切换至 "中华医学电子期刊资源库"

中华医学超声杂志(电子版) ›› 2026, Vol. 23 ›› Issue (01) : 60 -66. doi: 10.3877/cma.j.issn.1672-6448.2026.01.009

肌肉骨骼超声影像学

超声引导肩关节腔内药物注射治疗肩袖修复术后肩痛的临床研究
杨邱亚1,2, 罗渝昆1, 王月香1,()   
  1. 1 100853 北京,中国人民解放军总医院第一医学中心超声诊断科
    2 100853 北京,中国人民解放军医学院
  • 收稿日期:2025-07-25 出版日期:2026-01-01
  • 通信作者: 王月香
  • 基金资助:
    解放军总医院新技术新业务项目(2023-17)

Ultrasound-guided intra-articular drug injection for shoulder pain after rotator cuff repair: a clinical study

Qiuya Yang1,2, Yukun Luo1, Yuexiang Wang1,()   

  1. 1 Department of Ultrasound Diagnosis, The First Medical Center, Chinese PLA General Hospital, Beijing 100853, China
    2 Chinese PLA Medical School, Beijing 100853, China
  • Received:2025-07-25 Published:2026-01-01
  • Corresponding author: Yuexiang Wang
引用本文:

杨邱亚, 罗渝昆, 王月香. 超声引导肩关节腔内药物注射治疗肩袖修复术后肩痛的临床研究[J/OL]. 中华医学超声杂志(电子版), 2026, 23(01): 60-66.

Qiuya Yang, Yukun Luo, Yuexiang Wang. Ultrasound-guided intra-articular drug injection for shoulder pain after rotator cuff repair: a clinical study[J/OL]. Chinese Journal of Medical Ultrasound (Electronic Edition), 2026, 23(01): 60-66.

目的

探讨超声引导下经肩后部或肩前部肩袖间隙路径肩关节腔注射皮质激素治疗肩袖修复术后持续肩痛的临床疗效。

方法

回顾性纳入2023年6月至2024年6月解放军总医院第一医学中心骨科75例肩袖修复术后肩痛患者,根据术中是否行肱二头肌长头肌腱切断术分为2组:A组(肩袖修复+肱二头肌长头肌腱切断术,38例)行肩后部肩关节腔注射,B组(单纯肩袖修复,37例)行经肩前部肩袖间隙肩关节腔注射。注射药物为得宝松1 ml+0.2%罗哌卡因9 ml,于术后1周、3个月、6个月通过视觉模拟评分法(VAS)、Constant-Murley肩关节评分(CMS)、加州大学洛杉矶分校肩关节评分(UCLA)、运动损伤康复依从性量表(SIRAS)及Likert型满意度量表评估疗效,并通过影像学检查评估肩袖再撕裂情况。

结果

术前与术后各时间点VAS、CMS、UCLA评分总体差异均有统计学意义(P<0.05)。术前VAS评分为7(6,8)分,术后1周降至4(3,5)分,术后3个月为4(3,4)分,术后6个月为3(3,4)分;术前CMS与UCLA评分分别为49(45,55)、16(15,17)分,术后6个月分别上升至80(80,82)、26(26,26)分。上述量表治疗后各时间点与治疗前相比差异均有统计学意义(校正后P<0.05)。术前SIRAS评分为4(3,5)分;术后各时点SIRAS评分均≥13分,康复依从性良好。术前Likert型满意度量表评分为3(3,3)分,术后6个月Likert型满意度量表评分为5(4,5)分。A组与B组注射治疗前及治疗后1周、3个月、6个月各量表评分差异均无统计学意义(P均>0.05)。A组术后肩袖再撕裂2例(2/38,5.2%),B组术后肩袖再撕裂1例(1/37,2.7%)。

结论

超声引导下经肩后部或肩前部肩袖间隙路径肩关节腔注射皮质激素均能缓解肩袖修复术后肩痛,并可有效改善肩关节功能,是一种安全、有效的治疗方法。

Objective

To evaluate the clinical efficacy of ultrasound-guided intra-articular injection of corticosteroids via the posterior shoulder approach or anterior rotator interval approach for persistent shoulder pain after rotator cuff repair.

Methods

A total of 75 patients with shoulder pain following rotator cuff repair admitted to the Department of Orthopedics, the First Medical Center of Chinese People's Liberation Army General Hospital from June 2023 to June 2024 were retrospectively enrolled. According to whether tenotomy of the long head of the biceps brachii was performed intraoperatively, the patients were divided into two groups: Group A (38 cases) underwent rotator cuff repair combined with tenotomy of the long head of the biceps brachii) and received posterior intra-articular shoulder injection, while Group B (37 cases) underwent rotator cuff repair alone and received intra-articular shoulder injection via the anterior rotator interval. The injection regimen consisted of 1 ml diprospan plus 9 ml 0.2% ropivacaine. The visual analogue scale (VAS), Constant–Murley score (CMS), University of California, Los Angeles shoulder score (UCLA), Sports Injury Rehabilitation Adherence Scale (SIRAS), and Likert satisfaction scale were adopted to evaluate clinical outcomes at 1 week, 3 months, and 6 months after injection. Imaging examinations were performed to assess the retear rate of the rotator cuff.

