Home    中文  
 
  • Search
  • lucene Search
  • Citation
  • Fig/Tab
  • Adv Search
Just Accepted  |  Current Issue  |  Archive  |  Featured Articles  |  Most Read  |  Most Download  |  Most Cited
Case Report

Misdiagnosis of intrascrotal hibernoma in a child by ultrasonography

  • Ting Gong 1 ,
  • Haitao Huang 1 ,
  • Mei Jin , 1
Expand

Received date: 2021-04-27

  Online published: 2022-11-17

Copyright

Copyright by Chinese Medical Association No content published by the journals of Chinese Medical Association may be reproduced or abridged without authorization. Please do not use or copy the layout and design of the journals without permission. All articles published represent the opinions of the authors, and do not reflect the official policy of the Chinese Medical Association or the Editorial Board, unless this is clearly specified.

Cite this article

Ting Gong , Haitao Huang , Mei Jin . Misdiagnosis of intrascrotal hibernoma in a child by ultrasonography[J]. Chinese Journal of Medical Ultrasound (Electronic Edition), 2022 , 19(10) : 1148 -1150 . DOI: 10.3877/cma.j.issn.1672-6448.2022.10.025

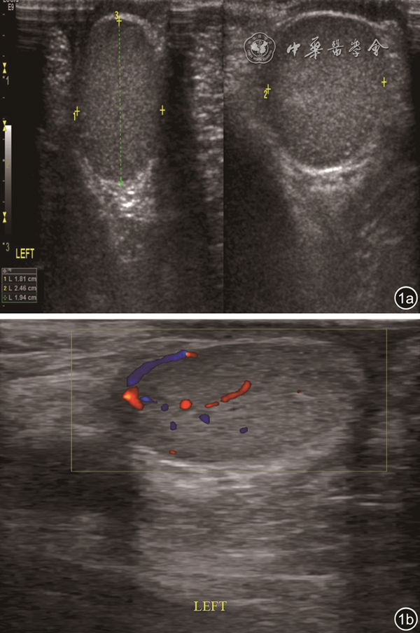
患儿,男性,7岁,因发现左侧阴囊内无痛性包块1 d于2021年1月到成都市妇女儿童中心医院就诊,否认阴囊外伤及感染病史。体格检查:左右阴囊不对称,左侧阴囊内触及一包块,大小约3 cm×2 cm×1 cm,质硬,表面稍凹凸不平,活动可,边界清楚,无触痛。双侧腹股沟区近阴囊处可扪及睾丸样物,牵拉后可置于阴囊,松手后立即回缩。实验室检查:甲胎蛋白19.3 ng/ml、铁蛋白1.4 ng/ml。超声检查所见:左侧阴囊内查见一卵圆形回声团,大小约2.4 cm×1.8 cm×1.9 cm,边界清楚,形态规则,实质回声不均匀,以等回声为主,可见散在沙砾样钙化(图1a);彩色多普勒血流成像(color Doppler flow imaging,CDFI)显示病灶内部较丰富血流信号(图1b);频谱多普勒可测得动脉及静脉频谱;双侧腹股沟中份查见睾丸样回声;双侧腹股沟区可见淋巴结样回声。超声提示:左侧阴囊内实性占位,考虑睾丸肿瘤。CT检查平扫示:左侧阴囊内侧见一类圆形混杂密度灶,脂肪密度为主,CT值约-37HU,其内见点状稍高密度影,病灶边界尚清(图2a);增强扫描其内见絮状轻度强化影(图2b)。遂行左侧阴囊内肿物切除术,术中发现左侧睾丸位于同侧腹股沟区,左侧阴囊下极可见一椭圆形包块,大小约3 cm×2 cm×1 cm,质硬,表面光滑,活动可,边界清楚,与精索近端稍粘连,右侧睾丸位于同侧腹股沟区。术后病理结果:肿瘤界清,小叶状或片状排列,瘤细胞类圆形或多边形,胞膜厚,胞浆丰富,嗜伊红,颗粒状,呈细小的多空泡状,核小而圆,深染、居中(图3)。免疫组化结果:S-100(+)(图4)。最终诊断:冬眠瘤。术后随访1个月,患儿一般情况良好,未见肿瘤复发。
图1 左侧阴囊冬眠瘤超声图像。图a为二维超声示边界清楚的卵圆形肿块中见散在沙砾样钙化;图b为彩色多普勒血流成像示肿块内部较丰富血流信号
图2 左侧阴囊冬眠瘤CT平扫及增强图像。图a为CT平扫图像示左侧阴囊内侧见一类圆形混杂密度灶,脂肪密度为主;图b为CT增强图像示肿块内见絮状轻度强化影(红色箭头示左侧阴囊内肿块)
图3 左侧阴囊冬眠瘤病理图片(红色箭头示肿瘤细胞,HE ×40)
图4 左侧阴囊冬眠瘤免疫组化示S-100(+)

