切换至 "中华医学电子期刊资源库"
妇产科超声影像学

妊娠期卵巢子宫内膜异位囊肿蜕膜化的临床及超声影像学特征

  • 康林立 1, 2 ,
  • 陈璐 1 ,
  • 张天歌 1 ,
  • 刘勤 1 ,
  • 汪龙霞 , 1,
展开
  • 1 100853 北京,解放军总医院第一医学中心超声诊断科
  • 2 215001 苏州,南京医科大学附属苏州医院超声中心

通信作者:

汪龙霞,Email:

Copy editor: 汪荣

收稿日期: 2025-03-27

  网络出版日期: 2025-09-29

版权

未经授权,不得转载、摘编本刊文章,不得使用本刊的版式设计,除非特别声明,本刊刊出的所有文章不代表中华医学会和本刊编委会的观点。本刊为电子期刊,以网刊形式出版。

Clinical and ultrasound characteristics of decidualized ovarian endometrioma during pregnancy

  • Linli Kang 1, 2 ,
  • Lu Chen 1 ,
  • Tiange Zhang 1 ,
  • Qin Liu 1 ,
  • Longxia Wang , 1,
Expand
  • 1 Department of Ultrasound, General Hospital of the PLA, Beijing 100853, China
  • 2 Ultrasound Center, The Affiliated Suzhou Hospital of Nanjing Medical University, Suzhou 215001, China

Corresponding author:

Wang Longxia, Email:

Received date: 2025-03-27

  Online published: 2025-09-29

Copyright

Copyright by Chinese Medical Association No content published by the journals of Chinese Medical Association may be reproduced or abridged without authorization. Please do not use or copy the layout and design of the journals without permission. All articles published represent the opinions of the authors, and do not reflect the official policy of the Chinese Medical Association or the Editorial Board, unless this is clearly specified.

摘要

目的

分析和总结妊娠期卵巢子宫内膜异位囊肿蜕膜化的临床特征及超声影像学表现,为临床诊疗提供参考依据。

方法

回顾性分析2021年7月至 2024年11月期间11例在解放军总医院第一医学中心临床诊断为妊娠期卵巢子宫内膜异位囊肿蜕膜化患者的病历资料,包括患者的临床资料、超声图像特征、随访记录及手术病理结果。总结妊娠期卵巢子宫内膜异位囊肿蜕膜化的超声特征和临床鉴别诊断要点。

结果

所有患者超声检查均提示妊娠期伴卵巢囊肿。囊肿最大直径为3.1~7.3 cm,90.9%(10/11)的患者囊内液透声差,乳头个数为1~6个不等;彩色多普勒血流成像示10例乳头状突起内可见血流信号,1例乳头状突起内未见血流信号,72.7%(8/11)血流评分以2~3分为主;8例(72.7%,8/11)子宫滑动征阴性。3例行手术切除治疗,术后病理诊断为卵巢子宫内膜异位囊肿,间质蜕膜样变;8例于超声随诊过程中乳头消失,其中1例产后1年因囊肿破裂经手术后病理证实为卵巢子宫内膜异位囊肿,另2例流产后及5例妊娠后超声复诊发现囊肿形态学改变,结合临床资料,诊断为卵巢子宫内膜异位囊肿蜕膜化。

结论

妊娠期卵巢子宫内膜异位囊肿蜕膜化具有特征性超声表现,结合临床特征及随访变化可提高诊断准确性,避免不必要的手术干预。建议对可疑病例采取动态随访观察的管理策略。

本文引用格式

康林立 , 陈璐 , 张天歌 , 刘勤 , 汪龙霞 . 妊娠期卵巢子宫内膜异位囊肿蜕膜化的临床及超声影像学特征[J]. 中华医学超声杂志(电子版), 2025 , 22(08) : 733 -739 . DOI: 10.3877/cma.j.issn.1672-6448.2025.08.007

Abstract

Objective

To analyze and summarize the clinical characteristics and ultrasonographic features of decidualized ovarian endometrioma (DOE) during pregnancy to provide a reference for its clinical diagnosis and treatment.

