切换至 "中华医学电子期刊资源库"
浅表器官超声影像学

超声联合临床特征的列线图模型预测甲状腺乳头状癌淋巴结转移的价值

  • 孙帼 ,
  • 谢迎东 ,
  • 徐超丽 , ,
  • 杨斌
展开
  • 210002 南京,南京大学附属金陵医院(东部战区总医院)超声诊断科
  • 210000 南京,南京大学第一附属医院超声诊断科

通信作者:

徐超丽,Email:

Copy editor: 吴春凤

收稿日期: 2022-03-01

  网络出版日期: 2023-07-05

版权

未经授权,不得转载、摘编本刊文章,不得使用本刊的版式设计,除非特别声明,本刊刊出的所有文章不代表中华医学会和本刊编委会的观点。本刊为电子期刊,以网刊形式出版。

Clinical value of a nomogram based on ultrasonic and clinical features for predicting central and lateral cervical lymph node metastases of thyroid papillary carcinoma

  • Guo Sun ,
  • Yingdong Xie ,
  • Chaoli Xu , ,
  • Bin Yang
Expand
  • Department of Ultrasound Diagnostic, Jinling Hospital, School of Medicine Nanjing University, Nanjing 210002, China
  • Department of Ultrasound Diagnostic, the First Affiliated Hospital of Nanjing Medical University, Nanjing 210000, China

Corresponding author:

Xu Chaoli, Email:

Received date: 2022-03-01

  Online published: 2023-07-05

Copyright

Copyright by Chinese Medical Association No content published by the journals of Chinese Medical Association may be reproduced or abridged without authorization. Please do not use or copy the layout and design of the journals without permission. All articles published represent the opinions of the authors, and do not reflect the official policy of the Chinese Medical Association or the Editorial Board, unless this is clearly specified.

摘要

目的

探讨超声联合临床特征的列线图模型预测甲状腺乳头状癌(PTC)中央区和颈侧区淋巴结转移的临床价值。

方法

回顾性分析1071例于2014年1月至2021年6月在南京大学附属金陵医院(东部战区总医院)经手术病理证实为PTC并行淋巴结清扫的患者,其中未发生淋巴结转移者560例,发生中央区淋巴结转移者415例,发生颈侧区淋巴结转移者96例。采用单因素分析比较3组患者临床及超声影像特征的差异。使用二元多因素Logistic回归分析筛选出淋巴结转移的独立危险因素,并绘制列线图及受试者操作特征(ROC)曲线可视化危险因素对淋巴结转移的预测效能。

结果

单因素分析结果显示,患者年龄、甲状腺超声测量结节横径、纵径、纵横比、边缘、侧方声影、声晕、钙化、彩色多普勒血流成像(CDFI)血流分级以及患者的促甲状腺素水平在无淋巴结转移和中央区及颈侧区淋巴结转移患者之间比较,差异均具有统计学意义(P均<0.05)。通过Logistic回归分析,结果显示患者年龄≤45岁、横径≥20 mm、纵径≥10 mm以及CDFI血流分级为3级是预测中央区淋巴结转移的独立风险因素,而前三者是预测颈侧区淋巴结转移的主要特征。列线图模型的ROC曲线分析显示联合预测中央区淋巴结转移的曲线下面积(AUC)为0.735,敏感度为29.47%,特异度为89.09%;联合预测颈侧区淋巴结转移的AUC为0.866,敏感度为19.96%,特异度为100%。

结论

超声特征(横径≥20 mm、纵径≥10 mm、以及CDFI血流分级为3级)联合临床特征(年龄≤45岁)的列线图模型可作为预测PTC颈部淋巴结转移的一种无创性量化工具,尤其是对预测颈侧区淋巴结转移具有高度特异度,有助于临床医师决策患者是否行预防性淋巴结清扫。

本文引用格式

孙帼 , 谢迎东 , 徐超丽 , 杨斌 . 超声联合临床特征的列线图模型预测甲状腺乳头状癌淋巴结转移的价值[J]. 中华医学超声杂志(电子版), 2023 , 20(07) : 734 -742 . DOI: 10.3877/cma.j.issn.1672-6448.2023.07.012

Abstract

Objective

To explore the clinical value of a nomogram based on preoperative thyroid ultrasonic and clinical characteristics for predicting central and lateral cervical neck lymph node metastases of thyroid papillary carcinoma (PTC).

