切换至 "中华医学电子期刊资源库"

中华医学超声杂志(电子版) ›› 2023, Vol. 20 ›› Issue (10) : 1023 -1028. doi: 10.3877/cma.j.issn.1672-6448.2023.10.004

心血管超声影像学

左心室辅助装置支持下单纯收缩期主动脉瓣反流的超声心动图特征
任书堂, 刘晓程(), 张亚东, 孙佳英, 陈萍, 周建华, 龙进, 黄云洲   
  1. 300457 天津,泰达国际心血管病医院超声科
    300457 天津,泰达国际心血管病医院心脏外科
  • 收稿日期:2022-10-31 出版日期:2023-10-01
  • 通信作者: 刘晓程
  • 基金资助:
    天津市自然科学基金重点项目(18JCZDJC36200); 国家重点研发计划课题(2017YFC0111005)

Echocardioimagedata features of solo-systolic aortic regurgitation during left ventricular assist device support

Shutang Ren, Xiaocheng Liu(), Yadong Zhang, Jiaying Sun, Ping Chen, Jianhua Zhou, Jin Long, Yunzhou Huang   

  1. Department of Ultrasound, TEDA International Cardiovascular Hospital, Tianjin 300457, China
    Department of Cardiac surgery, TEDA International Cardiovascular Hospital, Tianjin 300457, China
  • Received:2022-10-31 Published:2023-10-01
  • Corresponding author: Xiaocheng Liu
引用本文:

任书堂, 刘晓程, 张亚东, 孙佳英, 陈萍, 周建华, 龙进, 黄云洲. 左心室辅助装置支持下单纯收缩期主动脉瓣反流的超声心动图特征[J/OL]. 中华医学超声杂志(电子版), 2023, 20(10): 1023-1028.

Shutang Ren, Xiaocheng Liu, Yadong Zhang, Jiaying Sun, Ping Chen, Jianhua Zhou, Jin Long, Yunzhou Huang. Echocardioimagedata features of solo-systolic aortic regurgitation during left ventricular assist device support[J/OL]. Chinese Journal of Medical Ultrasound (Electronic Edition), 2023, 20(10): 1023-1028.

目的

分析连续流左心室辅助装置(CF-LVAD)植入术后患者出现单纯收缩期主动脉瓣反流(SSAR)的超声心动图特征,探讨其机制及临床意义。

方法

回顾性分析2019年3月至2022年6月在泰达国际心血管病医院植入CF-LVAD的4例SSAR患者的临床和超声影像学资料。所有患者在LVAD植入前均接受经胸超声心动图(TTE),植入术中和围术期接受经食管超声心动图(TEE),并在植入后定期进行TTE随访,测量和分析其主动脉根部直径以及主动脉瓣开放、反流持续时间和缩流宽度。

结果

LVAD植入后,超声心动图显示左心室卸载导致的室间隔同向运动及二尖瓣环室间隔侧组织运动速度显著减低或反向。主动脉瓣环和主动脉窦直径均较术前增加。主动脉瓣呈持续性关闭或间歇性开放。主动脉瓣环伴随着心动周期呈现动态变化,收缩期扩张,舒张期回缩。4例患者出现微量至少量的SSAR。随访结果显示,3例SSAR为一过性或无显著变化,1例恶化为重度主动脉瓣关闭不全。

结论

LVAD植入后SSAR是一种少见的、既往被忽视的血流动力学征象,与LVAD支持下左心室卸载及跨主动脉瓣逆压力梯度有关。SSAR可能是CF-LVAD特殊病理生理学导致的主动脉瓣早期可逆性病变的标志之一。

Objective

To analyze the echocardioimagedata features of solo-systolic aortic regurgitation (SSAR) after continuous flow (CF) left ventricular assist device (LVAD) implantation to approach its mechanisms and clinical significance.

Methods

We retrospectively identified four patients with SSAR after CF-LVAD implantation at TEDA International Cardiovascular Hospital from March 2019 to June 2022. Pre-operative transthoracic echocardiography (TTE), intra- and post-operative transesophageal echocardiography (TEE), and follow-up TTE were performed in all patients. The aortic root dimensions, aortic valvular opening, aortic regurgitation duration, and vena contracta (VC) width were measured and analyzed.

