切换至 "中华医学电子期刊资源库"

中华医学超声杂志(电子版) ›› 2022, Vol. 19 ›› Issue (09) : 1020 -1021. doi: 10.3877/cma.j.issn.1672-6448.2022.09.027

病例报告

腹腔妊娠合并阔韧带肌瘤误诊一例
张慧萍1, 彭玲耀2, 朱丹阳1, 李立峰1,()   
  1. 1. 318020 浙江台州,台州市第一人民医院妇产科
    2. 318020 浙江台州,台州市第一人民医院超声科
  • 收稿日期:2020-08-30 出版日期:2022-09-01
  • 通信作者: 李立峰
  • 基金资助:
    浙江省基础公益研究计划(LGF18H040002)

Misdiagnosis of abdominal pregnancy with broad ligament myoma: a case report

Huiping Zhang1, Lingyao Peng2, Danyang Zhu1   

  • Received:2020-08-30 Published:2022-09-01
引用本文:

张慧萍, 彭玲耀, 朱丹阳, 李立峰. 腹腔妊娠合并阔韧带肌瘤误诊一例[J/OL]. 中华医学超声杂志(电子版), 2022, 19(09): 1020-1021.

Huiping Zhang, Lingyao Peng, Danyang Zhu. Misdiagnosis of abdominal pregnancy with broad ligament myoma: a case report[J/OL]. Chinese Journal of Medical Ultrasound (Electronic Edition), 2022, 19(09): 1020-1021.

图1 2020年3月18日超声检查显示左侧附件区低回声团块,大小34 mm × 20 mm×20 mm,边界清楚,内部血流信号不明显,边缘条状血流信号
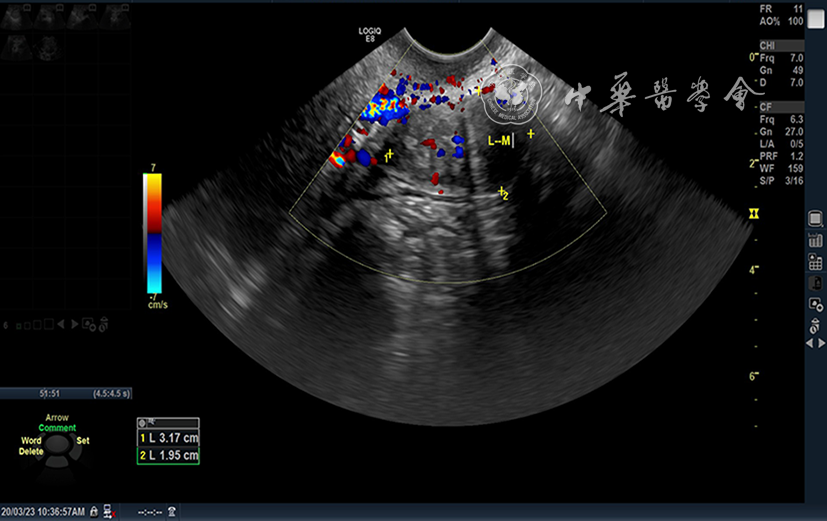
图2 2020年3月23日超声检查显示左侧附件区低回声团块,与2020年3月18日超声检查图像无明显差异
图3 2020年3月23日超声检查显示:子宫右后方见一孕囊样结构,大小14 mm×12 mm×13 mm,箭头所指部位可见卵黄囊样结构,直径为2.7 mm
图4 子宫右侧宫骶韧带清理血凝块后可见一凹陷
1
Brady PC. New evidence to guide ectopic pregnancy diagnosis and management [J]. Obstet Gynecol Surv, 2017, 72(10): 618-625.
2
Long Y, Zhu H, Hu Y, et al. Interventions for non-tubal ectopic pregnancy [J]. Cochrane Database Syst Rev, 2020, 7(7): CD011174.
3
Shan N, Deng W, Fu Y. Response to unusual ectopic pregnancies: a retrospective analysis of 65 cases [J]. J Obstet Gynaecol Res, 2014, 40(5): 1467.
4
谢幸, 苟文丽. 妇产科学 [M]. 8版. 北京: 人民卫生出版社, 2013: 57.
5
付丽莎, 赵红艳. 体外受精-胚胎移植术后腹膜后妊娠1例 [J]. 现代妇产科进展, 2020, 29(3): 240.
6
李玉宏. 早期腹腔妊娠的诊断和治疗 [J]. 中国实用妇科与产科杂志, 2017, 33(9): 906-909.
7
Worley KC, Hnat MD, Cunningham FG. Advanced extrauterine pregnancy: diagnostic and therapeutic challenges [J]. Am J Obstet Gynecol, 2008, 198(3): 297.e1-297.e7.
8
康燕, 黄华民. 原发性早期腹腔妊娠腹腔镜手术一例报告 [J]. 青海医药杂志, 2016, 46(12): 29-30.
No related articles found!
阅读次数
全文


摘要


AI


AI小编
你好!我是《中华医学电子期刊资源库》AI小编,有什么可以帮您的吗?