Home    中文  
 
  • Search
  • lucene Search
  • Citation
  • Fig/Tab
  • Adv Search
Just Accepted  |  Current Issue  |  Archive  |  Featured Articles  |  Most Read  |  Most Download  |  Most Cited
Ultrasound Quality Control

Quality analysis of cervical ultrasound reports for pregnant women

  • Cheng Chen 1 ,
  • Yao Wei 1 ,
  • Qing Dai 1 ,
  • Qingli Zhu 1 ,
  • Jianchu Li 1 ,
  • Yuxin Jiang 1 ,
  • Qing Zhang , 1,
Expand
  • 1.Department of Ultrasound, Peking Union Medical College Hospital, Chinese Academy of Medical Sciences, Beijing 100730, China
Corresponding author: Zhang Qing, Email:

Received date: 2021-04-29

  Online published: 2022-04-15

Copyright

Copyright by Chinese Medical Association No content published by the journals of Chinese Medical Association may be reproduced or abridged without authorization. Please do not use or copy the layout and design of the journals without permission. All articles published represent the opinions of the authors, and do not reflect the official policy of the Chinese Medical Association or the Editorial Board, unless this is clearly specified.

Abstract

Objective

To analyze the quality of cervical ultrasound during pregnancy among ultrasound physicians with different working experience and professional training.

Methods

All 624 cervical ultrasound reports [transperineal ultrasound (TPU) and transvaginal ultrasound (TVU)] from January 1 to December 31, 2019 at Peking Union Medical College Hospital were derived from the ultrasound medical imaging workstation. The examiners were divided into first-year residents (G1), second- or third-year residents (G2), and professional doctors (G3). According to the guidelines published by the Society of Obstetricians and Gynaecologists of Canada Maternal-Fetal Medicine Committee, the above reports were evaluated and classified as true or false by two ultrasound physicians with more than 10 years of experience. Chi-square test or Fisher's test was used to compare the difference between groups.

Results

A total of 624 cervical examinations were recruited, 507 (81.2%, 507/624) by TPU and 117 (18.8%, 117/624) by TVU. The number of physicians in G1, G2, and G3 was 16, 33, and 13, respectively. By TPU, the total number of reports in G1, G2, and G3 was 90, 326, and 91, and the accuracy was 74.4% (67/90), 85.9% (280/326), and 86.8% (79/91), respectively; the difference between G1 and G2 and between G1 and G3 was significant (χ2=6.678, P=0.010; χ2=4.438, P=0.035), but the difference between G2 and G3 was not significant (P>0.05). By TVU, the total number of reports in G1+G2 and G3 was 44 and 73, and the accuracy was 75.0% (33/44) and 91.8% (67/73), respectively; the difference was significant (χ2=6.225, P=0.013). The difference between TPU and TVU was not significant (P>0.05).

Conclusion

The accuracy of TVU among physicians in the professional group is higher, and the accuracy of TPU increases with the increase of seniority. Case accumulation and standardized professional training are effective ways to improve pregnant cervical ultrasonography.

Cite this article

Cheng Chen , Yao Wei , Qing Dai , Qingli Zhu , Jianchu Li , Yuxin Jiang , Qing Zhang . Quality analysis of cervical ultrasound reports for pregnant women[J]. Chinese Journal of Medical Ultrasound (Electronic Edition), 2022 , 19(03) : 262 -266 . DOI: 10.3877/cma.j.issn.1672-6448.2022.03.013

早产是导致围产期疾病及死亡的主要原因,使用经阴道超声测量宫颈长度是评估早产风险的重要组成部分1。在妊娠中期,它能有效预测无症状孕妇发生早产的可能性。先兆自发性早产的孕妇中仅有15%会在7 d内真正分娩,而经阴道超声测量宫颈长度可帮助区分“真性”和“假性”自发性早产2。此外,有证据表明在11+0~13+6周测量宫颈有助于确定早产的风险2, 3。因此,准确评估宫颈有利于改善孕妇和胎儿的妊娠结局。而超声为实时检查,主观依赖性强,操作者个体差异大,超声医学质量控制工作意义重大4。为评估超声医学科孕期宫颈超声检查现状,本研究对经会阴和经阴道孕期宫颈超声检查进行质量评估,评估不同年资及是否有专业背景超声医师检查宫颈的准确性,为提高其检测准确性提供一定指导。

