切换至 "中华医学电子期刊资源库"

中华医学超声杂志(电子版) ›› 2016, Vol. 13 ›› Issue (08) : 564 -566. doi: 10.3877/cma.j.issn.1672-6448.2016.08.002

所属专题: 总编推荐 文献

专家论坛

妊娠中晚期并发症卵圆孔瓣宫内闭合超声诊断及临床意义
吴雅峰1,()   
  1. 1. 100020 首都医科大学附属北京朝阳医院心脏超声科;100024 北京华府妇儿医院超声科
  • 收稿日期:2016-05-31 出版日期:2016-08-01
  • 通信作者: 吴雅峰

Ultrasound diagnosis and clinical significance of intrautenrine closure of patent foramen in the middle and late pregnancy

Yafeng Wu1()   

  • Received:2016-05-31 Published:2016-08-01
  • Corresponding author: Yafeng Wu
引用本文:

吴雅峰. 妊娠中晚期并发症卵圆孔瓣宫内闭合超声诊断及临床意义[J/OL]. 中华医学超声杂志(电子版), 2016, 13(08): 564-566.

Yafeng Wu. Ultrasound diagnosis and clinical significance of intrautenrine closure of patent foramen in the middle and late pregnancy[J/OL]. Chinese Journal of Medical Ultrasound (Electronic Edition), 2016, 13(08): 564-566.

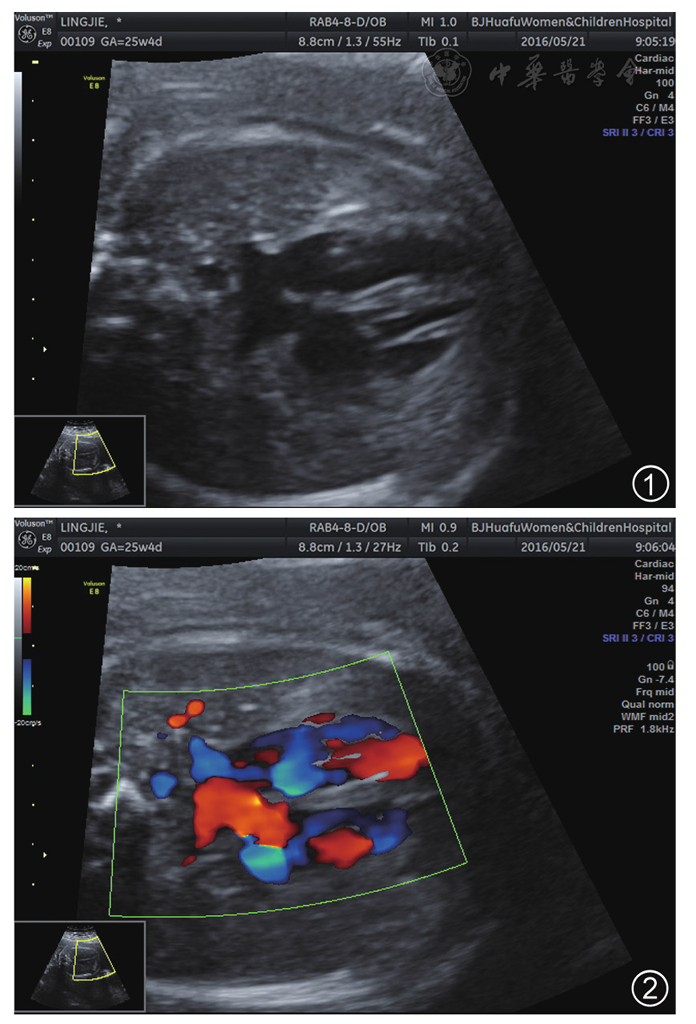
图2 彩色多普勒血流成像示卵圆孔右向左分流
图4 彩色多普勒血流成像示下腔静脉血流回流入右心房朝向卵圆孔大部分流入左心房
图7 孕40周胎儿主动脉弓双心房切面示卵圆孔瓣闭合(箭头所示)
[1]
刘琳, 何怡华, 李治安, 等. 产前不同孕周胎儿卵圆孔大小与产后继发孔房间隔缺损的相关性研究[J]. 中华超声影像学杂志, 2012, 21(12): 1031-1034.
[2]
裴秋艳, 梁梅英, 姜玉新, 等. 200例正常胎儿卵圆孔和卵圆孔瓣彩色多普勒超声特点分析 [J]. 中华超声影像学杂志, 2007, 16(12): 1042-1044.
[3]
张楠, 宋家光, 梁皓, 等. 产前超声诊断胎儿卵圆孔发育受限的临床价值 [J]. 中华超声影像学杂志, 2014, 23(3): 270-272.
[4]
董凤群, 张晓花, 邢小芬, 等. 超声心动图对正常胎儿卵圆孔、卵圆孔瓣的定量研究 [J]. 中华超声影像学杂志, 2012, 21(10): 916-918.
[5]
尹娟, 孙焱, 尹虹, 等. 超声心动图对胎儿房间隔膨出瘤的诊断及预后的研究 [J]. 中国超声医学杂志, 2011, 26(9): 844-847.
[6]
张丽娜, 刘晓伟, 吴青青, 等. 超声心动图诊断胎儿卵圆孔早闭或偏窄的临床价值 [J]. 中华围产医学杂志, 2014, 17(5): 354-356.
No related articles found!
阅读次数
全文


摘要


AI


AI小编
你好!我是《中华医学电子期刊资源库》AI小编,有什么可以帮您的吗?