切换至 "中华医学电子期刊资源库"

中华医学超声杂志(电子版) ›› 2026, Vol. 23 ›› Issue (01) : 23 -29. doi: 10.3877/cma.j.issn.1672-6448.2026.01.004

腹部超声影像学

生物声学脂肪分数对高甘油三酯血症患者肝脂肪变性定量分析的初步研究
王元元1, 李昀霖1, 关晶波1, 孙敏1, 谢亚宁1, 张大鹍1,(), 张子浩2   
  1. 1 100091 北京,中国中医科学院西苑医院超声科
    2 100091 北京,中国中医科学院西苑医院心血管病中心
  • 收稿日期:2025-07-03 出版日期:2026-01-01
  • 通信作者: 张大鹍
  • 基金资助:
    中央级公益性科研院所基本科研业务费专项资金资助(ZZ16-XRZ-022)

Quantitative analysis of hepatic steatosis in patients with hypertriglyceridemia using ultrasound derived fat fraction: a preliminary study

Yuanyuan Wang1, Yunlin Li1, Jingbo Guan1, Min Sun1, Yaning Xie1, Dakun Zhang1,(), Zihao Zhang2   

  1. 1 Department of Ultrasound, Xiyuan Hospital, China Academy of Chinese Medical Sciences, Beijing 100091, China
    2 Center of Cardiovascular Disease, Xiyuan Hospital, China Academy of Chinese Medical Sciences, Beijing 100091, China
  • Received:2025-07-03 Published:2026-01-01
  • Corresponding author: Dakun Zhang
引用本文:

王元元, 李昀霖, 关晶波, 孙敏, 谢亚宁, 张大鹍, 张子浩. 生物声学脂肪分数对高甘油三酯血症患者肝脂肪变性定量分析的初步研究[J/OL]. 中华医学超声杂志(电子版), 2026, 23(01): 23-29.

Yuanyuan Wang, Yunlin Li, Jingbo Guan, Min Sun, Yaning Xie, Dakun Zhang, Zihao Zhang. Quantitative analysis of hepatic steatosis in patients with hypertriglyceridemia using ultrasound derived fat fraction: a preliminary study[J/OL]. Chinese Journal of Medical Ultrasound (Electronic Edition), 2026, 23(01): 23-29.

目的

探讨生物声学脂肪分数(UDFF)在不同程度高甘油三酯血症(HTG)患者肝脂肪变性定量评估中的价值。

方法

收集2023年10月至2024年12月于中国中医科学院西苑医院就诊的156例HTG患者及40例健康对照者。收集患者的临床资料、总胆固醇(TC)、甘油三酯(TG)、高密度脂蛋白胆固醇(HDL-C)、低密度脂蛋白胆固醇(LDL-C)及脂肪肝超声分级、皮下脂肪厚度(SFT)、内脏脂肪厚度(VFT)、UDFF。根据TG水平将HTG患者分为TG边缘升高组(1.7≤TG<2.3 mmol/L)63例和TG升高组(2.3≤TG<5.7 mmol/L)93例。评估UDFF测值的操作者内部一致性,比较各组间UDFF差异,并分析其与临床指标的相关性。

结果

UDFF测值的操作者内部一致性好(组内相关系数=0.971,P<0.001)。HTG组UDFF值显著高于对照组(11.0% vs 5.0%,P<0.001),UDFF随TG水平升高呈递增趋势:对照组5.0%<TG边缘升高组6.0%<TG升高组15.0%,两两比较差异均具有统计学意义(P<0.05)。HTG患者UDFF与脂肪肝分级、TG、VFT呈正相关(r=0.817、0.745、0.641,P<0.001),与HDL-C呈负相关(r=-0.546,P<0.001)。多元线性回归分析显示,脂肪肝分级(β=0.390)、TG(β=0.402)、VFT(β=0.170)和SFT(β=0.121)是UDFF的独立危险因素(R2=0.819)。

结论

UDFF与HTG患者脂肪肝分级及代谢指标显著相关,可以早期识别并定量评估HTG患者的肝脂肪变性情况。

Objective

To evaluate the value of ultrasound derived fat fraction (UDFF) in the quantitative assessment of hepatic steatosis in patients with varying degrees of hypertriglyceridemia (HTG).

