVol的纵向监测,以期能够提早发现胎儿宫内生长受限或者生长过快,提示临床医师进行有效的早期干预措施。此研究仅选取部分地区中国人口作为研究对象,未来还需要大样本,多中心研究。
综上所述,超声测量胎儿AVol是EFW的有效方式,相关系数、绝对误差、相对误差、系统误差均优于Hadlock经典公式。纳入AVol参数估算新生儿BW,可以使胎儿体质量估算的准确性得到提升,但对于低BW新生儿,未来仍需开展大样本研究。
1
World Health O, United Nations Children's F. Low birthweight: country, regional and global estimates [M]. Geneva: World Health Organization, 2004: 8.

2
Simeone S, Marchi L, Canarutto R, et al. Doppler velocimetry and adverse outcome in labor induction for late IUGR [J]. J Matern Fetal Neonatal Med, 2017, 30(3): 323-328.

3
张金华, 伍啸青, 牛建军, 等. 厦门市巨大儿发生现状及影响因素研究 [J]. 国外医学: 医学地理分册, 2017, 38(4): 325-327.

4
Macrosomia: ACOG Practice Bulletin, Number 216 [J]. Obstet Gynecol, 2020, 135(1): e18-e35.

5
Melamed N, Yogev Y, Meizner I, et al. Sonographic fetal weight estimation: which model should be used? [J]. J Ultrasound Med, 2009, 28(5): 617-629.

6
Moyer-Mileur LJ, Slater H, Thomson JA, et al. Newborn adiposity measured by plethysmography is not predicted by late gestation two-dimensional ultrasound measures of fetal growth [J]. J Nutr, 2009, 139(9): 1772-1778.

7
Deter R, Nazar R, Milner L. Modified neonatal growth assessment score: a multivariate approach to the detection of intrauterine growth retardation in the neonate [J]. Ultrasound Obstet Gynecol, 1995, 6(6): 400-410.

8
Lee W, Balasubramaniam M, Deter R, et al. Fractional limb volume-a soft tissue parameter of fetal body composition: validation, technical considerations and normal ranges during pregnancy [J]. Ultrasound Obstet Gynecol, 2009, 33(4): 427-440.

9
Khoury FR, Stetzer B, Myers SA, et al. Comparison of estimated fetal weights using volume and 2-dimensional sonography and their relationship to neonatal markers of fat [J]. J Ultrasound Med, 2009, 28(3): 309-315.

10
Pagani G, Palai N, Zatti S, et al. Fetal weight estimation in gestational diabetic pregnancies: comparison between conventional and three-dimensional fractional thigh volume methods using gestation-adjusted projection [J]. Ultrasound Obstet Gynecol, 2014, 43(1): 72-76.

11
Hadlock F, Shah Y, Kanon D, et al. Fetal crown-rump length: reevaluation of relation to menstrual age (5-18 weeks) with high-resolution real-time US [J]. Radiology, 1992, 182(2): 501-505.

12
中国医师协会超声医师分会. 中国产科超声检查指南 [M]. 北京: 人民卫生出版社, 2019.

13
Hur H, Kim YH, Cho HY, et al. Feasibility of three-dimensional reconstruction and automated measurement of fetal long bones using 5D Long Bone [J]. Obstet Gynecol Sci, 2015, 58(4): 268-276.

14
Mgbafulu CC, Ajah LO, Umeora OUJ, et al. Estimation of fetal weight: a comparison of clinical and sonographic methods [J]. J Obstet Gynaecol, 2019, 39(5): 639-646.

15
Balsyte D, Schäffer L, Burkhardt T, et al. Sonographic prediction of macrosomia cannot be improved by combination with pregnancy-specific characteristics [J]. Ultrasound Obstet Gynecol, 2009, 33(4): 453-458.

16
Liao S, Wang Y, Xiao S, et al. A new model for birth weight prediction using 2- and 3-dimensional ultrasonography by principal component analysis: a Chinese population study [J]. J Ultrasound Med, 2018, 37(11): 2553-2563.

17
Landon MB, Mintz MC, Gabbe SG. Sonographic evaluation of fetal abdominal growth: predictor of the large-for-gestational-age infant in pregnancies complicated by diabetes mellitus [J]. Am J Obstet Gynecol, 1989, 160(1): 115-121.

18
Cromi A, Ghezzi F, Di Naro E, et al. Large cross‐sectional area of the umbilical cord as a predictor of fetal macrosomia [J]. Ultrasound Obstet Gynecol, 2007, 30(6): 861-866.

19
Mongelli M, Chew S, Yuxin N, et al. Third‐trimester ultrasound dating algorithms derived from pregnancies conceived with artificial reproductive techniques [J]. Ultrasound Obstet Gynecol, 2005, 26(2): 129-131.

20
Kayem G, Grangé G, Bréart G, et al. Comparison of fundal height measurement and sonographically measured fetal abdominal circumference in the prediction of high and low birth weight at term [J]. Ultrasound Obstet Gynecol, 2009, 34(5): 566-571.

21
Xu Y, Lek N, Cheung YB, et al. Unconditional and conditional standards for fetal abdominal circumference and estimated fetal weight in an ethnic Chinese population: a birth cohort study [J]. BMC Pregnancy Childbirth, 2015, 15(1): 1-11.

22
Johnsen SL, Wilsgaard T, Rasmussen S, et al. Longitudinal reference charts for growth of the fetal head, abdomen and femur [J]. Eur J Obstet Gynecol Reprod Biol, 2006, 127(2): 172-185.

23
Mohsen L, Amin MF. 3D and 2D ultrasound-based fetal weight estimation: a single center experience [J]. J Matern Fetal Neonatal Med, 2017, 30(7): 818-825.

24
Lee W, Mack L, Sangi-haghpeykar H, et al. Fetal weight estimation using automated fractional limb volume with 2-dimensional size parameters [J]. J Ultrasound Med, 2020, 39(7): 1317-1324.

25
Simcox L, Myers J, Cole T, et al. Fractional fetal thigh volume in the prediction of normal and abnormal fetal growth during the third trimester of pregnancy [J]. Am J Obstet Gynecol, 2017, 217(4): 453.e1-453.e12.

Outlines

/

Copyright © Chinese Journal of Medical Ultrasound (Electronic Edition), All Rights Reserved.
Tel: 010-51322630、2632、2628 Fax: 010-51322630 E-mail: csbjb@cma.org.cn
Powered by Beijing Magtech Co. Ltd