Home    中文  
 
  • Search
  • lucene Search
  • Citation
  • Fig/Tab
  • Adv Search
Just Accepted  |  Current Issue  |  Archive  |  Featured Articles  |  Most Read  |  Most Download  |  Most Cited
Obstetric and Gynecologic Ultrasound

Relationship between prenatal ultrasonographic characteristics of fetal bilateral hyperechogenic kidneys and pregnancy outcomes

  • Dongqing Xie 1 ,
  • Honghui Zhou 2 ,
  • Yanping Lu 2 ,
  • Hong Xu 1 ,
  • Qiuyang Li 1 ,
  • Xiaoqing Li 1 ,
  • Xinyue Zhang 2 ,
  • Lin Yan 1 ,
  • Longxia Wang , 1,
Expand
  • 1.Department of Ultrasound, the First Medical Center of Chinese PLA General Hospital, Beijing 100853, China
  • 2.Department of Gynaecology and Obstetrics, the First Medical Center of Chinese PLA General Hospital, Beijing 100853, China
Corresponding author: Wang Longxia, Email:

Received date: 2020-08-27

  Online published: 2022-06-16

Copyright

Copyright by Chinese Medical Association No content published by the journals of Chinese Medical Association may be reproduced or abridged without authorization. Please do not use or copy the layout and design of the journals without permission. All articles published represent the opinions of the authors, and do not reflect the official policy of the Chinese Medical Association or the Editorial Board, unless this is clearly specified.

Abstract

Objective

To explore the relationship between the prenatal ultrasound characteristics of fetal bilateral hyperechogenic kidneys and pregnancy outcomes, in order to provide a reference for prenatal consultation of such disease.

Methods

From January 2015 to December 2018, 26 cases of fetal bilateral hyperechogenic kidneys were diagnosed by prenatal ultrasound at the First Medical Center of PLA General Hospital, which were divided into either an induced labor/death group (19 cases) or a survival group (7 cases). Fisher exact probability test was used to compare the differences in ultrasonic characteristics between the two groups, including corticomedullary differentiation (CMD), medulla echogenicity, amniotic fluid volume, kidney volume, cyst, and extrarenal malformation.

Results

There were 10 cases with CMD, of which 7 survived and 3 underwent induced labor, 16 cases with CMD absence/reversal, of which none survived, 9 cases with normal medullary echo, of which 6 survived and 3 underwent induced labor, and 17 cases with abnormal medullary echo, of which none survived. There were statistically significant differences between the survival group and the induced labor /death group in CMD and medulla echogenicity (P<0.001 and =0.002, respectively), but there were no statistically significant differences in amniotic fluid volume, kidney volume, cyst, or extrarenal malformation (P>0.05 for all). CMD and medulla echogenicity were significantly correlated with pregnancy outcome (r=0.768 and 0.652, respectively; P<0.01 for both), while amniotic fluid volume, kidney volume, cyst, and extrarenal malformation were not significantly correlated with pregnancy outcome (P>0.05 for all).

Conclusion

When fetal bilateral kidneys are hyperechogenic, CMD absence/reversal and medullary echogenicity are significantly associated with adverse pregnancy outcomes, and significantly increase the risk of fetal mortality and long-term kidney impairment.

Cite this article

Dongqing Xie , Honghui Zhou , Yanping Lu , Hong Xu , Qiuyang Li , Xiaoqing Li , Xinyue Zhang , Lin Yan , Longxia Wang . Relationship between prenatal ultrasonographic characteristics of fetal bilateral hyperechogenic kidneys and pregnancy outcomes[J]. Chinese Journal of Medical Ultrasound (Electronic Edition), 2022 , 19(05) : 422 -427 . DOI: 10.3877/cma.j.issn.1672-6448.2022.05.006

胎儿肾回声增强是一种异质性疾病,它有多种潜在病因和不同的预后1, 2, 3, 4, 5,随着超声技术的发展,其在宫内的识别率越来越高6,成为产前超声的一个挑战。研究肾回声增强的产前超声声像图的不同特征与预后的相关性,可为临床和产前咨询提供有价值的影像学支持。本研究回顾性分析解放军总医院第一医学中心产前超声诊断的26例胎儿双侧肾回声增强病例的超声表现、染色体核型、基因检测结果及妊娠结局,探讨胎儿肾回声增强的产前超声表现与妊娠结局的相关性。

