Home    中文  
 
  • Search
  • lucene Search
  • Citation
  • Fig/Tab
  • Adv Search
Just Accepted  |  Current Issue  |  Archive  |  Featured Articles  |  Most Read  |  Most Download  |  Most Cited
Lectures

Ultrasonic diagnosis and treatment of knee musculoskeletal pain

  • Ultrasound Medicine Branch of China Medical Informatics Association ,
  • Chaoyang District Ultrasound Medical Quality Control and Improvement Center in Beijing
Expand

Received date: 2023-05-23

  Online published: 2024-04-25

Copyright

Copyright by Chinese Medical Association No content published by the journals of Chinese Medical Association may be reproduced or abridged without authorization. Please do not use or copy the layout and design of the journals without permission. All articles published represent the opinions of the authors, and do not reflect the official policy of the Chinese Medical Association or the Editorial Board, unless this is clearly specified.

Cite this article

Ultrasound Medicine Branch of China Medical Informatics Association , Chaoyang District Ultrasound Medical Quality Control and Improvement Center in Beijing . Ultrasonic diagnosis and treatment of knee musculoskeletal pain[J]. Chinese Journal of Medical Ultrasound (Electronic Edition), 2024 , 21(02) : 205 -225 . DOI: 10.3877/cma.j.issn.1672-6448.2024.02.016

膝关节是人体非常重要的负重关节。在维持正常运动功能方面,具有举足轻重的意义。而膝关节疼痛是临床常见症状,尤其是在高龄人群,膝关节疼痛已成为影响生活质量的重要健康问题。本文为《肌肉骨骼疼痛疾病的临床超声诊疗》系列第五部分,即膝部疾病。

一、膝关节骨关节炎

膝关节骨关节炎是由于慢性积累性损伤引起的膝关节软骨变性、脱落及关节增生、关节间隙变窄等改变,是一种常见的膝关节退行性疾病。60岁以上人群患病率高达50%,致残率高达53%,本病以关节软骨损伤、骨赘形成、软骨下骨增生、软骨下骨囊肿为主要病理特征,以疼痛、关节变形及关节功能障碍为主要临床表现,目前保守治疗手段较多,效果不一,晚期需行人工全膝关节置换术。

(一)局部解剖

膝关节是人体最复杂、功能最强的关节,由股骨远端、胫骨近端、髌骨以及附着其上的韧带、关节囊和半月板等结构组成。膝关节的主要功能是屈伸活动,在其伸侧及屈侧均有强大的肌肉。除屈伸活动外,在膝关节半屈或屈曲90°时,尚能做内外旋转运动,在膝关节伸直到10°~15°时,股骨在胫骨上又产生一定程度的内旋运动,使膝关节的运动多轴化。
1.膝关节骨性结构。膝关节由股骨远端、胫腓骨近端和髌骨构成,包括三个关节:股胫关节、髌股关节、胫腓关节。膝关节属于滑膜关节,由关节囊包裹,是人体关节腔最大的关节。关节周围的骨性结构表面不光滑,存在很多突起,是韧带、关节囊和肌腱起止点。股骨远端的前部称为滑车,其中央为滑车切迹。滑车切迹向下后延伸为髁间切迹;向前上延伸止于滑车上隐窝。股骨远端的后部为股骨髁,由滑车切迹分为股骨内髁和股骨外髁,分别与内、外滑车相延续,构成凸起的股骨关节面。从侧面观,股骨外髁弧度大于内髁。外髁较内髁更向前凸出,而内髁比外髁更加向后延伸。参与构成膝关节的胫骨平台关节面在冠状面上存在约3°的内倾,在矢状面上存在约6°的后倾。胫骨平台中央为一前一后两个髁间棘,是半月板和交叉韧带的附着部。外侧胫骨关节面的前1/3部为逐渐上升的凹面,而后2/3则呈逐渐下降的凹面;内侧胫骨关节面则呈一种盘状凹陷。凸起的股骨关节面和凹陷的胫骨关节面彼此吻合,使膝关节得以在矢状面上做屈伸活动;然而外侧胫骨关节面的特征性凹陷结构又使得外侧胫股关节面并非完全吻合,从而允许膝关节在水平面上有一定的旋转活动。髌骨是人体内最大的籽骨,它与股四头肌、髌腱共同组成伸膝装置。髌骨厚度为20~30 mm,其中关节软骨最厚处可达5 mm。髌骨前面粗糙,供股四头肌腱及髌韧带表层附着;后面光滑,其上3/4为关节面,由纵向的中央嵴、内侧嵴分为外侧关节面、内侧关节面和第3关节面,内、外侧关节面又被两条横嵴划分为上、中、下三部分,共计有七个关节面。髌骨后表面的下1/4位于关节外,是髌韧带的附着点。髌骨在股骨髁前起滑车作用,同时压股骨向后,防止股骨前移,在逐渐伸膝过程中,髌骨逐渐前移,以加大力臂,有助于稳定膝关节。在膝关节前方有连于髌尖至胫骨转子的髌韧带,其为股四头肌腱的延续部,是全身最强大的韧带之一,长约8 cm,髌韧带的中部即为关节平面。髌韧带两侧有自股内侧肌和股外侧肌延续而来的内、外侧支持带以加强关节囊并防止髌骨向侧方滑脱。
2.膝关节筋膜结构。膝关节皮下的浅筋膜即脂肪层,位于深筋膜浅面。皮肤与髌骨之间的浅筋膜层称为髌前皮下囊,此囊被纤维隔分成数个小囊,其功能为在髌骨与皮肤间滑动时承载压力。膝关节前方的深筋膜绝大多数与肌肉和肌腱紧密粘连,在外侧与髂胫束下端相融合,在内侧与缝匠肌腱相融合。营养膝关节的动脉为腘动脉分支,其穿过深筋膜浅出,包括膝上内侧动脉、膝上外侧动脉、膝下内侧动脉、膝下外侧动脉、膝中动脉、膝降动脉关节支、旋股外侧动脉降支和胫前返动脉等,在髌骨周围组成膝关节动脉网,营养关节及其周围的肌肉。
3.膝关节的静态稳定结构。膝关节静态稳定结构包括关节内和关节外结构。关节内结构包括半月板、交叉韧带、关节囊、滑囊和髌下脂肪垫。关节外结构包括内、外侧副韧带及腘斜韧带和弓状韧带等。(1)半月板。位于股骨及胫骨两关节面之间,由纤维软骨组织组成,分为内、外侧两个半月板。每个半月板有三面:边缘面如圆柱状,肥厚而突隆,与关节囊纤维膜深面相贴,滑膜附于其上下缘,并有冠状韧带连于胫骨髁边缘;上面光滑凹陷,可加深胫骨平台深度,与股骨髁相接;下面平坦光滑,覆盖在胫骨平台上。半月板内缘锐薄而凹陷。内侧半月板周径较大呈“C”形,前端窄而后端宽。前端以细腱附着于胫骨髁前内侧,居前交叉韧带起点之前,后端附着于髁间窝后窝,在胫骨髁间隆起后方及后交叉韧带起点的内前方。内侧半月板与内侧副韧带后部紧密相连,限制了内侧半月板的活动度。外侧半月板较内侧半月板周径小而面积广,呈“O”形,前端附着于髁间前窝,前交叉韧带附着点的外侧,后端附着于髁间隆起之间。外侧半月板的外缘有沟,以容纳自此经过的腘肌腱并与之相贴,其与外侧副韧带并不相连。半月板主要附着于胫骨,但可随股骨做一定范围的移动,以补偿胫骨髁面与股骨髁面的不适应,并起到限制和制动作用。半月板具有一定的弹性,能缓冲两骨面撞击,吸收震荡,保护膝关节。(2)交叉韧带。膝关节内有限制膝关节前后移动的交叉韧带,交叉韧带分前后两束,在髁间窝中前后交叉,位于关节腔中部。前交叉韧带起于股骨外髁的内面,长约4 cm,向下内走行,止于胫骨髁间棘之前,纤维与外侧半月板前角纤维相交织。后交叉韧带起于股骨内髁髁间的前部,越过前交叉韧带内侧,斜行向下外,止于胫骨髁间窝的后缘中部。前交叉韧带纤维分为前内侧及后外侧两部分,屈膝时前内侧部紧张,伸直时后外侧部紧张。前交叉韧带在屈膝40°~50°时较松弛,在屈膝做前抽屉试验时,前交叉韧带的前内侧部限制膝关节活动,在膝伸直时,其后外侧部限制膝过伸活动。后交叉韧带在股骨侧的附着线相当于膝关节每个瞬间旋转中心,使后交叉韧带在屈膝过程中保持紧张状态,成为膝关节稳定的重要因素。后交叉韧带较前交叉韧带粗大,在膝关节屈曲位时,可防止胫骨后移,伸直位时,可防止膝过伸,并可限制膝内、外旋活动。(3)关节囊、滑囊及髌下脂肪垫。膝关节的关节囊,附着于股骨和胫骨关节缘。内侧深面关节囊增厚部为内侧副韧带深层,起于股骨内上髁,与内侧半月板融合。关节囊上方附着在股骨内、外侧髁关节面周缘及髁间窝的后缘,下方前部绕过髌骨至胫骨内、外侧髁的前缘,后部位于交叉韧带的前方和两侧。滑囊分为膝前滑液囊:髌上囊、髌前皮下囊、髌下皮下浅囊、髌下深囊;膝后或腘窝滑液囊:包括腘肌囊、腓肠肌内侧囊、半膜肌囊、腓肠肌外侧囊;膝内侧囊:鹅足腱囊;膝外侧囊。髌下脂肪垫位于滑膜前方,髌韧带下及两侧,前上缘附着于整个髌骨尖粗面,涉及髌骨的下1/2段边缘,呈钝性三角形充填于膝关节前部的间隙,髌韧带与脂肪垫有光滑鞘膜相隔,从身体表面看脂肪垫位于髌韧带两侧之膝眼内,属滑膜外结构。脂肪垫和这一区域膝关节缺乏滑膜囊。(4)内侧副韧带。内侧副韧带分为深浅两层结构。内侧副韧带浅层,起自股骨内侧髁内收肌结节前下方,止于胫骨内侧关节面下方约4~6 cm处。被鹅足(缝匠肌、股薄肌、半腱肌肌腱)所遮。内侧副韧带浅层上方发出纤维止于髌骨内缘形成内侧髌股韧带,后部纤维与关节囊和半膜肌腱相融合。内侧副韧带深层,分为前后两束。前束纤维较长,垂直向下止于胫骨内侧关节面下方,与关节囊及半月板间有松弛的结缔组织相隔;后束纤维较短,在关节水平呈扇形向后止于关节囊、半月板。内侧副韧带的前后两束,在关节屈伸时起着不同的作用:当膝关节屈曲时,韧带前束的后部纤维松弛,前部长纤维拉紧并后移;后束上方拉紧,下方松弛。伸直时,前束的前部纤维松弛,后部纤维强力拉紧;后束下方拉紧,上方松弛。(5)外侧副韧带。呈圆条状,起自股骨外上髁,向下止于腓骨小头,与关节囊及半月板间有腘肌肌腱相间隔。外侧副韧带居关节外后方,在伸膝时紧张,屈膝时松弛。但在屈膝外旋或内旋时则皆紧张。(6)腘斜韧带、弓状韧带等。腘斜韧带为半膜肌腱的延续部分,纤维自胫骨内髁后方斜向外上,止于股骨外髁后上方。弓状韧带起自腓骨小头,其外侧部纤维垂直向上止于股骨外髁,其余纤维向内上融合于关节的后纤维囊。弓状韧带覆盖在腘肌腱表面。
4.膝关节的动态稳定结构。动态结构主要为膝关节周围的肌肉。(1)前方动态稳定结构。其构成伸膝装置,主要包括股四头肌及肌腱、髌骨和髌韧带。股四头肌由股直肌、股内侧肌、股外侧肌及股中间肌组成,在下部融合成一坚强的股四头肌腱,止于髌骨,并向下延伸为髌韧带。股四头肌的主要功能是伸膝,在股四头肌的四个组成部分中,股内侧肌最为重要,可以维持髌骨的位置,参与整个伸直过程。股四头肌对于维持人体直立姿势最为重要。由于膝关节是屈戌关节,主要沿水平轴作屈伸运动,膝关节的伸直运动及侧方运动会受到骨骼本身韧带限制,因此对于维持下肢直立而言,膝关节具有自身弱点,而唯一能防止膝关节屈曲的仅有股四头肌。(2)后方动态稳定结构。膝关节后部主要为内侧的半膜肌、外侧的股二头肌、远端的腓肠肌内外侧头以及深方的跖肌和腘肌。(3)内侧动态稳定结构。包括缝匠肌、半腱肌和股薄肌,形成联合腱组成鹅足腱。其前方与股内侧肌的纤维相融合,构成髌内侧支持带,后方与覆盖腓肠肌及腘窝顶的深筋膜相延续。(4)外侧动态稳定结构。主要结构包括髂胫束、股二头肌及肌腱,其中髂胫束在伸膝时紧张,屈膝时松弛。
5.膝关节主要血管神经支配。膝关节的血供由股动脉、腘动脉、胫前动脉和股深动脉供给。膝关节前部由股神经的肌支、闭孔神经前支及隐神经支配,后部由坐骨神经及其分支胫神经和腓总神经以及闭孔神经的后支支配。股内侧皮神经、股中间皮神经、股外侧皮神经及隐神经髌下支共同形成髌丛。其中隐神经自缝匠肌与股薄肌腱之间穿深筋膜,在出深筋膜前发出髌下支,其大小差异较大,在膝关节髌内侧显露时很容易损伤,引起术后早期皮肤感觉缺失或局部麻木。但由于髌丛不同分支分布重叠,这种感觉功能障碍较少为永久性的。