Methods

A total of 1071 patients, including 560 patients without lymph node metastasis, 415 with central cervical lymph node metastasis, and 96 with lateral cervical lymph node metastasis, who were admitted to Jinling Hospital, School of Medicine Nanjing University (Eastern Theater Command General Hospital) from January 2014 to June 2021 were analyzed retrospectively. All lymph node metastases were pathologically confirmed after surgery. Preoperative clinical and thyroid ultrasonography data were retrospectively analyzed and compared among the three groups using univariate analysis. Binary multivariate logistic regression analysis was performed to identify significant independent risk factors for metastasis. Then, a nomogram was generated for visualizing the risk factors for predicting lymph node metastasis.

Results

Univariate analysis showed that there were statistically significant differences in patient age, transverse diameter, longitudinal diameter, and longitudinal/transverse ratio of nodules measured by thyroid ultrasound, edge, lateral acoustic shadow, acoustic corona, calcification, color Doppler imaging blood grade, and TSH level between patients without and patients with cervical lymph node metastasis (P<0.05 for all). Logistic regression analysis showed that patient age ≤ 45 years, anteroposterior diameter ≥ 20 mm, transverse diameter ≥ 10 mm, and CDFI grade 3 were risk predictors of central cervical lymph node metastasis, and the three former factors were risk predictors of lateral cervical lymph node metastasis. The ROC curve of the nomogram combining the above factors showed relative good prediction performance for central cervical lymph node metastasis with an AUC of 0.735, sensitivity of 29.47%, and specificity of 89.09%, while for lateral cervical lymph node metastasis, the AUC, sensitivity, and specificity were 0.866, 19.96%, and 100%, respectively.

Conclusion

The nomogram based on thyroid ultrasonography (anteroposterior diameter ≥ 20 mm, transverse diameter ≥ 10 mm, and CDFI grade 3) and clinical features (patient age ≤ 45 years) can be applied as a noninvasive quantitative tool to predict cervical lymph node metastasis in PTC patients. Especially, the nomogram exhibits a high diagnostic specificity for lateral cervical lymph node metastasis. The nomogram may facilitate decision-making for prophylactic lymphoid dissection in such patients.

颈部淋巴结转移是甲状腺乳头状癌(thyroid papillary carcinoma,PTC)局部转移最主要及常见的方式,也是决定患者手术方式和预后最重要的独立指标1。文献报道,PTC颈部淋巴结转移率高达46.8%~84.7%2, 3, 4。术前超声是评估颈部淋巴结的有效影像学手段,然而其仅能检测到20%~31%的转移淋巴结,检测的遗漏将会导致远处转移/疾病复发及不良预后5。因此仍需要进一步探索更为有效的PTC淋巴结转移的预测因素,以指导预防性淋巴结清扫的实施和术后的随访监测管理。本研究旨在通过筛选和分析PTC患者的临床和超声特征,构建预测颈部中央区及侧区淋巴结转移的风险预测模型,为患者制定个体化手术方案提供参考。

资料与方法

一、对象

回顾性分析2014年1月至2021年6月南京大学附属金陵医院(东部战区总医院)行甲状腺全切或部分切除术经手术病理证实为原发性PTC并行中央区或颈侧区淋巴结清扫患者的临床和超声影像资料。共纳入1071例患者,所有患者均为单病灶,未发生淋巴结转移者560例,发生淋巴结转移者511例,其中发生中央区转移者415例,发生颈侧区转移者96例。患者年龄为(42.41±11.93)岁(范围为18~77岁)。
纳入标准:(1)经手术病理诊断为PTC并行中央区或颈侧区淋巴结清扫的患者;(2)病理报告记录颈部淋巴结情况,切除颈部淋巴结数>0;(3)所有患者术前1周行血清甲状腺素[三碘甲状腺原氨酸(triiodothyronine,T3)、四碘甲状腺原氨酸(thyroxine,T4)]、游离甲状腺素[游离三碘甲状腺原氨酸(free triiodothyronine,FT3)、游离四碘甲状腺原氨酸(free thyroxine,FT4)]及促甲状腺激素(thyroid-stimulating hormone,TSH)水平检测;(4)术前1个月内行甲状腺及颈部淋巴结超声扫查。排除标准:(1)超声检查前行细针穿刺活检明确诊断;(2)甲状腺二次手术或未行区域性淋巴结切除者;(3)既往存在颈部放射治疗史或其他颌面部肿瘤史的患者;(4)术前无完整超声图像记录者;(5)临床病理信息不完整的患者。本研究经本院伦理委员会批准,且所有患者术前均签署知情同意。

