Home    中文  
 
  • Search
  • lucene Search
  • Citation
  • Fig/Tab
  • Adv Search
Just Accepted  |  Current Issue  |  Archive  |  Featured Articles  |  Most Read  |  Most Download  |  Most Cited
Standard and Specification

Interpretation of “A Lexicon for First-Trimester US: Society of Radiologists in Ultrasound Consensus Conference

  • Cheng Chen ,
  • Qing Dai ,
Expand

Received date: 2025-04-03

  Online published: 2025-12-24

Copyright

Copyright by Chinese Medical Association No content published by the journals of Chinese Medical Association may be reproduced or abridged without authorization. Please do not use or copy the layout and design of the journals without permission. All articles published represent the opinions of the authors, and do not reflect the official policy of the Chinese Medical Association or the Editorial Board, unless this is clearly specified.

Cite this article

Cheng Chen , Qing Dai . Interpretation of “A Lexicon for First-Trimester US: Society of Radiologists in Ultrasound Consensus Conference[J]. Chinese Journal of Medical Ultrasound (Electronic Edition), 2025 , 22(10) : 936 -943 . DOI: 10.3877/cma.j.issn.1672-6448.2025.10.006

超声检查是早孕期最常规的影像学检查方式,多学会已就早孕期超声检查的指南达成共识,并对预测妊娠不良结局的超声征象建立了循证标准,但一些医疗记录及医患沟通中仍缺乏统一的医学常用术语。为此,美国超声医师学会(Society of Radiologists in Ultrasound,SRU)联合多学科专家小组,签署了谅解备忘录。于2023年1月至7月召开系列会议,通过改良德尔菲法(共识度≥80%),制定了《早孕期超声标准化术语体系专家共识》1,推荐采用定义明确、科学且精准的术语,实现跨学科清晰沟通,最大程度减少可预防的不良结局,保护医患双方权益。该共识同时发表于学术期刊RadiologyAmerican Journal of Obstetrics and Gynecology
该术语体系主要聚焦于早孕期且使用频率较高的术语,分为四大类:早孕期通用术语、胚胎早期发育相关术语、妊娠部位术语及早期妊娠丢失(国内规范表述用词:胚胎停育、流产),不含多胎妊娠、妊娠滋养细胞疾病等相关术语及非妊娠特异性描述。依照SRU专家共识,本文对于推荐术语采用双引号(“”)表示,应避免使用的术语采用单引号(‘’)表示。

一、早孕期通用术语

SRU专家共识推荐的早孕期通用术语包含:妊娠、人绒毛膜促性腺激素(human chorionic gonadotropin,hCG)、孕龄和早孕期。

(一)妊娠、人绒毛膜促性腺激素

妊娠时滋养细胞分泌hCG,当血清hCG>5 mIU/ml时可判定为妊娠状态,但不同检测方法存在差异,建议参考本地实验室标准。健康非妊娠个体一般hCG≤5 mIU/ml。少数情况下hCG升高可能与妊娠无关,如垂体功能异常或肿瘤性病变。

(二)孕龄、早孕期

孕龄指妊娠持续时间,共识推荐以“周数+天数”表示,通常基于末次月经首日和(或)早孕期超声检查;辅助生殖技术妊娠者根据宫腔内人工授精或胚胎移植时间计算。SRU专家共识明确提出早孕期指孕龄≤13周6天。

二、胚胎早期发育相关术语

SRU专家共识中有关胚胎早期发育的相关术语,主要根据美国超声医学会(American Institute of Ultrasound in Medicine,AIUM)发布的临床实践指南,包括妊娠囊、卵黄囊、胚胎及心管搏动,多胎妊娠还需描述绒毛膜性及羊膜性。

