切换至 "中华医学电子期刊资源库"

中华医学超声杂志(电子版) ›› 2026, Vol. 23 ›› Issue (01) : 40 -46. doi: 10.3877/cma.j.issn.1672-6448.2026.01.006

妇产科超声影像学

胎儿永存左上腔静脉合并右上腔静脉缺如的产前超声诊断及预后分析
王婷婷, 涂鹏, 冉素真, 杨正春()   
  1. 401147 重庆市妇幼保健院(重庆医科大学附属妇女儿童医院)超声科 国家卫生健康委出生缺陷与生殖健康重点实验室
  • 收稿日期:2025-06-17 出版日期:2026-01-01
  • 通信作者: 杨正春
  • 基金资助:
    重庆市科卫联合医学科研项目面上项目(2025MSXM121,2025MSXM010)

Prenatal ultrasound diagnosis and prognosis of fetal persistent left and absent right superior vena cava

Tingting Wang, Peng Tu, Suzhen Ran, Zhengchun Yang()   

  1. Department of Ultrasound, Chongqing Health Center for Women and Children (Women and Children's Hospital of Chongqing Medical University), NHC Key Laboratory of Birth Defects and Reproductive Health, Chongqing 401147, China
  • Received:2025-06-17 Published:2026-01-01
  • Corresponding author: Zhengchun Yang
引用本文:

王婷婷, 涂鹏, 冉素真, 杨正春. 胎儿永存左上腔静脉合并右上腔静脉缺如的产前超声诊断及预后分析[J/OL]. 中华医学超声杂志(电子版), 2026, 23(01): 40-46.

Tingting Wang, Peng Tu, Suzhen Ran, Zhengchun Yang. Prenatal ultrasound diagnosis and prognosis of fetal persistent left and absent right superior vena cava[J/OL]. Chinese Journal of Medical Ultrasound (Electronic Edition), 2026, 23(01): 40-46.

目的

探讨超声心动图在产前诊断永存左上腔静脉合并右上腔静脉缺如中的应用价值。

方法

回顾性分析2016年11月至2024年12月于重庆市妇幼保健院诊断的43例永存左上腔静脉合并右上腔静脉缺如病例的超声心动图特征,总结分析其遗传学检测结果及预后情况。

结果

43例永存左上腔静脉合并右上腔静脉缺如病例中,产前超声诊断24例(24/43,55.81%)为单纯性永存左上腔静脉合并右上腔静脉缺如,其余8例(8/43,18.60%)合并心脏结构异常,11例(11/43,25.58%)合并心内及心外结构异常。32例(32/43,74.42%)行遗传学检查,其中93.75%(30/32)正常。所有病例中,27例(27/43,62.79%)正常出生,12例(12/43,27.91%)引产。正常出生的病例中,24例为单纯性永存左上腔静脉合并右上腔静脉缺如,超声心动图特征为:右上腔静脉缺如,左上腔显示并通过冠状静脉窦汇入右心房,无名静脉血流反向汇入左上腔静脉内;3例合并其他结构畸形,产前超声表现分别为:室间隔肌部缺损、左心较右心稍大、部分性心内膜垫缺损。

结论

超声心动图是产前诊断永存左上腔静脉合并右上腔静脉缺如的重要方法,具有良好的临床应用价值。单纯性永存左上腔静脉合并右上腔静脉缺如胎儿临床结局良好。

Objective

To evaluate the clinical utility of echocardiography in the prenatal diagnosis of fetal persistent left superior vena cava (PLSVC) with absent right superior vena cava (RSVC).

Methods

A retrospective analysis was conducted on the echocardiographic features of 43 fetal cases diagnosed with PLSVC and absent RSVC at Chongqing Health Center for Women and Children from November 2016 and December 2024. Associated genetic testing results were also reviewed and analyzed.

