切换至 "中华医学电子期刊资源库"
外周血管超声影像学

超声造影在评估颞浅动脉巨细胞动脉炎患者临床分期中的应用价值

  • 顾乡 1 ,
  • 田喜元 1 ,
  • 贲志飞 , 2,
展开
  • 1.315211 宁波大学医学部
  • 2.315010 宁波市第二医院超声科
贲志飞,Email:
Ben Zhifei, Email:

Copy editor: 汪荣

收稿日期: 2024-12-28

  网络出版日期: 2025-06-09

版权

版权归中华医学会所有。 未经授权,不得转载、摘编本刊文章,不得使用本刊的版式设计。 除非特别声明,本刊刊出的所有文章不代表中华医学会和本刊编委会的观点。

Value of contrast-enhanced ultrasound in evaluating clinical stage of patients with temporal artery giant cell arteritis

  • Xiang Gu 1 ,
  • Xiyuan Tian 1 ,
  • Zhifei Ben , 2,
Expand
  • 1.School of Medicine, Ningbo University, Ningbo 315211, China
  • 2.Department of Ultrasound, Ningbo No.2 Hospital, Ningbo 315010, China

Received date: 2024-12-28

  Online published: 2025-06-09

Copyright

Copyright by Chinese Medical Association No content published by the journals of Chinese Medical Association may be reproduced or abridged without authorization. Please do not use or copy the layout and design of the journals without permission. All articles published represent the opinions of the authors, and do not reflect the official policy of the Chinese Medical Association or the Editorial Board, unless this is clearly specified.

摘要

目的

探讨超声造影(CEUS)在评估颞浅动脉巨细胞动脉炎(GCA)患者临床分期中的应用价值。

方法

收集2020 年1 月至2024 年3 月宁波市第二医院临床诊断为颞浅动脉GCA的患者87 例,根据美国国立卫生研究院(NIH)制定的标准,将患者分为活动期和非活动期。所有患者均行血液炎性指标检测、颞浅动脉常规超声和CEUS 检查,比较分析活动期与非活动期患者的血液炎性指标、颞浅动脉常规超声和CEUS 检查各项参数的差异,以及不同CEUS 分级患者的各项指标参数。分析活动期患者在治疗前后各项检查参数的变化情况,以及活动期患者管壁内中膜厚度(IMT)和CEUS 分级与C 反应蛋白(CRP)、红细胞沉降率(ESR)和单核细胞的相关性。

结果

纳入的87 例患者中,颞浅动脉GCA 活动期患者72 例,非活动期患者15 例,两组患者的血液CRP、ESR、IMT 和CEUS 分级差异有统计学意义(t=8.976、9.029、3.324,χ2=12.135,P 均<0.05)。不同CEUS 分级之间的CRP、ESR、单核细胞和IMT 的差异具有统计学意义(F=32.978、81.550、6.432、21.664,P 均<0.05)。以CEUS 分级≥2 级作为评价颞浅动脉GCA 活动期的标准,其诊断的敏感度和特异度分别为75%和100%。在颞浅动脉GCA 活动期患者中,CEUS 分级与CRP 呈中度正相关(r=0.72,P<0.001)、与ESR 呈显著正相关(r=0.846,P<0.001)。颞浅动脉GCA 活动期患者治疗前CEUS 分级越高,治疗后CRP 和ESR 下降越明显(F=36.653、98.279,P<0.001),而IMT 变化的差异无统计学意义(H=20.465,P>0.05)。

结论

CEUS 可准确评估颞浅动脉GCA 临床分期及其炎症程度,为指导临床及时调整治疗方案,改善颞浅动脉GCA 患者预后提供影像学依据。

本文引用格式

顾乡 , 田喜元 , 贲志飞 . 超声造影在评估颞浅动脉巨细胞动脉炎患者临床分期中的应用价值[J]. 中华医学超声杂志(电子版), 2025 , 22(04) : 368 -373 . DOI: 10.3877/cma.j.issn.1672-6448.2025.04.013

Abstract

Objective

To explore the value of contrast-enhanced ultrasound (CEUS) in evaluating the clinical stage of patients with giant cell arteritis (GCA) of superficial temporal arteries.

