Home    中文  
 
  • Search
  • lucene Search
  • Citation
  • Fig/Tab
  • Adv Search
Just Accepted  |  Current Issue  |  Archive  |  Featured Articles  |  Most Read  |  Most Download  |  Most Cited
Obstetric and Gynecologic Ultrasound

Prenatal ultrasound versus magnetic resonance imaging for diagnosis of cerebellomedullary cistern dilatation

  • Fan Zhang 1 ,
  • Zhonghui Xu , 2, ,
  • Qing Dai 2 ,
  • Hua Meng 2 ,
  • Yunshu Ouyang 2
Expand
  • 1.Department of Ultrasonography, Peking Union Medical College Hospital, Chinese Academy of Medical Sciences, Beijing 100730, China; Department of Ultrasonography, Beijing Fengtai Maternal & Child Health Care Hospital, Beijing 100070, China
  • 2.Department of Ultrasonography, Peking Union Medical College Hospital, Chinese Academy of Medical Sciences, Beijing 100730, China
Corresponding author: Xu Zhonghui, Email:

Received date: 2021-11-25

  Online published: 2022-04-15

Copyright

Copyright by Chinese Medical Association No content published by the journals of Chinese Medical Association may be reproduced or abridged without authorization. Please do not use or copy the layout and design of the journals without permission. All articles published represent the opinions of the authors, and do not reflect the official policy of the Chinese Medical Association or the Editorial Board, unless this is clearly specified.

Abstract

Objective

To evaluate the diagnostic value of prenatal ultrasound in fetuses with cerebellomedullary cistern (cisterna magna) dilatation.

Methods

Seventy-three fetuses with cisterna magna dilatation (>10 mm) detected in prenatal ultrasound screening from October 2017 to October 2019 at Peking Union Medical College Hospital, Chinese Academy of Medical Sciences were included. All cases underwent fetal cranial MRI after ultrasound examination, and the examination results were compared to calculate the concordance rate between ultrasound and MRI.

Results

Of the 73 fetuses diagnosed with cisterna magna dilatation by ultrasound, MRI suggested Dandy-Walker malformation in four cases, cerebellar vermis hypoplasia in two, cerebellar hypoplasia in four, posterior fossa arachnoid cyst in eight, Blake's pouch cyst in one, and cisterna magna dilation in 54. Compared with MRI, the diagnostic accuracy of prenatal ultrasound for posterior fossa abnormality was 84.9% (64/73). In this group of patients, 17 patients (23.3%, 17/73) were found to be complicated with other intracranial abnormalities by MRI, including 13 cases (76.5%, 13/17) detected by ultrasound.

Conclusion

Ultrasound has a high diagnostic accuracy for related disorders with fetal cisterna magna dilatation compared with MRI. Major malformations such as Dandy-Walker malformation and cerebellum dysplasia have typical sonographic features and are not easily misdiagnosed, and causion should be taken for disorders such as cerebellar vermis hypoplasia, Blake's pouch cyst, and posterior fossa arachnoid cyst.

Cite this article

Fan Zhang , Zhonghui Xu , Qing Dai , Hua Meng , Yunshu Ouyang . Prenatal ultrasound versus magnetic resonance imaging for diagnosis of cerebellomedullary cistern dilatation[J]. Chinese Journal of Medical Ultrasound (Electronic Edition), 2022 , 19(03) : 221 -225 . DOI: 10.3877/cma.j.issn.1672-6448.2022.03.006

小脑延髓池(枕大池)是后颅窝蛛网膜下腔的一部分,是胎儿颅内结构的常规筛查内容。小脑延髓池宽度的超声测量方法为经小脑横切面上测量小脑蚓部后缘至枕骨内缘的距离。整个孕期小脑延髓池宽度基本恒定,正常范围为2~10 mm。虽然小脑延髓池增宽多数为单纯变异,但也有部分病例与多种预后不一的胎儿颅内结构异常相关1,因此超声筛查发现的小脑延髓池增宽是进行产前针对性检查和诊断的指征。超声检查胎儿颅内结构存在一定的局限性,容易受到胎儿体位以及颅骨声影的影响,在晚孕期胎儿尤为明显,MRI技术能够准确评估胎儿颅内结构2, 3, 4,因此,本研究以胎儿颅脑MRI为标准,评估超声对小脑延髓池增宽胎儿的诊断价值。