(二)病因与病理

膝关节骨关节炎病因较多,随着年龄增加,关节软骨发生退行性变,出现韧带松弛,关节不稳,肌力减弱等,由于骨骼承受的压力增大,受力不均,继而引发膝关节骨关节炎。肥胖增加了承重关节的负荷,进而促使软骨破坏的发生,因此肥胖人群易患膝关节骨关节炎。膝关节炎症本身并不是骨关节炎的原因,而炎症引起的病理变化往往是造成骨关节炎的起因。如类风湿关节炎,关节软骨遭到损害导致骨关节退行性变。由于不良姿势、特殊职业、运动损伤等生物力学因素导致关节周围软组织病变,出现关节周围肌肉无力、韧带失稳和肌肉运动不协调及关节周围结缔组织的粘连、挛缩、变性,而肌肉、肌腱、韧带或其他附属组织的病变可能会改变力的大小、方向、作用点,影响关节内应力分布,继而发生软骨的损害。创伤、先天或后天畸形,造成膝关节负重力线变化,会加速关节退行性变。另外,免疫因素、骨内压增高、细胞因子相关因素、基因因素、内分泌紊乱均可能导致膝关节骨关节炎的软骨破坏。
主要病理改变有以下几个方面。(1)关节软骨病变。早期软骨基质内糖蛋白丢失导致关节表层的软骨软化,在承受压力的部位出现断裂,使软骨表面呈细丝线状物,后期关节软骨变性、破坏、脱落。(2)骨赘形成。为关节边缘唇状或刺状突起,为重度骨关节炎的特征性表现之一。骨赘是软骨基部或关节边缘的软骨内成骨所致,在活动期有软骨帽。这种骨组织特征性地向外生长,出现在远离关节负重区的部位。(3)关节内游离体。即所谓的关节鼠。关节软骨发生退行性变时,可有软骨碎片脱落和滑膜异常肥厚,滑膜组织化生可演化成软骨。软骨体增大即突入关节腔,并有蒂与之相连。当中心软骨钙化后即有血管侵入成骨,形成骨体。骨体表面被覆滑膜和透明软骨。当蒂离断后即游离在关节内形成游离体。游离体的出现预示着关节病变较重,预后较差。(4)膝关节周围软组织改变。患者均可见到一定程度的关节渗液与滑膜增厚,滑膜增厚与膝关节疼痛程度之间存在一定的相关性。半月板半脱位(外突)发生率为10%。研究表明,半月板外突及损伤与膝关节间隙的狭窄程度、关节软骨的损伤程度密切相关。

(三)临床表现

膝关节疼痛是主要的临床症状,也是大多数患者就诊的第一主诉。初期为轻中度疼痛,非持续性,受凉时可诱发或加重疼痛;随着疾病的进展,疼痛可能影响上下楼梯或蹲下起立动作,且与活动呈明显相关性。疾病进展到中期时,疼痛症状会进一步影响到平地行走;晚期可以出现持续性疼痛、明显影响活动甚至影响睡眠及非负重活动。随着病情发展,逐渐出现活动受限。
功能障碍是另一个主要临床症状。早期不影响膝关节活动,多表现为膝关节长时间固定姿势后改变体位时短时间不灵活感。下床时需要站立活动一会儿后方可行走,为“胶着状态”,上下楼或者行走上下坡时困难,打软腿。晚期关节活动可能明显受限,多以下蹲障碍为主,后期伸直受限,甚至导致残疾。进一步发展,膝关节出现畸形。早期畸形不明显,随着疾病进展,软骨层变薄、半月板损伤脱落或骨赘增生等变化均可导致膝关节出现明显内翻、外翻和(或)旋转畸形。查体可见关节畸形、肿胀、多点压痛,浮髌试验阳性,麦氏征阳性,伸屈功能受限等。

(四)辅助检查

1.膝关节X线检查。是首选的最简单、最有价值的影像学检查,为膝关节骨关节炎的“基本影像学诊断标准”。膝关节骨关节炎X 线三大典型表现为:(1)受累关节出现非对称性关节间隙变窄;(2)软骨下骨硬化和(或)囊性变;(3)关节边缘骨赘形成。
2.膝关节MRI检查。可于疾病早期明确诊断,并进行鉴别诊断及分期,有助于确定治疗方法,可作为膝关节骨关节炎的“补充影像学诊断标准”。膝关节骨关节炎MRI表现为膝关节的关节软骨厚度变薄、缺损,骨髓水肿、囊性变、关节积液及腘窝囊肿。有些病例还伴有半月板损伤及变性。
3.实验室检查。是鉴别和排除与膝关节骨关节炎表现相似的其他膝关节炎症等疾病的“鉴别诊断标准”。膝关节骨关节炎患者的血常规、蛋白电泳、免疫复合物及血清补体等指标一般均在正常范围内。若处于急性发作期,可出现C反应蛋白和红细胞沉降率轻度增高。
4.高频超声检查。可以发现膝关节骨关节炎最早的病理改变,软骨局灶性变薄和缺损,声像图表现为软骨低回声带部分变薄和消失,病灶区域还可见到软骨下骨的回声增强,提示软骨下骨的象牙样硬化和软骨缺损。还可以观察韧带、滑囊等软组织改变。

