切换至 "中华医学电子期刊资源库"

中华医学超声杂志(电子版) ›› 2022, Vol. 19 ›› Issue (12) : 1419 -1421. doi: 10.3877/cma.j.issn.1672-6448.2022.12.022

病例报告

超声造影联合MRI诊断肝脏巨大血管平滑肌脂肪瘤一例
康林立1, 宋青1, 李菲菲2, 李众2, 唐杰1, 罗渝昆1,()   
  1. 1. 100853 北京,中国人民解放军总医院第一医学中心超声诊断科
    2. 100853 北京,中国人民解放军总医院病理科
  • 收稿日期:2020-09-23 出版日期:2022-12-01
  • 通信作者: 罗渝昆

Contrast-enhanced ultrasound combined with magnetic resonance imaging for diagnosis of giant hepatic angiomyolipoma: a case report

Linli Kang1, Qing Song1, Feifei Li2   

  • Received:2020-09-23 Published:2022-12-01
引用本文:

康林立, 宋青, 李菲菲, 李众, 唐杰, 罗渝昆. 超声造影联合MRI诊断肝脏巨大血管平滑肌脂肪瘤一例[J/OL]. 中华医学超声杂志(电子版), 2022, 19(12): 1419-1421.

Linli Kang, Qing Song, Feifei Li. Contrast-enhanced ultrasound combined with magnetic resonance imaging for diagnosis of giant hepatic angiomyolipoma: a case report[J/OL]. Chinese Journal of Medical Ultrasound (Electronic Edition), 2022, 19(12): 1419-1421.

图1 肝右叶高回声肿块MRI图像。图a为T1正相位表现为高信号;图b为T1反相位病灶内信号明显减低,病灶周边可见勾边效应;图c为T2非抑脂相呈稍高信号;图d为T2抑脂相信号明显减低;图e为T1相增强动脉期病灶呈高低混杂信号,以稍低信号为主;图f为T1相增强门静脉期病灶呈进行性不均匀强化
图2 肝右叶高回声肿块常规超声图像。图a,b分别为横切面及右肋缘下斜切面灰阶超声,显示肝右叶高回声肿块,回声明显高于周围肝实质,边界清楚;图c为彩色多普勒血流显像示肿块周边可见少许血流信号
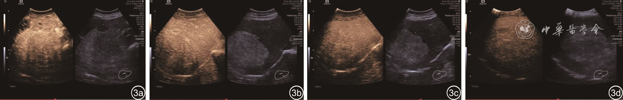
图3 肝右叶高回声肿块超声造影图像。图a为超声造影动脉相(17 s)显示病灶整体均匀高增强;图b为超声造影门脉相早期(47 s)显示病灶呈均匀等增强;图c为超声造影门脉相晚期(114 s)显示病灶内造影剂消退呈稍低增强;图d为超声造影延迟相(180 s)显示病灶内造影剂消退呈低增强
图4 肝右叶高回声肿块超声引导下穿刺活检及病理图像。图a为超声引导下粗针穿刺活检图像显示穿刺路径;图b为超声引导下粗针活检取材多条肝肿瘤组织;图c为镜下见大部分脂肪细胞和少部分大小不等的脉管样结构(HE ×200);图d为免疫组化示HMB45阳性(SP ×200)
1
吴若岱, 米瑞, 彭铮堃, 等. 肝脏上皮样血管平滑肌脂肪瘤与原发性肝细胞癌CT/MRI征象的比较研究 [J]. 临床放射学杂志, 2019, 38(12): 2327-2332.
2
魏佳璐, 沈进, 何波, 等. 肝脏血管平滑肌脂肪瘤的CT及MRI表现 [J]. 中国医学影像技术, 2018, 34(S1): 30-33.
3
Wang Z, Xu HX, Xie XY, et al. Imaging features of hepatic angiomyolipomas on real-time contrast-enhanced ultrasound[J]. Br J Radiol, 2010, 83(989): 411-418.
4
Makhlouf HR, Ishak KG, Shekar R, et al. Melanoma markers in angiomyolipoma of the liver and kidney: a comparative study[J]. Arch Pathol Lab Med, 2002, 126(1): 49-55.
5
陆才进, 郭怀斌, 刘娟, 等. 肝脏上皮样血管平滑肌脂肪瘤1例报告 [J]. 华北理工大学学报(医学版), 2019, 21(5): 414-416.
6
李士英, 陈金叶. 超声造影联合增强CT诊断不典型肝血管平滑肌脂肪瘤的临床价值 [J]. 影像科学与光化学, 2020, 38(3): 496-502.
7
刘吉斌, 王金锐. 超声造影显像 [M]. 北京: 科学技术文献出版社, 2010: 155-156.
8
Wang BH, Ye ZD, Chen Y, et al. Hepatic angiomyolipomas: ultrasonic characteristics of 25 patients from a single center[J]. Ultrasound Med Biol, 2015, 41(2): 393-400.
9
赵森, 庄琰, 刘梦雯, 等. MRI与CT联合检查肝血管平滑肌脂肪瘤的影像表现对其诊断价值分析 [J]. 中国CT和MRI杂志, 2020, 18(7): 140-143, 177.
10
Cai PQ, Wu YP, Xie CM, et al. Hepatic angiomyolipoma: CT and MR imaging findings with clinical-pathologic comparison[J]. Abdom Imaging, 2013, 38(3): 482-489.
11
张胜龙, 杨先伟, 王文涛. 肝血管平滑肌脂肪瘤81例诊治分析 [J]. 中华肝胆外科杂志, 2019(1): 15-17.
12
易凤连, 陈建春, 聂茹, 等. 肝腺瘤超声造影和增强CT的对比分析 [J]. 现代医用影像学, 2019, 28(7): 1503-1505.
No related articles found!
阅读次数
全文


摘要


AI


AI小编
你好!我是《中华医学电子期刊资源库》AI小编,有什么可以帮您的吗?