资料与方法

一、对象

应用北京协和医院超声医学影像工作站,检索2019年1月1日至12月31日经会阴与经阴道的孕期宫颈超声检查,满足入选标准与排除标准者共624份。超声医师共62名,其中第1年住院医师(G1组)16名、第2~3年住院医师(G2组)33名、专业医师(G3组)13名。入选标准:(1)经会阴或经阴道超声检查;(2)检查对象为孕期宫颈;(3)工作站能查到宫颈检查的图像和报告。排除标准:(1)经腹超声或者联合超声检查宫颈;(2)因宫颈疾病或其他原因于未妊娠时检查;(3)宫颈图像缺失:如床旁超声检查等。

二、评估方法及指标

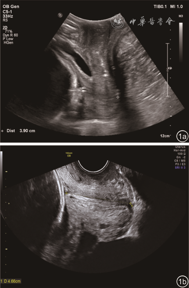
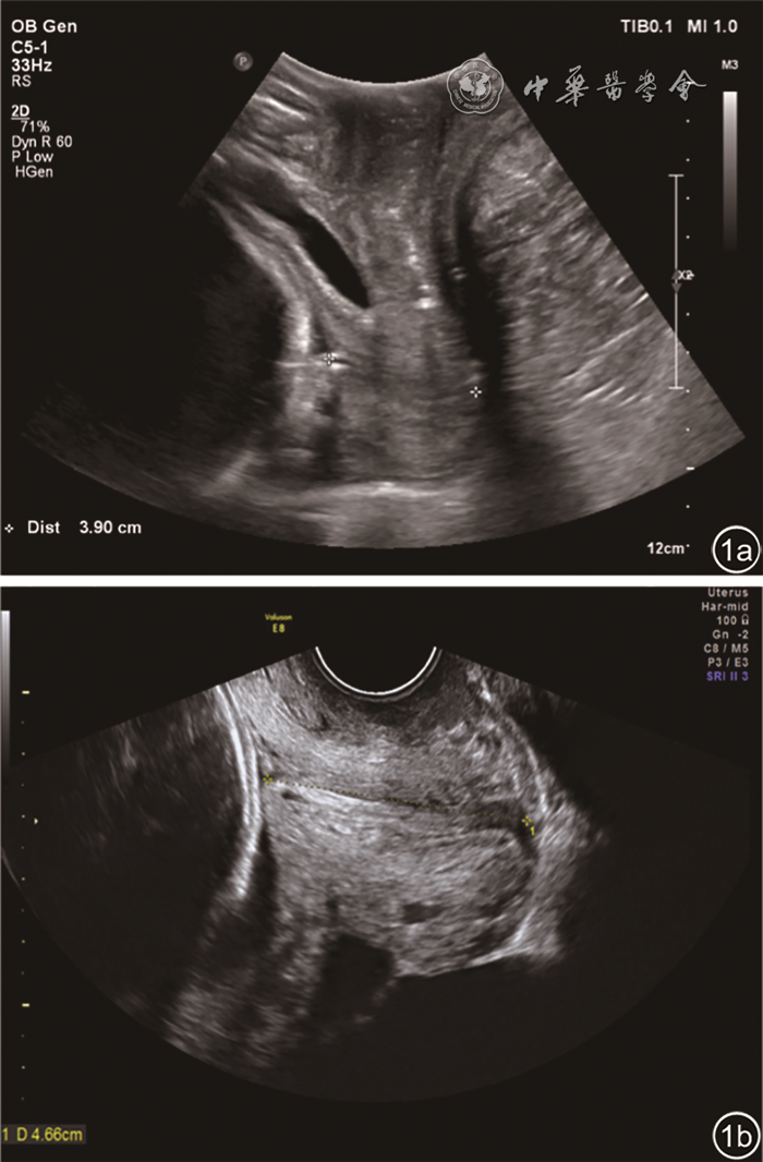
本研究评估标准参考加拿大妇产科医师协会母胎医学专业委员会的指南5:经会阴超声检查宫颈时,超声束沿阴道方向在矢状面上定向测量(图1),宫颈水平方向大致垂直于超声束,阴道几乎垂直。经阴道超声检查宫颈时,沿宫颈管最长径获取其长轴矢状切面,宫颈管、宫颈内口、宫颈外口均清晰显示(宫颈内口为平坦或V形凹槽、宫颈外口为凹陷或三角形的区域)。无论采取哪种检测方法,测量前均应寻找以下标记点:(1)宫颈内口;(2)宫颈外口;(3)矢状面可看到宫颈管全长;(4)子宫体;(5)宫颈与阴道交界处(可看到回声增高的界线)。前唇浆膜层到宫颈管距离等于后唇浆膜层到宫颈管距离。宫颈长度测量时应将卡尺放置于前唇/后唇接触宫颈的内口/外口处。当宫颈漏斗形成时,测量的宫颈长度应为闭合段宫颈长度。若宫颈弯曲时,测量的宫颈长度为宫颈内外口之间的直线、或分别测量多节段(≥2)再计算总和。有研究6表明当宫颈较短时,直线和多节段测量宫颈是否缩短时差异无统计学意义,因为宫颈较短时通常是笔直的。
图1 孕期宫颈超声检查。图a为经会阴超声检查,图b为经阴道超声检查
按照上述标准对2名工作经验>10年的超声医师进行培训后,随机抽取50例样本进行一致性分析。在上述一致性分析显示结果具有一致性后,再由该2名医师评估所有图文报告。评估过程中,该2名医师无法获得患者及检查医师信息。当评估结果不一致时,选取两者中的分类偏高值。具体分类如下:(1)0级(符合):能较好地显示宫颈测量切面,显示宫颈内口及宫颈外口,测量、描述、诊断均准确;(2)1级(定位不符合):图片显示不满意,无法较好地显示宫颈测量切面(若满足1级则不进一步评估);(3)2级(定量不符合):图片显示满意,能较好地显示宫颈测量切面,但测量(如部位、长度)、描述或诊断不准确。