(五)超声影像学表现

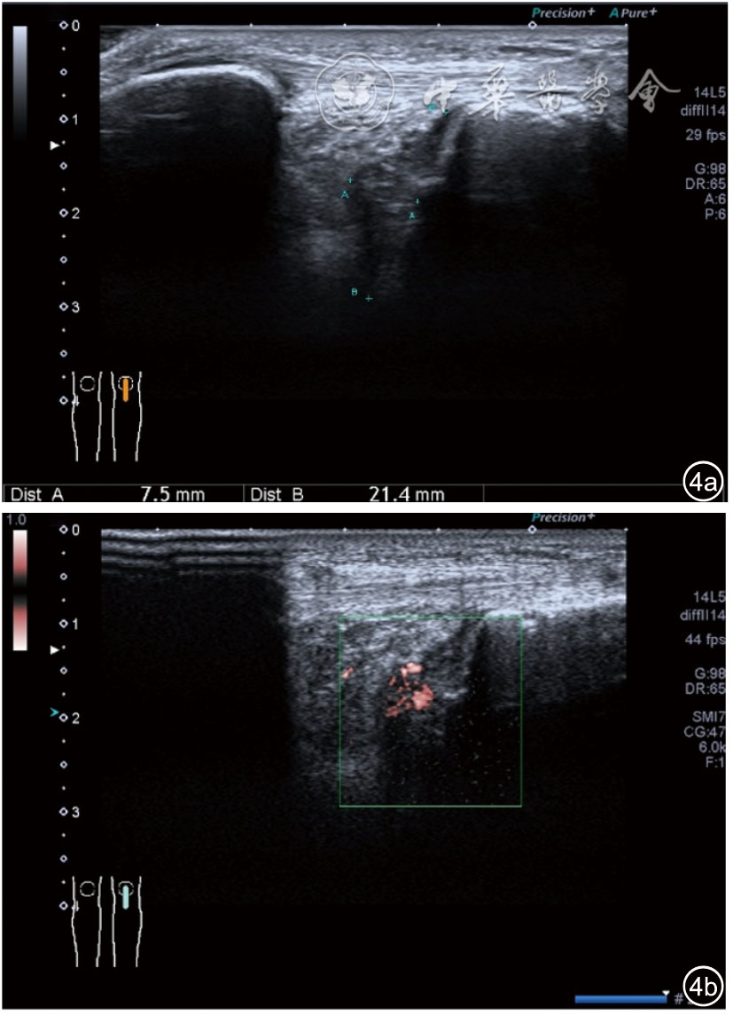
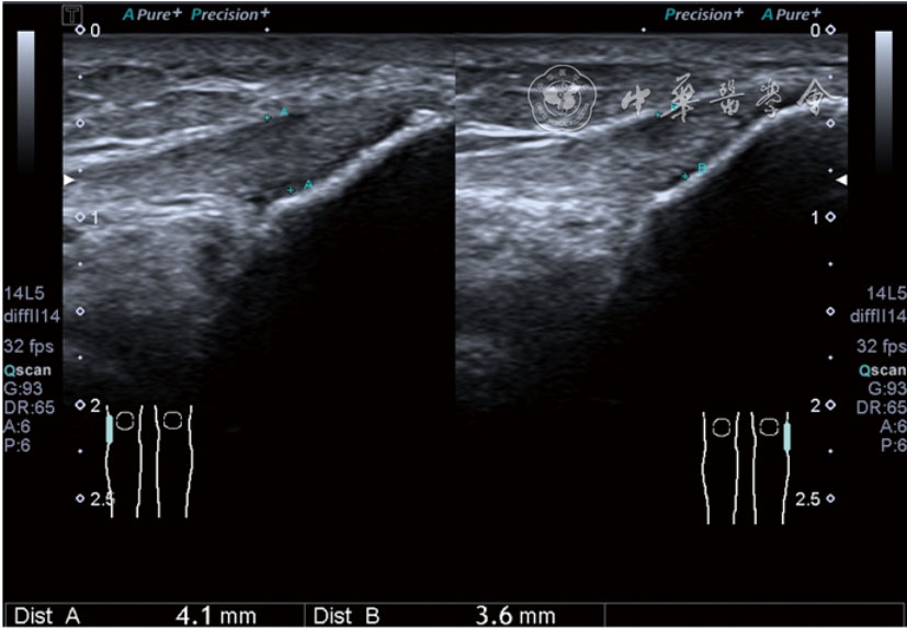
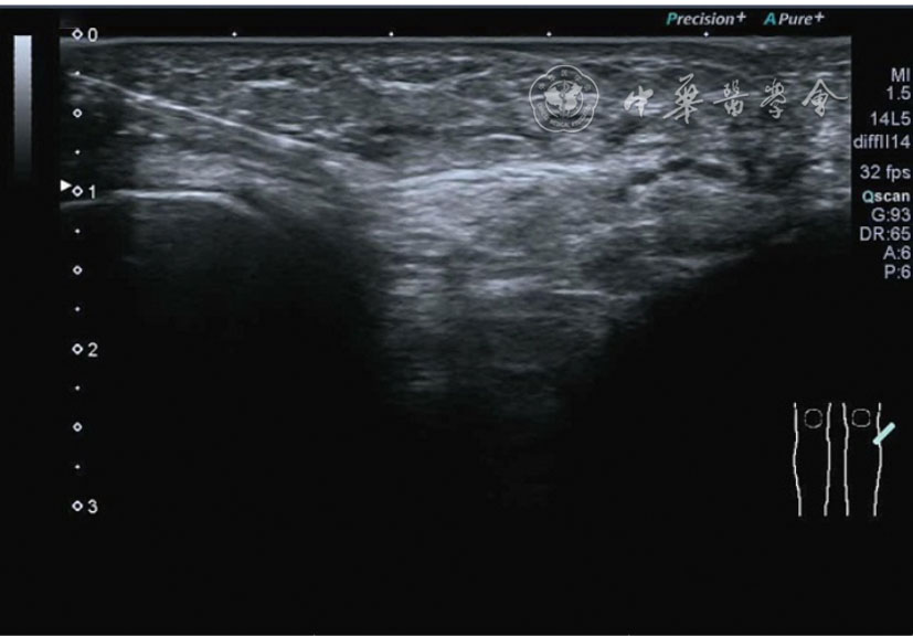
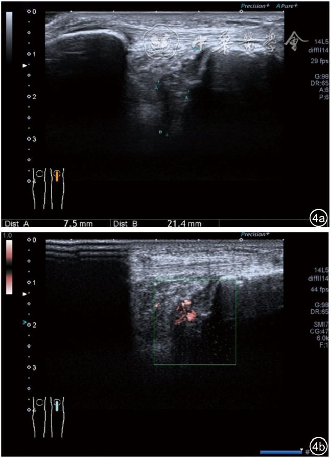
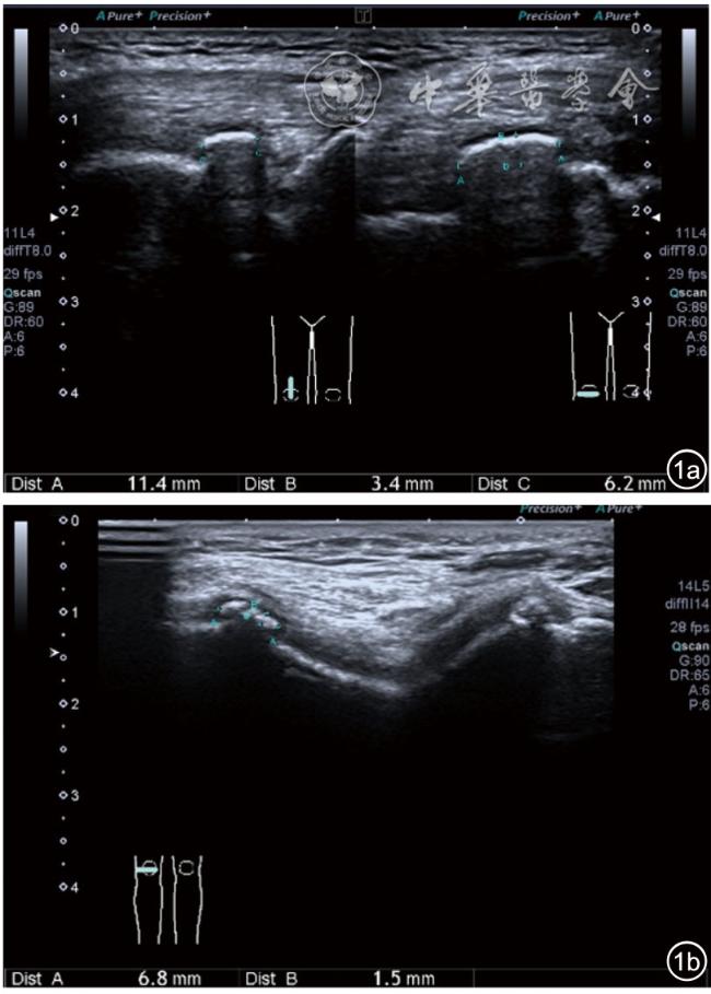
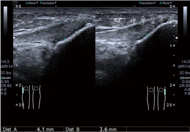
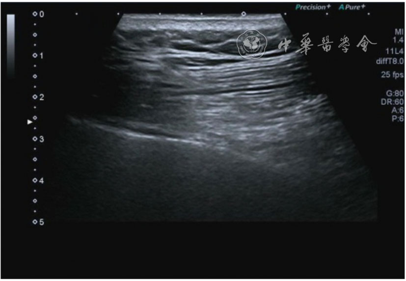
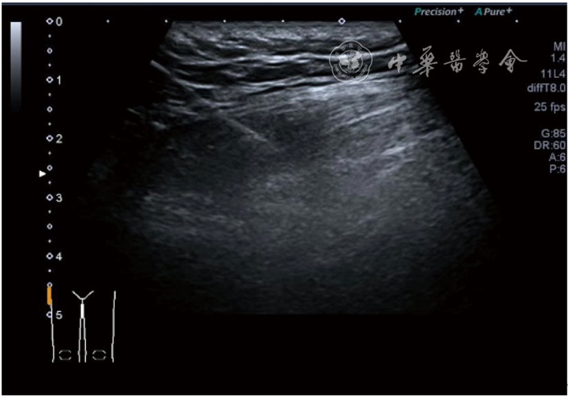
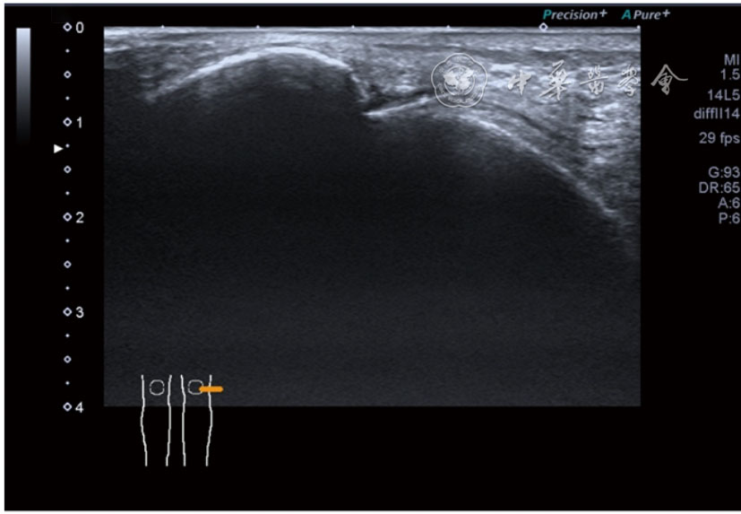
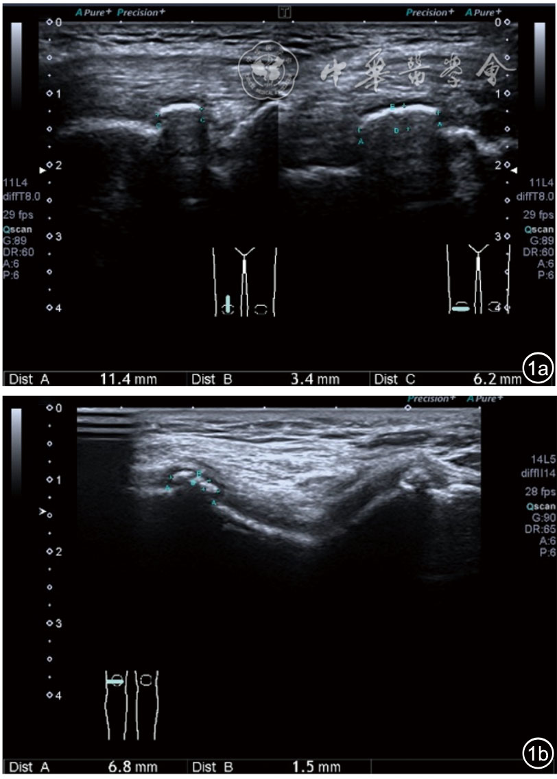
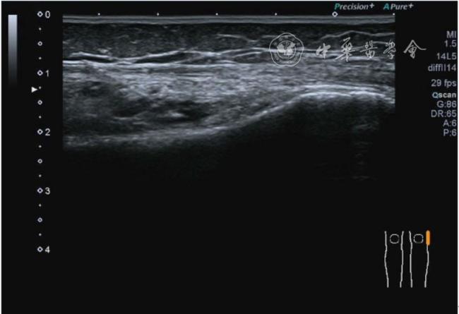
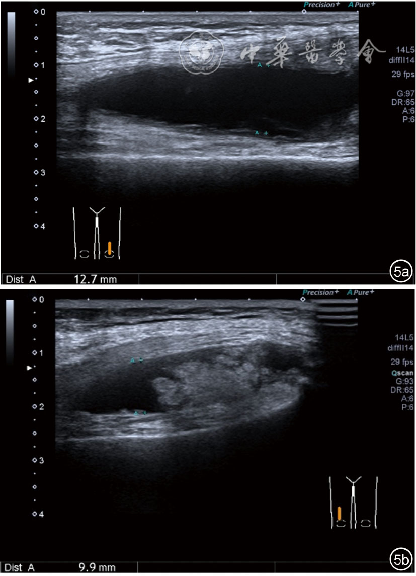
1.关节内表现。(1)骨改变。表现为骨末端或关节周缘出现的骨质局部突起改变,其后方伴或不伴有声影,多见于膝关节内侧缘和外侧缘(图1)。(2)软骨改变。股骨关节面改变可以在长轴及短轴切面显示,嘱患者屈曲膝关节,足平置于检查床,股骨滑车及股骨髁上半部分的关节面即可轻松显示。超声探查可见股骨负重面关节软骨发生不同程度的改变,轻者关节软骨浅侧边界模糊,重者可见关节软骨薄、缺失,软骨下骨缺损改变(图2)。(3)半月板外突。一般内侧半月板突出多见,外侧半月板突出比较少。半月板可见不同程度的外突,同时伴有膝内侧副韧带向外移位(图3)。半月板外周缘性滑脱是指半月板突出超出胫骨平台边缘的距离≥3 mm,其可引起一系列临床症状,早期诊断、早期治疗可以预防骨关节的进一步损伤。(4)交叉韧带损伤。可见前后交叉韧带增粗,回声减低(图4)。(5)髌上囊积液。膝关节是最容易发生积液的关节之一。患者仰卧位,关节积液最常见于膝关节上外侧,因为关节囊向髌股关节上外侧突出。髌上囊积液采用10~18 MHz的高频线阵探头于股四头肌腱纵断面及横断面扫查均可显示,探头频率取决于患者体型。超声可见低回声积液,慢性可伴有丛状滑膜增生(图5)。(6)脂肪垫水肿。脂肪垫在髌骨附着点处回声增强、增厚(图6)。
图1 关节间隙周边及关节骨赘形成超声图像
2.关节外表现。(1)副韧带损伤。内侧、外侧均可出现,但是内侧更常见。与膝内翻发生率高有关。超声可见副韧带增厚,回声不均匀,血流增加。半月板突出时可见韧带凸起移位(图7)。(2)髌韧带损伤。可见髌韧带增厚,回声低,有时合并髌下滑囊积液。个别止点处有钙化(图8)。(3)囊肿形成。多见腘窝囊肿,也称Baker囊肿,横切面显示囊肿的颈部位于腓肠肌内侧头与半膜肌腱之间,囊肿大小不一,慢性期可见分隔(图9)。
图2 关节内软骨变薄、缺失,软骨下骨缺损超声图像
图3 半月板突出超声图像
图4 交叉韧带损伤超声图像
图5 髌上囊积液、滑膜增生超声图像
图6 脂肪垫增厚、髌腱下回声增强超声图像
图7 副韧带增厚超声图像
图8 髌韧带附着点处钙化超声图像
图9 囊肿形成、囊内可见分隔超声图像
3.超声半定量评估。(1)骨赘超声半定量评估:患者仰卧位,膝关节伸直,探头纵切面置于膝关节内侧与外侧,自前向后移动探头以进行全面扫查。测量骨赘的厚度,并进行半定量分析。0级:无骨赘;1级:小骨赘,厚度<2 mm;2级:中等骨赘,厚度2.1~4.0 mm;3级:大骨赘,厚度>4.0 mm。(2)关节软骨超声半定量评估:患者仰卧位,膝关节完全屈曲。探头置于骨上方,检查股骨内侧髁、外侧髁和股骨滑车处关节软骨三个部位,分别进行横切面和纵切面检查,从近侧向远侧做全面扫查。检查时声束要垂直于股骨表面。关节软骨可按病变严重程度分为四级。0级:关节软骨呈均匀的无回声带,其浅侧和深侧边界清晰。1级:关节软骨浅侧边界不清和(或)内部回声增高。2级:①2A级,关节软骨局部变薄,缺损厚度<50%;②2B级,关节软骨局部变薄,缺损厚度>50%,但<100%。3级:关节软骨局部完全消失,伴或不伴有软骨下骨病变。(3)半月板突出分度:半月板外周缘与胫骨平台边缘之间的距离≥3 mm的突出视为病理变化,诊断为半月板周缘滑脱。按照突出程度分为三度:Ⅰ度,半月板外周缘与胫骨平台边缘之间的距离3~5 mm;Ⅱ度,半月板外周缘与胫骨平台边缘之间的距离>5~8 mm;Ⅲ度,半月板外周缘与胫骨平台边缘之间的距离8 mm以上。