Methods

A retrospective analysis was conducted on the medical records of 11 patients clinically diagnosed with DOE during pregnancy at the General Hospital of the PLA from July 2021 to November 2024. The data included clinical information, ultrasound images, follow-up records, and surgical pathological results. The ultrasonographic characteristics and key points for clinical diagnosis and differentiation of DOE during pregnancy were summarized.

Results

All patients exhibited ovarian cysts during pregnancy on ultrasound. The largest diameter of the endometriomas ranged from 3.1 to 7.3 cm, 90.9% (10/11) showed poor echogenicity of intracystic fluid, and the number of papillary projections ranged from 1-6 per cyst. Color Doppler flow imaging detected blood flow signals in 10 cases (flow scores: 2-3 in 72.7% [8/11]), and 72.7% (8/11) had a negative "sliding uterus sign". Three patients underwent surgical resection and had histologically confirmed benign DOE. Sign of decidualization disappeared in 8 cases during the follow-up period. Among these, one case had histologically confirmed benign DOE after surgery due to cyst rupture one year after pregnancy, The remaining 2 cases after abortion and 5 cases during pregnancy showed morphological changes in the cysts in the follow-up period, leading to a diagnosis of DOE based on clinical data.

Conclusion

DOE during pregnancy exhibits characteristic ultrasonographic features. Combining clinical characteristics and follow-up changes can improve diagnostic accuracy and avoid unnecessary surgical intervention. A dynamic follow-up observation strategy is recommended for suspected cases.

子宫内膜异位症(endometriosis,EMs)是一种慢性激素依赖性妇科疾病,发病率为7%~15%1-2,卵巢子宫内膜异位囊肿(ovarian endometrioma,OEM)是EMs最常见的一种类型,在最近的一项研究中发现,妊娠早期OEM的发病率约为2.5%3。卵巢子宫内膜异位囊肿蜕膜化(decidualized ovarian endometrioma,DOE)于20世纪初首次被提出,报道称妊娠期DOE的发生率约占妊娠期OEM的12%~50%4-5,主要发生于妊娠早期,目前关于妊娠期DOE的报道鲜见,大多为个案分析6-7。妊娠期DOE形态学改变的病理机制与妊娠期激素水平改变密切相关。妊娠期间由于孕酮升高引发子宫内膜基质细胞增生、肥大、高度血管化,内膜进一步增厚,形成“蜕膜反应”6,对于OEM患者,孕酮的升高不仅导致在位的子宫内膜蜕膜化,异位于卵巢的子宫内膜亦可发生蜕膜化,异位内膜基质细胞增生肥大,从而引发囊壁内缘高度血管化的乳头状突起的形成8。由于妊娠期DOE相关报道少,临床医师对妊娠期DOE概念生疏,认识不足,超声医师缺少对妊娠期DOE超声特征的总结,超声报告对临床提示作用有限,导致妊娠期DOE患者常被误诊为交界性肿瘤或恶性肿瘤6,这增加了患者身心负担且导致医疗资源浪费。本研究旨在分析和总结妊娠期DOE的临床特征及超声影像学特征,以期为医师提供参考资料,提高妊娠期DOE的诊断准确性,避免影响未来生育率,减轻医患压力。

资料与方法

一、对象

回顾性收集2021年7月1日至2024年11月20日期间在解放军总医院第一医学中心经临床诊断为妊娠期DOE的患者11例,年龄28~37(32.5±5.6)岁,均于妊娠早期38~63(48.5±8.2)d首次发现囊肿伴乳头状突起。本研究经解放军总医院第一医学中心伦理委员会审批同意(批件号:S2022-203-01)。回顾性研究经伦理委员会核准可豁免患者知情同意。

二、仪器与方法

1.仪器:使用GE Voluson E8、Samsung Hera W10、Mindray Resona 8T、Philips Epiq7彩色多普勒超声诊断仪,对所有患者进行腔内超声扫查,探头频率为5.0~9.0 MHz,必要时联合经腹部超声探头,频率为3.5~6.0 MHz。
2.超声图像分析:在双盲条件下由2名具有10年以上妇科超声诊断经验的医师独立读片,对附件区囊肿超声图像及超声报告进行分析,判断囊肿大小、回声、乳头个数、最大乳头大小、乳头及囊壁的血供情况以及子宫滑动征等。

