切换至 "中华医学电子期刊资源库"
妇产科超声影像学

胎儿单侧小脑发育不全的产前超声诊断

  • 丁妍 1 ,
  • 文华轩 1 ,
  • 廖伊梅 1 ,
  • 曾晴 1 ,
  • 彭桂艳 1 ,
  • 李胜利 , 1,
展开
  • 1.518028 南方医科大学附属深圳妇幼保健院超声科
通信作者:李胜利,Email:

Copy editor: 安京媛

收稿日期: 2020-04-11

  网络出版日期: 2022-02-23

基金资助

国家自然科学基金(81771598)

国家重点研发计划(2018YFC1002202)

深圳市科技计划项目(JCYJ20170307091013214)

版权

未经授权,不得转载、摘编本刊文章,不得使用本刊的版式设计,除非特别声明,本刊刊出的所有文章不代表中华医学会和本刊编委会的观点。本刊为电子期刊,以网刊形式出版。

Prenatal diagnosis of fetal unilateral cerebellar hypoplasia by ultrasound and review of the literature

  • Yan Ding 1 ,
  • Huaxuan Wen 1 ,
  • Yimei Liao 1 ,
  • Qing Zeng 1 ,
  • Guiyan Peng 1 ,
  • Shengli Li , 1,
Expand
  • 1.Department of Ultrasound, Shenzhen Maternity and Child Healthcare Hospital Affiliated to Nanfang Medical University, Shenzhen 518028, China
Corresponding author: Li Shengli, Email:

Received date: 2020-04-11

  Online published: 2022-02-23

Copyright

Copyright by Chinese Medical Association No content published by the journals of Chinese Medical Association may be reproduced or abridged without authorization. Please do not use or copy the layout and design of the journals without permission. All articles published represent the opinions of the authors, and do not reflect the official policy of the Chinese Medical Association or the Editorial Board, unless this is clearly specified.

摘要

目的

探讨胎儿单侧小脑发育不全(UCH)产前超声声像图特征。

方法

总结2018年1月至2019年12月于南方医科大学附属深圳妇幼保健院,在胎儿系统超声检查中诊断为UCH的6例胎儿的产前超声声像图表现,与MRI、引产后超声及病理解剖结果进行对比,并结合产前诊断该疾病的相关文献对UCH胎儿产前超声诊断特点及临床预后进行分析。

结果

6例UCH胎儿产前超声声像图典型表现:两侧小脑半球不对称和(或)小脑横径减小,伴或不伴蚓部异常,发育不全侧小脑减小,形态失常,其中3例受累侧小脑半球边界不规则,对侧小脑形态及大小均正常。临床预后:6例胎儿中1例活产,随访至1岁,未出现神经症状。结合本研究6例UCH胎儿及文献报道的36例胎儿产前和产后检查结果分析均显示:单纯UCH胎儿、不合并颅内异常的UCH胎儿以及无产前生长受限、早产等不良孕产史的UCH胎儿短期预后均好于合并颅内异常的UCH胎儿。

结论

UCH有特征性产前超声表现,产前超声发现小脑半球不对称,一侧小脑减小、形态失常时可作出诊断,诊断不明确时可结合MRI进行鉴别诊断。

本文引用格式

丁妍 , 文华轩 , 廖伊梅 , 曾晴 , 彭桂艳 , 李胜利 . 胎儿单侧小脑发育不全的产前超声诊断[J]. 中华医学超声杂志(电子版), 2022 , 19(01) : 8 -16 . DOI: 10.3877/cma.j.issn.1672-6448.2022.01.003

Abstract

Objective

To explore the prenatal ultrasound features of fetal unilateral cerebellar hypoplasia.

Methods

The prenatal ultrasonograms of six fetuses at Shenzhen Maternity and Child Healthcare Hospital Affiliated to Nanfang Medical University, who were diagnosed as having unilateral cerebellar hypoplasia were retrospectively reviewed. The prenatal ultrasound characteristics were summarized, and compared with the features of magnetic resonance imaging (MRI), postnatal ultrasound, and autopsy examinations. A literature review of prenatal diagnosis of such abnormality was performed.

Results

The prenatal ultrasonograms of the six cases of unilateral cerebellar hypoplasia were characterized as asymmetry of the cerebellar hemispheres and/or a decrease in the transverse cerebellar diameter, with or without deformity of the cerebellar vermis. The cerebellum volume of the affected side decreased, along with an abnormal morphology, while the contralateral side was normal. Three cases had irregular borders in the affected side. After birth, one of the six fetuses was followed to one year old without neurological symptoms. Based on the prenatal and postnatal examination results of the six cases in the present study and those of 36 cases reported in the literature, it was found that cases with isolated unilateral cerebellar hypoplasia and those without intracranial abnormalities or other adverse pregnancy history like prenatal growth restriction or premature birth had better short-term prognosis than unilateral cerebellar hypoplasia fetuses with intracranial abnormalities.

Conclusion

Unilateral cerebellar hypoplasia can be prenatally diagnosed based on the characteristic ultrasonic features and MRI can be used for differential diagnosis.