资料与方法

一、对象

2015年1月至2018年12月在解放军总医院第一医学中心进行产前超声检查者20 345例,其中胎儿双侧肾回声增强28例,失访2例,随访26例,其中外院转诊孕妇22例(84.6%,22/26)。

二、仪器与方法

1. 仪器:采用美国GE公司VolusonE8、飞利浦EPQ7、迈瑞Resone-8T超声诊断仪,腹部探头,探头频率为2.0~5.0 MHz。
2. 超声诊断方法:所有超声检查先由具有产前筛查资质的超声科医师执行,发现问题后转诊至具有产前诊断资质超声医师。参照国际妇产科超声学会的产科常规超声应用指南,依次对胎儿不同系统器官及胎儿附属物(羊水、胎盘、脐带)进行常规测量。胎儿肾检查内容包括双侧肾大小、形态、皮髓质回声、皮髓质分界、集合系统以及有无囊肿。肾皮质回声高于肝脾回声,诊断为肾回声增强17。早中孕期及晚孕期分别采用羊水最大垂直深度(maximum vertical pocket,MVP)或羊水指数(amniotic fluid index,AFI)评价羊水量,羊水量异常超声诊断标准8:MVP≥8 cm或AFI≥25 cm提示羊水过多;MVP≤2 cm或AFI≤5 cm诊断为羊水过少。肾体积异常诊断标准9, 10(双侧肾体积明显不一致时,统计归类取远离正常值的肾体积):通过矢状面测量肾长轴,或者计算肾体积(长×宽×厚×
 π/6
),显著增大为>97th百分位,显著缩小为<3th百分位。根据既往研究811皮髓质分界清晰定义为正常,皮髓质分界模糊、缺失或者回声倒置定义为异常;将髓质回声低-无回声定义为正常,高回声以及囊性变定义为异常。
记录胎儿颈项透明层及颈背部皮肤厚度以及其他筛查结果,如染色体核型和(或)全外显子基因检测结果。
3. 随访:通过病例资料查询或电话随访,记录孕妇年龄、孕产史、家族史、孕期胎儿颈项透明层超声检查情况、发现肾回声增强的孕周,追踪妊娠结局(引产/死亡或存活),是否行产前诊断、引产/分娩后核型检测及相关基因检测、胎儿出生后情况等。

三、统计学分析

采用SPSS 23.0软件进行统计分析。年龄为符合正态分布的计量资料,采用
x¯
±s表示;孕周为不符合正态分布的计量资料,以平均数表示。超声征象和妊娠结局为计数资料,采用例数表示,采用Fisher精确概率检验对不同妊娠结局孕妇的超声特征进行组间比较,不同超声征象与妊娠结局相关性采用Spearman相关分析。P<0.05为差异具有统计学意义。

结果

一、一般临床资料

孕妇年龄为(30±4.3)岁(范围23~42岁),超声诊断肾回声增强的孕周为17~38周,平均26+6周,具有不良孕史者9例,有多囊肾家族史者2例。

二、产前超声诊断

皮髓质分界清晰者10例,皮髓质缺失/倒置者16例,髓质回声正常者9例,髓质回声增强/囊性变者16例,羊水过少者11例,合并肾外畸形者12例,肾体积大致正常者19例,显著异常者7例。肾大小范围1.7 cm×0.7 cm×0.9 cm~6.3 cm×3.6 cm ×3.6 cm。1例孕33周的转诊病例双侧肾不对称性增大(图1),右侧肾体积明显增大,皮髓质分界存在,皮质回声增强;左侧肾体积轻度增大,皮髓质分界缺失,实质可见多发大小不等的囊性结构;尸检与产前超声表现一致,右肾大小:5.2 cm×3.5 cm×2.6 cm,形态规整,表面光滑,左肾大小:3.8 cm×3.0 cm×2.2 cm,表面呈颗粒状,该病例PKHD1基因突变,同时合并17q12微缺失。余病变者两侧肾大小及超声表现大致相同(图2, 3, 4)。
图1 孕33周胎儿肾超声声像图。图a超声声像图示右侧肾体积明显增大,皮髓质分界清晰,皮质回声增强;左侧肾体积轻度增大,皮髓质分界模糊,实质可见多发大小不等的囊性结构;图b为胎儿肾大体观