(一)妊娠囊、卵黄囊及宫腔积液

1.妊娠囊:妊娠囊是妊娠最早的超声征象,约孕5周可见,表现为圆形或椭圆形无回声,周围环绕高回声滋养层组织。多胎妊娠时,“胚胎可见”是确定单胎/双胎的前提条件。
2.卵黄囊:卵黄囊是妊娠囊内偏心分布的薄壁环状结构,约孕5周3天~5周4天可见,直径常<6 mm;宫腔内妊娠囊样无回声中出现卵黄囊可确诊为妊娠;若未见卵黄囊或胚胎,但可见妊娠囊样无回声时,超声报告可提示为“妊娠囊可能”或“早孕可能”。
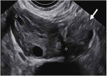
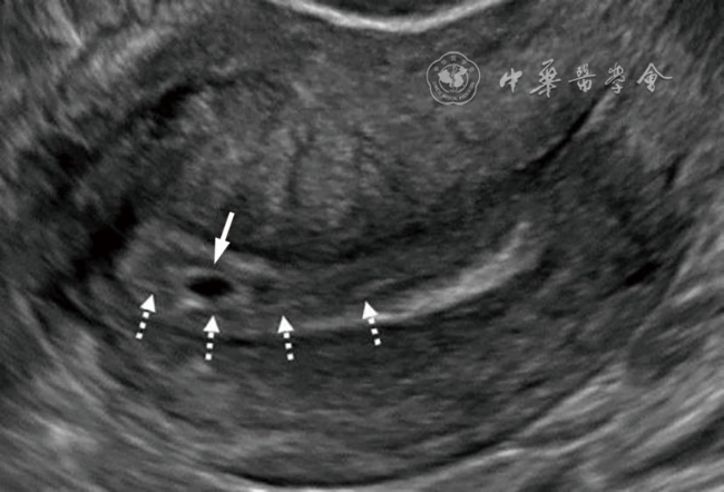
3.蜕膜内征(图1)与双蜕膜囊征:这两种征象可提高超声医师将所见的“空妊娠囊征”提示为宫内妊娠的信心。但这两种征象特异度高而敏感度低,观察者间一致性也较差,因此并不能作为诊断宫内妊娠的必需条件,但对诊断是有帮助的。
图1 蜕膜内征超声图像,图为34岁孕妇经阴道超声矢状切面灰阶图像。前位子宫,内膜区域内见一4 mm空妊娠囊(实线箭头)。妊娠囊位于宫腔中央高回声线(虚线箭头)的一侧,即位于高回声线对侧蜕膜化子宫内膜的最内层区域(内层内膜所在区域),由此确认妊娠囊位于子宫内膜内而非宫腔内,故称为“蜕膜内征”。该征象可在卵黄囊出现前辅助诊断可能的宫内妊娠。该孕妇3 d后卵黄囊可见,因此确诊为明确的宫内妊娠(图1译自参考文献[1])
4.宫腔积液:边缘锐利的宫腔积液应提示为“宫腔积液”或“子宫内膜腔积液”;过去这类超声表现常被称为‘假孕囊/假妊娠囊’,但在缺乏其他异位妊娠征象时,此类表现可能会被误认为是异位妊娠的证据;或被误认为是宫内妊娠囊而导致忽略了异位妊娠。因此,SRU专家共识建议应避免继续使用‘假孕囊/假妊娠囊’这类术语。

(二)胚胎与胎儿

具有心管搏动的胚胎常于孕6周时显示,多数学会以孕10周作为胚胎与胎儿的分界点,但部分文献对具体孕龄的界定存在差异,主要源于“孕龄”(基于末次月经或早孕期超声检查)与“胎龄”(基于排卵与受孕时间)的混用。SRU专家共识将胚胎定义为孕龄≤10周6天,胎儿为孕龄≥11周0天。顶臀长(crown-rump length,CRL)是胚胎/胎儿最大长径的测量值;当胚胎可见后优先使用CRL计算孕龄,胚胎可见前用妊娠囊平均直径(mean sac diameter,MSD)估算孕龄。

(三)心管搏动

SRU专家共识建议采用“心管搏动”描述早孕期胚胎/胎儿的心脏节律性搏动,同义术语为“胎心搏动”;应避免使用‘心脏搏动’。

(四)羊膜与羊膜腔

羊膜为妊娠囊内包裹胚胎/胎儿的薄膜结构,常于孕7周可见;羊膜腔指羊膜包裹的液性空间。

三、妊娠部位术语

SRU早孕期超声标准化术语体系专家共识,第一次以共识形式,明确建议对妊娠部位术语进行分类,并明确建议放弃一直存在争议的‘宫角妊娠’这一术语。共识建议将妊娠部位术语分为三类:正常部位、异常部位及未知部位(表1)。
表1* SRU早孕期超声术语体系的妊娠部位分类
术语及同义术语 图样及解析 定义/应用 应避免使用的术语 备注
正常部位妊娠
宫内妊娠(正常部位妊娠)
箭头:宫内妊娠
正常部位着床的妊娠 - 早孕期,妊娠囊通常位于宫腔的上2/3处
宫内妊娠的偏心着床(但完全被子宫内膜包绕)
箭头:宫内妊娠(横切面)
宫角妊娠、宫角部妊娠、偏心妊娠 结论为宫内妊娠;相关的描述或俗语选用于超声报告;诊断不确定时可通过短期超声随访或三维超声冠状面重建以鉴别输卵管间质部异位妊娠
子宫畸形合并妊娠
箭头:宫内妊娠,妊娠囊位于纵隔子宫之右侧宫角内(三维超声冠状面重建图)
- 单角妊娠、双角妊娠 超声报告提示举例:妊娠囊位于一侧的子宫角内;妊娠囊位于纵隔子宫之右侧宫角内
异常部位妊娠
异位妊娠
箭头:左侧输卵管间质部异位妊娠(横切面)
非正常部位着床的妊娠 宫角异位妊娠、剖宫产瘢痕妊娠、宫颈妊娠、存活/存活状态、异位妊娠、可存活异位妊娠 如果不治疗,孕妇存在发生并发症或死亡风险这是个通用术语,如有可能应报告病变的侧别(如左侧或右侧)及具体部位(如下):输卵管异位妊娠(包括峡部、壶腹部、漏斗部)、输卵管间质部异位妊娠、剖宫产瘢痕异位妊娠、宫颈异位妊娠、卵巢异位妊娠、腹腔异位妊娠及子宫肌壁间异位妊娠需注明是否可见卵黄囊、胚胎/胎儿及心管搏动/胎心搏动以助于治疗方案的确定;诊断分类为“可疑异位妊娠”或“明确异位妊娠”;若在子宫下段/宫颈内,需与进行中早期妊娠丢失鉴别,不确定时需短期随访

