Home    中文  
 
  • Search
  • lucene Search
  • Citation
  • Fig/Tab
  • Adv Search
Just Accepted  |  Current Issue  |  Archive  |  Featured Articles  |  Most Read  |  Most Download  |  Most Cited
Case Report

Ultrasound diagnosis of isolated left subclavian artery in a newborn: a case report and literature review

  • Guishuang Xiang , 1 ,
  • Yanting Wen 1 ,
  • Ting Liu 1
Expand

Received date: 2021-05-30

  Online published: 2023-01-10

Copyright

Copyright by Chinese Medical Association No content published by the journals of Chinese Medical Association may be reproduced or abridged without authorization. Please do not use or copy the layout and design of the journals without permission. All articles published represent the opinions of the authors, and do not reflect the official policy of the Chinese Medical Association or the Editorial Board, unless this is clearly specified.

Cite this article

Guishuang Xiang , Yanting Wen , Ting Liu . Ultrasound diagnosis of isolated left subclavian artery in a newborn: a case report and literature review[J]. Chinese Journal of Medical Ultrasound (Electronic Edition), 2022 , 19(12) : 1424 -1426 . DOI: 10.3877/cma.j.issn.1672-6448.2022.12.024

新生儿,足月顺产,Apgar评分9分;产前羊水穿刺正常。2019年10月在成都市第五人民医院分娩后发现左手掌指端紫绀;体格检查:心肺听诊胸骨左缘第二肋间疑似连续性杂音;床旁心脏超声:右位主动脉弓,左位动脉导管未闭,大动脉水平右向左分流。出生后第4天,左手掌紫绀消失。复查心脏超声:心脏房室大小正常,房室连接、心室大动脉连接关系正常;主动脉弓位于气管右侧,弓上可见3个分支,依次为左颈总动脉、右颈总动脉、右锁骨下动脉(图1);左肺动脉起始部可见宽约0.4 cm管型动脉导管未闭,彩色多普勒显示导管内左向右分流(图2);追踪导管走行,导管与左锁骨下动脉延续(动态图1);左锁骨下动脉与主动脉弓无连接关系。进一步行颈部血管超声检查左侧椎动脉,可见椎动脉血流反向(图3)。超声诊断:右位主动脉弓,孤立性左锁骨下动脉,动脉导管未闭,先天性左锁骨下动脉窃血,先天性肺动脉窃血。患儿一般情况良好,于出生后第7天出院,嘱其3个月后复查心脏超声。
图1 孤立性左锁骨下动脉患儿出生后第4天超声心动图胸骨上窝主动脉弓长轴切面显示弓上3个分支

注:ARCH为主动脉弓;LCCA为左颈总动脉;RCCA为右颈总动脉;RSA为右锁骨下动脉

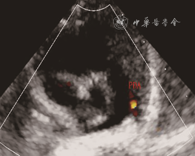
图2 孤立性左锁骨下动脉患儿出生后第4天超声心动图胸骨旁大动脉短轴切面显示左肺动脉起始部见动脉导管未闭,左向右分流

注:PDA为动脉导管

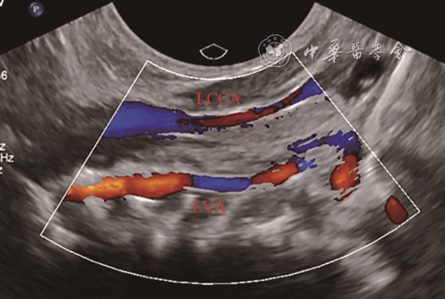
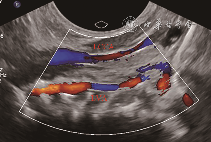
图3 孤立性左锁骨下动脉患儿出生后第4天颈部血管超声显示左侧椎动脉血流方向与左颈总动脉相反

注:LCCA为左颈总动脉;LVA为左椎动脉

动态图1 孤立性左锁骨下动脉患儿出生后第4天超声心动图显示动脉导管与左锁骨下动脉延续,左锁骨下动脉向肺动脉分流
出生后3个月,患儿右上肢血压85/60 mmHg(1 mmHg=0.133 kPa),左上肢血压62/40 mmHg。心脏超声及颈部血管超声复查,提示动脉导管闭合、左侧椎动脉血流反向。患儿进一步行CT血管造影(CT angiography,CTA)检查可见:主动脉右弓右降,弓部顺序发出左颈总动脉、右颈总动脉及右锁骨下动脉;左锁骨下动脉(约T1平面)逐渐变细呈线状,并于气管左侧走行至左肺动脉起始部平面显示不清。左肺动脉起始部可见鸟嘴样动脉导管残端显示(图4)。CTA诊断:右位主动脉弓,孤立性左锁骨下动脉。家属拒绝手术治疗,遂建议密切随访患儿左上肢发育。
图4 孤立性左锁骨下动脉患儿出生后3个月CT血管造影显示左锁骨下动脉靠近左肺动脉且与主动脉弓无连接;左肺动脉起始部可见鸟嘴样动脉导管残迹(箭头所示)