注:RK为右肾,LK为左肾

图2 孕36周胎儿肾超声声像图。双侧肾回声增强,皮髓质分界清晰,髓质回声低于皮质回声

注:RK为右肾

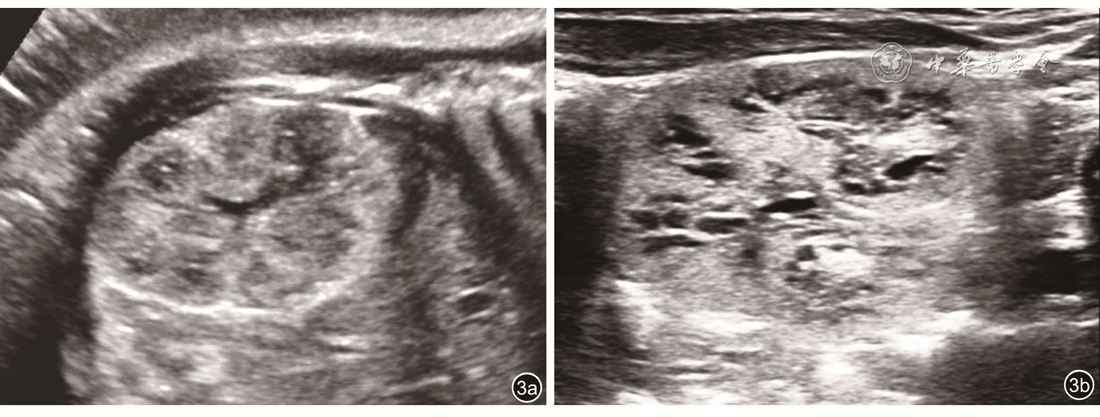
图3 孕38周胎儿肾超声声像图。双侧肾回声增强,皮髓质分界清晰,髓质扩张并囊性变。图a为产前声像图,图b为产后声像图,产前产后声像图表现一致。取脐带血行染色体核型分析未见异常
图4 孕28周胎儿肾超声声像图。双肾横切面显示体积明显增大,回声增强,皮髓质回声倒置,髓质回声高于皮质回声。基因检测为PKHD1基因突变
合并肾外异常者12例,其中5例合并2种以上肾外异常,合并心脏异常者3例(25%)、单脐动脉3例(25%)、神经系统异常2例(8%,表1)。
表1 12例肾回声增强合并肾外畸形的分类
类型 例(%) 类型 例(%)
心脏 3(25) 骨骼 1(4)
单脐动脉 3(25) 完全性内脏转位 1(4)
神经系统 2(8) 肝多发囊肿 1(4)
胎儿宫内发育迟缓 2(8) 胎儿水肿 1(4)
唇腭裂 2(8) 颈项透明层增厚 1(4)
消化道 1(4) 后尿道瓣膜 1(4)

三、基因检测及染色体核型结果

20例行核型或基因检测,5例为孕期通过羊水或脐带血穿刺行染色体核型检测,11例取引产后胎儿组织或活产儿静脉血采用基因捕获及二代测序技术进行突变基因检测,并进行先证者静脉血和(或)夫妻双方静脉血基因检测,11例(包括9例有2次及2次以上妊娠胎儿双肾回声增强病史的病例)发现致病的突变基因,PKHD1基因突变者3例,TMEM67基因突变者2例,CC2D2ANPHP3PKD1ACEANKS6LAMB2基因突变者各1例,1例PKHD1基因突变的胎儿同时合并17q12微缺失,缺失1.5 Mb片段。9例有不良孕史者中7例找到突变基因,分别是:2例PKHD1基因突变,PKD1TMEM67CC2D2ANPHP3ACE基因突变各1例。另有1例合并前脑无裂畸形的胎儿诊断为13-三体。基因或者核型异常者中羊水过少6例。