箭头:剖宫产瘢痕
附件区包块(附件肿物)
实线箭头:卵巢外包块(输卵管异位妊娠);测量游标:卵巢
不与卵巢相连,回声及血流信号分布方式多样 - 若无宫内妊娠,该征象出现时需高度怀疑输卵管异位妊娠;“滑动征”有助于鉴别该包块是否与卵巢或子宫分开
输卵管环(附件环、附件妊娠囊)
实线箭头:输卵管环;虚线箭头:卵巢
与卵巢独立,伴或不伴环绕血流 贝果征、甜甜圈征 若无宫内妊娠,该征象出现时需高度怀疑输卵管异位妊娠(即使没有卵黄囊/胚胎);需要与外生性卵巢黄体鉴别,但两者可能均有环绕血流;彩色多普勒超声鉴别意义不大
未知部位妊娠
未知部位妊娠
箭头:卵巢(横切面)
无宫内妊娠或异位妊娠征象 - 鉴别诊断:①因妊娠时间短尚未显示的早期宫内妊娠,②未显示的异位妊娠,③已完全排出的早期妊娠丢失;结合hCG变化趋势及后续超声复查;hCG≥3000 mIU/ml时大多数宫内妊娠经阴道超声可观察到;未知部位妊娠不能应用于已有超声征象提示可疑宫内妊娠或异位妊娠时(即使未见明确卵黄囊或胚胎)

注:SRU为美国超声医师学会;hCG为人绒毛膜促性腺激素;-表示无相关信息;*表1译自参考文献[1]