结果

一、超声表现及临床随访结局

1.超声表现:(1)所有病例囊肿最大直径为3.1~7.3 cm。(2)90.9%(10/11)的患者囊内液透声差,1例患者囊内液透声尚可。(3)乳头个数为1~6个不等,最大乳头直径为3.5 cm,90.9%(10/11)乳头内可见血流信号,72.7%(8/11)血流评分以2~3分为主。根据2020年美国放射协会卵巢-附件影像报告和数据系统(ovarian-adnexal reporting and data system,O-RADS)超声风险分层与管理的共识指南9,1分:无血流;2分:微血流;3分:中等血流;4分:富血供。(4)4例为双侧卵巢囊肿(均可见乳头状突起),7例为单侧卵巢囊肿。4例为单房囊肿,7例为双房囊肿。(5)8例子宫滑动征阴性10(指轻推探头观察宫颈与直肠前壁间或直肠前壁与子宫后壁间无相对运动情况),3例子宫滑动征阳性,子宫滑动征阴性比例高达72.7%(8/11),提示盆腔粘连可能。
2.临床资料及随访结局:(1)4例有OEM病史,3例无OEM病史,其他 4例不详。(2)9例患者无明显临床症状,2例患者有盆腔疼痛。(3)11例患者中3例行手术切除治疗,术后病理诊断为OEM,间质蜕膜样变。72.7%(8/11)的患者乳头结构随妊娠进展自然消退,其中1例后经手术证实为OEM,另2例流产后以及5例妊娠中晚期或产后超声复诊发现囊肿形态学改变,结合临床资料,诊断为DOE(表1)。
表1 11例OEM患者超声检查结果及临床结局
例序 年龄(岁) 诊断妊娠天数(d) 最大囊肿大小(cm×cm×cm) 囊肿侧别 囊内液透声 囊肿类型 最大囊肿乳头个数 乳头表面 最大乳头大小(cm×cm) 乳头血流评分 有无OEM病史 CA125(U/ml) 子宫滑动征 超声提示 结局 病理
1 29 38 6.9×5.2×6.4 单侧 单房 3 光滑 1.6×0.8 2 125.6 阴性 囊腺瘤不除外 孕期随访乳头未消失,剖宫产+囊肿剥除术 子宫内膜异位囊肿,间质蜕膜样变
2 28 44 7.3×5.8×6.8 双侧 多房 4~6 光滑 1.2×0.9 3 467.3 阴性 性质待定 孕9周自然流产后随访乳头消失 未手术
3 36 59 5.4×4.4×6.0 双侧 多房 3 光滑 1.6×1.2 3 不详 55.9 阴性 囊腺瘤不除外 孕10周行人工流产术,后随访乳头消失 未手术
4 46 56 3.3×2.7×2.5 单侧 多房 1 光滑 0.5×0.3 2 - 阳性 囊腺瘤不除外 随访乳头消失 未手术
5 28 40 3.2×2.9×2.7 单侧 欠佳 多房 1 光滑 1.1×0.6 3 不详 108.6 阳性 性质待定,囊腺瘤? 随访乳头消失 未手术
6 29 42 3.8×2.9×3.0 单侧 多房 3~5 光滑 1.2×1.2 4 不详 65.9 阴性 性质待定,请结合肿瘤标志物检查 14+2周行卵巢囊肿剥除术 子宫内膜异位囊肿,间质蜕膜样变
7 37 63 6.2×3.8×5.5 单侧 尚可 多房 1 光滑 1.3×0.3 1 - 阴性 良性可能性大 2 d后随访乳头消失,剖宫产+左侧卵巢囊肿剥除术 子宫内膜异位囊肿,部分间质蜕膜样变
8 29 44 7.0×4.4×4.3 双侧 单房 1 光滑 1.3×0.9 2 - 阴性 OEM不除外 随访乳头消失 未手术
9 28 53 3.1×2.1×2.1 单侧 单房 2~3 光滑 1.5×1.2 2 - 阳性 OEM不除外 随访乳头消失 未手术
10 34 45 6.9×3.6×4.8 双侧 多房 2 光滑 3.5×1.5 4 250.2 阴性 OEM可能性大 随访乳头消失,产后1年OEM破裂出血行腹腔镜手术 子宫内膜异位囊肿
11 33 49 4.8×3.1×4.1 单侧 单房 2~3 光滑 0.7×0.4 2 不详 - 阴性 OEM不除外 随访乳头消失 未手术

