切换至 "中华医学电子期刊资源库"

中华医学超声杂志(电子版) ›› 2026, Vol. 23 ›› Issue (01) : 53 -59. doi: 10.3877/cma.j.issn.1672-6448.2026.01.008

妇产科超声影像学

胎儿静脉导管汇入异常的产前超声及临床特征分析
何敏瑜, 涂鹏, 冉素真()   
  1. 401147 重庆市妇幼保健院(重庆医科大学附属妇女儿童医院)超声科 国家卫生健康委出生缺陷与生殖健康重点实验室 重庆市妇幼疾病预防控制与公共卫生研究中心
  • 收稿日期:2025-06-19 出版日期:2026-01-01
  • 通信作者: 冉素真
  • 基金资助:
    重庆市科卫联合医学科研重大项目(2024DBXM006); 重庆市妇幼疾病预防控制与公共卫生研究中心开放课题(CQFYZD01001)

Prenatal ultrasound and clinical features of fetal anomalous connection of the ductus venosus

Minyu He, Peng Tu, Suzhen Ran()   

  1. Department of Ultrasound, Chongqing Health Center for Women and Children (Women and Children's Hospital of Chongqing Medical University), NHC Key Laboratory of Birth Defects and Reproductive Health, Chongqing Research Center for Prevention & Control of Maternal and Child Diseases and Public Health, Chongqing 401147, China
  • Received:2025-06-19 Published:2026-01-01
  • Corresponding author: Suzhen Ran
引用本文:

何敏瑜, 涂鹏, 冉素真. 胎儿静脉导管汇入异常的产前超声及临床特征分析[J/OL]. 中华医学超声杂志(电子版), 2026, 23(01): 53-59.

Minyu He, Peng Tu, Suzhen Ran. Prenatal ultrasound and clinical features of fetal anomalous connection of the ductus venosus[J/OL]. Chinese Journal of Medical Ultrasound (Electronic Edition), 2026, 23(01): 53-59.

目的

总结胎儿静脉导管(DV)汇入异常的产前超声及临床特征,并分析其意义与价值。

方法

回顾性分析重庆市妇幼保健院2017年1月至2024年6月产前超声诊断为DV汇入异常的64例病例的临床资料。分析其产前超声特征、合并结构异常、遗传学检查及妊娠结局。

结果

64例DV汇入异常病例中,56.25%(36/64)为异常汇入下腔静脉,9.38%(6/64)为异常汇入冠状静脉窦,21.88%(14/64)为异常汇入肝静脉,12.50%(8/64)为异常汇入右心房。64例中23例为单纯性DV汇入异常(23/64,35.94%),32例胎儿合并有其他复杂心血管异常,20例胎儿合并其他心外异常,同时合并心内、心外异常的有11例。64例胎儿中10例行唐氏综合征血清学筛查(其中2例高风险),26例行产前羊水穿刺检测(其中7例检出异常)。64例胎儿中26例引产,38例出生,其中生后37例随访DV自然关闭未见明显发育异常(20例为单纯性DV汇入异常),另有1例出生后因肺出血死亡,为DV汇入异常合并室间隔大缺损和单脐动脉。单纯性DV汇入异常组活产率(20/23,86.96%)显著高于合并结构异常组(18/41,43.90%),差异有统计学意义(P=0.001)。

结论

产前超声检查可确定DV异常汇入部位、评估合并结构异常情况,在胎儿DV走行异常诊断中具有重要价值。胎儿DV汇入异常可合并心内、心外异常,并与染色体异常具有一定的相关性,单纯性DV汇入异常预后较好。

Objective

To investigate the prenatal ultrasound and clinical features of fetal anomalous connection of the ductus venosus (DV) nd evaluate their clinical significance and value.

Methods

A retrospective analysis was conducted on clinical data from 64 fetuses diagnosed with anomalous DV connection by prenatal ultrasound at Chongqing Health Center for Women and Children between January 2017 and June 2024. Prenatal ultrasound features, associated structural anomalies, genetic examinations, and pregnancy outcomes were analyzed.