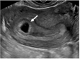
(一)正常部位妊娠:宫内妊娠及其变异

1.宫内妊娠指受精卵着床于正常部位的妊娠(妊娠囊位于宫腔的上2/3处)。
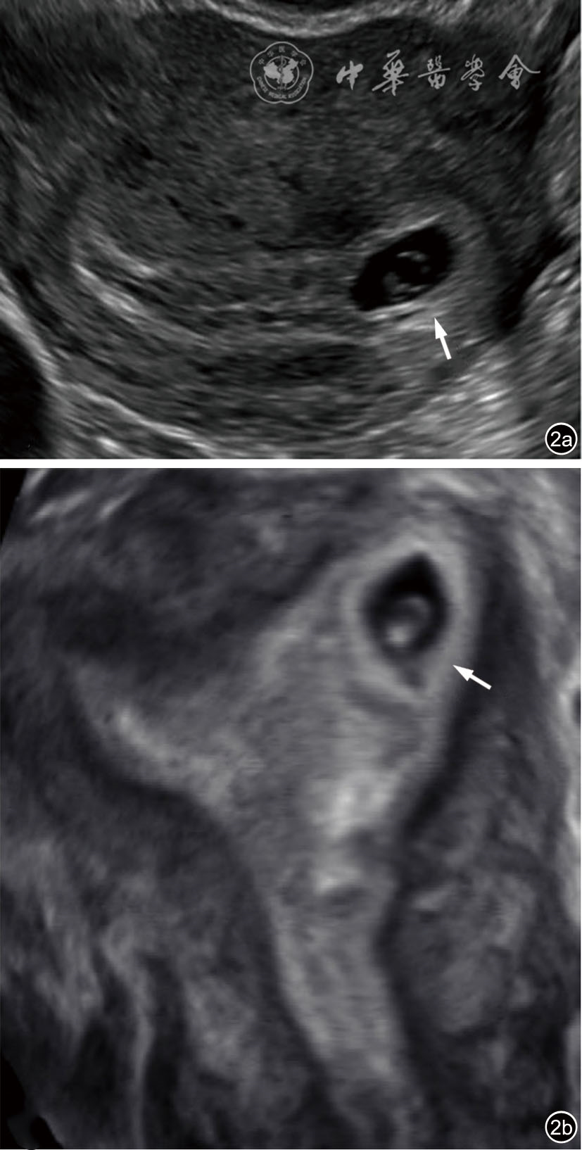
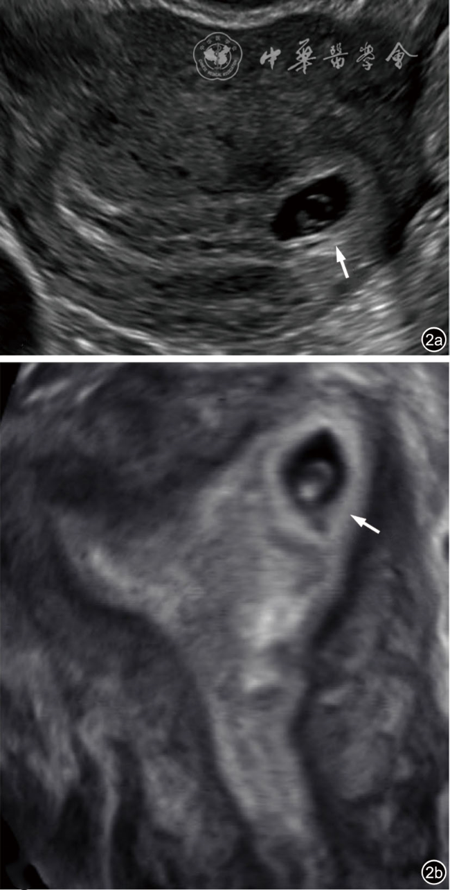
2.宫内妊娠的偏心着床(图2):指受精卵偏心着床于结构正常的子宫。正常妊娠的着床部位常靠近子宫中线,也偶可偏向左右侧,即偏心着床;此时,超声报告应提示为“宫内妊娠”或描述为“妊娠囊偏心着床但完全被子宫内膜包绕”,结论为“宫内妊娠”。该专家共识明确提出了应避免继续使用既往常用的‘宫角妊娠’‘宫角部妊娠’术语表述。
图2 宫内妊娠的偏心着床超声图像,妊娠囊位于偏心位置,但完全被子宫内膜包绕。图a为36岁孕妇(孕5周4天)经阴道超声横切面灰阶超声图,显示一偏离中线靠近左侧的妊娠囊(箭头所示)内含卵黄囊及胚胎。妊娠囊完全被子宫内膜包绕,可直接报告为“宫内妊娠”;也可补充描述为“妊娠囊偏心着床但完全被子宫内膜包绕”,但超声仍提示为“宫内妊娠”,以免与输卵管间质部异位妊娠混淆,避免使用‘宫角妊娠’或‘宫角部妊娠’等术语。图b为三维超声冠状面重建图,有助于确认妊娠囊位于子宫内膜内(图2译自参考文献[1])
考虑该专家共识对既往这一易混淆的临床问题提出明确的重新定义,是因为既往很长一段时间使用的‘宫角妊娠’,实际包含了“宫内妊娠的偏心着床”及“输卵管间质部异位妊娠”两种情况,短期超声随访或三维冠状面重建对两者的鉴别诊断较有帮助。
3.子宫畸形合并妊娠:妊娠囊可能因子宫发育异常而呈偏心表现,报告应重点描述妊娠囊与子宫畸形结构的相对位置,如“妊娠囊正常着床于双角子宫之左角”“妊娠囊正常着床于单角子宫”,避免使用‘宫角妊娠’‘双角子宫妊娠’或‘单角子宫妊娠’。

