切换至 "中华医学电子期刊资源库"

中华医学超声杂志(电子版) ›› 2026, Vol. 23 ›› Issue (01) : 100 -102. doi: 10.3877/cma.j.issn.1672-6448.2026.01.016

病例报告

肝穿刺活检术后隐匿性肝动脉-胆管瘘影像学表现一例
丁莉, 卢诗琪, 阳建军()   
  1. 313000 湖州,浙江中医药大学第五临床医学院超声科
  • 收稿日期:2025-11-24 出版日期:2026-01-01
  • 通信作者: 阳建军

Imaging findings of occult hepatic arterio-biliary fistula after percutaneous liver biopsy: a case report

Li Ding, Shiqi Lu, Jianjun Yang()   

  • Received:2025-11-24 Published:2026-01-01
  • Corresponding author: Jianjun Yang
引用本文:

丁莉, 卢诗琪, 阳建军. 肝穿刺活检术后隐匿性肝动脉-胆管瘘影像学表现一例[J/OL]. 中华医学超声杂志(电子版), 2026, 23(01): 100-102.

Li Ding, Shiqi Lu, Jianjun Yang. Imaging findings of occult hepatic arterio-biliary fistula after percutaneous liver biopsy: a case report[J/OL]. Chinese Journal of Medical Ultrasound (Electronic Edition), 2026, 23(01): 100-102.

