切换至 "中华医学电子期刊资源库"
妇产科超声影像学

二维超声联合实时剪切波弹性成像评估腹直肌分离

  • 钟华 1 ,
  • 巫燕玲 1 ,
  • 陈英 1 ,
  • 周玉婷 1 ,
  • 曾梅青 1 ,
  • 骆婕 1 ,
  • 杨焰 , 1,
展开
  • 1.510080 广州,广东药科大学附属第一医院超声科
通信作者:杨焰,Email:

Copy editor: 吴春凤

收稿日期: 2020-03-27

  网络出版日期: 2021-09-30

基金资助

广东省中医药管理局基金(20212109)

广东省医学科研基金(A20180560)

版权

未经授权,不得转载、摘编本刊文章,不得使用本刊的版式设计,除非特别声明,本刊刊出的所有文章不代表中华医学会和本刊编委会的观点。本刊为电子期刊,以网刊形式出版。

Evaluation of diastasis recti abdominis by two-dimensional ultrasound and shear wave elastography

  • Hua Zhong 1 ,
  • Yanling Wu 1 ,
  • Ying Chen 1 ,
  • Yuting Zhou 1 ,
  • Meiqing Zeng 1 ,
  • Jie Luo 1 ,
  • Yan Yang , 1,
Expand
  • 1.Ultrasonic Diagnosis Department, the First Affiliated Hospital of Guangdong Pharmaceutical University, Guangzhou 510080, China
Corresponding author: Yang Yan, Email:

Zhong Hua,Wu Yanling,Chen Ying,et al.Evaluation of diastasis recti abdominis by two-dimensional ultrasound and shear wave elastography[J].Chinese Journal of Medical Ultrasound (Electronic Edition),2021,18(09):847-853.

Received date: 2020-03-27

  Online published: 2021-09-30

Copyright

Copyright by Chinese Medical Association No content published by the journals of Chinese Medical Association may be reproduced or abridged without authorization. Please do not use or copy the layout and design of the journals without permission. All articles published represent the opinions of the authors, and do not reflect the official policy of the Chinese Medical Association or the Editorial Board, unless this is clearly specified.

摘要

目的

探讨二维超声测量腹直肌间距(IRD)联合实时剪切波弹性成像(SWE)定量评估腹直肌弹性及其对腹直肌分离的评估价值。

方法

选取2019年3月至12月在广东药科大学附属第一医院进行产前检查并足月分娩的初产妇36人作为研究组,同时院内招募未育女性36人作为对照组。应用二维超声获取脐水平、脐上5 cm水平、脐下5 cm水平的IRD,应用SWE定量评估同一水平双侧腹直肌杨氏模量[平均值(Emean)、最大值(Emax)、最小值(Emin)]。对照组由3位超声检查工作年限分别为<10年、10~20年、>20年的医师完成,采用单因素方差分析比较不同工作年限超声医师获取IRD及SWE参数的差异。研究组于妊娠晚期及产后6~8周分别进行不同水平IRD测量及SWE评估,采用两独立样本t检验比较妊娠晚期及产后6~8周两者的差异。

结果

对照组中3位超声检查工作年限为<10年、10~20年及>20年的医师获取脐水平、脐上5 cm水平、脐下5 cm水平IRD及SWE参数比较,差异均无统计学意义(P均>0.05);研究组IRD测值比较,妊娠晚期及产后IRD测量显示IRD0>IRD+5>IRD-5,妊娠晚期测量IRD0、IRD+5、IRD-5分别为(3.00±0.53)cm、(2.87±0.57)cm、(2.53±0.33)cm,产后6~8周测量IRD0、IRD+5、IRD-5分别为(2.39±0.54)cm、(2.09±0.31)cm、(1.96±0.25)cm,产后6~8周不同脐水平IRD测值均小于妊娠晚期相应水平IRD,差异均具有统计学意义(t=2.965、3.791、4.226,P均<0.001);研究组腹直肌SWE参数均值比较,左右双侧腹直肌脐水平、脐上5 cm及脐下5 cm的腹直肌SWE参数(Emean、Emax、Emin)比较,产后SWE参数均小于妊娠晚期,差异均具有统计学意义(P均<0.001)。

