切换至 "中华医学电子期刊资源库"
心血管超声影像学

缩窄性心包炎超声心动图漏诊分析

  • 谭焜月 1 ,
  • 郭静 1 ,
  • 赵正凯 2 ,
  • 蔡秋艺 2 ,
  • 王淑珍 1 ,
  • 高小强 1 ,
  • 熊峰 , 1,
展开
  • 1.610031 成都市第三人民医院心内科 成都市心血管病研究所
  • 2.610031 成都市第三人民医院放射影像科
熊峰,Email:xiong.
Xiong Feng, Email:xiong.

Copy editor: 汪荣

网络出版日期: 2025-04-01

基金资助

四川省自然科学基金面上项目(2024NSFSC0646)成都市第三人民医院院内科研项目(CSYYN-01-2023-066)

版权

版权归中华医学会所有。 未经授权,不得转载、摘编本刊文章,不得使用本刊的版式设计。 除非特别声明,本刊刊出的所有文章不代表中华医学会和本刊编委会的观点。

Causes of missed diagnosis of constrictive pericarditis by echocardiography

  • Kunyue Tan 1 ,
  • Jing Guo 1 ,
  • Zhengkai Zhao 2 ,
  • Qiuyi Cai 2 ,
  • Shuzhen Wang 1 ,
  • Xiaoqiang Gao 1 ,
  • Feng Xiong , 1,
Expand
  • 1.Department of Cardiology,The Third People's Hospital of Chengdu,Chengdu 610031,China
  • 2.Department of Radiology,The Third People's Hospital of Chengdu,Chengdu 610031,China

Online published: 2025-04-01

Copyright

Copyright by Chinese Medical Association No content published by the journals of Chinese Medical Association may be reproduced or abridged without authorization. Please do not use or copy the layout and design of the journals without permission. All articles published represent the opinions of the authors, and do not reflect the official policy of the Chinese Medical Association or the Editorial Board, unless this is clearly specified.

摘要

目的

分析超声心动图漏诊的缩窄性心包炎患者的临床及影像学特征。

方法

回顾性纳入2020 年1 月至2024 年12 月于成都市第三人民医院就诊的缩窄性心包炎患者共92 例。所有患者均最终经手术及术后病理证实,诊断明确。所有患者均行超声心动图及CT 检查,其中82 例首次超声心动图检查确诊缩窄性心包炎(超声诊断组),10 例首次检查漏诊(超声漏诊组)。对比分析2 组的临床及影像学特征。

结果

与超声诊断组比较,漏诊组患者病程较短[9.00(11.00)个月 vs 2.50(7.90)个月,P<0.05]。超声诊断组中有更高比例的患者合并肝静脉扩张(31.7%,26/82)、腹腔积液(54.9%,45/82)及胸腔积液(73.2%,60/82),2 组比较差异有统计学意义(P均<0.05)。与超声诊断组比较,漏诊组心脏形态改变较不明显。超声诊断组与漏诊组的左心房前后径[41.00(8.30)mm vs 37.50(4.30)mm,P<0.05]、左心室舒张末期内径[40.50(4.00)mm vs 45.50(4.30)mm,P<0.05]、右心房横径[41.00(7.00)mm vs 36.50(9.00)mm,P<0.05]、右房室角[(80.71±30.55)°vs(106.50±35.87)°,P<0.05]、心尖球形指数[69.00(29.00) vs 84.00(25.00),P<0.05]及左心室质量指数 [(69.79±15.91)g/m2vs(84.51±13.53)g/m2P<0.05]比较,差异均有统计学意义。2 组患者心包均增厚,但漏诊组不合并心包钙化。超声诊断组与漏诊组行心包剥脱术后围术期死亡率[(3.7%,3/82)vs (0,0/10),P>0.05]及不良事件发生率差异无统计学意义。

结论

缩窄性心包炎的超声心动图表现具有一定特征性,但临床实践中存在漏诊。漏诊病例多为病程早期患者,这部分患者虽有心包增厚,但无心包钙化,同时心脏形态改变不明显,临床症状相对较轻。结合患者病史特征进行多模态影像学评估比单一依赖超声心动图更有利于做出正确诊断。

本文引用格式

谭焜月 , 郭静 , 赵正凯 , 蔡秋艺 , 王淑珍 , 高小强 , 熊峰 . 缩窄性心包炎超声心动图漏诊分析[J]. 中华医学超声杂志(电子版), 2025 , 22(02) : 139 -145 . DOI: 10.3877/cma.j.issn.1672-6448.2025.02.007

Abstract

Objective

To analyze the causes of missed diagnosis of constrictive pericarditis by echocardiography, and investigate the safety of pericardiectomy in patients with atypical constrictive pericarditis.