四、妊娠结局及活产儿随访情况

26例中18例引产,其中15例行核型或基因检测,3例因社会因素拒绝进一步检查,但是产前诊断预后不良,家属产前咨询后均同意引产。8例妊娠足月分娩,1例新生儿期因肾衰竭死亡,7例存活良好。截止到2019年10月,电话随访活产儿11个月~3岁10个月,排尿及生长发育均正常,其中2例胎儿生后肾超声检查未见异常,1例生后1 d的肾超声和产前超声声像图表现一致,均表现为双肾实质回声增强,皮髓质分界清晰,髓质囊性变,余4例生后未行肾超声检查。
1. 皮髓质分界:皮髓质分界存在的10例,其中髓质回声正常9例,6例存活良好,3例产前诊断预后不良引产;髓质回声异常的1例,存活良好。皮髓质分界缺失的14例,髓质回声均表现异常,产前诊断预后不良均引产。皮髓质分界倒置的2例,髓质回声均表现异常,1例产前诊断预后不良引产,1例新生儿期死亡。
2. 羊水量:羊水量正常的15例,其中6例生存良好,8例因合并其他系统疾病,产前诊断预后不良引产,1例新生儿期死亡;羊水过少的11例,其中生存良好1例,其余10例因产前诊断预后不良引产,包括6例基因或核型异常者。
3. 肾体积:肾体积大致正常的19例,其中6例生存良好,12例产前诊断预后不良引产,1例新生儿期死亡;肾体积显著增大/缩小7例,6例产前诊断预后不良引产,1例生存良好。
皮髓质分界及髓质回声在存活组和引产/死亡组差异具有统计学意义(P均<0.05,表2)。羊水量、肾体积、有无囊肿、是否合并肾外异常方面,存活组和引产/死亡组间差异均无统计学意义(P均>0.05,表2)。相关分析显示,皮髓质分界、髓质回声与妊娠结局及预后有显著相关性(r=0.768、0.652,P均<0.01),而羊水量、肾体积、有无囊肿、是否合并肾外异常与妊娠结局及预后无相关性(r=0.344、0.173、0.173、0.169,P均>0.05)。
表2 双侧肾回声增强病例的不同妊娠结局组间的产前超声特征比较(例)
组别 例数 皮髓质分界 髓质回声 羊水量 肾体积 肾囊肿 合并肾外异常
清晰 模糊/倒置 正常 不正常 过少 正常 大致正常 显著异常
存活组 7 7 0 6 1 1 6 6 1 1 6 2 5
引产/死亡组 19 3 16 3 16 10 9 13 6 6 13 9 10
P <0.001 0.002 0.178 0.629 0.629 0.658