Results

Overall differences in VAS, CMS, and UCLA scores between baseline and postoperative time points were statistically significant (P<0.05). The preoperative VAS score was 7 (6, 8), which decreased to 4(3, 5) at 1 week postoperatively, 4 (3, 4) at 3 months, and 3 (3, 4) at 6 months. The preoperative CMS and UCLA scores were 49 (45, 55) and 16 (15, 17), respectively, and increased to 80 (80, 82) and 26 (26, 26) at 6 months postoperatively. Compared with baseline, the differences of all scale scores at each follow-up time point after treatment were statistically significant (adjusted P<0.05). The preoperative SIRAS score was 4 (3, 5), while postoperative SIRAS scores were all ≥13.0, indicating good rehabilitation adherence. The preoperative Likert satisfaction scale score was 3 (3, 3), which improved to 5 (4, 5) at 6 months after operation. There were no significant differences in all scale scores between Group A and Group B before treatment as well as at 1 week, 3 months, and 6 months after treatment (all P>0.05). Rotator cuff retear occurred in 2 cases in Group A (2/38, 5.2%) and in 1 case in Group B (1/37, 2.7%).

Conclusion

Ultrasound-guided intraarticular corticosteroid injection via both the posterior shoulder and anterior rotator interval approaches are safe and effective in relieving shoulder pain and improving shoulder function after rotator cuff repair.