Methods

From January 2020 to March 2024, 87 patients clinically diagnosed with GCA at Ningbo No.2 Hospital were enrolled.According to the criteria established by the National Institutes of Health (NIH), patients were categorized into active and inactive groups.All patients underwent blood inflammatory index testing, routine temporal artery ultrasound, and CEUS examinations.The differences in blood inflammatory indices, routine temporal artery ultrasound parameters, and CEUS parameters between patients in the active and inactive groups were comparatively analyzed, as well as the various parameters among patients with different CEUS grades.The changes in various parameters before and after treatment in patients in the active phase were analyzed, along with the correlations between the intima-media thickness (IMT) of the vessel wall, CEUS grade, C-reactive protein (CRP), erythrocyte sedimentation rate (ESR), and monocytes in patients in the active phase.

Results

Among the 87 patients, 72 were in the active phase of GCA and 15 were in the inactive phase.The differences in CRP, ESR, IMT, and CEUS grade between the two groups were statistically significant (t=8.976, 9.029, and 3.324, and χ2=12.135, respectively, all P<0.05).The differences in CRP, ESR,monocytes, and IMT among different CEUS grades were statistically significant (F=32.978, 81.550, 6.432,and 21.664, respectively, all P<0.05).Using CEUS grade ≥ 2 as the criterion for evaluating the active phase of GCA, the diagnostic sensitivity and specificity were 75% and 100%, respectively.In patients with active GCA, CEUS grade was moderately positively correlated with CRP (r=0.72, P<0.001) and significantly positively correlated with ESR (r=0.846, P<0.001).In patients with active temporal artery GCA, the higher the CEUS grade before treatment, the more significant the decrease in CRP and ESR after treatment(F=36.653 and 98.279, respectively, P<0.001), while IMT had no significant difference (H=20.465, P>0.05).

Conclusion

CEUS can accurately assess the clinical stages and the degree of inflammation of GCA,providing imaging evidence to guide timely adjustment of clinical treatment plans and improve the prognosis of patients with temporal artery GCA.

巨细胞动脉炎(giant cell arteries,GCA)是一种主要影响大中型动脉的血管炎性病变,以累及颞浅动脉多见,故又称为颞动脉炎1。该病变可造成血管内膜增生、管壁增厚、血管腔狭窄和闭塞。其病因尚不明确,可能与环境因素、遗传因素以及免疫功能紊乱相关。GCA 最常见的症状和体征与外周动脉(主要是颞浅动脉)的受累程度有关。新发头痛,尤其是颞区头痛,是该病最常见的症状,下颌跛行是最特异性的表现。还可能出现头皮压痛、视力障碍、重度颅脑缺血事件,包括失明、缺血性视神经病变和脑血管意外,因此GCA 被认为是一种医疗急症2,3,4,所以对GCA 的病情判断和治疗效果评估显得尤为重要。
目前,超声是GCA 的首选诊断方法5,但常规超声只能测量管壁内中膜厚度(intima-media thickness,IMT),不能显示增厚管壁的炎症程度。近年来,国内外多项研究6,7,8表明,超声造影(contrast-enhanced ultrasound,CEUS)可以评估多发大动脉炎(takayasu arteritis,TA)的活动性和治疗效果,临床应用价值得到广泛认可。本研究通过CEUS 观察颞浅动脉GCA 管壁的增强情况,并与血液炎性指标进行对照,分析CEUS 在评价颞浅动脉GCA 的临床分期及其炎症程度方面的应用价值。