注:OEM为卵巢子宫内膜异位囊肿;-表示未行肿瘤标志物检查

二、典型病例分析

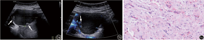
1.病例1:患者29岁,病史不详。此次停经38 d,未诉不适。超声检查提示宫内早孕,右侧卵巢一囊性结构,大小约6.9 cm×5.2 cm×6.4 cm,内透声差,囊壁可见数枚乳头样突起,大者约0.5 cm×0.4 cm(图1a),彩色多普勒血流显像(color Doppler flow imaging,CDFI)示乳头内可见血流信号(图1b),子宫滑动征阴性。分别于停经6+、12+、21+、22+、28+、30+、35+、37+、38+、39+、40+周继续复查右侧卵巢囊性结构(共12次),4次提示OEM可能性大,囊壁不规则增厚伴乳头形成,8次提示为囊腺瘤不除外,囊肿大小无显著变化,乳头状突起大小及形态变化不明显,CDFI示乳头内可见少许血流信号,阻力指数(resistance index,RI)为0.56。该患者实验室检查示孕期糖类抗原125(carbohydrate antigen 125,CA125)为50.44~125.6 U/ml(正常范围:<35 U/ml),22+周甲胎蛋白为84.6 ng/ml(正常范围:<20 ng/ml)。于22+周因CA125、CA724及甲胎蛋白升高行超声检查,提示OEM可能性大,囊壁不规则增厚伴乳头形成。因可疑卵巢交界性肿瘤,经妇科专家会诊并告知手术风险和病情后,孕妇仍然要求继续妊娠,观察随访。于妊娠40+周行子宫下段剖宫产术+右侧卵巢囊肿剥除术,术中探查子宫底及子宫右后壁与右侧阔韧带呈蔓状粘连,卵巢囊肿囊壁内面粗糙,见多发乳头,分离过程中囊肿破裂,可见巧克力样黏稠液体流出,量约150 ml。术后病理诊断为子宫内膜异位囊肿,间质蜕膜样变(图1c)。术后恢复良好。
图1 停经38 d,右侧附件肿块经阴道超声图像。图a为灰阶超声显示右侧卵巢一囊性为主的混合回声(箭头示囊内实性乳头状突起);图b为彩色多普勒超声显示囊内实性乳头状突起内可见少许血流信号(箭头示囊内实性乳头状突起处血流信号);图c为病理示卵巢子宫内膜异位囊肿并间质蜕膜化(HE ×200)
2.病例2:患者28岁,病史不详。此次停经44 d,未诉不适。超声检查提示宫内早孕,双侧卵巢粘连子宫后方并相互粘连,双侧卵巢内均见一囊性结构(图2a),左侧大小约3.6 cm×3.3 cm×4.0 cm,右侧大小约7.3 cm×5.8 cm×6.8 cm,内透声差,囊壁可见数枚乳头样突起,大者约1.2 cm×0.9 cm,CDFI示乳头内可见血流信号(图2b)。停经9+周因自然流产行超声检查,双侧卵巢囊肿大小及乳头情况变化不明显,CDFI示乳头内可见少许血流信号;流产后12 d行超声复查,双侧卵巢囊肿大小变化不明显,但乳头数量较前明显减少;流产后25 d行超声造影复查,提示乳头状结构为等增强,均匀强化,呈“慢进慢退”模式,提示妊娠期DOE可能(图2c)。该患者实验室检查示CA125为467.3 U/ml(正常范围:<35 U/ml),患者随访11个月,无明显痛经表现,囊内乳头已消失,囊肿大小无明显变化。
图2 停经44 d,左侧附件肿块经阴道超声图像。图a为灰阶超声显示左侧卵巢一囊性为主的混合回声(箭头示囊内实性乳头状突起);图b为彩色多普勒超声显示囊内实性乳头状突起内可见少许血流信号(箭头所示);图c为自然流产术后12 d超声造影显示实性乳头状突起为等增强(箭头所示)
3.病例6:患者29岁,平素月经规律,痛经阳性,需口服止痛药缓解。此次停经42 d,未诉不适。超声检查提示宫内早孕,右侧卵巢见一多房囊性结构(图3a),大小约3.8 cm×2.9 cm×3.0 cm,内透声差,与周围组织粘连,子宫滑动征阴性,囊壁可见数枚乳头样突起,大者约1.2 cm×1.2 cm,CDFI示乳头内可见较丰富血流信号(图3b)。停经8+周行超声复查,双侧卵巢囊肿大小及乳头情况变化不明显,CDFI 示乳头内可见稍丰富血流信号。该患者实验室检查示CA125为65.9 U/ml(正常范围:<35 U/ml)。因可疑卵巢交界性肿瘤,于停经14+周行腹腔镜下右侧卵巢囊肿剥除术,术中可见右侧卵巢与子宫右后壁紧密粘连,卵巢表面、直肠表面及子宫后壁表面均可见多发乳头样结构,呈淡黄色,质软,分离粘连,取子宫后壁表面及卵巢表面病灶送快速冰冻病理,病理回报:送检组织间质蜕膜样变,遂行右侧卵巢囊肿剥除术,游离右侧卵巢,囊肿破裂,可见咖啡色黏稠液体流出,约50 ml,母胎均状态良好。病理诊断为子宫内膜异位囊肿,间质蜕膜样变(图3c)。术后恢复良好。
图3 停经42d,右侧附件肿块经阴道超声图像。图a为灰阶超声显示右侧卵巢一囊性为主的混合回声(箭头示囊内实性乳头状突起);图b为彩色多普勒超声显示囊内实性乳头状突起内可见少许血流信号(箭头示囊内实性乳头状突起处血流信号);图c为病理示卵巢子宫内膜异位囊肿并间质蜕膜化(HE ×200)