二、仪器与方法

1. 超声检查:采用MyLab90(百胜)、IU22(飞利浦)、Logic9(GE)超声诊断仪,选择甲状腺检查模式,ML6~15线阵探头(探头频率为4~15 MHz)。患者采取仰卧位,充分暴露颈部检查区,选择最清晰切面同时显示完整病灶及周边正常甲状腺组织。先行常规二维超声检查,观察并记录甲状腺的回声及其大小,随后观察并记录结节的大小、形态、回声、血流等特征情况。所有参与超声影像采集的医师均具有5年以上甲状腺超声诊断经验。所有医师均经过严格的训练,按照美国超声医学研究所甲状腺超声实践指南规范中甲状腺的成像参数调整方法和超声扫查程序对图像进行分析处理6,且本研究只纳入通过质量控制检查的数据。
2. 图像分析:根据甲状腺成像-报告和数据系统超声术语规范6,采用盲法评估所有结节的超声影像学特征,包括结节在甲状腺的位置,结节形态(规则、不规则)、边界(清晰、不清晰)、边缘(光整、不光整)、回声(极低回声、低回声、等/高/混合回声)、后方回声衰减(有、无)、侧方声影(有、无)、声晕(有、无)、钙化(无、微钙化、粗大钙化)、彩色多普勒成像(color Doppler flow imaging,CDFI)血流分级(Alder 0~3级)。

三、统计学分析

采用SPSS 22.0统计软件进行统计学分析。年龄、甲状腺大小、肿瘤大小、甲状腺功能等为符合正态分布的计量资料,以
x¯
±s表示,3组不同淋巴结转移情况组间比较采用独立样本方差分析。性别、甲状腺回声、位置等信息为计数资料,采用百分比表示,组间比较采用χ2检验。以单因素分析中差异具有统计学意义的因素为自变量,采用逐步向前多因素Logistic回归分析,筛选出预测淋巴结转移的独立预测因素并建模,回归模型的回归系数通过R软件绘制列线图,直观展示淋巴结转移的风险。利用受试者操作特征(receiver operating characteristic,ROC)曲线下面积(area under the curve,AUC)对模型的预测效能进行评估,采用DeLong检验分析比较AUC的差异性。所有检验结果以P<0.05为差异具有统计学意义。