注:组间比较采用Fisher确切概率法

讨论

肾发育是由输尿管芽和后肾间质之间的相互作用及输尿管芽的不断分支,最终发育形成肾单位的模式,这一过程任何步骤受到干扰都可能导致泌尿生殖道先天性异常或肾功能缺陷12, 13。胎儿肾回声增强与囊肿和扩张小管形成的众多界面反射有关14,它的病因多样,可能与遗传性肾病、某些遗传综合征和染色体微缺失微重复综合征相关15, 16,而产前超声不能确定胎儿高回声肾的病因,单凭肾回声增强来评估胎儿是否异常以及是否需要终止妊娠,目前没有专家共识。既往研究表明预后差与羊水过少显著相关2, 3517,但也有文献报道羊水过少与预后没有相关性18,所以寻找除回声增强外肾其他特征性的超声征象具有重要意义。
本研究发现一些妊娠结局不良的病例,羊水量及肾体积并无异常,而皮髓质分界消失或回声倒置的病例无一例存活,其中1例直至孕37周出现羊水量骤减,新生儿生后5 d发病,生后5个月死于肾功能衰竭。髓质回声正常的病例仅2例,分别因严重肾外畸形和ADPKD基因突变终止妊娠。髓质回声增强/囊性变者仅1例存活,且该病例于孕38周出现羊水过少,生产时行脐带血染色体核型检测未见异常,随访结束,该幼儿目前12个月,排尿及生长发育正常,但是生后肾超声检查结果与产前一致,髓质呈囊性变,因此不能排除远期肾功能损伤的风险。以上提示皮髓质分界及髓质回声是预后的重要指标,与既往研究481419, 20, 21一致。Carr等22对8例具有正常大小、正常皮髓质、正常羊水量的双侧高回声肾新生儿进行3年8个月的随访研究,63%的新生儿肾回声减弱或正常,表明皮髓质分界及髓质回声正常是预后良好的重要因素。
本研究中羊水过少者11例,仅占样本总量的42.3%(11/26),基因或者核型异常者中羊水过少者只有6例,仅占50%(6/12),羊水过少在存活组及妊娠结局不良组间差异无统计学意义,分析其原因大致如下:(1)胎儿早孕期羊水主要来源于母体血浆,通过胎膜渗透入羊膜腔,中孕期以后胎儿尿液才是羊水的主要成分,本研究孕妇来诊时孕周平均数为26+6周,这个时期即使胎儿排尿异常,羊水量也可能还在正常范围;(2)本研究中8例合并严重肾外异常,只有2例合并羊水过少,但是产前诊断预后明显不良,建议终止妊娠;(3)不排除样本量小等因素导致研究结果的偏倚。羊水量的变化是一个动态过程11,18~20周超声检查中发现羊水过少者,新生儿期死亡率很高23。本研究同样发现羊水过少出现越早,且持续减少,预后越差。然而,在某些情况下,羊水过少可能代表一个正常的变异7
孕中晚期胎儿及出生后儿童及成人正常肾应该具有典型的皮髓质分界,当皮髓质分界异常时,提示肾发育异常,文献报道皮髓质分界异常是先天性肾囊性病变的超声特征性表现24,文献通过对比正常成人及慢性肾病患者的皮髓质分界及髓质回声,发现皮髓质分界异常是慢性肾病的影像学特征之一,皮髓质分界与血清肌酐水平具有相关关系,它能早期反映肾的功能状态25。所以,无论羊水量有无异常,产前超声一旦发现胎儿肾回声增强,且合并皮髓质分界及髓质回声异常,均提示儿童期甚至围产期发生终末期肾病的高风险。
本研究有一些局限性,它是回顾性研究,对存活患者随诊时间不够长,且没有存活者肾活检资料,难以全面评估存活病例的肾情况。哪些因素可以导致羊水过少还有待进一步的研究。
胎儿双侧肾回声增强是一种异质性表现,虽然诊断还需要结合产前影像检查、染色体检测或基因检测等其他实验室检查方能明确诊断,但是产前超声系统筛查和动态观察可以对胎儿预后作出基本预测,为临床诊断提供重要参考依据。综上所述,胎儿双侧肾回声增强时,皮髓质分界缺失/回声倒置及髓质回声异常与不良妊娠结局显著相关,可增加胎儿死亡率和远期肾功能损害的风险。
1
Mashiach R, Davidovits M, Eisenstein B, et al. Fetal hyperechogenic kidney with normal amniotic fluid volume: a diagnostic dilemma [J]. Prenat Diagn, 2005, 25(7): 553-558.

2
Kumar M, Thakur S, Puri A, et al. Fetal renal anomaly:factors that predict survival [J]. J Pediatr Urol, 2014, 10(6): 1001-1007.

3
Tsatsaris V, Gagnadoux MF, Aubry MC, et al. PrenatM diagnosis of bilateral isolated fetal hypereehogenic kidneys.Is it possible to predict long term outcome? [J]. BJOG, 2002, 109(12): 1388-1393.

4
Avni FE, Garel C, Cassart M, et al. Imaging and classification of congenital cystic renal diseases [J]. AJR, 2012, 198(5): 1004‐1013.

5
Shuster S, Keunen J, Shannon P, et al. Prenatal detection of isolated bilateral hyperechogenic kidneys: etiologies and outcomes [J]. Prenat Diagn, 2019, 39(9): 693-700.

6
Levi S. Mass screening for fetal malformations: the eurofetus study [J]. Ultrasound Obstet Gynecol, 2003, 22(6): 555-558.

7
陈俊雅. 胎儿泌尿系统异常的诊断与处理——泌尿系统原发性发育异常 [J]. 中国医刊, 2015, 50(8): 3-6.