结论

二维超声测量腹直肌间距联合SWE评估腹直肌弹性,可提供腹直肌分离的多维度科学证据,其操作简单、便捷,可能成为妊娠晚期及产后早期综合评估腹直肌分离程度及评价腹直肌分离临床疗效的常规手段。

本文引用格式

钟华 , 巫燕玲 , 陈英 , 周玉婷 , 曾梅青 , 骆婕 , 杨焰 . 二维超声联合实时剪切波弹性成像评估腹直肌分离[J]. 中华医学超声杂志(电子版), 2021 , 18(09) : 847 -853 . DOI: 10.3877/cma.j.issn.1672-6448.2021.09.006

Abstract

Objective

To evaluate the value of measurement of inter-rectus distance (IRD) by two-dimensional ultrasound and shear wave elastography (SWE) in quantitative evaluation of rectus abdominis elasticity in the diastasis recti abdominis.

Methods

Thirty-six parturients who underwent prenatal examination and full-term delivery at the First Affiliated Hospital of Guangdong Pharmaceutical University from March to December 2019 were selected as a study group, and 36 infertile women were recruited as a control group. Two-dimensional ultrasound was used to obtain IRD at the umbilical level, 5 cm above the umbilical level, and 5 cm below the umbilical level. SWE was used to quantitatively evaluate Young's modulus of bilateral rectus abdominis at the same levels [average (Emean), maximum (Emax), and minimum (Emin)]. The control group was examined by three physicians who had experience of<10 years, 10~20 years, and>20 years, respectively. One-way ANOVA was used to analyze the differences of IRD and SWE parameters obtained by ultrasound doctors with different working years. In the study group, different levels of IRD and SWE were measured and evaluated in the third trimester and 6-8 weeks postpartum, and two independent samples t-test were used for statistical analysis to compare their differences in the third trimester and 6-8 weeks postpartum.

Results

In the control group, there was no significant difference in IRD or SWE parameters at the umbilical level, 5 cm above the umbilical level, and 5 cm below the umbilical level among the three doctors whose had experience of<10 years, 10~20 years, and>20 years (P>0.05). Measurement of late pregnancy and postpartum IRD in the study group showed the following: IRD0>IRD+5>IRD-5, IRD0 (3.00±0.53) cm, IRD+5 (2.87±0.57) cm, and IRD-5 (2.53±0.33) cm at late pregnancy; and IRD0 (2.39±0.54) cm, IRD+5 (2.09±0.31) cm, and IRD-5 (1.96±0.25) cm at 6-8 weeks postpartum. The results showed that the measured values of IRD at different umbilical levels at 6-8 weeks postpartum were significantly lower than those at late pregnancy (t=2.965, 3.791, and 4.226, respectively; P<0.001). Comparison of the mean values of SWE parameters of rectus abdominis muscle in the study group showed that the SWE parameters (Emean, Emax, and Emin) of the left and right bilateral rectus abdominis at late pregnancy were significantly lower than those at 6-8 weeks postpartum (P<0.001).

Conclusion

Two-dimensional ultrasonic measurement of the distance between the rectus abdominis and real-time SWE can provide multi-dimensional scientific evidence for diastasis recti abdominis. Two-dimensional ultrasound combined with real-time SWE is simple and convenient to operate, and may become a routine method for comprehensive evaluation of the degree of abdominis separation and the clinical effect of abdominis separation in the late pregnancy and early postpartum.