Methods

A total of 92 patients with constrictive pericarditis who visited the Third People's Hospital of Chengdu from January 2020 to December 2024 were retrospectively included.All patients underwent echocardiography and CT examination.Based on the first echocardiographic examination, the patients were divided into an accurate diagnosis group(n=82)and a missed diagnosis group(n=10),and the clinical and imaging characteristics of the two groups were compared and analyzed.

Results

Compared to the accurate diagnosis group, the missed diagnosis group had a shorter disease course [9.00(11.00)months vs 2.50(7.90)months, P<0.05] and milder liver function impairment.The accurate diagnosis group exhibited higher proportions of hepatic vein dilation, ascites, and pleural effusion (all P<0.05).The missed diagnosis group demonstrated milder cardiac morphological changes, including the changes of left atrial size [41.00(8.30)mm vs 37.50(4.30)mm, P<0.05], left ventricular size [40.50(4.00)mm vs 45.50(4.30)mm, P<0.05], right atrial size [41.00(7.00)mm vs 36.50(9.00)mm,P<0.05], right atrioventricular angle [(80.71±30.55)° vs(106.50±35.87)°, P<0.05], apical sphericity index [69.00(29.00) vs 84.00(25.00), P<0.05], and left ventricular mass index [(69.79±15.91)g/m2 vs(84.51±13.53)g/m2P<0.05].Both groups had thickened pericardium, but the missed diagnosis group did not have calcifled pericardium.Postoperative mortality [3.7% (3/82) vs 0 (0/10)] and adverse event rates showed no signiflcant difference between the two groups (P>0.05).

Conclusion

Echocardiography exhibits characteristic flndings for constrictive pericarditis, but misdiagnosis occurs in clinical practice.Missed cases are often early-stage patients with pericardial thickening but no calciflcation, subtle cardiac morphological changes, and milder symptoms.Multimodal imaging evaluation combined with clinical history can improve diagnostic accuracy compared with reliance on echocardiography alone.

缩窄性心包炎是由心包纤维化、钙化引起的心室舒张充盈受限,往往起病隐匿、临床症状多样且无特异性,可能被误诊为其他心血管疾病或非心血管疾病1。目前,缩窄性心包炎的诊断主要依靠无创影像学方法,超声心动图是首选检查。但超声心动图诊断缺乏金标准,有高度的经验依赖性,存在一定的漏诊率2。本文回顾性分析首次超声心动图漏诊的缩窄性心包炎患者的临床及影像学特征,以期寻找漏诊原因、提高缩窄性心包炎诊断率。

资料与方法

一、对象

回顾性纳入2020 年1 月至2024 年12 月于成都市第三人民医院行心包剥脱治疗的缩窄性心包炎患者共92 例。所有患者均行超声心动图及CT 检查,其中82 例患者首次超声心动图检查确诊缩窄性心包炎,10 例患者首次检查漏诊,这10 例患者CT 均提示心包增厚和(或)钙化,故再次由高年资超声医师复查超声心动图。结合患者病史及症状体征,其中5 例患者复查超声心动图后诊断为缩窄性心包炎,余5 例患者因临床高度怀疑缩窄性心包炎进一步行右心导管检查或开胸探查,所有患者均最终经手术及术后病理证实,诊断明确。本研究中,根据首次超声心动图检查结果将患者分为超声诊断组(n=82)及超声漏诊组(n=10)。本研究经成都市第三人民医院伦理审查委员会批准(批件号:[2023] S-183)。

