资料与方法
一、对象
二、仪器与方法
三、统计学分析
结果
一、2组研究对象一般临床资料比较
表1 2组受试者一般临床资料比较 |
| 变量 | 健康对照组(n=58) | NAFLD组(n=56) | 统计值 | P值 |
|---|---|---|---|---|
| BMI(kg/m2, ±s) | 22.890±1.879 | 25.937±2.869 | F=45.300 | <0.001 |
| SLD[cm,M(QR)] | 1.715(1.560,1.880) | 1.890(1.710,2.105) | Z=3.825 | <0.001 |
| ALT[U/L,M(QR)] | 23.100(16.200,38.900) | 23.650(13.650,36.100) | Z=-0.235 | 0.814 |
| AST[U/L,M(QR)] | 20.150(16.600,23.000) | 22.200(16.600,31.150) | Z=1.117 | 0.264 |
| HbA1c(%, ±s) | 8.152±2.000 | 8.730±1.419 | F=3.150 | 0.079 |
| Glu(mmol/L, ±s) | 7.877±2.933 | 9.277±2.869 | F=6.640 | 0.011 |
| TC(mmol/L, ±s) | 4.632±1.037 | 4.809±1.197 | F=0.720 | 0.399 |
| TG[mmol/L,M(QR)] | 1.360(1.070,1.890) | 1.945(1.355,3.115) | Z=3.429 | 0.001 |
| Apo-A[g/L,M(QR)] | 1.270(1.120,1.400) | 1.215(1.120,1.330) | Z=-0.732 | 0.464 |
| Apo-B[g/L,M(QR)] | 0.890(0.800,1.040) | 0.930(0.810,1.205) | Z=1.228 | 0.220 |
| HDL[mmol/L,M(QR)] | 1.160(0.970,1.330) | 1.105(1.000,1.300) | Z=-0.454 | 0.650 |
| LDL(mmol/L, ±s) | 2.892±0.733 | 2.961±0.781 | F=0.230 | 0.630 |
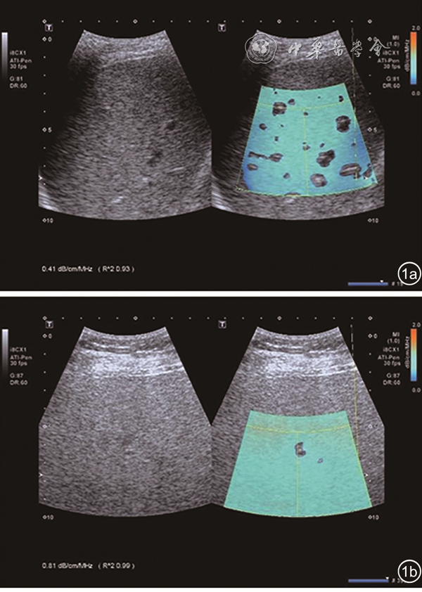
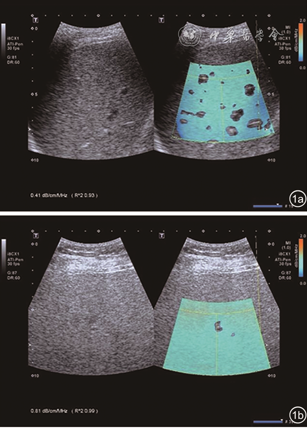
| AC-1组[dB/(cm·MHz), ±s] | 0.539±0.058 | 0.716±0.098 | F=137.830 | <0.001 |
| AC-2组[dB/(cm·MHz), ±s] | 0.542±0.053 | 0.699±0.102 | F=106.450 | <0.001 |
注:NAFLD为非酒精性脂肪性肝炎,BMI为体质量指数,SLD为皮肤-肝包膜距离,ALT为丙氨酸氨基转移酶,AST为天门冬氨酸氨基转移酶,HbA1c为糖化血红蛋白,Glu为血糖,TC为总胆固醇,TG为甘油三酯,Apo-A为载脂蛋白A,Apo-B为载脂蛋白B,HDL为高密度脂蛋白,LDL为低密度脂蛋白,AC为衰减系数 |
二、与AC相关的影响因素分析
表2 非酒精性脂肪性肝病患者超声衰减系数的相关影响因素分析 |
| 因素 | 单因素分析 | 多因素分析 | ||||
|---|---|---|---|---|---|---|
| β值 | 95%CI | P值 | β值 | 95%CI | P值 | |
| BMI | 0.028 | 0.022~0.034 | <0.001 | 0.007 | 0.001~0.013 | 0.017 |
| SLD | 0.198 | 0.143~0.253 | <0.001 | 0.025 | -0.020~0.070 | 0.274 |
| ALT | 0.0001 | -0.001~0.0021 | 0.892 | |||
| AST | 0.001 | -0.001~0.002 | 0.642 | |||
| HbA1c | 0.003 | -0.009~0.016 | 0.591 | |||
| Glu | 0.006 | -0.001~0.014 | 0.090 | |||
| TC | 0.012 | -0.007~0.032 | 0.214 | |||
| TG | 0.017 | 0.005~0.029 | 0.005 | -0.001 | -0.007~0.005 | 0.696 |
| Apo-A | 0.037 | -0.070~0.143 | 0.496 | |||
| Apo-B | 0.067 | -0.015~0.148 | 0.107 | |||
| HDL | -0.004 | -0.078~0.069 | 0.913 | |||
| LDL | 0.014 | -0.016~0.043 | 0.353 | |||
| 肝脂肪变性程度 | 0.097 | 0.087~0.108 | <0.001 | 0.083 | 0.070~0.095 | <0.001 |
注:BMI为体质量指数,SLD为皮肤-肝包膜距离,ALT为丙氨酸氨基转移酶,AST为门冬氨酸氨基转移酶,HbA1c为糖化血红蛋白,Glu为血糖,TC为总胆固醇,TG为甘油三酯,Apo-A为载脂蛋白A,Apo-B为载脂蛋白B,HDL为高密度脂蛋白,LDL为低密度脂蛋白 |
三、ATI技术评价肝脂肪变性的可行性分析
表3 所有受试者各组操作者间衰减系数的组内相关系数 |
| 项目 | 组内相关系数 | 95%CI | P值 |
|---|---|---|---|
| 总体 | 0.965 | 0.949~0.976 | <0.001 |
| 肝脂肪变性诊断分级 | |||
| S0 | 0.816 | 0.708~0.881 | <0.001 |
| S1 | 0.886 | 0.301~0.967 | <0.001 |
| S2 | 0.876 | 0.479~0.960 | <0.001 |
| S3 | 0.939 | 0.819~0.981 | <0.001 |

