Home    中文  
 
  • Search
  • lucene Search
  • Citation
  • Fig/Tab
  • Adv Search
Just Accepted  |  Current Issue  |  Archive  |  Featured Articles  |  Most Read  |  Most Download  |  Most Cited
Case Report

Ultrasonographic manifestations of subcutaneous panniculitic T-cell lymphoma in a child

  • Zhengliang Meng 1 ,
  • Jun Gao , 1 ,
  • Xiaoyuan Feng 1
Expand

Received date: 2021-04-03

  Online published: 2022-04-16

Copyright

Copyright by Chinese Medical Association No content published by the journals of Chinese Medical Association may be reproduced or abridged without authorization. Please do not use or copy the layout and design of the journals without permission. All articles published represent the opinions of the authors, and do not reflect the official policy of the Chinese Medical Association or the Editorial Board, unless this is clearly specified.

Cite this article

Zhengliang Meng , Jun Gao , Xiaoyuan Feng . Ultrasonographic manifestations of subcutaneous panniculitic T-cell lymphoma in a child[J]. Chinese Journal of Medical Ultrasound (Electronic Edition), 2022 , 19(04) : 379 -381 . DOI: 10.3877/cma.j.issn.1672-6448.2022.04.019

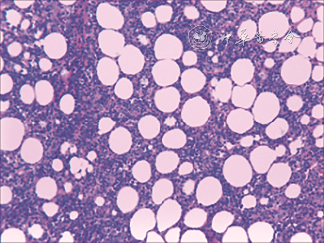
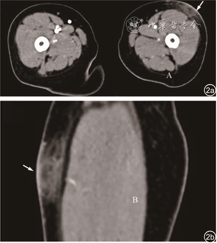
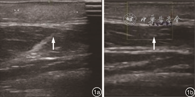
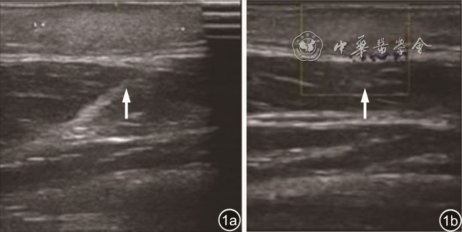
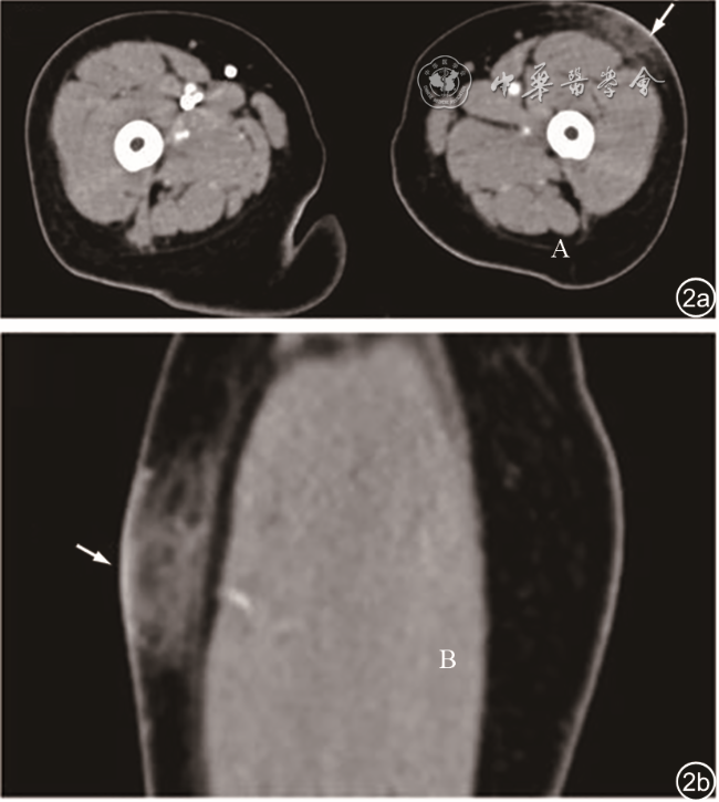
