切换至 "中华医学电子期刊资源库"

中华医学超声杂志(电子版) ›› 2022, Vol. 19 ›› Issue (12) : 1417 -1418. doi: 10.3877/cma.j.issn.1672-6448.2022.12.021

病例报告

超声心动图诊断Carney复合征一例
贾思宇1, 唐红1, 梁玉佳1,()   
  1. 1. 610041 成都,四川大学华西医院心脏内科
  • 收稿日期:2021-05-25 出版日期:2022-12-01
  • 通信作者: 梁玉佳

A case of Carney complex diagnosed by echocardiography

Siyu Jia1, Hong Tang1, Yujia Liang1()   

  • Received:2021-05-25 Published:2022-12-01
  • Corresponding author: Yujia Liang
引用本文:

贾思宇, 唐红, 梁玉佳. 超声心动图诊断Carney复合征一例[J/OL]. 中华医学超声杂志(电子版), 2022, 19(12): 1417-1418.

Siyu Jia, Hong Tang, Yujia Liang. A case of Carney complex diagnosed by echocardiography[J/OL]. Chinese Journal of Medical Ultrasound (Electronic Edition), 2022, 19(12): 1417-1418.

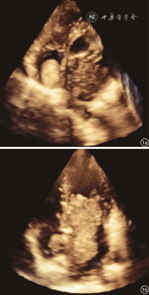
图1 心脏黏液瘤超声心动图图像。图a示右心房黏液瘤;图b示左心房黏液瘤
图2 Carney复合征患者面部及口唇色素沉着
图3 心脏黏液瘤双心房占位手术切除后大体标本(上方为右心房占位,下方为左心房占位)
1
Oliveira R G, Branco L, Dias L, et al. Mitral valve myxomas: an unusual entity [J]. Eur J Echocardiogr, 2008, 9(1): 181-183.
2
Mcallister BJ. Multi modality imaging features of cardiac myxoma [J]. J Cardiovasc Imaging, 2020, 28(4): 235-243.
No related articles found!
阅读次数
全文


摘要


AI


AI小编
你好!我是《中华医学电子期刊资源库》AI小编,有什么可以帮您的吗?