Home    中文  
 
  • Search
  • lucene Search
  • Citation
  • Fig/Tab
  • Adv Search
Just Accepted  |  Current Issue  |  Archive  |  Featured Articles  |  Most Read  |  Most Download  |  Most Cited
Case Report

Invasive hydatidiform mole with pelvic venous involvement: a case report

  • Ming Wang ,
  • Yonglan He ,
  • Meng Yang
Expand

Received date: 2025-03-23

  Online published: 2025-08-01

Copyright

Copyright by Chinese Medical Association No content published by the journals of Chinese Medical Association may be reproduced or abridged without authorization. Please do not use or copy the layout and design of the journals without permission. All articles published represent the opinions of the authors, and do not reflect the official policy of the Chinese Medical Association or the Editorial Board, unless this is clearly specified.

Cite this article

Ming Wang , Yonglan He , Meng Yang . Invasive hydatidiform mole with pelvic venous involvement: a case report[J]. Chinese Journal of Medical Ultrasound (Electronic Edition), 2025 , 22(06) : 580 -582 . DOI: 10.3877/cma.j.issn.1672-6448.2025.06.013

患者,女性,36岁,孕4产1,既往有两次人工流产史,因"停经2个月,宫腔镜联合腹腔镜术后1周出现阴道少量出血"于2024年10月在北京协和医院就诊。1周前,患者因停经7周于外院就诊,无阴道出血症状。实验室检查示血β-人绒毛膜促性腺激素(β-human chorionic gonadotropin,β-hCG)为9390 mIU/ml,孕酮为2.11 ng/ml。超声提示宫内未见妊娠囊,右侧卵巢可见大小约2.4 cm×2.3 cm的囊肿,左侧附件区可见大小约1.3 cm×0.6 cm的囊性无回声区,伴左侧宫旁大量迂曲扩张的静脉血管样回声。患者因疑诊异位妊娠在外院接受宫腔镜联合腹腔镜探查术,术中宫内外均未见孕囊,行刮宫及右侧卵巢囊肿剔除,并于宫腔置管防粘连。术后病理提示子宫内膜腺体分泌旺盛,间质细胞肥大,呈蜕膜样变,未见胎盘绒毛;右侧卵巢黄体囊肿。术后1 d血β-hCG为7153 mIU/ml,术后3 d为6829 mIU/ml,术后1周为5796 mIU/ml。患者因宫内外均未见孕囊,病理未见绒毛,β-hCG未下降至正常来我院进一步诊治。