(六)整体治疗思路

膝关节骨关节炎的诊断标准一共有6项:①近1个月大多数时间有膝关节疼痛。②X线检查显示有骨赘形成。③滑液检查符合骨关节炎。④年龄≥38岁。⑤晨僵<30分钟。⑥关节活动时有骨响声。满足①+②或①+③+⑤+⑥或①+④+⑤+⑥即可确诊。在临床,还有重要的一项就是结合查体,检查是否伴有半月板、韧带等其他结构损伤。膝关节骨关节炎痛点多在膝关节内侧或髌股关节。关节附近的疼痛,并不一定来源于关节内。目前治疗大多集中在关节内的治疗,关节腔的药物注射、臭氧灌洗、玻璃酸钠注射、富血小板血浆(platelet rich plasma,PRP)注射以及干细胞移植等,目的是为了修复软骨。但是骨关节炎的软骨损伤多继发于关节结构的改变,也就是动态结构平衡失调在先,由于不良姿势、职业因素、运动损伤激活肌肉的激痛点,出现肌肉及筋膜张力不均匀。类似于汽车四轮的平衡,如果四轮的动态平衡失调,单纯修补轮胎是无济于事的。患者的疼痛和病因多来自肌肉的动态结构平衡失调,进一步发展,静态结构平衡也失调,关节的稳定性出现问题,最终关节结构改变。关节间隙不等宽,软骨受力不均匀,力平衡失调,最终软骨损伤,骨赘形成。治疗目的是缓解或消除疼痛,改善关节功能,提高患者生活质量。治疗原则遵循《骨关节炎诊疗指南(2018年版)》的基础治疗、药物治疗、修复性治疗和重建治疗四层次金字塔型阶梯治疗。总的治疗思路为由远及近、先外后内、动静结合。由远及近是从距离关节远端的软组织开始治疗;先外后内是先治疗关节外结构,再处理关节内结构;动静结合是把周围肌肉张力的调整与周围韧带静态结构相结合去处理。(1)动态结构治疗。整体评估肌肉的张力,根据临床确定需要治疗的靶肌肉。按照膝关节的三个运动平面进行评估,即矢状面(屈伸运动),前表线、后表线;冠状面(内翻、外翻),体测线、螺旋线;水平面(内旋、外旋),螺旋线。(2)静态结构治疗。包括关节内的前后交叉韧带、半月板、脂肪垫;关节外的内外侧副韧带、滑囊等。主要方法为药物注射、针刀剥离松解治疗。(3)关节内局部治疗。包括关节腔玻璃酸钠、PRP等注射治疗。(4)卡压神经治疗。主要是髌上内、外侧支,髌下内支药物注射治疗。临床需结合超声、MRI影像学资料分析确定治疗目标。