二、仪器与方法

1.超声心动图及CT 检查:超声心动图检查采用Philips 7C 彩色多普勒超声仪,患者取左侧卧位及仰卧位,在胸骨旁、心尖及剑突下等部位多切面、多角度扫查,观察心包及心脏形态改变、评估心功能。CT 检查采用Philips 64 层螺旋CT 扫描仪,按冠状动脉检查常规准备,嘱患者训练呼吸并屏气10 s 扫描,扫描范围从气管隆突至膈下1 cm。观察心包有无增厚及钙化,选取10 个部位(左心室周围、右心室周围、心尖部、前室尖沟、后室尖沟、左心房、右心房、上腔静脉、下腔静脉、右心室流出道)测量心包厚度。进行多平面重建成像,于重建的心尖四腔切面测量左房室角、右房室角及心尖球形指数,心尖球形指数计算方法参考既往文献3
2.手术方法:所有患者均采用胸骨正中切口,坦克式剥离,剥离顺序为升主动脉-左心室流出道-左心室面-心尖-右心室流出道及右心室-房室环-右心房-上、下腔静脉,术中争取将心包彻底松解切除4

三、统计学分析

应用SPSS 23.0 软件对数据进行统计分析。符合正态分布的计量资料以±s 表示,组间比较采用独立样本t 检验;非正态分布的计量资料以MQR)表示,组间比较采用 Mann-Whitney U 检验。计数资料以例(%)表示,组间比较采用χ2 检验。以P<0.05 为差异有统计学意义。

结 果

一、一般资料比较

超声诊断组平均病程9.00(11.00)个月,长于漏诊组2.50(7.90)个月,差异有统计学意义(P=0.012)。与漏诊组相比,超声诊断组中有更高比例的患者合并肝静脉扩张(31.7%,26/82)、腹腔积液(54.9%,45/82)及胸腔积液(73.2%,60/82),2 组差异均有统计学意义(P 均<0.05)。与超声诊断组相比,漏诊组淋巴细胞、胆碱酯酶较高(P<0.05),总胆红素、直接胆红素、乳酸脱氢酶较低(P 均<0.05,表1)。
表1 缩窄性心包炎超声诊断组与超声漏诊组临床资料比较[MQR)]
临床资料 超声诊断组(n=82) 超声漏诊组(n=10) 统计值 P
年龄(岁) 49.00(33.30) 48.50(15.30) Z=-0.78 0.437
男性[ 例(%)] 56(68.3) 6(60.0) χ 2=0.28 0.597
BMI(kg/m2xˉ±s) 22.78±3.77 21.90±1.89 t=0.73 0.470
病程(月) 9.00(11.00) 2.50(7.90) Z=-2.50 0.012
白细胞(109/L) 5.33(2.40) 5.96(2.11) Z=-0.92 0.357
中性粒细胞(109/L) 3.75(2.22) 3.78(2.20) Z=-0.18 0.856
淋巴细胞(109/L) 0.87(0.64) 1.21(0.88) Z=-2.18 0.030
C 反应蛋白(mg/L) 7.36(19.57) 7.26(63.05) Z=-0.12 0.908
谷丙转氨酶(U/L) 16.60(12.80) 13.40(11.20) Z=-0.88 0.376
谷草转氨酶(U/L) 27.30(13.50) 22.35(9.00) Z=-1.71 0.087
总胆红素(μmol/L) 18.24(16.59) 12.07(7.89) Z=-2.10 0.036
直接胆红素(μmol/L) 6.89(6.96) 2.90(2.80) Z=-2.58 0.010
间接胆红素(μmol/L) 10.88(8.53) 8.42(5.60) Z=-1.47 0.142
乳酸脱氢酶(U/L) 187.60(53.80) 171.70(39.40) Z=-2.16 0.031
胆碱酯酶(U/L,xˉ±s) 5138.71±1979.13 6868.22±2074.17 t=-2.47 0.015
甘油三酯(mmol/L) 0.86(0.40) 0.96(0.38) Z=-0.92 0.357
总胆固醇(mmol/L) 3.74±1.00 4.04±1.15 t=-0.74 0.462
肝静脉扩张[ 例(%)] 26(31.7) 0 χ 2=4.42 0.036
肝淤血[ 例(%)] 18(22.0) 0 χ 2=2.73 0.099
腹腔积液[ 例(%)] 45(54.9) 2(20.0) χ 2=4.34 0.037
胸腔积液[ 例(%)] 60(73.2) 4(40.0) χ 2=4.63 0.031