注:LSA为左锁骨下动脉;LCCA为左颈总动脉;RCCA为右颈总动脉;RSA为右锁骨下动脉;MPA为主肺动脉;LPA为左肺动脉;RPA为右肺动脉

分别于出生后6个月、12个月、18个月随访患儿,生长发育良好,双上肢等长、肌力正常,无脑部缺血症状。

讨论

右位主动脉弓发病率约为0.1%,主要包括3个亚型:镜像右位主动脉弓、右位主动脉弓伴左锁骨下动脉迷走、右位主动脉弓伴孤立性左锁骨下动脉(isolated left subclavical artery,ILSA)。其中ILSA极为少见,约占所有右位主动脉弓的0.8%1, 2。根据经典双弓理论3, 4,ILSA产生的机理在于胚胎期右位主动脉弓持续存在,左侧第四弓及背主动脉远端吸收退化,第七节间动脉移至导管弓水平;最终导致左锁骨下动脉与主动脉弓分离,通过动脉导管连接左肺动脉。
出生后,肺血管阻力的改变以及动脉导管的变化可引起一系列血流动力学改变。(1)动脉导管未闭:新生儿早期,肺动脉压力高于椎基底动脉和锁骨下动脉,肺动脉通过未闭的动脉导管向左锁骨下动脉分流,左上肢血供来源主要为肺动脉的低氧血。因此,本例新生儿分娩时表现为左手掌远端紫绀。新生儿后期,肺循环阻力逐渐减低,当肺循环阻力明显低于体循环压力时,肺动脉停止向左锁骨下动脉分流,椎动脉通过颅底动脉环窃血逆向灌注左锁骨下动脉,患儿左上肢血供来源为椎基底动脉高氧含量血,左上肢紫绀因此消失。同时,左锁骨下动脉通过动脉导管向肺动脉分流,形成先天性肺动脉窃血5, 6, 7。(2)动脉导管退化为动脉韧带:动脉导管闭合后,左锁骨下动脉通过椎基底动脉窃血维持左上肢的血流灌注,保障左上肢的发育。此外,左锁骨下动脉向肺动脉分流消失,左侧椎动脉从椎基底动脉环窃血血流量会相应减少,从而降低脑缺血的发生风险。
Leutmer等8文献回顾表明,超过半数(59%)的孤立性左锁骨下动脉伴发紫绀型先天性心脏病,其中以法洛四联症(tetralogy of Fallot,TOF)最常见。CT和数字减影血管造影(digital subtraction angiography,DSA)可以很好显示左锁骨下动脉起源以及与主动脉弓的关系,是诊断ILSA的金标准9, 10, 11。本例患儿CTA显示左锁骨下动脉起始端线状变细并靠近左肺动脉,左肺动脉起始部发出鸟嘴样动脉导管残端是孤立性左锁骨下动脉特征性改变。超声心动图可以比较准确地诊断心内结构畸形,但对于不伴心内结构畸形的ILSA超声诊断存在局限性。特别是动脉导管闭合后,由于纵隔遮挡及肺气干扰,很难显示左锁骨下动脉的起源;超声显示同侧椎动脉血流反向有助于提示本病。不过,通过本例患儿发现,新生儿纵隔透声性明显好于成人,使得超声可以更清晰显示主动脉弓上分支起源情况,这有助于明确本病诊断。ILSA患儿胸骨上窝主动脉弓长轴切面,可见异常排列的3个主动脉弓分支,依次为左颈总动脉、右颈总动脉、右锁骨下动脉。当合并动脉导管未闭时,在高位大动脉短轴切面,可以直接显示左锁骨下动脉通过动脉导管与左肺动脉的唯一连接关系。同时,彩色多普勒可以观察椎动脉血流方向以及左锁骨下动脉与肺动脉之间导管内血流分流方向,进一步明确是否存在锁骨下动脉窃血或肺动脉窃血。
大量文献证实,ILSA与染色体22q11缺失有关12, 13;但本病例产前羊水穿刺没有发现相关异常。ILSA的临床症状取决于合并心内结构异常的严重程度及导管开放状况14。在合并有肺动脉梗阻的患者如TOF,ILSA形成天然的B-T分流,可以保证肺部血流灌注,减轻紫绀;但肺动脉窃血和锁骨下动脉窃血可能存在诱发椎基底动脉功能不全和肺动脉高压的风险。理论上,左锁骨下动脉窃血由于灌注不足,可导致左上肢发育不良或缺血症状,也可能会引起头晕、视力下降等椎基底动脉供血不足等症状,但这种症状出现概率并不高。Luetmer等8的报道中,30例患者中仅有17%的患者出现左上肢缺血症状,另有5例伴有椎基底动脉缺血症状;尤其在小儿期,随着动脉导管闭合,大部分患儿往往并无异常表现,部分患者可能在成年后方才表现出明显症状;因此有学者认为不伴心内畸形的孤立性ILSA可以保守治疗,若伴有明显的肺动脉窃血患者,可以仅行动脉导管结扎手术即可取得满意效果4。不过,近年来更多学者认为,早期将锁骨下动脉再植入主动脉弓或其分支,可直接消除椎基底动脉功能不全和左上肢发育不良的风险,从远期来看对患者是更有利的715, 16
总之,孤立性左锁骨下动脉是一种罕见的主动脉弓分支畸形,其预后和处理取决于心内结构异常、血流动力学状态及相关临床症状。不合并心内畸形的孤立性左锁骨下动脉预后良好。超声可以在新生儿期对本病作出明确诊断。
1
Shuford WH, Sybers RG, Edwards FK. The three types of right aortic arch[J]. Am J Roentgenol Radium Ther Nucl Med, 1970, 109(1): 67-74.