结果

一、单因素分析结果

单因素分析结果显示,年龄、甲状腺超声测量结节横径、纵径、纵横比、边缘、侧方声影、声晕、钙化、CDFI血流分级以及TSH水平在无淋巴结转移和中央区及颈侧区淋巴结转移患者之间比较,差异均具有统计学意义(P均<0.05)。甲状腺回声、大小、结节在甲状腺叶位置等因素3组间比较,差异均无统计学意义(P均>0.05,表1)。
表1 不同淋巴结转移情况的原发性甲状腺乳头状癌患者临床和超声特征比较
变量 无转移(n=560) 中央区转移(n=415) 颈侧区转移(n=96) 统计值 P
年龄(岁,
x¯
±s
44.39±11.68 40.13±11.78 42.41±11.97 F=16.660 <0.001
性别[例(%)] χ2=2.710 0.258
男性 183(32.68) 152(36.63) 28(29.17)
女性 377(67.32) 263(63.37) 68(70.83)
甲状腺回声[例(%)] χ2=2.789 0.248
均匀 482(86.07) 372(89.64) 84(87.50)
欠/不均匀 78(13.93) 43(10.36) 12(12.50)
甲状腺大小(mm,
x¯
±s
峡部 2.68±1.09 2.72±0.87 2.74±1.10 F=2.366 0.056
横径(右叶) 17.86±3.77 17.74±3.37 17.87±3.72 F=1.913 0.148
纵径(右叶) 14.84±3.45 14.95±3.16 14.95±3.40 F=1.900 0.061
横径(左叶) 17.47±3.52 17.12±3.15 17.40±3.60 F=0.678 0.865
纵径(左叶) 14.20±3.34 14.24±3.06 14.36±3.45 F=2.345 0.283
结节位置[例(%)] χ2=1.082 0.897
右叶 295(52.68) 216(52.05) 48(50.00)
左叶 252(45.00) 189(45.54) 47(48.96)
峡部 13(2.32) 10(2.41) 1(1.04)
叶内位置[例(%)] χ2=2.179 0.903
上极 127(22.68) 88(21.20) 20(20.83)
中极 259(46.25) 186(44.82) 48(50.00)
下极 161(28.75) 131(31.57) 27(28.13)
峡部 13(2.32) 10(2.41) 1(1.04)
结节横径(mm,
x¯
±s
8.76±4.96 12.29±7.45 11.04±7.29 F=107.323 <0.001
结节纵径(mm,
x¯
±s
10.08±3.19 12.64±4.30 11.75±4.69 F=151.434 <0.001
结节纵横比(
x¯
±s
1.33±0.44 1.21±0.43 1.26±0.45 F=18.597 <0.001
形态[例(%)] χ2=2.187 0.335
规则 115(20.54) 70(16.87) 17(17.71)
欠/不规则 445(79.46) 345(83.13) 79(82.29)
边界[例(%)] χ2=4.434 0.109
清晰 126(22.50) 71(17.11) 18(18.75)
不清晰 434(77.50) 344(82.89) 78(81.25)
边缘[例(%)] χ2=6.049 0.049
光整 95(16.96) 52(12.53) 9(9.37)
不光整 465(83.04) 363(87.47) 87(90.63)
回声[例(%)] χ2=6.285 0.179
极低回声 40(7.14) 30(7.23) 1(1.04)
低回声 483(86.25) 354(85.30) 90(93.75)
等/高/混合回声 37(6.61) 31(7.47) 5(5.21)
后方回声衰减[例(%)] χ2=3.928 0.140
457(81.61) 319(76.87) 73(76.04)
103(18.39) 96(23.13) 23(23.96)
侧方声影[例(%)] χ2=9.039 0.011
525(93.75) 375(90.36) 82(85.42)
35(6.25) 40(9.64) 14(14.58)
声晕[例(%)] χ2=8.578 0.014
514(91.79) 370(89.16) 79(82.29)
46(8.21) 45(10.84) 17(17.71)
钙化[例(%)] χ2=50.696 <0.001
280(50.00) 134(32.29) 27(28.13)
微钙化 178(31.79) 184(44.34) 31(32.29)
粗大钙化 102(18.21) 97(23.37) 38(39.58)
CDFI血流分级[例(%)] χ2=50.541 <0.001
0级 153(27.32) 80(19.28) 13(13.54)
1级 270(48.21) 179(43.13) 33(34.38)
2级 82(14.64) 69(16.63) 20(20.83)
3级 55(9.83) 87(20.96) 30(31.25)
甲状腺功能(
x¯±s
T4(nmol/L) 104.82±19.62 104.97±21.91 104.87±20.41 F=0.009 0.992
T3(nmol/L) 1.34±0.27 1.38±0.33 1.36±0.45 F=2.463 0.086
TSH(mIU/L) 2.12±1.35 2.55±3.59 2.30±2.50 F=3.262 0.039
FT3(pmol/L) 4.59±0.59 4.64±0.62 4.62±0.61 F=1.133 0.323
FT4(pmol/L) 11.32±4.69 10.99±1.84 11.14±3.63 F=1.409 0.245

注:CDFI为彩色多普勒血流成像,T4为四碘甲状腺原氨酸,T3为三碘甲状腺原氨酸,TSH为促甲状腺激素,FT3为游离三碘甲状腺原氨酸,FT4为游离四碘甲状腺原氨酸

二、多因素Logistic回归分析结果

将单因素回归分析中差异具有统计学意义的因素进行赋值,其中:年龄>45岁为0,≤45岁为1;超声测量结节横径<20 mm为0,≥20 mm为1;超声测量结节纵径<10 mm为0,≥10 mm为1;超声测量结节纵横比<1为0,≥1为1;边缘光整为0,边缘不光整为1;无侧方声影为0,有侧方声影为1;无声晕为0,有声晕为1;结节无钙化为0,结节存在微钙化为1,结节存在粗大钙化为2;CDFI显示血流分级0~3级分别为0、1、2、3。TSH水平<2.57 mIU/L为0,>2.57 mIU/L为1。将以上因素作为自变量进行多因素Logistic回归分析,结果显示年龄、结节横径和纵径、CDFI血流分级是预测中央区淋巴结转移的独立风险因素,而年龄、结节纵径和横径是预测颈侧区淋巴结转移的独立风险因素(表23图12)。
表2 原发性甲状腺乳头状癌中央区淋巴结转移预测因素的多因素Logistic回归分析
参数 B SE Wald DF P OR 95%CI
常数项 0.862 0.551 2.450 1 0.117 0.146
年龄≤45岁 0.512 0.140 13.354 1 0.000 1.669 1.268~2.196
年龄>45岁 0
结节横径<20 mm -0.577 0.293 3.887 1 0.049 0.561 0.316~0.997
结节横径≥20 mm 0
结节纵径<10 mm -0.826 0.156 28.223 1 <0.001 0.438 0.323~0.594
结节横径≥10 mm 0
CDFI=0级 -0.496 0.250 3.949 1 0.047 0.609 0.373~0.993
CDFI=1级 -0.477 0.221 4.675 1 0.031 0.621 0.403~0.956
CDFI=2级 -0.497 0.253 3.868 1 0.049 0.608 0.371~0.998
CDFI=3级 0