Methods

A total of 156 HTG patients and 40 healthy controls who visited Xiyuan Hospital, China Academy of Chinese Medical Sciences from October 2023 to December 2024 were enrolled. Clinical data, total cholesterol (TC), triglycerides (TG), high-density lipoprotein cholesterol (HDL-C), low-density lipoprotein cholesterol (LDL-C), ultrasound grade of fatty liver, subcutaneous fat thickness (SFT), visceral fat thickness (VFT), and UDFF were collected. HTG patients were divided into two groups based on TG levels: borderline elevated TG group (1.7≤TG<2.3 mmol/L, n=63) and elevated TG group (2.3≤TG<5.7 mmol/L, n=93). The intra-observer consistency of UDFF measurements was evaluated, differences in UDFF were compared among groups, and its correlation with clinical indicators was analyzed.

Results

The intra-observer consistency of UDFF measurements was excellent (intra-class correlation coefficient=0.971, P<0.001). The UDFF value in the HTG group was significantly higher than that of the control group (11.0% vs 5.0%, P<0.001). UDFF showed an increasing trend with rising TG levels: control group (5.0%) <borderline elevated TG group (6.0%)<elevated TG group (15.0%), with statistically significant differences in pairwise comparisons (P<0.05). In HTG patients, UDFF was positively correlated with fatty liver grade, TG, and VFT (r=0.817, 0.745, and 0.641, respectively; P<0.001) and negatively correlated with HDL-C (r=-0.546, P<0.001). Multiple linear regression analysis revealed that fatty liver grade (β=0.390), TG (β=0.402), VFT (β=0.170), and SFT (β=0.121) were independent risk factors for UDFF (R2=0.819).

Conclusion

UDFF is significantly correlated with the grade of fatty liver and metabolic indicators in HTG patients, enabling early identification and quantitative assessment of hepatic steatosis in this population.