(七)治疗方法

按照整体治疗思路,先行动力平衡调整,主要是对相关肌肉的张力进行处理。按照膝关节的运动平面,结合临床查体进行处理。然后对静态结构如韧带、脂肪垫等结构进行处理,最后处理关节腔。如有必要对相关的神经进行处理。
1.膝关节动态结构治疗。主要是调整动态平衡。肌筋膜疼痛激痛点是膝关节骨关节炎慢性疼痛的主要原因。动态平衡失调是慢性软组织损伤的第一位病因,也是膝关节骨关节炎的治疗关键。(1)矢状运动方向动态结构的治疗。主要是前后表线,涉及肌肉主要为股四头肌和腘绳肌、腓肠肌内外侧头、腘肌等。整体评估还要注意髋部肌肉,如髂腰肌和臀肌。其中伸肌影响屈曲,屈肌影响伸直。以股直肌为例。股直肌最常见的是近端触发点引起膝关节前侧和髌骨周围疼痛,也可以引起膝关节内部疼痛,屈曲功能受限,下楼梯无力,打软腿,关节内积液超过60 ml会抑制膝关节功能。治疗方法:患者平卧位,膝关节伸直位,一般选用10 MHz的超声探头,激痛点位于髂前上棘下一横掌位置,穿刺区域常规消毒,探头涂抹耦合剂后套入无菌手套碘伏消毒或使用无菌耦合剂。将探头置于激痛点位置,找到股直肌,选用直径0.4 mm的Ⅰ型2号微针刀从头侧向足侧方向刺入股直肌,在肌内进行提插直至局部肌肉抽搐2~3次或者出现酸胀感拔出针刀(图10),局部压迫2分钟,无菌敷料覆盖。(2)冠状运动方向动态结构的治疗。主要指膝关节的内收、外展功能,主要肌肉有阔筋膜张肌、臀中肌、内收肌群等。以阔筋膜张肌为例。阔筋膜张肌激痛点会引起髋关节和大转子区酸痛,沿大腿延伸到膝关节外侧,不能向患侧侧卧,不能快速步行,影响内收功能。外伤、跑步容易激活激痛点。治疗方法:患者侧卧位,膝关节伸直位,一般选用10 MHz的超声探头,激痛点位于髂前上棘后下方,治疗前消毒准备同股直肌治疗。将探头置于阔筋膜张肌,找到激痛点位置,应用直径0.4 mm的Ⅰ型2号针刀从头侧向足侧方向在肌内提插,直至局部肌肉抽搐2~3次或者出现酸胀感拔出针刀(图11),局部压迫2分钟,无菌敷料覆盖。(3)水平运动方向动态结构的治疗。主要指膝关节的旋转功能,主要肌肉包括缝匠肌、股薄肌、半膜肌、半腱肌、腘肌、股外侧肌、阔筋膜张肌等。以腘肌为例。腘肌是胫骨内旋肌,又称为膝关节屈曲解锁肌。膝关节伸直状态下,腘绳肌与腓肠肌内外侧头是锁在一起的,确保膝关节的稳定。当膝关节屈曲时,需要腘肌收缩,胫骨内旋,才可以使紧锁的腘绳肌与腓肠肌打开,因此腘肌称为解锁肌。腘肌激痛点主要会引起下蹲、蹲起、下楼、下坡时膝关节后侧疼痛,夜间膝关节疼痛,屈膝90°小腿外旋受限。跑步、经常下蹲干活容易激活激痛点。患者俯卧位,选用10 MHz超声探头,治疗前消毒准备同股直肌治疗。将探头置于胫骨近端找到腘肌,选用22G长针头,抽取1%利多卡因2 ml,从外上向内下方向在胫骨后侧刺入腘肌内进行提插,出现肌肉抽搐或酸胀感后注射利多卡因1~2 ml拔出针头(图12),局部压迫2分钟,无菌敷料覆盖。
图10 超声引导下股直肌激痛点针刀灭活治疗
图11 超声引导下阔筋膜张肌激痛点针刀灭活治疗
图12 超声引导下腘肌湿针激痛点灭活治疗超声图像
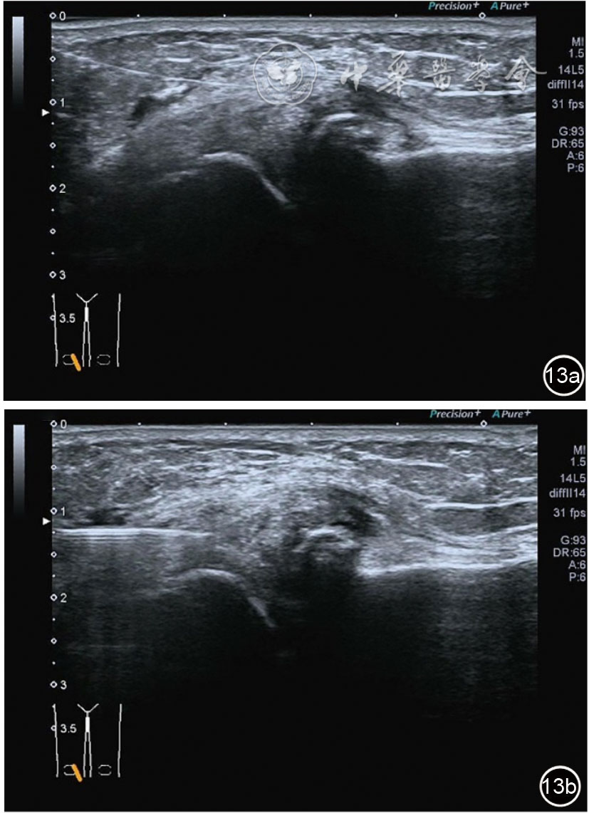
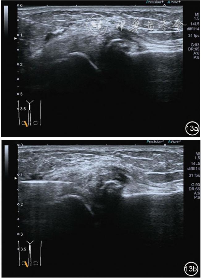
2.膝关节静态结构治疗。动力平衡失调后,继发静态结构变化,出现内外侧副韧带、交叉韧带、脂肪垫、半月板等结构变化。这里介绍半月板与交叉韧带的处理。(1)膝关节静态结构半月板治疗。在膝关节骨关节炎中主要是突出和损伤。突出主要发生于膝内翻引起的内侧半月板突出,引起内侧副韧带的张力增高。内侧半月板与内侧副韧带相连,是引起膝关节内侧疼痛的主要原因之一。治疗主要是针刀剥离松解,部分损伤可行PRP注射。①半月板突出针刀剥离松解治疗。针刀治疗主要是松解和减压,缓解疼痛,不能复位。以内侧半月板突出治疗为例。患者平卧位,髋轻度外展外旋,膝关节屈曲30°,膝下垫一软枕。选用10 MHz超声探头,穿刺区域常规消毒,探头涂抹耦合剂后套入无菌手套碘伏消毒或使用无菌耦合剂。将探头置于患者皮肤表面,内侧关节间隙长轴扫查,找到半月板突出最高点,用25G针头,抽吸1%利多卡因3 ml逐层麻醉直到半月板。选用直径1 mm的Ⅰ型2号针刀从头侧向足侧方向在内侧副韧带与半月板之间,以及半月板内部进行剥离松解3~5刀拔出针刀(图13),局部压迫5分钟,无菌敷料覆盖。②半月板损伤PRP注射治疗。半月板损伤主要表现为髌下痛,伸膝加重,查体在髌下髌韧带与侧副韧带之间,沿关节间隙有固定或局限性压痛,伸膝过程中尤为明显。MRI可示半月板断裂、损伤。如果出现绞索,严重影响功能需手术治疗。半月板损伤治疗,以注射PRP修复为主。以内侧半月板后角损伤为例。患者俯卧位,治疗前准备同半月板突出针刀剥离松解治疗。选用25G注射针头,抽取1%利多卡因2 ml局部麻醉后,制取1.5 ml PRP,穿刺到达半月板撕裂处注射,注射完毕后出针(图14),局部压迫2分钟,无菌敷料覆盖。(2)膝关节静态结构交叉韧带治疗。膝关节骨关节炎交叉韧带损伤多为部分损伤,治疗早期主要为药物或PRP注射,效果不佳时针刀做止点松解。①后交叉韧带损伤药物注射治疗。主要治疗韧带肿胀、无明显断裂患者。患者俯卧位,膝关节伸直位。一般选用10 MHz超声探头,治疗前准备同半月板突出针刀剥离松解治疗。将探头置于患者皮肤表面,后交叉韧带长轴扫查,找到胫骨止点,选用22G长针头,抽吸1%利多卡因3 ml+曲安奈德10 mg,从头侧向足侧方向穿刺到后交叉韧带胫骨止点部位的韧带表面进行注射,注射结束拔出针头(图15),局部压迫2分钟,无菌敷料覆盖。②前交叉韧带损伤PRP注射治疗。患者仰卧位,膝关节伸直。选用10 MHz超声探头,治疗前准备同半月板突出针刀剥离松解治疗。将探头置于患者皮肤表面,短轴扫查,找到前交叉韧带胫骨止点,选用25G针头,抽吸1%利多卡因3 ml逐层麻醉直到韧带止点部位,制备PRP 3 ml注射到前交叉韧带显露部位,注射结束拔出针头(图16),局部压迫2分钟,无菌敷料覆盖。③前交叉韧带损伤针刀剥离松解治疗。体位与治疗前准备同前交叉韧带损伤PRP注射治疗。短轴扫查找到前交叉韧带胫骨止点,选用25G针头,抽吸1%利多卡因3 ml逐层麻醉直到韧带止点部位,选用直径0.6 mm的Ⅰ型2号针刀从外侧向内侧于前交叉韧带胫骨止点部位剥离松解3~5刀拔出针刀(图17),局部压迫5分钟,无菌敷料覆盖。
图13 超声引导下半月板突出针刀剥离松解治疗
图14 超声引导下半月板损伤富血小板血浆注射治疗
图15 超声引导下后交叉韧带损伤药物注射治疗
图16 超声引导下前交叉韧带损伤富血小板血浆注射治疗
图17 超声引导下前交叉韧带损伤针刀剥离松解治疗
3.膝关节内局部治疗。随着病情发展,静态结构失衡,膝关节内部结构发生变化,会出现软骨损伤、脱落,关节间隙变窄,内外间隙不等,骨赘形成等。膝关节内局部治疗包括关节内症状性骨赘剥离、玻璃酸钠及PRP注射等。(1)膝关节内症状性骨赘针刀剥离松解治疗。由于软骨缺损或者力平衡失调,在关节内脱落软骨区会出现骨赘。部分骨赘引起疼痛,或者与髌骨撞击出现临床症状需要治疗。针刀剥离目的不是去除骨赘,而是剥离松解,缓解或者消除疼痛。以股骨外髁骨赘为例。患者平卧位,膝关节屈曲100°~120°。一般选用10 MHz超声探头,穿刺区域常规消毒,探头涂抹耦合剂后套入无菌手套碘伏消毒或使用无菌耦合剂。将探头置于患者皮肤表面,短轴扫查,显示关节面与骨赘,选用25G注射针,抽吸1%利多卡因3 ml于骨赘周围进行分层麻醉。选用直径1 mm的Ⅰ型2号针刀,在超声引导下从外侧向内侧到达骨赘,反复剥离,一般5~8刀后拔出针刀结束治疗(图18),局部压迫5分钟,无菌敷料覆盖。(2)膝关节髌上囊积液治疗。髌上囊积液在膝关节骨关节炎比较常见,尽管积液量可能很大,但通过软组织松解治疗后,大部分患者积液会减少或者消失。所以积液的治疗可以放在后面处理。超声引导下抽出积液,药物注射是常用的治疗方法。膝关节炎积液的治疗通常包括关节内皮质类固醇激素或者臭氧注射。如果慢性以滑膜丛型增生为主,针刀有限切割增生滑膜加药物注射可提高疗效。①髌上囊积液抽吸加臭氧注射治疗。患者平卧位,膝关节屈曲30°~60°,膝下垫一软枕。选用10 MHz超声探头,治疗前消毒准备同骨赘针刀剥离松解治疗。将探头置于患者皮肤表面,短轴扫查,找到积液最多处,应用22G针头,直接穿刺进入髌上囊抽出液体,然后根据髌上囊大小制备35 μg/L的15~20 ml臭氧注入髌上囊内拔出针头(图19),局部压迫2分钟,无菌敷料覆盖。②髌上囊慢性滑膜炎针刀切割松解治疗。患者平卧位,膝关节屈曲30°~60°,膝下垫一软枕。选用10 MHz超声探头,治疗前消毒准备同骨赘针刀剥离松解治疗。将探头置于患者皮肤表面,长轴或短轴扫查,找到积液最多处,用一次性5 ml注射器抽吸1%利多卡因3 ml于髌上囊进行分层注射麻醉,囊内也要注射适量麻药,尽量抽出积液。选用直径1 mm的Ⅰ型2号针刀,长轴扫查从近端向远端,短轴扫查从外侧向内侧,在超声引导下进入囊肿内对内壁及增生滑膜的不同方向、角度进行反复切割(图20),一般2~3分钟拔出针刀,然后囊内注射1%利多卡因3 ml+曲安奈德15 mg,结束治疗,局部压迫5分钟,无菌敷料覆盖。(3)膝关节腔PRP注射治疗。关节腔注射主要是为了修复软骨,如果不是为了治疗积液,不主张应用激素类药物。目前主要的注射药物为玻璃酸钠、PRP。按照传统的注射部位,多为髌上内、外或者髌下内、外注射点,但是超声不能观察到注射针的位置,药物也不能很好到达软骨损伤的部位,效果受到影响(图21)。膝关节软骨损伤的主要部位在髌股关节的股骨髁,超声可以很好地显示这一部位,并能显示软骨变薄。因此,由这个路径平面内进针注射,可以很好显示穿刺针的路径与位置。以注射PRP为例。患者平卧位,膝关节屈曲100°~120°,选用10 MHz超声探头,治疗前消毒准备同骨赘针刀剥离松解治疗。将探头置于患者皮肤表面,短轴扫查显示关节面,应用25G注射针头,抽吸1%利多卡因2 ml由内侧进针进行分层麻醉直达关节软骨面。制备4.5 ml PRP,直接注射到关节面,液体顺关节面分布,注射完毕拔出针头(图22)。局部压迫2分钟,无菌敷料覆盖。(4)髌骨软化超声影像融合技术下PRP注射治疗。髌骨软化是指髌骨关节面的软骨损伤,软骨下骨囊变,MRI能够明确诊断,但是超声不能显示。应用超声与MRI的影像融合技术,依据MRI明确注射部位,在超声引导下可将药物精准注射到软骨损伤的部位。患者平卧位,膝关节屈曲30°,下面垫一软枕。一般选用10 MHz超声探头,治疗前消毒准备同骨赘针刀剥离松解治疗。将MRI的原始图像数据导入超声设备中,进行手动影像融合,完全融合后,确定穿刺靶点,以MRI图像为目标,以超声图像为实时引导进行穿刺,到达目标后,注射提前制取的PRP 3 ml(图23),注射完毕拔出针头,局部压迫3分钟,创可贴覆盖。
图18 超声引导下膝关节内症状性骨赘针刀剥离松解治疗
图19 超声引导下髌上囊积液抽吸加臭氧注射治疗
图20 超声引导下髌上囊慢性滑膜炎针刀切割松解治疗
图21 传统膝关节注射方法超声图像
图22 膝关节股骨髁关节面富血小板血浆注射治疗超声及操作图像
图23 髌骨软化MRI与超声影像融合技术下富血小板血浆注射治疗图像
4.神经卡压液压松解加药物注射治疗。膝关节神经卡压主要涉及膝内上支、膝外上支、膝内下支、髌下支。可根据神经支配区域的临床检查确定卡压神经。临床上隐神经髌下支卡压常见。隐神经髌下支从隐神经发出后穿缝匠肌至膝内前下方,与深筋膜紧密相连(图24)。隐神经髌下支卡压出现膝关节内下侧酸痛、麻木,胫骨内侧髁压痛阳性,Tinel征阳性,局部皮肤痛觉减退。确定诊断后可行隐神经髌下支液压松解。患者平卧位,膝关节屈曲30°,下面垫一软枕。一般选用10 MHz以上超声探头,穿刺区域常规消毒,探头涂抹耦合剂后套入无菌手套碘伏消毒或使用无菌耦合剂。首先扫查神经短轴切面,确定神经后旋转为长轴切面引导注射。选用25G穿刺针头,抽吸0.5%利多卡因4 ml+地塞米松3 mg,从近端穿刺,沿神经表面纵轴方向,确定针尖在神经膜外后推注药物进行松解,注射完毕后拔出针头(图25),局部压迫2分钟,创可贴覆盖。
图24 隐神经髌下支卡压超声图像
图25 超声引导下隐神经髌下支卡压液压松解加药物注射治疗

(八)注意问题

1.膝关节也是风湿免疫疾病、感染、痛风等疾病的好发部位,因此治疗前需要进行必要的鉴别诊断,确诊后再进行有效治疗。
2.膝关节结构复杂,骨关节炎涉及结构和功能的改变,病情不同时期影响的组织结构不同,因此整体评估至关重要。膝关节骨关节炎不应只注重关节内结构,疼痛的原因需要评估确定。关节结构改变和疼痛都是疾病的结果,而真正的原因往往并非在关节内。
3.动态结构除了按照膝关节本身的运动序列进行评估外,还要对髋部、踝部的功能进行评估,很多情况下致病因素可能来自膝关节以外。
4.处理过程并不是按照动态、静态、关节内完全分开的,有时候动态和静态处理需要同步进行。
5.血管和神经均集中于关节后侧,一定要仔细分辨确定好神经血管的位置后再进行操作,以免造成损伤。
6.有些结构病变不是单纯发生在骨关节炎患者,如脂肪垫炎、副韧带炎等。

二、髂胫束摩擦综合征

髂胫束摩擦综合征于1973年由Rennel首次提出,是指由于各种原因造成髂胫束及其周围结构异常,髂胫束与股骨外上髁过度摩擦,而引发膝关节外侧疼痛的综合征。多发生在跑步爱好者,所以也称为“跑步膝”。此疾病病因复杂,治疗后容易复发,疼痛比较顽固。目前以口服药物、药物注射及功能锻炼等保守治疗为主,针刀治疗有良好的效果。

(一)局部解剖

髂胫束是包绕大腿深筋膜——阔筋膜的外侧增厚部分,从髂嵴前缘的外侧缘起,分为上下两层,包裹阔筋膜张肌,并与之紧密结合不易分离,近端大转子水平源自阔筋膜张肌和臀大肌,向远端走行于股外侧肌浅方,途径股骨外侧髁,最终止于胫骨Gerdy结节、腓骨头和膝关节囊。在Gerdy结节处,髂胫束与股二头肌及股外侧肌纤维相互交织。髂胫束由致密组织构成,厚约1.9 mm。主要功能包括:(1)对膝盖的外部方面提供静态稳定性。(2)控制内收运动和大腿的减速作用。髂胫束起到固定膝关节,防止胫骨过度内旋,伸直膝关节和外展髋关节的作用。血液及营养供给较肌肉组织少。