腹直肌分离是指双侧腹直肌从腹白线位置分别向两侧分离,且分离距离>2 cm。妊娠与分娩是腹直肌分离的重要影响因素,多见于妊娠中晚期及产后妇女。Mota等1研究表明妊娠35周以上腹直肌分离发生率为100%,在未采取任何治疗及锻炼的情况下,产后6周及半年腹直肌分离患病率为52.4%、39.0%。而国外多个相关研究2, 3, 4中所涉及的产后6周、3个月、6个月腹直肌分离患病率并不完全一致,但Sperstad等2研究表明产后1年腹直肌分离患病率仍高达32.6%。故腹直肌分离是妊娠不可避免的一种并发症,且直接影响孕妇产后体形的恢复,易导致产后抑郁症的发生,该疾病对患者及其家庭、社会均带来了不良的影响。
多项研究25, 6, 7, 8, 9, 10, 11表明,诊断腹直肌分离的方式多样,包括卡尺、触诊、卷尺、超声、CT和MRI,但既往腹直肌分离检查方式中对患者检查体位、腹直肌的测量位置及方法无统一要求;而我国临床诊断腹直肌分离多以腹部触诊法进行检测,采用超声评估腹直肌间距(inter-rectus distance,IRD)的甚少,而常规二维超声测量IRD是国外推荐的评估腹直肌分离程度的方式之一,超声测量结果可作为测量腹直肌分离距离<3.0 cm的“金标准”312。目前国内外对腹直肌弹性评估的相关研究鲜有报道。实时剪切波弹性成像技术(shear wave elastography,SWE)是一种新型定量评价组织弹性值的影像学技术,通过测量剪切波运行速度变化获得组织弹性值,可对腹直肌弹性值进行定量分析,为判断腹直肌分离严重程度提供常规超声检查之外的诊断信息13, 14。本研究拟初步探讨二维超声联合SWE评估腹直肌分离程度的应用价值,为综合评估腹直肌分离程度及预后提供重要参考依据。

资料与方法

一、对象

1. 初产妇组(研究组):选取2019年3月至12月在广东药科大学附属第一医院规范产检并足月分娩的初产妇36人,孕妇年龄(26.6±6.0)岁,检查时间为妊娠37+1~41+2周,腰围(122.3±12.7)cm,体质量指数(24.3±2.7)kg/m2,胎儿出生体质量(3434.7±470.1)g;分娩方式为顺产25人,剖宫产11人;产后复查时间为产后(51.6±7.4)d,腰围(82.9±6.9)cm,体质量指数(22.7±2.8)kg/m2。纳入标准:(1)年龄18~45岁;(2)初次分娩者,既往无大于妊娠12周的流产史;(3)无严重疾病者,如心脏疾病、精神疾病、肿瘤、血液疾病等;(4)无妊娠期相关疾病,如妊娠糖尿病、高血压等;(5)无危重产科相关情况者,如产后大出血、羊水栓塞等。排除标准:(1)多次产妇;(2)多胎妊娠者;(3)有既往腹腔手术史者;(4)无法坚持完成超声检查者。
2. 未育组(对照组):2019年3月至12月通过院内招募的未育女性36人,年龄(28.0±4.7)岁,腰围(74.2±6.0)cm,体质量指数(21.6±2.4)kg/m2。纳入标准:(1)既往无大于妊娠12周的流产史;(2)无严重疾病者,如心脏疾病、精神疾病、肿瘤、血液疾病等;(3)既往无腹腔手术史。
本研究经医院伦理委员会批准并取得受检者知情同意。