Results

Among the 43 cases included, 24 (24/43, 55.81%) were identified as having isolated PLSVC with absent RSVC, 8 (8/43, 18.60%) were associated with additional intracardiac structural anomalies, and 11 (11/43, 25.58%) exhibited both intracardiac and extracardiac malformations. Genetic testing was performed in 32 cases (32/43, 74.42%), of which 30 (30/32, 93.75%) had normal findings. Pregnancy outcomes included 27 live births (27/43, 62.79%) and 12 terminations (12/43, 27.91%). Among the live-born cases, 24 were diagnosed with isolated PLSVC with absent RSVC. Echoardiographic features of isolated PLSVC with absent RSVC included absence of the RSVC, visualization of the left superior vena cava draining into the right atrium via the coronary sinus, and reversed flow from the innominate vein into the left superior vena cava. Three cases were associated with additional structural anomalies. Prenatal ultrasound findings in these three cases included muscular ventricular septal defect, a slightly enlarged left heart compared to the right, and partial atrioventricular septal defect.

Conclusion

Fetal echocardiography is an important method for detecting PLSVC with an absent RSVC and holds significant clinical application value. Fetuses presenting with isolated PLSVC and absent RSVC generally have favorable postnatal outcomes.

表1 19例永存左上腔静脉合并右上腔静脉缺如胎儿合并心内或心外畸形情况
图1 永存左上腔静脉合并右上腔静脉缺如胎儿与正常胎儿三血管气管切面二维超声图像及彩色多普勒血流成像。图a为永存左上腔静脉合并右上腔静脉缺如胎儿图像,肺动脉左侧见一管状回声为永存左上腔静脉,主动脉右侧未见右上腔静脉;图b为正常胎儿图像,从左至右依次为肺动脉、主动脉、上腔静脉 注:AO为主动脉;PA为肺动脉;T为气管;PLSVC为永存左上腔静脉;SVC为上腔静脉;L为左侧
图2 冠状静脉窦旁矢状切面二维超声图像及彩色多普勒血流图像。图示永存左上腔静脉经扩张的冠状静脉窦汇入右心房,图a为二维超声图像,图b为彩色多普勒血流图像 注:CS为冠状静脉窦;PLSVC为永存左上腔静脉
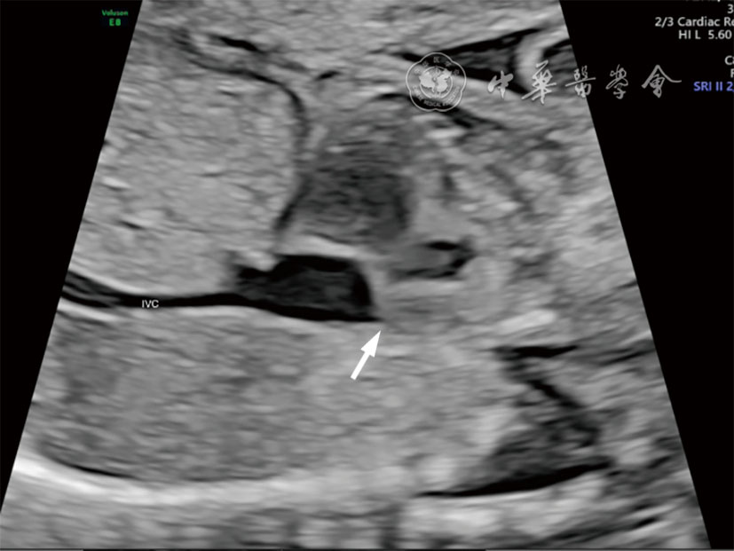
图3 二维超声图像示上下腔静脉矢状切面未探及上腔静脉纵切面 注:IVC为下腔静脉;箭头所示为上腔静脉未显示