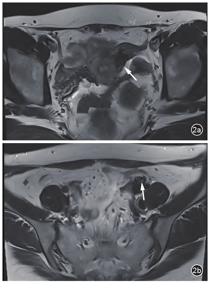
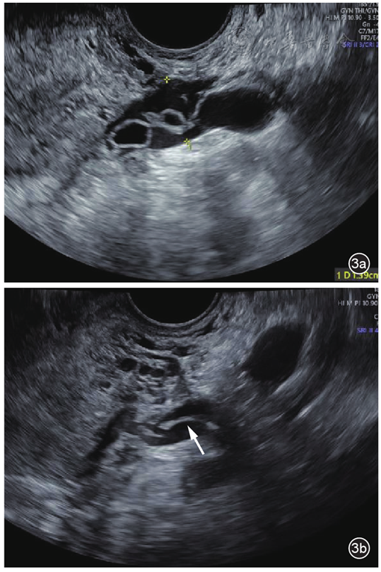
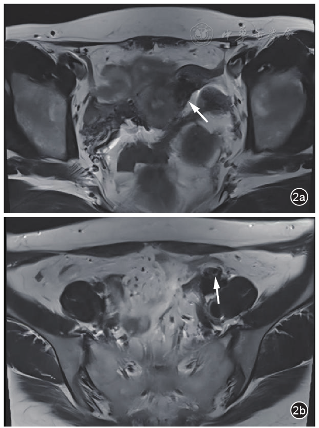
入院妇科查体左附件区呈增厚感,无压痛,右附件区未见异常。经阴道超声检查显示子宫宫腔内可见支架回声,内膜菲薄,左侧壁上段临近浆膜层处肌层回声不均,局部可见团块状中高回声,大小1.4 cm×1.3 cm;左侧宫旁静脉及髂静脉显著扩张,最宽处达到1.4 cm,内部可见多个薄壁囊泡状无回声及条索状的中等回声结构,其中较大的无回声直径约为0.9 cm。动态观察显示子宫左侧壁上段临近浆膜层处中高回声与宫旁扩张静脉内异常回声相连。双侧附件区未见明确囊实性包块。彩色多普勒血流成像(color Doppler flow imaging,CDFI)显示宫旁扩张静脉及髂静脉的囊泡状无回声内未见血流信号,周边残余管腔血流充盈尚可(图1)。超声检查提示子宫肌层及左侧盆腔静脉内异常回声,结合临床考虑侵袭性葡萄胎可能。盆腔动态增强MRI显示子宫左侧壁上段可见小囊状长T2信号,邻近伴多发迂曲略粗血管流空信号;左侧附件区可见不规则小片状等T2信号及多发小囊状长T1长T2信号,强化不均,邻近宫旁静脉迂曲增粗呈蚓状,范围约4.4 cm×1.7 cm,提示左侧附件区及子宫左侧壁上段见多发异常信号及血管流空影,妊娠滋养细胞肿瘤不除外(图2)。患者胸部CT、心脏超声、心电图未见明显异常。
图1 盆腔静脉侵袭性葡萄胎患者化疗前盆腔超声图像。图a,d为经阴道超声纵切面图像显示左侧盆腔静脉内多发囊泡状无回声及条索状中等回声(长箭头),左侧壁上段临近浆膜层处中高回声(短箭头)与宫旁扩张静脉内异常回声相连;图b,e为扩张宫旁静脉内见数个囊泡状无回声,彩色多普勒血流成像(CDFI)显示其内血流信号充盈缺损;图c,f为扩张髂静脉内见囊泡状无回声,CDFI显示其内血流信号充盈缺损
图2 盆腔静脉侵袭性葡萄胎患者化疗前盆腔MRI T2加权横断面成像。图a示子宫左侧宫旁静脉迂曲增粗,内见数个囊状结构(箭头所示);图b示左侧扩张髂静脉内见囊泡状结构(箭头所示)
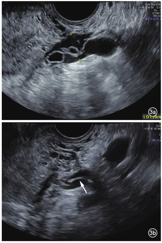
综合临床表现、实验室检查及影像学特征,临床诊断为高危型妊娠滋养细胞肿瘤Ⅱ期,预后评分7分。患者接受了更生霉素联合拓益(PD-1抑制剂)化疗,共8个疗程。化疗期间,患者血β-hCG水平逐渐降至正常。化疗7个疗程后复查经阴道超声显示左侧宫旁静脉扩张较前明显减轻,较宽处约0.8 cm,其内见少许条索样中等回声,宽约0.2 cm,未见明确囊泡状无回声,余盆腔静脉及髂静脉内未见异常回声(图3);盆腔增强MRI显示左侧附件区多发异常信号及血管流空影较前减小,子宫肌层信号不均较前稍减轻,提示治疗效果显著。本研究经北京协和医院伦理委员会审批同意(批件号:I-24PJ2530)。
图3 盆腔静脉侵袭性葡萄胎患者化疗前、后左侧宫旁静脉病灶变化超声对比图像。图a为化疗前宫旁扩张静脉内可见多个囊泡状无回声;图b为化疗后左侧宫旁静脉扩张较前减轻,管腔内囊泡状无回声消失,仅见少许条索状中等回声(箭头所示)