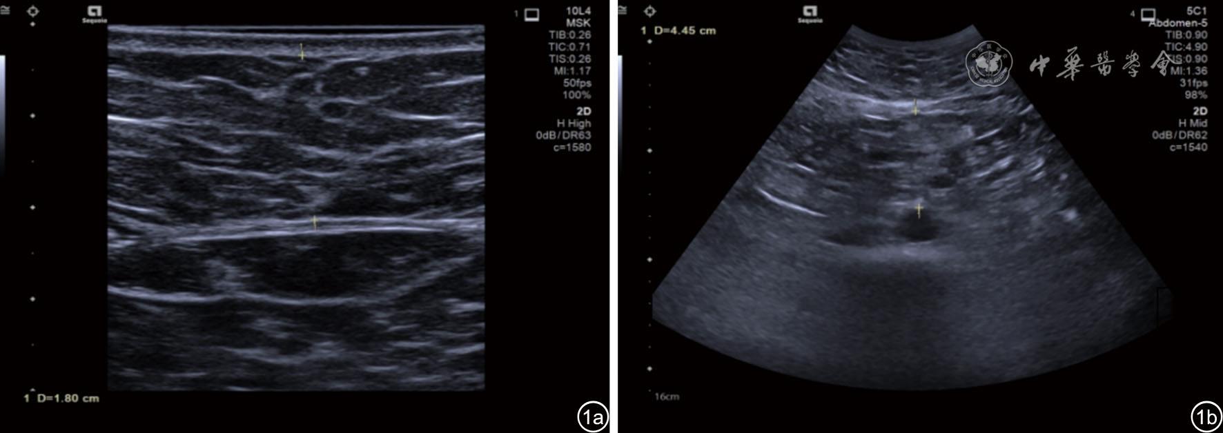
图1 高甘油三酯血症患者皮下脂肪厚度、内脏脂肪厚度测量超声图像。图a为皮下脂肪厚度测量,使用线阵探头9L4于腹部正中脐上l cm处测量皮肤层后缘至腹直肌内侧前缘的距离,测值为1.80 cm;图b为内脏脂肪厚度测量,使用凸阵探头C5-2在同一部位测量腹直肌内侧后缘至腹主动脉前壁的距离,测值为4.45 cm
图2 生物声学脂肪分数(UDFF)测量超声图像。使用DAX探头(频率1.0~5.7 MHz),垂直放置于肝右前叶,避开大血管及肋骨阴影区,嘱患者深吸气屏住呼吸5 s,同时开始采集数据,自动获取UDFF值,图a为甘油三酯值为4.0 mmol/L的高甘油三酯血症患者UDFF测量,UDFF=15%;图b为甘油三酯值为1.2 mmol/L的健康受试者UDFF测量,UDFF=5%
表1 对照组与HTG组的临床资料与超声参数比较
表2 对照组、TG边缘升高组、TG升高组的临床资料与超声参数比较
表3 多元线性回归分析UDFF的危险因素
1
Song PK, Man QQ, Li H, et al. Trends in lipids level and dyslipidemia among Chinese adults,2002-2015[J]. Biomed Environ Sci, 2019, 32(8): 559-570.
2
Younossi Z, Tacke F, Arrese M, et al.Global perspectives on nonalcoholic fatty liver disease and nonalcoholic steatohepatitis[J]. Hepatology, 2019, 69(6): 2672-2682.
3
De Robertis R, Spoto F, Autelitano D, et al. Ultrasound-derived fat fraction for detection of hepatic steatosis and quantification of liver fat content[J]. Radiol Med, 2023, 128(10): 1174-1180.
4
Zalcman M, Barth RA, Rubesova E. Real-time ultrasound-derived fat fraction in pediatric population:feasibility validation with MR-PDFF[J]. Pediatr Radiol, 2023, 53(12): 2466-2475.
5
Xia T, Du M, Li H, et al. Association between liver MRI proton density fat fraction and liver disease risk[J]. Radiology, 2023, 309(1): E231007.
6
孟令芝, 施宁尧, 杨宗利. 基于超声脂肪定量技术(UDFF)评估多囊卵巢综合征患者肝脏脂肪含量的研究[J]. 临床医学进展, 2024, 14(4): 290-296.
7
高甘油三酯血症临床管理多学科专家共识工作组,葛均波,霍勇,等.高甘油三酯血症临床管理多学科专家共识[J]. 中国循环杂志, 2023, 38(6): 621-633.
8
Cao W, An X, Cong L, et al.Application of deep learning in quantitative analysis of 2-dimensional ultrasound imaging of nonalcoholic fatty liver disease[J]. J Ultrasound Med, 2020, 39(1): 51-59.
9
Eslam M, Sanyal AJ, George J. MAFLD:a consensus-driven proposed nomenclature for metabolic associated fatty liver disease[J]. Gastroenterology, 2020, 158(7): 1999-2014.
10
Chen YL, Li H, Li S, et al. Prevalence of and risk factors for metabolic associated fatty liver disease in an urban population in China:a cross-sectional comparative study[J]. BMC Gastroenterol, 2021, 21(1): 212.
11
魏文敏. 血脂指标联合血清转氨酶、胆碱酯酶及γ-谷氨酰转肽酶检测在非酒精性脂肪肝诊断中的应用[J]. 中外医学研究, 2024, 22(20): 78-81.
12
Powell EE, Wong VW, Rinella M. Non-alcoholic fatty liver disease[J]. Lancet, 2021, 397(10290): 2212-2224.
13
Yoshiko N, Masashi H, Yohei K, et al. Diagnostic accuracy of ultrasound derived fat fraction for the detection and quantification of hepatic steatosis in patients with liver biopsy[J]. J Med Ultrason, 2024, 52(3): 561-562.