二、仪器与方法

1. 仪器:应用Mindray Resona 7彩色多普勒超声诊断仪器,具备实时二维及SWE的线阵探头,探头频率为4~12 MHz。
2. 方法:受检者平躺,暴露腹部检查区域,采用横向、纵向、斜向多平面结合方式先进行实时二维灰阶扫查,观察剑突以下至耻骨联合以上的腹直肌情况,测量脐水平、脐上5 cm水平、脐下5 cm水平的双侧腹直肌高回声筋膜内侧缘间的距离,记录为IRD0、IRD+5、IRD-5图12)。二维超声定位双侧腹直肌内侧1~2 cm范围内的部位,嘱患者屏气3~5 s,开启SWE扫查模式,剪切波弹性的量程为0~180 kPa,待图像稳定后冻结,选择感兴趣区域(region of interest,ROI),ROI范围为双侧腹直肌内侧1~2 cm的最大测量面积(不包括腹直肌筋膜),手持探头在检测部位,不施加压力。双幅实时显示功能观察二维图与弹性图,选取ROI,静置3~5 s,保持探头稳定以获得稳定弹性图(M-STB Index:5颗绿星)并保存,观察和记录该区域弹性模量颜色分布特征。仪器自带Q-BOXTM定量测量工具,测量ROI范围内杨氏弹性模量值[平均值(Emean)、最大值(Emax)、最小值(Emin)],每个区域(右侧腹直肌脐水平R0、左侧腹直肌脐水平L0、右侧腹直肌脐上5 cm水平R+5、左侧腹直肌脐上5 cm水平L+5、右侧腹直肌脐下5 cm水平R-5、左侧腹直肌脐下5 cm水平L-5)中部水平测量2次,取平均值(图34)。
图1 22岁未育女性,脐上5 cm水平双侧腹直肌间距为0 cm
图2 35岁初产妇产后43 d,脐上5 cm水平双侧腹直肌间距为2.3 cm
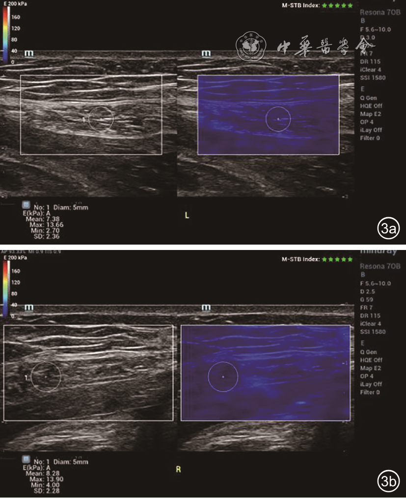
图3 22岁未育女性,脐上5 cm水平左侧腹直肌剪切波弹性成像(SWE)定量测量,Emean=7.38 kPa,Emax=13.66 kPa,Emin=2.70 kPa(图a);右侧腹直肌SWE定量测量,Emean=8.28 kPa,Emax=13.9 kPa,Emin=4.0 kPa(图b)
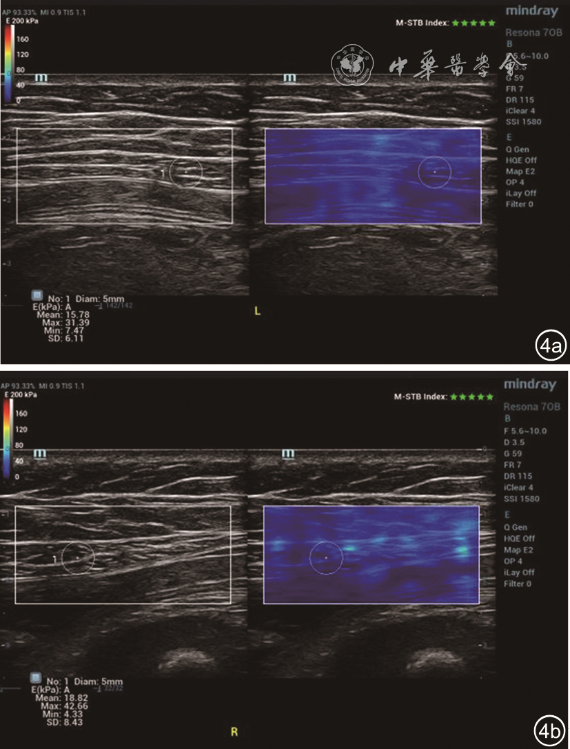
图4 28岁初产妇妊娠37+3周,脐上5 cm水平左侧腹直肌剪切波弹性成像(SWE)参数:Emean=15.78 kPa,Emax=31.39 kPa,Emin=7.47 kPa(图a);右侧腹直肌SWE参数:Emean=18.82 kPa,Emax=42.66 kPa,Emin=4.32 kPa(图b)
对照组由3名工作年限分别为<10年、10~20年及>20年的超声医师对扫描图像进行观察、测量并记录。

三、统计学分析

应用SPSS 19.0统计软件进行统计学分析。不同脐水平腹直肌间距和腹直肌SWE参数均为正态分布的计量资料,数据采用
x¯
±s表示。未育组中不同工作年限超声医师测值比较采用单因素方差分析进行统计分析,研究组中妊娠晚期及产后腹直肌分离距离及腹直肌弹性参数采用两独立样本t检验进行统计分析。P<0.05表示差异具有统计学意义。