8
Brun M, Maugey-Laulom B, Eurin D, et al. Prenatal sonographic patterns in autosomal dominant polycystic kidney disease: a multicenter study [J]. Ultrasound Obstet Gynecol, 2004, 24(1): 55-61.

9
Chitty LS, Altman DG. Charts of fetal size: kidney and renal pelvis measurements [J]. Prenat Diagn, 2003, 23(11): 891-897.

10
van Vuuren SH, Damen-Elias HA, Stigter RH, et al. Size and volume charts of fetal kidney, renal pelvis and adrenal gland [J]. Ultrasound Obstet Gynecol, 2012, 40(6): 659-664.

11
Avni FE, Hall M. [Fetal nephropathies] [J]. Arch Pediatr, 2006, 13(6): 721-723.

12
Capone VP, Morello W, Taroni F, et al. Genetics of congenital anomalies of the kidney and urinary tract: the current state of play [J]. Int J Mol Sci, 2017, 18(4): 796.

13
dos Santos Junior ACS, de Miranda DM, Simões e Silva AC. Congenital anomalies of the kidney and urinary tract: an embryogenetic review [J]. Birth Defects Res C Embryo Today, 2014, 102(4): 374‐381.

14
Garel J, Lefebvre M, Cassart M, et al. Prenatal ultrasonography of autosomal dominant polycystic kidney disease mimicking recessive type: case series [J]. Pediatr Radiol, 2019, 49(7): 906-912.

15
Donnelly JC, Platt LD, Rebarber A, et al. Assoeiation of copy number variants with specific ultrasonographically detected fetal anomalies [J]. Obstet Gynecol, 2014, 124(1): 83-90.

16
张鑫悦, 谢潇潇, 汪淑娟, 等. 1例妊娠晚期胎儿双肾回声增强产前诊断及家系遗传学分析 [J]. 解放军医学院学报, 2018, 39(10): 73-76, 88.

17
Aulbert W, Kemper MJ. Severe antenatally diagnosed renal disorders: background, prognosis and practical approach [J]. Pediatr Nephrol, 2016, 31(4): 563-574.

18
Yulia A, Napolitano R, Aiman A, et al. Perinatal and infant outcome in prenatally diagnosed hyperechogenic kidneys [J]. Ultrasound Obstet Gynecol, 2021, 57(6): 953-958.

19
Chaumoitre K, Brun M, Cassart M, et al. Differential diagnosis of fetal hyperechogenic cystic kidneys unrelated to renal tract anomalies: a multicenter study [J]. Ultrasound Obstet Gynecol, 2006, 28(7): 911-917.

20
Nicolau C, Torra R, Badenas C, et al. Sonographic pattern of recessive polycystic kidney disease in young adults. Differences from the dominant form [J]. Nephrol Dial Transplant, 2000, 15(9): 1373-1378.

21
Callen PW. 妇产科超声学 [M]. 常才, 戴晴, 谢晓燕, 译. 5版. 北京: 人民卫生出版社, 2010: 569-570.

22
Carr MC, Benacerraf BR, Estroff JA, et al. Prenatally diagnosed bilateral hyperechoic kidneys with normal amniotic fluid: postnatal outcome [J]. J Urol,1995, 153(2): 442-444.

23
Talati AN, Webster CM, Vora NL. Prenatal genetic considerations of congenital anomalies of the kidney and urinary tract (CAKUT) [J]. Prenat Diagn, 2019, 39(9): 679-692.

24
Avni FE, Garel C, Cassart M, et al. Imaging and classification of congenital cystic renal diseases [J]. AJR Am J Roentgenol, 2012, 198(5): 1004-1013.

25
裴新龙, 谢敬霞, 李选, 等. 慢性肾病肾脏皮髓质分界的MRI研究 [J]. 临床放射学杂志, 2007, 26(4): 358-361.

Outlines

/

Copyright © Chinese Journal of Medical Ultrasound (Electronic Edition), All Rights Reserved.
Tel: 010-51322630、2632、2628 Fax: 010-51322630 E-mail: csbjb@cma.org.cn
Powered by Beijing Magtech Co. Ltd