Results

Among the 64 cases of anomalous connection of the DV included, 56.25% (36/64) had abnormal connection to the inferior vena cava, 9.38% (6/64) demonstrated abnormal connection to the coronary sinus, 21.88% (14/64) exhibited abnormal connection to the hepatic vein, and 12.50% (8/64) showed abnormal connection to the right atrium; 23 (23/64, 35.94%) had isolated anomalous DV connection, 32 had other complex cardiovascular abnormalities, 20 had other extracardiac abnormalities, and 11 had both intracardiac and extracardiac abnormalities; 10 underwent serological screening for Down's syndrome (2 of which were high-risk), and 26 underwent amniocentesis, with 7 cases showing abnormal results; 26 pregnancies were terminated, and 38 resulted in live births. Thirty-seven of the live-born infants showed spontaneous closure of the DV during follow-up with no obvious developmental abnormalities (20 of them had isolated anomalous DV connection). One infant died of pulmonary hemorrhage after birth, with anomalous DV connection combined with large ventricular septal defect and single umbilical artery. Notably, the live birth rate in the isolated DV anomalous connection group (20/23, 86.96%) was significantly higher than that in the group with associated structural anomalies (18/41, 43.90%) (P=0.001).

Conclusion

Prenatal ultrasound can identify anomalous DV connection and evaluate associated structural anomalies, and is of great value in the diagnosis of abnormal DV course. Fetal anomalous DV connection may be complicated by cardiac and extracardiac anomalies and is associated with potential chromosomal abnormalities. Isolated anomalous DV connection has a favorable prognosis.