结果

一、未育组腹直肌相关参数

1. 二维超声检查:不同工作年限的超声医师应用二维超声测量的不同水平IRD比较,差异均无统计学意义(P均>0.05,表1);不同水平IRD测量显示IRD0>IRD+5>IRD-5
表1 不同工作年限超声医师测量未育组女性腹直肌间距的差异(cm,
x¯
±s)
工作年限 例数 IRD0 IRD+5 IRD-5
<10年 36 1.21±0.24 0.51±0.26 0.45±0.21
10~20年 36 1.10±0.29 0.54±0.61 0.31±0.16
>20年 36 1.15±0.23 0.38±0.30 0.31±0.16
F 0.457 0.413 2.093
P 0.638 0.666 0.143

注:IRD为腹直肌间距,0、+5、-5分别表示脐水平、脐上5 cm、脐下5 cm

2. SWE检查:不同工作年限超声医师检测的不同水平腹直肌SWE参数(Emean、Emax、Emin)比较,差异均无统计学意义(P均>0.05,表2)。
表2 不同工作年限超声医师测量未育组女性不同脐水平双侧腹直肌SWE参数的差异(kPa,
x¯
±s)
工作年限 人数 EmeanR
0
EmaxR
0
EminR
0
EmeanL
0
EmaxL
0
EminL
0
<10年 36 5.51±1.77 12.87±4.74 2.90±0.99 4.97±0.99 21.67±16.47 2.61±0.64
10~20年 36 5.78±1.29 13.80±5.54 3.24±0.92 5.26±1.51 21.40±16.52 2.68±0.70
>20年 36 4.85±0.90 14.12±4.43 2.61±0.76 4.68±1.49 15.97±7.20 2.54±1.17
F 1.228 0.174 1.220 0.467 0.520 0.063
P 0.309 0.841 0.311 0.632 0.601 0.939
工作年限 人数 EmeanR
+5
EmaxR
+5
EminR
+5
EmeanL
+5
EmaxL
+5
EminL
+5
<10年 36 5.92±0.94 20.01±10.27 2.87±1.08 10.50±2.30 27.63±10.23 4.40±1.50
10~20年 36 5.72±1.24 20.30±10.83 3.04±2.05 9.98±2.40 29.40±15.88 3.94±1.26
>20年 36 6.88±0.91 23.33±6.88 2.98±0.93 11.92±2.79 21.01±4.63 4.74±1.50
F 3.571 0.036 0.625 0.625 1.552 0.796
P 0.052 0.689 0.965 0.543 0.230 0.461
工作年限 人数 EmeanR
-5
EmaxR
-5
EminR
-5
EmeanL
-5
EmaxL
-5
EminL
-5
<10年 36 6.47±2.16 22.26±13.52 2.82±0.78 7.24±3.20 24.42±13.68 3.35±1.71
10~20年 36 6.12±2.22 30.14±35.07 2.31±0.88 5.69±2.56 22.25±16.19 2.33±0.75
>20年 36 5.81±1.19 21.23±5.71 3.05±0.80 6.34±0.61 17.47±3.84 4.24±0.84
F 0.299 0.494 2.143 1.068 0.817 6.595
P 0.744 0.616 0.137 0.358 0.452 0.055

注:SWE为剪切波弹性成像,Emean为平均值,Emax为最大值,Emin为最小值,R0表示右侧腹直肌脐水平,L0表示左侧腹直肌脐水平,R+5为右侧腹直肌脐上5 cm水平,L+5为左侧腹直肌脐上5 cm水平,R-5为右侧腹直肌脐下5 cm水平,L-5为左侧腹直肌脐下5 cm水平

二、初产妇组产妇妊娠晚期及产后6~8周腹直肌相关测量参数的比较

1. 二维超声检查:妊娠晚期不同水平IRD均>2.0 cm,产后IRD均小于妊娠晚期,妊娠晚期、产后不同水平IRD均为IRD0>IRD+5>IRD-5,妊娠晚期不同水平IRD与产后比较,差异均具有统计学意义(P均<0.05,表3)。
表3 妊娠晚期及产后6~8周初产妇腹直肌间距的差异