图4 永存左上腔静脉合并右上腔静脉缺如胎儿与正常胎儿无名静脉切面超声图像。图a、b为永存左上腔静脉合并右上腔静脉缺如胎儿二维超声及彩色多普勒血流图像,无名静脉切面显示血流反向(红色)汇入左上腔静脉;图c显示同一体位正常胎儿无名静脉(蓝色)汇入右上腔静脉 注:INV为无名静脉;PLSVC为永存左上腔静脉
图5 二维超声图像显示四腔心斜切面房室沟处扩张的冠状静脉窦(双向箭头所示) 注:RV为右心室;LV为左心室;RA为右心房
表2 12例永存左上腔静脉合并右上腔静脉缺如引产胎儿的产前超声表现及遗传学检查结果
病例序号 发现孕龄(周) 冠状静脉窦宽度(cm) 合并畸形 遗传学检查结果
1 22.4 0.60 右位心,单心室,右心室双出口,肺动脉狭窄,完全型肺静脉异位引流(心上型),右位主动脉弓(镜像分支) 无创低风险
2 25.1 0.61 右侧异构综合征:中位肝,无脾;完全型房室间隔缺损(非均衡型);完全型肺静脉异位引流(心内型);右心室双出口 无创低风险
3 25.1 0.34 面部左侧Ⅲ度唇腭裂;右心室双出口;室间隔缺损;肺动脉狭窄 无创低风险;羊水穿刺未见异常
4 25.2 0.51 主动脉发育不良:横弓及峡部细 未做遗传学检查
5 23.1 无顶冠状静脉窦 右心室双出口,室间隔缺损(远离两条大动脉)、肺动脉瓣狭窄、动脉导管缺如、右位主动脉弓伴镜像分支 性染色体减少
6 23.6 / 右侧异构综合征:中位肝,无脾;完全型房室间隔缺损,肺动脉内径偏细,单心房 无创低风险
7 23.1 / 胎儿右侧异构综合征,内脏反位;完全型肺静脉异位引流;肺动脉瓣闭锁伴室间隔缺损,主动脉增宽 无创低风险
8 20.4 / 完全型房室间隔缺损;右位主动脉弓伴镜像分支;肺动脉主干闭锁 无创低风险
9 24.4 0.65 功能性单心室(左侧心室发育不良),心房反位,左侧房室瓣闭锁,肺动脉闭锁,肺静脉异位引流 无创低风险
10 23.5 0.24 右侧先天性膈疝,永存右脐静脉;右心室双出口(法洛四联症型),室间隔缺损,肺动脉狭窄 无创低风险
11 21.6 / 右侧异构综合征:中位肝,无脾、双侧右主支气管;完全型肺静脉异位引流;完全型房室间隔缺损、肺动脉狭窄、右位心、右心室双出口;动脉导管缺如 未做遗传学检查
12 23.6 0.37 右侧盆腔异位肾,面部左侧Ⅲ度唇腭裂 未做遗传学检查
1
王业兵,李春梅.超声诊断胎儿永存左上腔静脉伴右上腔静脉缺如一例[J/OL].中华医学超声杂志(电子版), 2021, 18(11): 1126-1127.
2
中华医学会超声医学分会超声心动图学组.中国胎儿超声心动图检查规范[J].中华超声影像学杂志, 2015, 24(11): 921-926.
3
“胎儿心脏病预后分级及围产期风险评估”专家组.胎儿心脏病母胎医学多学科诊疗及精准一体化防治医疗模式和技术流程共识之一:胎儿心脏病预后分级及围产期风险评估[J].中华围产医学杂志, 2022, 25(5): 321-325.
4
Nsah EN, Moore GW, Hutchins GM. Pathogenesis of persistent left superior vena cava with a coronary sinus connection[J]. Pediatr Pathol, 1991, 11(2): 261-269.
5
任卫东, 张玉奇, 舒先红.心血管畸形胚胎学基础与超声诊断[M].北京: 人民卫生出版社, 2015: 416.
6
Kahramanoglu O, Demirci O, Uygur L, et al. Persistant left superior vena cava with and without right superior vena cava: significance of prenatal diagnosis[J]. Pediatr Cardiol, 2024, 45(2): 377-384.
7
Sheikh AS, Mazhar S. Persistent left superior vena cava with absent right superior vena cava: review of the literature and clinical implications[J]. Echocardiography, 2014, 31(5): 674-679.
8
