Home    中文  
 
  • Search
  • lucene Search
  • Citation
  • Fig/Tab
  • Adv Search
Just Accepted  |  Current Issue  |  Archive  |  Featured Articles  |  Most Read  |  Most Download  |  Most Cited
Case Report

Migration of coronary stent resembling an aortic root mass: a case report

  • Wenxia Zhou 1 ,
  • Xiang Li 1 ,
  • Yujia Liang , 1
Expand

Received date: 2021-01-07

  Online published: 2022-08-18

Copyright

Copyright by Chinese Medical Association No content published by the journals of Chinese Medical Association may be reproduced or abridged without authorization. Please do not use or copy the layout and design of the journals without permission. All articles published represent the opinions of the authors, and do not reflect the official policy of the Chinese Medical Association or the Editorial Board, unless this is clearly specified.

Cite this article

Wenxia Zhou , Xiang Li , Yujia Liang . Migration of coronary stent resembling an aortic root mass: a case report[J]. Chinese Journal of Medical Ultrasound (Electronic Edition), 2022 , 19(08) : 868 -869 . DOI: 10.3877/cma.j.issn.1672-6448.2022.08.027

患者,女性,58岁,当地医院超声心动图检查发现主动脉异常占位,为进一步明确诊断于2020年6月来四川大学华西医院就诊。患者2019年2月因冠状动脉粥样硬化性心脏病,左冠状动脉前降支开口狭窄95%,中段狭窄60%于当地医院接受了经皮冠状动脉支架植入(percutaneous coronary intervention,PCI)术。术后偶有胸闷,余无明显不适。2019年6月生化检查:脑钠肽前体(Pro-BNP)274.10 pg/ml(正常参考值范围0.00~300.00 pg/ml),心电图提示窦性心动过缓(心率50次/分)。2020年6月就诊华西医院行常规经胸超声心动图(transthoracic echocardiography,TTE)检查,胸骨旁长轴切面可见主动脉根部一强回声占位(图1),胸骨旁短轴切面(图2)和经食管超声心动图(transesophageal echocardiography,TEE)短轴切面(图3)及三维TEE短轴切面(图4)均可见左冠状动脉主干管腔内总长度约30 mm、内径约2.6 mm的双线状支架样结构,一端位于左冠状动脉前降支开口处,另一端伸入主动脉根部管腔内约17 mm,彩色多普勒血流成像(colour Doppler flow imaging,CDFI)显示支架内血流通畅。左冠状动脉前降支近段内径约1.4 mm,右冠状动脉主干近段内径约2.0 mm。主动脉瓣开闭活动未受影响。二维斑点追踪超声心动图左心室整体纵向应变(global longitudinal systolic,GLS)牛眼图分析显示左心室收缩功能正常,无节段性室壁运动异常(图5)。
图1 经胸超声心动图胸骨旁长轴切面可见主动脉根部一强回声占位(箭头所示)图2 经胸超声心动图胸骨旁短轴切面显示左冠状动脉内支架突入主动脉根部管腔内(箭头所示)

注:LCA为左冠状动脉

图3 经食管超声心动图短轴切面显示左冠状动脉内支架突入主动脉根部管腔内(箭头所示)图4 三维经食管超声心动图显示左冠状动脉内支架突入主动脉根部管腔内

注:AO为主动脉

图5 二维斑点追踪超声心动图左心室整体纵向应变牛眼图示左心室收缩功能正常,无节段性室壁运动异常
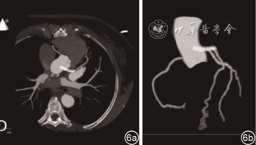
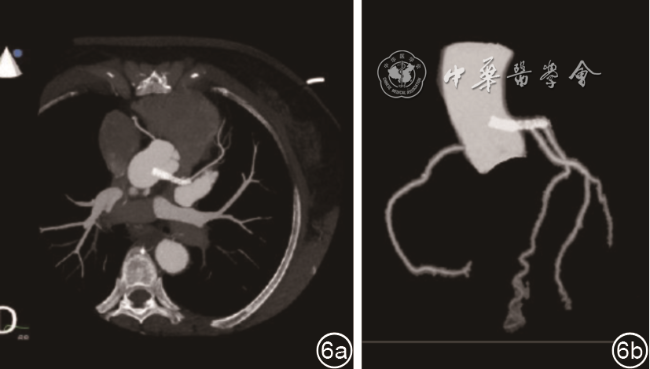
考虑患者曾行PCI手术,因此推测超声显示的双线状强回声可能是移位的冠状动脉支架。冠状动脉CT血管造影亦证实了超声心动图的诊断,CT检查见左冠状动脉内支架呈高密度结构,由左冠状动脉内突入主动脉根部管腔内,支架管腔通畅,未见狭窄及充盈缺损,前降支各段管腔偏细(图6)。
图6 冠状动脉CT血管造影检查示左冠状动脉内支架部分突入主动脉根部管腔内,前降支各段管腔偏细(图a为左冠状动脉主干层面成像;图b为冠状动脉CT三维重建图像)