患儿,男性,2岁1个月。2017年4月因发现左大腿包块1个月余就诊于武汉儿童医院。患儿于2017年3月发现左大腿一黄豆大小包块,无红肿、无触痛,呈进行性增大。患儿就诊时一般情况可。既往史、出生史及母孕史无特殊。体格检查:全身浅表淋巴结未见肿大,左大腿可触及2.0 cm×1.5 cm包块,质软,无压痛,周围组织无红肿,活动度可。门诊超声检查声像图表现:左大腿包块处表皮及皮下浅筋膜层一稍高回声区,大小为2.1 cm×0.7 cm×1.6 cm,无包膜,边界不清,可见细管状低回声。彩色多普勒血流显像(color Doppler flow imaging,CDFI)示:局部无明显血流信号。超声提示:左大腿皮下软组织异常回声(图1)。门诊以“左大腿包块性质待查”收入院。入院行实验室检查,血常规提示:中性粒细胞计数5.2×109/L,中性粒细胞百分比55.9%,单核细胞百分比8.9%;外周血淋巴细胞亚群检测提示:CD4+/CD8+ T淋巴细胞比偏低。CT影像检查提示:左大腿皮下脂肪层内包块,大小3.9 cm×1.0 cm×3.3 cm,增强扫描未见明显强化,CT值15 Hu,肿块未见向深部肌肉及骨质侵犯,考虑淋巴管瘤(图2)。患儿在静脉复合麻醉下行左大腿包块切除术,术中发现瘤体大小3.0 cm×2.5 cm,质软,类似脂肪组织,侵及皮下,未及肌层。病理检查:镜下显示脂肪细胞间有大量淋巴细胞浸润,夹杂少数组织细胞及浆细胞(图3),部分细胞具有一定异型性,核分裂象易见,并可见组织细胞吞噬的核碎屑;免疫组化:CD3(+)、CD4(-)、CD8(+)、CD56(-)、CD68(组织细胞+)、CD138(浆细胞+)、Ki-67(+约50%);分子病理:EBER(-),倾向皮肤淋巴造血系统肿瘤性病变或自身免疫性代谢性疾病所致脂膜炎。基因重排示T细胞受体基因重排阳性,提示肿瘤细胞来源T细胞,考虑皮下脂膜炎样T细胞淋巴瘤。
图1 左大腿包块超声图像。图a为常规二维超声示皮下脂肪层内稍高回声区(箭头所示);图b为彩色多普勒血流成像示其内血流信号不明显(箭头所示)
图2 左大腿包块CT增强图像示皮下脂肪内斑片状密度增高影,未见明显强化(箭头所示)。图a为横断位图像;图b为矢状位图像
图3 左大腿包块病理检查图像示脂肪细胞间大量淋巴细胞浸润,夹杂少数组织细胞及浆细胞,部分细胞具有一定异型性(HE染色 ×200)
术后1个月患儿返院予以CHOP方案(C:环磷酰胺、H:多柔比星、O:长春新碱、P:泼尼松)化疗。查体发现患儿左腹股沟手术切口上方及左胸壁处各新增一软组织包块,质硬,大小均约3 cm×2 cm,颈部及颌下扪及数枚黄豆大小淋巴结,质软可活动。血常规、免疫全套、肝肾功能、TBNK细胞亚群基本正常,结核感染T细胞检查、EB病毒抗体均阴性。影像学检查:四肢X线平片未见骨质异常、胸部及腹部CT、颅脑及脊柱MRI未见异常。
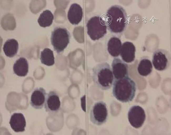
术后第2个月复查血清肿瘤标志物全套未见异常;骨髓穿刺髓象分析显示粒细胞比例减低,幼红细胞比例增高(图4)。超声复查:左腹股沟和左胸壁表皮及浅筋膜间隙各显示一个团块,直径分别为4.1、1.6 cm,无包膜,边界不清,内见细管状低回声,与术前左大腿包块声像图类似。CDFI:团块内见点状、条索状血流信号(图5)。超声提示:结合病史考虑皮下脂膜炎样T细胞淋巴瘤。
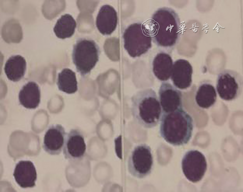
图4 骨髓象分析图像示粒细胞比例减低,幼红细胞比例增高(瑞氏染色 ×1000)
图5 左胸壁包块及左腹股沟包块超声图像。图a,b分别为左胸壁包块二维及彩色多普勒血流图像示皮下脂肪层内稍高回声区伴细管状低回声(图a箭头所示),其内可见点状及条状血流信号(图b 箭头所示);图c,d分别为左腹股沟包块二维及彩色多普勒血流图像示皮下脂肪层内稍高回声区伴细管状低回声(图c箭头所示),其内可见点状及条状血流信号(图d箭头所示)
术后第3个月患儿左侧前胸壁及左腹股沟包块未见明显变化。CT影像检查示左大腿皮下脂肪层内见絮状肿块影。患儿由于炎性指标异常,入院后行抗感染治疗。
随访:患儿术后1年完成全部化疗计划(CHOP方案),现已随访4年(2017~2021年),目前情况良好,体表包块消失,全身浅表淋巴结未见增大,门诊定期复查血生化检查。