刘晓伟, 何怡华.单纯永存左上腔静脉对胎儿心脏结构与血流动力学的影响[J].中华超声影像学杂志, 2015, 24(5): 393-397.
9
孙慧洁, 冯新嫄, 刘天赐, 等.出生后不同狭窄程度及是否手术干预的孤立性肺动脉狭窄胎儿产前超声图像特征[J/OL].中华医学超声杂志(电子版), 2025, 22(3): 203-208.
10
Pang KJ, Meng H, Hu SS, et al.Echocardiographic classification and surgical approaches to double-outlet right ventricle for great arteries arising almost exclusively from the right ventricle[J]. Tex Heart Inst J, 2017, 44(4): 245-251.
11
李玉惠, 赵博文, 周超瑜, 等. 胎儿心脏超声智能导航技术联合虚拟智能超声辅助技术在胎儿右心室双出口筛查中的应用价值[J/OL].中华医学超声杂志(电子版), 2022, 19(2): 142-149.
12
翁宗杰, 刘敏, 吴秋梅, 等.胎儿右侧异构综合征产前超声与病理解剖及血管铸型的对照研究[J].中华超声影像学杂志, 2017, 26(10): 845-849.
13
Ramaswamy P, Rafii D, Osmolovsky M, et al. Association of a dilated coronary sinus in the fetus with actual and apparent coarctation of the aorta and diminutive left heart structures[J]. Pediatr Cardiol, 2016, 37(8): 1562-1568.
14
Freund M, Stoutenbeek P, ter Heide H, et al. ‘Tobacco pipe' sign in the fetus: patent left superior vena cava with absent right superior vena cava[J]. Ultrasound Obstet Gynecol, 2008, 32(4): 593-594.
15
宋红, 熊奕, 刘涛, 等.左无名静脉在产前超声筛查胎儿永存左上腔静脉中的价值[J].中国超声医学杂志, 2013, 29(8): 719-722.
16
练敏, 钟晓红, 罗丹丹, 等. 胎儿冠状静脉窦扩张的原因分析与产前超声诊断[J/OL]. 中华医学超声杂志(电子版), 2022, 19(1): 71-77.
17
朱昱霏, 罗红, 温激翔, 等.冠状静脉及左无名静脉联合三血管气管切面在孕中期胎儿永存左上腔静脉诊断中的价值[J].实用妇产科杂志, 2021, 37(9): 716-718.
18
杨旭, 韩建成, 孙琳, 等.无顶冠状静脉窦综合征的超声心动图特征[J].中国超声医学杂志, 2017, 33(7): 4.
19
陈晨, 晏冰, 李艳, 等.左无名静脉在产前超声筛查胎儿心上型肺静脉异位引流脉的价值[J].影像研究与医学应用, 2022, 6(16): 125-127.
20
Berg C, Knüppel M, Geipel A, et al.Prenatal diagnosis of persistent left superior vena cava and its associated congenital anomalies[J]. Ultrasound Obstet Gynecol, 2006, 27(3): 274-280.
21
Galindo A, Gutierrez-Larraya F, Escribano D, et al.Clinical significance of persistent left superior vena cava diagnosed in fetal life[J]. Ultrasound Obstet Gynecol, 2007, 30(2): 152-161.
22
王诗雅, 韩建成, 张烨, 等.产前超声诊断胎儿永存左上腔静脉并右上腔静脉缺如畸形[J].中国医学影像技术, 2018, 34(5): 715-718.
