切换至 "中华医学电子期刊资源库"

中华医学超声杂志(电子版) ›› 2025, Vol. 22 ›› Issue (10) : 889 -898. doi: 10.3877/cma.j.issn.1672-6448.2025.10.001

专家共识

妊娠早期超声产前筛查与诊断常用标准切面及技术要求专家共识
中华预防医学会出生缺陷预防与控制专业委员会产前超声诊断学组   
  • 收稿日期:2025-05-20 出版日期:2025-10-01
  • 基金资助:
    国家重点研发计划(2022YFF0606301)

Expert consensus on standard scan planes and technical requirements for first-trimester prenatal ultrasound screening and diagnosis

Prenatal Ultrasound Diagnosis Group, Committee of Birth Defects Prevention and Control, Chinese Preventive Medicine Association   

  • Received:2025-05-20 Published:2025-10-01
引用本文:

中华预防医学会出生缺陷预防与控制专业委员会产前超声诊断学组. 妊娠早期超声产前筛查与诊断常用标准切面及技术要求专家共识[J/OL]. 中华医学超声杂志(电子版), 2025, 22(10): 889-898.

Prenatal Ultrasound Diagnosis Group, Committee of Birth Defects Prevention and Control, Chinese Preventive Medicine Association. Expert consensus on standard scan planes and technical requirements for first-trimester prenatal ultrasound screening and diagnosis[J/OL]. Chinese Journal of Medical Ultrasound (Electronic Edition), 2025, 22(10): 889-898.