资料与方法

一、对象

本组研究对象共73例,为2017年10月至2019年10月北京协和医院中孕期系统产前超声筛查或普通中、晚孕期超声检查中发现胎儿小脑延髓池增宽(>10 mm)并进行了胎儿MRI检查的病例,孕妇年龄(28.87±4.13)岁(范围18~41岁),孕周为(27.64±6.18)周(范围19~37周),均为单胎妊娠,小脑延髓池宽度范围为11~25 mm。

二、仪器与方法

1. 超声检查:超声检查使用的仪器为SAMSUNG WS80A型和GE Voluson E10型彩色多普勒超声诊断仪,常规使用凸阵探头,探头频率为1~5 MHz。部分病例同时使用三维容积探头及腔内探头。
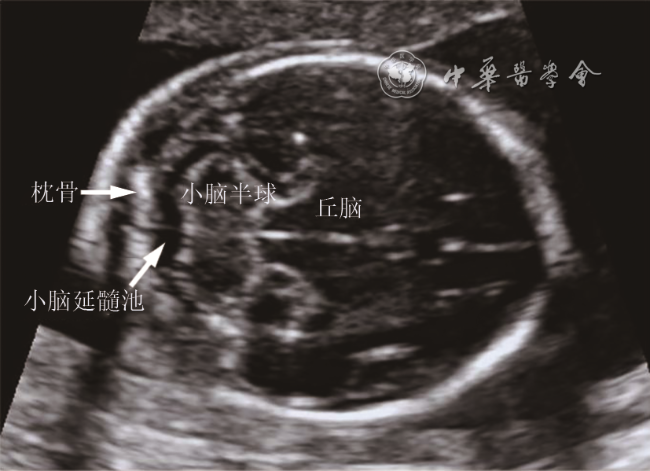
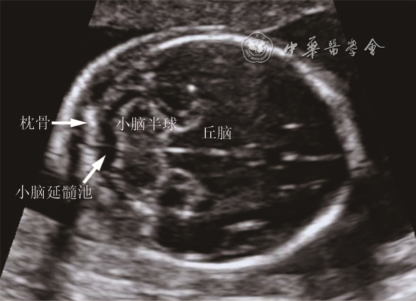
按照北京市产前超声筛查与诊断规范,对胎儿及其附属物进行系统性检查。对胎儿颅后窝进行多切面的超声扫查,对小脑半球、小脑蚓部、第四脑室、小脑延髓池、小脑幕等结构的位置、形态、大小进行观察及测量(图12)。测量方法及标准参考北京市产前超声筛查及诊断规范,所有病例均由具备产前诊断资格的超声医师完成。
图1 胎儿颅脑横切面显示小脑延髓池及周围结构
图2 胎儿颅脑后颅窝正中矢状切面显示小脑延髓池及周围结构
2. MRI检查:MRI检查均在系统超声检查后3日内进行,所用仪器为GE公司1.5 T光纤MRI系统。检查采用快速成像序列,对胎儿头部二次定位后行横断面、冠状面、矢状面扫描,扫描时间35~45 s。小脑延髓池增宽标准为>10 mm。MRI诊断结果由2名放射科颅脑专业医师诊断并审核。
3. 观察指标:统计超声诊断胎儿异常情况,参照MRI检查结果,计算超声诊断符合率。

结果

一、胎儿后颅窝异常的MRI与超声诊断对比结果

本组胎儿小脑延髓池增宽病例中,与颅脑MRI结果比较,超声对后颅窝异常的诊断符合率为84.9%(62/73;表1)。后颅窝病变共19例(26%,19/73),超声诊断符合率为63.2%。其中Dandy-Walker畸形(图3)、小脑发育不良(图4)、小脑蚓部发育不良(2例)的超声诊断符合率均为100%。颅后窝蛛网膜囊肿8例(图5),超声正确诊断2例,1例未定性,5例诊为单纯小脑延髓池增宽。Blake's囊肿1例,超声诊断为小脑蚓部发育不良。无明确后颅窝病变的单纯小脑延髓池增宽54例(74%,54/73),超声正确诊断50例,诊断符合率为92.6%;2例未定性,2例诊断为后颅窝蛛网膜囊肿。
表1 胎儿后颅窝异常的MRI与超声诊断结果对比
MRI诊断结果 例数 超声正确诊断[例(%)] 孕周(周)
后颅窝病变 19 12(63.2) 28.9(19.0~36.3)

