切换至 "中华医学电子期刊资源库"

中华医学超声杂志(电子版) ›› 2020, Vol. 17 ›› Issue (04) : 379 -380. doi: 10.3877/cma.j.issn.1672-6448.2020.04.017

所属专题: 乳腺超声 经典病例 文献

病例报告

腮腺乳腺样分泌性癌一例并文献复习
康莹1, 曾书娥1,(), 查莉1   
  1. 1. 430079 武汉,湖北省肿瘤医院超声科
  • 收稿日期:2019-05-05 出版日期:2020-04-01
  • 通信作者: 曾书娥

Mammary analog secretory carcinoma of the parotid gland: a case report and literature review

Ying Kang1, Shu′e Zeng1(), Li Zha1   

  • Received:2019-05-05 Published:2020-04-01
  • Corresponding author: Shu′e Zeng
引用本文:

康莹, 曾书娥, 查莉. 腮腺乳腺样分泌性癌一例并文献复习[J/OL]. 中华医学超声杂志(电子版), 2020, 17(04): 379-380.

Ying Kang, Shu′e Zeng, Li Zha. Mammary analog secretory carcinoma of the parotid gland: a case report and literature review[J/OL]. Chinese Journal of Medical Ultrasound (Electronic Edition), 2020, 17(04): 379-380.

图1 右侧腮腺肿块超声图像。图a为常规二维超声示右侧腮腺浅叶边界欠清晰、形态不规则的低回声肿块,其内可见细小钙化点(箭头所示);图b为彩色多普勒血流显像示右侧腮腺肿块内及周边可见少量血流信号(箭头所示)
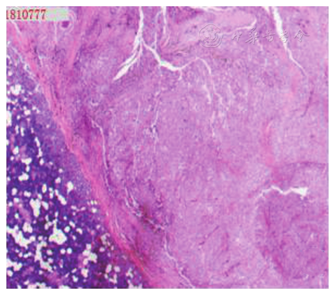
图2 右侧腮腺肿块术后病理图像。镜下可见瘤组织由纤维性间隔分隔成小叶或结节状,结节内瘤组织呈实性腺泡状排列,累及周围腺组织(HE ×200)
图3 右侧腮腺肿块术后免疫组化图像,提示(右)腮腺乳腺样分泌性癌。图a为免疫组化示S-100(+);图b为免疫组化示Mammaglobin(+)
1
Skálová A, Vanecek T, Sima R, et al. Mammary analogue secretory carcinoma of salivary glands,containing the ETV6-NTRK3 fusion gene: a hitherto undescribed salivary gland tumor entity [J]. Am J Surg Pathol, 2010, 34(5): 599-608.
2
Damjanov I, Skenderi F, Vranic S. Mammary analogue secretory carcinoma (MASC) of the salivary gland: A new tumor entity [J]. Bosn J Basic Med Sci, 2016, 16(3): 237-238.
3
王晓荣, 宋涛, 张荣, 等. 腮腺常见肿瘤的声像图特征及超声诊断价值 [J]. 中国超声医学杂志, 2014, 30(12): 1067-1070.
4
孙晶晶, 李江. 唾液腺乳腺样分泌癌的研究进展 [J]. 国际口腔医学杂志, 2016, 43(6): 677-684.
5
Chiosea SI, Griffith C, Assaad A, et al. The profile of acinic cell carcinoma after recognition of mammary analog secretory carcinoma [J]. Am J Surg Pathol, 2012, 36(3): 343-350.
No related articles found!
阅读次数
全文


摘要


AI


AI小编
你好!我是《中华医学电子期刊资源库》AI小编,有什么可以帮您的吗?