讨论

本研究对11例妊娠期DOE患者的临床特征和超声表现进行分析,总结其特点如下:(1)好发于育龄期女性,多于妊娠早期发现;(2)大部分患者(9/11)没有显著的临床指征,部分患者表现为盆腔疼痛、痛经11;(3)超声表现具有特征性,主要表现为单房或多房性囊肿,囊内透声差,多伴有毛玻璃样回声,囊壁可见单发或多发光滑的实性乳头状突起,边界清晰、形态规则、表面光滑,CDFI示其内可见血流信号;(4)无腹水形成;(5)多数患者(8/11)子宫滑动征阴性,提示存在盆腔粘连12-13;(6)随访过程中乳头状突起(8/11)可逐渐消退3;(7)妊娠期DOE患者CA125可存在增高现象,本研究中6例患者CA125均升高,范围在55.9~467.3 U/ml之间,其余5例未行肿瘤标志物检查。目前,国际上尚未报道诊断妊娠期DOE的特异性检测方法。
目前,超声检查是妊娠期DOE首选的影像学方法,可疑病例也可考虑选择性地进行超声造影或者MRI检查进一步明确诊断。本研究仅病例2进行超声造影检查,表现为囊壁或实性结节内血流灌注较均匀,增强强度中等,呈现“缓慢增强-缓慢消退”模式。Machida等14报道妊娠期DOE囊内乳头状突起在T1W1和T2W1序列上与胎盘信号强度相同对鉴别诊断有一定意义。Takeuchi等15报道妊娠期DOE的囊内乳头状突起的表观弥散系数(apparent diffusion coefficient,ADC)及弥散加权成像(diffusion weighted imaging,DWI)均呈高信号,提示弥散不受限,可与恶性肿瘤相鉴别。在本研究中,出于对孕早期安全性的考虑,所有患者均未进行MRI检查。
妊娠期DOE的影像学特征(如乳头状突起、血流信号、囊内透声差)和实验室检查(如CA125升高)以及医师对妊娠期DOE的认识不足是其易误诊的主要原因,本研究6例患者首次超声检查均无法明确诊断为妊娠期DOE,病例1中患者孕期共进行12次超声检查,尽管有妇科超声专家提示为妊娠期OEM可能性大,仍有8次超声报告提示为囊腺瘤不除外。其声像图表现及临床特征,应与以下疾病鉴别:(1)卵巢浆液性囊腺瘤:属于卵巢上皮性肿瘤,单侧卵巢多见,乳头状浆液性囊腺瘤超声表现与妊娠期DOE类似,以多房多见,囊性部分透声好,内壁有单个或多个细小或粗大的乳头状突起,CDFI示乳头状突起可见细条状血流,子宫滑动征多为阳性。(2)卵巢黏液性囊腺瘤:属于卵巢上皮性肿瘤,以多房为主,一般较大,囊内透声差,可见云雾状或稀释低回声,多发分隔,隔光滑而均匀,CDFI示分隔处可见血流,脉冲多普勒多为低速中等阻力频谱,子宫滑动征多为阳性。(3)卵巢囊性畸胎瘤:属于生殖细胞肿瘤,因内容物复杂,超声表现也是复杂多样,可表现为面团征、脂液分层征、壁立结节征、杂乱结构征、线条征等,CDFI示其内一般无血流信号,个别瘤体内含神经组织、甲状腺组织等时,实性部分可有血流。