(二)异常部位妊娠:异位妊娠

异位妊娠指受精卵着床于异常解剖位置(包括宫内或宫外)的妊娠,若未及时治疗可导致孕妇严重并发症甚至死亡。SRU专家共识指出,描述异位妊娠时,需将解剖位置置于“异位妊娠”前,如“输卵管异位妊娠”“宫颈异位妊娠”。
异位妊娠的部位包括(图3):输卵管(峡部、壶腹部、漏斗部)、输卵管间质部、宫颈、剖宫产瘢痕、卵巢、腹腔及子宫肌壁间。若可识别异位妊娠病变的侧别(如左侧或右侧),应明确注明;同时还需注明是否可见卵黄囊、胚胎/胎儿,及心管搏动/胎心搏动。超声诊断提示时,可考虑分类为“可疑”或“明确”:未见卵黄囊或胚胎,定为可疑异位妊娠;可见卵黄囊或胚胎时,可明确诊断为异位妊娠。
图3 正常妊娠与异常部位妊娠示意图。左半子宫图示正常妊娠的着床部位,右半子宫图示异常部位妊娠的着床部位。圆形图标代表各着床点,字母对应左侧框内词汇表术语。注意:对于输卵管异位妊娠的具体位置(如峡部、壶腹部、漏斗部)的描述是可选的,当声像图上异位妊娠部位较明确时可进一步描述(图3译自参考文献[1])
此外,异位妊娠中一种极为罕见的情况需要引起注意,即复合妊娠,复合妊娠指宫内妊娠与异位妊娠共存,接受辅助生殖治疗后其发生率显著升高。
1.输卵管异位妊娠(峡部、壶腹部、漏斗部):SRU专家共识将既往的输卵管妊娠分为“输卵管异位妊娠”与“输卵管间质部异位妊娠”来叙述。输卵管异位妊娠指受精卵着床于输卵管间质部以远部位,是最常见的异位妊娠(占所有异位妊娠的84%~93%),可进一步分为峡部、壶腹部及漏斗部异位妊娠,但超声常难以精确定位。
输卵管异位妊娠的常见超声表现为“附件区包块”“输卵管环”。“附件区包块”指附件区与卵巢分离的混合回声包块伴不同程度血流信号;若未显示卵巢,则优先使用术语“附件区包块”。“输卵管环”指附件区与卵巢分离的圆形/椭圆形无回声,伴高回声环(代表妊娠囊)及周边血流信号;同义术语包括“附件区环状结构”或“附件区妊娠囊样结构”,避免使用‘团块’‘贝果征’或‘甜甜圈征’。若超声未见宫内妊娠征象但可见附件区包块或输卵管环时,应高度怀疑输卵管异位妊娠。输卵管环与妊娠黄体有时可能混淆,鉴别要点为:输卵管环回声较黄体更高;二者彩色多普勒均可表现为周边环状血流,故彩色血流在鉴别中意义不大;若病变完全位于卵巢内或其周围可见卵巢组织呈“爪形征”,则支持其为黄体;此外,可用经阴道探头加压轻推观察病变与卵巢之间滑动征,若滑动征阳性(病变与卵巢可分离)则支持为异位妊娠。
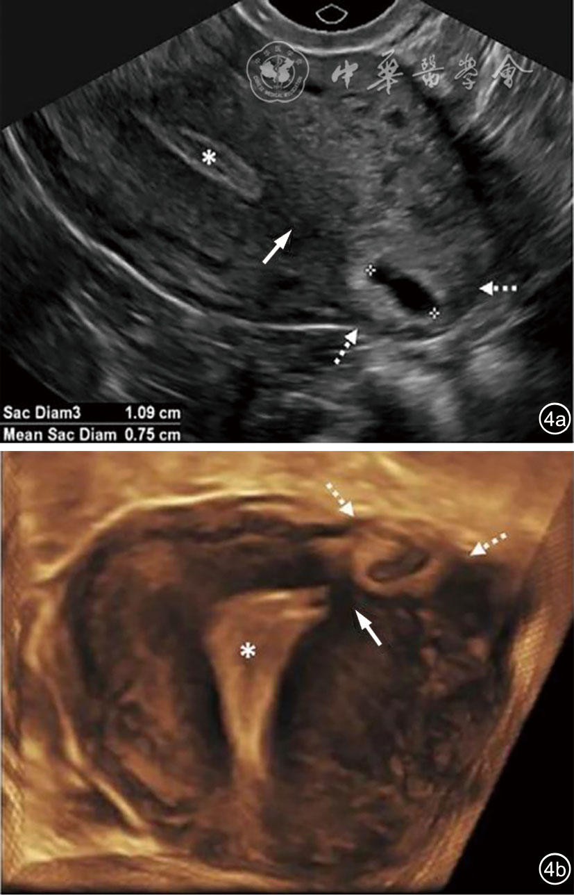
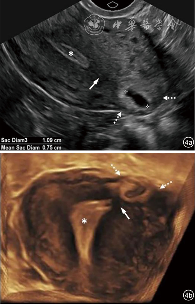
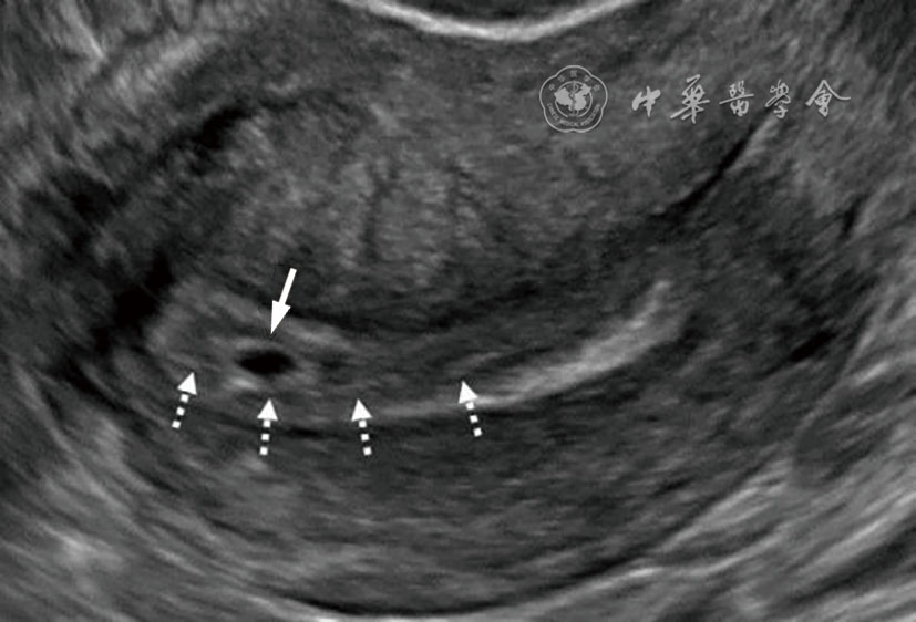