单侧小脑发育不全(unilateral cerebellar hypoplasia,UCH)是一类较罕见的后颅窝疾病,目前发病机制尚不明确,但多数研究表明,UCH是一种来源于血管的损伤性病变,可能继发于出血和(或)缺血,而非真正的畸形1, 2, 3。目前国内尚无UCH的病例报道,国外也仅有少数病例报道,尚无大规模临床研究性报道,发病率不详。UCH首先通过儿童尸检案例而被认识,近年随着超声和磁共振成像(magnetic resonance imaging,MRI)等影像技术的不断发展,UCH可在产前得到诊断。本研究对南方医科大学第一临床医学院深圳市妇幼保健院产前诊断UCH的6例胎儿的临床表现、疾病发生发展、合并畸形及预后结果进行回顾性分析,并结合近20年来UCH胎儿的相关文献报道进行系统总结分析。

资料与方法

一、对象

选择2018年1月至2019年12月在南方医科大学附属深圳妇幼保健院行中孕期产前超声系统检查期间考虑胎儿UCH的孕妇6例,年龄为(28.3±3.3)岁(范围23~33岁),胎儿孕周为(24.3±1.6)周(范围22~26周)。6例胎儿中1例(例1)超声测值小于临床孕周,其余5例超声测值均与临床孕周相当,临床孕周均由本次妊娠末次月经确定。6例孕妇产前均无特殊病史,无发热及服药史,无放射性物质接触史,无家族遗传病史,实验室检查无明显特殊,产前超声检查前孕妇均知情同意。

二、仪器与方法

1.仪器:产前超声检查使用开立S60及三星WS80A型彩色多普勒超声仪,探头频率分别为1~9 MHz及1~8 MHz。微血流显像检查使用开立S60 Micro F微血流显像模式。
2.产前检查方法:应用产科超声检查程序4对胎儿进行系统超声检查。颅脑超声检查时观察胎儿小脑形态、大小、左右是否对称,蚓部有无异常等,发现胎儿小脑半球不对称,考虑UCH即行微血流显像、MRI或基因检测。微血流显像检查时在小脑横切面侧动探头,使用开立S60 Micro F微血流显像模式,调整取样框大小至能包含全部后颅窝结构,可显示出平行走行的大脑后动脉与小脑上动脉;检查时采集的超声图像、辅助检查的磁共振影像图均存储至超声工作站或磁盘备后期分析研究;产前检查发现小脑形态异常的胎儿均追踪围产期结局和预后随访结果。
3.图像分析:对产前超声检查发现异常孕妇选择终止妊娠,引产胎儿的标本行超声复检和病理解剖检查,结合胎儿产前颅脑声像图表现及产后复检结果,对UCH胎儿的超声影像特征进行综合分析。

结果

一、6例胎儿产前检查结果

1. 产前超声检查:与正常胎儿小脑图像比较(图1),6例胎儿小脑横切面声像图示小脑形态均失常,左右不对称,一侧小脑减小,形态失常,伴或不伴蚓部异常,对侧小脑半球大小、形态正常(图23);其中4例小脑蚓部发育不全或发育不良,1例合并蛛网膜囊肿,1例合并神经元移行障碍和胼胝体发育不全。产前超声诊断:左侧小脑发育不全4例,右侧小脑发育不全2例。
图1 中孕期正常胎儿小脑超声表现:左右小脑半球对称,边界规则
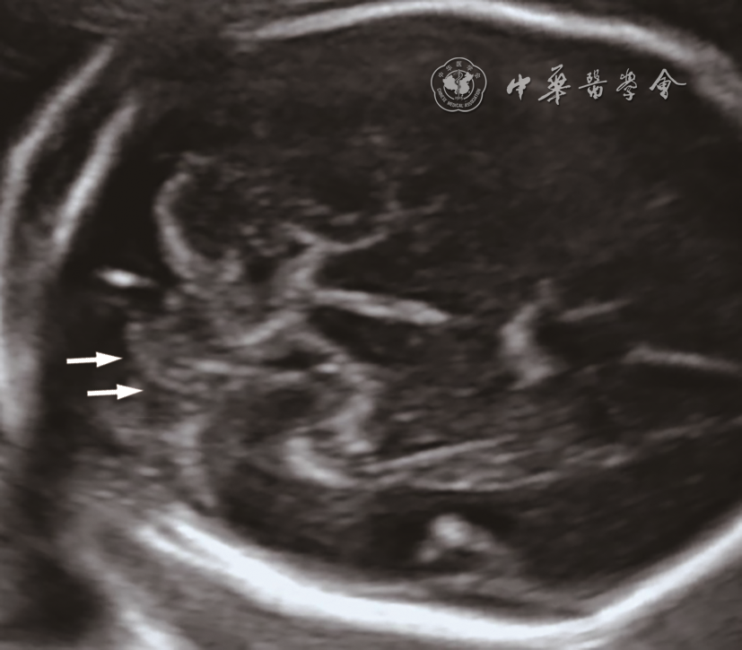
图2 孕22周胎儿(例6)产前颅脑二维超声声像图。小脑横切面声像图示小脑形态失常,右侧小脑半球明显变小;小脑蚓部正常
图3 孕25周胎儿(例5)产前小脑二维超声声像图及产后脑部解剖图。图a小脑横切面声像图示左侧小脑半球明显变小,蚓部显示不清;图b能量多普勒显示左侧小脑半球小而血供较差(箭头所示);图c产后超声声像图示残存的左侧小脑半球实质(箭头所示);图d产后解剖图(颅底观)示左侧小脑下部几乎缺如
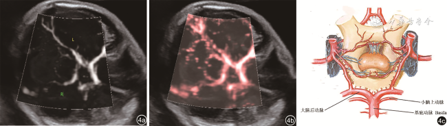
2. 微血流显像检查2例,发育不全侧小脑上动脉均不显示,对侧小脑上动脉可显示(图45)。
图4 正常胎儿小脑上动脉血供超声声像图(图a、b)及小脑上动脉走行模式图(图c),显示小脑上动脉起自基底动脉并与大脑后动脉伴行(图片引自《奈特人体解剖学彩色图谱第6版》)
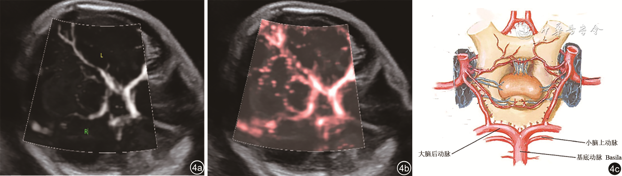
图5 孕25周胎儿(例5)产前小脑横切面Micro F显微血流技术图,显示右侧大脑后动脉(蓝箭头所示)及右侧小脑上动脉(黄箭头所示)走行,但左侧仅显示左侧大脑后动脉(红箭头所示),左侧小脑上动脉血流不显示
3. 磁共振辅助诊断4例,其中3例胎儿左侧小脑发育不全(图67),1例右侧小脑发育不全。
图6 孕25周胎儿(例5)产前颅脑轴位MRI T2WI 显示左侧小脑半球明显变小
图7 孕23周胎儿(例4)产前颅脑轴位MRI T2WI图像(图a);孕22周胎儿(例6)产前颅脑冠状位MRI T2WI图像(图b)均显示一侧小脑半球明显变小
4. 基因检测4例,1例合并神经元移行障碍,基因检测结果为TUBA1A基因杂合突变引发的疾病,为常染色体显性无脑回畸形3型;3例基因检测无异常。