讨论

妊娠滋养细胞肿瘤(gestational trophoblastic neoplasia,GTN)是一组与妊娠相关的恶性肿瘤,包括侵袭性葡萄胎(invasive mole,IM)、绒毛膜癌(choriocarcinoma,CC)、胎盘部位滋养细胞肿瘤(placental site trophoblastic tumor,PSTT)和上皮样滋养细胞肿瘤(epithelioid trophoblastic tumor,ETT)[1]。其中,IM和CC是临床上较为常见的两种类型。IM是指葡萄胎病变侵入子宫肌层或超出子宫范围,水泡状绒毛可能累及阴道、外阴、阔韧带、盆腔,此外,IM还可能穿透子宫壁进入血液循环,进而转移到肺、肝脏、脑等部位[2,3]。而CC则以滋养细胞失去绒毛结构、侵袭子宫肌层并造成局部破坏为特征,具有高度恶性和广泛转移的潜能[4]。根据国际妇产科联盟(Federation International of Gynecology and Obstetrics,FIGO)预后评分,GTN采用分级及个体化的治疗原则,因此早期准确诊断GTN对制定个体化治疗方案、缩短化疗疗程和改善预后具有重要意义[5]
根据FIGO和国际妇科肿瘤协会(International Society of Gynecologic Cancer,ISGC)的标准,GTN(不包括PSTT和ETT)是目前唯一可通过临床表现和实验室检查进行诊断的妇科肿瘤,但病理诊断仍被视为金标准。根据FIGO 2000标准,凡符合下列任何1项且排除妊娠即可诊断为GTN[3,6]:(1)葡萄胎排空后血β-hCG连续4次呈高水平状态(±10%),持续3周或更长时间;(2)葡萄胎排空后血β-hCG测值3次升高(>10%),持续2周或更长时间;(3)流产后、足月产后或异位妊娠终止后4周以上,血β-hCG持续处于高水平,或曾经下降后又上升;(4)组织学诊断为IM或CC。IM和CC在影像学上有时难以区分,声像图上二者均可表现为子宫肌层内不均质回声肿块,边界不清,CDFI显示肿块血流丰富,可检测到动静脉瘘高速低阻频谱,发生宫旁转移时可出现盆腔肿块[7,8,9]。由于IM的病理特点之一为绒毛水肿,而CC的病理特点为无绒毛结构,因此,如果在临床考虑GTN患者的病灶内探查到内部无血流信号的薄壁囊泡状无回声水肿绒毛样结构,可特异性诊断IM[10]。Okumura等[11]研究中曾报道1例伴有下腔静脉转移的IM超声病例,声像图显示患者下腔静脉内可见一条状中等回声,其中包含微小囊泡结构,术后病理结果证实为无血管绒毛。
本例患者在停经后出现血β-hCG持续处于高水平状态。超声检查已排除妊娠物残留及再次妊娠的可能性,且患者既往无葡萄胎病史,其临床表现符合非葡萄胎妊娠后GTN的诊断标准。通常情况下IM多继发于葡萄胎妊娠之后[3],虽然本例患者宫腔镜检查及病理未见葡萄胎组织,但超声检查在患者左侧宫旁静脉、髂静脉内发现多个葡萄胎水肿绒毛样的囊泡状结构特异性征象,提示葡萄胎相关疾病可能性大。葡萄胎妊娠多位于宫腔内,罕见情况下可发生异位葡萄胎妊娠[8,12,13]。Fathaddin等[13]报道了1例罕见的输卵管异位葡萄胎妊娠,患者超声检查未发现宫内妊娠囊,但在右侧附件区见一个中央透亮的回声团块,大小为2.1 cm×1.8 cm,盆腔见大量游离液体,超声提示右侧输卵管妊娠破裂可能。患者随后接受了腹腔镜下输卵管切除术,术后病理结果证实为完全性葡萄胎伴血管侵犯。本例患者宫腔镜检查前内膜厚度仅为0.6 cm,术中见宫腔粘连,不利于孕囊着床,且患者有多次宫腔操作史,存在内膜基底层受损可能,本次停经后宫内未见妊娠囊,宫腔镜联合腹腔镜探查未见妊娠物、血β-hCG升高,超声发现子宫左侧肌壁近浆膜处异常回声,并可见葡萄胎样组织延伸至宫旁静脉及髂静脉内,推测该患者可能为罕见肌壁间葡萄胎异位妊娠,进一步侵入肌层静脉,最终蔓延至盆腔静脉。根据IM的定义、临床表现、影像学特征以及血β-hCG水平,本病例可诊断为侵蚀性葡萄胎。
综上所述,本病例报告了1例罕见的盆腔静脉IM。在外院宫腔镜联合腹腔镜检查均未能明确诊断的情况下,经阴道超声检查成功地捕捉到IM从子宫深肌层静脉侵袭至盆腔静脉的罕见现象,并清晰呈现了盆腔静脉内典型的囊泡状葡萄胎水肿绒毛样结构。这一发现为本例IM的诊断提供了关键的影像学依据。本病例不仅为超声医师精确诊断IM提供了重要的经验参考,同时也为IM的血源性转移机制研究提供了影像学证据。

