切换至 "中华医学电子期刊资源库"

中华医学超声杂志(电子版) ›› 2025, Vol. 22 ›› Issue (10) : 909 -916. doi: 10.3877/cma.j.issn.1672-6448.2025.10.003

专家共识

胎儿颅脑超声产前筛查与诊断常用标准切面及技术要求专家共识
中华预防医学会出生缺陷预防与控制专业委员会产前超声诊断学组   
  • 收稿日期:2025-05-20 出版日期:2025-10-01
  • 基金资助:
    国家重点研发计划(2022YFF0606301)

Expert consensus on standard scan planes and technical requirements for prenatal fetal cranial ultrasound screening and diagnosis

Prenatal Ultrasound Diagnosis Group, Committee of Birth Defects Prevention and Control, Chinese Preventive Medicine Association   

  • Received:2025-05-20 Published:2025-10-01
引用本文:

中华预防医学会出生缺陷预防与控制专业委员会产前超声诊断学组. 胎儿颅脑超声产前筛查与诊断常用标准切面及技术要求专家共识[J/OL]. 中华医学超声杂志(电子版), 2025, 22(10): 909-916.

Prenatal Ultrasound Diagnosis Group, Committee of Birth Defects Prevention and Control, Chinese Preventive Medicine Association. Expert consensus on standard scan planes and technical requirements for prenatal fetal cranial ultrasound screening and diagnosis[J/OL]. Chinese Journal of Medical Ultrasound (Electronic Edition), 2025, 22(10): 909-916.