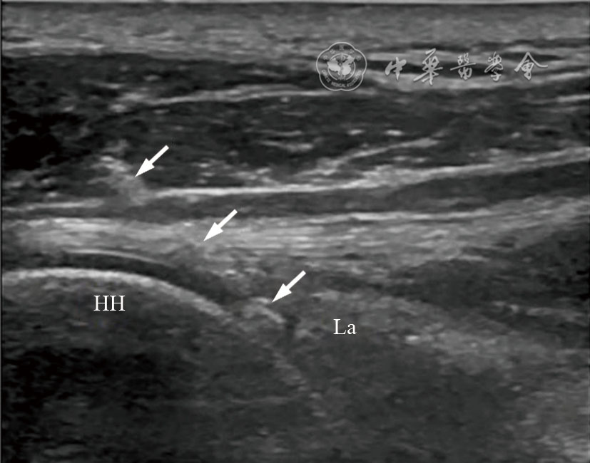
图1 超声引导肩后部肩关节腔注射治疗图像 注:HH为肱骨头;La为盂唇;箭头所示为穿刺针
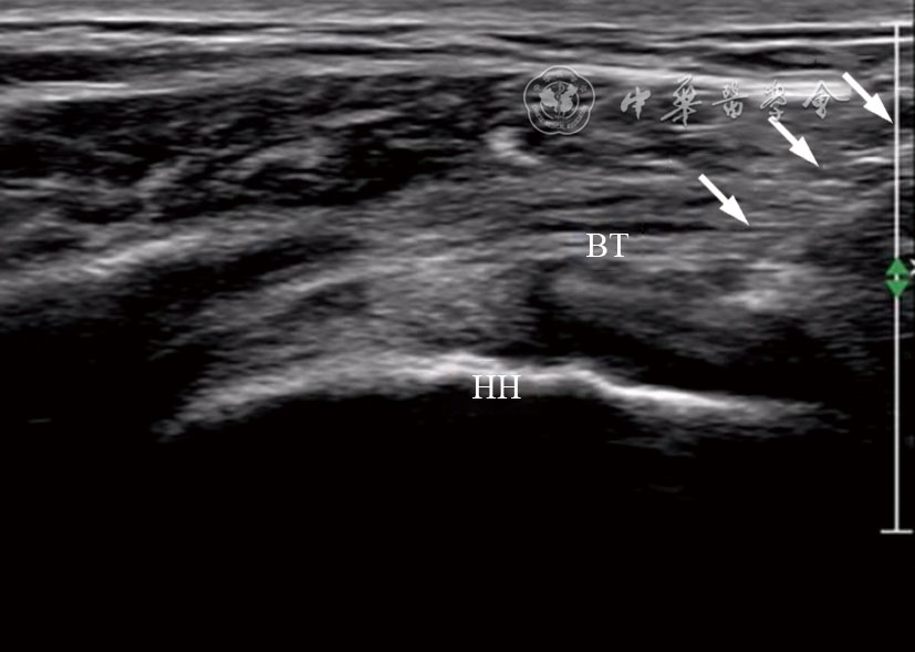
图2 超声引导肩前部肩袖间隙肩关节腔注射治疗图像 注:HH为肱骨头;BT为肱二头肌肌腱;箭头所示为穿刺针
表1 肩袖修复术患者治疗前后各量表评分的比较[分,MQ1Q3)]
表2 肩袖修复术患者治疗前后Constant-Murley量表各项目评分的比较[分,MQ1Q3)]
表3 A组与B组肩袖修复术患者治疗前后各量表评分的比较[分,MQ1Q3)]
1
Jiang J, Wan J, Yu X, et al. Biomimetic patch with gradient-induced regeneration for tendon-bone interface to repair rotator cuff injury[J]. Chem Eng J, 2025, 506: 159985.
2
Gremen E, Frandon J, Lateur G, et al. Safety and efficacy of embolization with microspheres in chronic refractory inflammatory shoulder pain: a pilot monocentric study on 15 patients[J]. Biomedicines, 2022, 10(4): 744.
3
Miyazaki AN, Santos PD, Silva LAD, et al. Fatty muscle infiltration in cuff tear: pre and post operative evaluation by MRI[J]. Acta Ortopédica Bras, 2015, 23(5): 251-254.
4
Narvani AA, Imam MA, Godenèche A, et al. Degenerative rotator cuff tear, repair or not repair? A review of current evidence[J]. Ann R Coll Surg Engl, 2020, 102(4): 248-255.
5
卢炜, 黄维, 冯韬. 全肩关节镜下肩袖修复术对肩袖损伤患者疼痛及肩关节活动度的影响[J]. 中国医学创新, 2024, 21(33): 74-78.
6
Misir A, Uzun E, Kizkapan TB, et al. Factors affecting prolonged postoperative pain and analgesic use after arthroscopic full-thickness rotator cuff repair[J]. Orthop J Sports Med, 2021, 9(7): 23259671211012406.
7
Hurley ET, Maye AB, Thompson K, et al. Pain control after shoulder arthroscopy: a systematic review of randomized controlled trials with a network meta-analysis[J]. Am J Sports Med, 2021, 49(8): 2262-2271.
8
Tashjian RZ, Bradley MP, Tocci S, et al. Factors influencing patient satisfaction after rotator cuff repair[J]. J Shoulder Elbow Surg, 2007, 16(6): 752-758.
9
Skedros JG, Henrie MK, Finlinson ED, et al. Polymicrobial anaerobic infection with a deep abscess in the supraspinous fossa following a subacromial corticosteroid injection[J]. BMJ Case Rep, 2018, 11(1): e226598.
10
Buchbinder R, Green S, Youd JM. Corticosteroid injections for shoulder pain[J]. Cochrane Database Syst Rev, 2003, (1): CD004016.
11
邓志博. 类固醇多部位联合注射对比单肩袖间隙注射在治疗原发性冻结肩疗效中的前瞻性随机对照研究[D]. 重庆: 重庆医科大学, 2022.
12
Gasparre G, Fusaro I, Galletti S, et al. Effectiveness of ultrasound-guided injections combined with shoulder exercises in the treatment of subacromial adhesive bursitis[J]. Musculoskelet Surg, 2012, 96(Suppl 1): 57-61.
13
Hopewell S, Keene DJ, Marian IR, et al. Progressive exercise compared with best practice advice, with or without corticosteroid injection, for the treatment of patients with rotator cuff disorders (GRASP): a multicentre, pragmatic, 2×2 factorial, randomised controlled trial[J]. Lancet, 2021, 398(10298): 416-428.
14
Zhi F, Cai F, Zhang W, et al. Clinical efficacy of different shoulder joint drug injections for rotator cuff injuries: A network meta-analysis[J]. Medicine, 2022, 101(39): e30659.
15
Treede RD, Rief W, Barke A, et al. A classification of chronic pain for ICD-11[J]. Pain, 2015, 156(6): 1003-1007.
16
Gan TJ. Poorly controlled postoperative pain: prevalence, consequences, and prevention[J]. J Pain Res, 2017, 10: 2287-2298.
17
Sconfienza LM, Adriaensen M, Albano D, et al. Clinical indications for image-guided interventional procedures in the musculoskeletal system: a Delphi-based consensus paper from the European Society of Musculoskeletal Radiology (ESSR)-part I, shoulder[J]. Eur Radiol, 2020, 30(2): 903-913.