注:BMI 为体质量指数

二、超声心动图结果比较

与超声诊断组相比,漏诊组心脏形态改变较不明显(图1),漏诊组心房增大及心室缩小均不明显,2 组左心房前后径、右心房横径及左心室内径差异有统计学意义(P 均<0.05),漏诊组左心室质量指数较大、下腔静脉内径较窄(P<0.05)。超声诊断组中较高比例的患者有室间隔“弹跳征”(81.7%,67/82)及二尖瓣前向E-E 变化率>25%(59.8%,49/82)。2 组左心室射血分数差异无统计学意义,但漏诊组二尖瓣间隔瓣环舒张早期速度(e')较低(P=0.034,表2)。
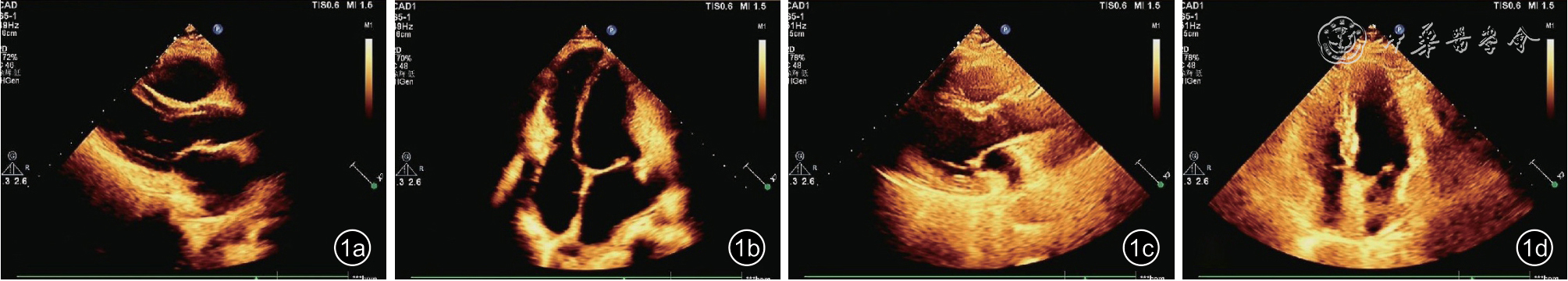
图1 缩窄性心包炎超声诊断与超声漏诊图像。图a、b 分别为超声心动图诊断的缩窄性心包炎左心室长轴及心尖四腔二维图像;图c、d 分别为超声心动图漏诊的缩窄性心包炎左心室长轴及心尖四腔二维图像
表2 缩窄性心包炎超声诊断组与超声漏诊组的超声心动图结果比较[MQR)]
超声心动图参数 超声诊断组(n=82) 超声漏诊组(n=10) 统计值 P
左心房前后径(mm) 41.00(8.30) 37.50(4.30) Z=-2.10 0.036
左心室舒张末期内径(mm) 40.50(4.00) 45.50(4.30) Z=-3.03 0.002
右心房横径(mm) 41.00(7.00) 36.50(9.00) Z=-2.43 0.015
右心室前后径(mm) 20.00(2.30) 21.00(3.30) Z=-0.68 0.498
左心室质量指数(g/m2,xˉ±s) 69.79±15.91 84.51±13.53 t=-2.99 0.004
LVEF(%) 58.00(9.00) 59.50(5.50) Z=-0.11 0.915
e'(cm/s, ±s) 11.84±4.33 8.80±2.97 t=2.16 0.034
下腔静脉宽度(mm) 24.00(3.50) 20.50(7.80) Z=-2.52 0.012
室间隔“弹跳征”[ 例(%)] 67(81.7) 3(30.0) χ 2=13.10 < 0.001
二尖瓣前向E-E 变化率>25%[ 例(%)] 49(59.8) 2(20.0) χ 2=5.70 0.017