2
Catton KG, Setty SP. Anomalous left subclavian artery from the pulmonary artery in a neonate[J]. Asian Cardiovasc Thorac Ann, 2018, 26(6): 476-478.

3
Stewart JR, Kincaid OW, Edwards JE. An atlas of vascular rings and related malformations of the aortic arch system[M]. Springfield, IL: Charles C.Thomas, 1964: 1-170.

4
Saktheeswaran MK, Krishnamoorthy KM, Sivasankaran S. Isolation of the left subclavian artery: a rare aortic arch anomaly[J]. Cardiol Young, 2015, 25(6): 1203-1205.

5
Carano N, Piazza P, Agnetti A, et al. Congenital pulmonary steal phenomenon associated with tetralogy of Fallot, right aortic arch, and isolation of the left subclavian artery[J]. Pediatr Cardiol, 1997, 18(1): 57-60.

6
王谦, 朱铭, 钟玉敏, 等. 孤立性锁骨下动脉的影像学诊断[J].放射学实践, 2008, 23(11): 1209-1211.

7
Lee JS, Park JY, Ko SM, et al. Isolation of the left subclavian artery with right aortic arch in association with bilateral ductus arteriosus and ventricular septal defect[J]. Korean J Thorac Cardiovasc Surg, 2015, 48(6): 415-418.

8
Luetmer PH, Miller GM. Right aortic arch with isolation of the left subclavian artery: case report and review of the literature[J].Mayo Clin Proc, 1990, 65(3): 407-413.

9
李炜, 马小静, 孙庆军, 等. 孤立性锁骨下动脉的MSCT诊断[J].实用放射学杂志, 2011, 27(6): 876-878, 885.

10
Sagray E, Horner JM, Johnson JN, et al. Right aortic arch and isolated left subclavian artery: prenatal and postnatal echocardiographic and tomographic imaging[J]. CASE (Phila), 2020, 4(5): 347-350.

11
Karolczak MA, Mądry W, Grégoire DJ. Isolation of the left subclavian artery in an infant with tetralogy of Fallot, right aortic arch and DiGeorge syndrome. Echocardiographic diagnostic case study[J]. J Ultrason, 2019, 19(76): 66-70.

12
Te Hoven AS, Clur SA, Andreu JP, et al. Isolated right subclavian artery with interrupted aortic arch, ventricular septal defect, and left ventricular outflow tract obstruction[J]. World J Pediatr Congenit Heart Surg, 2015, 6(2): 298-300.

13
Madan N, Schneider DJ, Jacobs ML. Right aortic arch, isolated left subclavian artery and ductus arteriosus with normal intracardiac anatomy: rare manifestation of chromosome 22q11 deletion[J]. Pediatr Cardiol, 2006, 27(6): 781-783.

14
Chaturvedi K, Prasad D, Ashwath R, et al. Isolated left subclavian artery, complete atrioventricular block, and tricuspid atresia in a neonate[J]. Tex Heart Inst J, 2016, 43(6): 546-549.

15
Verma M, Pandey NN, Ojha V, et al. Isolated left subclavian artery in a right aortic arch: a rare association with distal arch hypoplasia, coarctation and ventricular septal defect[J]. Acta Cardiol, 2021, 76(7): 803-804.

16
Sen S, Mohanty S, Kulkarni S, et al. Isolated subclavian artery: a rare entity revisited[J]. World J Pediatr Congenit Heart Surg, 2016, 7(6): 744-749.

Outlines

/

Copyright © Chinese Journal of Medical Ultrasound (Electronic Edition), All Rights Reserved.
Tel: 010-51322630、2632、2628 Fax: 010-51322630 E-mail: csbjb@cma.org.cn
Powered by Beijing Magtech Co. Ltd