切换至 "中华医学电子期刊资源库"

中华医学超声杂志(电子版) ›› 2025, Vol. 22 ›› Issue (10) : 899 -908. doi: 10.3877/cma.j.issn.1672-6448.2025.10.002

专家共识

妊娠中期超声产前筛查与诊断常用标准切面及技术要求专家共识
中华预防医学会出生缺陷预防与控制专业委员会产前超声诊断学组   
  • 收稿日期:2025-05-20 出版日期:2025-10-01
  • 基金资助:
    国家重点研发计划(2022YFF0606301)

Expert consensus on standard scan planes and technical requirements for second-trimester prenatal ultrasound screening and diagnosis

Prenatal Ultrasound Diagnosis Group, Committee of Birth Defects Prevention and Control, Chinese Preventive Medicine Association   

  • Received:2025-05-20 Published:2025-10-01
引用本文:

中华预防医学会出生缺陷预防与控制专业委员会产前超声诊断学组. 妊娠中期超声产前筛查与诊断常用标准切面及技术要求专家共识[J/OL]. 中华医学超声杂志(电子版), 2025, 22(10): 899-908.

Prenatal Ultrasound Diagnosis Group, Committee of Birth Defects Prevention and Control, Chinese Preventive Medicine Association. Expert consensus on standard scan planes and technical requirements for second-trimester prenatal ultrasound screening and diagnosis[J/OL]. Chinese Journal of Medical Ultrasound (Electronic Edition), 2025, 22(10): 899-908.