资料与方法

一、对象

回顾性收集2020 年1 月至2024 年3 月在宁波市第二医院住院并确诊为颞浅动脉GCA 的患者87 例。纳入标准:(1)符合2022 年美国风湿病协会GCA 诊断标准9;(2)有完整的血液炎性指标检查、常规超声和CEUS 检查资料;(3)临床资料齐全,并签署知情同意书。排除标准:(1)存在其他感染性病变或已进行抗炎或激素治疗者;(2)颞浅动脉GCA 复发者。采用1994 年美国国立卫生研究院(National Institution of Health,NIH)制定的标准10,判断GCA 患者是否为活动期:(1)非特异性炎性病变导致的发热、多关节痛、多部位肌肉疼痛等;(2)红细胞沉降率(erythrocyte sedimentation rate,ESR)>20 mm/h;(3)脑动脉和(或)肢体动脉缺血或炎症表现,如肢体运动功能障碍、间歇性跛行、脉搏减弱或消失、血管杂音、血管源性疼痛、双上肢或双下肢血压不对称;(4)相关影像检查异常。符合上述标准≥2项的新发GCA 患者,即判定为活动期。活动期GCA 患者在经过2 个月的激素治疗后,均行血液炎性指标和常规超声复查。本研究已通过宁波市第二医院伦理委员会批准(批件号:SL-NBEYKY-2024-007-01)。

二、仪器与方法

1.临床资料及实验室检查:收集患者的身高和体重,计算得出体质量指数(body mass index,BMI)。患者入院后第2 天早晨空腹抽血化验,测定C 反应蛋白(C-reactive protein,CRP)、ESR、单核细胞及血小板等血液炎性指标。
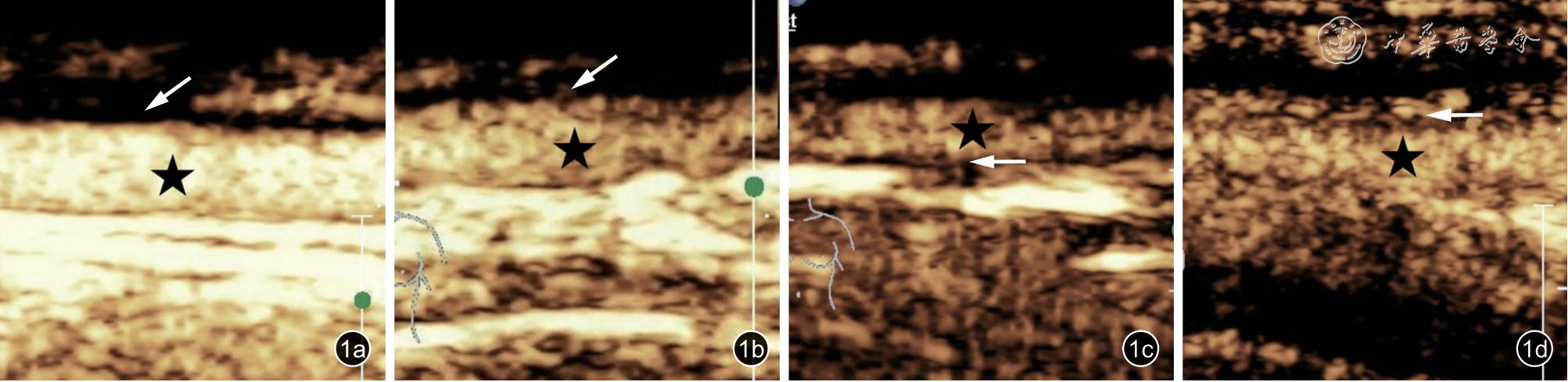
2.仪器与检查方法:采用Philips EPIQ7 仪器进行超声检查,eL18-4 线阵探头。嘱患者平卧位,头偏向一侧,被检查部位涂抹足量耦合剂或使用导声垫,先行常规超声检查,采用二维超声及彩色多普勒超声观察并评估颞浅动脉管径和内中膜有无增厚,局部放大后在横切面上测量IMT 较厚处的管径和IMT。管径是从颞浅动脉一侧的外膜到对侧外膜之间的垂直距离,IMT 为血管后壁内膜上缘与外膜上缘之间的垂直距离。当IMT>0.3 mm时,认为IMT 增厚11,12。CEUS 时采用低机械指数(机械指数=0.06),探头轻轻置于颞浅动脉上方,选取双侧颞浅动脉较厚IMT 处的纵切面为观察目标,局部放大以清晰显示颞浅动脉的管壁结构为佳。将SonoVue 1.2 ml 通过肘正中静脉以弹丸式注射,随后用5.0 ml 生理盐水冲管,记录CEUS图像,连续观察2 min。根据颞浅动脉管壁增强情况,将CEUS 结果统一分为4 级13:0 级,无增强;1 级,少许点状增强;2 级,较密集点状增强;3 级,弥漫性点、线状增强(图1)。参照既往TA的CEUS 研究14,15,以CEUS 分级≥2 级作为评价颞浅动脉GCA 患者活动期的标准。所有CEUS分级均由2 名具有5 年以上CEUS 工作经验的医师分别完成,当2 名医师分级结果不统一时则通过讨论决定最终分级;如讨论后意见不统一,则由第3 名高年资超声医师决定最终分级结果。
图1 颞浅动脉巨细胞动脉炎患者的不同超声造影表现。图a 显示管壁内未见明显造影剂灌注,评级为0 级;图b 为管壁内造影剂呈少许点状灌注,评级为1 级;图c 显示管壁内较密集点状灌注,评级为2 级;图d 显示管壁内造影剂呈弥漫性点、线状灌注,评级为3 级(★示管腔,白色箭头示颞浅动脉增厚的内中膜)