子宫滑动征多为阳性。(4)卵巢浆液性交界性肿瘤:是一种组织学表现为上皮不典型增生但无间质浸润的异质性病变,具有低度恶性潜能。好发于中青年女性,进展缓慢。超声特征主要表现为单房或多房的囊性结构,透声相对好,囊内实性乳头状突起较大且形态不规则,并可见烟花状血流信号16,子宫滑动征阳性。Timor-Triscth等17在2018年的一项回顾性队列研究证明,囊内壁上或分隔上的实性软组织呈微囊样超声表现,是超声诊断卵巢交界性肿瘤的一个新指标。(5)恶变的OEM:少部分(0.5%~1%)OEM病例可发生恶性变18,恶变多为卵巢内膜样癌或卵巢透明细胞癌。发生恶性OEM的患者多为45岁以上的绝经后期妇女,另或有卵巢癌家族史。恶变的OEM多表现为病灶短期内迅速增大,且病灶多大于10 cm10,囊内实性乳头状突起多不规则,CDFI示其可见较丰富血流信号,可伴有腹水,子宫滑动征多为阳性。
OEM是导致不孕症的重要原因之一,而妊娠期DOE的诊断尤为重要。超声医师充实的知识储备和丰富的临床经验是诊断妊娠期DOE的关键,结合超声表现、乳头状突起无明显变化或消失、妊娠状态、痛经病史、子宫滑动征阴性等特征,有助于明确诊断妊娠期DOE。既往研究显示,妊娠期DOE囊肿大小无明显变化可继续妊娠,建议首选随访观察8,无需考虑手术,尤其在没有患者严重不适或明显并发症的情况下,应避免不必要的手术干预。临床医师可参考超声提示,综合分析患者实际情况,包括临床症状、囊肿大小变化、孕龄、肿瘤标志物变化等数据,整体评估患者病情后决定处理方案。手术治疗可作为备选方案,但医师应慎重权衡手术风险与获益。
本研究总结了妊娠期DOE病例超声特征及鉴别诊断要点,分析了临床诊断妊娠期DOE和决策各类检查的要点,并且提供了妊娠期DOE的超声造影表现以及动态超声演变规律。这为妊娠期DOE患者提供了更多的诊断依据,也为可疑妊娠期DOE患者的随访观察决策提供了有价值的参考。未来随着微血流成像技术、高帧率超声、人工智能辅助诊断以及多模态超声融合成像等超声新技术的发展,有望进一步提升妊娠期DOE的诊断准确性,优化个体化诊疗策略,减少不必要的医疗干预,降低妊娠期医源性风险。
1
Sroyraya M, Songkoomkrong S, Changklungmoa N, et al. Differential expressions of estrogen and progesterone receptors in endometria and cyst walls of ovarian endometrioma from women with endometriosis and their responses to depo-medroxyprogesterone acetate treatment[J]. Mol Cell Probes, 2018, 40: 27-36.