Dandy-Walker畸形

4 4(100) 22.9(19.0~25.4)

小脑发育不良

4 4(100) 28.6(23.1~36.3)

小脑蚓部发育不良

2 2(100) 31.6(31.0~32.1)

颅后窝蛛网膜囊肿

8 2(25.0) 31.8(29.7~35.3)

Blake's囊肿

1 0(0) 23.3
单纯小脑延髓池增宽 54 50(92.6) 27.2(19.4~36.9)
合计 73 62(84.9) 27.6(19.0~36.9)

注:孕周表示为为平均值和起始周数

图3 胎儿Dandy-Walker畸形超声声像图(孕23+6周)。经小脑横切面:无小脑蚓部,小脑延髓池与第四脑室相通,小脑半球呈“八”字形分离

注:CM为小脑延髓池,C为小脑半球

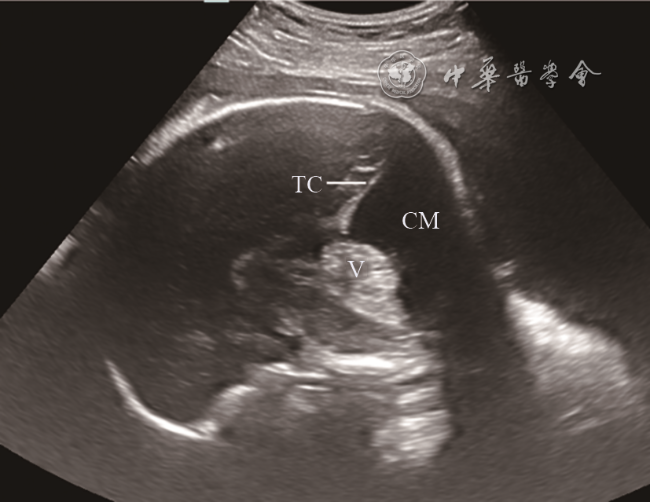
图4 胎儿小脑蚓部发育不良超声声像图(孕34周)。颅脑正中矢状面:小脑蚓部上旋,下蚓部部分缺失,小脑幕位置正常,小脑延髓池增大

注:V为小脑蚓部,TC为小脑幕,CM为小脑延髓池

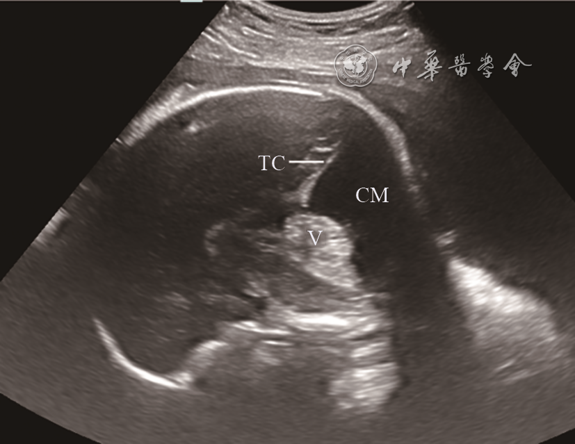
图5 胎儿后颅窝蛛网膜囊肿超声声像图(孕33周)。颅脑正中矢状面:小脑延髓池明显增大,小脑蚓部完整,受压前移,小脑幕上抬

注:V为小脑蚓部,TC为小脑幕,CM为小脑延髓池

二、合并其他颅内异常情况

本组73例超声筛查小脑延髓池增宽病例中,MRI诊断合并其他颅内异常者为17例(23.3%,17/73),其中超声正确诊断13例(76.5%,13/17)。小脑发育不良伴菱脑融合、胼胝体部分发育不良1例,超声未诊断胼胝体病变。单纯小脑延髓池增宽伴侧脑室增宽13例,超声漏诊1例。单纯小脑延髓池增宽伴双侧室管膜下少量出血1例、双侧侧脑室旁缺血缺氧改变(囊肿)2例,超声均未诊断。