讨论

冠状动脉粥样硬化性心脏病对于冠状动脉开口处病变,通常会全覆盖安放支架,支架常突出主动脉腔约1~2 mm。但开口病变部位的支架精确定位并不容易,部分开口病变支架可能会突出主动脉腔偏长1。本例患者突出主动脉腔的支架长度超出了支架总长度的一半,从影像学检查角度分析,原因可能在于病变冠状动脉前降支开口处,位置较高,距离主动脉-冠状动脉开口较近,所以支架突出较长;其次,术后当地医院的超声心动图检查结果提示,支架突出主动脉腔的长度逐渐变长,因此考虑存在支架移位的可能。冠状动脉支架突出主动脉腔过长,若发生支架内再狭窄或支架远端血管狭窄,需要再次PCI干预时,导管往往难以植入到位,导丝亦难以进入支架中心腔2。本例患者目前无特殊临床症状,超声心动图CDFI显示支架内血流通畅,因此暂不需要手术,仅需加强抗凝药物治疗,以降低支架内血栓发生率。由于支架内径大于前降支内径,后期冠状动脉是否会受累,支架内是否再狭窄或前降支远端管腔是否狭窄,以及支架突出主动脉腔过长是否会影响周围组织如主动脉瓣叶活动或导致主动脉内壁破坏3,仍需要密切随访关注。
本病例提示,移位的支架也可能为超声发现主动脉根部异常回声的原因,但需与主动脉粥样斑块、感染性赘生物及主动脉瓣腱索线等相鉴别。移位支架患者有冠心病PCI史,超声可见主动脉根部冠状动脉开口处双线状回声,追踪探查可发现由冠状动脉延续而至。主动脉粥样斑块,常为退行性变,通常附着于主动脉瓣或窦管交界处内壁,超声表现形态不规则,位置较固定,附着面为较宽的斑片状或团状强回声,冠状动脉开口处回声正常。感染性赘生物常有临床发热病史,超声可见主动脉瓣上有形态不规则回声团,常附着于流出道面,且随瓣叶活动而活动,可致主动脉瓣膜狭窄或反流,甚至主动脉根部脓肿形成,听诊可闻及杂音,超声心动图尤其TEE可明确。另需鉴别的是主动脉瓣腱索线,其是连接于主动脉瓣和主动脉壁之间的纤维条带样结构,常见于二叶式主动脉瓣,超声表现为条索状光带回声,可多条,也可单条,断裂后可有主动脉瓣反流4。在超声心动图检查中,患者的病史回顾和多角度观察,尤其对主动脉根部、冠状动脉的多切面扫查,对本病的诊断及鉴别诊断具有重要意义。
1
中国经皮冠状动脉介入治疗指南. 中华心血管病杂志[J]. 2021, 44(5): 382-400.

2
Desai AR, Avula S, Rashid J. What's that in the aorta? A case of asymptomatic dislodged ostial right coronary artery stent that was noted as an echodense material in the aortic valve on transesophageal echocardiogram[J]. Cureus, 2021, 13(7): e1612.

3
Kim JW, Kim W. Unintentional extraction of a coronary stent deployed two months prior during a dislodged left main stent retrieval [J]. Int J Cardiol, 2012, 156(2): e45-e48.

4
Wei X, Zhou W, Feng Y. Special aortic chordae tendineae strand causing severe aortic regurgitation treated by transcatheter aortic valve replacement [J]. JACC Cardiovasc Interv, 2021, 14(19): e267-e269.

Outlines

/

Copyright © Chinese Journal of Medical Ultrasound (Electronic Edition), All Rights Reserved.
Tel: 010-51322630、2632、2628 Fax: 010-51322630 E-mail: csbjb@cma.org.cn
Powered by Beijing Magtech Co. Ltd