Results

Post-implantation TTE revealed ventricular septal paradoxical motion due to the unloading of the left ventricle, whereas the septum slightly bowed towards the left ventricle during diastole. The systolic velocity of mitral annulus motion became significantly reduced or negative. The aortic valve consistently closed or intermittently opened. The diameter of the aortic annulus and aortic sinus slightly increased. The morphology of the aortic annulus changed throughout the cycles, with the AV annulus abnormally distorted and dilated during systole. SSAR occurred in four cases (16.7 %), graded as minimal or mild. Subsequent follow-up results showed that SSAR was transient or unchanged in three cases and was worsening in one case.

Conclusion

SSSAR post-LVAD implantation is a peculiar and previously neglected hemodynamic sign, which relates to left ventricular unloading and reversed transaortic pressure gradient resulting from LVAD support. SSAR may serve as s surrogate for early reversible aortic valve lesions owing to the special pathophysiology of CF-LVAD.

图1 左心室中段M型波群图像。左心室辅助装置植入术后,室间隔与左心室后壁呈同向运动(箭头所示)
图2 左心室辅助装置植入术后左心室及主动脉瓣环伴随着心动周期呈现不同程度的动态变化示意图。图a示舒张期胸骨旁左心室短轴切面,左心室短轴呈椭圆形,主动脉瓣环缩小;图b示收缩期胸骨旁左心室短轴切面,左心室恢复圆形,主动脉瓣环扩张;图c示舒张期心尖五腔心切面,室间隔左偏,主动脉瓣下移(蓝色箭头示心肌运动方向);图d示收缩期心尖五腔心切面,室间隔右偏,主动脉瓣上移(黄色箭头示心肌运动方向) 注:AV为主动脉瓣;LV为左心室;AO为主动脉
图3 组织多普勒显示室间隔二尖瓣环室间隔侧组织反向运动速度(黄色箭头所示)
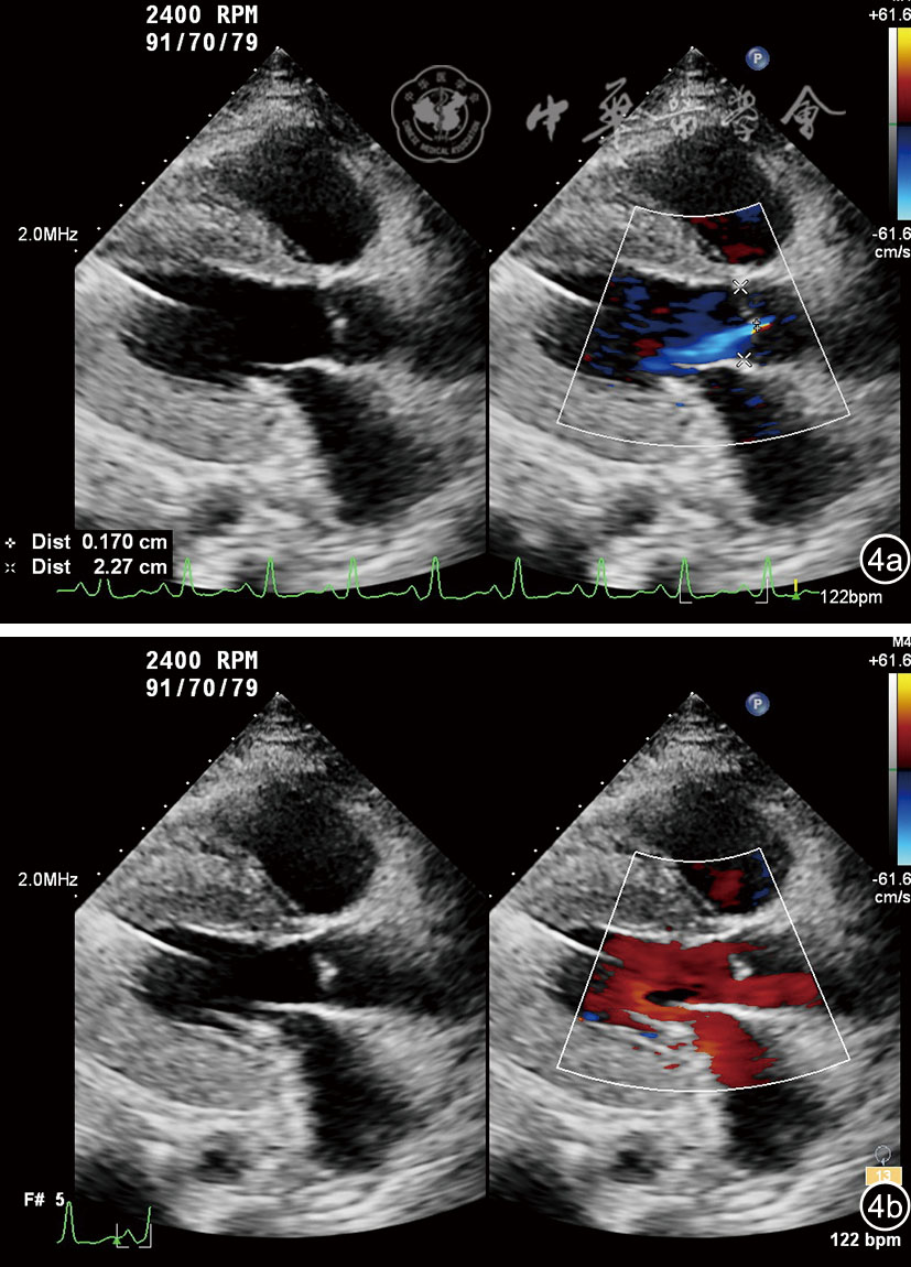
图4 左心室辅助装置植入术后主动脉瓣反流超声图像。图a示胸骨旁左心室长轴切面,收缩期少量主动脉瓣反流;图b示舒张期主动脉瓣反流消失
图5 M型彩色多普勒显示收缩期主动脉瓣反流(黄色箭头所示)
表1 4例SSAR患者术前及术后的基本资料和主动脉瓣反流情况
表2 4例SSAR患者的左心室结构、功能及主动脉根部超声参数
1
Truby LK, Garan AR, Givens RC, et al.Aortic insufficiency during contemporary left ventricular assist device support: an analysis of the INTERMACS registry [J]. JACC Heart Fail, 2018, 6(11): 951-960.