二、胎儿围产期结局及产后诊断结果

6例胎儿产前超声均考虑UCH,其中1例(例1)围产期结局不详;4例(例2~5)于超声检查后引产(例5产后超声复检及病理解剖检查);1例(例6)活产,出生后随访至1岁,小儿生长发育及各项指标正常。
6例胎儿产前及产后超声复检最终诊断:(1)左侧小脑发育不全4例,右侧小脑发育不全2例。(2)小脑蚓部发育正常2例,小脑蚓部发育异常4例。6例UCH胎儿均无并发颅外异常及相关综合征。6例UCH胎儿产前检查结果及围产期结局见表1
表1 6例UCH胎儿产前影像检查结果及围产期结局
检查年份 检出异常(胎儿/孕周) 胎儿颅内表现a 可能的病因 围产期结局与预后
产前超声表现 产前MRI检查(4例) 小脑蚓部情况
2018 例1/26 小脑半球形态失常,左右不对称,右侧小脑半球形态不规则,边界尚规则,小脑半球间可见一囊肿与第四脑室及后颅窝池相通 未检查 蚓部发育不全 不详 不详
2018 例2/24 左侧小脑体积减小,边界尚规则,后颅窝池扩大,与第四脑室相通;神经元移行障碍、胼胝体发育不良,超声提示:LCH 未检查 蚓部发育不良 不详 引产
2019 例3/26 左侧小脑体积减小,边界不规则,蛛网膜囊肿;彩色多普勒:左侧小脑上动脉未显示;超声提示:LCH 后颅窝池囊肿;诊断 LCH 蚓部发育不良 小脑供血动脉异常 引产
2019 例4/23 左侧小脑体积减小,边界尚规则;超声提示:LCH 诊断:LCH 蚓部正常 不详 引产
2019 例5/25 左侧小脑体积减小,边界不规则,左侧小脑半球囊性无回声区,后颅窝池与第四脑室相通;彩色多普勒:左侧小脑上动脉未显示;超声提示:LCH 左侧小脑半球片状异常信号,考虑液化囊变;诊断:LCH 蚓部显示不清 小脑供血动脉异常 引产后尸检
2019 例6/22 右侧小脑体积减小,边界不规则;超声提示:RCH 诊断:RCH 蚓部正常 不详 活产,随访至1岁,生长发育正常,未出现神经症状

注:a6例均未合并颅外异常和相关综合征;UCH为单侧小脑发育不全;LCH为左侧小脑发育不全;RCH为右侧小脑发育不全

讨论

UCH是指一侧小脑半球体积减小或缺失的局灶性病变5,病变范围可从一侧小脑半球完全缺失到部分缺失,或仅表现为两侧小脑半球的轻微不对称2, 3。UCH这一命名只是一种描述性术语,缺乏病因解释,发病机制尚不明确2;但多数研究表明,UCH是一种产前获得性病变,且为一种来源于血管的损伤性病变,可能继发于出血或缺血,而并非真正的畸形1, 2, 36