三、合并颅外异常情况

本组病例中超声检查发现颅外异常15例(20.5%,15/73),具体如下:Dandy-Walker畸形4例均合并颅外异常,分别为单脐动脉1例,婴儿型多囊肾1例,胆囊不显示、脊柱排列不规则1例,法洛四联症、心包腔积液1例。小脑发育不良4例中3例合并颅外异常,分别为双足内翻1例,双肾轻度积水1例,脐带增粗、华氏胶水肿1例。小脑蚓部发育不良1例合并法洛四联症、外生殖器形态异常、单脐动脉。后颅窝蛛网膜囊肿1例合并胎儿颈椎排列异常、脐静脉发育异常。单纯小脑延髓池增宽中6例(11.1%,6/54)合并颅外异常,分别为右位主动脉弓、迷走左锁骨下动脉1例,左肾体积小1例,心内膜垫缺损伴肺动脉狭窄及婴儿型多囊肾1例,致死性软骨发育不良1例,隔离肺1例,单侧唇腭裂1例。

讨论

小脑延髓池是后颅窝结构的一部分,因此后颅窝结构的多种病变可导致小脑延髓池增宽5, 6。本组病例中,与小脑延髓池增宽相关的后颅窝病变包括Dandy-Walker畸形、小脑蚓部发育不良、小脑发育不良、Blake's囊肿、后颅窝蛛网膜囊肿。
Dandy-Walker畸形超声表现为小脑蚓部显著发育不良或缺失,小脑半球分离,小脑延髓池显著扩张并与第四脑室相通,声像图改变显著,其表现在中孕筛查期即较为明显,不易漏误诊。Dandy-Walker畸形常合并多种颅内外畸形7,预后差,本组中4例Dandy-Walker畸形均合并其他颅内外异常,中孕早中期均已正确诊断。小脑发育不良表现为小脑半球体积小,使小脑延髓池增宽,可为单纯性或与染色体异常和其他结构异常相关,出生后有中-重度神经系统发育迟缓8。超声检查通过小脑形态观察和小脑横径测量即可诊断,不易漏误诊。
本组中超声检查出现假阳性或假阴性病例为小脑蚓部发育不良、Blake's囊肿、后颅窝蛛网膜囊肿和单纯小脑延髓池增宽。小脑蚓部发育不良超声表现为颅脑正中矢状面上小脑蚓部部分缺失(以下蚓部缺失为主),蚓部上旋,小脑幕不抬高。Blake's囊肿的超声表现为颅脑正中矢状面小脑蚓部形态正常,位置上抬,第四脑室后方囊状突入小脑延髓池内,小脑幕不抬高9。后颅窝蛛网膜囊肿的超声表现为小脑延髓池占位性囊肿,向前可压迫小脑蚓部,向上可抬高小脑幕。单纯小脑延髓池增宽超声表现仅为小脑延髓池测值增大,后颅窝各结构大小、形态、位置等均无异常10。在前述几种情况的鉴别诊断中,由于超声较难量化评价小脑蚓部发育,如颅脑正中矢状面显示不满意,则鉴别诊断困难。本组中上述病例发现时期以晚孕期为主,颅骨声影明显,胎儿体位较固定,虽然合并使用了经阴道超声及三维超声11, 12, 13, 14,部分病例仍鉴别困难。因此,当发现不易定性的小脑延髓池增宽、小脑蚓部显示不清,应建议行MRI检查以明确诊断15
本组病例中,MRI同时发现17例合并颅内其他部位病变,其中13例为侧脑室增宽,侧脑室和小脑延髓池均为脑脊液循环的组成部分,因此影响脑脊液循环的因素均有可能同时累及上述两部位16;此外,超声漏诊4例,分别为部分性胼胝体发育不良、室管膜下出血及囊肿,因此超声筛查发现小脑延髓池增宽时应进行颅内结构的全面检查,结合MRI有助于全面了解颅内发育情况,避免颅内病变的漏误诊。
本组病例中,15例合并颅外异常,其中,单纯小脑延髓池增宽病例中11.1%合并颅外结构异常,提示超声筛查发现小脑延髓池增宽时,除了对颅内结构进行系统的超声检查外,对胎儿全身结构也需要进行全面系统检查,以提供准确而全面的诊断信息。
综上所述,对于胎儿小脑延髓池增宽病例,超声总体诊断准确率较高,其中对Dandy-Walker畸形及小脑发育不良等严重疾病诊断准确性高,对于小脑蚓部发育不良、Blake's囊肿、颅后窝蛛网膜囊肿和单纯小脑延髓池增宽的鉴别诊断存在一定困难,需要通过MRI检查确诊。小脑延髓池增宽可能是多种畸形在颅内的声像表现,也可能是胎儿的正常变异,需根据每个病例的具体情况仔细分析,应建议孕妇做详尽的产前检查以明确诊断。
1
Wüest A, Surbek D, Wiest R, et al. Enlarged posterior fossa on prenatal imaging: differential diagnosis, associated anomalies and postnatal outcome [J]. Acta Obstet Gynecol Scand, 2017, 96(7): 837-843.