表1 胎儿颅脑超声产前筛查与诊断常用标准切面
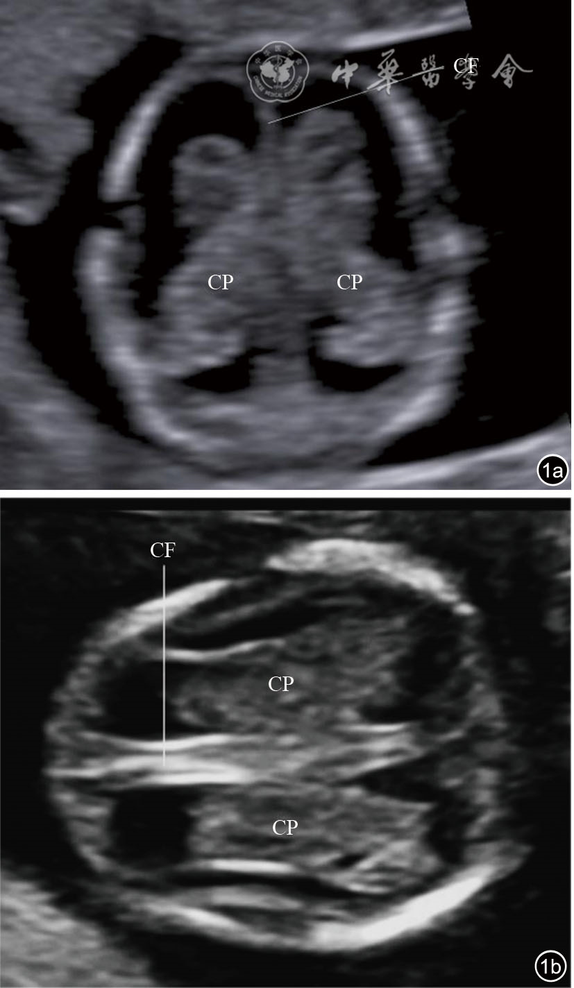
图1 妊娠早期经侧脑室横切面超声图像。图a为妊娠12+4周胎儿经前额侧脑室横切面声像图;图b为妊娠13+3周胎儿经颞部侧脑室横切面声像图 注:CP为脉络丛;CF为大脑镰
图2 妊娠12+4周胎儿经小脑横切面超声图像 注:CF为大脑镰;CP为脉络丛;T为丘脑;M为中脑;CV为小脑蚓部;CH为小脑半球;CM为小脑延髓池;OB为枕骨
图3 妊娠13+3周胎儿经中脑导水管横切面超声图像 注:CF为大脑镰;CP为脉络丛;T为丘脑;AM为中脑导水管;M为中脑;OB为枕骨
图4 妊娠22周胎儿经侧脑室横切面超声图像(白色虚线为侧脑室宽度测量) 注:CC为胼胝体膝部;CSP为透明隔腔;CF为大脑镰;AH为侧脑室前角;SF为外侧裂;CP为脉络丛;PH为侧脑室后角;T为丘脑;SK为颅骨
图5 妊娠22周胎儿经丘脑横切面超声图像(图中直线虚线1为双顶径测量,虚线2为头围测量) 注:CC为胼胝体膝部;CSP为透明隔腔;CF为大脑镰;AH为侧脑室前角;SF为外侧裂;CP为脉络丛;PH为侧脑室后角;T为丘脑;3VT为第三脑室;CeP为大脑脚;SK为颅骨
图6 妊娠22周胎儿经小脑横切面超声图像(图中虚线1为小脑横径测量,虚线2为小脑延髓池宽度测量) 注:CC为胼胝体膝部;CSP为透明隔腔;CF为大脑镰;AH为侧脑室前角;SF为外侧裂;T为丘脑;CeP为大脑脚;CH为小脑半球;CV为小脑蚓部;CM为小脑延髓池;SK为颅骨;IH为侧脑室下角
图7 妊娠32周胎儿经颅顶部横切面超声图像 注:CF为大脑镰;POS为顶枕沟;PrS为中央前沟;CS为中央沟;PcS为中央后沟;IPS为顶内沟
图8 妊娠24周胎儿经胼胝体膝部和压部横切面超声图像 注:CF为大脑镰;SP为透明隔;CSP为透明隔腔;CV为韦氏腔;POS为顶枕沟;GCC为胼胝体膝部;SCC为胼胝体压部;BLV为侧脑室体部;CP为脉络丛
图9 妊娠31周胎儿颅脑正中矢状切面超声图像及各结构测量方法。图a为颅脑正中矢状切面声像图;图b为颅脑正中矢状切面胼胝体长度及膝部、体部、压部厚度测量方法模式图;图c为图a的局部放大图,颅脑正中矢状切面脑干小脑蚓部角和脑干小脑幕角测量声像图;图d为颅脑正中矢状切面小脑蚓部面积、周长、前后径、顶尾径的测量方法 注:CC为胼胝体;CSP为透明隔腔;4VT为第四脑室;CM为小脑延髓池;CV为小脑蚓部;CaS为距状沟;POS为顶枕沟;3VT为第三脑室;L-L1为胼胝体长度测量;g-g1为胼胝体膝部厚度测量;b-b1为胼胝体体部厚度测量;s-s1为胼胝体压部厚度测量;∠1为脑干小脑蚓部角;∠2为脑干小脑幕角;游标1示小脑蚓部周长和面积,游标2示前后径,游标3示顶尾径
图10 妊娠25周胎儿颅脑旁矢状切面超声图像 注:AH为侧脑室前角;BLV为侧脑室体部;ALV为侧脑室三角区;IH为侧脑室下角;PH为侧脑室后角;T为丘脑;CP为脉络丛
图11 妊娠26周胎儿经额叶冠状切面超声图像 注:CF为大脑镰;FL为额叶;OB为眼眶
图12 妊娠32周胎儿经侧脑室前角冠状切面超声图像 注:CC为胼胝体;AH为侧脑室前角;CN为尾状核;SF为外侧裂;LN为豆状核;CF为大脑镰;CSP为透明隔腔;SP为透明隔
图13 妊娠32周胎儿经侧脑室体部冠状切面超声图像 注:CC为胼胝体;CF为大脑镰;BLV为侧脑室体部;CSP为透明隔腔;SP为透明隔;CN为尾状核;SF为外侧裂;T为丘脑;3VT为第三脑室;IPC为脚间池;CeP为大脑脚;BS为脑干
图14 妊娠27周胎儿经小脑冠状切面超声图像 注:CF为大脑镰;CC为胼胝体;BLV为侧脑室体部;SP为透明隔;CSP为透明隔腔;CN为尾状核;CH为小脑半球;CV为小脑蚓部;CM为小脑延髓池;SF为外侧裂;T为丘脑;CeP为大脑脚
1
Malinger G, Paladini D, Haratz KK, et al. ISUOG Practice Guidelines (updated): sonographic examination of the fetal central nervous system. Part 1: performance of screening examination and indications for targeted neurosonography[J]. Ultrasound Obstet Gynecol, 2020, 56(3): 476-484.
2
Paladini D, Malinger G, Birnbaum R, et al. ISUOG Practice Guidelines (updated): sonographic examination of the fetal central nervous system. Part 2: performance of targeted neurosonography[J]. Ultrasound Obstet Gynecol, 2021, 57(4): 661-671.
3
杨帆, 李胜利, 罗红, 等. 胎儿中枢神经系统产前超声检查专家共识(2020)[J/OL]. 中华医学超声杂志(电子版), 2021, 18(5): 433-443.
4
中华医学会超声医学分会妇产超声学组, 国家卫生健康委妇幼司全国产前诊断专家组医学影像组. 超声产前筛查指南[J]. 中华超声影像学杂志, 2022, 31(1): 1-12.
5
Chaudhari BP, Ho ML. Congenital brain malformations: an integrated diagnostic approach[J]. Semin Pediatr Neurol, 2022, 42: 100973.
6
Prayer D, Malinger G, De Catte L, et al. ISUOG Practice Guidelines (updated): performance of fetal magnetic resonance imaging[J]. Ultrasound Obstet Gynecol, 2023, 61(2): 278-287.
7
Agarwal S, Tarui T, Patel V, et al. Prenatal neurological diagnosis: challenges in neuroimaging, prognostic counseling, and prediction of neurodevelopmental outcomes[J]. Pediatr Neurol, 2023, 142: 60-67.