三、统计学分析

采用SPSS 27.0 软件进行统计分析。计量资料先进行K-S 检验,符合正态分布的采用均数±s表示,两组间比较采用独立样本t 检验,多组间比较采用方差分析;不符合正态分布的计量资料采用MQ1Q3)表示,两组之间比较采用非参数Mann-Whitney U 检验,多组数据之间比较采用Kruskal-Wallis H 检验;计数资料采用例(%)表示,组间比较采用χ2 检验。CEUS 分级与血液炎性指标之间的相关性采用Pearson 或Spearman 分析。P<0.05 为差异有统计学意义。

结 果

一、活动期与非活动期患者一般临床资料和超声检查结果比较

本研究纳入的87 例颞浅动脉GCA 患者中,活动期72 例,非活动期15 例。活动期与非活动期患者的CRP、ESR、IMT 和CEUS 分级差异有统计学意义(t=8.976、9.029、3.324,χ2=12.135,P 均<0.05),而年龄、身高、体重、BMI、单核细胞、血小板和管径之间的差异无统计学意义(P均>0.05,表1)。
表1 颞浅动脉GCA 活动期与非活动期患者的一般临床资料和超声检查结果比较
资料 活动期组(n=72) 非活动期组(n=15) 统计值 P
性别[ 例(%)] χ 2=-0.722 0.472
41(56.94) 7(46.67)
31(63.06) 8(53.33)
年龄(岁, xˉ± s ) 73.39±8.99 64.8±8.79 t= 0.377 0.651
身高(cm, xˉ± s ) 163.38±0.08 162.27±0.09 t= 0.485 0.629
体重(kg, xˉ± s ) 60.14±11.09 59.83±7.45 t= 0.102 0.919
BMI(kg/m2xˉ± s ) 22.4±2.97 22.78±2.76 t= -0.456 0.65
CRP[mg/L,M ( Q1,  Q3 )] 84.43(12.1,152.4) 4.8(2.14,6.23) Z= 8.976 < 0.001
ESR[mm/h,M ( Q1,  Q3 )] 49.13(19.2,92.1) 13.53(5.23,21.12) Z= 9.029 < 0.001
单核细胞[109/L,M ( Q1,  Q3 )] 0.67(0.23,0.98) 0.46(0.23,0.58) Z= 0.596 0.543
血小板[109/L,M ( Q1,  Q3 )] 272.71(171.21,321.85) 254.47(144.23,381.23) Z= 0.597 0.552
IMT(mm, xˉ± s ) 0.49±0.20 0.31±0.15 t= 3.324 0.001
管径(mm, xˉ± s ) 1.79±0.34 1.65±0.29 t= 1.532 0.129
CEUS 分级[ 例(%)] χ 2=12.135 < 0.001
0 级 8(11.11) 14(93.33)
1 级 10(13.89) 1(6.67)
2 级 22(30.56) 0
3 级 32(44.44) 0