一、小脑的胚胎发育特点

人类小脑的发育时间很长,约在胚胎发育第4周时原始脑泡形成,第5周原始脑泡再发育为5个二级脑泡,分别为端脑、间脑、中脑、后脑和末脑,小脑则起源于后脑翼板背侧部的菱唇,发育一直持续至出生后的第20个月3。神经系统血管随着神经系统的发育而发育,在胚胎原始心血管系统中,背主动脉、节间动脉和弓动脉与脑血管的发生有关。在原始脑泡形成时,颈动脉系统随之快速发育与分化,而此时并没有成型的椎基底动脉形成,在颈动脉背侧,仅有两条纵长神经动脉雏形存在,并不能满足后脑脑泡发育的需要。因此在此阶段出现了联系颈-椎基底动脉的三大原始血管,分别为原始三叉动脉、原始耳听动脉和原始舌下动脉。此时,后循环的供血完全依靠颈动脉系统经这些原始血管向后供血。1周后,这些原始血管纷纷退化萎缩。随着原始纵长神经逐渐发育成熟,胚胎第29~33天时,一对原始纵长神经动脉融合形成基底动脉,同时,前6条颈节间动脉间的初期吻合联系逐渐形成椎动脉。胚胎第52天基底动脉发育接近完成,胚胎约第54天椎动脉才成为后脑血供的主要来源。
小脑的血供主要来源于小脑下后动脉、小脑下前动脉及小脑上动脉,小脑下后动脉是椎动脉颅内段的最大分支,小脑下前动脉及小脑上动脉是基底动脉的分支。小脑上动脉约在胚胎第33天起源于基底动脉头端,最初只供应小脑蚓部及顶盖的尾端,后期逐渐出现小脑半球的分支,而小脑下后动脉的发育要更晚些。妊娠第9个月,椎动脉入颅时的典型虹吸弯曲已形成,小脑动脉基本接近成人型7, 8

二、UCH病因

原始颈内动脉对脑及周围结构的发育至关重要,在椎基底动脉系统发育成熟前,小脑的血供尤其依赖于原始颈内动脉,在此阶段,原始颈内动脉受损伤可能会影响后颅窝血供而引起小脑发育不全。此外,在一对原始纵长神经动脉融合形成基底动脉时血管受损伤可能会影响小脑半球的形成8, 9。椎动脉或基底动脉形态结构改变及血流动力学变化会直接影响小脑三支血管的血液供应范围,血管发育不全或某些动脉血管发育不全引起的血管改变会导致相应受累区域的小脑组织发育不全,从而导致小脑半球发育不全。而血管受损通常是创伤、感染、凝血障碍、药物等外来因素造成的10。此外,在妊娠24~32周时,由于成神经母细胞的高度增殖及小脑皮质层的分化,发育中的小脑对血管损伤及各种异常的反应性增强,不利因素可直接对小脑半球造成损伤进而引起小脑发育不全13

三、UCH临床表现

UCH的临床表现不一,Granados-Alzamora等6认为,UCH临床表现可能与胚胎发育过程中受损小脑皮质层区域及受影响的时间有关。从较早的文献来看,UCH是一个偶然的发现,部分被观察者可以完全无症状11或仅表现为非特异性神经系统症状如反复轻微的头痛312。无症状者是否存在某种代偿机制尚不清楚,然而多数存在轻重不一的症状和体征,最常见的表现有不同程度的发育迟缓、共济失调、肌张力减退、癫痫发作等;此外还有语言障碍、构音障碍、动眼障碍等;也常发生多动症、自闭症、抑郁情绪、焦虑、紧张症和强迫症等行为障碍313, 14, 15。有学者认为UCH的临床表现与小脑半球缺损程度的相关性较差,而与大脑的病变相关,而关于蚓部缺失与否对临床症状的影响目前仍存在争论13。Massoud等1认为引起严重临床表现的UCH患者往往伴随着小脑蚓部的缺失,小脑蚓部异常是认知功能低下的先兆,而Benbir等3却认为小脑蚓部的完整性似乎对预后并无太大影响。