14
王米雪, 单涛, 于静, 等.超声脂肪定量评估慢性肝病合并脂肪变与病理对照研究[J]. 中国超声医学杂志, 2025, 41(2): 161-164.
15
Qi R, Lu L, He T, et al. Comparing ultrasound-derived fat fraction and MRI-PDFF for quantifying hepatic steatosis:a real-world prospective study[J]. Eur Radiol, 2025, 35(5): 2580-2588.
16
黄韵琳, 董怡, 程娟, 等. 超声脂肪分数定量检测肝脂肪变性的可靠性研究[J]. 肿瘤影像学, 2023, 32(4): 324-327.
17
Yanai H, Adachi H, Hakoshima M, et al.Metabolic-dysfunction-associated steatotic liver disease—its pathophysiology,association with atherosclerosis and cardiovascular disease,and treatments[J]. Int J Mol Sci, 2023, 24(20): 15473.
18
Meng L, Wang J, Yang H, et al.Ultrasound-derived fat fraction to assess liver steatosis in obese patients with polycystic ovary syndrome[J]. Clin Exp Med, 2025, 25(1): 130.
19
龙智慧, 刘健, 王鹏, 等. 非酒精性人群肝脏脂肪含量的CT定量测量及肝脏脂肪含量影响因素研究[J]. 中国中西医结合影像学杂志, 2023, 21(4): 440-443,447.
[1] 徐帅娅, 张雨鑫, 王洋, 何琼, 张瑶. ConvNeXt深度学习模型对肝病显著肝脂肪变性的诊断价值[J/OL]. 中华医学超声杂志(电子版), 2026, 23(01): 15-22.
[2] 高瑞霞, 韩佳豪, 宋丹蕾, 王萍萍, 李嘉. 三种超声技术对超重人群肝脂肪变性诊断性能的评估和比较[J/OL]. 中华医学超声杂志(电子版), 2025, 22(07): 600-607.
[3] 郝玥萦, 毛盈譞, 张羽, 汪佳旭, 韩林霖, 匡雯雯, 孟瑶, 杨秀华. 超声引导衰减参数成像评估肝脂肪变性及其对心血管疾病风险的预测价值[J/OL]. 中华医学超声杂志(电子版), 2024, 21(08): 770-777.
[4] 赵亚楠, 方明, 徐绍岩, 魏树梅, 张慧, 黄奕宁, 刘亚静, 黄品同. 多声学技术参数联合血清学指标对非酒精性脂肪性肝病肝脂肪变性阶段的诊断价值[J/OL]. 中华医学超声杂志(电子版), 2023, 20(11): 1164-1173.
[5] 万欣, 贺秋霞, 李明明, 王守志, 陈曦, 杨秀华. 超声衰减成像技术评价肝脂肪变性的相关因素分析[J/OL]. 中华医学超声杂志(电子版), 2023, 20(01): 57-62.
[6] 黄敏, 代大华, 黄红梅, 付豹, 傅小云. 糖尿病酮症酸中毒并发急性胰腺炎患者的临床特征及预后分析[J/OL]. 中华危重症医学杂志(电子版), 2025, 18(01): 5-10.
[7] 蔡学英, 陈嘉伊, 曾龙欢, 王剑荣, 朱英, 胡炜. 妊娠期高甘油三酯性急性胰腺炎临床特征分析:10年单中心回顾性分析[J/OL]. 中华危重症医学杂志(电子版), 2021, 14(05): 393-399.
[8] 王石, 王劲, 李婷婷, 王丹, 曾凌空. DGAT1基因突变所致先天性腹泻与肠病临床分析并文献复习[J/OL]. 中华妇幼临床医学杂志(电子版), 2022, 18(02): 192-197.
[9] 中华医学会外科学分会外科手术学学组, 中华医学会外科学分会移植学组. 劈离式肝移植供体及供肝评估专家共识[J/OL]. 中华肝脏外科手术学电子杂志, 2022, 11(02): 133-138.
[10] 严舒, 李勇, 范婧妍, 吴妮莎, 周国俊, 李建水, 冷政伟. 高甘油三酯血症急性胰腺炎与胆源性急性胰腺炎临床特征比较[J/OL]. 中华肝脏外科手术学电子杂志, 2020, 09(05): 445-448.
[11] 中华医学会外科学分会外科手术学学组, 中华医学会外科学分会移植学组. 劈离式肝移植专家共识[J/OL]. 中华肝脏外科手术学电子杂志, 2020, 09(05): 429-434.
[12] 彭熙, 李晓华, 马云华, 吴悦, 农凤伟, 廖蕴华. 不同类型血脂异常对IgA肾病临床及病理特征的影响[J/OL]. 中华肾病研究电子杂志, 2016, 05(05): 214-217.
[13] 李兆蕾, 詹敏金, 陈海天. 妊娠合并高甘油三酯血症性急性胰腺炎的临床研究[J/OL]. 中华产科急救电子杂志, 2025, 14(02): 86-94.
[14] 韩佳熙, 范向民, 苏宁. 数字技术评估方法在神经系统运动障碍诊疗中应用的研究进展[J/OL]. 中华脑血管病杂志(电子版), 2023, 17(03): 275-279.
阅读次数
全文


摘要


AI


AI小编
你好!我是《中华医学电子期刊资源库》AI小编,有什么可以帮您的吗?