(二)病因与病理

多发生在跑步爱好者或是自行车骑手。病因学有以下学说。(1)摩擦和压力理论。解剖学上,髂胫束有2个重要附件,第1个附件进入远端股骨外侧髁的上边缘;第2个附件插入胫骨Gerdy结节成为韧带的一部分。故髂胫束常在这2个位置受到挤压和摩擦。最早,多数人认为髂胫束带在股骨外上髁反复滑动摩擦,反复过度的屈曲伸展运动,导致局部炎症。但近年来,Fairclough等和Falvey等通过MRI发现髂胫束并非容易滑动的疏松结构,因此认为摩擦并不是引起症状的主要原因。(2)髂胫束侧向压缩机制。Fairclough等提出当膝关节屈曲30°时,髂胫束与股骨外上髁之间的脂肪组织(黏液囊)被压缩,进而引起疼痛并诱发炎症反应。(3)生物力线因素。Noehren等研究髂胫束摩擦综合征患者的力学因素,包括髋内收、膝内旋和后足外翻角度,以及部分关节(膝、髋及踝关节)的活动情况,发现较大的髋关节内收角度、膝关节内翻角度、胫骨轻微内旋及股骨外旋均可导致下肢力线改变而致病。由于先天或工作等因素造成过度髋内收、膝内翻或外翻均可引起力线改变而致病。(4)其他因素。除上述原因,其他不确定因素也会引起髂胫束摩擦综合征。Messier等提出臀部肌肉性能下降也是病因之一,包括肌肉(髋关节外展肌、臀中肌)强度、耐久性、灵活性和运动模式的改变。总之,髂胫束与股骨外侧髁之间的脂肪组织在运动中受到摩擦、刺激,会导致局部区域出现各种病理改变,如髂胫束周围滑囊炎、髂胫束慢性肌腱病或者两者兼而有之,肌腱出现充血、水肿、撕裂是主要的病理变化。

(三)临床表现

髂胫束摩擦综合征高危险人群包括女性、长跑运动员、自行车运动员,以及膝外翻(X型腿)、髋外展肌无力者。内在因素包括骨结构异常及臀部肌肉失能,外在因素则与生活习惯、不正确训练方式有关。髂胫束摩擦综合征是跑步爱好者外侧膝关节疼痛的主要原因,占跑步相关损伤的5%~14%,更常见于男性跑者,表现为跑步状态屈膝20°~30°或伸膝时,股骨外侧髁感到疼痛,伴或不伴有膝关节打软等症状。多数患者就诊时描述为大腿外侧及膝关节疼痛、酸胀感,影响正常生活。在下坡跑步或下楼梯时,会再次诱发膝盖疼痛。查体:伸屈膝关节,髌骨外侧疼痛可有摩擦音;患侧臀部及胫骨外侧压痛并放射至膝部;触诊髂胫束明显紧张,严重者可出现结节;Ober征阳性:患者侧卧,健侧在下,屈髋屈膝90°,检查者一手固定骨盆,另一只手握住患肢踝部,之后屈髋、外展再伸直,此时放松握踝的手,正常可自然下落到健肢后方,如不能落下或者在健肢前方则为阳性。需要与膝关节外侧半月板及外侧副韧带损伤、髌骨软化症等疾病相鉴别。

(四)辅助检查

X线主要观察膝关节骨关节结构改变,是否有内翻或者外翻畸形,关节间隙是否变窄,局部是否有骨软骨瘤等。MRI可以提高确诊率。MRI可显示股骨外侧髁的近或远侧境界不清的异常信号,髂胫束深浅部的异常信号,髂胫束与股骨外侧髁的近或远侧局限性积液,胫骨结节的撕脱性骨折和髂胫束附着处水肿。超声测量髂胫束的厚度以及回声情况有助于临床确诊。

(五)超声影像学表现

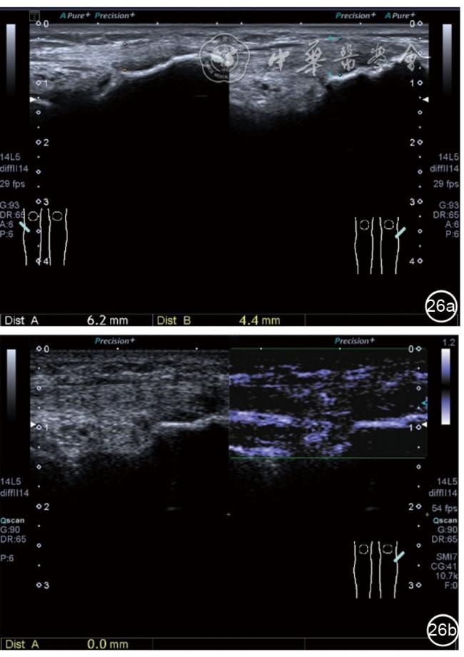
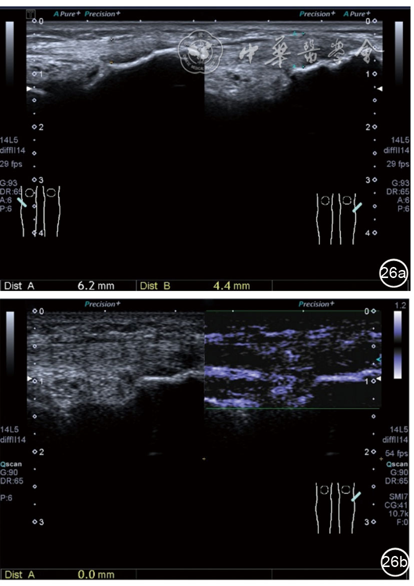
髂胫束的最佳显示切面为长轴切面,采用高频探头,扫查深度<3 cm。超声表现胫骨附着点处骨皮质不规则,髂胫束增厚,回声减低,其周围组织水肿,血流增加(图26)。股骨髁部肿胀、增厚,回声减低,超声触诊可能诱发股骨外侧髁处的疼痛。部分患者可见髂胫束滑囊扩张,内为无回声积液(图27)。
图26 超声图像显示胫骨附着点处骨皮质不规则,髂胫束增厚,回声减低,其周围组织水肿,血流增加
图27 超声图像显示股骨髁部肿胀、增厚,回声减低,部分患者可见髂胫束滑囊扩张

(六)整体治疗思路

髂胫束综合征病因复杂,是多因素造成的损伤。除结构方面的,还会有功能方面的损伤病变。因此需要整体评估及局部加整体的治疗。(1)局部治疗。主要是针对髂胫束局部病变部位的治疗,主要方法为药物注射和针刀剥离松解治疗。(2)静态结构治疗。主要是继发的滑囊处理,可以抽吸药物注射,也可以针刀切割,需要根据临床评估结果决定。(3)动态结构治疗。直接相关肌肉为臀大肌和阔筋膜张肌。解剖结构清楚地表明臀大肌、阔筋膜张肌不仅将力量传送至股骨粗线,而且传送至髂胫束,有维持膝关节外侧稳定的作用。臀大肌会影响髂胫束及整个阔筋膜,这可以解释阔筋膜高张力是导致髂胫束综合征,或广义上讲的膝关节外侧疼痛的原因。因此,当遇到髂胫束综合征或者膝关节外侧疼痛患者时检查臀大肌和阔筋膜张肌是必要的,因其为髂胫束的直接张力来源。早期只有膝关节外侧疼痛,检查没有结构改变时,调整髋关节肌肉功能的生物力学及下肢生物力线即可收到很好的临床效果。间接因素主要包括体侧线,包括股外侧肌、腓骨长肌等。股外侧肌的许多纤维延伸为外侧肌间隔前部,并最终在膝关节处与膝前韧带融合。因此,髂胫束和外侧肌间隔一起,协调臀大肌和股外侧肌的运动。主要治疗方法为寻找激痛点进行干、湿针灭活。(4)神经卡压治疗。髂胫束综合征可能会引起膝外上神经卡压。治疗主要为液压松解药物注射治疗。

(七)治疗方法

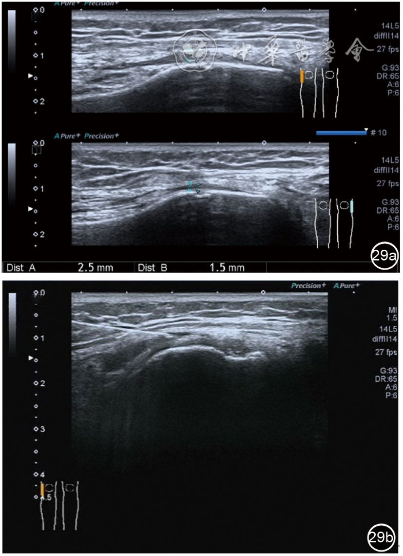
1.髂胫束局部治疗。仍以保守治疗为首选。如物理治疗、口服药物、康复训练等,早期可以超声引导下肌腱表面注射治疗。针刀剥离松解治疗具有创伤小、恢复时间短、感染率低、适应证广,无绝对禁忌证等优势,可作为首选手术方案。(1)髂胫束胫骨附着点表面局部药物注射治疗。患者侧卧位,髋内旋,膝关节屈曲20°~30°,膝下垫枕。局部消毒,铺无菌巾,穿刺区域常规消毒,探头涂抹耦合剂后套入无菌手套碘伏消毒或使用无菌耦合剂,长轴显示髂胫束,找到胫骨附着点病变部位。选用25G针头,抽取1%利多卡因3 ml+曲安奈德10 mg,超声引导下针尖到达肌腱表面进行注射(图28),注射完毕拔出针头,局部压迫2分钟,穿刺点创可贴覆盖。(2)髂胫束股骨外髁附着点局部药物注射治疗。体位及治疗前准备同髂胫束胫骨附着点表面局部药物注射治疗,长轴显示髂胫束,找到股骨外髁附着点病变部位。确定髂胫束与股骨外髁之间为靶点,选用25G针头,抽取1%利多卡因3 ml+曲安奈德10 mg,超声引导下,针尖到达骨表面进行注射(图29),注射完毕拔出针头,局部压迫2分钟,穿刺点创可贴覆盖。(3)髂胫束胫骨附着点局部针刀剥离松解治疗。体位及治疗前准备同髂胫束胫骨附着点表面局部药物注射治疗。超声探头长轴位扫查,根据压痛点和超声显示肌腱变化的位置确定靶点。用1%利多卡因3 ml沿韧带表面及胫骨止点病变部位局部麻醉。选用直径0.6 mm的Ⅰ型2号针刀由近端向远端平面内进刀,平刀在韧带表面剥离松解3~5刀,然后进入胫骨附着点损伤处进行剥离松解3~4刀拔出针刀(图30),局部压迫止血5分钟,无菌敷料覆盖。(4)髂胫束股骨外髁附着点局部针刀剥离松解治疗。体位及治疗前准备同髂胫束胫骨附着点表面局部药物注射治疗。超声探头长轴位扫查,根据压痛点和超声显示肌腱变化的位置确定靶点。用1%利多卡因3 ml沿股骨外髁部位的髂胫束表面局部麻醉。选用直径0.6 mm的Ⅰ型2号针刀由近端向远端平面内进刀,平刀在髂胫束表面剥离松解3~5刀拔出针刀(图31),局部压迫止血5分钟,无菌敷料覆盖。
图28 超声引导下髂胫束胫骨附着点表面局部药物注射治疗
图29 超声引导下髂胫束股骨外髁附着点局部药物注射治疗
图30 超声引导下髂胫束胫骨附着点局部针刀剥离松解治疗
图31 超声引导下髂胫束股骨外髁附着点局部针刀剥离松解治疗
2.髂胫束动态结构治疗。(1)髂胫束动态结构直接相关臀大肌激痛点灭活治疗。患者俯卧或者侧卧位,侧卧位患侧在上。选用10~14 MHz超声探头,治疗前消毒准备同髂胫束胫骨附着点表面局部药物注射治疗。将探头顺臀大肌纤维方向置于臀大肌中下部激痛点位置,应用直径0.6 mm的Ⅰ型2号针刀先在臀大肌表面筋膜平刀进行剥离松解,然后刺入臀大肌内,提插法进行针刺直至局部肌肉抽搐2~3次或者出现酸胀感拔出针刀(图32),局部压迫2分钟,无菌敷料覆盖。(2)髂胫束动态结构间接相关股外侧肌激痛点灭活治疗。患者侧卧位,患侧在上。选用10~14 MHz超声探头,治疗前消毒准备同髂胫束胫骨附着点表面局部药物注射治疗。将探头长轴置于股外侧肌中下段寻找激痛点位置,应用直径0.4 mm微针刀刺入股外侧肌内,提插法进行针刺直至局部肌肉抽搐2~3次,或者出现酸胀感拔出针刀(图33),局部压迫2分钟,无菌敷料覆盖。
图32 超声引导下髂胫束动态结构直接相关臀大肌激痛点针刀灭活治疗
图33 超声引导下髂胫束动态结构间接相关股外侧肌激痛点针刀灭活治疗
3.髂胫束引起膝外上神经卡压液压松解药物注射治疗。膝外上支是腓总神经的分支,支配关节囊及周围组织的感觉。由于神经较细超声很难分辨,通常依靠伴行血管做引导进行注射治疗。患者侧卧位,髋内旋,膝关节屈曲20°~30°,膝下垫枕。治疗前消毒准备同髂胫束胫骨附着点表面局部药物注射治疗,长轴显示股骨外髁与股骨干交界位置,寻找伴行血管,确定靶点。选用25G针头,抽取1%利多卡因3 ml+地塞米松3 mg,超声引导下,针尖到达骨面血管附近,抽吸无回血进行注射,注射完毕拔出针头(图34),局部压迫2分钟,穿刺点创可贴覆盖。
图34 髂胫束引起膝外上神经卡压超声引导下液压松解药物注射治疗