(cm,x¯±s)

时间 人数 IRD0 IRD+5 IRD-5
妊娠晚期 36 3.00±0.54 2.87±0.57 2.52±0.33
产后 36 2.39±0.37 2.09±0.31 1.96±0.25
t 2.965 3.791 4.226
P 0.008 0.002 0.001

注:IRD为腹直肌间距,0、+5、-5分别表示脐水平、脐上5 cm、脐下5 cm

2. SWE检查:双侧腹直肌脐水平、脐上5 cm及脐下5 cm的腹直肌SWE参数(Emean、Emax、Emin)比较,产后SWE参数均小于妊娠晚期,差异均具有统计学意义(P均<0.05,表4)。
表4 妊娠晚期及产后6~8周初产妇不同脐水平双侧腹直肌SWE参数的差异(kPa,
x¯
±s)
时间 例数 EmeanR
0
EmaxR
0
EminR
0
EmeanL
0
EmaxL
0
EminL
0
妊娠晚期 36 15.16±2.29 28.79±8.04 6.64±1.12 16.23±2.49 30.03±9.32 6.41±1.48
产后 36 2.91±0.44 5.26±0.67 1.88±0.33 2.97±0.43 5.23±0.60 1.8±0.60
t 16.598 9.224 12.843 16.570 8.401 9.144
P <0.001 <0.001 <0.001 <0.001 <0.001 <0.001
时间 例数 EmeanR
+5
EmaxR
+5
EminR
+5
EmeanL
+5
EmaxL
+5
EminL
+5
妊娠晚期 36 10.18±2.46 17.10±6.27 5.28±1.54 10.62±2.86 17.99±7.63 4.46±1.28
产后 36 2.82±0.38 5.03±0.83 1.82±0.32 3.01±0.45 5.17±0.44 1.74±0.36
t 9.354 6.031 6.956 8.307 5.304 6.461
P <0.001 <0.001 <0.001 <0.001 <0.001 <0.001
时间 例数 EmeanR
-5
EmaxR
-5
EminR
-5
EmeanL
-5
EmaxL
-5
EminL
-5
妊娠晚期 36 7.49±1.68 16.70±5.53 4.10±1.20 8.30±1.69 17.37±5.67 4.64±1.26
产后 36 2.71±0.29 5.24±0.53 2.06±0.35 3.29±0.40 5.45±0.45 2.16±0.25
t 8.872 6.531 5.150 9.113 6.635 6.115
P <0.001 <0.001 <0.001 <0.001 <0.001 <0.001

注:SWE为剪切波弹性成像,Emean为平均值,Emax为最大值,Emin为最小值,R0表示右侧腹直肌脐水平,L0表示左侧腹直肌脐水平,R+5为右侧腹直肌脐上5 cm水平,L+5为左侧腹直肌脐上5 cm水平,R-5为右侧腹直肌脐下5 cm水平,L-5为左侧腹直肌脐下5 cm水平