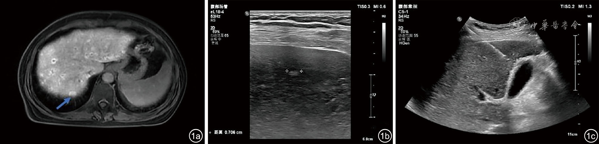
图1 自身免疫性肝炎合并肝结节的上腹部MRI增强(肝特异性造影剂)图像及二维超声图像、超声引导下穿刺活检图像。图a示肝胆期肝内多发高摄取信号结节(蓝色箭头);图b为二维超声示肝内多发微小稍高回声结节,较大者长径约7 mm,境界尚清,形态尚规则;图c为超声引导下经皮肝穿刺活检,选择右侧肋间隙第8肋间进针,由前外侧向后内侧,在彩色多普勒超声引导下避开主要血管、大胆管及胆囊
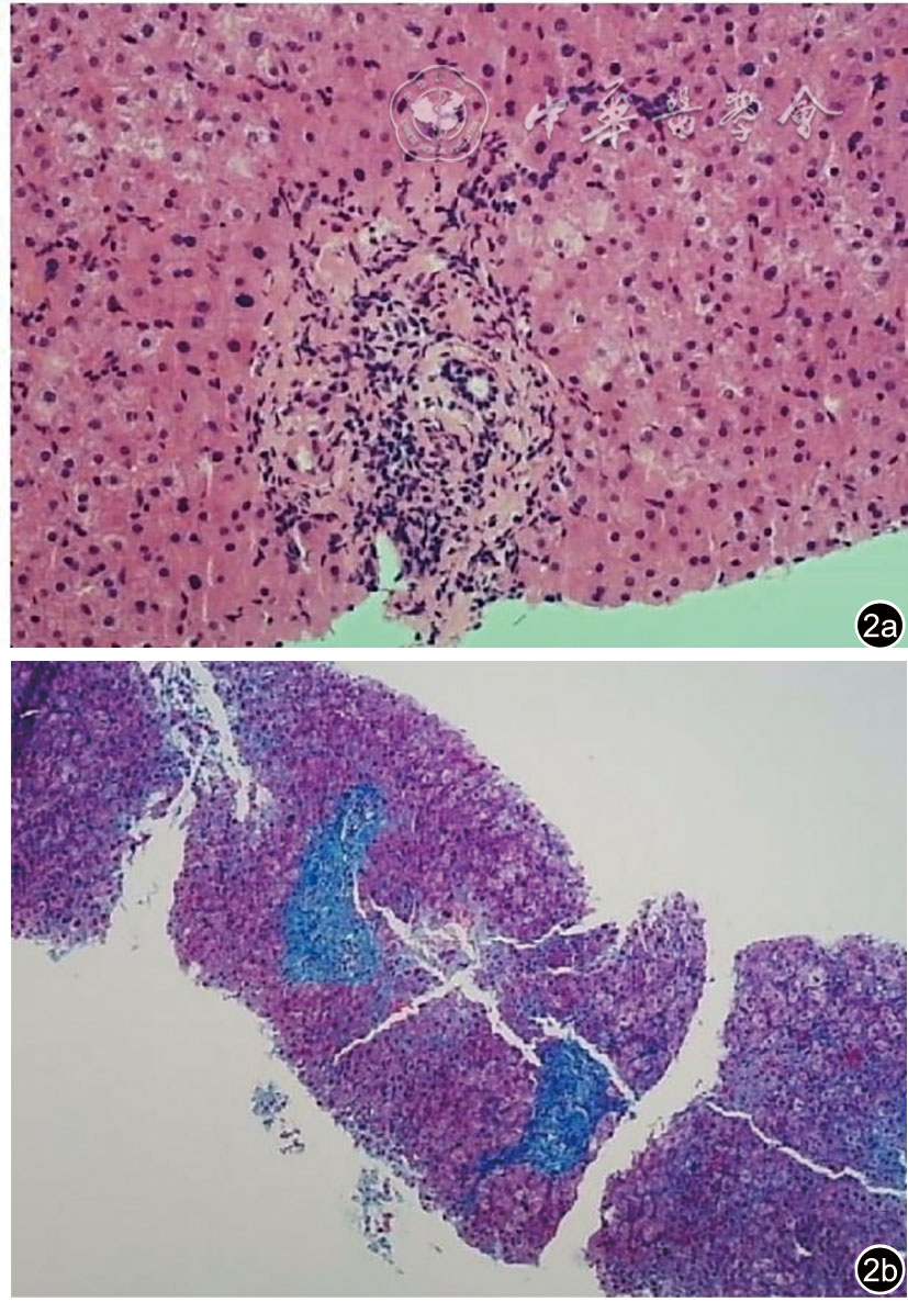
图2 肝穿刺活检病理检查图像。图a示汇管区炎症表现,少量淋巴细胞、浆细胞浸润,局部轻微界面炎。肝细胞轻度水肿、气球样变性,少许点状坏死(HE染色×400);图b示汇管区纤维组织增生从汇管区向周围延伸,形成少量纤维间隔,但未形成完整的肝硬化结构,肝脏结构尚未完全破坏(Masson染色×100)
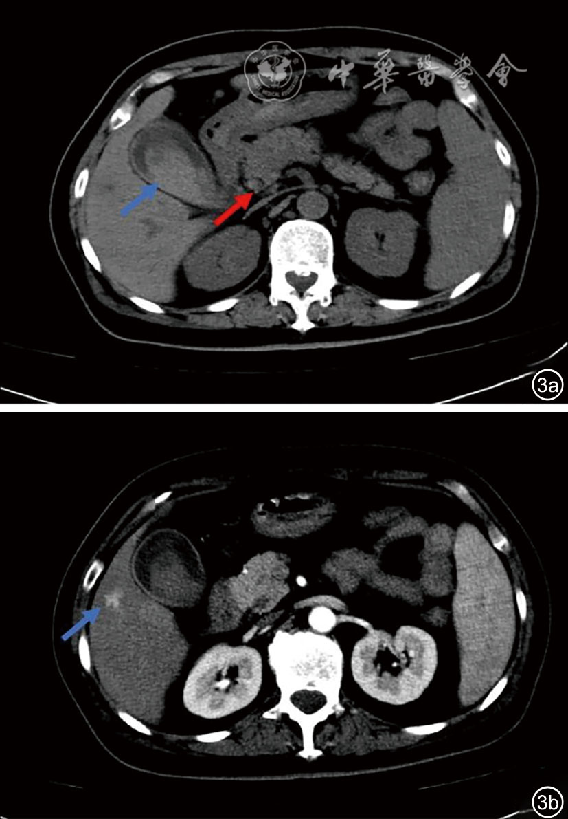
图3 经皮肝穿刺活检后上腹部平扫及增强CT图像。图a示胆囊壁增厚,胆囊腔(蓝色箭头)及胆总管(红色箭头)内高密度影,形态不规则,未见明显强化;图b示动脉期肝右前叶下段可见一过性异常强化灶(蓝色箭头),形态不规则
图4 经皮肝穿刺活检后腹部彩色多普勒超声图像。图a、b分别显示胆囊、胆总管内见高回声团块,境界清,形态欠规则,内回声欠均匀,彩色多普勒未见明显血流信号
图5 经皮肝穿刺活检后肝脏数字减影血管造影图像。动脉早期可见造影剂自肝右前叶下段动脉分支溢出,呈一小段迂曲的管状(蓝色箭头),微导管超选择插管至肝右动脉分支,注射造影剂,可见胆管显影
1
肝脏穿刺活检湘雅专家共识编写组.肝脏穿刺活检湘雅专家共识[J].中国普通外科杂志, 2021,30(1): 1-8.
2
Thomaides-Brears HB, Alkhouri N, Allende D, et al. Incidence of complications from percutaneous biopsy in chronic liver disease: a systematic review and meta-analysis[J]. Dig Dis Sci, 2022, 67(7): 3366-3394.
3
张国全, 张玲云, 韩国庆, 等.术后即刻彩色多普勒超声检查对肝活检并发出血的诊断及其引导压迫止血[J]. 中华肝脏病杂志, 2022, 30(3): 285-289.
4
Bilreiro C, Noruegas MJ, Gonçalves I, et al. Ultrasound-guided liver biopsies in children: a single-center experience and risk factors for minor bleeding[J]. J Pediatr Gastroenterol Nutr, 2017, 65(2): 137-140.
5
Güneyli S, Gök M, Çınar C, et al. Imaging findings and endovascular management of iatrogenic hepatic arterial injuries[J]. Diagn Interv Radiol, 2015, 21(6): 494-497.
6
Okuda K, Musha H, Nakajima Y, et al.Frequency of intrahepatic arteriovenous fistula as a sequela to percutaneous needle puncture of the liver[J]. Gastroenterology, 1978, 74(6): 1204-1207.
7
Ghent CN. Percutaneous liver biopsy: reflections and refinements[J]. Can J Gastroenterol, 2006, 20(2): 75-79.
8
史海涛, 鲁晓岚.门静脉血栓及肝动脉-门静脉瘘诊治再认识[J]. 实用肝脏病杂志, 2023, 26(2): 160-163.
9
贾桂, 丁大伟, 方艳秋, 等.经皮肝穿刺活检术患者出血并发症的危险因素分析[J]. 中华内科杂志, 2025, 64(6): 542-548.
No related articles found!
阅读次数
全文


摘要


AI


AI小编
你好!我是《中华医学电子期刊资源库》AI小编,有什么可以帮您的吗?