三、统计学分析

采用SPSS 24.0统计软件进行统计学分析,分别比较不同组间经会阴及经阴道超声检查宫颈情况,以报告符合与不符合的频数、1级(定位不符合)和2级(定量不符合)的频数为计数资料,采用χ2检验或Fisher精确检验进行组间比较。P<0.05为差异有统计学意义。观察者之间采用一致性检验。

结果

一、检查医师基本情况

G1组医师共16名,其中女性14名、男性2名;学历为本科者11名、硕士研究生3名、博士研究生2名;年龄为(25.5±1.9)岁。G2组医师共33名,其中女性29名,男性4名,学历为本科者18名、硕士研究生10名、博士研究生5名;年龄为(27.9±2.3)岁。G3医师组共13名,均为女性,学历均为博士研究生,年龄为(40.0±5.1)岁。

二、检查宫颈基本情况

观察者之间的相关系数为0.912。2019年经会阴或者经阴道超声宫颈检查共624份,其中经会阴超声检查507份(81.2%,507/624),经阴道超声检查117份(18.8%,117/624)。经会阴超声检查中,于急诊完成332份(65.5%,332/507),于门诊及病房完成175份(34.5%,175/507)。经阴道超声检查中,于急诊完成12份(10.3%,12/117),于门诊及病房完成105份(89.7%,105/117)。G1组医师完成经会阴超声检查90份,经阴道超声检查11份;G2组医师完成经会阴超声检查326份,经阴道超声检查33份;G3组医师完成经会阴超声检查91份,经阴道超声检查73份。

三、经会阴超声宫颈检查

507份经会阴超声检查中,G1组报告符合率为74.4%(67/90),G2组报告符合率为85.9%(280/326);G3组报告符合率为86.8%(79/91)。G1与G2组、G1与G3组比较,差异具有统计学意义(χ2=6.678,P=0.010;χ2=4.438,P=0.035),G2与G3组比较,差异无统计学意义(χ2=0.051,P=0.822)。
在不符合的报告中,G1组不符合23份(25.6%,23/90),1级和2级分别为22份(95.7%,22/23)和1份(4.3%,1/23);G2组不符合46份(14.1%,46/326),1级和2级分别为34份(73.9%,34/46)和12份(26.1%,12/34);G3组不符合12份(13.2%,12/91),1级和2级分别为7份(58.3%,7/12)和5份(41.7%,5/12)。G1与G2组、G1与G3组比较,差异有统计学意义(P=0.047、0.012),G2与G3组比较,差异无统计学意义(χ2=1.115,P=0.291)。