注:GCA 为巨细胞动脉炎;BMI 为体质量指数;CRP 为C 反应蛋白;ESR 为红细胞沉降率;IMT 为管壁内中膜厚度;CEUS 为超声造影

二、不同CEUS 分级患者的一般临床资料与常规超声检查结果比较

不同CEUS 分级患者的CRP、ESR、单核细胞和IMT 差异具有统计学意义(P 均<0.05),而性别、年龄、身高、体重、BMI、血小板和颞浅动脉管径之间的差异无统计学意义(P 均>0.05,表2)。以CEUS 分级≥2 级作为评价颞浅动脉GCA患者炎症活动期的标准,其诊断的敏感度和特异度分别为75%(54/72)和100%(15/15)。
表2 不同CEUS 分级患者的一般临床资料及超声检查结果比较(±s
资料 0 级(n=22) 1 级(n=11) 2 级(n=22) 3 级(n=32) 统计值 P
性别[ 例(%)] χ 2=0.165 0.919
11(50.0) 6(54.5) 11(50.0) 18(56.3)
11(50.0) 5(45.5) 11(50.0) 14(43.7)
年龄(岁) 69.08±10.27 73.75±8.11 72.23±11.46 73.16±8.47 F= 1.170 0.326
身高(cm) 162.46±9.47 164.13±7.38 164.00±6.31 162.97±7.95 F= 0.191 0.902
体重(kg) 60.20±9.80 60.19±9.15 65.81±11.74 57.62±10.74 F= 1.933 0.131
BMI(kg/m2 22.76±2.85 22.26±2.28 24.43±3.76 21.54±2.57c F= 3.404 0.021
CRP(mg/L) 11.55±9.08 21.68±9.93 98.03±59.65ab 132.18±74.47ab F= 32.978 < 0.001
ESR(mm/h) 13.27±6.54 20.50±8.77 57.92±21.40ab 72.31±20.58abc F= 81.550 < 0.001
单核细胞(109/L) 0.48±0.15 0.54±0.25 0.76±0.33a 0.76±0.33a F= 6.432 < 0.001
血小板(109/L) 240.77±114.85 266.63±87.91 327.92±75.34 270.72±114.86 F= 1.979 0.123
IMT(mm) 0.30±0.14 0.38±0.13 0.56±0.13ab 0.60±0.18ab F= 21.664 < 0.001
管径(mm) 1.71±0.30 1.73±0.25 1.91±0.40 1.77±0.36 F= 1.142 0.337

注:CEUS 为超声造影;BMI 为体质量指数;CRP 为C 反应蛋白;ESR 为红细胞沉降率;IMT 为管壁内中膜厚度;与0 级比较,aP<0.05;与1 级比较,bP<0.05;与2 级比较,cP<0.05;所有两两比较均经过Bonferroni 校正