18
Challoumas D, Biddle M, McLean M, et al. Comparison of treatments for frozen shoulder: a systematic review and meta-analysis[J]. JAMA Netw Open, 2020, 3(12): e2029581.
19
MacMahon PJ, Eustace SJ, Kavanagh EC. Injectable corticosteroid and local anesthetic preparations: A review for radiologists[J]. Radiology, 2009, 252: 647-661.
20
Kim IB, Jung DW. An Intra-articular steroid injection at 6 weeks postoperatively for shoulder stiffness after arthroscopic rotator cuff repair does not affect repair integrity[J]. Am J Sports Med, 2018, 46(9): 2192-2202.
21
Kim YS, Jin HK, Lee HJ, et al. Is it safe to inject corticosteroids into the glenohumeral joint after arthroscopic rotator cuff repair?[J]. Am J Sports Med, 2019, 47(7): 1694-1700.
22
Kim SC, Kim IS, Shin SS, et al. Clinical and structural outcome of intra-articular steroid injection for early stiffness after arthroscopic rotator cuff repair[J]. Int Orthop, 2022, 46(3): 563-571.
23
Puzzitiello RN, Patel BH, Lavoie-Gagne O, et al. Corticosteroid injections after rotator cuff repair improve function, reduce pain, and are safe: a systematic review[J]. Arthrosc Sports Med Rehabil, 2021, 4(2): e763-e774.
24
Lee W, Kim SJ, Choi CH, et al. Intra-articular injection of steroids in the early postoperative period does not have an adverse effect on the clinical outcomes and the re-tear rate after arthroscopic rotator cuff repair[J]. Knee Surg Sports Traumatol Arthrosc, 2019, 27(12): 3912-3919.
25
Baverel L, Boutsiadis A, Reynolds RJ, et al. Do corticosteroid injections compromise rotator cuff tendon healing after arthroscopic repair?[J].JSES Open Access, 2017, 2(1): 54-59.
26
Cho CH, Jin HJ, Kim DH. Comparison of clinical outcomes between idiopathic frozen shoulder and diabetic frozen shoulder after a single ultrasound-guided intra-articular corticosteroid injection[J]. Diagnostics (Basel), 2020, 10(6): 370.
27
El Naggar TED, Maaty AIE, Mohamed AE. Effectiveness of radial extracorporeal shock-wave therapy versus ultrasound-guided low-dose intra-articular steroid injection in improving shoulder pain, function, and range of motion in diabetic patients with shoulder adhesive capsulitis[J]. J Shoulder Elbow Surg, 2020, 29(7): 1300-1309.
28
陈祥慧, 杨静, 朱亚琼, 等. 超声引导经肩袖间隙注射治疗冻结肩的临床研究[J/CD]. 中华医学超声杂志(电子版), 2022, 19(4): 311-316.
29
Rajani AM, Shah UA, Mittal AR, et al. Effects of glenohumeral corticosteroid injection on stiffness following arthroscopic rotator cuff repair: a prospective, multicentric, case-control study with 18-month follow-up[J]. Clin Shoulder Elb, 2023, 26(1): 64-70.
30
Kunze KN, Mirzayan R, Beletsky A, et al. Do corticosteroid injections before or after primary rotator cuff repair influence the incidence of adverse events? a subjective synthesis[J]. Arthroscopy, 2020, 36(5): 1476-1484.
[1] 陈祥慧, 杨静, 朱亚琼, 陈思明, 王月香, 唐杰. 超声引导经肩袖间隙注射治疗冻结肩的临床研究[J/OL]. 中华医学超声杂志(电子版), 2022, 19(04): 311-316.
[2] 李萌, 李雄雄, 徐婷, 尚进. 局部应用皮质类固醇治疗特发性肉芽肿性乳腺炎疗效与安全性的Meta分析[J/OL]. 中华普通外科学文献(电子版), 2025, 19(02): 135-141.
[3] 付建力, 李鹏飞, 尹珊珊, 张艳彬, 胥杰, 刘涌. 吸入性皮质类固醇/长效抗胆碱能药物/长效β2受体激动剂联用治疗慢性阻塞性肺疾病哮喘重叠综合征的临床研究[J/OL]. 中华肺部疾病杂志(电子版), 2025, 18(06): 961-965.
[4] 张晓娟, 邓祥瑞, 陈睿, 钟文. AECOPD伴肺部感染吸入三联疗效与EOS相关性分析[J/OL]. 中华肺部疾病杂志(电子版), 2023, 16(03): 364-366.
[5] 王晓霞, 乌丹, 张江英, 乌雅罕, 郝颖楠, 斯日古楞. 《2023 年美国胸科学会关于成人急性呼吸窘迫综合征患者管理的临床实践指南更新》解读[J/OL]. 中华重症医学电子杂志, 2024, 10(04): 338-343.
阅读次数
全文


摘要


AI


AI小编
你好!我是《中华医学电子期刊资源库》AI小编,有什么可以帮您的吗?