四、产前诊断

UCH的诊断主要依靠影像学检查,儿童及成人检查主要有MRI、CT、血管造影等方法,部分患者经MRI、血管造影等发现存在颈动脉、椎动脉缺如或发育不全,持续性三叉动脉等脑血管异常616。持续性三叉动脉又称原始三叉动脉或永存三叉动脉,是一种原始颈内动脉和基底动脉异常吻合血管。
UCH的产前诊断主要依靠超声及MRI,产前超声诊断UCH的基础是小脑半球的不对称性和(或)小脑横径的减小1,发育不全侧小脑减小,形态失常,伴或不伴蚓部异常,但对侧小脑形态大小正常。后颅窝池可扩大、正常或缩小,还可与第四脑室相通17。继发于单侧小脑出血的UCH胎儿,经动态观察,在超声图像上往往经历由最初出血侧的高回声向低回声再向囊性结构的转变,最后出现出血侧小脑半球体积减小,考虑是局部急性出血破坏了正常形成的结构18
此外,超声还可在一定程度上观察到小脑半球的血供情况。Leibovitz等16通过后颅窝高分辨率多普勒超声观察了7例UCH胎儿,显示部分胎儿存在小脑供血动脉异常如小脑下后动脉缺失等。本院产前诊断的6例UCH胎儿中2例亦通过产前超声Micro F显微血流技术显示出双侧小脑半球血流不对称,一侧大脑后动脉及小脑上动脉走行可清晰显示,而发育不全侧仅显示大脑后动脉,小脑上动脉血流不显示。
微血流显像是一种新的超声血管成像技术,具有高灵敏度、高分辨率检测低速血流的特点,相较于彩色多普勒,微血流显像更易检出血流速度较低的微血管19,既往多运用于甲状腺、乳腺、肝等肿瘤疾病的诊断。现首次将微血流显像技术用于观察胎儿小脑的血管,从解剖角度看,小脑上动脉起自基底动脉,沿着小脑与脑干之间由后外向内前行的过程中逐渐发出小脑支和脑干支并布于小脑上面和中脑、脑桥背面20,而大脑后动脉与小脑上动脉伴行且呈平行走向,绕大脑脚向后走行。在小脑横切面微血流显像中,大脑后动脉和小脑上动脉显示呈平行走向的关系,因此,通过大脑后动脉可以判断小脑上动脉的位置及缺失与否,起到一定的辅助诊断作用。但此方法的不足在于目前仅通过小脑横切面对小脑幕面的小脑上动脉显示,其余小脑动脉的显示情况有待进一步研究。
部分UCH胎儿可合并小脑脚的异常。对侧脑干常受累,表现为脑桥、中脑不对称,但也可正常13。然而产前超声对小脑脚、脑干情况的评估有限,MRI可以弥补超声这方面的不足,且可显示发育不全侧小脑小叶和叶裂的情况,MRI提示部分胎儿伴小脑小叶和叶裂的异常115,可能是由血管的损伤导致浦肯耶细胞迁移异常所致。此外,MRI对判断发育不全侧小脑是否存在既往出血、缺血要优于超声,磁共振的弥散加权成像模式可以证实胎儿发育不全侧小脑是否存在陈旧性出血,通常表现为病灶处显示有含铁血黄素沉积,部分在T2WI上显示病变侧小脑半球有局灶性低信号,提示一种缺血后病变。因此当产前超声不能明确诊断时,应行MRI检查辅助诊断。

五、UCH的相关综合征

UCH可单独存在亦可合并裂脑畸形、胼胝体发育不全、脑实质异常等其他畸形13。有学者认为伴发其他神经系统畸形胎儿单侧小脑组织缺失的风险似乎会增加,但这两者之间的关系尚不明确21,或为某种综合征922,尤其是神经皮肤疾病综合征81623的一种神经系统表现。
神经皮肤疾病综合征是指面部节段性婴幼儿血管瘤相关的多器官多系统异常的神经皮肤综合征,表现为后颅窝发育异常(posterior fossa malformations)、婴幼儿面部血管瘤(hemangiomas)、大动脉异常(arterial anomalies)、主动脉缩窄和心脏缺陷(cardiac anomalies/aortic coarctation)、眼部异常(eye abnormalities)等多发异常,因此称为PHACE综合征。PHACE综合征患者如果存在中枢神经系统病变或脑血管异常,其神经系统症状的发生率为50%~90%16
大的节段性面部血管瘤是PHACE综合征的标志,中枢神经系统结构畸形和脑血管异常是最常见的皮肤外表现,其中脑结构畸形中后颅窝畸形最常见,而后颅窝畸形中又以UCH最常见,约20%的患者存在后颅窝畸形24。与PHACE综合征相关的UCH胎儿常伴有病变同侧颈内动脉异常或持续的胚胎颈-基底动脉连接如持续性三叉动脉等,更表明UCH与脑血管异常相关。因此,UCH可能是PHACE综合征产前诊断的线索。

六、鉴别诊断

UCH主要与小脑发育不良相鉴别。小脑发育不良是小脑体积整体减少,未能填充正常形态的后颅窝池,超声在小脑水平横切面上测量的小脑横径要小于实际孕周,但小脑整体形态接近正常2。需重点鉴别的一种特殊情况为小脑不对称性发育不良,此时两侧小脑半球均减小,但以一侧较明显。因此,在诊断UCH时需仔细分析对侧小脑半球形态、大小等是否正常。此外,当产前超声考虑一侧小脑半球出血时,应密切随访,动态观察,警惕单侧小脑出血可能转变为UCH。