表1 妊娠中期超声产前筛查与诊断常用标准切面
图1 鼻唇冠状切面超声图像 注:UL为上唇;N为鼻
图2 双眼球横切面超声图像 注:O为眼球;CL为晶状体
图3 上腹部横切面及腹围测量超声图像。图a为上腹部横切面超声图像;图b为上腹部横切面腹围测量超声图像 注:LIVER为肝脏;IVC为下腔静脉;AO为腹主动脉;UV为脐静脉腹内段;ST为胃泡;L为左侧;R为右侧;SP为脊柱
图4 双肾横切面超声图像 注:SP为脊柱;RK为右肾;LK为左肾
图5 脐带腹壁入口横切面超声图像 注:CORD为脐带
图6 膀胱水平横切面彩色多普勒血流成像 注:BL为膀胱;UA为脐动脉
图7 脊柱矢状切面超声图像。图a为全程脊柱矢状切面;图b为骶尾部脊柱矢状切面,显示脊髓圆锥(箭头所示) 注:SP为脊柱
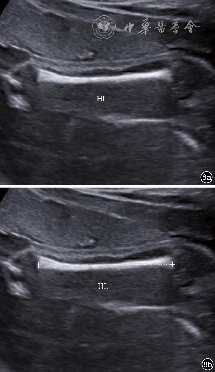
图8 肱骨长轴切面及肱骨长度测量超声图像。图a为肱骨长轴切面;图b为肱骨长度测量图 注:HL为肱骨
图9 尺、桡骨长轴切面超声图像。图a为尺、桡骨冠状切面;图b为尺骨矢状切面;图c为桡骨矢状切面 注:UL为尺骨;RA为桡骨;HAND为手
图10 股骨长轴切面超声图像。图a为股骨长轴切面;图b为股骨长度测量图 注:FL为股骨
图11 胫、腓骨长轴切面超声图像。图a为胫、腓骨冠状切面;图b为胫骨矢状切面;图c为腓骨矢状切面 注:FI为腓骨;T为胫骨;FOOT为足
图12 宫颈正中矢状切面超声图像 注:BL为膀胱;CX为宫颈
图13 羊水指数测量切面超声图像
图14 颜面部正中矢状切面超声图像 注:NB为鼻骨;NA为鼻尖;UL为上唇;LL为下唇;ME为下颌
图15 上牙槽突横切面超声图像 注:UL为上唇;SA为上牙槽
图16 硬腭斜冠状切面超声图像 注:LL为下唇;HP为硬腭(腭骨水平板)
图17 膈肌冠状切面超声图像 注:H为心脏;LIVER为肝脏;ST为胃泡;L-LU为左肺;R-LU为右肺;箭头所指为膈肌
图18 膈肌矢状切面超声图像。图a为左侧膈肌矢状切面;图b为右侧膈肌矢状切面 注:H为心脏;ST为胃泡;L-LU为左肺;LIVER为肝脏;R-LU为右肺;箭头所指为膈肌
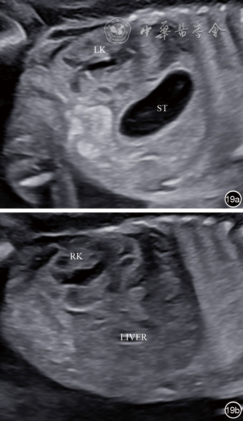
图19 肾脏矢状切面超声图像。图a为左肾矢状切面;图b为右肾矢状切面 注:ST为胃泡;LIVER为肝脏;LK为左肾;RK为右肾
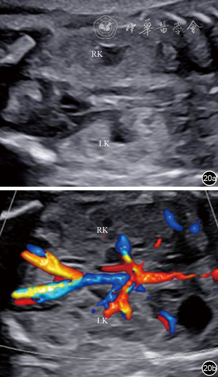
图20 双肾冠状切面超声图像及彩色多普勒血流成像(CDFI)。图a为双肾冠状切面;图b为双肾冠状切面CDFI 注:RK为右肾;LK为左肾
图21 脊柱椎体冠状切面超声图像
图22 脊柱椎弓冠状切面超声图像
图23 脊柱横切面超声图像 注:VA为椎弓;VB为椎体;SC为脊髓
图24 足底切面超声图像 注:L-FOOT为左足底;R-FOOT为右足底
图25 胎盘脐带插入口切面超声图像及彩色多普勒血流成像(CDFI)。图a为胎盘脐带插入口切面;图b为胎盘脐带插入口切面CDFI
1
中国医师协会超声医师分会. 产前超声检查指南(2012)[J/CD]. 中华医学超声杂志(电子版), 2012, 9(7): 574-580.
2
李胜利, 罗国阳. 胎儿畸形产前超声诊断学[M]. 2版. 科学出版社, 2017
3
Erkamp JS, Voerman E, Steegers EAP, et al. Second and third trimester fetal ultrasound population screening for risks of preterm birth and small-size and large-size for gestational age at birth: a population-based prospective cohort study[J]. BMC Med, 2020, 18(1): 63.
4
Salomon LJ, Alfirevic Z, Da Silva Costa F, et al. ISUOG Practice Guidelines: ultrasound assessment of fetal biometry and growth[J]. Ultrasound Obstet Gynecol, 2019, 53(6): 715-723.
5
Lees CC, Stampalija T, Baschat A, et al. ISUOG Practice Guidelines: diagnosis and management of small-for-gestational-age fetus and fetal growth restriction[J]. Ultrasound Obstet Gynecol, 2020, 56(2): 298-312.
6
Edwards L, Hui L. First and second trimester screening for fetal structural anomalies[J]. Semin Fetal Neonatal Med, 2018, 23(2): 102-111.
7
Ritchie K, Bradbury I, Slattery J, et al. Economic modelling of antenatal screening and ultrasound scanning programmes for identification of fetal abnormalities[J]. BJOG, 2005, 112(7): 866-874.
8
中华医学会超声医学分会妇产超声学组, 国家卫生健康委妇幼司全国产前诊断专家组医学影像组. 超声产前筛查指南[J]. 中华超声影像学杂志, 2022, 31(1): 1-12.
9
Salomon LJ, Alfirevic Z, Berghella V, et al. ISUOG Practice Guidelines (updated): performance of the routine mid-trimester fetal ultrasound scan[J]. Ultrasound Obstet Gynecol, 2022, 59(6): 840-856.
10
中华预防医学会出生缺陷预防与控制专业委员会产前超声诊断学组. 胎儿颅脑超声产前筛查与诊断常用标准切面及技术要求专家共识[J/OL]. 中华医学超声杂志(电子版), 2025, 22(10): 909-916.
11
中华预防医学会出生缺陷预防与控制专业委员会产前超声诊断学组.胎儿心脏超声产前筛查与诊断常用标准切面及技术要求专家共识[J/OL]. 中华医学超声杂志(电子版), 2025, 22(10): 917-928.
No related articles found!
阅读次数
全文


摘要


AI


AI小编
你好!我是《中华医学电子期刊资源库》AI小编,有什么可以帮您的吗?