三、颞浅动脉GCA 活动期患者IMT 和CEUS分级与CRP、ESR 的相关性

基于活动期患者治疗前数据进行相关性分析,IMT 与CRP 呈低度正相关(r =0.499,P<0.001),与ESR 呈中度正相关(r =0.629,P<0.001)。CEUS分级与CRP 呈中度正相关(r =0.720,P<0.001),与ESR 呈显著正相关(r =0.846,P<0.001)。IMT、CEUS 分级与单核细胞呈低度正相关(r =0.308、0.417)。颞浅动脉GCA 活动期患者治疗前CEUS分级越高, 治疗后CRP 和ESR 下降越明显(F =36.653、98.279,P 均<0.001),而IMT 变化差异无统计学意义(H =20.465,P>0.05,表3)。
表3 不同CEUS 分级的颞浅动脉GCA 活动期患者在治疗前后CRP、ESR 和IMT 变化的绝对值比较
参数 0 级(n=8) 1 级(n=10) 2 级(n=22) 3 级(n=32) 统计值 P
CRP(mg/L, xˉ± s ) 5.06±3.42 11.82±7.26 56.18±34.8 84.12±47.88 F=36.653 < 0.001
ESR(mm/h, xˉ± s ) 3.75±4.16 10.88±6.6 35.23±15.1 46.16±13.44 F=98.279 < 0.001
IMT [mm,M ( Q1,  Q3 )] 0.00(0.00,0.00) 0.00(0.00,0.00) 0.10(0.00,0.10) 0.10(0.00,0.10) H=20.465 0.106