讨论

妊娠中晚期双侧腹直肌间距逐渐增大是腹直肌分离的直接表征,腹直肌本身肌张力下降、弹性减低则是导致其腹直肌分离难以自我愈合或临床治疗效果差的根本原因。SWE可测量组织的杨氏模量值,敏感、准确地评价活体组织的弹性特征15, 16, 17,不存在二维超声检查肌骨系统时常见的各向异性伪像,弹性成像在检查肌肉的收缩及弹性特征方面是可行、无创的,SWE是最常应用于肌肉弹性的检测方法18。目前国内外对腹直肌弹性评估鲜有报道,本研究拟应用SWE定量评估腹直肌弹性,有望对于腹直肌分离的临床诊疗提供新的参考依据,为临床评估腹直肌分离程度及判断预后探索新的检测方式。
本研究中未育组结果显示,不同工作年限超声医师应用二维超声测量IRD及应用SWE技术定量评估双侧腹直肌不同水平的杨氏模量(Emean、Emax、Emin),其测值差异均无统计学意义,表明此两项技术操作稳定性高,不同测量者的弹性测值一致性良好,且不同水平腹直肌SWE定量评估测值可靠。对照组IRD测量显示IRD0>IRD+5>IRD-5,提示在正常人群中IRD最大位于脐水平,次之为脐上5 cm水平,脐下5 cm水平间距最小,且最大间距测值<2.0 cm,该结果与Mota等1的研究结果相当。但由于本研究病例数较少且检测范围仅为脐上5 cm、脐水平及脐下5 cm共10 cm范围的IRD测量及SWE参数评估,尚未能建立正常未育女性自剑突至耻骨联合上缘不同水平IRD及腹直肌SWE参数的正常值范围,有待扩大样本量进一步探讨研究;另外,在未育组的研究中,仅对正常未育女性进行腹直肌相关指标的评估,而妊娠晚期腹壁肌肉形态改变会增加腹直肌识别的难度,因此妊娠状态下操作者间的差异可能更具意义。
本研究获取了初产妇足月妊娠时脐水平、脐上5 cm水平及脐下5 cm水平IRD,显示均>2.0 cm,符合腹直肌分离诊断标准,且其患病率达100%;与产后同一水平IRD比较,产前IRD均大于产后IRD相应水平,且产前及产后均为IRD0>IRD+5>IRD-5,产前产后测值差异具有统计学意义,考虑随着胎儿娩出、子宫收缩,分离的双侧腹直肌解除压迫后可因腹部肌群(如腹横肌、腹内外斜肌等)肌纤维的相互协同作用弹性回缩,产后IRD缩短,但分离程度因人而异,其影响因素可能与孕产妇体内激素水平、肥胖、腹部肌肉先天性缺陷等有关,有待进一步研究。此外,对于IRD>3.0 cm且二维超声单个切面不能完整显示IRD的孕产妇,笔者尝试应用扩展成像及宽景成像进行测量,但由于本研究样本量较少,不能进一步检验上述2种超声成像技术的准确性。
腹直肌是腹部肌肉的重要组成之一,内侧以腹白线相隔,妊娠晚期子宫增大致使腹部肌群过度拉伸,因腹部肌群的协同作用双侧腹直肌自腹白线向两侧分离2,故本研究中SWE定量评估定位于腹直肌内侧1~2 cm,与其他位置比较,此处因腹白线的连接作用,腹直肌位置表浅且分离方向恒定,高频超声易于辨认;本研究妊娠晚期、产后腹直肌SWE参数显示,妊娠晚期SWE参数均大于产后,且脐水平>脐上5 cm水平>脐下5 cm水平,考虑由于产后6~8周子宫恢复双侧腹直肌解除压迫,致使产后IRD及腹直肌SWE参数均低于妊娠晚期,但总体趋势仍是脐水平>脐上5 cm>脐下5 cm;Emean代表ROI所测范围的平均值,可能较Emax及Emin更能反映该水平腹直肌弹性的整体情况。本研究目前仅对腹直肌松弛状态进行弹性评估,但受肌肉各向异性的影响,测值会有所不同,可能需要进一步评估紧张状态的腹直肌弹性,方能提供更全面的腹直肌弹性信息。此外,本研究尚未评估孕产妇整个孕期及产后1年甚至更长时间的腹直肌弹性动态变化,未涉及对影响腹直肌愈合的多因素判断,有望增加研究样本量或对腹直肌分离长度、妊娠及产后盆底功能的影响等进一步相关性研究。
因本研究为单中心研究,样本量相对不足且研究周期较短,存在以下几点局限性:(1)未进行分娩方式对腹直肌间距及弹性的组间差异性研究;(2)未进行腹直肌间距与腹直肌弹性的相关性研究;(3)仅在产后早期对腹直肌间距及弹性进行1次评估,远期预后评估证据不足,尚待进一步观察明确。
综上所述,本研究联合应用二维超声测量腹直肌间距及SWE定量评估腹直肌弹性,操作简单、便捷,为评估腹直肌分离产后自我康复提供多维度的科学证据,有望成为妊娠晚期及产后早期综合评估腹直肌分离程度及评价腹直肌分离临床疗效的常规手段。
1
Mota P, Pascoal AG, Carita AI, et al. Prevalence and risk factors of diastasis recti abdominis from late pregnancy to 6 months postpartum,and relationship with lumbo-pelvic pain [J]. Man Ther, 2015, 20(1): 200-205.