(八)注意问题

1.髂胫束摩擦综合征病因复杂,病变部位不同,产生的症状也不同。局部疼痛只是疾病的结果。疾病多发生于股骨髁和胫骨止点。髂胫束股骨外髁附着点多位于髂胫束与骨之间,因此注射时可将药物注射到骨面。针刀剥离时最好在髂胫束表面,以免穿刺损伤髂胫束。
2.针刀剥离松解时要确认周围的神经血管,避免损伤腓总神经。
3.外侧副韧带在髂胫束后方深层,操作时要确认并避免损伤。合并有滑囊或者囊肿时一并针刀切割处理。
4.针对产生的病因做相应肌肉的张力调整,特别是髋部肌肉的评估调整,通过对激痛点进行灭活,解决肌肉的张力问题,改变力线,调整髋内翻,可以有效改善临床症状。

三、腓总神经卡压综合征

腓总神经卡压综合征也称为腓管综合征,是指腓总神经走行于腘窝至腓骨颈节段中受到卡压而引起的一系列神经损伤症候群,卡压的部位最常发生于腓管处。腓管综合征常见足部麻木,严重者会导致足下垂等症状,保守治疗有良好的效果。

(一)局部解剖

腓总神经是坐骨神经的主要分支。在腘窝上外侧沿股二头肌腱的内缘下行,约1/3为股二头肌所覆盖。然后越过腓肠肌外侧头的后面,位于股二头肌腱和腓肠肌外侧头外侧缘之间的凹陷中,在该处直接与膝关节纤维性关节囊相贴。腓总神经的外侧为股二头肌肌腱;前内侧为腓肠肌外侧头;后方为致密的腘筋膜与髂胫束的移行部;腓总神经行走于三者围成的沟内。腓总神经沿股二头肌腱内侧缘行向外下,与股二头肌一起到达腓骨小头处;然后,穿股二头肌与腓肠肌外侧头之间,由腓骨头后面向前下走行;至腓骨颈外侧,紧贴骨膜绕至腓骨颈的前方,经腓肠肌纤维弓进入腓管,亦称腓骨上管。腓管为部分腘筋膜、腓骨长肌纤维与腓骨颈共同形成的长10~20 mm的骨纤维管道,位于小腿上1/3,腓骨外侧与腓骨长肌的起点之间。腓管的入口由少量腘筋膜、腓骨长肌起始部的腱性纤维与腓骨骨面围成。腓管入口距腓骨尖9~18 mm,出口距腓骨尖30~50 mm。腓骨长肌腱性纤维弓亦称为“J”形腓骨长肌纤维弓。在腓管中,腓总神经大多与腓骨颈骨面相邻,也可穿过腓骨长肌腱。腓总神经有以下分支:(1)腓浅神经运动支。支配腓骨长、短肌;余为感觉支,支配足背、趾背大部分皮肤的感觉。该神经的背侧皮支,在腓骨远中1/3交界处易损伤,可导致足背麻木。(2)腓深神经运动支。支配胫前肌、趾长伸肌、第三腓骨肌、长伸肌、趾短伸肌及第一、二骨间背侧肌;皮支支配第一、二趾间背侧的一小块皮肤的感觉。(3)膝返神经。系腓总神经的一个恒定的分支,其可来源于腓总神经(占61.4%)、腓深神经(占35.7%)和腓浅神经(2.9%)。如膝关节外侧不适,同时有小腿或足外侧麻木等表现而膝关节本身又无病变者,可考虑与该神经病变有关。

(二)病因与病理

引起腓总神经卡压的病因很多,一般为体外压迫、强迫姿势与劳损、占位性病变压迫和医源性损伤。体外压迫是最常见的原因,石膏或绑夹板固定过紧、膝侧副韧带断裂、腓骨头尖撕脱骨折也容易造成腓总神经损伤。一些特殊姿势劳动,如久蹲、长时间盘坐等也可以导致卡压。局部肿瘤占位性病变比较少见。腓总神经向下越过腓骨头下方时,因接近表面,而且神经束数目和结缔组织的含量较腘窝部神经干的含量明显增多,因此此段总神经干较股部神经干增粗约一倍,其横径增粗2 mm,这也是其易受卡压的解剖学因素之一。上述因素对腓总神经造成挤压,引起腓总神经和其周围软组织水肿、充血、机化、纤维粘连,如此恶性循环,最终导致腓总神经受卡压而致病。因其支配足部伸肌及外翻肌,所以会导致这些肌群瘫痪,呈马蹄内翻畸形,但皮肤感觉丧失程度轻微。

(三)临床表现

除急性损伤外,大多为缓慢起病,也有无任何病史发病者。主要表现为患肢小腿酸胀、疼痛不适,行走多、走路快或足内翻时,可加剧疼痛。腓总神经麻痹前无肌力减退。腓总神经麻痹后,则出现踝关节背伸无力及伸趾无力,逐渐发生足外翻力减弱或完全麻痹。患者行走时,膝关节高抬,足向上拉,足趾下垂,难以离地,其状犹如跨越门槛。查体:(1)腓骨颈处有明显压痛和放射痛;(2)Tinel征阳性:叩击腓骨颈处出现腓总神经的窜麻等异常感觉;(3)运动障碍:足背伸、足趾背伸乏力以至消失,出现足下垂。检查时胫骨前肌、长伸肌、趾长伸肌、腓骨长肌等肌力减弱;(4)皮肤感觉减退:小腿外侧及足背皮肤感觉减退或有其他异样感觉。

(四)辅助检查

肌电图检查有一定的参考价值。X线可除外腓骨头骨折、骨肿瘤占位疾病,有一定的参考价值。超声能够显示腓总神经压迫发生的部位和程度,并可进行引导治疗。

(五)超声影像学表现

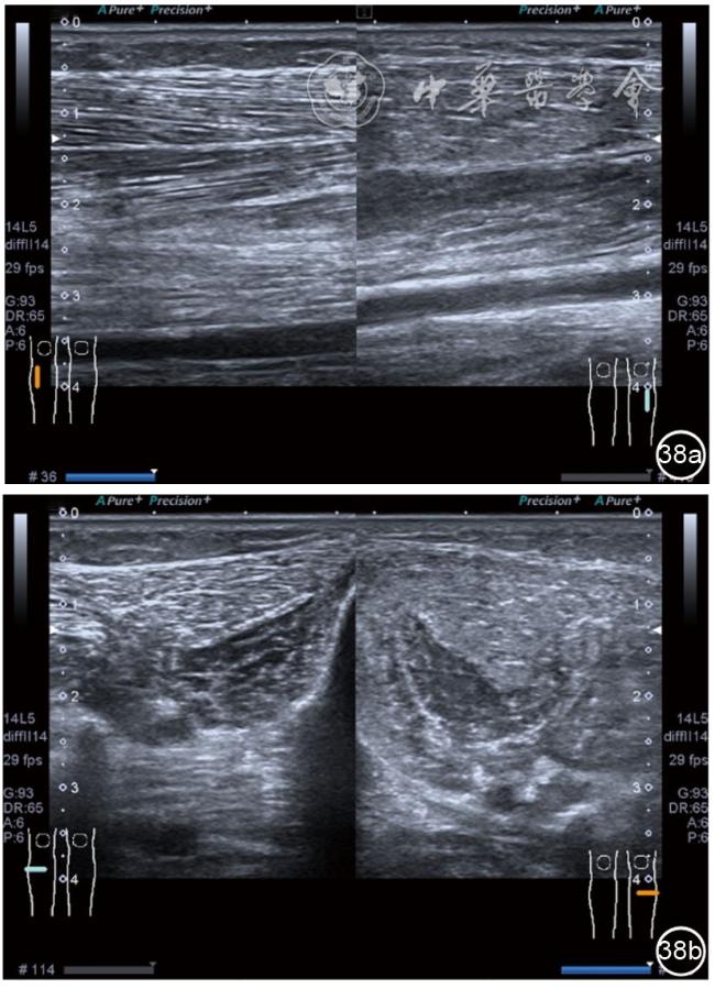
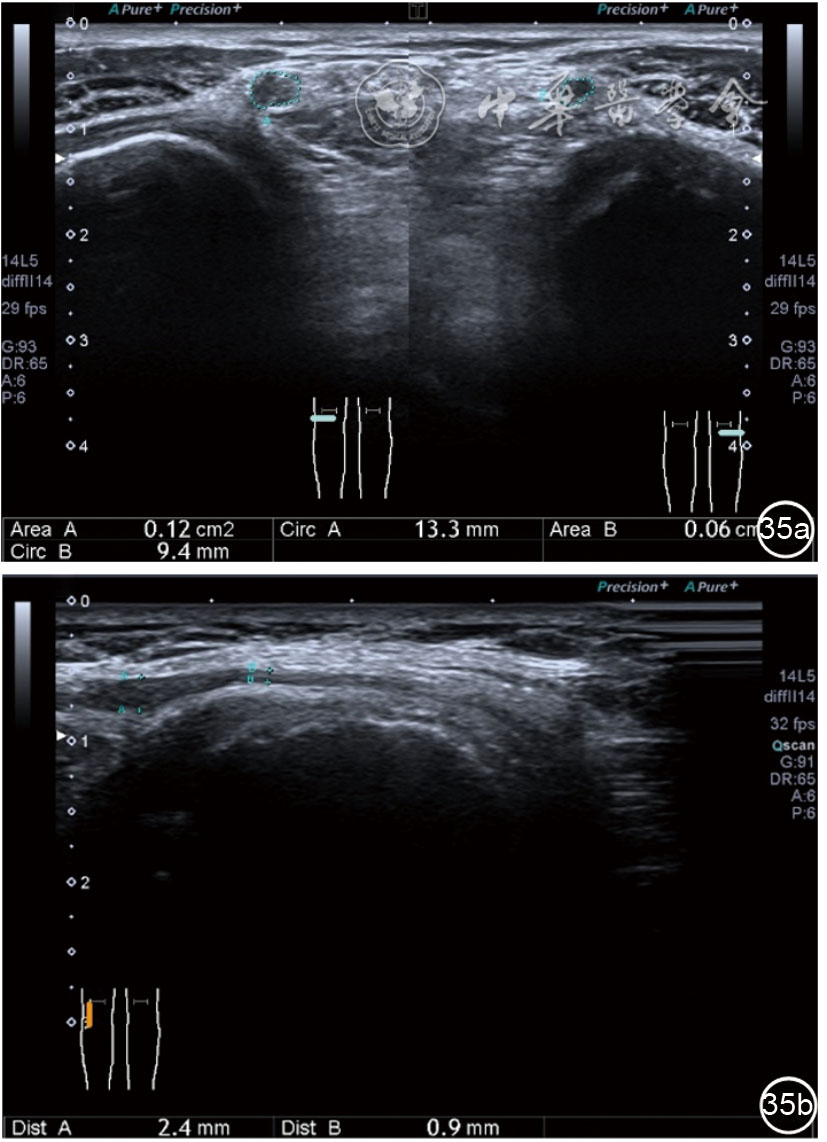
患者采取侧卧位,患肢在上,屈膝20°。应用10~18 MHz高频线阵探头,扫查深度1~3 mm。长轴和短轴结合双侧对比扫查。超声影像学所见:短轴可见卡压腓总神经近端增粗,面积增大;长轴可见腓总神经卡压处变细,其近侧肿胀、回声减低,而在卡压远侧则表现正常(图35);一些受压严重者可以出现神经周围积液,卡压神经部位的筋膜增厚(图36);受压神经内血流增加对临床诊断意义更大(图37);探头在病变神经处加压常可引起神经刺激症状。腓总神经支配的肌肉有失神经支配改变,表现为肌肉回声增高和肌肉萎缩(图38)。
图35 超声短轴可见卡压腓总神经近端增粗,面积增大;长轴可见腓总神经卡压处变细,其近侧肿胀、回声减低
图36 超声图像示腓总神经周围积液,卡压神经部位的筋膜增厚
图37 受压腓总神经内血流增加超声图像
图38 肌肉回声增强和肌肉萎缩超声图像