七、相关文献分析

本研究团队通过PubMed系统检索1998—2019年产前诊断UCH的文献共17篇(共59例胎儿),排除资料不明确后对其中14篇文献110131822, 2325, 26, 27, 28, 29, 30, 31, 32中的36例胎儿资料进行分析(表2),包括单纯UCH 12例,合并异常UCH 24例(合并颅内异常UCH 20例,不合并颅内异常4例)。
表2 36例单侧小脑发育不全胎儿的相关文献报道
文献 分类(例数) 产前颅内主要影像学表现及诊断 妊娠结局及产后随访检查情况
1 单纯UCH(8例) 小脑半球不对称7例(此处出现高回声3例;T2WI病灶呈低信号2例);合并蚓部原裂未显示1例;孕21~35周诊断LCH 4例,RCH 4例 活产8例。出生后2周~7个月MRI均证实为单纯UCH;可能继发于小脑出血2例,病因不明6例;随访14个月~9年患儿发育正常7例,出现异常1例
合并异常UCH(15例) 小脑半球不对称,出现边界不规则及小脑叶裂异常等改变(小脑半球处出现高回声2例,MRI信号改变5例);合并蚓部异常4例,脑干不对称1例,严重脑室扩张1例,后颅窝囊性变4例;合并FGR 1例,心脏畸形1例,肠道回声增强1例;孕25~33周诊断LCH 11例,RCH 4例 活产13例(早产低体重儿1例),引产或胎死宫内2例;产后病理及45 d~5个月MRI均证实为UCH,此外蚓部异常4例,脑干异常4例,椎动脉发育不良1例,幕上多发异常1例;胎盘病理示胎儿血栓性血管病变2例;可能与小脑出血或缺血性损害相关7例,CMV感染1例,病因不明7例;产后诊断PHACE综合征 4例;随访2个月~4年患儿发育正常8例,随访5个月~5年出现异常7例
10 合并异常UCH(1例) 孕31周MRI示左侧脑干发育不全,诊断:LCH 活产。MRI及MRA诊断:LCH、一侧脑干发育不全、左侧PICA发育不良、基底动脉瘤;可能与小脑缺血性损害相关。出生后3个月出现右臂轻微无力,17个月时出现急性可逆性凝视异常,右侧偏瘫,肌张力增加
13 合并异常UCH(1例) 孕21周超声诊断:LCH 活产。产后MRI诊断:LCH,左侧后颅窝池小,一侧脑桥发育不良;病因不明;出生几天后患儿肌张力减退,2岁3个月有智力偏低、肌张力减退、左侧肢体轻度共济失调
18 单纯UCH(1例) 孕24周声像图示右侧小脑半球处显示2 cm高回声肿块,孕29周同部位显示5 mm囊性肿块,孕33周诊断:RCH 活产。产后超声证实为RCH;可能继发于小脑出血;随访18个月患儿生长发育正常
22 合并异常UCH(1例) 孕24周超声诊断:RCH,合并眼-耳-椎骨发育不良、FGR 引产。尸检证实为RCH并诊断为Goldenhar综合征,病因不明
23 合并异常UCH(1例) 孕24周超声诊断:RCH,合并蚓部发育不全 活产。产后MRI诊断:RCH,蚓部发育不全;诊断为PHACE综合征;病因不明;随访5个月发育正常
25 单纯UCH(1例) 孕21周声像图示左侧小脑半球高回声区,孕23周同部位低回声伴边缘不规则高回声区,孕25周超声显示两侧小脑半球轻微不对称;MRI T2WI示左侧小脑半球低信号肿块,孕31周诊断:LCH 孕33周时胎死宫内。尸检证实为LCH,胎盘病理示胎儿血栓性血管病变;可能继发于小脑出血
26 单纯UCH(1例) 孕21周声像图示右侧小脑半球处显示高回声肿块,孕23周肿块直径缩小,孕24周诊断:RCH 引产。尸检证实RCH合并小脑海绵状血管瘤致出血性脑梗死
27 单纯UCH(1例) 孕17周超声诊断:RCH 引产。尸检证实为RCH;可能因药物引产失败导致小脑血管破裂
28 合并异常UCH(1例) 孕17 周声像图示后颅窝高回声肿块,孕19周同部位混合回声肿块,孕27周肿块消失,诊断:LCH 活产。产后3个月声像图示左侧小脑囊性结构,产后28个月MRI诊断:LCH,脑干、一侧小脑脚发育不全;可能与小脑出血或缺血性损害相关;3岁时患儿出现轻微震颤,智力和语言发育正常
29 合并异常UCH(1例) 孕22周声像图示左侧小脑半球高回声,4 d后高回声体积缩小,第四脑室增大,孕30周诊断 LCH合并蚓部完全缺失,轻度肠扩张、FGR 引产。尸检证实为LCH,蚓部完全缺失;可能继发于小脑出血
30 合并异常UCH(1例) 孕18周超声怀疑Dandy-Walker畸形、轻度脑积水,孕21周MRI诊断为LCH,孕22周怀疑Dandy-Walker变异;合并蚓部发育不全 引产。尸检证实为LCH,蚓部发育不全,并考虑神经元移行障碍;病因不明
31 合并异常UCH(1例) 孕31周声像图示左侧侧脑室增宽,孕32周双侧侧脑室不对称增宽,孕34周MRI诊断:RCH,脑室内出血;合并蚓部发育不全 活产。产后超声及MRI诊断:RCH,脑干、蚓部发育不全,左侧脑白质轻度萎缩伴囊肿,出血性脑室不对称扩大。可能与脑室出血引起小脑传入神经通路中断相关;出生后异常局促运动和抖动,出生后6~9个月患儿时出现偏瘫,15个月时右侧轻微偏瘫,右侧注意力减少,斜视、右眼视野缩小
32 合并异常UCH(1例) 孕29周声像图示后颅窝囊性病变向右侧小脑延伸,MRI诊断RCH且右侧小脑半球处囊性病变;合并蚓部发育不全 引产。尸检证实为RCH,蚓部发育不全,病理检查示囊性病变为小脑实质坏死后液化;可能与缺血性脑出血相关