2.输卵管间质部异位妊娠:输卵管间质部异位妊娠较罕见,指受精卵着床于输卵管间质部(嵌入子宫肌壁内的输卵管近端部分)(图4)。超声诊断要点包括:(1)子宫与妊娠囊间滑动征阴性;(2)三维冠状切面重建图像显示子宫肌层部分包绕妊娠囊(妊娠囊周边子宫肌层组织呈“爪形征”),或子宫内膜与妊娠囊间可见薄层肌层组织;(3)间质线征仅偶见(图5),但该征象诊断输卵管间质部异位妊娠特异度较高。应避免使用‘宫角妊娠’或‘宫角异位妊娠’。
图4 输卵管间质部异位妊娠超声图像。图a为经阴道超声横切面灰阶图像,图b为三维超声冠状面重建图像。29岁孕妇(孕5周3天)的妊娠囊(测量游标)与子宫内膜(*)之间存在肌层组织(实线箭头),肌层组织的“爪形征”(虚线箭头)证实妊娠着床于输卵管间质部,提示为输卵管间质部异位妊娠。应避免使用‘宫角妊娠’或‘宫角异位妊娠’。三维超声冠状面重建可更清晰显示妊娠囊与子宫内膜分离,符合输卵管间质部异位妊娠(图4译自参考文献[1])
图5 间质线征超声图像。图为33岁孕妇(孕6周0天)经阴道超声横切面灰阶图像,显示右侧输卵管间质部异位妊娠(实线箭头)。除输卵管间质部异位妊娠特征性超声表现外,另可见一纤细高回声线(虚线箭头)连接子宫内膜与异位妊娠囊,为“间质线征”(图5译自参考文献[1])
笔者认为,此次SRU早孕期超声标准化术语体系专家共识将输卵管间质部异位妊娠单独提出,不归纳于输卵管异位妊娠,可能因为二者的发生率及超声特征有较多不同;并且输卵管间质部是输卵管与子宫角相连的部位,肌层较厚,血运丰富,随胚胎发育不断向外扩展,该部位异位妊娠极易破裂导致腹腔内大出血。因此,分为两个单独的术语将更有利于超声医师准确理解与诊断。
3.剖宫产瘢痕异位妊娠:随着全球剖宫产率升高,着床于剖宫产瘢痕或瘢痕憩室的异位妊娠发生率逐年增加,该部位异位妊娠易导致子宫破裂、胎盘植入等严重并发症。此次SRU专家共识推荐使用的术语为“剖宫产瘢痕异位妊娠”,即在旧称‘剖宫产瘢痕妊娠’中明确加上“异位”二字,这也符合美国母胎医学会(Society for Maternal-Fetal Medicine,SMFM)的建议2
剖宫产瘢痕异位妊娠需与宫颈异位妊娠、难免流产排出中的妊娠囊相鉴别,鉴别要点包括:(1)妊娠囊位置与宫颈管、剖宫产瘢痕的解剖关系:宫颈异位妊娠的妊娠囊完全位于宫颈管内,宫腔空虚;(2)瘢痕处子宫肌层厚度评估:剖宫产瘢痕异位妊娠的瘢痕肌层明显变薄或连续性中断,可见滋养血管;(3)动态观察妊娠囊形态变化:难免流产的妊娠囊形态不规则,伴宫腔积血,无瘢痕处滋养血供。
4.宫颈异位妊娠:宫颈异位妊娠指受精卵着床于宫颈管黏膜内,SRU专家共识推荐使用的标准化术语为“宫颈异位妊娠”,避免使用‘宫颈妊娠’,因其容易与宫颈管内妊娠囊混淆(如难免流产时正在排出的妊娠囊位于宫颈管内)。
5.卵巢异位妊娠:卵巢异位妊娠指受精卵着床于卵巢内部或卵巢表面,罕见且诊断困难;因与卵巢黄体表现相似而易混淆。由于绝大多数卵巢内厚壁囊肿为黄体,因此除非在其中明确观察到卵黄囊、胚胎或心管搏动,否则不应诊断为卵巢异位妊娠。卵巢黄体周边多为环绕血流,而卵巢异位妊娠血流分布无特异性。