讨论

冬眠瘤是一种罕见的良性软组织肿瘤,起源于胎儿残留的棕色脂肪组织,因此也称为棕色脂肪瘤,约占所有良性脂肪肿瘤的1.6%1。1906年由Merkel等首先报道,称其为假脂肪瘤,因组织学与冬眠动物棕色脂肪组织相似,于1914年被Gery命名为冬眠瘤2。本病发病机制至今尚不明确,感染、创伤等可能是破坏棕色脂肪组织或基因的潜在因素,也有可能与染色体11q13异常有关3。本例患儿自述无阴囊外伤及感染病史。
冬眠瘤可发生于任何年龄,多见于20~40岁成年男性,儿童发病少见,年龄最小者1个月4, 5, 6。截至2016年,本病报道的病例数全球不到250例7,数量最多的是由Furlong等4报道的170例,其中18岁以下的患者仅9例(5.3%)。冬眠瘤多为单发,好发于新生儿期棕色脂肪残留部位,如头颈部、肩部、腋窝,也可发生于大腿、纵隔、喉、外阴等罕见部位8, 9, 10, 11, 12, 13,本例发生于阴囊。冬眠瘤最大径可介于1~24 cm,平均大小9.3 cm4,本例肿块最大径3 cm。冬眠瘤生长缓慢,临床表现多为无痛性软组织肿块,早期无明显症状或体征,当肿瘤较大时,可引起疼痛或压迫症状2。有文献指出8,纳入的10例儿童冬眠瘤病例均为良性且无临床症状,本例患儿临床表现与文献报道一致。
超声是诊断儿童体表包块的首选影像学检查方法,除观察包块的边界、回声、血供外,还可了解周围毗邻关系。文献报道139, 10, 11, 12冬眠瘤缺乏典型的超声特点,二维超声可表现为边界清楚的低回声、等回声亦或高回声肿块,肿块内部回声可均匀或不均匀,由于棕色脂肪组织内含有较丰富的毛细血管,因此CDFI显示肿块内血流信号较丰富。本例患儿以阴囊包块就诊,分析超声误诊的原因如下:(1)儿童阴囊内肿物常以畸胎瘤、卵黄囊瘤、白血病及淋巴瘤导致的睾丸浸润、副中肾管囊肿等疾病多见,本病实属罕见,易被超声医师忽视;(2)本例患儿以无痛性症状就诊,触诊时包块质地较硬;(3)超声声像图示实性肿块中见散在沙砾样钙化,且CDFI显示病灶内部较丰富血流信号,双侧腹股沟区可见淋巴结样回声,上述表现使得超声提示倾向于睾丸肿瘤。
总之,冬眠瘤临床症状及超声表现缺乏特异性,病理及免疫组化检查是确诊的金标准。由于冬眠瘤富含血管,为避免出血,不主张穿刺活检。该病治疗首选手术切除,术中完整切除肿块一般不易复发。术后复发可能与术中肿瘤切除不彻底有关14。本例患儿术后1个月,未见复发,但仍有待长期随访。
1
Daubner D, Spieth S, Pablik J, et al. Hibernoma-two patients with a rare lipoid soft-tissue tumour [J]. BMC Med Imaging, 2015, 15(1): 1-6.

2
Guidry CA, Mcgahren ED, Rodgers BM, et al. Pediatric cervicomediastinal hibernoma: A case report [J]. J Pediatr Surg, 2013, 48(1): 258-261.

3
Huang C, Zhang L, Hu X, et al. Femoral nerve compression caused by a hibernoma in the right thigh: a case report and literature review [J]. BMC Surg, 2021, 21(1): 30.

4
Furlong MA, Fanburg-Smith JC, Miettinen M. The morphologic spectrum of hibernoma: a clinicopathologic study of 170 cases [J]. Am J Surg Pathol, 2001, 25 (6): 809-814.

5
Baskurt E, Padgett DM, Matsumoto JA. Multiple hibernomas in a 1-month-old female infant [J]. Ajnr Am J Neuroradiol, 2004, 25(8): 1443-1445.

6
Evers LH, Gebhard M, Lange T, et al. Hibernoma-case report and literature review [J]. Am J Dermatopathol, 2009, 31(7): 685-686.

7
Greenbaum A, Coffman B, Rajput A. Hibernoma: Diagnostic and surgical considerations of a rare benign tumour [J]. BMJ Case Rep, 2016, 2016: bcr2016217625.

8
Attar ZB, Muzaffffar S. An unusual case of congenital benign hibernoma [J]. J Coll Physicians Surg Pak, 2006, 16(3): 237-238.

9
Hardes J, Scheil‐Bertram S, Hartwig E, et al. Sonographic findings of hibernoma. A report of two cases [J]. J Clin Ultrasound, 2010, 33(6): 298-301.

10
Anderson SE, Schwab C, Stauffer E, et al. Hibernoma: imaging characteristics of a rare benign soft tissue tumor [J]. Skeletal Radiol, 2001, 30(10): 590-595.

11
Chen CL, Chen WC, Chiang JH, et al. Interscapular hibernoma: case report and literature review [J]. Kaohsiung J Med Sci, 2011, 27(8): 348-352.

12
Cain RB, Zarka MA, Hinni ML, et al. Laryngeal hibernoma: case series of a rare tumor [J]. Head Neck, 2014, 36(4): E39-E43.

13
Zhao JM, Tafti D, Kao E, et al. A rare case of vulvar hibernoma treated with resection [J]. Cureus, 2020, 12(7): e9111.

14
Beals C, Rogers A, Wakely P, et al. Hibernomas: a single-institution experience and review of the literature [J]. Med Oncol, 2014, 31(1): 769.

Outlines

/

Copyright © Chinese Journal of Medical Ultrasound (Electronic Edition), All Rights Reserved.
Tel: 010-51322630、2632、2628 Fax: 010-51322630 E-mail: csbjb@cma.org.cn
Powered by Beijing Magtech Co. Ltd