注:UCH为单侧小脑发育不全;RCH为右侧小脑发育不全;LCH为左侧小脑发育不全;MRI为磁共振成像;MRA为磁共振血管成像;PICA为小脑下后动脉;CMV为巨细胞病毒;FGR为宫内发育迟缓

1.诊断孕周:36例中产前最早诊断的孕周为17周,最晚诊断的孕周为35周。
2.可能的病因:考虑与小脑供血血管因素相关,包括出血和(或)缺血性病变17例(47.2%,17/36),合并PHACE综合征5例(13.9%,5/36),合并巨细胞病毒感染1例(2.8%,1/36)。
3.妊娠结局:12例单纯UCH胎儿中活产9例,无神经症状8例(88.9%,8/9),随访时间14个月~9年,中位随访时间21个月;出现神经症状1例(11.1%,1/9),表现为运动障碍。24例合并异常UCH胎儿中颅内异常20例,活产15例,无神经症状7例(46.7%,7/15,后颅窝囊性病变5例,小脑蚓部异常3例,脑干异常2例),随访时间2个月~4年,中位随访时间8 个月;出现神经症状8例(53.3%,8/15),包括发育迟缓、智力低下、语言功能障碍、肌张力减退、共济失调等,其中小脑蚓部发育不全1例,后颅窝囊肿引起小脑幕上抬1例,脑干异常6例,幕上异常2例。4例不合并颅内异常UCH胎儿中,活产3例,无神经症状2例(66.7%,2/3),随访时间分别为18、24个月;出现神经症状1例(33.3%,1/3),表现为发育迟缓、语言功能障碍和自闭症,该例存在宫内发育迟缓、早产。
4.预后:文献报道的36例UCH胎儿产前和产后检查结果分析显示:单纯UCH胎儿、不合并颅内异常的UCH胎儿及无产前生长受限、早产等不良孕产史的UCH胎儿短期预后均好于合并颅内异常的UCH胎儿。

八、研究结果分析

本研究6例UCH胎儿例数较少,与文献报道的数据相比预后可能会存在偏差,尚需积累更多病例进一步分析研究。而在合并颅内异常的UCH胎儿中,虽有7例在随访期间内未出现神经症状,但随访时间普遍较短,中位随访时间为8个月,仅1例随访时间为4年。此外,在单纯UCH胎儿中,1例产前小脑蚓部原裂未显示、小脑中脚小,但出生后MRI未发现异常。而在合并异常UCH胎儿中,6例经产后MRI发现脑干或小脑脚异常,1例经产后MRI发现蚓部局灶性发育不全,1例产前蚓部原裂未显示而产后MRI提示小脑蚓部正常。这表明产前MRI在胎儿脑干、小脑脚、小脑蚓部的评估上可能存在漏诊和(或)误诊。
总之,胎儿UCH有典型的超声声像表现,依照其声像图特点可在产前作出提示性诊断,微血流显像可辅助诊断UCH。由于UCH胎儿预后主要受合并异常严重程度的影响,初步估计:单纯或不合并颅内异常,且无产前生长受限及早产等不良孕产史的UCH胎儿短期预后尚好;而合并颅内异常时取决于异常发生的部位及严重程度,脑干、幕上异常者出现神经症状的可能性大,其长期预后也有待进一步追踪随访。因此,产前超声怀疑胎儿UCH,需注意观察对侧小脑半球是否正常,重点关注脑干与小脑蚓部的情况,筛查合并畸形,或进一步行MRI检查,这可为进一步产前咨询提供重要依据。
1
Massoud M, Cagneaux M, Garel C, et al. Prenatal unilateral cerebellar hypoplasia in a series of 26 cases: significance and implications for prenatal diagnosis [J]. Ultrasound Obstet Gynecol, 2014, 44(4): 447-454.

2
Boltshauser E. Cerebellum-small brain but large confusion: a review of selected cerebellar malformations and disruptions [J]. Am J Med Genet A, 2004, 126A(4): 376-385.

3
Benbir G, Kara S, Yalcinkaya BC, et al. Unilateral cerebellar hypoplasia with different clinical features [J]. Cerebellum, 2011, 10(1): 49-60.

4
李胜利, 罗国阳. 胎儿畸形产前超声诊断学 [M]. 2版. 北京: 科学出版社, 2017: 11-23.

5
Boltshauser E, Steinlin M, Martin E, et al. Unilateral cerebellar aplasia [J]. Neuropediatrics, 1996, 27(1): 50-53.

6
Granados-Alzamora V, Pascual-Pascual SI, Pascual-Castroviejo I. Unilateral cerebellar hypoplasia: an alteration of vascular origin? [J]. Rev Neurol, 2003, 36(9): 841-845.

7
赵继宗. 血管神经外科学 [M]. 北京: 人民卫生出版社, 2013: 97-98; 102-105.

8
Hess CP, Fullerton HJ, Metry DW, et al. Cervical and intracranial arterial anomalies in 70 patients with PHACE syndrome [J]. AJNR Am J Neuroradiol, 2010, 31(10): 1980-1986.

9
Harbord MG, Finn JP, Hall-Craggs MA, et al. Moebius' syndrome with unilateral cerebellar hypoplasia [J]. J Med Genet, 1989, 26(9): 579-582.