2
Tee LM, Kan EY, Cheung JC, et al. Magnetic resonance imaging of the fetal brain [J]. Hong Kong Med J, 2016, 22(3): 270-278.

3
Manganaro L, Bernardo S, Antonelli A, et al. Fetal MRI of the central nervous system: state-of-the-art [J]. Eur J Radiol, 2017, 93: 273-283.

4
逄利博, 陈刚, 杨露露, 等. 胎儿脑超声异常的MR影像诊断价值 [J]. 中国产前诊断杂志(电子版), 2019, 11(3): 23-27.

5
Pertl B, Eder S, Stern C, et al. The fetal posterior fossa on prenatal ultrasound imaging: normal longitudinal development and posterior fossa anomalies [J]. Ultraschall Med, 2019, 40(6): 692-721.

6
D'Antonio F, Khalil A, Garel C, et al. Systematic review and meta-analysis of isolated posterior fossa malformations on prenatal ultrasound imaging (part 1): nomenclature, diagnostic accuracy and associated anomalies [J]. Ultrasound Obstet Gynecol, 2016, 47(6): 690-697.

7
Reith W, Haussmann A. Dandy-Walker-Malformation [J]. Radiologe, 2018, 58(7): 629-635.

8
Lerman-Sagie T, Prayer D, Stöcklein S, et al. Fetal cerebellar disorders [J]. Handb Clin Neurol, 2018, 155: 3-23.

9
李胜利, 廖伊梅, 文华轩. 颅内囊性结构(室管膜下囊肿、布莱克囊肿、韦氏腔、中间帆腔)产前超声报告与解读 [J/CD]. 中华医学超声杂志(电子版), 2018, 15(5): 330-339.

10
李冠, 肖连祥, 渐楠, 等. 孕中晚期胎儿小脑生长发育规律及其与单纯后颅窝池增宽关系MRI研究 [J]. 中国临床解剖学杂志, 2018, 36(5): 495-499.

11
张海燕, 蒲英杰, 赵金珩, 等. 超声及核磁联合应用对小脑蚓部疾病临床意义的研究 [J]. 中国煤炭工业医学杂志, 2017, 20(6): 684-687.

12
郭翠霞, 吴青青, 王莉, 等. 50例胎儿颅后窝异常的超声诊断及预后分析 [J/CD]. 中华医学超声杂志(电子版), 2018, 15(8): 593-599.

13
肖清华. 经阴道三维超声成像诊断胎儿小脑蚓部发育异常的临床应用 [J]. 内蒙古医学杂志, 2019, 51(7): 816-817.

14
林育如, 李众, 孙佩淑, 等. 经腹部三维超声评价胎儿小脑蚓部发育的研究及应用 [J]. 中国医药科学, 2018, 8(5): 169-172.

15
Zhao D, Cai A, Zhang J, et al. Measurement of normal fetal cerebellar vermis at 24-32 weeks of gestation by transabdominal ultrasound and magnetic resonance imaging: a prospective comparative study [J]. Eur J Radiol, 2018, 100: 30-35.

16
李志, 潘黎明, 方嵘, 等. 单纯性双侧侧脑室轻度和中度扩张胎儿的生后随访 [J]. 中华围产医学杂志, 2020, 23(11): 750-756.

Outlines

/

Copyright © Chinese Journal of Medical Ultrasound (Electronic Edition), All Rights Reserved.
Tel: 010-51322630、2632、2628 Fax: 010-51322630 E-mail: csbjb@cma.org.cn
Powered by Beijing Magtech Co. Ltd