2
Sperstad JB, Tennfjord MK, Hilde G, et al. Diastasis recti abdominis during pregnancy and 12 months after childbirth: prevalence, risk factors and report of lumbopelvic pain [J]. Br J Sports Med, 2016, 50(17): 1092-1096.

3
Keshwani N, Mathur S, McLean L. Validity of inter-rectus distance measurement in postpartum women using extended field-of-view ultrasound imaging techniques [J]. J Orthop Sports Phys Ther, 2015, 45(10): 808-813.

4
Michalska A, Rokita W, Wolder D, et al. Diastasis recti abdominis—a review of treatment methods [J]. Ginekol Pol, 2018, 89(2): 97-101.

5
Sozer SO, Agullo FJ. Triple plication in miniabdominoplasty [J]. Aesthetic Plast Surg, 2006, 30(3): 263-268.

6
Villegas FJ. A novel approach to abdominoplasty: TULUA modifications (transverse plication, no undermining, full liposuction, neoumbilicoplasty, and low transverse abdominal scar) [J]. Aesthetic Plast Surg, 2014, 38(3): 511-520.

7
Gama LJM, Barbosa MVJ, Czapkowski A, et al. Single-layer plication for repair of diastasis recti: the most rapid and efficient technique [J]. Aesthet Surg J, 2017, 37(6): 698-705.

8
Keshwani N, McLean L. Ultrasound imaging in postpartum women with diastasis recti:in trarater between-session reliablity [J]. J Orthop Sports Phys Ther, 2015, 45(9): 713-718.

9
Keshwani N, Mathur S, McLean L. Relationship between interrectus distance and symptom severity in women with diastasis recti in the early post partum period [J]. Phys Ther, 2018, 98(3): 182-190.

10
王影, 张洁, 冯艳霞, 等. 电刺激治疗产后腹直肌分离的效果观察 [J/CD]. 中华妇幼临床医学杂志(电子版), 2017, 13 (2): 218-221.

11
张荣, 卢洁, 林萍. 电刺激联合核心肌群训练治疗产后腹直肌分离的效果观察 [J]. 临床合理用药, 2018, 12(34): 157-158.

12
Mota P, Pascoal AG, Sancho F, et al. Testeretest and intrarater reliability of 2-dimensional ultrasound measurements of distance between rectus abdominis in women [J]. J Orthop Sports Phys Ther, 2012, 42(11): 940-946.

13
Taljanovic MS, Gimber LH, Becker GW, et al. Shear-wave elastography: basic physics and musculoskeletal applications [J]. Radiographics, 2017, 37(3): 855-870.

14
Barr RG. Shear wave liver elastography [J]. Abdom Radiol (NY), 2018, 43(4): 800-807.

15
乔晓慧, 邢晋放. 剪切波超声弹性成像的原理及临床应用现状 [J]. 中国介入影像与治疗学, 2015, 12(8): 512-515.

16
吴若愚, 朱新建, 陆彦邑, 等. 基于动态孔径控制的剪切波传播速度检测方法 [J]. 北京生物医学工程, 2016, 35(5): 476-482.

17
Moraes PHM, Sigrist R, Takahashi MS, et al. Ultrasound elastography in the evaluation of thyroid nodules: evolution of a promising diagnostic tool for predicting the risk of malignancy [J]. Radiol Bras, 2019, 52(4): 247-253.

18
李文学, 朱家安. 超声弹性成像在肌肉骨骼中的应用 [J/CD]. 中华医学超声杂志(电子版), 2015, 12(4): 263-265.

文章导航

/


AI


AI小编
你好!我是《中华医学电子期刊资源库》AI小编,有什么可以帮您的吗?