注:CDFI为彩色多普勒血流成像,OR为优势比;CI为可信区间

表3 原发性甲状腺乳头状癌颈侧区淋巴结转移预测因素的多因素Logistic回归分析
参数 B SE Wald DF P OR 95%CI
常数项 1.680 0.763 4.846 1 0.028
年龄≤45岁 0.483 0.248 3.799 1 0.049 1.621 0.997~2.634
年龄>45岁 0
结节横径<20 mm -1.780 0.378 22.197 1 <0.001 0.169 0.080~0.354
结节横径≥20 mm 0
结节纵径<10 mm -2.012 0.425 22.388 1 <0.001 0.134 0.058~0.308
结节纵径≥10 mm 0

注:OR为优势比;CI为可信区间

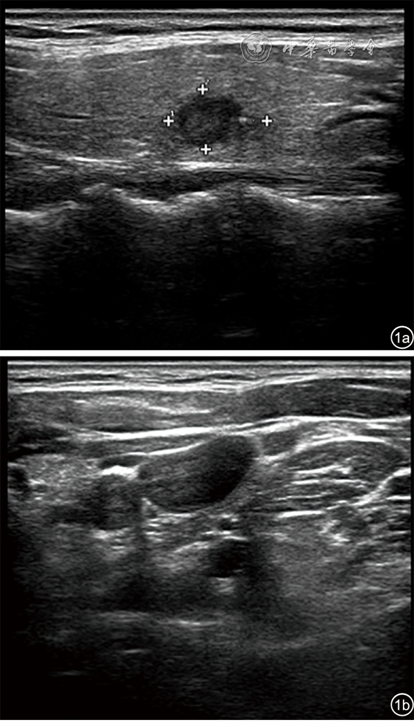
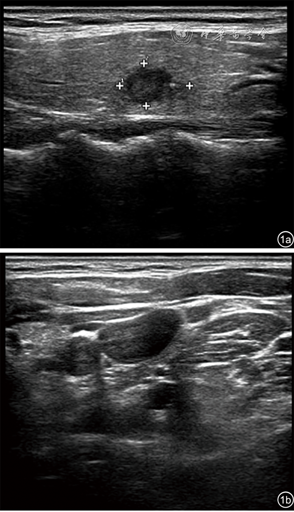
图1 55岁男性患者甲状腺左叶11.5 mm×7.0 mm低回声结节,超声表现为结节横径<20 mm(图a),结节纵径<10 mm(图b)。病理诊断为甲状腺乳头状癌(左侧),颈侧区淋巴结未见转移(左侧)
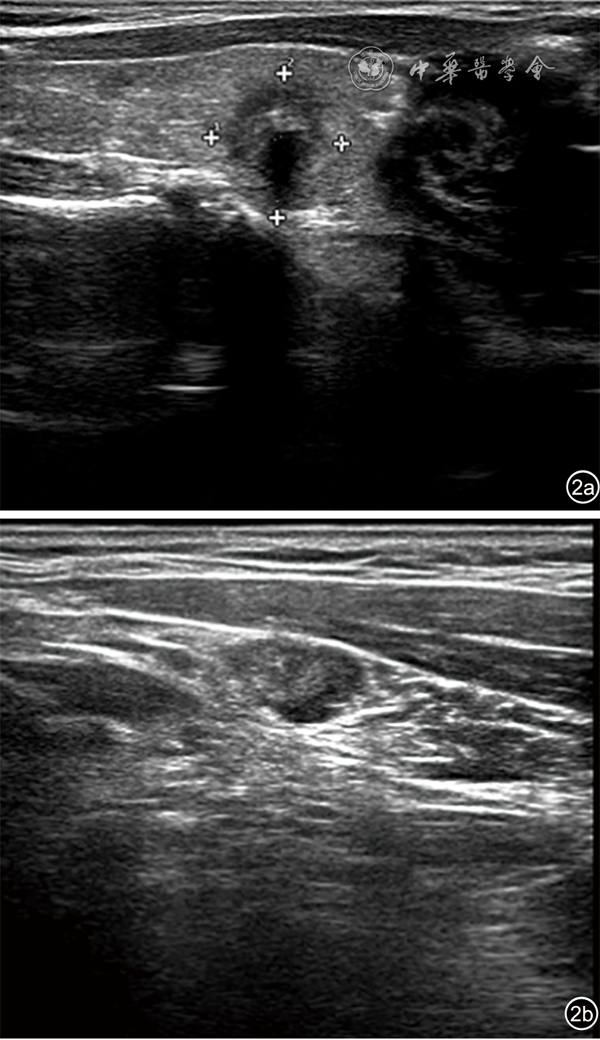
图2 33岁女性患者甲状腺右叶10.1 mm×11.2 mm低回声结节,超声表现为结节横径<20 mm(图a),结节纵径≥10 mm(图b)。病理诊断为甲状腺乳头状癌(右侧),颈侧区淋巴结见转移(右侧)