表1 妊娠早期超声产前筛查与诊断常用标准切面
图1 妊娠12+2 周胎儿正中矢状切面超声图像 注:NB为鼻骨;NA为鼻尖;SM为上颌骨;IM为下颌骨;D为间脑;P为脑桥;FV为第四脑室;CM为小脑延髓池;GT为生殖结节
图2 妊娠12+2周胎儿颈项透明层切面超声图像(图中1为颈项透明层厚度测量) 注:NB为鼻骨;NA为鼻尖;SM为上颌骨;IM为下颌骨;D为间脑;P为脑桥;FV为第四脑室;CM为小脑延髓池;NT为颈项透明层
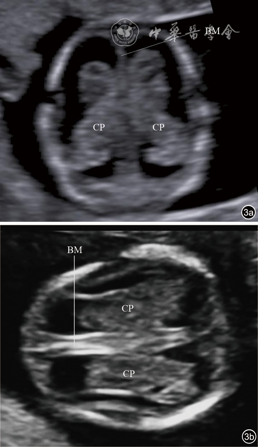
图3 经侧脑室横切面超声图像。图a为妊娠12+4周胎儿经前额侧脑室横切面声像图;图b为妊娠13+3周胎儿经颞部侧脑室横切面声像图 注:CP为脉络丛;BM为脑中线
图4 妊娠12+4周胎儿脐带腹壁入口横切面超声图像 注:SP为脊柱;CORD为脐带
图5 妊娠12+4周胎儿经小脑横切面超声图像 注:BM为脑中线;CP为脉络丛;T为丘脑;M为中脑;CV为小脑蚓部;CH为小脑半球;CM为小脑延髓池
图6 妊娠13+3周胎儿经中脑导水管横切面超声图像 注:BM为脑中线;CP为脉络丛;T为丘脑;TV为第三脑室;AM为中脑导水管;M为中脑;OB为枕骨
图7 妊娠12+5周胎儿双眼眶斜冠状切面超声图像 注:EAR为耳;EYES为眼
图8 妊娠13+4周胎儿鼻后三角冠状切面超声图像 注:NB为鼻骨;SM为上颌骨;ST为上牙槽;IM为下颌骨
图9 妊娠12+5周胎儿心尖四腔心切面彩色多普勒血流成像 注:LV为左心室;RV为右心室;LA为左心房;RA为右心房;SP为脊柱;R为右侧;L为左侧
图10 妊娠12+3周胎儿三血管气管切面彩色多普勒血流成像 注:MPA为主肺动脉;AO为主动脉
图11 妊娠12+4周胎儿左侧膈肌矢状切面超声图像 注:ST为胃泡;L-LU为左肺;H为心脏;箭头为膈肌
图12 妊娠12+1周胎儿右侧膈肌矢状切面超声图像 注:LI为肝脏;R-LU为右肺;箭头为膈肌
图13 妊娠12+2周胎儿上腹部横切面超声图像 注:ST为胃泡;LI为肝脏;SP为脊柱;UV为脐静脉
图14 双肾冠状切面超声图像。图a为妊娠13周胎儿双肾冠状切面二维声像图;图b为妊娠13周胎儿双肾冠状切面彩色多普勒血流声像图 注:LK为左肾;RK为右肾;LKA为左肾动脉;RKA为右肾动脉;DAO为降主动脉
图15 妊娠12+5周胎儿膀胱矢状切面超声图像 注:BL为膀胱;GT为生殖结节
图16 妊娠13+4周胎儿膀胱水平横切面彩色多普勒血流成像 注:UA为脐动脉;BL为膀胱
图17 妊娠12+4 周胎儿上肢长轴切面超声图像 注:UpA 为上臂;FoA 为前臂;H 为右手
图18 妊娠12+4周胎儿下肢长轴切面超声图像 注:T为大腿;LL为小腿;F为足
图19 孕妇宫颈正中矢状切面超声图像。图a为经腹部宫颈正中矢状切面声像图;图b为经阴道宫颈正中矢状切面声像图 注:CX为宫颈;PL为胎盘
图20 最大羊水池深度切面超声图像
图21 胎盘位置及脐带插入口切面超声图像。图a为胎盘位置及胎盘脐带插入口切面二维声像图;图b为胎盘位置及胎盘脐带插入口切面彩色多普勒血流声像图 注:PL为胎盘;CORD为脐带;箭头为胎盘脐带插入口
图22 多胎妊娠“λ”征与“T”字征超声图像。图a为双绒毛膜囊双羊膜囊双胎妊娠胎盘分隔膜连接处切面声像图,连接处呈“λ”征或“双胎峰”;图b为单绒毛膜囊双羊膜囊双胎妊娠胎盘分隔膜连接处切面声像图,连接处呈“T”字形
1
中国医师协会超声医师分会. 产前超声检查指南(2012)[J/CD]. 中华医学超声杂志(电子版), 2012, 9(7): 574-580.
2
中华医学会超声医学分会妇产超声学组, 国家卫生健康委妇幼司全国产前诊断专家组医学影像组. 超声产前筛查指南[J]. 中华超声影像学杂志, 2022, 31(1): 1-12.
3
李胜利. 胎儿畸形产前超声诊断学[M]. 2版. 北京: 人民军医出版社, 2017
4
International Society of Ultrasound in Obstetrics and Gynecology; Bilardo CM, Chaoui R, Hyett JA, et al. ISUOG Practice Guidelines (updated): performance of 11-14-week ultrasound scan[J]. Ultrasound Obstet Gynecol, 2023, 61(1): 127-143.
5
Salomon LJ, Alfirevic Z, Bilardo CM, et al. ISUOG practice guidelines: performance of first-trimester fetal ultrasound scan[J]. Ultrasound Obstet Gynecol, 2013, 41(1): 102-113.
6
孔凡斌, 宁燕, 严英榴. 胎儿颈项透明层检测质量控制及其在染色体异常检出中的意义[J]. 中国医学计算机成像杂志, 2014, 20(3): 264-266.
7
马莹, 陈奕, 吴青青. 491例颈项透明层2.5~3.4 mm胎儿的染色体分析[J]. 中国生育健康杂志, 2021, 32(5): 477-481.
8
Driscoll DA, Gross SJ; Professional Practice and Guidelines Committee. First trimester diagnosis and screening for fetal aneuploidy[J]. Genet Med, 2008, 10(1): 73-75.
9
Souter VL, Nyberg DA. Sonographic screening for fetal aneuploidy: first trimester[J]. J Ultrasound Med, 2001, 20(7): 775-790.
10
Pruthi V, Abbasi N, Thakur V, et al. Performance of comprehensive first trimester fetal anatomy assessment[J]. Prenat Diagn, 2023, 43(7): 881-888.
11
Syngelaki A, Hammami A, Bower S, et al. Diagnosis of fetal non-chromosomal abnormalities on routine ultrasound examination at 11-13 weeks' gestation[J]. Ultrasound Obstet Gynecol, 2019, 54(4): 468-476.
12
Carvalho JS, Moscoso G, Ville Y. First-trimester transabdominal fetal echocardiography[J]. Lancet, 1998, 351(9108): 1023-1027.
13
Carvalho JS. Fetal heart scanning in the first trimester[J]. Prenat Diagn, 2004, 24(13): 1060-1067.
14
Dhombres F, Roux N, Friszer S, et al. Relation between the quality of the ultrasound image acquisition and the precision of the measurement of the crown-rump length in the late first trimester: what are the consequences?[J]. Eur J Obstet Gynecol Reprod Biol, 2016, 207: 37-44.
15
Wanyonyi SZ, Napolitano R, Ohuma EO, et al. Image-scoring system for crown-rump length measurement[J]. Ultrasound Obstet Gynecol, 2014, 44(6): 649-654.
16
Axell RG, Gillett A, Pasupathy D, et al. Accuracy of nuchal translucency measurement depends on equipment used and its calibration[J]. Ultrasound Obstet Gynecol, 2014, 44(1): 31-37.
17
Teoh M, Meagher SE, Choong S, et al. The effect of image size on screen-positive rates for nuchal translucency screening[J]. BJOG, 2006, 113(4): 479-481.
18
Volpe N, Dall'Asta A, Di Pasquo E, et al. First-trimester fetal neurosonography: technique and diagnostic potential[J]. Ultrasound Obstet Gynecol, 2021, 57(2): 204-214.
No related articles found!
阅读次数
全文


摘要


AI


AI小编
你好!我是《中华医学电子期刊资源库》AI小编,有什么可以帮您的吗?