切换至 "中华医学电子期刊资源库"

中华医学超声杂志(电子版) ›› 2020, Vol. 17 ›› Issue (09) : 914 -915. doi: 10.3877/cma.j.issn.1672-6448.2020.09.018

所属专题: 乳腺超声 经典病例 文献

病例报告

超声诊断先天性乳头内陷并乳腺Paget病一例
于万钧1, 王梦萦1, 章春泉1,()   
  1. 1. 330000 南昌大学第二附属医院超声科
  • 收稿日期:2019-06-05 出版日期:2020-09-01
  • 通信作者: 章春泉

Diagnosis of congenital nipple invagination with breast Paget disease by ultrasound: a case report

Wanjun Yu1, Mengying Wang1, Chunquan Zhang1()   

  • Received:2019-06-05 Published:2020-09-01
  • Corresponding author: Chunquan Zhang
引用本文:

于万钧, 王梦萦, 章春泉. 超声诊断先天性乳头内陷并乳腺Paget病一例[J/OL]. 中华医学超声杂志(电子版), 2020, 17(09): 914-915.

Wanjun Yu, Mengying Wang, Chunquan Zhang. Diagnosis of congenital nipple invagination with breast Paget disease by ultrasound: a case report[J/OL]. Chinese Journal of Medical Ultrasound (Electronic Edition), 2020, 17(09): 914-915.

图1 患者左乳头未见显示,左乳晕区皮肤呈湿疹样糜烂破损,表面可见渗出、结痂及脱屑
图2 左乳病变区超声声像图。图a左乳晕中央区低回声结节(粗箭头);左乳低回声低回声结节,边界不清,内见砂砾样钙化(细箭头);图b彩色多普勒于左乳低回声结节内探及短线状血流信号;图c彩色多普勒于左乳晕中央区低回声结节内探及较丰富血流信号
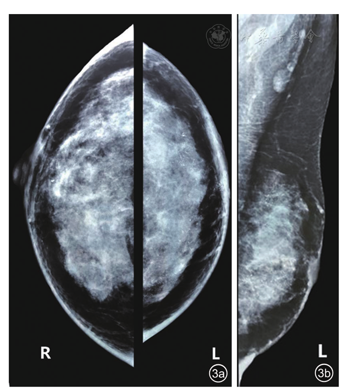
图3 乳腺钼靶图。图a双乳钼靶侧位片;图b左乳钼靶斜位片,左乳头未见明确显示,左乳晕区皮肤增厚,腺体内见多发点状钙化灶,呈分支状及短棒状改变:左侧腋窝淋巴结
图4 病理切片图。图a Paget细胞侵及临近乳腺组织(HE ×100);图b乳腺浸润性导管癌(HE ×200)
1
Cohen C, Guarner J, DeRose PB. Mammary Paget′s Disease and associated carcinoma. An inmmuohistochemical study [J]. Arch Pathol Lab Med, 1993, 117(3): 291-294.
2
Zhao Y, Sun HF, Chen MT, et al. Clinicopathological characteristics and survival outcomes in Paget disease: a SEER population-based study [J]. Cancer Med, 2018, 7(6): 2307-2318.
No related articles found!
阅读次数
全文


摘要


AI


AI小编
你好!我是《中华医学电子期刊资源库》AI小编,有什么可以帮您的吗?