10
Akkas-Yazici S, Benbir G, Kocer N, et al. Unilateral cerebellar and brain stem hypoplasia in a child with a postnatal diagnosis of dissecting aneurysm in basilar artery [J]. Neuropediatrics, 2014, 45(6): 392-395.

11
Mendelsohn DB, Hertzanu Y, Glass RB, et al. Unilateral cerebellar hypoplasia [J]. J Comput Assist Tomogr, 1983, 7(6): 1077-1078.

12
Gupta P, Hedgire S, Kalyanpur T, et al. Isolated unilateral cerebellar hypoplasia. A case report [J]. Neuroradiol J, 2006, 19(5): 606-608.

13
Poretti A, Limperopoulos C, Roulet-Perez E, et al. Outcome of severe unilateral cerebellar hypoplasia [J]. Dev Med Child Neurol, 2010, 52(8): 718-724.

14
Poretti A, Boltshauser E, Huisman M, et al. Prenatal cerebellar disruptions: neuroimaging spectrum of findings in correlation with likely mechanisms and etiologies of injury [J]. Neuroimaging Clin N Am, 2016, 26(3): 359-372.

15
Poretti A, Leventer RJ, Cowan FM, et al. Cerebellar cleft: a form of prenatal cerebellar disruption [J]. Neuropediatrics, 2008, 39(2): 106-112.

16
Leibovitz Z, Guibaud L, Garel C, et al. The cerebellar "tilted telephone receiver sign" enables prenatal diagnosis of PHACES syndrome [J]. Eur J Paediatr Neurol, 2018, 22(6): 900-909.

17
Malinger G, Lev D, Lerman-Sagie T. The fetal cerebellum. Pitfalls in diagnosis and management [J]. Prenat Diagn, 2009, 29(4): 372-380.

18
Robins JB, Mason GC, Watters J, et al. Case report: cerebellar hemi-hypoplasia [J]. Prenat Diagn, 1998, 18(2): 173-177.

19
韩红, 丁红, 季正标, 等. 微血流成像技术在肝肿瘤血流检测中的应用价值及与彩超的比较研究 [J]. 中国超声医学杂志, 2019,35(4): 331-334.

20
吕伯实, 夏晖, 孙丰刚, 等. 人小脑上动脉的应用解剖学研究 [J]. 解剖科学进展, 2007, 13(4): 303-305.

21
Boltshauser E. Cerebellar imaging--an important signpost in paediatric neurology [J]. Childs Nerv Syst, 2001, 17(4-5): 211-216.

22
Martinelli P, Maruotti GM, Agangi A, et al. Prenatal diagnosis of hemifacial microsomia and ipsilateral cerebellar hypoplasia in a fetus with oculoauriculovertebral spectrum [J]. Ultrasound Obstet Gynecol, 2004, 24(2): 199-201.

23
Erturk O, Uygunoglu U, Celkan T, et al. Prenatal unilateral cerebellar hypoplasia diagnosed as PHACE syndrome [J]. Childs Nerv Syst, 2016, 32(4): 587-588.

24
Steiner JE, McCoy GN, Hess CP, et al. Structural malformations of the brain, eye, and pituitary gland in PHACE syndrome [J]. Am J Med Genet A, 2018, 176(1): 48-55.

25
Malinger G, Zahalka N, Kidron D, et al. Fatal outcome following foetal cerebellar haemorrhage associated with placental thrombosis [J]. Eur J Paediatr Neurol, 2006, 10(2): 93-96.

26
Lerner A, Gilboa Y, Gerad L, et al. Sonographic detection of fetal cerebellar cavernous hemangioma with in-utero hemorrhage leading to cerebellar hemihypoplasia [J]. Ultrasound Obstet Gynecol, 2006, 28(7): 968-971.

27
Afadapa FK, Elsapagh K. Isolated one-sided cerebellar agenesis following an attempted medical termination of pregnancy [J]. J Obstet Gynaecol, 2006, 26(6): 581-582.

28
Mancini J, Lethel V, Hugonenq C, et al. Brain injuries in early foetal life: consequences for brain development [J]. Dev Med Child Neurol, 2001, 43(1): 52-55.

29
Yüksel A, Batukan C. Fetal cerebellar hemorrhage in a severely growth-restricted fetus: natural history and differential diagnosis from Dandy-Walker malformation [J]. Ultrasound Obstet Gynecol, 2003, 22(2): 178-181.

30
Sharma G, Heier L, Kalish RB, et al. Use of fetal magnetic resonance imaging in patients electing termination of pregnancy by dilation and evacuation [J]. Am J Obstet Gynecol, 2003, 189(4): 990-993.

31
Gallini F, Luciano R, Pane M, et al. Crossed cerebellar atrophy of prenatal onset [J]. Childs Nerv Syst, 2006, 22(7): 734-736.

32
Abergel A, Lacalm A, Massoud M, et al. Expanding Porencephalic Cysts: Prenatal Imaging and Differential Diagnosis [J]. Fetal Diagn Ther, 2017, 41(3): 226-233.

文章导航

/


AI


AI小编
你好!我是《中华医学电子期刊资源库》AI小编,有什么可以帮您的吗?