三、构建预测淋巴结转移风险的列线图

基于多因素多元Logistic回归分析确定的具有统计学意义的参数构建列线图,用于评估其对预测颈部淋巴结转移的风险。在列线图中,每一个独立的预测因子都被赋予与OR对数成比例的分支,将各预测变量的分值进行总和所得的总分定位于总分轴上,其所对应的风险系数则反映了结节为恶性的风险性。年龄、结节横径、结节纵径和CDFI血流分级在预测颈中央区淋巴结转移风险列线图中的分值分别为30、100、82、30(图3a),年龄、结节横径、结节纵径在预测颈侧区淋巴结转移风险列线图中的分值分别为10、90、100(图3b)。
图3 预测原发性甲状腺乳头状癌患者中央区(图a)和颈侧区(图b)淋巴结转移风险的列线图

注:CDFI为彩色多普勒血流成像

四、ROC曲线评估列线图对淋巴结转移的预测效能

1. 中央区:ROC曲线分析显示,联合年龄≤45岁、横径≥20 mm、纵径≥10 mm以及CDFI血流分级为3级构建的列线图预测中央区淋巴结转移的AUC为0.735,敏感度为29.47%,特异度为89.09%,其预测效能显著高于单个因素的预测效能,差异均具有统计学意义(P均<0.05,图4a表4)。
图4 列线图对原发性甲状腺乳头状癌颈部中央区(图a)和颈侧区(图b)淋巴结转移的预测效能的受试者操作特征曲线

注:CDFI为彩色多普勒血流成像

表4 列线图模型预测原发性甲状腺乳头状癌中央区淋巴结转移的效能
参数 临界值 敏感度(%) 特异度(%) PPV(%) NPV(%) AUC(95%CI)
年龄 45岁 50.50 60.72 62.09 49.06 0.557(0.522~0.591)a
结节横径 20 mm 98.00 22.51 61.70 89.93 0.602(0.567~0.637)a
结节纵径 10 mm 57.00 82.59 80.66 60.12 0.697(0.665~0.728)a
CDFI血流分级 3级 30.17 84.71 71.54 48.78 0.622(0.588~0.656)a
联合诊断 29.47 89.09 17.72 53.53 0.735(0.706~0.765)

注:CDFI为彩色多普勒血流成像;PPV为阳性预测值;NPV为阴性预测值;AUC为曲线下面积;CI为可信区间;a与联合诊断AUC相比,差异具有统计学意义(P<0.001、<0.001、=0.009、<0.001)

2. 颈侧区:ROC曲线分析显示,联合年龄≤45岁、横径≥20 mm、纵径≥10 mm构建的列线图对预测颈侧区淋巴结转移的AUC为0.866,敏感度为19.66%,特异度为100%,其预测效能高于单个因素的预测效能,差异均具有统计学意义(P均<0.05,图4b表5)。
表5 列线图模型预测原发性甲状腺乳头状癌颈侧区淋巴结转移的效能
参数 临界值 敏感度(%) 特异度(%) PPV(%) NPV(%) AUC(95%CI)
年龄 45岁 46.48 61.67 12.69 90.57 0.541(0.487~0.595)a
结节横径 20 mm 59.17 95.06 94.86 60.17 0.771(0.716~0.826)a
结节纵径 10 mm 44.37 98.33 99.53 18.24 0.714(0.676~0.751)a
联合诊断 19.66 100 100 13.57 0.866(0.834~0.899)

注:PPV为阳性预测值;NPV为阴性预测值;AUC为曲线下面积;CI为可信区间;a与联合诊断AUC相比,差异具有统计学意义(P均<0.001)