注:GCA 为巨细胞动脉炎;CEUS 为超声造影;CRP 为C 反应蛋白;ESR 为红细胞沉降率;IMT 为管壁内中膜厚度

讨 论

GCA 和TA 均是累及大血管的血管炎性病变,目前临床首选NIH 评分作为评估动脉炎活动期的方法。NIH 评分将炎性因子的异常作为评价TA 活动性的重要指标,而2022 美国风湿病学会(American College of Rheumatology,ACR) 标准中将炎性指标ESR ≥50 mm/h 或CRP ≥10 mg/L仅作为确诊GCA 的一项权重因素,因此有关评价GCA 活动期的标准尚不统一。虽然本研究结果显示活动期患者的炎性指标ESR 和CRP 均明显高于非活动期患者,但在临床实际工作中部分患者在抽血检查前已进行了抗炎或激素治疗,导致这部分患者炎性指标无异常或仅轻度升高,这增加了血液炎性指标评估GCA 活动期的难度,也降低了其诊断的敏感度。颞动脉活检是诊断GCA 的金标准,但其是一项侵入性操作,易并发皮肤出血坏死,面神经、颞浅动脉及周围组织器官损伤等风险,不易被患者接受,因此不作为首选检查方法。随着影像学技术的发展,超声、CT 血管造影、磁共振成像和正电子发射型计算机断层显像在GCA 诊断中均发挥重要作用,具有较高的诊断敏感度及准确性,其中超声的诊断敏感度和特异度分别达到69%和82%,因此超声检查被认为是诊断和常规筛查GCA 的首选方法5
1997 年,Schmidt 等16首次发现GCA 患者颞浅动脉管壁存在水肿,呈向心性增厚,超声主要表现为低回声晕征。通过常规超声观察颞浅动脉的管壁是否增厚来判断是否存在GCA 具有一定的临床应用价值,但其在GCA 临床分期方面的价值尚未得到明确结论。CEUS 技术可通过造影剂增强血液散射信号的强度,从而使器官组织中的微循环得到成像,其不仅可以准确显示血管腔的通畅情况,而且可以显示管壁内的新生血管,为CEUS 评价动脉炎的活动性提供依据。Bergner 等17在2021 年曾应用CEUS 获取中、大血管的造影面积,用来监测GCA 患者疾病的活动性,但对其治疗效果未进行研究。侯颖等18在通过比较免疫抑制剂和激素治疗前后TA 患者临床表现及超声各参数变化时,发现CEUS 可作为评估TA 的活动性及治疗效果的客观方法。因此,本研究应用CEUS 评估颞浅动脉GCA 患者的活动性及炎症程度。
在判断GCA 患者活动期时,部分研究结果表明ESR 和血小板是颞浅动脉GCA 活动期的最佳预测因子19,而部分研究却认为CRP 敏感度更高,且ESR 的诊断临界值在各项研究中存在差异20,21,22,23,24。因此,炎性指标对于颞浅动脉GCA 活动期判断的可靠性存在争议,需要其他检查来辅助诊断。本研究通过对活动期与非活动期颞浅动脉GCA 患者各项参数的比较,发现两组在CRP、ESR、IMT 和CEUS 分级之间存在差异。参照既往TA 的CEUS研究14,15,以CEUS 分级≥2 级作为诊断颞浅动脉GCA 炎症活动期的标准,其诊断敏感度和特异度分别为75%和100%,较既往文献中常规超声诊断的敏感度和特异度(69%和82%)高,这一结果表明CEUS 可较准确地评价颞浅动脉GCA 的活动性。应用激素治疗2 个月后,对活动组不同CEUS分级的患者进行血液炎性指标检验,发现CRP 和ESR 在治疗后下降较为明显,而IMT 则无明显改善,分析原因可能在于颞浅动脉GCA 在治疗后,IMT 需要较长一段时间进行管壁修复才能恢复到正常水平,而CRP 和ESR 因炎症明显改善而快速下降,IMT 的下降与CRP 和ESR 不同步,所以仅凭IMT 不能准确地评价颞浅动脉GCA 患者的炎症情况。此外,本研究还发现不同CEUS 分级间的CRP 和ESR 差异存在统计学意义,且CEUS 分级与CRP 呈中度正相关(r=0.72),与ESR 呈显著正相关(r=0.846),颞浅动脉GCA 活动期患者在治疗后CRP 和ESR 下降明显,说明CEUS 不仅能准确地评估颞浅动脉GCA 的活动性及其炎症程度,而且在一定程度上可以间接地预测活动期患者的治疗效果。
本研究尚存在一定局限性。首先,颞浅动脉位置比较表浅,这给常规超声和CEUS 检查带来一定的技术难度,且本研究CEUS 只进行定性分析,缺乏基于时间-强度曲线(time-intensity curve,TIC)的量化评估,结果易受主观因素干扰,后续将增加 TIC 研究。其次,因考虑到医疗成本和患者自身需求等因素,活动期GCA 患者在治疗后仅接受常规超声检查,未开展CEUS 复查,导致治疗前后CEUS 对比数据欠缺,后期拟开展CEUS随访研究。最后,本研究的样本量有限且为单中心研究,可能存在一定的选择偏倚,未来可通过扩大样本量或开展多中心研究,进一步证实研究结论。
综上所述,CEUS 能够弥补常规超声的不足,可更直观地评估GCA 患者颞浅动脉管壁的增强程度,准确地评估颞浅动脉GCA 患者的活动性及其炎症程度,为指导临床及时调整治疗方案,改善颞浅动脉GCA 患者预后提供影像学依据。
1
Popescu I, Pintican R, Cocarla L, et al.Imaging in large vessel vasculitis-a narrative review[J].J Clin Med, 2024, 13(21): 6364.

2
Tian X, Zeng X.Chinese guideline for the diagnosis and treatment of Takayasus arteritis(2023)[J].Rheumatol Immunol Res, 2024, 5(1):5-26.

3
Ponte C, Serafim AS, Monti S, et al.Early variation of ultrasound halo sign with treatment and relation with clinical features in patients with giant cell arteritis[J].Rheumatology (Oxford), 2020, 59(12): 3717-3726.

4
Ponte C, Martins-Martinho J, Luqmani RA.Diagnosis of giant cell arteritis[J].Rheumatology (Oxford), 2020, 59(Suppl 3): iii5-iii16.

5
Noumegni SR, Hoffmann C, Cornec D, et al.Temporal artery ultrasound to diagnose giant cell arteritis: A practical guide[J].Ultrasound Med Biol, 2021, 47(2): 201-213.

6
欧艳梅, 姜双全, 于丹丹, 等.超声造影评估累及颈总动脉的多发性大动脉炎的活动性[J].中国医学影像技术, 2021, 37(12): 1770-1774.