四、经阴道超声宫颈检查

由于G1组医师完成经阴道超声检查数目较少,因此将G1和G2组合并,G1+G2组(住院医师)49名。117份经阴道超声检查中,G1+G2组总报告数为44份,符合33份,符合率为75.0%(33/44);G3组总报告数为73份,符合67份,符合率为91.8%(67/73),两者差异有统计学意义(χ2=6.225,P=0.013)。
在不符合报告中,G1+G2组不符合11份(25.0%,11/44),1类和2类不符合分别为7份(63.6%,7/11)和4份(36.4%,4/11);G3组不符合6份(8.2%,6/73),1类和2类不符合分别为4份(66.7%,4/6)和2份(33.3%,2/6),两者差异无统计学意义(P=1.000)。

五、经会阴与经阴道超声宫颈检查比较

检查医师G1+G2组总报告数460份,G3组164份。相同年资医师在行经会阴与经阴道超声宫颈检查符合率方面比较,差异无统计学意义(P>0.05,表1)。
表1 相同年资医师经会阴与经阴道超声宫颈检查
超声检查途径 报告数量 G1+G2组 G3组
符合 不符合 符合 不符合
经会阴 507 347 69 79 12
经阴道 117 33 11 67 6
χ2 1.961 1.023
P 0.161 0.312

注:G1组为第1年住院医师,G2组为第2~3年住院医师,G3组为专业组医师

讨论

早产是产科最重要的疾病之一,孕期宫颈超声检查(尤其是经阴道超声检查)常用于早产筛查。评估的内容包括宫颈长度、宫颈漏斗(是否形成、漏斗宽度、漏斗长度)及宫颈管是否扩张等,宫颈长度预测早产最为可靠,在早期预测更准确。宫颈越短,早产风险越高。发生宫颈短的孕龄越早,风险越大1, 27, 8。正确评估宫颈能有效改善孕妇和胎儿妊娠结局。为评估超声医学科孕期宫颈超声检查现状,本研究基于超声医学影像工作站对经会阴和经阴道孕期宫颈超声检查进行专业质量评价。
宫颈测量方式包括经阴道超声检查、经会阴超声检查和经腹超声检查。经腹超声检查宫颈受充盈膀胱、胎儿肢体或胎头遮挡,图像质量欠佳,预测疾病敏感度较低,不用来常规筛查和评估宫颈,故本研究仅纳入经阴道和经会阴超声检查的结果。经阴道超声检查无需孕妇充盈膀胱,不受胎儿肢体遮挡,探头贴近宫颈且不受肠气干扰,是评估宫颈的首选检查方式5,可用于早产风险增加的孕妇。
研究认为经阴道超声检查较易掌握,不同检查者之间以及同一检查者多次检查的差异都<10%9,为高风险患者宫颈检查的金标准。本研究中经阴道超声宫颈检查符合率均高于75.0%,专业组医师符合率显著高于住院医师。为获得临床认可、正确率得到保障,经阴道超声检查必须执行特定的标准:(1)检查前患者排空膀胱;(2)准备套好避孕套的洁净探头;(3)置入探头(可由患者自己置入以减轻不适);(4)将探头放置于阴道前穹隆处;(5)沿宫颈管最长径获取其长轴矢状切面;(6)后退探头至图像模糊,再加以适当的压力调整图像至清晰;(7)放大图像,使宫颈至少占据图像的2/3,且宫颈外口和内口都清晰显示;(8)测量沿宫颈管从宫颈内口到宫颈外口的宫颈长度;(9)至少测量3次,以毫米为单位记录最短的最佳测值;(10)在宫底加压15 s,再次记录宫颈长度569。经阴道超声检查1类不符合主要为:宫颈倾斜度较大,未与声束垂直;部分将尿道当成宫颈管进行测量。经阴道超声宫颈检查简便,标准清晰,易通过标准化教学与培训以达到该标准,规范、专业、统一的培训能进一步提高报告质量。
本研究中宫颈超声检查较多采用的是经会阴超声检查,而非指南推荐首选的经阴道超声检查。这可能是由于本研究中宫颈超声检查多在急诊完成:孕妇多因不适来急诊就诊,急诊科医师更倾向于非侵入式检查;经会阴超声检查时探头不进入阴道,不对宫颈加压,孕妇接受度更高。经会阴超声检查时,第1年住院医师符合率显著低于第2~3年住院医师及专业组医师,表明第1年住院医师难以掌握该项操作,可能由于第1年资住院医师对宫颈及邻近解剖理解欠佳,手法欠熟练,低回声宫腔线显示欠满意。而第2~3年住院医师与专业组医师符合率比较,差异无统计学意义,表明住院医师经过1年工作经验和病例积累可较好掌握经会阴超声检查,并达到稳定水平。经会阴超声检查1类不符合主要为宫颈管低回声线尤其是宫颈外口显示欠满意,其次为患者膀胱较充盈,以第1年住院医师犯该类错误最高。而第2~3年住院医师和专业组医师2类不符合率偏高。综上所述,工作经验的积累可提高经会阴超声检查正确率10, 11。而本研究也表明宫颈经会阴超声检查符合率与经阴道超声检查比较,差异无统计学意义,孕妇无法接受或无法承受经阴道超声检查时可选择经会阴超声检查。经会阴超声检查培训的重点为解剖位置、操作手法及测量方式。
基于超声医学影像工作站,可快速便捷地对宫颈超声检查进行图文调取和评估,为后续规范、同质、统一的操作技能培训以提升超声医疗质量奠定一定基础。本研究发现经阴道与经会阴超声宫颈检查符合率差异无统计学意义,都适用于临床,二者检查符合率随着医师年资的增高及专业的培训均可得到提升。宫颈超声操作规范需要工作经验和病例积累,病例训练和标准化专业培训是提高宫颈超声检查准确性的有效途径。
1
Sotiriadis A, Papatheodorou S, Kavvadias A, et al. Transvaginal cervical length measurement for prediction of preterm birth in women with threatened preterm labor: a meta-analysis [J]. Ultrasound Obstet Gynecol, 2010, 35(1): 54-64.