讨论

本研究利用PTC超声影像特征结合患者临床信息构建列线图的预测模型用于预测颈部淋巴结转移,发现患者年龄、结节横径和纵径以及CDFI血流分级是预测淋巴结转移的独立风险因素。其中联合年龄≤45岁、横径≥20 mm、纵径≥10 mm构建的列线图对颈侧区淋巴结转移有良好的预测效能,其AUC为0.866,特异度为100%。因此,该预测模型可对具有独立风险因素的患者是否需要行颈侧区淋巴结清扫提供参考,从而辅助临床决策。
颈部淋巴结转移是PTC最常见的转移方式,对PTC患者行颈部淋巴结清扫具有重要临床意义。而实施预防性中央区淋巴结清扫还是颈侧区淋巴结清扫,直接影响患者后续的治疗和随访,并与其生存预后密切相关。目前,关于甲状腺癌患者如何行淋巴结清扫仍然具有较大争议7。一方面研究者认为对于部分患者,如年龄大的微小乳头状癌患者行淋巴结清扫不能获益,反而会增加甲状旁腺、喉返神经及颈丛神经损伤等并发症,从而导致过度治疗8, 9。然而,也有研究者认为发生淋巴结转移的患者若不行淋巴结清扫,其发生复发和转移的风险是无淋巴结转移患者的3.3倍,且复发的患者须行二次手术,极大增加了手术难度及并发症发生的风险10, 11。随着循证医学证据的不断增加,各指南也根据不同时期的研究结果不断更新,颈淋巴结清扫术的范围及指征日趋明朗。在我国,积极主张预防性中央区淋巴结清扫以降低局部淋巴结复发率,而对于颈侧区淋巴结转移的患者,仅推荐行治疗性淋巴结清扫12。因此,明确中央区和颈侧区淋巴结转移的风险因素,筛选并构建更直观的预测模型用以指导患者的后续治疗具有重要临床意义。
年龄和肿瘤大小是发生淋巴结转移的高危因素,是决定患者手术方式的重要因素之一13, 14, 15。根据2014版指南推荐,对于存在不良病理学亚型、年龄≥45岁、多灶癌、肿瘤直径>4 cm、腺外侵犯的cN0 PTC患者可行预防性中央区淋巴结清扫,尽管其优势并不明确13。由于分化型甲状腺癌患者的多中心及多病灶性疾病特征,导致患者在病症发生后的早期阶段即会产生相应的颈部淋巴结转移情况,因此,在对患者的手术治疗中,为避免患者接受手术治疗后再次出现复发情况,应采用甲状腺全切除联合双侧中央区颈部淋巴结清扫术16。而另有研究显示,对于男性、年龄>55岁、肿瘤直径>3 cm和腺外侵犯是颈侧区淋巴结复发的风险因素,应对存在2个或以上危险因素的患者行预防性颈侧区淋巴结清扫17。本研究结果认为,年龄≤45岁、横径≥20 mm、纵径≥10 mm和CDFI血流分级为3级是发生中央区淋巴结转移的危险因素,而前三者是发生颈侧区淋巴结转移的危险因素。然而,列线图结果显示联合预测颈侧区领巴结转移的AUC为0.866,特异度高达100%,其预测效能高于中央区淋巴结转移的预测效能(AUC:0.735,特异度:89.09%),与以往研究14, 15, 16, 17, 18结果一致,表明患者年龄与超声测量甲状腺结节大小联合可作为预测淋巴结转移的可靠因素。因此,超声特征可作为有效的临床指标评估肿瘤的生长特性,并用以预测患者的预后,使患者可以得到综合判断,制定最佳的治疗方案并合理利用医疗资源。
目前有研究证实TSH、甲状腺球蛋白抗体及甲状腺过氧化物酶抗体水平与淋巴结转移相关19, 20, 21,而本研究发现颈部淋巴结转移与患者的甲状腺功能无明显相关性,其可能与样本量的选取以及不同医院的测量方法不同有关,仍需收集更大的样本量进行更深入的研究。
综上所述,超声特征(横径≥20 mm、纵径≥10 mm以及CDFI血流分级为3级)联合临床特征(年龄≤45岁)的列线图模型可作为预测PTC颈部淋巴结转移的一种无创性量化工具,尤其对预测颈侧区淋巴结转移具有高度特异度,可为临床医师判断患者是否行预防性淋巴结清扫提供参考,从而辅助临床决策。
1
Zhao H, Li H. Meta-analysis of ultrasound for cervical lymph nodes in papillary thyroid cancer: Diagnosis of central and lateral compartment nodal metastases [J]. Eur J Radiol, 2019, 112: 14-21.

2
Noguchi S, Murakami N. The value of lymph-node dissection in patients with differentiated thyroid cancer [J]. Surg Clin North Am, 1987, 67(2): 251-261.

3
刘丽, 徐辉雄, 吕明德, 等. 甲状腺癌颈部淋巴结转移的超声特征 [J]. 中华医学超声杂志(电子版), 2007, 4(3): 156-158.