2
Stainback RF, Estep JD, Agler DA, et al. Echocardiography in the management of patients with left ventricular assist devices: recommendations from the American Society of Echocardiography [J]. J Am Soc Echocardiogr, 201528(8): 853-909.
3
施怡声, 朱振辉, 王浩, 等. 左室辅助装置植入前后主动脉瓣反流的超声评价和临床预后[J]. 中国胸心血管外科临床杂志, 2021, 28(6): 670-674.
4
任书堂, 刘晓程, 王正清, 等. 经食管超声心动图在左室辅助装置植入术中的应用价值 [J]. 中华超声影像学杂志, 2022, 31(9): 746-752.
5
Martina J, de Jonge N, Sukkel E, et al. Left ventricular assist device-related systolic aortic regurgitation [J]. Circulation, 2011, 124(4): 487-488.
6
Kato TS, Maurer MS, Sera F, et al. Aortic regurgitation during systolic-phase accompanied by mitral regurgitation in patients with continuous-flow left ventricular assist device [J]. Eur Heart J Cardiovasc Imaging, 2013, 14(10): 1022.
7
Mitchell C, Rahko PS, Blauwet LA, et al. Guidelines for performing a comprehensive transthoracic echocardioimagedata examination in adults: recommendations from the American Society of Echocardiography [J]. J Am Soc Echocardiogr, 2019, 32(1): 1-64.
8
尹立雪.主动脉瓣关闭不全的超声心动图量化评估及临床应用 [J/OL].中华医学超声杂志(电子版), 2021, 18(10): 921-925.
9
Barth M, Mrozek L, Niazy N, et al. Degenerative changes of the aortic valve during left ventricular assist device support [J]. ESC Heart Fail, 2022, 9(1): 270-282.
10
Karwat P, Klimonda Z, Styczyński G, et al. Aortic root movement correlation with the function of the left ventricle [J]. Sci Rep, 2021, 11(1): 4473.
11
Aurich M, Niemers M, Fuchs P, et al. Pathophysiological background and prognostic implication of systolic aortic root motion in non-ischemic dilated cardiomyopathy [J]. Sci Rep, 2019, 9(1): 3866.
12