7
Dong Y, Wang Y, Wang Y, et al.Ultrasonography and contrastenhanced ultrasound for activity assessment in 115 patients with carotid involvement of Takayasu arteritis[J].Mod Rheumatol, 2023,33(5): 1007-1015.

8
Ma LY, Li CL, Ma LL, et al.Value of contrast-enhanced ultrasonography of the carotid artery for evaluating disease activity in Takayasu arteritis[J].Arthritis Res Ther, 2019, 21(1): 24.

9
Ponte C, Grayson PC, Robson JC, et al.2022 American College of Rheumatology/EULAR classification criteria for giant cell arteritis[J].Ann Rheum Dis, 2022, 81(12): 1647-1653.

10
Macchioni P, Germanò G, Girolimetto N, et al.Ultrasound examination of common carotid adventitial thickness can differentiate Takayasu arteritis and large vessel giant cell arteritis[J].J Pers Med, 2024, 14(6): 627.

11
Kirby C, Flood R, Mullan R, et al.Evolution of ultrasound in giant cell arteritis[J].Front Med (Lausanne), 2022, 9: 981659.

12
Prieto-Pena D, Castaneda S, Martinez-Rodriguez I, et al.Imaging tests in the early diagnosis of giant cell arteritis[J].J Clin Med, 2021,10(16): 3704.

13
Maz M, Chung SA, Abril A, et al.2021 American College of Rheumatology/Vasculitis Foundation Guideline for the management of giant cell arteritis and Takayasu arteritis[J].Arthritis Rheumatol, 2021,73(8): 1349-1365.

14
Li Z, Zheng Z, Ding J, et al.Contrast-enhanced ultrasonography for monitoring arterial inflammation in Takayasu arteritis[J].J Rheumatol,2019, 46(6): 616-622.

15
吴党洁, 刘丽文, 杨倩, 等.颈动脉超声造影在监测多发性大动脉炎活动性中的应用[J].中国超声医学杂志, 2021, 37(10): 1089-1092.

16
Schmidt WA, Kraft HE, Vorpahl K, et al.Color duplex ultrasonography in the diagnosis of temporal arteritis[J].N Engl J Med, 1997, 337(19):1336-1342.

17
Bergner R, Splitthoff J, Wadsack D.Use of Contrast-enhanced ultrasound sonography in giant cell arteritis: A proof-of-concept study[J].Ultrasound Med Biol, 2022, 48(1): 143-148.

18
侯颖, 张岩, 苏小佩, 等.超声造影技术在多发大动脉炎活动性和治疗效果评估中的应用价值[J].中国超声医学杂志, 2023, 39(10):1171-1175.

19
Hansen MS, Klefter ON, Terslev L, et al.Is erythrocyte sedimentation rate necessary for the initial diagnosis of giant cell arteritis?[J].Life(Basel), 2023, 13(3): 693.

20
Chan FLY, Lester S, Whittle SL, et al.The utility of ESR, CRP and platelets in the diagnosis of GCA[J].BMC rheumatol, 2019, 3: 14.

21
Ing EB, Lahaie LG, Toren A, et al.Multivariable prediction model for suspected giant cell arteritis: development and validation[J].Clin Ophthalmol, 2017, 11: 2031-2042.

22
Van Der Geest KSM, Sandovici M, Brouwer E, et al.Diagnostic accuracy of symptoms, physical signs, and laboratory tests for giant cell arteritis: a systematic review and meta-analysis[J].JAMA Intern Med, 2020, 180(10): 1295-1304.

23
Oh LJ, Wong E, Andrici J, et al.Full blood count as an ancillary test to support the diagnosis of giant cell arteritis[J].Intern Med J, 2018,48(4): 408-413.

24
Wang L, Luqmani R, Udalova IA.The role of neutrophils in rheumatic disease-associated vascular inflammation[J].Nat Rev Rheumatol,2022, 18(3): 158-170.

文章导航

/


AI


AI小编
你好!我是《中华医学电子期刊资源库》AI小编,有什么可以帮您的吗?