4
李潜. 甲状腺乳头状癌及其颈部淋巴结转移的超声特征以及BRAF和NRAS突变分析 [D]. 郑州: 郑州大学, 2018.

5
Yu J, Deng Y, Liu T, et al. Lymph node metastasis prediction of papillary thyroid carcinoma based on transfer learning radiomics [J]. Nat Commun, 2020, 11(1): 4807.

6
Tessler FN, Middleton WD, Grant EG, et al. ACR Thyroid Imaging, Reporting and Data System (TI-RADS): White Paper of the ACR TI-RADS Committee [J]. J Am Coll Radiol, 2017, 14(5): 587-595.

7
孙辉, 李世杰, 付言涛, 等. 分化型甲状腺癌功能性或传统性颈淋巴结清扫的利弊 [J/CD]. 中华普外科手术学杂志(电子版), 2018, 12(6): 455-457.

8
中国医师协会外科医师分会甲状腺外科医师委员会, 中国研究型医院学会甲状腺疾病专业委员会. 分化型甲状腺癌颈侧区淋巴结清扫专家共识(2017版) [J]. 中国实用外科杂志, 2017, 37(9): 985-991.

9
王宇, 沈强, 渠宁. 分化型甲状腺癌颈侧区淋巴结清扫术中神经损伤的预防 [J]. 中国实用外科杂志, 2018, 38(6): 624-628.

10
Ito Y, Miyauchi A, Kihara M, et al. Patient age is significantly related to the progression of papillary microcarcinoma of the thyroid under observation [J]. Thyroid, 2014, 24(1): 27-34.

11
Cho SY, Lee TH, Ku YH, et al. Central lymph node metastasis in papillary thyroid microcarcinoma can be stratified according to the number, the size of metastatic foci, and the presence of desmoplasia [J]. Surgery, 2015, 157(1): 111-118.

12
中国医师协会外科医师分会甲状腺外科医师委员会, 中国研究型医院学会甲状腺疾病专业委员会. 分化型甲状腺癌颈侧区淋巴结清扫专家共识(2017版) [J]. 中国实用外科杂志, 2017, 37(9): 985-991.

13
Miyauchi A, Kudo T, Ito Y, et al. Estimation of the lifetime probability of disease progression of papillary microcarcinoma of the thyroid during active surveillance [J]. Surgery, 2018, 163(1): 48-52.

14
Oh HS, Ha J, Kim HI, et al. Active surveillance of low-risk papillary thyroid microcarcinoma: a multi-center cohort study in Korea [J]. Thyroid, 2018, 28(12): 1587-1594.

15
Tuttle RM, Fagin JA, Minkowitz G, et al. Natural history and tumor volume kinetics of papillary thyroid cancers during active surveillance [J]. JAMA Otolaryngol Head Neck Surg, 2017, 143(10): 1015-1020.

16
郭又铭, 霍金龙, 瞿锐, 等. 全腔镜手术与传统手术治疗早期分化型甲状腺癌的疗效对比分析 [J]. 医学食疗与健康, 2019, 17(12): 26, 28.

17
Ito Y, Higashiyama T, Takamura Y, et al. Risk factors for recurrence to the lymph node in papillary thyroid carcinoma patients without preoperatively detectable lateral node metastasis: validity of prophylactic modified radical neck dissection [J]. World J Surg, 2007, 31(11): 2085-2091.

18
刘威, 王聪, 薛安慰, 等. 单侧cN0甲状腺癌病人中央区淋巴结转移特性及其预防性清扫 [J]. 外科理论与实践, 2021, 26(2): 159-162.

19
Kim H, Kwon H, Moon BI. Association of multifocality with prognosis of papillary thyroid carcinoma: a systematic review and meta-analysis [J]. JAMA Otolaryngol Head Neck Surg, 2021, 147(10): 847-854.

20
李想, 黄韬, 刁畅, 等. 甲状腺球蛋白抗体和甲状腺过氧化物酶抗体状态对分化型甲状腺癌患者中央区淋巴结影响的多中心临床研究 [J]. 中国普外基础与临床杂志, 2020, 27(11): 1392-1396.

21
Kim HI, Jang HW, Ahn HS, et al. High serum TSH level is associated with progression of papillary thyroid microcarcinoma during active surveillance [J]. J Clin Endocrinol Metab, 2018, 103(2): 446-451.

文章导航

/


AI


AI小编
你好!我是《中华医学电子期刊资源库》AI小编,有什么可以帮您的吗?