注:LVEF 为左心室射血分数;e’为二尖瓣间隔瓣环舒张早期速度

三、CT 结果比较

与超声诊断组相比,漏诊组右房室角及心尖球形指数较大(P 均<0.05)。超声诊断组中有33 例合并心包钙化,其中5 例钙化心包嵌入心肌,而漏诊组无心包钙化。2 组患者不同部位心包厚度差异及合并心包积液比例差异均无统计学意义(P均>0.05,表3)。
表3 缩窄性心包炎超声诊断组与超声漏诊组的CT 结果比较[MQR)]
CT 参数 超声诊断组(n=82) 超声漏诊组(n=10) 统计值 P
左房室角(°,xˉ±s) 95.72±23.66 104.70±18.48 t=-1.16 0.251
右房室角(°,xˉ±s) 80.71±30.55 106.50±35.87 t=-2.47 0.015
心尖球形指数 69.00(29.00) 84.00(25.00) Z=-2.51 0.012
最厚心包厚度(mm) 12.00(8.00) 14.50(8.30) Z=-0.70 0.482
左心室周围心包(mm) 8.00(7.00) 10.50(9.00) Z=-1.22 0.222
右心室周围心包(mm) 8.00(6.50) 9.50(7.80) Z=-0.52 0.602
心尖部心包(mm) 3.00(3.00) 2.50(4.00) Z=-0.43 0.669
前室尖沟心包(mm) 5.00(5.00) 5.00(4.30) Z=-0.95 0.341
后室尖沟心包(mm) 5.00(4.50) 5.50(8.50) Z=-0.77 0.444
左心房心包(mm) 3.00(3.00) 4.50(4.80) Z=-1.06 0.289
右心房心包(mm) 6.00(6.00) 8.50(10.30) Z=-1.91 0.056
上腔静脉心包(mm) 2.00(2.00) 2.00(2.00) Z=-1.30 0.192
下腔静脉心包(mm) 4.00(3.50) 5.00(5.30) Z=-0.97 0.332
右心室流出道心包(mm) 5.00(3.00) 4.00(4.50) Z=-1.52 0.129
心包积液[ 例(%)] 36(43.9) 6(60.0) χ 2=0.93 0.335
心包钙化[ 例(%)] 33(40.2) 0 χ 2=6.28 0.012
钙化心包嵌入心肌[ 例(%)] 5(6.1) 0 χ 2=0.65 0.422

四、围术期不良事件比较

心包剥脱术后围术期(患者手术后至出院前)超声诊断组有3 例患者死亡,12 例患者出现低心排血量综合征,而漏诊组没有围术期死亡及低心排血量综合征,但2 组差异无统计学意义(P均>0.05)。漏诊组患者术后ICU 住院时间为(1.80±1.03)d,低于超声诊断组的(3.13±2.59)d,差异无统计学意义(P=0.113)。其他术后不良反应及并发症差异均无统计学意义(P 均>0.05,表4)。
表4 缩窄性心包炎超声诊断组与超声漏诊组的围术期不良事件比较[例(%)]
围术期不良事件 超声诊断组(n=82) 超声漏诊组(n=10) 统计值 P
死亡 3(3.7) 0 χ 2=0.38 0.539
术后低心排血量综合征 12(14.6) 0 χ 2=1.68 0.195
术中输血 3(3.7) 1(1.3) χ 2=0.86 0.353
术后输血 17(20.7) 1(1.3) χ 2=0.65 0.419
术后低蛋白 34(41.5) 6(60.0) χ 2=1.25 0.264
术后电解质紊乱 32(39.0) 3(3.8) χ 2=0.31 0.579
术后腹腔感染 1(1.2) 0 χ 2=0.12 0.725
休克 4(4.9) 0 χ 2=0.51 0.475
胃肠功能紊乱 60(73.2) 8(80.0) χ 2=0.22 0.642
切口愈合不良 2(2.4) 0 χ 2=0.25 0.618
消化道出血 1(1.2) 0 χ 2=0.12 0.725
急性肾损伤 3(3.7) 0 X 2=0.38 0.539
肝损伤 2(2.4) 0 χ 2=0.25 0.618
住院时间(d,xˉ±s) 24.66±9.40 22.30±15.49 t=0.69 0.491
ICU 住院时间(d,xˉ±s) 3.13±2.59 1.80±1.03 t=1.60 0.113
术后住院时间(d,xˉ±s) 11.51±7.03 10.40±6.88 t=0.47 0.639