(三)未知部位妊娠

当hCG阳性但经阴道超声检查未显示宫内妊娠或异位妊娠征象时,SRU专家共识推荐将“未知部位妊娠”作为临时诊断术语。当hCG≥3000 mIU/ml时,大多数宫内妊娠经阴道超声可观察到;当hCG<3000 mIU/ml时,需鉴别诊断的未知部位妊娠包括:因妊娠时间短尚未显示的早期宫内妊娠、未显示的异位妊娠或妊娠囊已完全排出(完全流产)。临床上结合hCG动态变化趋势及后续超声检查有助于鉴别诊断。若存在任何可疑或明确的宫内妊娠/异位妊娠超声征象,则不符合未知部位妊娠。此外,共识提出空妊娠囊无论着床于正常或异常部位均视为可能妊娠,不应归入未知部位妊娠。

四、早期妊娠丢失

2013年,SRU专家小组曾颁布了早孕期非存活妊娠诊断标准并得到了广泛应用3,该超声诊断标准在本次SRU专家共识中保持不变。但当时使用的术语‘可疑妊娠失败’和‘确诊妊娠失败’分别描述了可能或明确无法继续的妊娠情况。2018年,美国妇产科医师学会(American College of Obstetricians and Gynecologists,ACOG)实践指南采用“早期妊娠丢失”统称早孕期妊娠终止事件4,且同期调查显示,患者认为‘妊娠失败’一词隐含指责之意。
因此,2024年SRU专家共识确定推荐使用“早期妊娠丢失”作为核心术语,包含以下临床情况:(1)宫内妊娠伴可能无法继续妊娠的超声征象;(2)宫内妊娠伴明确无法继续妊娠的超声征象;(3)难免流产时宫腔下段或宫颈管内正在排出的妊娠囊;(4)残留妊娠组织或持续存在的妊娠囊(后者指胚胎停育但妊娠囊未排出,即不全流产);(5)妊娠囊完全排出无残留组织(完全流产)。SRU专家共识建议可采用五种修饰词放在早期妊娠丢失前面,以描述上述五种临床情况:可疑早期妊娠丢失、确诊早期妊娠丢失、进行中早期妊娠丢失、不全早期妊娠丢失、完全早期妊娠丢失(表2)。而我们国内常用的“胚胎停育”“流产”“妊娠物残留”等几种术语表述均符合相应的临床情况。
表2* SRU早期妊娠丢失术语体系
术语及同义术语 图样及解析 定义/应用 应避免使用的术语 备注
可疑EPL
实线箭头:卵黄囊;虚线箭头:羊膜
正常着床的妊娠囊,可能无进展 失败、不确定存活的宫内妊娠 经阴道超声的诊断标准:胚胎CRL<7 mm及无心管搏动;妊娠囊MSD 16~24 mm及无胚胎;无卵黄囊的妊娠囊,7~13 d后仍无胚胎及心管搏动;有卵黄囊的妊娠囊,7~10 d后无胚胎及心管搏动;卵黄囊增大(>7 mm);末次月经6周后仍无胚胎

测量游标:卵黄囊直径8 mm
确诊EPL(流产/胚胎停育/胎儿死亡/无胚胎妊娠)
测量游标:胚胎无心管搏动
正常着床的妊娠囊,明确无进展 失败、枯萎卵、无存活、无存活性 经阴道超声的诊断标准:胚胎CRL≥7 mm且无心管搏动(胚胎停育);妊娠囊MSD≥25 mm且无胚胎(空妊娠囊);无卵黄囊的妊娠囊出现14 d后,仍无胚胎及心管搏动;有卵黄囊的妊娠囊出现11 d后,仍无胚胎及心管搏动;胎儿死亡:孕龄≥11周0天且无胎心搏动;空妊娠囊指无胚胎伴以下一项:妊娠囊MSD≥25 mm,无卵黄囊的妊娠囊出现14 d后,有卵黄囊的妊娠囊出现11 d后

测量游标:妊娠囊平均直径27 mm
进行中EPL(难免流产)
箭头:位于子宫下段/宫颈上段的胚胎(无心管搏动)
妊娠囊位于宫腔下段/宫颈管内,正在排出中 - 若出现心管搏动,考虑为宫颈或剖宫产瘢痕异位妊娠;不确定时,可用彩色多普勒、滑动征及短期复查超声以辅助诊断
不全EPL(妊娠物残留)
测量游标:内膜厚14 mm;实线箭头:妊娠物残留;虚线箭头:子宫肌层血管分布增强
EPL后,超声显示宫腔内残余无活性的胚胎组织,或仅表现为子宫内膜增厚,常伴病灶内部血流信号,伴或不伴持续存在的妊娠囊 胚胎组织、胎儿组织 宫腔可见血流信号可明确为妊娠物残留;若内膜厚度<10 mm且不伴血流,则不支持为妊娠物残留;子宫肌层血管分布增强为其典型征象
完全EPL
测量游标:内膜厚度7 mm
EPL后宫腔内无妊娠组织/妊娠囊残留 - 出现“以前超声提示过的妊娠囊完全消失”可考虑此诊断:若无妊娠组织残留时需要与PUL鉴别
子宫肌层血管分布增强
箭头:子宫肌层血管分布增强
胚胎着床部位深部肌层出现的局灶性血管增多 - 在不完全或完全EPL后出现;该征象较典型、可自发缓解;需要与动静脉瘘、动静脉畸形、胎盘附着部位复旧不全鉴别

注:SRU为美国超声医师学会;CRL为顶臀长;MSD为平均直径;EPL为早期妊娠丢失;PUL为未知部位妊娠;-表示无相关信息;*表2译自参考文献[1]