(六)整体治疗思路

腓总神经因为位置表浅,容易受到自体压迫或者由于腓骨长肌、腓肠肌外侧头、股二头肌肌张力过高引起神经压迫而出现临床症状。此外,还有局部筋膜和神经本身因素,因此需要整体评估和整体治疗,但是仍以局部治疗为主。整体治疗思路:(1)局部治疗。以腓总神经受压部位松解为主,主要方法为液压松解、药物注射治疗;(2)静态结构治疗。腓管卡压部位的筋膜松解,主要方法为针刀切割松解治疗;(3)动态结构松解治疗。直接相关肌肉为腓骨长肌和股二头肌。间接相关肌肉为体侧线的阔筋膜张肌或后表线的小腿腓肠肌,主要方法为微针刀激痛点灭活。

(七)治疗方法

1.腓总神经卡压局部液压松解加药物注射治疗。单纯的因为体位压迫因素或者有明确的韧带压迫造成的早期腓总神经卡压,可以应用液压松解治疗,效果满意。如果治疗效果不佳,可以应用针刀对压迫韧带切割松解。患者采取健侧侧卧位,患肢在上,屈膝20°。穿刺区域常规消毒,探头涂抹耦合剂后套入无菌手套碘伏消毒或使用无菌耦合剂。将探头置于患者皮肤表面,首先扫查神经短轴切面,确定神经后旋转为长轴切面引导注射。寻找神经卡压最明显的部位(粗、细交界区),用一次性10 ml注射器,应用25G注射针头抽吸0.5%利多卡因8 ml+地塞米松5 mg,从近端穿刺(也可以从远端向近端),沿神经表面纵轴方向,确定针尖在神经膜外后推注药物进行松解(图39),长轴、短轴观察,如果液体沿着神经周围分布良好,无压迫,完成松解。拔出针头,局部压迫3分钟,创可贴覆盖。
图39 超声引导下腓总神经卡压局部液压松解加药物注射治疗
2.腓总神经卡压静态结构针刀切割松解治疗。体位与治疗前准备同局部液压松解加药物注射治疗。治疗点在卡压最明显的部位,一般有两个部位,一是入腓骨长肌前,腘肌与股二头肌筋膜构成的纤维通道;二是腓总神经进入腓骨长肌内的腓骨长肌筋膜。(1)入腓骨长肌前腓管针刀切割松解治疗。找到腓总神经卡压最明显处,应用25G注射针头抽吸0.5%利多卡因6~8 ml,从近端穿刺,沿腓总神经长轴在筋膜与神经之间注射,分离扩张腓管,满意后用直径1.0 mm的Ⅰ型2号针刀由近端向远端平面内进刀,由浅入深切割分离的腓管筋膜,直至松解彻底拔出针刀(图40),局部压迫止血5分钟,无菌敷料覆盖。(2)入腓骨长肌腓管针刀切割松解治疗。长轴找到腓总神经卡压最明显处,将探头转为短轴,应用25G注射针头抽吸0.5%利多卡因6~8 ml,于腓管筋膜表面和筋膜与神经之间注射,分离扩张腓管,满意后用直径1.0 mm的Ⅰ型2号针刀由后向前平面内进刀,由浅入深切割分离的腓管筋膜,直至松解彻底拔出针刀(图41),局部压迫止血5分钟,无菌敷料覆盖。
图40 超声引导下入腓骨长肌前腓管针刀切割松解治疗
图41 超声引导下入腓骨长肌腓管针刀切割松解治疗
3.动态结构松解治疗。(1)直接相关因素肌肉腓骨长肌激痛点灭活。体位与治疗前准备同腓总神经卡压局部液压松解加药物注射治疗。探头沿长轴显示腓骨长肌,选直径0.4 mm的Ⅰ型2号针刀在肌肉内提插,肌肉出现抽搐或感觉酸胀拔出针刀或应用25G注射针头穿刺提插,出现肌肉抽搐或者酸胀注射1%利多卡因1 ml进行湿针灭活(图42),局部压迫5分钟,无菌伤口贴覆盖。(2)间接相关肌肉阔筋膜张肌激痛点灭活。患者侧卧或仰卧位,治疗前准备同腓总神经卡压局部液压松解加药物注射治疗。探头沿长轴或者短轴显示阔筋膜张肌,选直径0.4 mm的Ⅰ型2号针刀在肌肉内提插,肌肉出现抽搐或感觉酸胀拔出针刀(图43),局部压迫5分钟,无菌伤口贴覆盖。
图42 直接相关因素肌肉腓骨长肌超声引导下激痛点针刀灭活治疗
图43 间接相关肌肉阔筋膜张肌超声引导下激痛点针刀灭活治疗
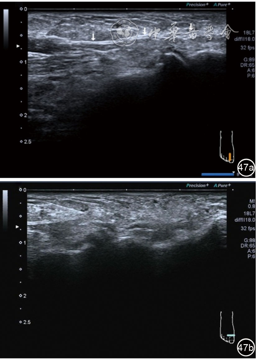
4.腓总神经分支卡压的治疗。常见腓浅神经、腓深神经感觉支卡压。主要表现为足背侧的感觉减退。腓深神经只支配第一、二足趾之间的感觉,腓浅神经支配的感觉区域较多,第一、二足趾之间外的足背感觉均由腓浅神经支配,根据感觉障碍区域确定卡压神经,超声可以明确卡压部位和原因。超声可显示卡压神经增粗,回声减低,局部软组织回声不均匀等(图4445)。治疗以液压松解药物注射为主。以腓深神经为例进行介绍。常见卡压部位在小腿和足背部。根据卡压部位不同,患者采取不同的体位。如果在小腿部采用平卧位,膝关节伸直位即可。穿刺区域常规消毒,探头涂抹耦合剂后套入无菌手套碘伏消毒或使用无菌耦合剂。将探头置于患者皮肤表面,小腿部位采用短轴扫查,确定神经卡压最明显的部位后,用一次性5 ml注射器,应用25G注射针头抽吸0.5%利多卡因4 ml+地塞米松3 mg平面内进针到达神经周围,注意回抽无血液回流后进行注射(图46),完成注射松解,拔出针头,局部压迫3分钟,创可贴覆盖。如果在足背部可以采取平卧位,屈髋、屈膝将足平放于治疗床面。治疗前准备同小腿部,采用长轴显示神经,确定神经卡压最明显的部位后,用一次性5 ml注射器,应用25G注射针头抽吸0.5%利多卡因2 ml+地塞米松1 mg平面内进针到达神经表面进行注射(图47),完成注射松解,拔出针头,局部压迫3分钟,创可贴覆盖。
图44 腓浅神经在小腿中下1/3筋膜穿出部位卡压的短轴和长轴超声图像
图45 腓浅神经在小腿中下1/3筋膜穿出部位局部软组织回声不均匀超声图像
图46 腓深神经在小腿近端腓深神经、腓浅神经分开处卡压及穿刺注射治疗超声图像
图47 腓深神经足背处卡压及穿刺注射治疗超声图像

(八)注意问题

1.超声需要结合临床明确诊断,排除神经本身病变和高位神经如坐骨神经疾病,特别要明确病变部位。
2.腓总神经非常脆弱,容易引起医源性损伤,为避免损伤,需在长轴切面全程显示穿刺针尖。穿刺点最好在卡压严重部位,即粗细交界区和血流丰富区。
3.注射药液松解卡压部位时药液沿腓总神经鞘分布,长轴观察卡压消失,神经走行顺畅;短轴观察药液分布均匀,方可结束治疗。
4.神经压迫与股二头肌、腓骨长肌的张力有关,需要处理激痛点。
参与本文讨论与撰写的专家
执笔专家:宓士军(河北省唐山市丰润区人民医院)
审核专家:郭瑞君(首都医科大学附属北京朝阳医院)
专家组成员:陈定章(空军军医大学西京医院)、刘雪梅(首都医科大学附属北京中医医院)、郭佳(上海市东方医院)、金蓉(天津市中医药研究院附属医院)、沈素红(河南省洛阳正骨医院)、吕秀章(首都医科大学附属北京朝阳医院)、盛丽(甘肃省中医院)、殷立平(江苏省第二中医院)、赵宏佳(福建中医药大学附属人民医院)、王金萍(安徽中医药大学第一附属医院)、郑元义(上海交通大学附属第六医院)、刘昕(保定市第一中心医院)、吴意赟(江苏省中医院)、刘晓宁(广安门中医院)、杨理坤(联勤保障部队第九〇四医院)、谯朗(四川省中西医结合医院)、王月爱(湖南中医药大学第一附属医院)、蒋雪梅(山东中医药大学附属医院)、宮玉榕(福建中医药大学附属人民医院)、史榕荇(中日友好医院)、程起(深圳市宝安区人民医院)、康或(成都中医药大学附属医院)、李华(新疆医科大学附属中医院)、李晶(黑龙江中医药大学附属医院)、游涛(福建中医药大学附属第二人民医院)、杨政伟(重庆市大足区中医院)、钟勇(南昌市洪都中医院)、薛爱荣(河南省中西医结合医院)、卢瑞刚(首都医科大学附属北京朝阳医院)、周倩(首都医科大学附属北京朝阳医院)、吕朝阳(首都医科大学附属北京朝阳医院)、邓广明(青县人民医院)、辛丽丽(青县人民医院)、李国先(张家口市中医医院)、张普(保定市骨科医院)、王明侠(北京朝阳医院怀柔医院)、郑渤(葫芦岛市中心医院)、崔金花(北京市大兴区中西医结合医院)
Outlines

/

Copyright © Chinese Journal of Medical Ultrasound (Electronic Edition), All Rights Reserved.
Tel: 010-51322630、2632、2628 Fax: 010-51322630 E-mail: csbjb@cma.org.cn
Powered by Beijing Magtech Co. Ltd