讨 论

缩窄性心包炎的诊断具有挑战性5,缩窄性心包炎患者常出现劳力性呼吸困难、水肿等不适,但其症状体征缺乏特异性,临床中缩窄性心包炎的诊断更多地依赖影像学检查。超声心动图具有无创、便捷、费用低的优点,是缩窄性心包炎的首选检查方法。2015 年欧洲心脏病学会(European Society of Cardiology,ESC)指南6推荐所有疑似缩窄性心包炎的患者行经胸超声心动图检查(Ic),但目前超声心动图诊断缩窄性心包炎缺乏金标准。1994年,Oh 等7首次描述了缩窄性心包炎的特征性超声多普勒表现。2014 年,梅奥中心的研究8对比了130 例缩窄性心包炎及36 例限制性心肌病患者的超声心动图特征,发现3 个指标(与呼吸有关的室间隔移位、二尖瓣环内侧e'≥9 cm/s、呼气时肝静脉血流舒张期反向)与缩窄性心包炎的诊断独立相关,其中最佳的诊断组合为室间隔移位联合二尖瓣环内侧e'≥9 cm/s 或肝静脉呼气舒张期逆转率≥0.79,该组合的诊断敏感度为87%,特异度为91%。2022 年,Li 等9在既往研究的基础上总结了25 例缩窄性心包炎的超声心动图特征,详细描述了6 个方面的异常指标(心包增厚、心脏形态改变、室间隔异常运动、二尖瓣和三尖瓣口速度随呼吸的变化、舒张早期长轴运动代偿性增强、左心室及右心室舒张期的限制性充盈),根据不同的异常指标将患者划分为确诊组、高度可疑组及可疑组以优化诊断方法。2023 年,李国英等10指出室间隔“弹跳征”、二尖瓣环内侧e'>8 cm/s 及吸气后二尖瓣前向流速变化率>25%为缩窄性心包炎的独立影响因素,并利用多因素Logistic 回归分析建立了超声特征联合诊断模型,该模型预测的符合率为89.8%。
超声心动图检查具有高度经验依赖性,即使有以上可供参考的诊断标准,正确解读超声征象也需要高水平的培训和丰富的诊断经验11。心包增厚及心包钙化是缩窄性心包炎最直接的病理变化,也是诊断缩窄性心包炎最直接的征象,本研究中超声漏诊组及超声诊断组患者心包均有明显增厚,两组患者10 个不同部位心包增厚程度均无明显差异。但是超声心动图对心包增厚和(或)心包钙化的检出率较低,特别是对轻度心包增厚和钙化的识别明显不如CT12。一方面由于旁瓣效应及肺与心脏之间的强反射界面可能导致超声对心包增厚和钙化的识别存在明显的局限;另一方面,探头的近场分辨力一般较差,且使用标准频率超声探头的常规超声心动图不具备足够的空间分辨率来区分正常心包和轻度增厚、粘连的心包13。此外,心包的增厚可以是不规则且局限的,这也会导致超声心动图对心包病变的识别存在不足。因此,本研究中尽管漏诊组有明显的心包增厚,仍然在首次超声心动图检查时漏诊。
缩窄性心包炎的心包病变并不是统一均匀的,病变区域室壁舒张受限,而心包病变较轻或无病变的区域室壁相对扩张,出现心脏形态的畸变。正常情况下心房及心室边缘光滑流畅,呈正常的弧形曲线,而典型的缩窄性心包炎患者则出现房室壁的区域或广泛性凹陷14。在日常工作中,超声医师往往容易忽略心包本身的病变,而更直观地看到心脏形态的继发改变,有学者提出对心脏几何形态学的观察可作为评价缩窄性心包炎的一种方法14。房室腔大小、房室夹角及心尖球形指数可一定程度量化心脏几何形态变化,且简单直观、便于测量。由于瘢痕心包的限制,心室充盈障碍,患者心室往往偏小,血液淤滞于心房继而导致心房扩张,因此缩窄性心包炎常表现为心房扩大、心室相对较小。房室腔大小的改变会继发房室夹角的变化,传统认为超声心动图左心室长轴切面左心房左心室夹角缩小对缩窄性心包炎有提示作用。而心尖球形指数代表心尖部形态的改变,是扩张型心肌病患者评估左心室球形变发展程度的常用指标15,与扩张型心肌病的病理过程相反,缩窄性心包炎患者心室受压变小,心尖部横径减小,心尖部球形指数也相应减小。本研究中超声诊断组患者表现为心房内径更大,心室内径、房室腔夹角及心尖球形指数更小,提示超声诊断组心脏形态发生改变,而与超声诊断组相比,漏诊组心脏形态改变较不明显。对于心脏形态改变不明显的患者,超声心动图容易出现漏诊,早期缩窄性心包炎患者继发心脏形态改变不明显是漏诊的重要原因之一。此外,不同于既往CT对心包的观察,本研究发现除外心包增厚和(或)钙化,经CT 三维重建后测量房室夹角及心尖球形指数同样有助于缩窄性心包炎的诊断。