王铭,何泳蓝,杨萌,等.盆腔静脉侵袭性葡萄胎一例[J/OL].中华医学超声杂志(电子版), 2025, 22(6): 580-582.

1
Ning F, Hou H, Morse AN, et al. Understanding and management of gestational trophoblastic disease [J]. F1000Res, 2019, 8: F1000 Faculty Rev-428.

2
Aminimoghaddam S, Maghsoudnia A. Unusual presentation of invasive mole: a case report [J]. J Reprod Infertil, 2017, 18(1): 205-209.

3
Soper JT. Gestational trophoblastic disease: current evaluation and management [J]. Obstet Gynecol, 2021, 137(2): 355-370.

4
向阳, 万希润, 冯凤芝, 等. 宋鸿钊滋养细胞肿瘤学 [M]. 4版. 北京: 人民卫生出版社, 2022.

5
Ngan HYS, Seckl MJ, Berkowitz RS, et al. Diagnosis and management of gestational trophoblastic disease: 2021 update [J]. Int J Gynaecol Obstet, 2021, 155 Suppl 1(Suppl 1): 86-93.

6
蒋芳, 鹿欣, 关崇丽, 等. 低危妊娠滋养细胞肿瘤诊治中国专家共识(2024年版)[J].中国实用妇科与产科杂志, 2024, 40(9): 918-923.

7
Su N, Zhao C, Zhang B, et al. The role of contrast-enhanced ultrasound in evaluating gestational trophoblastic neoplasia: a preliminary study [J]. Cancer Manag Res, 2020, 12: 12163-12174.

8
Chawla T, Bouchard-Fortier G, Turashvili G, et al. Gestational trophoblastic disease: an update [J]. Abdom Radiol (NY), 2023, 48(5): 1793-1815.

9
张紫薇. 89例侵袭性葡萄胎超声图像分析 [J]. 影像研究与医学应用, 2019, 3(13): 43-45.

10
苏娜, 姜玉新, 戴晴, 等.经阴道超声对侵蚀性葡萄胎的早期及精准诊断的预期观察 [J/CD].中华医学超声杂志(电子版), 2017, 14(2): 99-104.

11
Okumura M, Fushida K, Pulcineli Vieira Francisco R, et al. Sonographic appearance of an advanced invasive mole and associated metastatic thrombus in the inferior vena cava [J]. J Clin Ultrasound, 2013, 41(2): 113-115.

12
Shaaban AM, Rezvani M, Haroun RR, et al. Gestational trophoblastic disease: clinical and imaging features [J]. Radiographic, 2017, 37(2): 681-700.

13
Fathaddin AA. Invasive hydatidiform mole mimicking ectopic pregnancy: a case report and literature analysis [J]. Am J Case Rep, 2025, 26: e946388.

Outlines

/

Copyright © Chinese Journal of Medical Ultrasound (Electronic Edition), All Rights Reserved.
Tel: 010-51322630、2632、2628 Fax: 010-51322630 E-mail: csbjb@cma.org.cn
Powered by Beijing Magtech Co. Ltd