图1 静脉导管异常汇入下腔静脉超声图像及示意图。图a为胎儿静脉导管未进入膈下前庭,在膈前漏斗下方可见一短小静脉导管与腹腔段下腔静脉垂直连接,距右心房开口约1.18 cm;图b为静脉导管异常汇入下腔静脉示意图 注:DV为静脉导管;IVC为下腔静脉;RA为右心房;UV为脐静脉
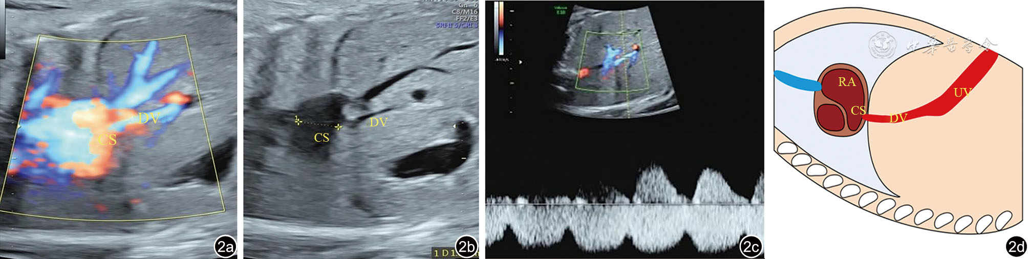
图2 静脉导管异常汇入冠状静脉窦超声图像及示意图。图a、b为肋下视图显示静脉导管外观正常,静脉导管连接到扩张的冠状静脉窦中;图c为静脉导管可见正常的特征性三相血流;图d为静脉导管异常汇入冠状静脉窦示意图 注:CS为冠状静脉窦;DV为静脉导管;RA为右心房;UV为脐静脉
图3 静脉导管异常汇入肝左静脉超声图像及示意图。图a为时间- 空间关联成像(STIC)图显示胎儿脐静脉入腹后发出的静脉导管未汇入下腔静脉近心端,而是与肝左静脉相连;图b为静脉导管异常汇入肝静脉示意图 注:DV为静脉导管;UV为脐静脉;LPV为门静脉左支;RPV为门静脉右支;LHV为肝左静脉;RHV为肝右静脉;MHV为肝中静脉;IVC为下腔静脉;RA为右心房
图4 静脉导管异常汇入右心房超声图像及示意图。图a、b为肋下视图显示静脉导管外观正常,静脉导管未经过下腔静脉直接汇入右心房;图c为静脉导管异常汇入右心房示意图 注:DV为静脉导管;IVC为下腔静脉;RA为右心房;UV为脐静脉
1
Maruotti GM, Saccone G, Ciardulli A, et al. Absent ductus venosus: case series from two tertiary centres[J]. J Matern Fetal Neonatal Med, 2018, 31(18): 2478-2483.
2
童春, 张爱青, 刘朝晖, 等. 胎儿静脉导管异常的产前超声诊断[J].中华超声影像学杂志, 2019, 28(7): 606-610.
3
Yagel S, Cohen SM, Valsky DV, et al. Systematic examination of the fetal abdominal precordial veins: a cohort study[J]. Ultrasound Obstet Gynecol, 2015, 45(5): 578-583.
4
Achiron R, Hegesh J, Yagel S, et al. Abnormalities of the fetal central veins and umbilico-portal system: prenatal ultrasonographic diagnosis and proposed classification[J]. Ultrasound Obstet Gynecol, 2000, 16(6): 539-548.
5
Yagel S, Kivilevitch Z, Cohen SM, et al. The fetal venous system, Part II: ultrasound evaluation of the fetus with congenital venous system malformation or developing circulatory compromise[J]. Ultrasound Obstet Gynecol, 2010, 36(1): 93-111.
6
Yagel S, Kivilevitch Z, Cohen SM, et al. The fetal venous system, part I: normal embryology, anatomy, hemodynamics, ultrasound evaluation and Doppler investigation[J]. Ultrasound Obstet Gynecol, 2010, 35(4): 477-496.
7
Achiron R, Gindes L, Gilboa Y, et al. Umbilical vein anomaly in fetuses with Down syndrome[J]. Ultrasound Obstet Gynecol, 2010, 35(1): 17-23.
8
Achiron R, Kivilevitch Z. Fetal umbilical-portal-systemic venous shunt: in-utero classification and clinical significance[J]. Ultrasound Obstet Gynecol, 2016, 47(6): 739-747.
9
Liu J, Song G, Ren W. Abnormal connection of the ductus venosus to a dilated coronary sinus imaged by prenatal echocardiography: Case report[J]. Echocardiography, 2017, 34(4): 629.
10
Wang Y, Zhang Y, Wang M. Prenatal diagnosis of an aberrant ductus venosus draining into the coronary sinus using two- and three-dimensional echocardiography: a case report[J]. BMC Pregnancy Childbirth, 2021, 21(1): 392.
11
Ben Brahim F, Hazelzet T, Cohen L, et al. Aberrant drainage of the umbilical vein into the coronary sinus without ductus venosus agenesis[J]. J Ultrasound Med, 2014, 33(3): 535-542.
12
Jowett V, Paramasivam G, Seale A, et al. Diaphragmatic hernia: a postnatal complication of anomalous drainage of the umbilical vein[J]. Ultrasound Obstet Gynecol, 2013, 41(4): 460-462.
13
王新霞, 栗河舟, 吴娟, 等. 胎儿脐静脉-门静脉系统正常解剖与异常分流的超声特征分析[J/OL]. 中华医学超声杂志(电子版), 2021, 18(8): 746-752.
14
Greiss HB, McGahan JP. Umbilical vein entering the right atrium: significance of in utero diagnosis[J]. J Ultrasound Med, 1992, 11(3): 111-113.
15
贾悦坤, 高林. 静脉导管在胎儿时期的研究进展[J/OL]. 中华医学超声杂志(电子版), 2017, 14(11): 870-874.