8
Volpe N, Dall'Asta A, Di Pasquo E, et al. First-trimester fetal neurosonography: technique and diagnostic potential[J]. Ultrasound Obstet Gynecol, 2021, 57(2): 204-214.
9
Cardoza JD, Goldstein RB, Filly RA. Exclusion of fetal ventriculomegaly with a single measurement: the width of the lateral ventricular atrium[J]. Radiology, 1988, 169: 711-714.
10
Society for Maternal-Fetal Medicine (SMFM), Electronic address: pubs@smfm.org, Fox NS, et al. Mild fetal ventriculomegaly: diagnosis, evaluation, and management[J]. Am J Obstet Gynecol, 2018, 219(1): B2-B9.
11
Napolitano R, Donadono V, Ohuma EO, et al. Scientific basis for standardization of fetal head measurements by ultrasound: a reproducibility study[J]. Ultrasound Obstet Gynecol, 2016, 48(1): 80-85.
12
Goldstein I, Reece EA, Pilu G, et al. Cerebellar measurements with ultrasonography in the evaluation of fetal growth and development[J]. Am J Obstet Gynecol, 1987, 156(5): 1065-1069.
13
Mahony BS, Callen PW, Filly RA, et al. The fetal cisterna magna[J]. Radiology, 1984, 153: 773-776.
14
Toi A, Lister WS, Fong KW. How early are fetal cerebral sulci visible at prenatal ultrasound and what is the normal pattern of early fetal sulcal development[J]. Ultrasound Obstet Gynecol, 2004, 24(7): 706-715.
15
Cohen-Sacher B, Lerman-Sagie T, Lev D, et al. Sonographic developmental milestones of the fetal cerebral cortex: a longitudinal study[J]. Ultrasound Obstet Gynecol, 2006, 27(5): 494-502.
16
Chen X, Li SL, Luo GY, et al. Ultrasonographic characteristics of cortical sulcus development in the human fetus between 18 and 41 weeks of gestation[J]. Chin Med J (Engl), 2017, 130: 920-928.
17
秦越, 罗丹丹, 文华轩, 等. 产前超声简化分级方法评估正常胎儿顶枕沟的可行性[J]. 中华超声影像学杂志, 2024, 33(9): 776-783.
18
秦越, 文华轩, 罗丹丹, 等. 产前超声经颅顶部横切面简化分级方法评估正常胎儿外表面脑沟的横断面研究[J].中华超声影像学杂志, 2024, 33(10): 884-890.
19
Malinger G, Zakut H. The corpus callosum: normal fetal development as shown by transvaginal sonography[J]. AJR Am J Roentgenol, 1993, 161(5): 1041-1043.
20
张丽丽, 邓学东, 杨忠, 等.三维超声定量分析胎儿脑干小脑蚓部角及脑干小脑幕角的临床价值[J/OL]. 中华医学超声杂志(电子版), 2015, 12(2): 136-141.
21
Zhao D, Cai A, Zhang J, et al. Measurement of normal fetal cerebellar vermis at 24-32 weeks of gestation by transabdominal ultrasound and magnetic resonance imaging: A prospective comparative study[J]. Eur J Radiol, 2018, 100: 30-35.
22
刘金蓉. 经腹三维超声检测胎儿小脑蚓部结构的方法和应用[D]. 福州: 福建医科大学, 2011.
23
Katorza E, Bertucci E, Perlman S, et al. Development of the fetal vermis: new biometry reference data and comparison of 3 diagnostic modalities-3D ultrasound, 2D ultrasound, and MR imaging[J]. AJNR Am J Neuroradiol, 2016, 37(7): 1359-1366.
No related articles found!
阅读次数
全文


摘要


AI


AI小编
你好!我是《中华医学电子期刊资源库》AI小编,有什么可以帮您的吗?