缩窄性心包炎最核心的两项病理生理改变是:心室相互作用的增强及心内压力和胸腔内压力的分离1。当心室容积被固定,心脏外侧壁运动受限但室间隔不受累,左、右心室交替充盈,可观察到室间隔的突然位移,即室间隔“弹跳征”。室间隔“弹跳征”是缩窄性心包炎的特征性表现之一,但其识别依赖操作者经验,对于没有经验的超声医师准确识别室间隔“弹跳征”有一定的难度。M 型超声在左心室长轴切面可协助判断取样线上前间隔、左心室后壁及右心室前壁运动情况,但由于解剖位置及切面限制,对后间隔及左、右心室侧壁运动的观察需依赖超声医师的经验进行主观判断。同时仅依靠超声心动图观察很难将室间隔“弹跳征”和其他原因(如传导阻滞、右心室功能障碍等)导致的室间隔异常运动进行区分。此外,心包顺应性消失使胸腔内压力变化不向心腔传递,吸气时降低的胸腔内压使肺小静脉到左心房再到左心室的压力梯度减低,此时室间隔左移、右心室充盈压增加,呼气时上述过程相反,最终表现为二尖瓣前向E-E随呼吸变化率>25%。观察二尖瓣前向血流的变异情况需要进行深吸气频谱变化试验并调节仪器进行连续性观察,在日常检查过程中容易被忽略。且二尖瓣前向血流变异度可以被使用利尿剂等减轻前负荷的方式掩盖5。综上,心室相互作用增强及心-胸腔压力的分离导致的异常室壁运动及血流频谱变化在检查过程中均可能被忽略。
缩窄性心包炎是炎症累及心包的最终表现,一旦进展为缩窄性心包炎,患者的生活质量及预后将受到严重影响,心包剥脱术是目前缩窄性心包炎唯一有效的根治方法16。早诊断、早治疗对缩窄性心包炎患者非常重要,本研究中首次超声心动图漏诊的病例病程明显短于超声诊断组,提示病程早期的患者更易被漏诊。病程晚期的缩窄性心包炎患者往往病情重且难以恢复,长期慢性炎性及机械外力挤压可能导致心肌萎缩17,本研究中超声诊断组左心室质量指数明显低于超声漏诊组,这可能是超声诊断组心包剥脱术后低心排血量综合征发生率相对较高的原因。2 组患者行心包剥脱术后围术期死亡率及不良事件发生率差异无统计学意义,提示早期进行心包剥脱治疗不增加短期风险,是相对安全的,但缩窄性心包炎的最佳手术时机仍有一定的争议,其有待中远期随访结果及后续研究进一步探讨。理论上,随着病程进展,患者往往一般状况更差、肝功能受损更严重,如果漏诊可能错过手术最佳时机,可能延误诊治、增加死亡风险。
综上所述,早期正确诊断缩窄性心包炎非常重要,但超声心动图诊断缩窄性心包炎始终存在一定的漏诊率。超声漏诊的缩窄性心包炎患者可无典型声像图表现,无论是心脏形态的改变还是室壁运动的异常均可不典型。对于超声表现不典型的患者,检查时应多切面、多角度地观察心包回声、心脏形态、室壁运动及血流频谱情况,M 型超声应多点取样,以减少漏诊。同时缩窄性心包炎的诊断不应忽视其他影像学技术的重要性,如CT 或MRI,综合的多模态影像评价比单一依赖超声心动图更有利于做出正确诊断。特别是对于临床高度怀疑或既往有相关危险因素的患者,更应结合患者病史特征进行多模态影像学评估。
1
Welch TD.Constrictive pericarditis:diagnosis, management and clinical outcomes[J].Heart, 2018, 104(9):725-731.