16
Demirci O, Akay HO. Prenatal diagnosis of abnormality of the umbilical portal DV complex: difficulty in universal classification due to various alternative routes in hepatic circulation for placental drainage[J]. J Matern Fetal Neonatal Med, 2020, 35(20): 3872-3884.
17
王艳丽,郑莉华,孙小平,等.产前超声诊断胎儿静脉导管汇入异常[J].中国医学影像技术, 2023, 39(12):1906-1908.
18
Kong B, Yan X, Gui Y, et al. Prenatal sonographic characteristics and postnatal outcomes of congenital portosystemic shunt diagnosed during the fetal period: a systematic review[J]. Orphanet J Rare Dis, 2025, 20(1): 257.
19
Wald NJ, Bestwick JP, Borrell A. Adding ductus venosus blood flow as a categorical variable to the combined and integrated tests in Down's syndrome screening[J]. J Med Screen, 2012, 19(1): 49-50.
20
Erenel H, Karsli MF, Ozel A, et al. Ductus venosus-systemic shunt. Report of six cases and systematic review of the literature[J]. J Matern Fetal Neonatal Med, 2019, 33(6): 1015-1023.
21
Wu H, Tao G, Cong X, et al. Prenatal sonographic characteristics and postnatal outcomes of umbilical-portal-systemic venous shunts under the new in-utero classification: A retrospective study[J]. Medicine (Baltimore), 2019, 98(2): e14125.
22
Dong X, Wu H, Zhu L, et al. Prenatal ultrasound analysis of umbilical-portal-systemic venous shunts concurrent with trisomy 21[J]. J Ultrasound Med, 2020, 40(7): 1307-1312.
23
中华医学会超声医学分会妇产超声学组,国家卫生健康委妇幼司全国产前诊断专家组医学影像组.超声产前筛查指南[J].中华超声影像学杂志, 2022, 31(1):1.
[1] 王婷婷, 涂鹏, 冉素真, 杨正春. 胎儿永存左上腔静脉合并右上腔静脉缺如的产前超声诊断及预后分析[J/OL]. 中华医学超声杂志(电子版), 2026, 23(01): 40-46.
[2] 童雪怡, 曾施, 刘玉姗, 徐哲, Abdoul Rachid ABOUBACAR HAMIDOU. 中晚孕期正常胎儿主动脉脉搏波传导速度的初步研究[J/OL]. 中华医学超声杂志(电子版), 2026, 23(01): 47-52.
[3] 姚垚, 杨小红, 赵胜, 高艳多, 郭凯莉. 胆道闭锁产前及生后超声诊断分析[J/OL]. 中华医学超声杂志(电子版), 2025, 22(10): 962-968.
[4] 周欣, 梁豪进, 邓振宇, 肖菊花, 周小军. 基于人工智能技术评价江西省孕11~13+6周产前超声筛查质量现状及提出能力提升对策[J/OL]. 中华医学超声杂志(电子版), 2025, 22(09): 850-857.
[5] 罗兵, 董凤群, 牛艺臻, 王锟, 程志华, 刘宏强. 胎儿超声心动图在单纯性肺动脉瓣狭窄及预后评估中的价值[J/OL]. 中华医学超声杂志(电子版), 2025, 22(08): 740-747.
[6] 何冠南, 谭莹, 路玉欢, 蒲斌, 扬水华, 张仁铁, 陈明, 石智红, 钟晓红, 陈曦, 燕柳屹, 李胜利. 人工智能在胎儿超声心动图标准切面质量控制中的多中心应用研究[J/OL]. 中华医学超声杂志(电子版), 2025, 22(05): 388-396.
[7] 陈茵, 谭莹, 谭渤瀚, 何冠南, 王磊, 温昕, 朱巧珍, 梁博诚, 李胜利. 基于YOLO V8 的胎儿脐膨出超声智能质量评估与诊断[J/OL]. 中华医学超声杂志(电子版), 2025, 22(04): 305-310.
[8] 廖佳音, 文华轩, 薛淑贞, 黄慧, 魏英妮, 陈亚岩. 胎儿眼睑及睑裂的产前超声检查[J/OL]. 中华医学超声杂志(电子版), 2025, 22(03): 191-196.
[9] 李洁明, 杨彬, 杨小红, 鲁力, 赵胜, 郭凯莉, 杨帆, 谢辉. 肺动脉吊带合并右锁骨下动脉迷走的产前超声诊断及漏诊分析[J/OL]. 中华医学超声杂志(电子版), 2025, 22(03): 197-202.
[10] 孙慧洁, 冯新嫄, 刘天赐, 刘彦昭, 锁仁静, 罗平, 李亮. 出生后不同狭窄程度及是否手术干预的孤立性肺动脉狭窄胎儿产前超声图像特征[J/OL]. 中华医学超声杂志(电子版), 2025, 22(03): 203-208.
[11] 王丹, 黄慧, 谢磊, 孙盼盼, 赵蕾, 陈佩文, 陈欣林. 基于中国胎儿超声筛查大数据的4345 例胎儿室间隔缺损分析[J/OL]. 中华医学超声杂志(电子版), 2025, 22(02): 114-119.
[12] 王碧瑕, 李善情, 刘希婧, 胡蓉, 杨帆. Williams-Beuren综合征胎儿产前超声特征及遗传学特点[J/OL]. 中华妇幼临床医学杂志(电子版), 2025, 21(03): 285-295.
[13] 黄桂琼, 王晓东, 余海燕. 胎儿脊髓栓系综合征的产前诊断及围产期处理研究现状[J/OL]. 中华妇幼临床医学杂志(电子版), 2025, 21(02): 127-132.
[14] 上海东方肝胆外科医院静脉输液委员会. 肝胆恶性肿瘤患者中长期血管通路选择及使用专家共识[J/OL]. 中华肝脏外科手术学电子杂志, 2026, 15(02): 137-145.
[15] 杨琳, 李慧敏. 不同蛋白尿水平子痫前期患者血压控制对胎儿生长受限的影响[J/OL]. 中华诊断学电子杂志, 2026, 14(01): 31-37.
阅读次数
全文


摘要


AI


AI小编
你好!我是《中华医学电子期刊资源库》AI小编,有什么可以帮您的吗?