确诊早期妊娠丢失:(1)胚胎停育,指CRL≥7 mm且无心管搏动;(2)胎儿死亡,指孕龄≥11周0天且无胎心搏动;(3)空妊娠囊,指妊娠囊MSD≥25 mm且无胚胎,或连续超声复查均未见胚胎。
进行中早期妊娠丢失指妊娠囊位于宫腔下段或宫颈管内,正处于排出过程中,即难免流产。胚胎若存在心管搏动,需警惕宫颈或剖宫产瘢痕异位妊娠。若妊娠囊存在自发移动,或探头加压轻推妊娠囊存在移动,提示妊娠囊暂时滞留宫腔下段或宫颈管,支持“进行中早期妊娠丢失”;彩色多普勒显示宫腔上段肌层-内膜交界处局灶性血流信号提示为原始着床部位。诊断不明时建议短期复查超声。
不全早期妊娠丢失是指宫腔内残留妊娠组织(常伴内部血流),或早期妊娠丢失后持续存在妊娠囊。同义术语包括“妊娠物残留”,或直接描述超声征象(如“子宫内膜增厚伴血流信号”),避免使用‘宫腔胚胎组织’‘宫腔胎儿组织’等不规范表述。而“妊娠物残留”这一术语广泛应用于各孕期,可为病理组织学评估提供关键临床信息,故推荐继续使用;其诊断要点为子宫内膜厚度≥10 mm,伴血流信号增加。
完全早期妊娠丢失指妊娠囊及绒毛组织自子宫完全排出,即完全流产,需要与未知部位妊娠鉴别,若既往超声提示存在妊娠囊则支持完全早期妊娠丢失。
此外,SRU专家共识还推荐了其他一些相关术语,如子宫肌层血管分布增强指胚胎着床部位深部肌层出现局灶性血管增多,通常为短暂性生理表现,可见于不全或完全早期妊娠丢失后;需要与动静脉瘘、动静脉畸形、胎盘附着部位复旧不全等相鉴别。
目前,国内采用术语“早期妊娠丢失”提示的情况较少见,国内常用的规范表述为“胚胎停育” “流产”,因此建议仍保留较为符合我们国情的术语“胚胎停育”。流产包含先兆流产、难免流产、完全流产及不全流产,其中“完全流产”后超声常提示未见明显异常,因此单纯超声检查无法明确提示“完全流产”;“难免流产”则超声可以提示;“不全流产”目前国内多提示为“妊娠物残留”。

五、小结

2024年发表的SRU早孕期超声标准化术语体系专家共识旨在建立定义清晰、逻辑严谨的跨学科且以患者为中心的标准化术语体系。此次专家共识提出应避免使用的术语包含‘假孕囊’‘宫角妊娠’等,并将“宫内妊娠”定义为所有正常部位着床的妊娠,涵盖“宫内妊娠的偏心着床”。此外,专家共识提出的“宫内妊娠的偏心着床”“输卵管间质部异位妊娠”,取代既往长期使用的‘宫角妊娠’,在一定程度上解决了这一长期存在争论且易混淆临床情况的术语表述问题。
专家共识也提出了将“异位妊娠”定义为所有着床于异常解剖部位的妊娠(含宫内异常部位或宫外部位),并推荐使用“剖宫产瘢痕异位妊娠”“宫颈异位妊娠”等标准化术语。此外,“输卵管间质部异位妊娠”的单独提出,对于诊断这一虽罕见但并发症更严重的特殊部位的异位妊娠有更重要的意义。
“早期妊娠丢失”一词虽能涵盖早孕期妊娠终止事件,但在国内使用并不多见,建议目前在超声提示时仍可维持使用既往的术语如“胚胎停育”“难免流产”等。

陈程, 戴晴. 美国超声医师学会早孕期超声标准化术语体系专家共识解读[J/OL]. 中华医学超声杂志(电子版), 2025, 22(10): 936-943.

1
Rodgers SK, Horrow MM, Doubilet PM, et al. A lexicon for first-trimester US: Society of Radiologists in Ultrasound Consensus Conference Recommendations[J]. Radiology, 2024, 312(2): e240122.

2
Society for Maternal-Fetal Medicine (SMFM), Miller R, Gyamfi-Bannerman C, et al. Society for Maternal-Fetal Medicine Consult Series #63: cesarean scar ectopic pregnancy[J]. Am J Obstet Gynecol, 2022, 227(3): B9-B20.

3
Doubilet PM, Benson CB, Bourne T, et al. Diagnostic criteria for nonviable pregnancy early in the first trimester[J]. N Engl J Med, 2013, 369(15): 1443-1451.

4
Prager S, Dalton VK, Allen RH. ACOG practice bulletin No. 200: Early pregnancy loss[J]. Obstet Gynecol, 2018, 132(5): e197-e207.

Outlines

/

Copyright © Chinese Journal of Medical Ultrasound (Electronic Edition), All Rights Reserved.
Tel: 010-51322630、2632、2628 Fax: 010-51322630 E-mail: csbjb@cma.org.cn
Powered by Beijing Magtech Co. Ltd