2
Rižner TL. Diagnostic potential of peritoneal fluid biomarkers of endometriosis[J]. Expert Rev Mol Diagn, 2015, 15(4): 557-580.

3
Orlov S, Sladkevicius P, Rivano Eckerdal I, et al. Morphological changes of endometriomas during pregnancy and after delivery detected using ultrasound[J]. Fertil Steril, 2025, 123(2): 211-220.

4
郭俊男, 赵丽梅, 黄雯暄, 等. 妊娠期卵巢子宫内膜异位囊肿蜕膜化MRI表现2例[J]. 中国临床医学影像杂志, 2024, 35(6): 455-456.

5
Bourgioti C, Preza O, Panourgias E, et al. MR imaging of endometriosis: Spectrum of disease[J]. Diagn Interv Imaging, 2017, 98(11): 751-767.

6
Yin M, Wang T, Li S, et al. Decidualized ovarian endometrioma mimicking malignancy in pregnancy: a case report and literature review[J]. J Ovarian Res, 2022, 15(1): 33.

7
宋勇, 熊秀勤. 蜕膜化卵巢子宫内膜异位囊肿超声表现1例[J]. 临床超声医学杂志, 2023, 25(7): 524, 531.

8
Bean E, Knez J, Setty T, et al. Natural history of endometriosis in pregnancy: ultrasound study of morphology of deep endometriosis and ovarian endometrioma[J]. Ultrasound Obstet Gynecol, 2023, 62(4): 585-593.

9
Andreotti RF, Timmerman D, Strachowski LM, et al. O-RADS US risk stratification and management system: a consensus guideline from the ACR ovarian-adnexal reporting and data system committee[J]. Radiology, 2020, 294(1): 168-185.

10
中华医学会超声医学分会妇产超声学组. 子宫内膜异位症超声评估中国专家共识[J]. 中华超声影像学杂志, 2022, 31(10): 837-844.

11
Anglesio MS, Yong PJ. Endometriosis-associated ovarian cancers[J]. Clin Obstet Gynecol, 2017, 60(4): 711-727.

12
王健, 王钧, 刘状. 妇科超声在卵巢巧克力囊肿检查中的应用价值分析[J]. 中国实用医药, 2020, 15(7): 65-67.

13
郑帅, 杨欣, 王静怡, 等. 超声诊断卵巢子宫内膜异位症的应用价值[J]. 中国超声医学杂志, 2024, 40(11): 1296-1300.

14
Machida S, Matsubara S, Ohwada M, et al. Decidualization of ovarian endometriosis during pregnancy mimicking malignancy: report of three cases with a literature review[J]. Gynecol Obstet Invest, 2008, 66(4): 241-247.

15
Takeuchi M, Matsuzaki K, Nishitani H. Magnetic resonance manifestations of decidualized endometriomas during pregnancy[J]. J Comput Assist Tomogr, 2008, 32(3): 353-355.

16
Wang D, Su N, Wang R, et al. Serous surface papillary borderline ovarian tumors: correlation of sonographic features with clinic pathological findings[J]. Ultrasound Obstet Gynecol, 2024, 63(5): 691-698.

17
Timor-Tritsch IE, Foley CE, Brandon C, et al. New sonographic marker of borderline ovarian tumor: microcystic pattern of papillae and solid components[J]. Ultrasound Obstet Gynecol, 2019, 54(3): 395-402.

18
Pearce CL, Templeman C, Rossing MA, et al. Association between endometriosis and risk of histological subtypes of ovarian cancer: a pooled analysis of case-control studies[J]. Lancet Oncol, 2012, 13(4): 385-394.

文章导航

/


AI


AI小编
你好!我是《中华医学电子期刊资源库》AI小编,有什么可以帮您的吗?