23
Lopes KRM, Bartsota M, Doughty V, et al. Single left superior vena cava: antenatal diagnosis, associated anomalies and outcomes[J]. Ultrasound Obstet Gynecol, 2022, 60(5): 640-645.
[1] 姚垚, 杨小红, 赵胜, 高艳多, 郭凯莉. 胆道闭锁产前及生后超声诊断分析[J/OL]. 中华医学超声杂志(电子版), 2025, 22(10): 962-968.
[2] 李洁明, 杨彬, 杨小红, 鲁力, 赵胜, 郭凯莉, 杨帆, 谢辉. 肺动脉吊带合并右锁骨下动脉迷走的产前超声诊断及漏诊分析[J/OL]. 中华医学超声杂志(电子版), 2025, 22(03): 197-202.
[3] 刘福, 王玉波, 马以玲, 陈诺, 成晨, 赵胜. 281 例胎儿后颅窝池畸形的超声诊断及漏误诊分析[J/OL]. 中华医学超声杂志(电子版), 2025, 22(01): 31-38.
[4] 朱燕彤, 吴青青, 冯丽, 熊晓蔚, 王晶晶. 早孕期胎儿头面部超声标志物对开放性脊柱裂的预测价值[J/OL]. 中华医学超声杂志(电子版), 2024, 21(11): 1005-1010.
[5] 张盼盼, 赵博文, 潘美, 彭晓慧, 陈冉, 田园诗, 林仙方, 惠姗姗, 沈婷婷. 胎儿左心房后间隙指数在胎儿肺动脉瓣缺如综合征中的应用价值[J/OL]. 中华医学超声杂志(电子版), 2024, 21(04): 391-398.
[6] 徐燕, 茹彤, 郑明明, 顾燕, 朱湘玉, 严陈晨, 陈玲, 戴晨燕. Miller-Dieker综合征胎儿产前超声、磁共振影像学特征及遗传学分析[J/OL]. 中华医学超声杂志(电子版), 2024, 21(03): 281-287.
[7] 王莉, 王寅欢, 章国智, 齐晓伟, 杨英, 熊丹, 李柴秀, 宋爽. 乳腺癌患者永存左上腔静脉中植入上臂输液港一例[J/OL]. 中华乳腺病杂志(电子版), 2024, 18(05): 315-316.
[8] 王碧瑕, 李善情, 刘希婧, 胡蓉, 杨帆. Williams-Beuren综合征胎儿产前超声特征及遗传学特点[J/OL]. 中华妇幼临床医学杂志(电子版), 2025, 21(03): 285-295.
[9] 黄桂琼, 王晓东, 余海燕. 胎儿脊髓栓系综合征的产前诊断及围产期处理研究现状[J/OL]. 中华妇幼临床医学杂志(电子版), 2025, 21(02): 127-132.
[10] 钱警语, 郑明明. 《2024意大利妇产科学会非侵入性和侵入性产前诊断指南》解读[J/OL]. 中华妇幼临床医学杂志(电子版), 2024, 20(05): 486-492.
[11] 李晨曦, 龚忠诚, 张新华, 艾尔希丁·吐尔孙, 张璐. 罕见单侧完全性唇裂伴上颌骨复制畸形1例及文献系统综述[J/OL]. 中华口腔医学研究杂志(电子版), 2025, 19(02): 119-123.
[12] 张芳英, 罗天宇, 董文娇, 孙雯雯, 陈小宁, 杨翠英, 黄启涛. 孕晚期首发鸟氨酸氨基甲酰转移酶缺乏症一例并文献复习[J/OL]. 中华产科急救电子杂志, 2025, 14(01): 54-58.
[13] 王欣怡, 穆宁, 刘梅, 徐悦, 吴盛楠, 吕欢, 马春华. 数字减影血管造影引导下经锁骨下静脉为永存左上腔静脉患者植入静脉输液港一例[J/OL]. 中华介入放射学电子杂志, 2025, 13(04): 392-395.
[14] 黄文波, 范舒舒, 徐静, 刘玉兰, 陈惠英, 马占忠. 广东韶关地区2646例孕妇脊髓性肌萎缩症携带者筛查及产前诊断[J/OL]. 中华临床实验室管理电子杂志, 2025, 13(04): 220-224.
[15] 谌燕, 冯宗辉, 姜淑敏, 李敏, 易凤梅, 谭颖. 结节性硬化症一家系的TSC2基因变异分析和产前诊断[J/OL]. 中华诊断学电子杂志, 2024, 12(02): 112-115.
阅读次数
全文


摘要


AI


AI小编
你好!我是《中华医学电子期刊资源库》AI小编,有什么可以帮您的吗?