2
Kagan KO, Sonek J. How to measure cervical length [J]. Ultrasound Obstet Gynecol, 2015, 45(3): 358-362.

3
Kagan KO, To M, Tsoi E, et al. Preterm birth: the value of sonographic measurement of cervical length [J]. BJOG, 2006, 113 Suppl 3: 52-56.

4
国家超声医学质量控制中心(筹), 中华医学会超声医学分会. 超声医学专业质量管理控制指标专家共识(2018年版) [J]. 中华超声影像学杂志, 2018, 27(11): 921-923.

5
Lim K, Butt K, Nevo O, et al. Guideline No. 401: sonographic cervical length in singleton pregnancies: techniques and clinical applications [J]. J Obstet Gynaecol Can, 2020, 42(11): 1394-1413. e1391.

6
Uquillas K, Fox N, Rebarber A, et al. A comparison of cervical length measurement techniques for the prediction of spontaneous preterm birth [J]. J Matern Fetal Neonatal Med, 2017, 30(1): 50-53.

7
Wulff C, Rode L, Rosthøj S, et al. Transvaginal sonographic cervical length in first and second trimesters in a low-risk population: a prospective study [J]. Ultrasound Obstet Gynecol, 2018, 51(5): 604-613.

8
Feng Q, Duan H, Ju X, et al. Prediction of spontaneous preterm birth by cervical length in the first trimester of pregnancy: comparison of two measurement methods [J]. Acta Obstet Gynecol Scand, 2021. Online ahead of print.

9
常才, 戴晴, 谢晓燕. 妇产科超声学[M]. 北京: 人民卫生出版社, 2020: 608-626.

10
Abuhamad A, Minton K, Benson CB, et al. Obstetric and gynecologic ultrasound curriculum and competency assessment in residency training programs: consensus report [J]. Am J Obstet Gynecol, 2018, 218(1): 29-67.

11
So S, Patel R, Orebaugh S. Ultrasound imaging in medical student education: impact on learning anatomy and physical diagnosis [J]. Anat Sci Educ, 2017, 10(2): 176-189.

Outlines

/

Copyright © Chinese Journal of Medical Ultrasound (Electronic Edition), All Rights Reserved.
Tel: 010-51322630、2632、2628 Fax: 010-51322630 E-mail: csbjb@cma.org.cn
Powered by Beijing Magtech Co. Ltd