Kim WK, Meyer A, Möllmann H, et al. Cyclic changes in area- and perimeter-derived effective dimensions of the aortic annulus measured with multislice computed tomography and comparison with metric intraoperative sizing [J]. Clin Res Cardiol, 2016, 105(7): 622-629.
[1] 杜祖升, 赵博文, 张帧, 潘美, 彭晓慧, 陈冉, 毛彦恺. 应用二维斑点追踪成像技术评估孕周及心尖方向对中晚孕期正常胎儿左心房应变的影响[J/OL]. 中华医学超声杂志(电子版), 2024, 21(09): 843-851.
[2] 张商迪, 赵博文, 潘美, 彭晓慧, 陈冉, 毛彦恺, 陈阳, 袁华, 陈燕. 中晚孕期胎儿心房内径定量评估心房比例失调胎儿心脏畸形的价值[J/OL]. 中华医学超声杂志(电子版), 2024, 21(08): 785-793.
[3] 王水清, 赵博文, 潘美, 彭晓慧, 陈冉, 马明明, 狄敏. 16~40周正常胎儿左心房后间隙指数及其Z评分的定量研究[J/OL]. 中华医学超声杂志(电子版), 2024, 21(05): 460-469.
[4] 陈佳易, 袁帅, 胡胜男, 步笑辉, 牟芸, 郑哲岚. 左心室压力-应变环联合Tei指数评价慢性中重度主动脉瓣反流患者左心功能的初步研究[J/OL]. 中华医学超声杂志(电子版), 2023, 20(12): 1231-1236.
[5] 李文秀, 杨爽, 吴江, 耿斌, 苏俊武. 二维经胸超声心动图诊断小儿二尖瓣裂的价值[J/OL]. 中华医学超声杂志(电子版), 2023, 20(11): 1186-1192.
[6] 张婉微, 秦芸芸, 蔡绮哲, 林明明, 田润雨, 金姗, 吕秀章. 心肌收缩早期延长对非ST段抬高型急性冠脉综合征患者冠状动脉严重狭窄的预测价值[J/OL]. 中华医学超声杂志(电子版), 2023, 20(10): 1016-1022.
[7] 孙佳英, 黄云洲, 任书堂, 王翠华, 陈新华, 于艾嘉, 陈元禄. 无创心肌做功对左束支传导阻滞患者左心室整体及节段心肌收缩功能的评价[J/OL]. 中华医学超声杂志(电子版), 2023, 20(08): 836-843.
[8] 钟露, 曹省, 宋宏宁, 陈金玲, 周青. 超声心动图定量评估二尖瓣反流程度的质量控制[J/OL]. 中华医学超声杂志(电子版), 2023, 20(07): 705-711.
[9] 金姗, 丁雪晏, 蔡绮哲, 李一丹, 赵智玲, 郭兮恒, 吕秀章. 左心室压力-应变环对阻塞型睡眠呼吸暂停综合征患者心肌功能的评价[J/OL]. 中华医学超声杂志(电子版), 2023, 20(06): 575-580.
[10] 陈红, 阮骊韬, 师桃, 郭锋伟, 郝军军, 闫炀, 尚佳楠, 宋艳. 右心室心肌应变与左心室辅助装置植入后早期右心衰竭的相关性研究[J/OL]. 中华危重症医学杂志(电子版), 2024, 17(01): 26-31.
[11] 田权秀, 韩爱民, 徐艳. 动脉导管未闭与极低出生体重早产儿支气管肺发育不良的相关性分析[J/OL]. 中华妇幼临床医学杂志(电子版), 2023, 19(06): 675-682.
[12] 储慧民, 杜先锋. 心腔内超声心动图指导左心耳封堵的规范化标准流程[J/OL]. 中华心脏与心律电子杂志, 2024, 12(01): 1-5.
[13] 储慧民. 心腔内超声心动图指导下的左心耳封堵术标准流程解析[J/OL]. 中华心脏与心律电子杂志, 2024, 12(01): 58-58.
[14] 潘文志, 龙愉良, 周达新, 葛均波. 单纯主动脉瓣反流经导管主动脉瓣置换的解剖分析及操作技巧[J/OL]. 中华心脏与心律电子杂志, 2023, 11(03): 141-146.
[15] 李燕伟, 黄大军, 伍洲, 张嬿, 康彧, 孔令秋. 曲折的右心声学造影一例[J/OL]. 中华心脏与心律电子杂志, 2023, 11(03): 179-181.
阅读次数
全文


摘要


AI


AI小编
你好!我是《中华医学电子期刊资源库》AI小编,有什么可以帮您的吗?