讨论

皮下脂膜炎样T细胞淋巴瘤(subcutaneous panniculitis-like T-cell lymphoma,SPTCL)是一种原发于皮肤并主要累及皮下脂肪组织的T细胞淋巴瘤,病情进展快,预后差,容易误诊1。淋巴造血组织肿瘤WHO分类定义SPTCL是一种来源于αβ、CD8+的细胞毒性T细胞淋巴瘤2
该病早期为单发或多发性红斑或结节,好发于四肢,其次为躯干,例如前臂、胸壁、大腿、臀部、会阴部等。皮损表现为暗红色或粉色较硬的结节或斑块,外观似淤伤样,可伴坏死、出血、溃疡。近年来有文献报道SPTCL可侵犯腹内肠系膜脂肪3。SPTCL可并发噬血细胞综合征,预后凶险,临床伴有不明原因反复高热、消瘦、肌肉胀痛、肝脾肿大、浅表淋巴结肿大等。SPTCL各年龄段均可发病,中青年居多,儿童少见。儿童SPTCL患者的噬血细胞综合征发生率与病死率均较高4,早期症状不明显,易被误诊为结节性脂膜炎或感染性疾病,常因缺乏系统检查而漏诊真正病因。
SPTCL患者大多具有长期反复发生皮下病变的过程,当并发皮肤外器官受累或噬血细胞综合征时,病情进展较快。SPTCL皮下结节通常小于10 cm5,病理学显示浸润的异型淋巴细胞局限于皮下脂肪组织,呈小叶样脂膜炎,脂肪细胞为非典型淋巴细胞环绕,免疫组化通常显示CD3(+)、CD4(+)、CD8(+)、CD56(-)。超声影像检查常常是该病的首选检查方法,表现为皮下软组织片状高回声6, 7,部分皮损处结节可经CDFI检测到少许血流信号。由于病变位置表浅,超声检查时可以增加耦合剂的厚度或使用导声垫,增加探查深度以更加清晰显示病变。
该疾病的声像图表现缺乏特异性,主要表现为皮下软组织炎性改变,而非瘤样病变,因而容易漏诊及误诊,鉴别诊断时要考虑较多病种,例如脂膜炎、蜂窝织炎、脂肪瘤等,皮肤病理组织活检有助于进一步明确诊断。目前有关SPTCL的超声影像及其他影像学报道甚少,儿童罕见。SPTCL体表结节MRI表现为皮损处呈结节或肿块样增强区浸润皮下组织,淋巴管充血8;PET-CT表现为皮下结节具有代谢亢进特征5。临床表现为不同部位的多发皮下结节和(或)硬结节性红斑,尤其伴有肝脾肿大、淋巴结肿大时,高度提示本病,应提高警惕。
本文总结1例儿童体表原发SPTCL的超声影像、CT影像及病理学特征,以期提高对儿童SPTCL的认识。
1
Ohtsuka M, Miura T, Yamamoto T. Clinical characteristics, differential diagnosis, and treatment outcome of subcutaneous panniculitis-like T-cell lymphoma: a literature review of published Japanese cases [J]. Eur J Dermatol, 2017, 27(1): 34-41.

2
Swerdlow SH, Campo E, Harris NL, et al. WHO classification of tumours of haematopoietie and lymphoid tissues [M]. Lyon: IARC Press, 2017: 383-385.

3
Lester L, Ewalt M, Warnke R, et al. Systemic panniculitis-like T-cell lymphoma with involvement of mesenteric fat and subcutis [J]. J Cutan Pathol, 2015, 42(1): 46-49.

4
任发亮, 陶玥, 朱进, 等. 儿童皮下脂膜炎样T细胞淋巴瘤合并嗜血细胞综合征一例附文献复习 [J]. 中国麻风皮肤病杂志, 2017, 33(11): 667-671.

5
López-Lerma I, Penate Y, Gallardo F, et al. Subcutaneous panniculitis-like T-cell lymphoma: Clinical features, therapeutic approach, and outcome in a case series of 16 patients [J]. J Am Acad Dermatol, 2018, 79 (5): 892-898.

6
Lim GY, Hahn ST, Chung NG, et al. Subcutaneous panniculitis-like T-cell lymphoma in a child: whole-body MRI in the initial and follow-up evaluations [J]. Pediatr Radiol, 2009, 39(1): 57-61.

7
Jeong SI, Lim HS, Choi YR, et al. Subcutaneous panniculitis-like T cell lymphoma appearing as a breast mass: a difficult and challenging case appearing at an unusual site [J]. J Ultrasound Med, 2005, 24(10): 1453-1460.

8
Benjamin DL, Leanne LS, Aaron WJ, et al. Subcutaneous panniculitis-like T-cell lymphoma: MRI features and literature review [J]. Skeletal Radiol, 2014, 43(9): 1307-1311.

Outlines

/

Copyright © Chinese Journal of Medical Ultrasound (Electronic Edition), All Rights Reserved.
Tel: 010-51322630、2632、2628 Fax: 010-51322630 E-mail: csbjb@cma.org.cn
Powered by Beijing Magtech Co. Ltd