2
夏雪, 周建中.缩窄性心包炎诊断技术的研究进展[J].心血管病学进展, 2024, 45(7):608-611, 621.

3
郑嘉荣, 邓剑玲, 邢超, 等.超声心动图对冠心病心衰患者左室心尖形态与功能的分析[J].中国超声医学杂志, 2020, 36(4):336-338.

4
曹安强, 罗勇, 袁武, 等.心包剥脱术治疗缩窄性心包炎患者的近期疗效分析:单中心结果[J].岭南心血管病杂志, 2020, 26(4):424-428.

5
Schwefer M, Aschenbach R, Heidemann J, et al.Constrictive pericarditis, still a diagnostic challenge:comprehensive review of clinical management[J].Eur J Cardiothorac Surg, 2009, 36(3):502-510.

6
Adler Y, Charron P.The 2015 ESC Guidelines on the diagnosis and management of pericardial diseases[J].Eur Heart J, 2015, 36(42):2873-2874.

7
Oh JK, Hatle LK, Seward JB, et al.Diagnostic role of Doppler echocardiography in constrictive pericarditis[J].J Am Coll Cardiol,1994, 23(1):154-162.

8
Welch TD, Ling LH, Espinosa RE, et al.Echocardiographic diagnosis of constrictive pericarditis:Mayo Clinic criteria[J].Circ Cardiovasc Imaging, 2014, 7(3):526-534.

9
Li J, Li R, Cheng G, et al.A case series of constrictive pericarditis and suggested echocardiographic diagnostic criteria[J].J Int Med Res,2022, 50(11):3000605221134468.

10
李国英, 徐明, 刘玲玲, 等.缩窄性心包炎超声特征的logistic 回归分析[J].放射学实践, 2023, 38(8):1065-1069.

11
Chao CJ, Jeong J, Arsanjani R, et al.Echocardiography-based deep learning model to differentiate constrictive pericarditis and restrictive cardiomyopathy[J].JACC Cardiovasc Imaging, 2024, 17(4):349-360.

12
陈结, 彭光高, 刘向阳, 等.缩窄性心包炎的三种影像诊断比较分析[J].医学临床研究, 2006,23(5):737-739.

13
Lin J, Li M, Huang Y, et al.Evaluation of pericardial thickening and adhesion using high-frequency ultrasound[J].J Am Soc Echocardiogr,2023, 36(8):841-848.

14
张连仲, 赵冰, 张慧君.缩窄性心包炎心脏几何形态的二维超声心动图特征[J].中国临床医学影像杂志, 2000, 11(2):99-100.

15
Tumkosit M, Martin CG, Bayram E, et al.Left ventricular spherical remodeling and apical myocardial relaxation:cardiovascular MR imaging measurement of myocardial segments[J].Radiology,2007,244(2):411-418.

16
李汉美, 佟明汇, 王巍, 等.慢性缩窄性心包炎行心包剥脱术的预后及危险因素:单中心二十年经验[J].中国体外循环杂志, 2018,16(3):160-164.

17
张耀中, 张雅娉, 郭建中, 等.左室质量与慢性缩窄性心包炎手术效果的关系研究[J].中国心血管杂志, 2022, 27(6):548-551.

文章导航

/


AI


AI小编
你好!我是《中华医学电子期刊资源库》AI小编,有什么可以帮您的吗?